Incrustar presentación
Descargado 73 veces


























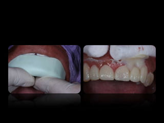
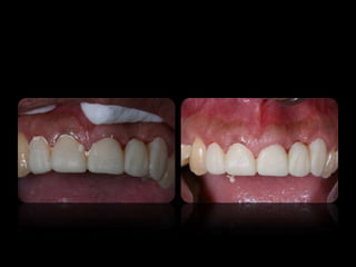
Protemp 4 es un material dental utilizado para la confección de restauraciones temporales como coronas y puentes, que destaca por su nanotecnología y propiedades avanzadas. Ofrece resistencias superiores a la fractura y una estética natural, así como facilidad en la remoción de placa bacteriana. Su aplicación permite un procedimiento eficiente que ahorra tiempo clínico y asegura un alto rendimiento a largo plazo.
























