VIH Y
NEUROINFECCIÓN
      Erica Uribe Pardo
     Interna Infectología
     Hospital Santa Clara
   Universidad de la sabana
Generalidades
• 10-20% de los pctes debutan con alguna
  alteración neurologica.
• Virus cruza la BHE y tiene afinidad con
  neuronas, nervios y LCR.
• Podemos encontrar:
  – Neoplasias
  – Infecciones
  – Efectos adversos del HAART.
• G/mente CD4 <200
Demencia por VIH
• Enfermedad degenerativa que lleva a deterioro
  progresivo cognitivo y motor dado por cambios
  atroficos generalizados en el cerebro.
• Causas comunes de morbilidad.
• Ocurre en estadios tardíos de la enfermedad
  afectando sustancia blanca y llevando a gliosis y
  desmielinización.
Clinica
•   Inatención
•   Indiferencia
•   Alteración motora
•   Hasta demencia cuando CV aumenta en LCR.
•   CD4 < 200 y seroconversión en edad adulta:
    mas riesgo de demencia
Fisiopatologia
PROLIFERACIÓN DE MONOCITOS QUE LLEVAN A DISRUPCIÓN DE LA
              BHE = INFLAMACIÓN MENINGEA .




 EL VIRUS ENTRA E INFECTA CELLS DE LA MICROGLIA, LLEVANDO A
                 ACTIVACIÓN Y PROLIFERACIÓN




• SE CREAN CELLS GIGANTE MULTINÚCLEARES Y MICRONODULOS
  GLIALES .
• INFLAMACIÓN LLEVA A DAÑO DEL TEJIDO NEURAL.
Fisiopatología
• ATROFIA
• ENCEFALITIS POR VIH: CELLS GIGANTES MULTINUCLEARES PRECAPILARES CON
  PERDIDA DE MIELINA, REACTIVACIÓN DE LOS ASTROCITOS Y NODULOS
  MICROGLIALES.
• LEUCOENCEFALOPATIA POR VIH: INFILTRACIÓN MONONUCLEAR
Imagenes


• Atrofia cerebral
  simetrica .
• Baja atenuación de
  sustancia blanca
  en region
  periventricular.
• Surco y venticulos prominentes que muestran la atrofia generalizada y
  simetrica.
• No efecto masa.
Tratamiento y Pronostico
• Antes de el HAART el pronostico de vida era a
  6 meses.
• Ahora se ha aumentado la supervivencia.
• Iniciar siempre HAART.
Leucoencefalopatia multifocal
              progresiva

• Desmieliniación progresiva dada por una infección
  viral que infecta los oligondendrocitos.
• Papovavirus : JC (John Cunningham virus)
• Gmente se adquiere el virus en la niñez o
  adolescencia y se reactiva cuando ocurre la
  inmunodeficiencia.
• CD4 50-100
Caracteristicas

• JC infecta los             CLINICA:
  oligodendrocitos con       • Compromiso cognitivo
  imposibilidad para         • Alteración del estado de
  mantener mielina.             conciencia
• Ausencia de masa y edema   • Cambios comportamentales
  vasogenico.                • Alteraciones sensitivas y
• Atrofia cerebral sin          motoras se pueden ver cuando
  embargo mas leve que en       el pcte convulsiona.
  la demencia.
                             • Mal pronostico
• Aveces se observan areas   • Supervivencia a 1 año.
  de necrosis por la
  desmielinización en        • Multiples lesiones es lo mas
  sustancia blanca              común sin embargo solitarias
  subcortical.                  tmb se pueden encontrar.
Histopatologia
• Astrocitos con núcleo pleomorfico
• Oligodendrocitos con núcleos aumentados de tamaño y aspecto de
  vidrio esmerilado y escasa inflamacón perivascular.
• Particulas virales “spaguethi y albondigas”
•   Zonas focales asimetricas periventricular y subcortical.
•   Pueden ser bilaterales, múltiples o únicas
•   Efecto de masa y hemorragia no es común
•   Gmente no hay mejoria de lesiones.
Leucoencefalopatia Multifocal
            Progresiva

• Gmente no hay gran       DIAGNOSTICO:
  mejoria de lesiones.     • PCR en LCR
• Si esta recibiendo       • GOLD STANDAR: Bx
  HAART puede mejorar        cerebral, sensibilidad:
  un poco mas.
                             64-96% especificidad:
• Común en IRIS.
                             100%.
• Tto: HAART
                           • Si se inicia HAART baja la
   – Cidofovir: no ha
      demostrado mejoria     especificidad ya que
      en comparación con     disminuye la replicación
      los que no lo          del virus.
      reciben.
Toxoplasmosis
• Toxoplasma gondii:
   – protozoo intracell
   – 3 formas: oocito, taquizoito, bradizoito
• Lesión (masa) mas común en pctes VIH(+)
• Ingieren taquizoitos los cúales se multiplican
  rapidamente localizandose en SNC o musculo
  convirtiendose en quistes tisulares con bradizoitos
  dentro.
• Enfermedad oportunista mas común 15-50%.
Toxoplasmosis
             CLINICA                      DIAGNOSTICO
•   Días a semanas                • IgG: no me dice si es activa
•   Efecto masa                     o no. si el pcte es (-) un 20%
•   Deficit focal neurologico       pueden no hacer Ab.
•   Convulsiones                  • PCR: sensibilidad 80%,
•   Paralisis pares craneales.      especificidad 90%.
•   Alteración de la conciencia
                                  • RMN cerebral
•   Cefalea
•   Vomito
•   Compromiso med espinal
    algunas veces.
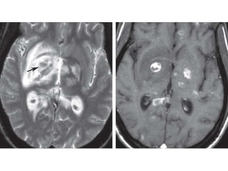
Imagenes
• Se localizan en:
   – Ganglio basal
   – Talamo
   – Unión
     corticomedular
• RMN: hipointensas
  con edema
  vasogenico.
• Usualmente son
  múltiples
• Aveces puede haber
  hemorragia
Diagnostico diferencial
• Si hay una imagen sugestiva hay que tratarlo.
• Pensar en linfoma
• Tto:
  – Pirimetamina (200mg, seguido de 75mg día si >60kg)
    + sulfadiazina (1-2 gr c/12hrs) + acido fólico
    (15mg/día), Por 6 semanas.
  – Alternativa :
     • TMP/SMX 10mg/kg/ día por 6 semanas.
• Las lesiones tienes que mejorar, puede durar
  hasta 6 meses la resolución.
Citomegalovirus
• Herpes virus
• Gmente latente y se reactiva.
• SNC:
   –   Meningoencefalitis
   –   Ventriculitis
   –   Mielitis
   –   Poliradiculitis
   –   Retinitis
• Ocurre en 2% de los pctes con VIH, sin embargo en
  autopsias se encuentra del 10-40%.
• CD4<50.
Clinica
• Subagudo
• Historia progresiva de desorientación
• Apatia
• Paralisis de pares craneales
• Nistagmus
• Depresión
• Puede coexistir con retinitis y poliradiculopatia
  75%.
• Dx diferencial: demencia por VIH.
Histopatogenia
• Inclusiones intranúcleares eosinofilicas
  rodeado por halos.
Diagnostico
• Imagenes: RMN, TAC:
    – Algunas veces pueden ser normales.
    – TAC : areas hipodensas
    – RMN t2: hiperintensas
• PCR en LCR , S: 80%, E: 90%
Pronostico y Tratamiento
• Ventriculitis: pueden morir de días
  a semanas despúes de iniciados los
  sintomas.
• Ganciclovir
• Profilaxis:
  – valganciclovir 900mg /día hasta CD4
    > 100-200
Criptococosis
• Levadura encapsulada
• Se encuentra en el medio ambiente
• C. neoformans mas común en SNC
•  3er enfermedad mas común de SNC en pcts
  con sida.
• 10% de pctes con CD4 < 100.
• Se transmite por diseminación hematogena
  que se da por un foco pulmonar.
Clinica
• Meningitis aguda,
  subaguda o crónica.
• Aveces meningoencefalitis
• Cefalea
• Aumento de presión
  intracraneana
• Fiebre
• Neuropatia
• Alteración del estado de
  conciencia
Diagnostico
• HISTOPATOLOGIA:
  – Se colorea material polisacarido de la capsula
  – Rapido Dx en meningitis.
Diagnostico
         SEROLOGIA                          CULTIVO
LATEX:                           •   Cultivos convencionales
• Antigenos capsulares que       •   30 -35 ºC
  muestran actividad de la
  enfermedad.                    •   48-72 hrs
• Utiliza partículas de látex    •   ureasa positiva
  recubiertas con Acs
  policlonales capsulares
• S 93-100%
• E 93-98%
• Falsos positivos y negativos
Imagenes




 “Soap bubble”
Ganglios basales         Multiples focos hiperintensos bilaterales
                                   en ganglios basales .
                                      Pseudoquistes
                                       Hidrocefalia
• Hiperintensidad en lobulo
  derecho
• Pseudoquistes bilaterales.
CRIPTOCOCOMA
Tratamiento
• INDUCCIÓN: 2 semanas
   – Anfotericina B 0.7-1 mg/kg día + flucitosina
     100mg/kg en 4 dosis.
   – Anfotericina B 0.7-1mg/kg IV día + fluconazol 800
     mg VO día por 2 semanas seguido de fluconazol
     800 mg VO día por 8 semanas.

• CONSOLIDACIÓN: 8 semanas
   – Fluconazol 800mg día VO.
Tratamiento
• SUPRESORA:
  – HAART luego de 2 – 10 semanas
  – Fluconazol 400mg VO día.
  – Descontinuar si CD4 mayor de 100 y carga viral
    indetectable por 3 meses
Aspergillosis
• A. fumigatus: mas común
• Hifas de angulos agudos
• Se encuentra en aceite, plantas y materia en
  descomposición.
• Diseminación hematogena por foco pulmonar.
• Invaden vasos sanguineos llevando a hemorragia o
  infartos.
• Puede extenderse por todo el tejido causando
  cerebritis o abscesos.
• Invade base de craneo, orbitas, senos paranasales,
  pares craneanos.
Lesiones que se realzan en forma de anillo
Hemorragia + lesiones + pcte inmunocomprometido = pensar
                      en aspergillosis
Diagnostico diferencial
•   Mucormicosis
•   Abscesos piogenos
•   Tuberculomas
•   Siempre descartar neoplasias
•   Tto :
    – Anfotericina B
    – Voriconazol
Tuberculosis
• Aumentado en los últimos 20 años por el VIH.
• Enfermedad definitoria de SIDA.
• Puede dar por primoinfección o reactivación.
• Meningitis es la manifestación mas común.
• Localiza en cisternas bacilares, alrededor de poligono de
  Willis.
• Otros:
   – Tuberculomas
   – Abscesos por TB
   – Isquemia e infartos.
Clinica
•   Cuadro de 2 – 8 semanas
•   Fiebre intermitente
•   Cefalea
•   Vomito
•   Cambios comportamentales
•   Perdida de peso.
•   Compromiso pares craneales
•   Hemiparesia
•   Convulsiones
•   Coma
•   muerte
Grados
• Grado I: paciente alerta, sin signos de
  focalización neurológica.
• Grado II: Glasgow entre 10 a 14 con o sin
  focalización neurológica o Glasgow 15 con
  signos de focalización neurológica.
• Grado III: Glasgow menor a 10 con o sin signos
  de focalización neurológica.
Diagnostico
• Puede haber hallazgos pulmonares
  compatibles con TB
• LCR: liquido con aspecto mononúclear, puede
  ser neutrofilico y virar, proteinorraquia e
  hipoglucorraquia.
• Z-N en LCR
• Cultivo
• PCR: sensibilidad 56%.
Imagenes
• En pctes VIH se puede ver:
  – Menos exudados basales y mas BAAR en
    parenquima cerebral y meninges.
Tuberculosis
• Hidrocefalia por obstrucción primaria por
  presencia de exudado en la cisterna basal.
• Abscesos cerebrales
• Tuberculomas:
  – son granulomas resultado de la diseminación por la
    sangre y LCR.
  – La mayoria supratentoriales
  – Múlitples o únicos.
  – Se pueden encontrar subdural, epidural o
    subaracnoideo
• Imagenes hipointensas en estadio temprano.
• Tardio: hipointensos rodeado de una capsula con necrosis de caseificación
  en el centro.
• Centro hiperintenso que sugiere absceso.
Neurosifilis
• Afecta aprox 1.5% de pctes VIH (+)
• Progresa mas rapido en VIH (+)
• 5-10% de no tratados dllan la enfermedad en
  SNC.
• Clinica:
  –   Asintomatico o no especifico
  –   Cefalea
  –   Convulsión
  –   Alteración del estado de conciencia
  –   Confusión
Caracteristicas
• Meningea: mas común
  – Cefalea, Neuritis, Hidrocefalia
  – Ocurre en los 1eros 2 años de infección
• Vascular: común
  – Ocurre 5-7 años despúes d la infección.
  – Cefalea, hemiparesia transitoria, LCR anormal.
• Paresia
• Tabes dorsal
• Siempre hacer VDRL en LCR.
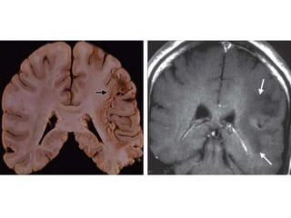
Imagenes
• Atrofia moderada a grave
• Lesiones en sustancia blanca
• Infartos corticales y subcorticales
• Gomas: raras, se localizan mas en corteza
  cerebral.
• Realce de leptomeninges
• Arteritis
Tratamiento y pronostico
• En estos pctes la progresión es mas rapida
• Diagnostico oportuno para inicio de
  tratamiento antibiotico.
• PNC G sódica 3-4 mill/U, c/4 hrs, IV por 14 días.
GRACIAS

Vih y neuroinfecciones

  • 1.
    VIH Y NEUROINFECCIÓN Erica Uribe Pardo Interna Infectología Hospital Santa Clara Universidad de la sabana
  • 2.
    Generalidades • 10-20% delos pctes debutan con alguna alteración neurologica. • Virus cruza la BHE y tiene afinidad con neuronas, nervios y LCR. • Podemos encontrar: – Neoplasias – Infecciones – Efectos adversos del HAART. • G/mente CD4 <200
  • 3.
    Demencia por VIH •Enfermedad degenerativa que lleva a deterioro progresivo cognitivo y motor dado por cambios atroficos generalizados en el cerebro. • Causas comunes de morbilidad. • Ocurre en estadios tardíos de la enfermedad afectando sustancia blanca y llevando a gliosis y desmielinización.
  • 4.
    Clinica • Inatención • Indiferencia • Alteración motora • Hasta demencia cuando CV aumenta en LCR. • CD4 < 200 y seroconversión en edad adulta: mas riesgo de demencia
  • 5.
    Fisiopatologia PROLIFERACIÓN DE MONOCITOSQUE LLEVAN A DISRUPCIÓN DE LA BHE = INFLAMACIÓN MENINGEA . EL VIRUS ENTRA E INFECTA CELLS DE LA MICROGLIA, LLEVANDO A ACTIVACIÓN Y PROLIFERACIÓN • SE CREAN CELLS GIGANTE MULTINÚCLEARES Y MICRONODULOS GLIALES . • INFLAMACIÓN LLEVA A DAÑO DEL TEJIDO NEURAL.
  • 6.
    Fisiopatología • ATROFIA • ENCEFALITISPOR VIH: CELLS GIGANTES MULTINUCLEARES PRECAPILARES CON PERDIDA DE MIELINA, REACTIVACIÓN DE LOS ASTROCITOS Y NODULOS MICROGLIALES. • LEUCOENCEFALOPATIA POR VIH: INFILTRACIÓN MONONUCLEAR
  • 7.
    Imagenes • Atrofia cerebral simetrica . • Baja atenuación de sustancia blanca en region periventricular.
  • 8.
    • Surco yventiculos prominentes que muestran la atrofia generalizada y simetrica. • No efecto masa.
  • 9.
    Tratamiento y Pronostico •Antes de el HAART el pronostico de vida era a 6 meses. • Ahora se ha aumentado la supervivencia. • Iniciar siempre HAART.
  • 10.
    Leucoencefalopatia multifocal progresiva • Desmieliniación progresiva dada por una infección viral que infecta los oligondendrocitos. • Papovavirus : JC (John Cunningham virus) • Gmente se adquiere el virus en la niñez o adolescencia y se reactiva cuando ocurre la inmunodeficiencia. • CD4 50-100
  • 11.
    Caracteristicas • JC infectalos CLINICA: oligodendrocitos con • Compromiso cognitivo imposibilidad para • Alteración del estado de mantener mielina. conciencia • Ausencia de masa y edema • Cambios comportamentales vasogenico. • Alteraciones sensitivas y • Atrofia cerebral sin motoras se pueden ver cuando embargo mas leve que en el pcte convulsiona. la demencia. • Mal pronostico • Aveces se observan areas • Supervivencia a 1 año. de necrosis por la desmielinización en • Multiples lesiones es lo mas sustancia blanca común sin embargo solitarias subcortical. tmb se pueden encontrar.
  • 13.
    Histopatologia • Astrocitos connúcleo pleomorfico • Oligodendrocitos con núcleos aumentados de tamaño y aspecto de vidrio esmerilado y escasa inflamacón perivascular. • Particulas virales “spaguethi y albondigas”
  • 14.
    Zonas focales asimetricas periventricular y subcortical. • Pueden ser bilaterales, múltiples o únicas • Efecto de masa y hemorragia no es común • Gmente no hay mejoria de lesiones.
  • 15.
    Leucoencefalopatia Multifocal Progresiva • Gmente no hay gran DIAGNOSTICO: mejoria de lesiones. • PCR en LCR • Si esta recibiendo • GOLD STANDAR: Bx HAART puede mejorar cerebral, sensibilidad: un poco mas. 64-96% especificidad: • Común en IRIS. 100%. • Tto: HAART • Si se inicia HAART baja la – Cidofovir: no ha demostrado mejoria especificidad ya que en comparación con disminuye la replicación los que no lo del virus. reciben.
  • 16.
    Toxoplasmosis • Toxoplasma gondii: – protozoo intracell – 3 formas: oocito, taquizoito, bradizoito • Lesión (masa) mas común en pctes VIH(+) • Ingieren taquizoitos los cúales se multiplican rapidamente localizandose en SNC o musculo convirtiendose en quistes tisulares con bradizoitos dentro. • Enfermedad oportunista mas común 15-50%.
  • 17.
    Toxoplasmosis CLINICA DIAGNOSTICO • Días a semanas • IgG: no me dice si es activa • Efecto masa o no. si el pcte es (-) un 20% • Deficit focal neurologico pueden no hacer Ab. • Convulsiones • PCR: sensibilidad 80%, • Paralisis pares craneales. especificidad 90%. • Alteración de la conciencia • RMN cerebral • Cefalea • Vomito • Compromiso med espinal algunas veces.
  • 18.
    Imagenes • Se localizanen: – Ganglio basal – Talamo – Unión corticomedular • RMN: hipointensas con edema vasogenico. • Usualmente son múltiples • Aveces puede haber hemorragia
  • 20.
    Diagnostico diferencial • Sihay una imagen sugestiva hay que tratarlo. • Pensar en linfoma • Tto: – Pirimetamina (200mg, seguido de 75mg día si >60kg) + sulfadiazina (1-2 gr c/12hrs) + acido fólico (15mg/día), Por 6 semanas. – Alternativa : • TMP/SMX 10mg/kg/ día por 6 semanas. • Las lesiones tienes que mejorar, puede durar hasta 6 meses la resolución.
  • 21.
    Citomegalovirus • Herpes virus •Gmente latente y se reactiva. • SNC: – Meningoencefalitis – Ventriculitis – Mielitis – Poliradiculitis – Retinitis • Ocurre en 2% de los pctes con VIH, sin embargo en autopsias se encuentra del 10-40%. • CD4<50.
  • 22.
    Clinica • Subagudo • Historiaprogresiva de desorientación • Apatia • Paralisis de pares craneales • Nistagmus • Depresión • Puede coexistir con retinitis y poliradiculopatia 75%. • Dx diferencial: demencia por VIH.
  • 23.
    Histopatogenia • Inclusiones intranúcleareseosinofilicas rodeado por halos.
  • 24.
    Diagnostico • Imagenes: RMN,TAC: – Algunas veces pueden ser normales. – TAC : areas hipodensas – RMN t2: hiperintensas • PCR en LCR , S: 80%, E: 90%
  • 25.
    Pronostico y Tratamiento •Ventriculitis: pueden morir de días a semanas despúes de iniciados los sintomas. • Ganciclovir • Profilaxis: – valganciclovir 900mg /día hasta CD4 > 100-200
  • 26.
    Criptococosis • Levadura encapsulada •Se encuentra en el medio ambiente • C. neoformans mas común en SNC • 3er enfermedad mas común de SNC en pcts con sida. • 10% de pctes con CD4 < 100. • Se transmite por diseminación hematogena que se da por un foco pulmonar.
  • 27.
    Clinica • Meningitis aguda, subaguda o crónica. • Aveces meningoencefalitis • Cefalea • Aumento de presión intracraneana • Fiebre • Neuropatia • Alteración del estado de conciencia
  • 28.
    Diagnostico • HISTOPATOLOGIA: – Se colorea material polisacarido de la capsula – Rapido Dx en meningitis.
  • 29.
    Diagnostico SEROLOGIA CULTIVO LATEX: • Cultivos convencionales • Antigenos capsulares que • 30 -35 ºC muestran actividad de la enfermedad. • 48-72 hrs • Utiliza partículas de látex • ureasa positiva recubiertas con Acs policlonales capsulares • S 93-100% • E 93-98% • Falsos positivos y negativos
  • 31.
    Imagenes “Soap bubble” Gangliosbasales Multiples focos hiperintensos bilaterales en ganglios basales . Pseudoquistes Hidrocefalia
  • 32.
    • Hiperintensidad enlobulo derecho • Pseudoquistes bilaterales.
  • 33.
  • 34.
    Tratamiento • INDUCCIÓN: 2semanas – Anfotericina B 0.7-1 mg/kg día + flucitosina 100mg/kg en 4 dosis. – Anfotericina B 0.7-1mg/kg IV día + fluconazol 800 mg VO día por 2 semanas seguido de fluconazol 800 mg VO día por 8 semanas. • CONSOLIDACIÓN: 8 semanas – Fluconazol 800mg día VO.
  • 35.
    Tratamiento • SUPRESORA: – HAART luego de 2 – 10 semanas – Fluconazol 400mg VO día. – Descontinuar si CD4 mayor de 100 y carga viral indetectable por 3 meses
  • 36.
    Aspergillosis • A. fumigatus:mas común • Hifas de angulos agudos • Se encuentra en aceite, plantas y materia en descomposición. • Diseminación hematogena por foco pulmonar. • Invaden vasos sanguineos llevando a hemorragia o infartos. • Puede extenderse por todo el tejido causando cerebritis o abscesos. • Invade base de craneo, orbitas, senos paranasales, pares craneanos.
  • 38.
    Lesiones que serealzan en forma de anillo Hemorragia + lesiones + pcte inmunocomprometido = pensar en aspergillosis
  • 39.
    Diagnostico diferencial • Mucormicosis • Abscesos piogenos • Tuberculomas • Siempre descartar neoplasias • Tto : – Anfotericina B – Voriconazol
  • 40.
    Tuberculosis • Aumentado enlos últimos 20 años por el VIH. • Enfermedad definitoria de SIDA. • Puede dar por primoinfección o reactivación. • Meningitis es la manifestación mas común. • Localiza en cisternas bacilares, alrededor de poligono de Willis. • Otros: – Tuberculomas – Abscesos por TB – Isquemia e infartos.
  • 41.
    Clinica • Cuadro de 2 – 8 semanas • Fiebre intermitente • Cefalea • Vomito • Cambios comportamentales • Perdida de peso. • Compromiso pares craneales • Hemiparesia • Convulsiones • Coma • muerte
  • 42.
    Grados • Grado I:paciente alerta, sin signos de focalización neurológica. • Grado II: Glasgow entre 10 a 14 con o sin focalización neurológica o Glasgow 15 con signos de focalización neurológica. • Grado III: Glasgow menor a 10 con o sin signos de focalización neurológica.
  • 43.
    Diagnostico • Puede haberhallazgos pulmonares compatibles con TB • LCR: liquido con aspecto mononúclear, puede ser neutrofilico y virar, proteinorraquia e hipoglucorraquia. • Z-N en LCR • Cultivo • PCR: sensibilidad 56%.
  • 45.
    Imagenes • En pctesVIH se puede ver: – Menos exudados basales y mas BAAR en parenquima cerebral y meninges.
  • 46.
    Tuberculosis • Hidrocefalia porobstrucción primaria por presencia de exudado en la cisterna basal. • Abscesos cerebrales • Tuberculomas: – son granulomas resultado de la diseminación por la sangre y LCR. – La mayoria supratentoriales – Múlitples o únicos. – Se pueden encontrar subdural, epidural o subaracnoideo
  • 47.
    • Imagenes hipointensasen estadio temprano. • Tardio: hipointensos rodeado de una capsula con necrosis de caseificación en el centro. • Centro hiperintenso que sugiere absceso.
  • 48.
    Neurosifilis • Afecta aprox1.5% de pctes VIH (+) • Progresa mas rapido en VIH (+) • 5-10% de no tratados dllan la enfermedad en SNC. • Clinica: – Asintomatico o no especifico – Cefalea – Convulsión – Alteración del estado de conciencia – Confusión
  • 49.
    Caracteristicas • Meningea: mascomún – Cefalea, Neuritis, Hidrocefalia – Ocurre en los 1eros 2 años de infección • Vascular: común – Ocurre 5-7 años despúes d la infección. – Cefalea, hemiparesia transitoria, LCR anormal. • Paresia • Tabes dorsal • Siempre hacer VDRL en LCR.
  • 50.
    Imagenes • Atrofia moderadaa grave • Lesiones en sustancia blanca • Infartos corticales y subcorticales • Gomas: raras, se localizan mas en corteza cerebral. • Realce de leptomeninges • Arteritis
  • 52.
    Tratamiento y pronostico •En estos pctes la progresión es mas rapida • Diagnostico oportuno para inicio de tratamiento antibiotico. • PNC G sódica 3-4 mill/U, c/4 hrs, IV por 14 días.
  • 53.

Notas del editor

  • #12 CLINICA PUEDE SER DE SEMANAS A MESES.
  • #19 AVECES ENVUELVE EL CUERPO CALLOSO Y PUEDE “PARECER” UN GLIOBLASTOMA.
  • #21 SI LESIONES NO MEJORAN PENSAR EN LINFOMA, HACER SPECT, SI ES LINFOMA VAMOS A ENCONTRAR MUChO FLUJO SAGUINEO COSA Q EN TOXO NO.
  • #22 ELQ LE DA RETINITIS TIENE 10% RIESGO MAS D Q LE DE ENCEFALITIS.
  • #25 RMN T1 Y T2
  • #33 T2 Y T1.
  • #34 1: T1, 2: T2 CON EDEMA. 3: POST CONTRASTE.
  • #52 PROGRESION DE LAS LESIONES HASTA EFECTO MASAS