RESINCRONIZACION CARDIACA



                           TECNICA DE IMPLANTE

                          DR. MANUEL PATETE AYALA
                           CARDIOLOGIA ELECTROFISIOLOGIA




jueves 24 de mayo de 12
RESINCRONIZACION CARDIACA
        Ø REQUERIMIENTOS DEL PACIENTE
        Ø REQUERIMIENTOS DEL LABORATORIO
        Ø IMPLANTE:
              1.     BOLSILLO
              2.     CANULACION DEL SC
              3.     ELECTRODO EN SC
              4.     UMBRALES Y SENSADO
              5.     RETIRO




jueves 24 de mayo de 12
RESINCRONIZACION CARDIACA
        Ø REQUERIMIENTOS DEL PACIENTE
        Ø REQUERIMIENTOS DEL LABORATORIO
        Ø IMPLANTE:
              1.     BOLSILLO
              2.     CANULACION DEL SC
              3.     ELECTRODO EN SC
              4.     UMBRALES Y SENSADO
              5.     RETIRO




jueves 24 de mayo de 12
RESINCRONIZACION CARDIACA
        REQUERIMIENTOS DEL PACIENTE
        1. Funcionalismo renal: Diluir contraste, hidratar,
           premedicar.
        2. Balance hidrico.
        3. Sedacion.
        4. Alergias: premedicar.
        5. Eco: HVI, anillo mitral, diametro de AD, HAP.
        6. Angiografia.




jueves 24 de mayo de 12
RESINCRONIZACION CARDIACA
        Ø      REQUERIMIENTOS DEL PACIENTE
        Ø      REQUERIMIENTOS DEL LABORATORIO
        Ø      IMPLANTE:

              1.     MATERIALES
              2.     BOLSILLO
              3.     CANULACION DEL SC
              4.     ELECTRODO EN SC
              5.     UMBRALES Y SENSADO
              6.     RETIRO



jueves 24 de mayo de 12
RESINCRONIZACION CARDIACA
        Ø  2 Médicos
        Ø 2 Enfermeras ( Instrumentista y otra circulante )
        Ø 1 Técnico
        Ø 1 Anestesiologo
        Ø 1 equipo de hemodinamia o arco en C en su defecto
        Ø Capacidad de cuantificar tiempo de radiación
        Ø Técnico Radiólogo encargado de las imágenes y de su
           procesamiento
        Ø 1 Poligrafo
        Ø   Equipo de saturometría
        Ø   Cuantificación no invasiva de la presión arterial
        Ø   Equipo de reanimación


jueves 24 de mayo de 12
jueves 24 de mayo de 12
RESINCRONIZACION CARDIACA
        Ø      REQUERIMIENTOS DEL PACIENTE
        Ø      REQUERIMIENTOS DEL LABORATORIO
        Ø      IMPLANTE:

              1.     MATERIALES
              2.     BOLSILLO
              3.     CANULACION DEL SC
              4.     ELECTRODO EN SC
              5.     UMBRALES Y SENSADO
              6.     RETIRO



jueves 24 de mayo de 12
jueves 24 de mayo de 12
RESINCRONIZACION CARDIACA
        Ø      REQUERIMIENTOS DEL PACIENTE
        Ø      REQUERIMIENTOS DEL LABORATORIO
        Ø      IMPLANTE:

              1.     MATERIALES
              2.     BOLSILLO
              3.     CANULACION DEL SC
              4.     ELECTRODO EN SC
              5.     UMBRALES Y SENSADO
              6.     RETIRO



jueves 24 de mayo de 12
Debe ser generoso para que quede holgado
                          el dispositivo




jueves 24 de mayo de 12
RESINCRONIZACION CARDIACA
        Ø      REQUERIMIENTOS DEL PACIENTE
        Ø      REQUERIMIENTOS DEL LABORATORIO
        Ø      IMPLANTE:

              1.     MATERIALES
              2.     BOLSILLO
              3.     CANULACION DEL SC
              4.     ELECTRODO EN SC
              5.     UMBRALES Y SENSADO
              6.     RETIRO



jueves 24 de mayo de 12
Esta ubicado en la region
posteroseptal de la auricula
derecha




jueves 24 de mayo de 12
puedes usar cateteres
                          de electrofisiologia para
                          canularlo, pero primero
                          intenta con lo que trae el
                          Kit




jueves 24 de mayo de 12
puedes ir
                          inyectando
                          contraste




jueves 24 de mayo de 12
puedes ir
                          inyectando
                          contraste




jueves 24 de mayo de 12
O hacer una
                          coronariografia




jueves 24 de mayo de 12
O hacer una
                          coronariografia




jueves 24 de mayo de 12
jueves 24 de mayo de 12
jueves 24 de mayo de 12
RESINCRONIZACION CARDIACA
        Ø      REQUERIMIENTOS DEL PACIENTE
        Ø      REQUERIMIENTOS DEL LABORATORIO
        Ø      IMPLANTE:

              1.     MATERIALES
              2.     BOLSILLO
              3.     CANULACION DEL SC
              4.     ELECTRODO EN SC
              5.     UMBRALES Y SENSADO
              6.     RETIRO



jueves 24 de mayo de 12
jueves 24 de mayo de 12
jueves 24 de mayo de 12
jueves 24 de mayo de 12
jueves 24 de mayo de 12
electrodo en su puesto




jueves 24 de mayo de 12
RESINCRONIZACION CARDIACA
        Ø      REQUERIMIENTOS DEL PACIENTE
        Ø      REQUERIMIENTOS DEL LABORATORIO
        Ø      IMPLANTE:

              1.     MATERIALES
              2.     BOLSILLO
              3.     CANULACION DEL SC
              4.     ELECTRODO EN SC
              5.     UMBRALES Y SENSADO
              6.     RETIRO



jueves 24 de mayo de 12
jueves 24 de mayo de 12
jueves 24 de mayo de 12
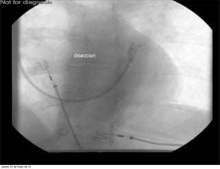
COMPLICACIONES



jueves 24 de mayo de 12
desplazamientos




jueves 24 de mayo de 12
diseccion




jueves 24 de mayo de 12
ØComplicacion        si no usas las guias de
             angioplastias.




jueves 24 de mayo de 12
CONCLUSIONES
        ØEs un procedimiento seguro en manos
          expertas
        ØLa curva de aprendizaje es dura pero
          superable
        ØLa buena seleccion y preparacion del
          paciente es vital para el exito
        ØSe debe realizar en laboratorios apropiados




jueves 24 de mayo de 12

Resincronización Cardíaca

  • 1.
    RESINCRONIZACION CARDIACA TECNICA DE IMPLANTE DR. MANUEL PATETE AYALA CARDIOLOGIA ELECTROFISIOLOGIA jueves 24 de mayo de 12
  • 2.
    RESINCRONIZACION CARDIACA Ø REQUERIMIENTOS DEL PACIENTE Ø REQUERIMIENTOS DEL LABORATORIO Ø IMPLANTE: 1. BOLSILLO 2. CANULACION DEL SC 3. ELECTRODO EN SC 4. UMBRALES Y SENSADO 5. RETIRO jueves 24 de mayo de 12
  • 3.
    RESINCRONIZACION CARDIACA Ø REQUERIMIENTOS DEL PACIENTE Ø REQUERIMIENTOS DEL LABORATORIO Ø IMPLANTE: 1. BOLSILLO 2. CANULACION DEL SC 3. ELECTRODO EN SC 4. UMBRALES Y SENSADO 5. RETIRO jueves 24 de mayo de 12
  • 4.
    RESINCRONIZACION CARDIACA REQUERIMIENTOS DEL PACIENTE 1. Funcionalismo renal: Diluir contraste, hidratar, premedicar. 2. Balance hidrico. 3. Sedacion. 4. Alergias: premedicar. 5. Eco: HVI, anillo mitral, diametro de AD, HAP. 6. Angiografia. jueves 24 de mayo de 12
  • 5.
    RESINCRONIZACION CARDIACA Ø REQUERIMIENTOS DEL PACIENTE Ø REQUERIMIENTOS DEL LABORATORIO Ø IMPLANTE: 1. MATERIALES 2. BOLSILLO 3. CANULACION DEL SC 4. ELECTRODO EN SC 5. UMBRALES Y SENSADO 6. RETIRO jueves 24 de mayo de 12
  • 6.
    RESINCRONIZACION CARDIACA Ø 2 Médicos Ø 2 Enfermeras ( Instrumentista y otra circulante ) Ø 1 Técnico Ø 1 Anestesiologo Ø 1 equipo de hemodinamia o arco en C en su defecto Ø Capacidad de cuantificar tiempo de radiación Ø Técnico Radiólogo encargado de las imágenes y de su procesamiento Ø 1 Poligrafo Ø Equipo de saturometría Ø Cuantificación no invasiva de la presión arterial Ø Equipo de reanimación jueves 24 de mayo de 12
  • 7.
    jueves 24 demayo de 12
  • 8.
    RESINCRONIZACION CARDIACA Ø REQUERIMIENTOS DEL PACIENTE Ø REQUERIMIENTOS DEL LABORATORIO Ø IMPLANTE: 1. MATERIALES 2. BOLSILLO 3. CANULACION DEL SC 4. ELECTRODO EN SC 5. UMBRALES Y SENSADO 6. RETIRO jueves 24 de mayo de 12
  • 9.
    jueves 24 demayo de 12
  • 10.
    RESINCRONIZACION CARDIACA Ø REQUERIMIENTOS DEL PACIENTE Ø REQUERIMIENTOS DEL LABORATORIO Ø IMPLANTE: 1. MATERIALES 2. BOLSILLO 3. CANULACION DEL SC 4. ELECTRODO EN SC 5. UMBRALES Y SENSADO 6. RETIRO jueves 24 de mayo de 12
  • 11.
    Debe ser generosopara que quede holgado el dispositivo jueves 24 de mayo de 12
  • 12.
    RESINCRONIZACION CARDIACA Ø REQUERIMIENTOS DEL PACIENTE Ø REQUERIMIENTOS DEL LABORATORIO Ø IMPLANTE: 1. MATERIALES 2. BOLSILLO 3. CANULACION DEL SC 4. ELECTRODO EN SC 5. UMBRALES Y SENSADO 6. RETIRO jueves 24 de mayo de 12
  • 13.
    Esta ubicado enla region posteroseptal de la auricula derecha jueves 24 de mayo de 12
  • 14.
    puedes usar cateteres de electrofisiologia para canularlo, pero primero intenta con lo que trae el Kit jueves 24 de mayo de 12
  • 15.
    puedes ir inyectando contraste jueves 24 de mayo de 12
  • 16.
    puedes ir inyectando contraste jueves 24 de mayo de 12
  • 17.
    O hacer una coronariografia jueves 24 de mayo de 12
  • 18.
    O hacer una coronariografia jueves 24 de mayo de 12
  • 19.
    jueves 24 demayo de 12
  • 20.
    jueves 24 demayo de 12
  • 21.
    RESINCRONIZACION CARDIACA Ø REQUERIMIENTOS DEL PACIENTE Ø REQUERIMIENTOS DEL LABORATORIO Ø IMPLANTE: 1. MATERIALES 2. BOLSILLO 3. CANULACION DEL SC 4. ELECTRODO EN SC 5. UMBRALES Y SENSADO 6. RETIRO jueves 24 de mayo de 12
  • 22.
    jueves 24 demayo de 12
  • 23.
    jueves 24 demayo de 12
  • 24.
    jueves 24 demayo de 12
  • 25.
    jueves 24 demayo de 12
  • 26.
    electrodo en supuesto jueves 24 de mayo de 12
  • 27.
    RESINCRONIZACION CARDIACA Ø REQUERIMIENTOS DEL PACIENTE Ø REQUERIMIENTOS DEL LABORATORIO Ø IMPLANTE: 1. MATERIALES 2. BOLSILLO 3. CANULACION DEL SC 4. ELECTRODO EN SC 5. UMBRALES Y SENSADO 6. RETIRO jueves 24 de mayo de 12
  • 28.
    jueves 24 demayo de 12
  • 29.
    jueves 24 demayo de 12
  • 30.
  • 31.
  • 32.
  • 33.
    ØComplicacion si no usas las guias de angioplastias. jueves 24 de mayo de 12
  • 34.
    CONCLUSIONES ØEs un procedimiento seguro en manos expertas ØLa curva de aprendizaje es dura pero superable ØLa buena seleccion y preparacion del paciente es vital para el exito ØSe debe realizar en laboratorios apropiados jueves 24 de mayo de 12