COMPROMISO DEL SNC EN
  PACIENTES CON SIDA

       Profesor Dr Marcelo Corti
      Jefe División “B” HIV/sida
 Hospital de Enfermedades Infecciosas
           Francisco J. Muñiz
COMPROMISO DEL SNC EN EL SIDA

Neurotropismo del Propio Retrovirus
     ENCEFALOPATIA / DEMENCIA
 Compromiso de la Inmunidad Celular
    INFECCIONES OPORTUNISTAS
             TUMORES
      Síndromes Neurológicos de
        Reconstitución Inmune
     LEMP, CRIPTOCOCOSIS, TBC
COMPROMISO DEL SNC EN LA
ENFERMEDAD DEBIDA AL HIV y SIDA
                  PREVALENCIA
              30 a 70 % de los casos
             60 a 75 % en autopsias
2da. causa de internación en pacientes con SIDA
             1ra. causa de mortalidad
       ELEVADA MORBIMORTALIDAD


  Collazos J. Opportunistic infections of the CNS in
  patients with AIDS. CNS Drugs 2003; 17:869-887.
ENFERMEDADES PREVALENTES
           AÑOS 1997 – 2004
           (1809 internaciones)

        512 casos
30%


25%

                            313 casos
20%
                                          220 casos
15%
                                                          145 casos      139 casos
10%


5%


0%
      TBC           Neumonías           PCP       Criptococosis   Toxoplasmosis
                    Bacterianas
COMPROMISO DEL SNC EN LA
  ENFERMEDAD HIV/SIDA
• CON CD4 (+) < 200 cel/mm3
          Toxoplasmosis
          Criptococosis
          Encefalopatía HIV-1
• CON CD4 (+) < 100 cel/mm3
          LEMP
          Linfomas primarios del SNC (LPSNC)
• CON CD4 (+) < 50 cel/mm3
          CMV
          Enfermedad de Chagas
• CON CUALQUIER NIVEL DE CD4 (+)
          Neurosífilis
COMPROMISO DEL SNC EN EL SIDA
 INFECCIONES OPORTUNISTAS
  Frecuentes
      CRIPTOCOCOSIS (M/E)
      TOXOPLASMOSIS (abscesos)
      LEMP
  Menos comunes
      ENFERMEDAD DE CHAGAS (M/E, abscesos)
      TBC (M/E; tuberculomas; abscesos)
      CMV / HSV / HVZ / HHV-6
  Raras
      ASPERGILOSIS
      NOCARDIOSIS
      HISTOPLASMOSIS
COMPROMISO DEL SNC EN EL SIDA
 INFECCIONES OPORTUNISTAS


COMPROMISO   LESIONES DE MASA
FOCAL        CEREBRAL OCUPANTE




COMPROMISO   MENINGOENCEFALITIS
DIFUSO
COMPROMISO DEL SNC EN EL SIDA

   MENINGOENCEFALITIS


     Cryptococcus neoformans
    Mycobacterium tuberculosis
        Trypanosoma cruzi
         Citomegalovirus
            Neurolúes
CRIPTOCOCOSIS
CRIPTOCOCOSIS y SIDA

  4ta. I.O. grave en frecuencia
(TBC, Neumonías bacterianas, PCP)

  Cryptococcus neoformans var
     neoformans serotipo A

     Tasas de antigenemia y
antigenorraquia 100 veces > que en
              HIV (-)
CRIPTOCOCOSIS y SIDA

 •   Enfermedad diseminada
 •   Compromiso multiorgánico
 •   Evolución aguda o subaguda
 •   Frecuente compromiso de SNC
 •   Pronóstico siempre grave
 •   Escasa respuesta a antifúngicos
 •   Altas tasas de recaídas
CRIPTOCOCOSIS y SIDA

 LCR directo (+) > 80% de casos

 LCR cultivo (+) 90% de casos

 Hemocultivos (+) > 60% de casos

 Antigenemia (+) > 95% de casos

 Antigenorraquia (+) > 90% de casos (similar al
  cultivo)
LCR – TINTA CHINA POSITIVA
CRIPTOCOCOSIS - SEUDOQUISTES
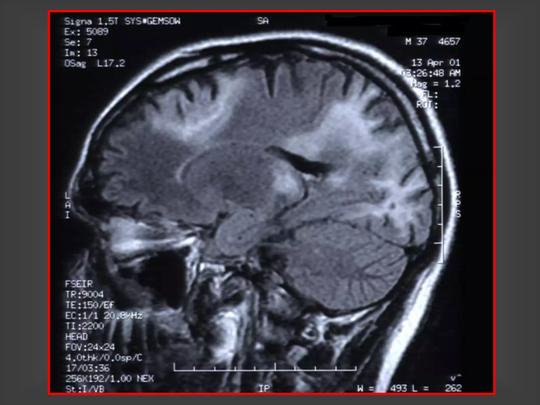
CRIPTOCOCOSIS / RM / ESPECTROSCOPIA
          NAA          Cho
PSEUDOQUISTES + CRIPTOCOCOMA
PSEUDOQUISTES GELATINOSOS
PSEUDOQUISTES - CRIPTOCOCOMAS
CRIPTOCOCOS EN LCR
  CRIPTOCOCOMAS




GROCOTT      PAS
TBC DEL SNC EN EL SIDA

    1) MENINGOENCEFALITIS


       2) TUBERCULOMAS


    3) ABSCESOS DE CEREBRO
Tuberculous meningitis in HIV-infected and
        non-infected patients: a comparative study – IAS - 2005
Ambrosioni Czyrko J, Cecchini D, Brezzo C, Corti M, Rybko A, Ambroggi M.
    Infectious Diseases Hospital F. J. Muñiz, Buenos Aires, Argentina.

  Table 1. Demographic characteristics             Table 2. CSF findings

                        HIV (-)          HIV (+)                                   HIV (-)     HIV (+)    p
  n                       40              101      CSF cell count (cell/ml)*        167           47     <0.05
  age (median)            32               33      CSF pleocytosis (>5 cells/ml)    98%          80%     <0.05
  male                   53%              69%      CSF proteins (g/l)*              1.15         0.77    <0.05
                                                   * median




            Figure 2. Global mortality                              Figure 1. Multirresistant strains

                                                              50%
      80%
                                                              40%
      60%                                                     30%
      40%                                                     20%
      20%                                                     10%
      0%                                                      0%
              HIV (+)          HIV (-)                                   HIV (+)             HIV (-)
TUBERCULOMAS DEL SNC
ABSCESO TBC DE CEREBRO / SIDA
ABSCESO TBC DE CEREBRO
ABSCESO TBC DE CEREBRO - POSOPERATORIO
ABSCESO TBC COMO SIRI
Corti M y col. IJTLD 2006
COMPROMISO DEL SNC EN EL
         SIDA


  MENINGOENCEFALITIS
    POR HERPESVIRUS
LESIONES CEREBRALES EN
           SIDA

             DIAGNÓSTICO
          ESTUDIO DEL LCR
             NEUROVIRUS

• SÍNTESIS  INTRATECAL DE ANTICUERPOS
        (HSV-HVZ-CMV-HHV-6-VEB)
   •   PCR (HSV-HVZ-CMV-HHV-6-VEB)
METODOLOGÍA DIAGNÓSTICA PARA
EL ESTUDIO DEL COMPROMISO DEL SNC POR
HERPES VIRUS EN PACIENTES CON HIV/SIDA

    UNIDAD 10, DIVISIÓN “B” y LABORATORIO DE
 VIROLOGÍA, HOSPITAL F. J. MUÑIZ, BUENOS AIRES
 VIII CONGRESO ARGENTINO DE VIROLOGÍA (Abstract 10707)


• 272 pacientes
• Meningitis, encefalitis, poliradiculitis, mielitis, retinitis
• 245 PCR-Multiplex Herpes virus
• 180 Síntesis intratecal de atcs (muestras pareadas de
suero)
PCR en LCR para HERPES VIRUS
  245 muestras 30 (+): 12,2%
     70%
70

60

50

40

30
            16,7%
20                  13,3%
                             6,7%
10                                          3,3%     3,3%

 0
      CMV     VZV     EBV   coinfecciones    HSV-2    HHV-6
COMPROMISO DEL SNC
POR CITOMEGALOVIRUS

1) MENINGOENCEFALITIS

  2) MIELITIS AGUDA
     NECROTIZANTE

 3) POLIRRADICULITIS
      ASCENDENTE
MENINGOENCEFALITIS POR CMV
       DIAGNÓSTICO
  LCR: Hiperproteinorraquia, Hipoglucorraquia,
           Pleocitosis con 50% PMN
      Síntesis intratecal de atcs antiCMV
                  PCR en LCR
 RMN: leucoencefalopatía con periventriculitis y
ventriculitis. Refuerzo del contraste en epéndimo
              y región subependimaria.
     Biopsia: necrosis + células de inclusión
PERIVENTRICULITIS POR CMV -
            RM
HHV-6: MANIFESTACIONES
    CLÍNICAS EN PACIENTES HIV +

   MENINGOENCEFALITIS AGUDA
   MIELITIS AGUDA
   SÍNDROME FEBRIL CON CITOPENIAS
   NEUMONITIS
   RETINITIS
   LINFOMAS No HODGKIN
   COFACTOR EN LA PROGRESIÓN A SIDA
MENINGOENCEFALITIS POR
         HHV-6
            FIEBRE

CONVULSIONES (1/3 DE LOS CASOS)

     SÍNDROME MENÍNGEO

LCR CON HIPERPROTEINORRAQUIA,
   PLEOCITOSIS MONONUCLEAR
MENINGOENCEFALITIS POR
HHV-6 / NEUROIMÁGENES

  COMPROMISO DEL LÓBULO
         TEMPORAL



 LESIONES COMPATIBLES CON
         VASCULITIS
ENCEFALITIS POR HHV – 6
ENCEFALITIS POR HHV – 6 / PCR + LCR
MENINGOENCEFALITIS POR
  HHV-6 / DIAGNÓSTICO
               PCR EN LCR




    AMPLIFICACIÓN DEL DNA-HHV-6

Enferm Infecc Microbiol Clin 2004; 22: 150-
                     5
      AIDS Read 1999; 9: 198-221
Patient 1             Patient 2              Patient 3          Patient 4          Patient 5


      Gender                  Female                  Male                  Male               Male               Male

        Age                     55                     30                    42                 43                 37

 Risk factor for HIV            IDU               Homosexual             Heterosexual        Bisexual              IDU
      infection
    Opportunistic           Meningeal              Meningeal              Meningeal        Disseminated       Disseminated
     diseases             cryptococcosis          tuberculosis          cryptococcosis      tuberculosis      tuberculosis
    Neurological        Meningeal syndrome    Meningeal syndrome      Meningeal syndrome   Encephalitis         Seizures
     Symptoms
       Fever                     +                     +                      +                 +                   +

      CD4 cell               70 cell/µL            131 cell/µL               ND             46 cell/µL         144 cell/µL
       Count
        CSF                  ↑ proteins            ↑ proteins             ↑ proteins        ↑ proteins          ↑ proteins

  PCR HHV-6 CSF                  +                     +                      +                 +                   +

    Neuroimages          MRI: cerebral and    CT: cerebral atrophy.          ND                ND          MRI: periventricular
                         cerebellar atrophy     Hipodensities in                                           lesions compatible
                                                  white matter                                                with vasculitis

HAART in the onset of
    symptoms                     --                    --                     --                --                  --

     Treatment                                                                                                Ganciclovir/
                                 --                    --                     --                --         Foscarnet + HAART

      Survival                 died                   died                   died              died        Good response to
                                                                                                               therapy
COMPROMISO DEL SNC POR
        HHV-6
          TRATAMIENTO

    GANCICLOVIR + FOSCARNET
           14 a 21 días

International Herpes Mangement Forum

     Herpes 2004; 11: 105A-111A
ENCEFALITIS POR HZV – PCR + LCR
SÍFILIS DEL SNC

 NEUROLÚES ASINTOMÁTICA


  MENINGITIS SIFILÍTICA


 SÍFILIS MENINGOVASCULAR
LESIONES
CEREBRALES FOCALES
      EN SIDA

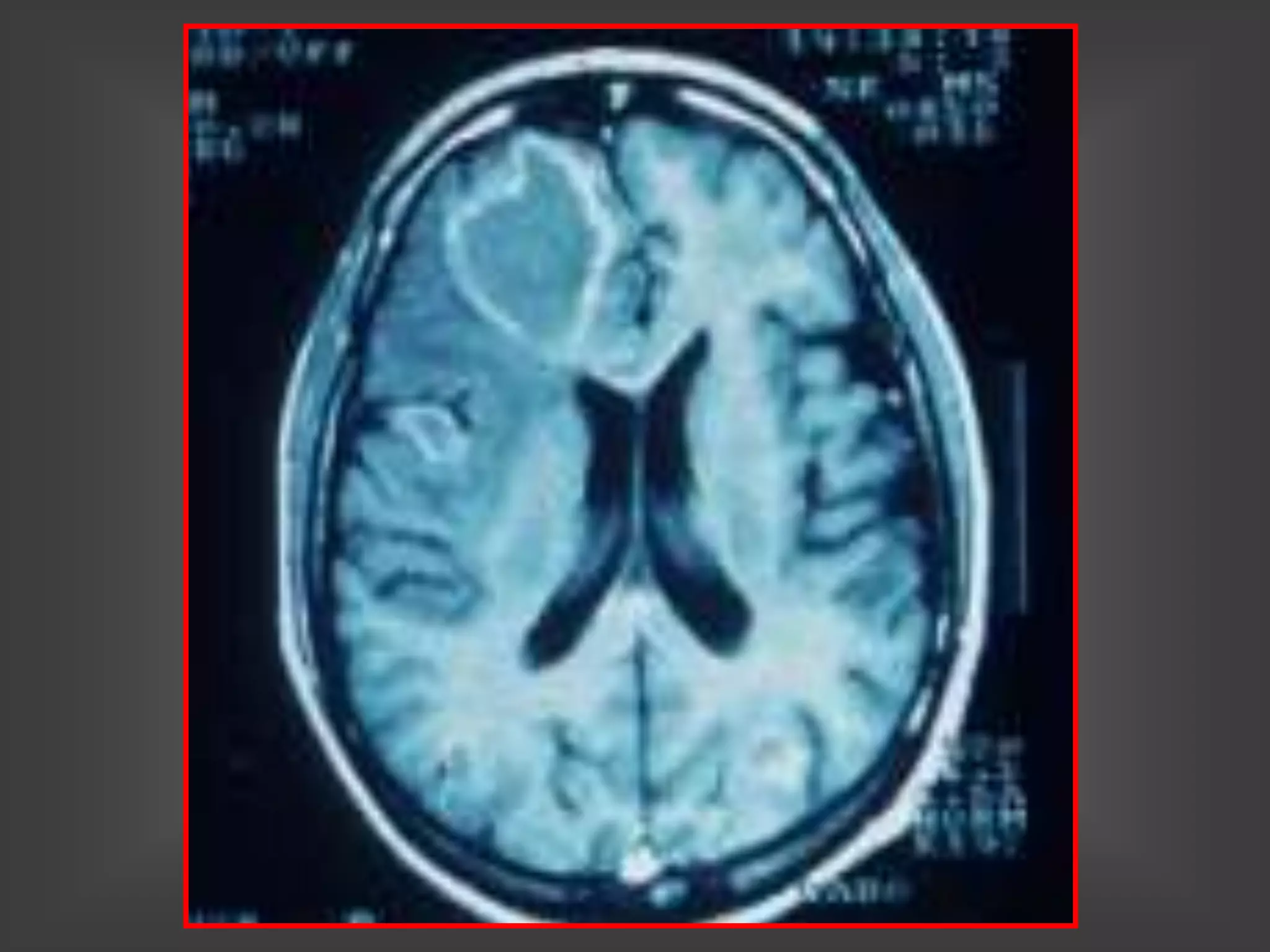
 TOXOPLASMOSIS
TOXOPLASMOSIS y SIDA



   Lesiones cerebrales focales

  Meningoencefalitis subaguda

 Encefalitis aguda difusa (rara)
TOXOPLASMOSIS y SIDA
• Incidencia: 3% a 40% en pacientes con SIDA

• Causa más frecuente de lesiones focales

• Recuento de linfocitos T CD4 (+) < 100 cél/uL

• Tratamiento empírico inicial con clínica y TAC

• Mejoría clínica en 1 a 2 semanas

• Resolución de las lesiones en 4 a 8 semanas
TOXOPLASMOSIS
 2 A 3 VECES MÁS FRECUENTE QUE LPSNC
       70 % LESIONES MÚLTIPLES


              UBICACIÓN:
       • SUSTANCIA GRIS SUBCORTICAL
         • UNIÓN CORTICO/MEDULAR
        • TÁLAMO Y GANGLIOS BASALES


 REFUERZO DEL CONTRASTE NODULAR O EN
  ANILLO, CON EDEMA Y EFECTO DE MASA
TOXOPLASMOSIS CEREBRAL-SIDA
      HALLAZGOS EN LAS NEUROIMÁGENES
1. Lesiones hipodensas con refuerzo en anillo y edema
   perilesional

2. Lesiones hipodensas sin captación del contraste con
   edema perilesional

3. Lesiones nodulares (toman el contraste en forma
   homogénea) y edema perilesional

4. Edema cerebral localizado sin lesiones focales visibles

5. TAC sin lesiones y RNM con lesiones focales

       1 y 3: 80% a 90% de las lesiones
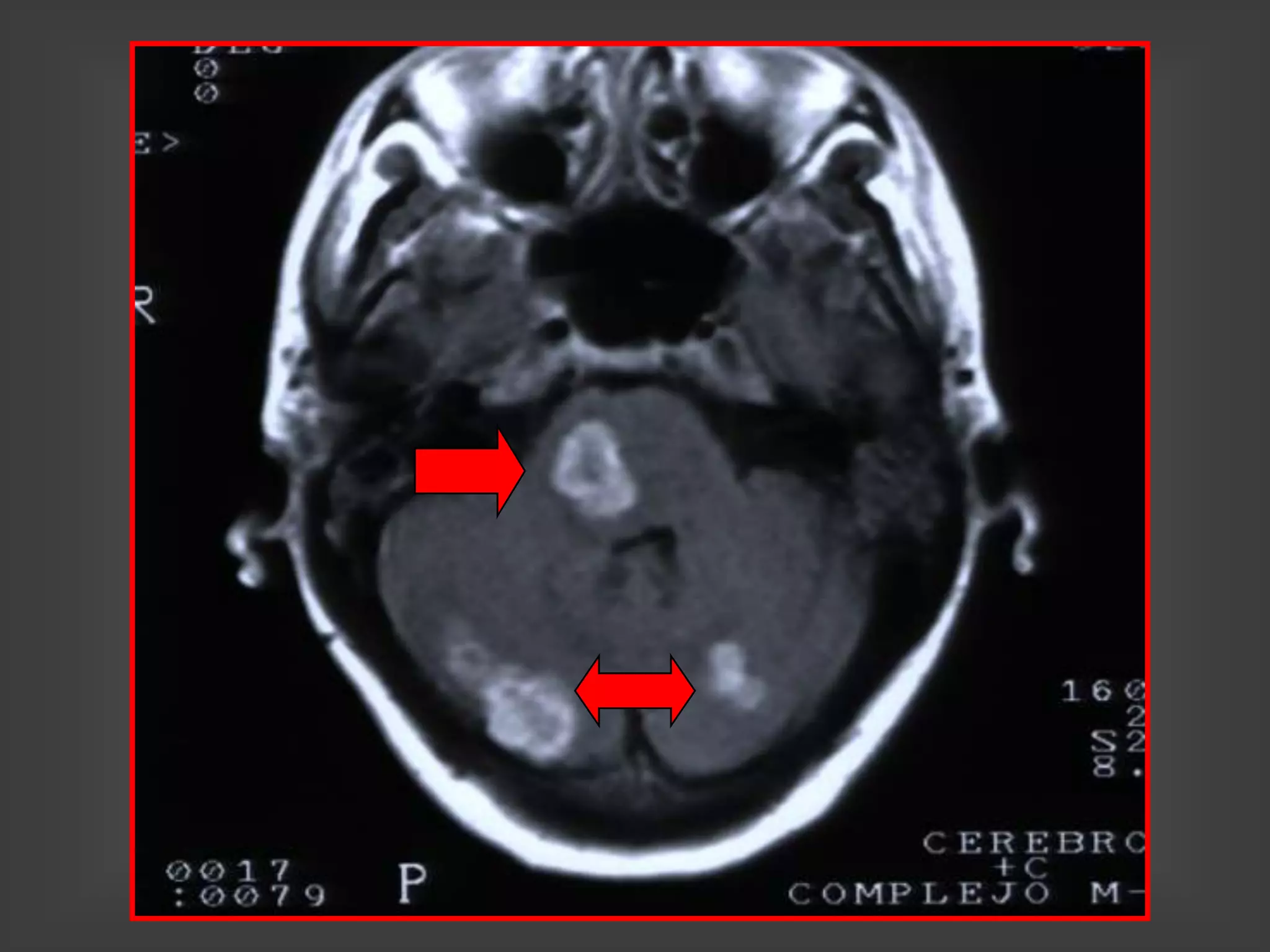
TOXOPLASMOSIS FOSA
    POSTERIOR
TOXOPLASMOSIS DE FOSA
     POSTERIOR
TOXOPLASMOSIS –T AC LESIÓN
         ÚNICA
TOXOPLASMOSIS – RNM
 LESIONES MÚLTIPLES
TOXOPLASMOSIS LESIONES
   MÚLTIPLES EN RNM
TOXOPLASMOSIS ABSCESO EN
      MESENCÉFALO
TOXOPLASMOSIS – RM – ESPECTROSCOPIA
    Cho y NAA            Lípidos
ENFERMEDAD
    de
  CHAGAS
ENFERMEDAD DE CHAGAS
              y SIDA

 Reactivación de infección latente por T. cruzi

El paciente puede estar fuera del área endémica

  Puertas de entrada: hemoderivados y ADEV

       Enfermedad HIV/SIDA avanzada
              (CD4 + < 50 cél/uL)
ENFERMEDAD DE CHAGAS
          y SIDA

ABSCESOS CEREBRALES FOCALES

MENINGOENCEFALITIS DIFUSA

AMASTIGOTES EN BIOPSIA
 CEREBRAL

TRIPOMASTIGOTES EN LCR
ENFERMEDAD DE CHAGAS
       y SIDA

      DIAGNÓSTICO

       SEROLOGÍA
      PARASITEMIA
    NEUROIMÁGENES
    ESTUDIO DEL LCR
 BIOPSIA ESTEREOTÁXICA
ENFERMEDAD DE CHAGAS
            y SIDA
              DIAGNÓSTICO


 LESIONES DE MASA CEREBRAL OCUPANTE




PARASITEMIA         SEROLOGÍA P/CHAGAS
CHAGAS DISEASE NEUROLOGICAL INVOLVEMENT AND HIV
    INFECTION IN ARGENTINA (1992-2006) - IAS – 2007
    Cordova E., Boschi A., Ambrosioni Czyrko J., Cudos C, Corti M.

Table 1. Clinical manifestations in HIV positive patients with confirmed
diagnosis of Chagas disease involving CNS

Headache                                                   11/14          79%
Fever                                                       9/14          64%
Focal neurological deficits                                 8/14          57%
Meningismus                                                 6/14          43%
Seizures                                                    6/14          43%
Altered mental status (a)                                   4/14          29%
Concomitant cardiac involvement (b)                         3/10          33%
(a) Include confusion, delirium, or a declining level of consciousness ranging
from lethargy to coma.
(b) Include signs and symptoms of acute myocarditis evaluated with
electrocardiogram and echocardiogram without a history of previous
miocardiophaty. Not confirmed by isolation of parasites in heart tissue.
CHAGAS DISEASE NEUROLOGICAL INVOLVEMENT AND HIV INFECTION IN
                    ARGENTINA (1992-2006) – IAS - 2007
           Cordova E., Boschi A., Ambrosioni Czyrko J., Cudos C, Corti M.
                                   CSF findings (n=12)
   Median (range) cell count (cell/mL):                              5            (2-90)
   Median (range) protein level (gr/L):                            0.66         (0.1-1.84)
   Median (range) glucose level (gr/L):                             0.4         (0.13-0.73)
   Trypanosoma cruzi detected by DME:                              10/12           83%

                                  Neuroimages findings
    Nº Lessions          White      Gray     Supraten    Infrate       Mass         Enhance
                         matter    matter     torial     ntorial      effect          with
                                                                                    contrast
Single: 7 (54%)
2-5: 2 (15.3%)          9 (82%)    2 (18%)    9 (82%)    2 (18%)      5 (45%)       8 (73%)

Multiple: 2 (15.3%)
Normal images: 2
(15.3%)
Supratentorial lesions include: brain lobes 09/11 (+++ frontal lobe), basal ganglia/thalamus
                              2/11, brain stern 1/11.
Infratentorial lesions include: cerebellum lobes 2/11.
CHAGOMA - ESPECTROSCOPIA
CHAGOMA CEREBRAL
 ESPECTROSCOPIA
CHAGOMA CEREBRAL
CHAGOMA CEREBRAL
CHAGOMA DE CUERPO CALLOSO
CHAGOMAS CEREBRALES
ENCEFALITIS CHAGÁSICA
   HISTOPATOLOGÍA
NOCARDIOSIS CEREBRAL
NOCARDIOSIS CEREBRAL

 ABSCESOS CEREBRALES

 ENFERMEDAD DISEMINADA (40% de casos)

 HUÉSPEDES INMUNOCOMPROMETIDOS

 Nocardia asteroides     98% de los
  casos
NOCARDIOSIS CEREBRAL

Abscesos primarios o secundarios

Únicos o múltiples, multilobulados

Supratentoriales o infratentoriales

Cefalea y signos neurológicos focales
NOCARDIOSIS CEREBRAL

            DIAGNÓSTICO




BIOPSIA ESTEREOTÁXICA     CULTIVOS
NOCARDIOSIS CEREBRAL
NOCARDIOSIS CEREBRAL-
  KINYOUN POSITIVA
NOCARDIOSIS CEREBRAL
      (pos-tto)
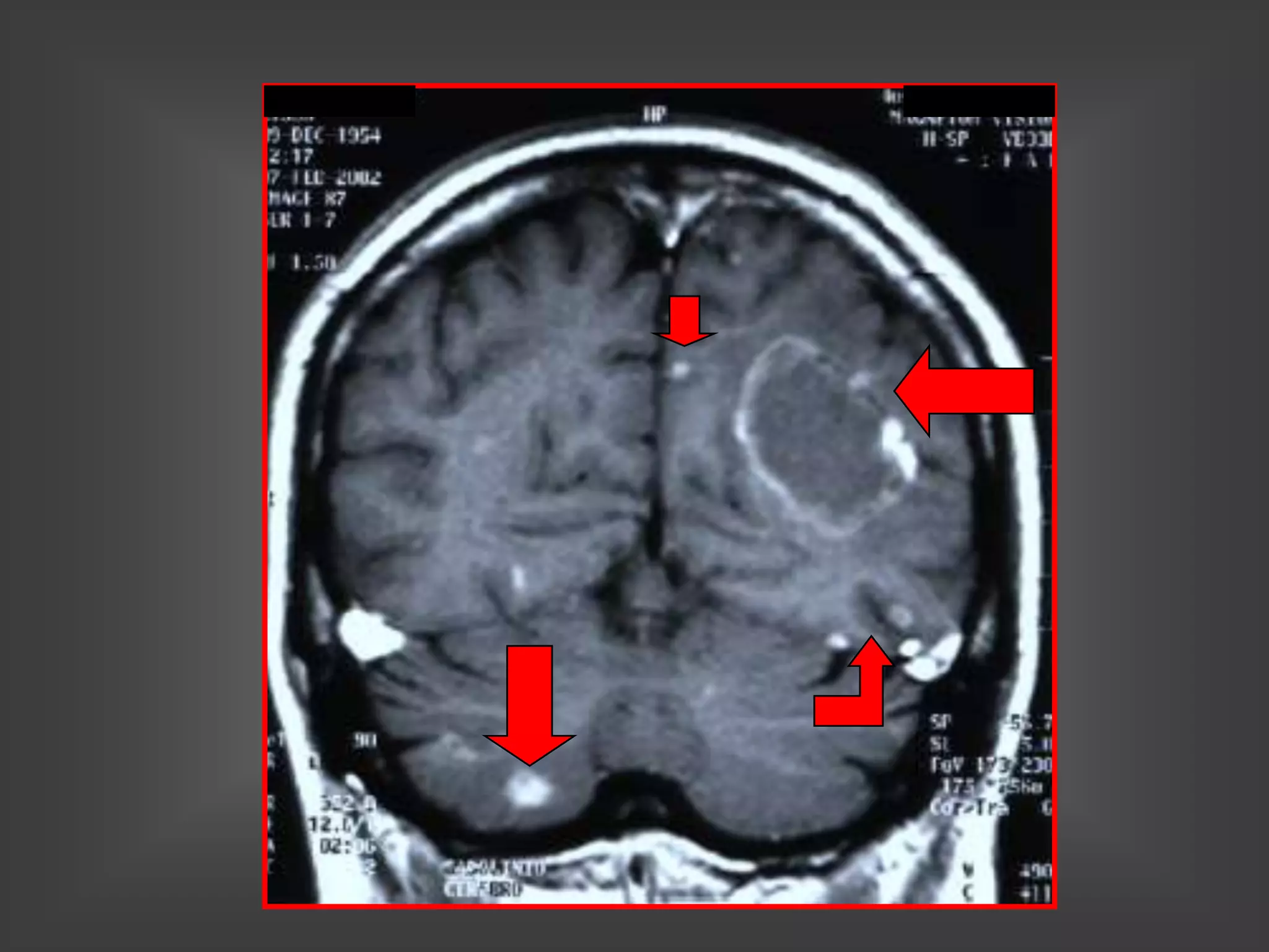
LEUCOENCEFALOPATÍA
MULTIFOCAL PROGRESIVA
        (LEMP)
COMPROMISO DEL SNC EN EL
            SIDA
LESIONES DE LA SUSTANCIA BLANCA

                  LEMP
    Lóbulos parietooccipitales de ambos
                hemisferios
 Compromiso de fibras subcorticales en “U”
  1/3 de casos tienen compromiso de fosa
                 posterior
   En 5% a 10% el compromiso de fosa
    posterior es la única manifestación
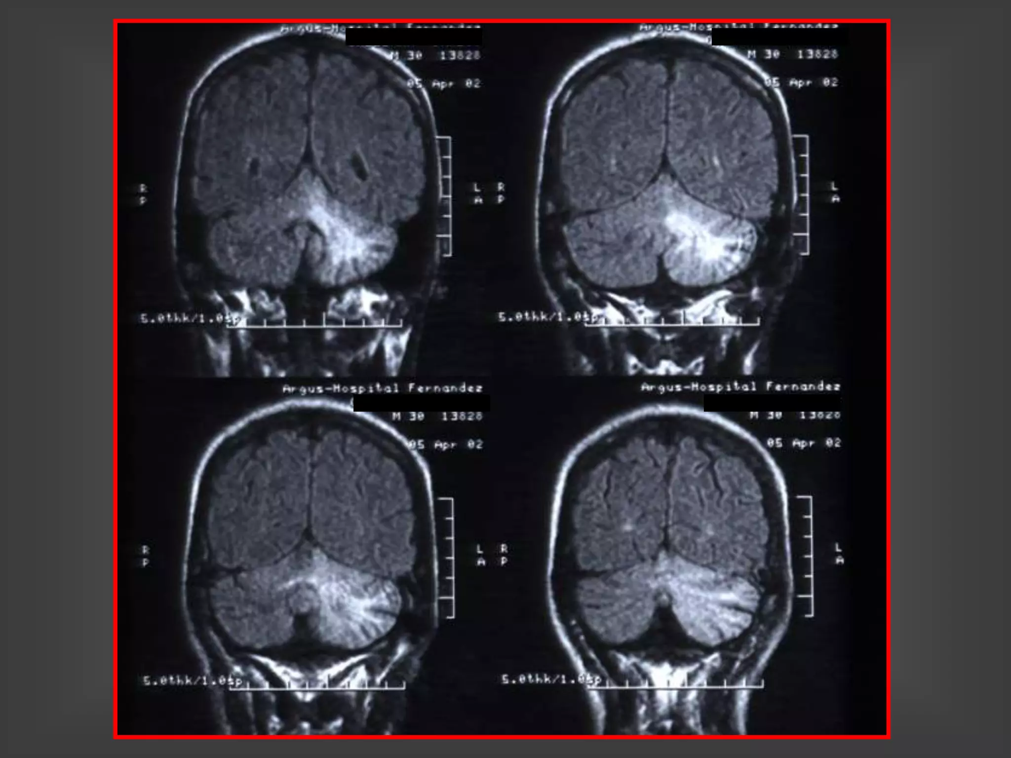
LEMP FOSA POSTERIOR
       RNM T1
LEMP CEREBELO RNM T2
Lesiones cerebrales focales en sida
              LEMP

        ESTUDIO DEL LCR

  PCR para DNA JCV (42 a 85% de
sensibilidad; 90 a 100 % de especificidad)

     Carga viral para VJC en LCR
DIAGNOSIS OF PML AMONG AIDS PATIENTS:
CLINICAL SENSITIVITY OF A COMMERCIAL PCR
 ASSAY FOR THE DETECTION OF JCV-DNA IN
           CEREBROSPINAL FLUID
• 25 SAMPLES OF CSF OF PATIENTS WITH
 CLINICAL AND RADIOLOGICAL FINDINGS
                 OF PML

 • JCV-DNA + : 12/25 (all with neuroimaging
             criteria for PML)


                 • SENSITIVITY: 48%
         Mamanna, Corti M, Trione N, Metta H, Bouzas MB.
23rd Annual Clinical Virology Symposium and Annual Meeting of the Pan
    American Society for Clinical Virology. April 29 – May 02, 2007.
                     Clearwater Beach, Florida, EE.UU.
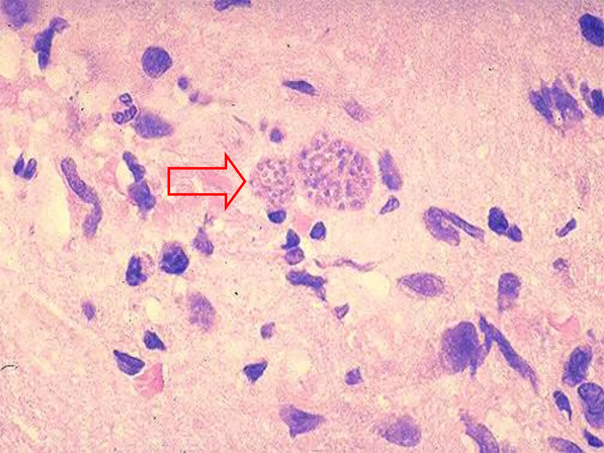
LEMP: Oligodendrocito con un cuerpo de
         inclusión intranuclear
LEMP: OLIGODENDROCITOS CON CUERPOS DE
              INCLUSIÓN
LEMP PSEUDOTUMORAL - SIRI
LEMP PSEUDOTUMORAL - SIRI
POSTTO – CORTICOIDES - TARGA
UTILIDAD DE LA BIOPSIA
   ESTEREOTÁXICA EN EL
    DIAGNÓSTICO DE LAS
    LESIONES CEREBRALES
   FOCALES EN PACIENTES
         CON SIDA
Hospital de Enfermedades Infecciosas F. J. Muñiz GCABA
MATERIALES y MÉTODOS
 83 procedimientos;

 Enero de 1999 a Mayo 2007;

 Pacientes con lesiones cerebrales ocupantes
  por TC o RM;

 Sin respuesta al tratamiento empírico para
  toxoplasmosis (2 a 4 semanas);

 Con lesiones cuyas características en las
  neuroimágenes sugerían otro diagnóstico.
CIRUGÍA ESTEREOTÁCTICA
      BIOPSIA CEREBRAL


Procedimiento mínimamente invasivo

Máxima eficacia

Mínima morbilidad
BIOPSIA ESTEREOTÁCTICA
          CEREBRAL

• Primer paso: colocación del marco
  referencial.
• Segundo paso: adquisición de imágenes
  (TC, RMN).
• Tercer paso: planificación.
• Cuarto paso: transferencia de datos y
  biopsia.
1er. Paso: Colocación del Marco
2do. Paso: Adquisición de Imágenes
3er. Paso: Planificación
4to. Paso: Transferencia de Datos y
              Biopsia
TOMA DE MUESTRAS e
    IMPRONTA
El área de mayor rendimiento diagnóstico es
  la zona de mayor captación de contraste
BIOPSIAS ESTEREOTÁXICAS
Experiencia Htal. Muñiz – División B – 1999/2007

                                  N°          %
LEMP                              24     28,90%
LPSNC                             19     22,90%
Toxoplasmosis                     13     15,70%
Incaracterísticos                 8       9,60%
Neoplasias no marcadoras (*)      7       8,40%
TBC                               4       4,80%
Nocardia                          3       3,60%
Chagas                            2       2,40%
Histoplasmosis                    1       1,20%
VVZ                               1       1,20%
CMV                               1       1,20%
Total                             83    100,00%
                                       (*) gliomas (6) y LH (1)
CONCLUSIÓN I
• Rédito diagnóstico:
                75 biopsias (90,3%)

• Hallazgos incaracterísticos:
                 8 biopsias (9,6%)

•   Morbiletalidad:
                   2 pacientes (2,4%)
CONCLUSIÓN II
  La biopsia cerebral estereotáctica
 efectuada precozmente resultó ser un
    método que permitió alcanzar el
   diagnóstico etiológico y adecuar el
enfoque terapéutico en la mayoría de los
 pacientes de esta serie. Constituye un
método efectivo, seguro y mínimamente
invasivo para pacientes con enfermedad
    HIV/sida avanzada con lesiones
           cerebrales focales.
EN PACIENTES CON SIDA
 RECORDAR SIEMPRE QUE
        PUEDEN
  COEXISTIR MAS DE UN
   AGENTE ETIOLÓGICO
TOXOPLASMOSIS - SIDA
CHAGOMA CEREBRAL
TRIPOMASTIGOTES EN LCR
LESIONES CEREBRALES
     FOCALES EN SIDA


     DIFICULTADES PARA EL
          DIAGNÓSTICO

¿POR QUÉ LAS NEUROIMÁGENES NO
    SIEMPRE SON SUFICIENTES ?
TOXOPLASMOSIS
TOXOPLASMOSIS CEREBRAL
LPSNC - SIDA
LPSNC - SIDA
CHAGOMA CEREBRAL - SIDA
ENCEFALITIS CHAGÁSICA - SIDA
MENINGIOMA DE LA TIENDA
  DEL CEREBELO – HIV+
MENINGIOMA DE LA TIENDA
  DEL CEREBELO – HIV +
MENINGIOMA DE LA TIENDA
  DEL CEREBELO – HIV +
GLIOSARCOMA – HIV +
GLIOSARCOMA – HIV +
GLIOSARCOMA - TUMOR
FUSOCELULAR CON ATIPÍAS
GLIOSARCOMA – VIMENTINA +
ADENOMA DE HIPÓFISIS – HIV +
ADENOMA DE HIPÓFISIS – HIV +
GRACIAS!!!

Sida snc i.o_oct_2010 corti

  • 1.
    COMPROMISO DEL SNCEN PACIENTES CON SIDA Profesor Dr Marcelo Corti Jefe División “B” HIV/sida Hospital de Enfermedades Infecciosas Francisco J. Muñiz
  • 3.
    COMPROMISO DEL SNCEN EL SIDA Neurotropismo del Propio Retrovirus ENCEFALOPATIA / DEMENCIA Compromiso de la Inmunidad Celular INFECCIONES OPORTUNISTAS TUMORES Síndromes Neurológicos de Reconstitución Inmune LEMP, CRIPTOCOCOSIS, TBC
  • 4.
    COMPROMISO DEL SNCEN LA ENFERMEDAD DEBIDA AL HIV y SIDA PREVALENCIA 30 a 70 % de los casos 60 a 75 % en autopsias 2da. causa de internación en pacientes con SIDA 1ra. causa de mortalidad ELEVADA MORBIMORTALIDAD Collazos J. Opportunistic infections of the CNS in patients with AIDS. CNS Drugs 2003; 17:869-887.
  • 5.
    ENFERMEDADES PREVALENTES AÑOS 1997 – 2004 (1809 internaciones) 512 casos 30% 25% 313 casos 20% 220 casos 15% 145 casos 139 casos 10% 5% 0% TBC Neumonías PCP Criptococosis Toxoplasmosis Bacterianas
  • 7.
    COMPROMISO DEL SNCEN LA ENFERMEDAD HIV/SIDA • CON CD4 (+) < 200 cel/mm3 Toxoplasmosis Criptococosis Encefalopatía HIV-1 • CON CD4 (+) < 100 cel/mm3 LEMP Linfomas primarios del SNC (LPSNC) • CON CD4 (+) < 50 cel/mm3 CMV Enfermedad de Chagas • CON CUALQUIER NIVEL DE CD4 (+) Neurosífilis
  • 8.
    COMPROMISO DEL SNCEN EL SIDA INFECCIONES OPORTUNISTAS  Frecuentes CRIPTOCOCOSIS (M/E) TOXOPLASMOSIS (abscesos) LEMP  Menos comunes ENFERMEDAD DE CHAGAS (M/E, abscesos) TBC (M/E; tuberculomas; abscesos) CMV / HSV / HVZ / HHV-6  Raras ASPERGILOSIS NOCARDIOSIS HISTOPLASMOSIS
  • 9.
    COMPROMISO DEL SNCEN EL SIDA INFECCIONES OPORTUNISTAS COMPROMISO LESIONES DE MASA FOCAL CEREBRAL OCUPANTE COMPROMISO MENINGOENCEFALITIS DIFUSO
  • 10.
    COMPROMISO DEL SNCEN EL SIDA MENINGOENCEFALITIS  Cryptococcus neoformans  Mycobacterium tuberculosis  Trypanosoma cruzi  Citomegalovirus  Neurolúes
  • 11.
  • 12.
    CRIPTOCOCOSIS y SIDA  4ta. I.O. grave en frecuencia (TBC, Neumonías bacterianas, PCP)  Cryptococcus neoformans var neoformans serotipo A  Tasas de antigenemia y antigenorraquia 100 veces > que en HIV (-)
  • 13.
    CRIPTOCOCOSIS y SIDA • Enfermedad diseminada • Compromiso multiorgánico • Evolución aguda o subaguda • Frecuente compromiso de SNC • Pronóstico siempre grave • Escasa respuesta a antifúngicos • Altas tasas de recaídas
  • 14.
    CRIPTOCOCOSIS y SIDA LCR directo (+) > 80% de casos  LCR cultivo (+) 90% de casos  Hemocultivos (+) > 60% de casos  Antigenemia (+) > 95% de casos  Antigenorraquia (+) > 90% de casos (similar al cultivo)
  • 15.
    LCR – TINTACHINA POSITIVA
  • 16.
  • 17.
    CRIPTOCOCOSIS / RM/ ESPECTROSCOPIA NAA Cho
  • 18.
  • 19.
  • 20.
  • 21.
    CRIPTOCOCOS EN LCR CRIPTOCOCOMAS GROCOTT PAS
  • 22.
    TBC DEL SNCEN EL SIDA 1) MENINGOENCEFALITIS 2) TUBERCULOMAS 3) ABSCESOS DE CEREBRO
  • 23.
    Tuberculous meningitis inHIV-infected and non-infected patients: a comparative study – IAS - 2005 Ambrosioni Czyrko J, Cecchini D, Brezzo C, Corti M, Rybko A, Ambroggi M. Infectious Diseases Hospital F. J. Muñiz, Buenos Aires, Argentina. Table 1. Demographic characteristics Table 2. CSF findings HIV (-) HIV (+) HIV (-) HIV (+) p n 40 101 CSF cell count (cell/ml)* 167 47 <0.05 age (median) 32 33 CSF pleocytosis (>5 cells/ml) 98% 80% <0.05 male 53% 69% CSF proteins (g/l)* 1.15 0.77 <0.05 * median Figure 2. Global mortality Figure 1. Multirresistant strains 50% 80% 40% 60% 30% 40% 20% 20% 10% 0% 0% HIV (+) HIV (-) HIV (+) HIV (-)
  • 24.
  • 25.
    ABSCESO TBC DECEREBRO / SIDA
  • 26.
  • 27.
    ABSCESO TBC DECEREBRO - POSOPERATORIO
  • 28.
    ABSCESO TBC COMOSIRI Corti M y col. IJTLD 2006
  • 29.
    COMPROMISO DEL SNCEN EL SIDA MENINGOENCEFALITIS POR HERPESVIRUS
  • 30.
    LESIONES CEREBRALES EN SIDA DIAGNÓSTICO ESTUDIO DEL LCR NEUROVIRUS • SÍNTESIS INTRATECAL DE ANTICUERPOS (HSV-HVZ-CMV-HHV-6-VEB) • PCR (HSV-HVZ-CMV-HHV-6-VEB)
  • 31.
    METODOLOGÍA DIAGNÓSTICA PARA ELESTUDIO DEL COMPROMISO DEL SNC POR HERPES VIRUS EN PACIENTES CON HIV/SIDA UNIDAD 10, DIVISIÓN “B” y LABORATORIO DE VIROLOGÍA, HOSPITAL F. J. MUÑIZ, BUENOS AIRES VIII CONGRESO ARGENTINO DE VIROLOGÍA (Abstract 10707) • 272 pacientes • Meningitis, encefalitis, poliradiculitis, mielitis, retinitis • 245 PCR-Multiplex Herpes virus • 180 Síntesis intratecal de atcs (muestras pareadas de suero)
  • 32.
    PCR en LCRpara HERPES VIRUS 245 muestras 30 (+): 12,2% 70% 70 60 50 40 30 16,7% 20 13,3% 6,7% 10 3,3% 3,3% 0 CMV VZV EBV coinfecciones HSV-2 HHV-6
  • 33.
    COMPROMISO DEL SNC PORCITOMEGALOVIRUS 1) MENINGOENCEFALITIS 2) MIELITIS AGUDA NECROTIZANTE 3) POLIRRADICULITIS ASCENDENTE
  • 34.
    MENINGOENCEFALITIS POR CMV DIAGNÓSTICO  LCR: Hiperproteinorraquia, Hipoglucorraquia, Pleocitosis con 50% PMN  Síntesis intratecal de atcs antiCMV  PCR en LCR  RMN: leucoencefalopatía con periventriculitis y ventriculitis. Refuerzo del contraste en epéndimo y región subependimaria.  Biopsia: necrosis + células de inclusión
  • 35.
  • 37.
    HHV-6: MANIFESTACIONES CLÍNICAS EN PACIENTES HIV +  MENINGOENCEFALITIS AGUDA  MIELITIS AGUDA  SÍNDROME FEBRIL CON CITOPENIAS  NEUMONITIS  RETINITIS  LINFOMAS No HODGKIN  COFACTOR EN LA PROGRESIÓN A SIDA
  • 38.
    MENINGOENCEFALITIS POR HHV-6 FIEBRE CONVULSIONES (1/3 DE LOS CASOS) SÍNDROME MENÍNGEO LCR CON HIPERPROTEINORRAQUIA, PLEOCITOSIS MONONUCLEAR
  • 39.
    MENINGOENCEFALITIS POR HHV-6 /NEUROIMÁGENES COMPROMISO DEL LÓBULO TEMPORAL LESIONES COMPATIBLES CON VASCULITIS
  • 40.
  • 41.
    ENCEFALITIS POR HHV– 6 / PCR + LCR
  • 42.
    MENINGOENCEFALITIS POR HHV-6 / DIAGNÓSTICO PCR EN LCR AMPLIFICACIÓN DEL DNA-HHV-6 Enferm Infecc Microbiol Clin 2004; 22: 150- 5 AIDS Read 1999; 9: 198-221
  • 43.
    Patient 1 Patient 2 Patient 3 Patient 4 Patient 5 Gender Female Male Male Male Male Age 55 30 42 43 37 Risk factor for HIV IDU Homosexual Heterosexual Bisexual IDU infection Opportunistic Meningeal Meningeal Meningeal Disseminated Disseminated diseases cryptococcosis tuberculosis cryptococcosis tuberculosis tuberculosis Neurological Meningeal syndrome Meningeal syndrome Meningeal syndrome Encephalitis Seizures Symptoms Fever + + + + + CD4 cell 70 cell/µL 131 cell/µL ND 46 cell/µL 144 cell/µL Count CSF ↑ proteins ↑ proteins ↑ proteins ↑ proteins ↑ proteins PCR HHV-6 CSF + + + + + Neuroimages MRI: cerebral and CT: cerebral atrophy. ND ND MRI: periventricular cerebellar atrophy Hipodensities in lesions compatible white matter with vasculitis HAART in the onset of symptoms -- -- -- -- -- Treatment Ganciclovir/ -- -- -- -- Foscarnet + HAART Survival died died died died Good response to therapy
  • 44.
    COMPROMISO DEL SNCPOR HHV-6 TRATAMIENTO GANCICLOVIR + FOSCARNET 14 a 21 días International Herpes Mangement Forum Herpes 2004; 11: 105A-111A
  • 45.
    ENCEFALITIS POR HZV– PCR + LCR
  • 46.
    SÍFILIS DEL SNC NEUROLÚES ASINTOMÁTICA  MENINGITIS SIFILÍTICA  SÍFILIS MENINGOVASCULAR
  • 47.
    LESIONES CEREBRALES FOCALES EN SIDA TOXOPLASMOSIS
  • 48.
    TOXOPLASMOSIS y SIDA  Lesiones cerebrales focales  Meningoencefalitis subaguda  Encefalitis aguda difusa (rara)
  • 49.
    TOXOPLASMOSIS y SIDA •Incidencia: 3% a 40% en pacientes con SIDA • Causa más frecuente de lesiones focales • Recuento de linfocitos T CD4 (+) < 100 cél/uL • Tratamiento empírico inicial con clínica y TAC • Mejoría clínica en 1 a 2 semanas • Resolución de las lesiones en 4 a 8 semanas
  • 50.
    TOXOPLASMOSIS  2 A3 VECES MÁS FRECUENTE QUE LPSNC  70 % LESIONES MÚLTIPLES  UBICACIÓN: • SUSTANCIA GRIS SUBCORTICAL • UNIÓN CORTICO/MEDULAR • TÁLAMO Y GANGLIOS BASALES  REFUERZO DEL CONTRASTE NODULAR O EN ANILLO, CON EDEMA Y EFECTO DE MASA
  • 51.
    TOXOPLASMOSIS CEREBRAL-SIDA HALLAZGOS EN LAS NEUROIMÁGENES 1. Lesiones hipodensas con refuerzo en anillo y edema perilesional 2. Lesiones hipodensas sin captación del contraste con edema perilesional 3. Lesiones nodulares (toman el contraste en forma homogénea) y edema perilesional 4. Edema cerebral localizado sin lesiones focales visibles 5. TAC sin lesiones y RNM con lesiones focales 1 y 3: 80% a 90% de las lesiones
  • 55.
  • 56.
  • 57.
    TOXOPLASMOSIS –T ACLESIÓN ÚNICA
  • 58.
    TOXOPLASMOSIS – RNM LESIONES MÚLTIPLES
  • 59.
    TOXOPLASMOSIS LESIONES MÚLTIPLES EN RNM
  • 60.
  • 61.
    TOXOPLASMOSIS – RM– ESPECTROSCOPIA Cho y NAA Lípidos
  • 64.
    ENFERMEDAD de CHAGAS
  • 65.
    ENFERMEDAD DE CHAGAS y SIDA Reactivación de infección latente por T. cruzi El paciente puede estar fuera del área endémica Puertas de entrada: hemoderivados y ADEV Enfermedad HIV/SIDA avanzada (CD4 + < 50 cél/uL)
  • 66.
    ENFERMEDAD DE CHAGAS y SIDA ABSCESOS CEREBRALES FOCALES MENINGOENCEFALITIS DIFUSA AMASTIGOTES EN BIOPSIA CEREBRAL TRIPOMASTIGOTES EN LCR
  • 67.
    ENFERMEDAD DE CHAGAS y SIDA DIAGNÓSTICO  SEROLOGÍA  PARASITEMIA  NEUROIMÁGENES  ESTUDIO DEL LCR  BIOPSIA ESTEREOTÁXICA
  • 68.
    ENFERMEDAD DE CHAGAS y SIDA DIAGNÓSTICO LESIONES DE MASA CEREBRAL OCUPANTE PARASITEMIA SEROLOGÍA P/CHAGAS
  • 69.
    CHAGAS DISEASE NEUROLOGICALINVOLVEMENT AND HIV INFECTION IN ARGENTINA (1992-2006) - IAS – 2007 Cordova E., Boschi A., Ambrosioni Czyrko J., Cudos C, Corti M. Table 1. Clinical manifestations in HIV positive patients with confirmed diagnosis of Chagas disease involving CNS Headache 11/14 79% Fever 9/14 64% Focal neurological deficits 8/14 57% Meningismus 6/14 43% Seizures 6/14 43% Altered mental status (a) 4/14 29% Concomitant cardiac involvement (b) 3/10 33% (a) Include confusion, delirium, or a declining level of consciousness ranging from lethargy to coma. (b) Include signs and symptoms of acute myocarditis evaluated with electrocardiogram and echocardiogram without a history of previous miocardiophaty. Not confirmed by isolation of parasites in heart tissue.
  • 70.
    CHAGAS DISEASE NEUROLOGICALINVOLVEMENT AND HIV INFECTION IN ARGENTINA (1992-2006) – IAS - 2007 Cordova E., Boschi A., Ambrosioni Czyrko J., Cudos C, Corti M. CSF findings (n=12) Median (range) cell count (cell/mL): 5 (2-90) Median (range) protein level (gr/L): 0.66 (0.1-1.84) Median (range) glucose level (gr/L): 0.4 (0.13-0.73) Trypanosoma cruzi detected by DME: 10/12 83% Neuroimages findings Nº Lessions White Gray Supraten Infrate Mass Enhance matter matter torial ntorial effect with contrast Single: 7 (54%) 2-5: 2 (15.3%) 9 (82%) 2 (18%) 9 (82%) 2 (18%) 5 (45%) 8 (73%) Multiple: 2 (15.3%) Normal images: 2 (15.3%) Supratentorial lesions include: brain lobes 09/11 (+++ frontal lobe), basal ganglia/thalamus 2/11, brain stern 1/11. Infratentorial lesions include: cerebellum lobes 2/11.
  • 73.
  • 74.
  • 75.
  • 76.
  • 77.
  • 78.
  • 81.
    ENCEFALITIS CHAGÁSICA HISTOPATOLOGÍA
  • 82.
  • 83.
    NOCARDIOSIS CEREBRAL  ABSCESOSCEREBRALES  ENFERMEDAD DISEMINADA (40% de casos)  HUÉSPEDES INMUNOCOMPROMETIDOS  Nocardia asteroides 98% de los casos
  • 84.
    NOCARDIOSIS CEREBRAL Abscesos primarioso secundarios Únicos o múltiples, multilobulados Supratentoriales o infratentoriales Cefalea y signos neurológicos focales
  • 85.
    NOCARDIOSIS CEREBRAL DIAGNÓSTICO BIOPSIA ESTEREOTÁXICA CULTIVOS
  • 86.
  • 87.
    NOCARDIOSIS CEREBRAL- KINYOUN POSITIVA
  • 88.
  • 89.
  • 90.
    COMPROMISO DEL SNCEN EL SIDA LESIONES DE LA SUSTANCIA BLANCA LEMP  Lóbulos parietooccipitales de ambos hemisferios  Compromiso de fibras subcorticales en “U”  1/3 de casos tienen compromiso de fosa posterior  En 5% a 10% el compromiso de fosa posterior es la única manifestación
  • 94.
  • 95.
  • 96.
    Lesiones cerebrales focalesen sida LEMP ESTUDIO DEL LCR PCR para DNA JCV (42 a 85% de sensibilidad; 90 a 100 % de especificidad) Carga viral para VJC en LCR
  • 97.
    DIAGNOSIS OF PMLAMONG AIDS PATIENTS: CLINICAL SENSITIVITY OF A COMMERCIAL PCR ASSAY FOR THE DETECTION OF JCV-DNA IN CEREBROSPINAL FLUID • 25 SAMPLES OF CSF OF PATIENTS WITH CLINICAL AND RADIOLOGICAL FINDINGS OF PML • JCV-DNA + : 12/25 (all with neuroimaging criteria for PML) • SENSITIVITY: 48% Mamanna, Corti M, Trione N, Metta H, Bouzas MB. 23rd Annual Clinical Virology Symposium and Annual Meeting of the Pan American Society for Clinical Virology. April 29 – May 02, 2007. Clearwater Beach, Florida, EE.UU.
  • 98.
    LEMP: Oligodendrocito conun cuerpo de inclusión intranuclear
  • 99.
    LEMP: OLIGODENDROCITOS CONCUERPOS DE INCLUSIÓN
  • 100.
  • 101.
  • 102.
  • 103.
    UTILIDAD DE LABIOPSIA ESTEREOTÁXICA EN EL DIAGNÓSTICO DE LAS LESIONES CEREBRALES FOCALES EN PACIENTES CON SIDA Hospital de Enfermedades Infecciosas F. J. Muñiz GCABA
  • 104.
    MATERIALES y MÉTODOS 83 procedimientos;  Enero de 1999 a Mayo 2007;  Pacientes con lesiones cerebrales ocupantes por TC o RM;  Sin respuesta al tratamiento empírico para toxoplasmosis (2 a 4 semanas);  Con lesiones cuyas características en las neuroimágenes sugerían otro diagnóstico.
  • 105.
    CIRUGÍA ESTEREOTÁCTICA BIOPSIA CEREBRAL Procedimiento mínimamente invasivo Máxima eficacia Mínima morbilidad
  • 106.
    BIOPSIA ESTEREOTÁCTICA CEREBRAL • Primer paso: colocación del marco referencial. • Segundo paso: adquisición de imágenes (TC, RMN). • Tercer paso: planificación. • Cuarto paso: transferencia de datos y biopsia.
  • 107.
  • 108.
  • 109.
  • 110.
    4to. Paso: Transferenciade Datos y Biopsia
  • 112.
    TOMA DE MUESTRASe IMPRONTA
  • 114.
    El área demayor rendimiento diagnóstico es la zona de mayor captación de contraste
  • 115.
    BIOPSIAS ESTEREOTÁXICAS Experiencia Htal.Muñiz – División B – 1999/2007 N° % LEMP 24 28,90% LPSNC 19 22,90% Toxoplasmosis 13 15,70% Incaracterísticos 8 9,60% Neoplasias no marcadoras (*) 7 8,40% TBC 4 4,80% Nocardia 3 3,60% Chagas 2 2,40% Histoplasmosis 1 1,20% VVZ 1 1,20% CMV 1 1,20% Total 83 100,00% (*) gliomas (6) y LH (1)
  • 116.
    CONCLUSIÓN I • Réditodiagnóstico: 75 biopsias (90,3%) • Hallazgos incaracterísticos: 8 biopsias (9,6%) • Morbiletalidad: 2 pacientes (2,4%)
  • 117.
    CONCLUSIÓN II La biopsia cerebral estereotáctica efectuada precozmente resultó ser un método que permitió alcanzar el diagnóstico etiológico y adecuar el enfoque terapéutico en la mayoría de los pacientes de esta serie. Constituye un método efectivo, seguro y mínimamente invasivo para pacientes con enfermedad HIV/sida avanzada con lesiones cerebrales focales.
  • 118.
    EN PACIENTES CONSIDA RECORDAR SIEMPRE QUE PUEDEN COEXISTIR MAS DE UN AGENTE ETIOLÓGICO
  • 119.
  • 120.
  • 121.
  • 122.
    LESIONES CEREBRALES FOCALES EN SIDA DIFICULTADES PARA EL DIAGNÓSTICO ¿POR QUÉ LAS NEUROIMÁGENES NO SIEMPRE SON SUFICIENTES ?
  • 123.
  • 124.
  • 125.
  • 126.
  • 127.
  • 128.
  • 129.
    MENINGIOMA DE LATIENDA DEL CEREBELO – HIV+
  • 130.
    MENINGIOMA DE LATIENDA DEL CEREBELO – HIV +
  • 131.
    MENINGIOMA DE LATIENDA DEL CEREBELO – HIV +
  • 132.
  • 133.
  • 134.
  • 135.
  • 136.
  • 137.
  • 138.