Obesidad, Sarcopenia y Aterosclerosis 
“Sindrome Malnutrición-Inflamación” 
 Dr. Ángel Antonio Pineda Madrid 
 Geriatra 
 Cardiología Geriatrica
La Migración y La Obesidad 
 Es cada vez más frecuente que los 
alimentos de la región con alto contenido 
nutricio , como los son los frijoles, los 
ayotes, zanahorias, las tortillas de maíz y 
sus derivados sean desplazados por 
sopas instantáneas que no aportan ningún 
valor nutrimental al organismo. 
 http://www.oem.com.mx/esto/notas/n1120 
077.htmmo humano.
La Migración y la Obesidad 
La cultura culinaria y 
gastronómica de los migrantes se 
ve expuesta al regreso 
de migrantes hacia sus lugares 
de origen.
La Migración y la Obesidad 
 "Al no producir suficientes productos en el 
campo, provoca la emigración de los 
habitantes de las comunidades hacia las 
ciudades, quienes aprenden a hacer una 
dieta diferente a la que tenían en sus 
lugares de origen"
Mortalidad en la Migración 
 "La gran mayoría de los migrantes 
presentan un bajo perfil escolar, por 
lo que una vez adquiridos los nuevos 
hábitos alimenticios, será difícil hacer 
una trasgresión que convierta estas 
costumbres".
Percentage of U.S. Adults Who Were 
Obese or Had Diagnosed Diabetes 
Obesity (BMI ≥30 kg/m2) 
2008 
No Data <14.0% 14.0-17.9% 18.0-21.9% 22.0-25.9% 26.0% 
Diabetes 
2008 
Centers for Disease Control and Prevention: National Diabetes Surveillance System. 
1994 
Available online at: http://apps.nccd.cdc.gov/DDTSTRS/default.aspx. Accessed 10/3/2011. 
1994 
2000 
2000 
No Data <4.5% 4.5-5.9% 6.0-7.4% 7.5-8.9% ≥9.0%
SARCOPENIA 
 Raíz Griega: 
 “sarco” = carne, músculo 
 “penia” = deficiencia, 
disminución 
 Definición: 
 Síndrome Caracterizado por 
la Pérdida progresiva y 
gradual de 
 Masa, fuerza y funcionalidad 
del músculo esquelético 
 Relacionada con el proceso del 
envejecimiento 
 Que contribuye al daño y a la 
dependencia funcional
El diagnóstico se basa en el criterio 1 + el 2 o el 3 
Disminución de: 
1. Masa muscular 
2. Fuerza muscular 
3. Rendimiento físico
Caquexia 
z Condición en la que co-existe una pérdida de grasa y 
MLG + pérdida acelerada de músculo esquelético 
dentro del contexto: “Respuesta Inflamatoria Crónica” 
 Enfermedades Crónicas en Etapa Terminal: 
 Cáncer 
 SIDA 
 Insuficiencia Cardiaca Congestiva 
 Artritis Reumatoide 
 Tuberculosis 
 EPOC 
 Enfermedad de Crohn 
 Ancianos 
 Desnutrición avanzada 
 Disfunción Inmune 
 Infecciones severas: sepsis 
Roubenoff R et al. Standardization of nomenclature of body composition in weight loss. 
Am J Clin Nutr 1997; 66:196.
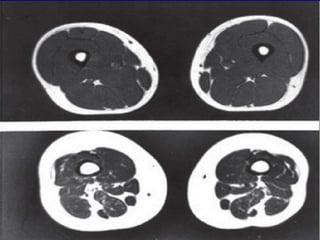
Cambios en la Composición 
Corporal 
 ↑ Tejido graso 
 ↓ Tejido Magro 
 ↓ Tejido Mineral 
Óseo 
 ↑ ECV, Obesidad, 
Resistencia a la insulina, 
DM II 
 ↑ Sarcopenia, osteopenia, 
osteoporosis 
 ↑ incapacidad física, 
mayor riesgo a caídas, 
fracturas, > costos por 
hospitalización, > riesgo 
de complicaciones
MARCADORES DE MALNUTRICIÓN (ALBUMINA) 
E INFLAMACIÓN (PCR) PREDICEN 
LA MORTALIDAD
CITOQUINAS PROINFLAMATORIAS ESTAN 
ELEVADAS EN IRCT Y PREDICEN LA MORTALIDAD
MIELOPEROXIDASA (MPO) : 
ENLACE ENTRE EL ESTRESS OXIDATIVO, 
DISFUNCIÓN ENDOTELIAL E INFLAMACIÓN? 
 MPO (UNA DE MAS ABUNDANTES GLUCOPROTEINAS DEL 
FAGOCITO) ES SECRETADA POR LOS NEUTRÓFILOS ACTIVADOS 
DURANTE LA DIFERENCIACIÓN MIELOIDE. PARTICIPA EN 
DEFENZA INMUNE DEL ORGANISMO. 
 MPO GENERA SERIE DE OXIDANTES DIFUSIBLES Y ES CAPAZ DE 
INICIAR LA PEROXIDACIÓN LIPIDICA. 
 LOS OXIDANTES PRODUCIDOS POR MPO CONTRIBUYEN AL 
INCREMENTO DEL ESTRESS OXIDATIVO EN IRCT. 
 EL ÓXIDO NÍTRICO (NO) MODULA LA ACTIVIDAD CATALÍTICA DE 
MPO Y SIRVE COMO SUBSTRATO FISIOLÓGICO PARA MPO.
ROL HIPOTÉTICO DE MPO EN GÉNESIS DE 
ATEROESCLEROSIS 
ESTÍMULO 
INFLAMATÓRIO 
OTROS FACTORES 
(VIT E) 
SECRECIÓN 
DE MPO 
USO DE NO 
COMO SUBSTRATO 
ACTIVIDAD 
ANTIMICROBIANA 
GENERACIÓN DE OXIDANTES 
DIFUSIBLES E INICIO 
DE PEROXIDACIÓN 
LIPIDICA 
ATEROESCLEROSIS 
ACELERADA 
ACTIVACIÓN DE 
NEUTRÓFILOS
Características 
 Estrés oxidativo 
 Pérdida de nutrientes a través de la diálisis 
 Hiporexia 
 Toxinas urémicas 
 Elevación de citoquinas inflamatorias 
 Sobrecarga de volumen 
 Hiperfosfatemia 
 Subdiálisis, entre otros.
Resistencia a la eritropoyetina 
 Promueve la enfermedad aterosclerótica, 
disminuyendo la calidad de vida e 
incrementando el tiempo de internación y 
la mortalidad. 
 Este síndrome origina un bajo índice de 
masa corporal, hipocolesterolemia, 
sarcopenia e hipocreatininemia, e 
hipohomocisteinemia, paradójicamente 
incrementando el riesgo cardiovascular
Stenvinkel y col1 han definido dos 
formas de presentación de la MCP: 
 Tipo 1: 
 Sin inflamación 
 Caracterizado por ligera hipoalbuminemia 
 Proteína C reactiva (PCR) normal 
 Ingesta calórico-proteica disminuida por la uremia 
 Gasto energético en reposo normal 
 Stress oxidativo aumentado y que de modo 
característico responde a la suplementación 
nutricional
Stenvinkel y col1 han definido dos 
formas de presentación de la MCP: 
 Tipo 2: 
 Con inflamación, llamado SCMI 
 Con una disminución marcada de la albumina 
sérica 
 PCR aumentada 
 Ingesta calórico-proteica normal o disminuida por 
la inflamación 
 Gasto en reposo elevado 
 Stress oxidativo marcadamente elevado y que no 
suele responder a los suplementos nutricionales.
Los pacientes con enfermedad 
renal crónica (ERC), con o sin HD 
 A menudo presentan calcificación ectópica 
debido a la elevación del producto 
fosfocálcico y de la PTH, con calcificación en 
parches del miocardio, lo que puede 
provocar fibrosis intersticial. 
 La microcalcificación cardíaca difusa puede 
desencadenar una insuficiencia cardíaca 
intratable y arritmias malignas, lo que se ha 
denominado stone-heart syndrome.
Papel de la Adiponectina 
 Existen pocos datos sobre los niveles de 
adiponectina en pacientes en HD crónica. 
 Recientemente, Drechsler y col. describieron 
en pacientes con ERC el riesgo de acuerdo a 
las modificaciones séricas de la 
adiponectina, y a pesar de que algunos 
trabajos mostraron un rol protector de la 
adiponectina en la ECV, otros han observado 
el fenómeno opuesto.
Epidemiología Reversa 
 El SCMI lleva a anemia refractaria, bajo 
IMC, niveles disminuidos de colesterol, 
creatinina y homocisteína, incrementando 
así el riesgo cardiovascular (epidemiología 
reversa).
Epidemiología en Reversa 
 La hipohomocisteinemia (homocisteínas en 
el cuartil más bajo de sus niveles 
sanguíneos, < 5 μmol/l) se asocia a mayores 
índices de hospitalización y de mortalidad. 
 El riesgo de muerte en este subgrupo es dos 
veces mayor e independiente de la 
hipoalbuminemia. 
 La razón de esta aparente paradoja se 
basaría en que los pacientes con 
hipohomocisteinemia presentan un estado 
nutricional más deteriorado.
 Se ha demostrado que en pacientes con 
ERC existe una correlación inversa entre el 
IMC y la mortalidad, fenómeno conocido 
como paradoja de la obesidad. 
 En pacientes en HD la obesidad parece 
conferir un rol protector, ya que muestran un 
mejor perfil nutricional a pesar de la 
frecuente disfunción diastólica y sistólica en 
este grupo.
 Estos cambios ocurren 
independientemente del estado 
nutricional. 
 La hipoalbuminemia es un marcador de 
inflamación más que de desnutrición, y 
cuando uno la observa hay que identificar 
su causa y revertirla.
 La inflamación crónica se caracteriza por 
un incremento plasmático en los niveles 
de citoquinas proinflamatorias como IL-1, 
IL-6, TNF-alfa, etc., y descenso de 
citoquinas antiinflamatorias como IL-10.
 Los altos niveles de citoquinas 
proinflamatorias se relacionan con la 
gravedad y progresión de las placas 
ateroscleróticas y están asociadas con un 
incremento en la malnutrición calórico-proteica 
y la morbimortalidad.
 Las causas de inflamación en la ERC son 
múltiples: 
 Disminución del clearance de citoquinas 
inflamatorias, disminución de los niveles de 
sustancias antioxidantes, mayor número de 
infecciones, periodontitis, aumento en el 
número de endotoxinas circulantes, 
calcificaciones vasculares, AGEs, stress 
oxidativo, enfermedades inflamatorias 
coexistentes.
IL-6 ES LA CITOQUINA PROATEROGÉNICA 
 EN RATONES LA INFUSIÓN DE IL-6 INDUCE LA 
ATEROESCLEROSIS 
 IL-6 ALTERA LA SENSIBILIDAD A LA INSULINA Y LA 
FUNCIÓN ENDOTELIAL 
 HAY INCREMENTO DE LA EXPRECIÓN DE IL-6 EN 
LA FASE FIBROSA DE LA PLACA ATEROMATOSA 
 IL-6 ES EL ESTIMULADOR PRIMARIO DE SICAM-1, 
QUE REGULA LOS PROCESOS DE ATRACCIÓN Y 
MIGRACIÓN DE LOS LEUCOCITOS A TRAVÉS DE LA 
PARED ENDOTELIAL
EFECTOS DE IL-6 EN EL ESTADO NUTRICIONAL 
IL-6 ACTUA SINÉRGICAMENTE CON 
TNF-a E IL-1 EN REGULAR EL RNAm 
DE ALBUMINA E INHIBIR LA SINTESIS 
DE ALBUMINA 
IL-6 PUEDE INHIBIR EL APETITO 
DIRECTA- O INDIRECTAMENTE 
(S-LEPTINA?)
Como evitar la Aterosclerosis? 
 Estilo de Vida 
 Alimentación 
 Ejercicio 
 Suplementos Alimentarios
INHIBICIÓN DE FN-Kb ES LA RAZON DEL BENEFICIO 
DE ESTATINAS, IECA Y VITAMINA E 
ESTATINAS 
IECA 
VITAMINA E 
La inhibición de la expresión de selectina E 
por fluvastatina se relaciona a bloqueo de 
FN-kB (Meroni et al Arthritis Rheum 2001) 
Bloqueo de angiotensina inhibe la actividad de FN-kB 
(Yoshiyama et al. J Mol Cell Cardiol 2001) 
Succinato de alfa-tocoferol inhibe la 
activación de FN-kB (Nakamura et al. Biofactors 
1998)
INFLAMACIÓN: 
ESTATINAS (Circulation, 2001; 103:1191 – 3) 
IECA (J Am Coll Cardiol. 1999;34:2061 – 7) 
VITAMINA E (Free Radic Biol med, 2000;29:290) 
STRESS OXIDATIVO 
ESTATINAS (J Clin Invest. 2001;108:1429 – 37) 
IECA (Circulation. 2001;104:1571- 4) 
VITAMINA E (Atherosclerosis. 2000;150:129 – 34) 
DISFUNCIÓN ENDOTELIAL 
ESTATINAS (J Am Coll Cardiol. 2000;36:410 – 6) 
IECA (J Am Coll Cardiol, 1999;34:140 – 5) 
VITAMINA E (J Am Coll Cardiol. 2000;36:34 – 102)
POSIBLE TRATAMIENTO DEL SINDROME MIA: 
 Rosiglitazona 
 Talidomida y otros bloqueadores de TNFa 
 Modificación nutricional: 
- soya 
 Bloqueadores de los receptores de IL-1 e IL-6 
 HD diaria 
 Erradicación de infecciones persistentes: 
- Chlamidia Pneumoniae 
- Helicobacter Pilori
GRACIAS 
antomadrid@hotmail.com

Sarcopenia,obesidad y aterosclerosis

  • 1.
    Obesidad, Sarcopenia yAterosclerosis “Sindrome Malnutrición-Inflamación”  Dr. Ángel Antonio Pineda Madrid  Geriatra  Cardiología Geriatrica
  • 2.
    La Migración yLa Obesidad  Es cada vez más frecuente que los alimentos de la región con alto contenido nutricio , como los son los frijoles, los ayotes, zanahorias, las tortillas de maíz y sus derivados sean desplazados por sopas instantáneas que no aportan ningún valor nutrimental al organismo.  http://www.oem.com.mx/esto/notas/n1120 077.htmmo humano.
  • 3.
    La Migración yla Obesidad La cultura culinaria y gastronómica de los migrantes se ve expuesta al regreso de migrantes hacia sus lugares de origen.
  • 4.
    La Migración yla Obesidad  "Al no producir suficientes productos en el campo, provoca la emigración de los habitantes de las comunidades hacia las ciudades, quienes aprenden a hacer una dieta diferente a la que tenían en sus lugares de origen"
  • 5.
    Mortalidad en laMigración  "La gran mayoría de los migrantes presentan un bajo perfil escolar, por lo que una vez adquiridos los nuevos hábitos alimenticios, será difícil hacer una trasgresión que convierta estas costumbres".
  • 13.
    Percentage of U.S.Adults Who Were Obese or Had Diagnosed Diabetes Obesity (BMI ≥30 kg/m2) 2008 No Data <14.0% 14.0-17.9% 18.0-21.9% 22.0-25.9% 26.0% Diabetes 2008 Centers for Disease Control and Prevention: National Diabetes Surveillance System. 1994 Available online at: http://apps.nccd.cdc.gov/DDTSTRS/default.aspx. Accessed 10/3/2011. 1994 2000 2000 No Data <4.5% 4.5-5.9% 6.0-7.4% 7.5-8.9% ≥9.0%
  • 15.
    SARCOPENIA  RaízGriega:  “sarco” = carne, músculo  “penia” = deficiencia, disminución  Definición:  Síndrome Caracterizado por la Pérdida progresiva y gradual de  Masa, fuerza y funcionalidad del músculo esquelético  Relacionada con el proceso del envejecimiento  Que contribuye al daño y a la dependencia funcional
  • 18.
    El diagnóstico sebasa en el criterio 1 + el 2 o el 3 Disminución de: 1. Masa muscular 2. Fuerza muscular 3. Rendimiento físico
  • 19.
    Caquexia z Condiciónen la que co-existe una pérdida de grasa y MLG + pérdida acelerada de músculo esquelético dentro del contexto: “Respuesta Inflamatoria Crónica”  Enfermedades Crónicas en Etapa Terminal:  Cáncer  SIDA  Insuficiencia Cardiaca Congestiva  Artritis Reumatoide  Tuberculosis  EPOC  Enfermedad de Crohn  Ancianos  Desnutrición avanzada  Disfunción Inmune  Infecciones severas: sepsis Roubenoff R et al. Standardization of nomenclature of body composition in weight loss. Am J Clin Nutr 1997; 66:196.
  • 38.
    Cambios en laComposición Corporal  ↑ Tejido graso  ↓ Tejido Magro  ↓ Tejido Mineral Óseo  ↑ ECV, Obesidad, Resistencia a la insulina, DM II  ↑ Sarcopenia, osteopenia, osteoporosis  ↑ incapacidad física, mayor riesgo a caídas, fracturas, > costos por hospitalización, > riesgo de complicaciones
  • 39.
    MARCADORES DE MALNUTRICIÓN(ALBUMINA) E INFLAMACIÓN (PCR) PREDICEN LA MORTALIDAD
  • 40.
    CITOQUINAS PROINFLAMATORIAS ESTAN ELEVADAS EN IRCT Y PREDICEN LA MORTALIDAD
  • 41.
    MIELOPEROXIDASA (MPO) : ENLACE ENTRE EL ESTRESS OXIDATIVO, DISFUNCIÓN ENDOTELIAL E INFLAMACIÓN?  MPO (UNA DE MAS ABUNDANTES GLUCOPROTEINAS DEL FAGOCITO) ES SECRETADA POR LOS NEUTRÓFILOS ACTIVADOS DURANTE LA DIFERENCIACIÓN MIELOIDE. PARTICIPA EN DEFENZA INMUNE DEL ORGANISMO.  MPO GENERA SERIE DE OXIDANTES DIFUSIBLES Y ES CAPAZ DE INICIAR LA PEROXIDACIÓN LIPIDICA.  LOS OXIDANTES PRODUCIDOS POR MPO CONTRIBUYEN AL INCREMENTO DEL ESTRESS OXIDATIVO EN IRCT.  EL ÓXIDO NÍTRICO (NO) MODULA LA ACTIVIDAD CATALÍTICA DE MPO Y SIRVE COMO SUBSTRATO FISIOLÓGICO PARA MPO.
  • 42.
    ROL HIPOTÉTICO DEMPO EN GÉNESIS DE ATEROESCLEROSIS ESTÍMULO INFLAMATÓRIO OTROS FACTORES (VIT E) SECRECIÓN DE MPO USO DE NO COMO SUBSTRATO ACTIVIDAD ANTIMICROBIANA GENERACIÓN DE OXIDANTES DIFUSIBLES E INICIO DE PEROXIDACIÓN LIPIDICA ATEROESCLEROSIS ACELERADA ACTIVACIÓN DE NEUTRÓFILOS
  • 43.
    Características  Estrésoxidativo  Pérdida de nutrientes a través de la diálisis  Hiporexia  Toxinas urémicas  Elevación de citoquinas inflamatorias  Sobrecarga de volumen  Hiperfosfatemia  Subdiálisis, entre otros.
  • 44.
    Resistencia a laeritropoyetina  Promueve la enfermedad aterosclerótica, disminuyendo la calidad de vida e incrementando el tiempo de internación y la mortalidad.  Este síndrome origina un bajo índice de masa corporal, hipocolesterolemia, sarcopenia e hipocreatininemia, e hipohomocisteinemia, paradójicamente incrementando el riesgo cardiovascular
  • 45.
    Stenvinkel y col1han definido dos formas de presentación de la MCP:  Tipo 1:  Sin inflamación  Caracterizado por ligera hipoalbuminemia  Proteína C reactiva (PCR) normal  Ingesta calórico-proteica disminuida por la uremia  Gasto energético en reposo normal  Stress oxidativo aumentado y que de modo característico responde a la suplementación nutricional
  • 46.
    Stenvinkel y col1han definido dos formas de presentación de la MCP:  Tipo 2:  Con inflamación, llamado SCMI  Con una disminución marcada de la albumina sérica  PCR aumentada  Ingesta calórico-proteica normal o disminuida por la inflamación  Gasto en reposo elevado  Stress oxidativo marcadamente elevado y que no suele responder a los suplementos nutricionales.
  • 47.
    Los pacientes conenfermedad renal crónica (ERC), con o sin HD  A menudo presentan calcificación ectópica debido a la elevación del producto fosfocálcico y de la PTH, con calcificación en parches del miocardio, lo que puede provocar fibrosis intersticial.  La microcalcificación cardíaca difusa puede desencadenar una insuficiencia cardíaca intratable y arritmias malignas, lo que se ha denominado stone-heart syndrome.
  • 48.
    Papel de laAdiponectina  Existen pocos datos sobre los niveles de adiponectina en pacientes en HD crónica.  Recientemente, Drechsler y col. describieron en pacientes con ERC el riesgo de acuerdo a las modificaciones séricas de la adiponectina, y a pesar de que algunos trabajos mostraron un rol protector de la adiponectina en la ECV, otros han observado el fenómeno opuesto.
  • 49.
    Epidemiología Reversa El SCMI lleva a anemia refractaria, bajo IMC, niveles disminuidos de colesterol, creatinina y homocisteína, incrementando así el riesgo cardiovascular (epidemiología reversa).
  • 50.
    Epidemiología en Reversa  La hipohomocisteinemia (homocisteínas en el cuartil más bajo de sus niveles sanguíneos, < 5 μmol/l) se asocia a mayores índices de hospitalización y de mortalidad.  El riesgo de muerte en este subgrupo es dos veces mayor e independiente de la hipoalbuminemia.  La razón de esta aparente paradoja se basaría en que los pacientes con hipohomocisteinemia presentan un estado nutricional más deteriorado.
  • 51.
     Se hademostrado que en pacientes con ERC existe una correlación inversa entre el IMC y la mortalidad, fenómeno conocido como paradoja de la obesidad.  En pacientes en HD la obesidad parece conferir un rol protector, ya que muestran un mejor perfil nutricional a pesar de la frecuente disfunción diastólica y sistólica en este grupo.
  • 52.
     Estos cambiosocurren independientemente del estado nutricional.  La hipoalbuminemia es un marcador de inflamación más que de desnutrición, y cuando uno la observa hay que identificar su causa y revertirla.
  • 53.
     La inflamacióncrónica se caracteriza por un incremento plasmático en los niveles de citoquinas proinflamatorias como IL-1, IL-6, TNF-alfa, etc., y descenso de citoquinas antiinflamatorias como IL-10.
  • 54.
     Los altosniveles de citoquinas proinflamatorias se relacionan con la gravedad y progresión de las placas ateroscleróticas y están asociadas con un incremento en la malnutrición calórico-proteica y la morbimortalidad.
  • 55.
     Las causasde inflamación en la ERC son múltiples:  Disminución del clearance de citoquinas inflamatorias, disminución de los niveles de sustancias antioxidantes, mayor número de infecciones, periodontitis, aumento en el número de endotoxinas circulantes, calcificaciones vasculares, AGEs, stress oxidativo, enfermedades inflamatorias coexistentes.
  • 56.
    IL-6 ES LACITOQUINA PROATEROGÉNICA  EN RATONES LA INFUSIÓN DE IL-6 INDUCE LA ATEROESCLEROSIS  IL-6 ALTERA LA SENSIBILIDAD A LA INSULINA Y LA FUNCIÓN ENDOTELIAL  HAY INCREMENTO DE LA EXPRECIÓN DE IL-6 EN LA FASE FIBROSA DE LA PLACA ATEROMATOSA  IL-6 ES EL ESTIMULADOR PRIMARIO DE SICAM-1, QUE REGULA LOS PROCESOS DE ATRACCIÓN Y MIGRACIÓN DE LOS LEUCOCITOS A TRAVÉS DE LA PARED ENDOTELIAL
  • 57.
    EFECTOS DE IL-6EN EL ESTADO NUTRICIONAL IL-6 ACTUA SINÉRGICAMENTE CON TNF-a E IL-1 EN REGULAR EL RNAm DE ALBUMINA E INHIBIR LA SINTESIS DE ALBUMINA IL-6 PUEDE INHIBIR EL APETITO DIRECTA- O INDIRECTAMENTE (S-LEPTINA?)
  • 58.
    Como evitar laAterosclerosis?  Estilo de Vida  Alimentación  Ejercicio  Suplementos Alimentarios
  • 60.
    INHIBICIÓN DE FN-KbES LA RAZON DEL BENEFICIO DE ESTATINAS, IECA Y VITAMINA E ESTATINAS IECA VITAMINA E La inhibición de la expresión de selectina E por fluvastatina se relaciona a bloqueo de FN-kB (Meroni et al Arthritis Rheum 2001) Bloqueo de angiotensina inhibe la actividad de FN-kB (Yoshiyama et al. J Mol Cell Cardiol 2001) Succinato de alfa-tocoferol inhibe la activación de FN-kB (Nakamura et al. Biofactors 1998)
  • 61.
    INFLAMACIÓN: ESTATINAS (Circulation,2001; 103:1191 – 3) IECA (J Am Coll Cardiol. 1999;34:2061 – 7) VITAMINA E (Free Radic Biol med, 2000;29:290) STRESS OXIDATIVO ESTATINAS (J Clin Invest. 2001;108:1429 – 37) IECA (Circulation. 2001;104:1571- 4) VITAMINA E (Atherosclerosis. 2000;150:129 – 34) DISFUNCIÓN ENDOTELIAL ESTATINAS (J Am Coll Cardiol. 2000;36:410 – 6) IECA (J Am Coll Cardiol, 1999;34:140 – 5) VITAMINA E (J Am Coll Cardiol. 2000;36:34 – 102)
  • 62.
    POSIBLE TRATAMIENTO DELSINDROME MIA:  Rosiglitazona  Talidomida y otros bloqueadores de TNFa  Modificación nutricional: - soya  Bloqueadores de los receptores de IL-1 e IL-6  HD diaria  Erradicación de infecciones persistentes: - Chlamidia Pneumoniae - Helicobacter Pilori
  • 63.