Trauma
diafragmatico
Wagner Romero
R2 Cirugia General
UCE
Anatomia
 Parte

muscular periferica
 Parte central tendinosa en forma de
trébol
 Insercion




6 ultimas costillas y cartilagos costales
L1–L3

 Depresion
 Cupulas

central
Anatomia


Riego arterial




Arterias frénicas superior e inferior

Drenaje venoso


Venas musculofrénicas y pericardiofrénicas




Venas frénicas superior e inferior




V. torácica interna
Cava inferior

Inervacion



C3 – C5
Nervios intercostales
Trauma de Diafragma


Epidemiologia







Incidencia desconocida.
Trauma cerrado: 0,8 - 1,6%
6 – 8% de todas las laparotomias o
toracotomias.
75% trauma cerrado
25% trauma penetrante
0,4% en heridas penetrantes de torax y
abdomen superior
 20% en tórax inferior (46% si es por arma de
fuego)

Trauma de Diafragma
 Epidemiologia



Más común del lado izquierdo (69%)
Causas
 Accidentes

automovilísticos
 Caidas de gran altura
 Golpes de alta energía
Trauma de Diafragma
 Mecanismos


Trauma contuso
 Gradiente

de presión pleuroperitoneal
aumenta 200 veces su valor normal (7 – 20
cmH2O)




Separación de fibras
Arrancamiento de puntos de fijación
Trauma de Diafragma


Mecanismos


Trauma contuso


Gradiente de presión pleuroperitoneal aumenta
200 veces su valor normal (7 – 20 cmH2O)







Separación de fibras
Arrancamiento de puntos de fijación
Punto débil embriológico
Producen desgarros radiales (5 – 15cm)

Trauma penetrante



Lesión directa
Lesiones mas pequeñas, lineales (1 – 2 cm)
Trauma de Diafragma
 Lesiones


asociadas al trauma penetrante

95 – 100%
 Pulmon

46,5%
 Pericardio y corazon 11,6%
 Higado 11,6%
 Bazo 6,9%
 Colon 4,6%
 Intestino delgado 30,2%
Trauma de Diafragma


Lesiones asociadas al trauma contuso


95 – 100%

Fracturas oseas toráxicas 68,2%
 Fracturas de pelvis y huesos largos 31,8%
 Pulmon 36,4%
 Pericardio y corazon 22,7%
 Higado 18,2%
 TCE 36,4%
 Hemotorax 27,3%
 Hemoperitoneo 36,4%
 Aorta torácica 3,5%

Trauma de Diafragma
 Fisiopatologia



Perdida del 25 – 50% de la función
pulmonar
Herniacion de contenido intraabdominal
 Atelectasia

por compresión
 Reduccion del volumen corriente
 Desplazamiento del mediastina y grandes
vasos
 Afeccion del retorno venoso
 Reducción del GC
Trauma de Diafragma


Cuadro clínico





Inespecífico
Hallazgo casual de imagen o transquirúrgico

Examen Físico


Fase aguda
RHAS audibles en el tórax (20 – 45%)
 Disnea
 Abdomen excavado
 Con frecuencia se ignoran estos hallazgos

Trauma de Diafragma
 Fase





latente

Inicia cuando los organos se hernian en el
tórax
Disnea, ortopnea
Dolor toráxico: compromiso pleural
Hernia de la union gastroesofágica: pirosis,
ronquera, regurgitación
Trauma de Diafragma
 Fase


obstructiva

El organo herniado se incarcela o
estrangula
 Vómitos
 Distensión
 Dolor
 Peritonismo
Trauma de Diafragma


Diagnostico


Rx torax



S 94% en fase aguda (13% si no existe organo herniado)
signos radiológicos











Herniacion visceral
Opacificacion de la sombra diafragmatica
Elevacion del hemidiafragma
Contornos irregulares
Liquido pleural

Signos patognomónicos: SNG en tórax izquierdo, niveles
hidroaereos en hemitórax o hígado en hemitórax
derecho.
Estudios contrastados: S 100% en fase latente
Trauma de Diafragma
 Diagnostico


TC
 Sensibilidad

0% si no existe contendio
herniado (TC contrastada S: 95% en
presencia de herniación)



US
 No



es útil

LPD
 Inespecífico
 Falsos

negativos hasta en el 40%
Trauma de Diafragma
 Diagnostico


RMN
 Mas

sensible que la TC en ausencia de
herniación



Laparoscopia / toracoscopia
 Util

en pacientes con estabilidad
hemodinámica
 S: 88% E: 100%
Trauma de Diafragma
 Cirugía


en lesiones agudas

Laparotomía
 Abordaje

de elección
 Descartar siempre otras lesiones
 Reducción de vísceras herniadas
 Respetar el nervio frénico
 control de contaminación torácica
Trauma de Diafragma
Lesiones
menores de
5cm: sutura
en 1 solo
plano con
puntos
separados
Trauma de Diafragma
Lesiones
mayores de
5cm: sutura
en 2 planos,
continuo
Trauma de Diafragma
Lesiones
mayores de
25cm2:
protesis

Trauma diafragmatico

  • 1.
  • 2.
    Anatomia  Parte muscular periferica Parte central tendinosa en forma de trébol  Insercion   6 ultimas costillas y cartilagos costales L1–L3  Depresion  Cupulas central
  • 6.
    Anatomia  Riego arterial   Arterias frénicassuperior e inferior Drenaje venoso  Venas musculofrénicas y pericardiofrénicas   Venas frénicas superior e inferior   V. torácica interna Cava inferior Inervacion   C3 – C5 Nervios intercostales
  • 7.
    Trauma de Diafragma  Epidemiologia      Incidenciadesconocida. Trauma cerrado: 0,8 - 1,6% 6 – 8% de todas las laparotomias o toracotomias. 75% trauma cerrado 25% trauma penetrante 0,4% en heridas penetrantes de torax y abdomen superior  20% en tórax inferior (46% si es por arma de fuego) 
  • 8.
    Trauma de Diafragma Epidemiologia   Más común del lado izquierdo (69%) Causas  Accidentes automovilísticos  Caidas de gran altura  Golpes de alta energía
  • 9.
    Trauma de Diafragma Mecanismos  Trauma contuso  Gradiente de presión pleuroperitoneal aumenta 200 veces su valor normal (7 – 20 cmH2O)   Separación de fibras Arrancamiento de puntos de fijación
  • 10.
    Trauma de Diafragma  Mecanismos  Traumacontuso  Gradiente de presión pleuroperitoneal aumenta 200 veces su valor normal (7 – 20 cmH2O)      Separación de fibras Arrancamiento de puntos de fijación Punto débil embriológico Producen desgarros radiales (5 – 15cm) Trauma penetrante   Lesión directa Lesiones mas pequeñas, lineales (1 – 2 cm)
  • 12.
    Trauma de Diafragma Lesiones  asociadas al trauma penetrante 95 – 100%  Pulmon 46,5%  Pericardio y corazon 11,6%  Higado 11,6%  Bazo 6,9%  Colon 4,6%  Intestino delgado 30,2%
  • 13.
    Trauma de Diafragma  Lesionesasociadas al trauma contuso  95 – 100% Fracturas oseas toráxicas 68,2%  Fracturas de pelvis y huesos largos 31,8%  Pulmon 36,4%  Pericardio y corazon 22,7%  Higado 18,2%  TCE 36,4%  Hemotorax 27,3%  Hemoperitoneo 36,4%  Aorta torácica 3,5% 
  • 14.
    Trauma de Diafragma Fisiopatologia   Perdida del 25 – 50% de la función pulmonar Herniacion de contenido intraabdominal  Atelectasia por compresión  Reduccion del volumen corriente  Desplazamiento del mediastina y grandes vasos  Afeccion del retorno venoso  Reducción del GC
  • 15.
    Trauma de Diafragma  Cuadroclínico    Inespecífico Hallazgo casual de imagen o transquirúrgico Examen Físico  Fase aguda RHAS audibles en el tórax (20 – 45%)  Disnea  Abdomen excavado  Con frecuencia se ignoran estos hallazgos 
  • 16.
    Trauma de Diafragma Fase     latente Inicia cuando los organos se hernian en el tórax Disnea, ortopnea Dolor toráxico: compromiso pleural Hernia de la union gastroesofágica: pirosis, ronquera, regurgitación
  • 17.
    Trauma de Diafragma Fase  obstructiva El organo herniado se incarcela o estrangula  Vómitos  Distensión  Dolor  Peritonismo
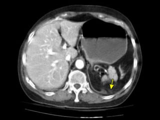
  • 18.
    Trauma de Diafragma  Diagnostico  Rxtorax   S 94% en fase aguda (13% si no existe organo herniado) signos radiológicos        Herniacion visceral Opacificacion de la sombra diafragmatica Elevacion del hemidiafragma Contornos irregulares Liquido pleural Signos patognomónicos: SNG en tórax izquierdo, niveles hidroaereos en hemitórax o hígado en hemitórax derecho. Estudios contrastados: S 100% en fase latente
  • 21.
    Trauma de Diafragma Diagnostico  TC  Sensibilidad 0% si no existe contendio herniado (TC contrastada S: 95% en presencia de herniación)  US  No  es útil LPD  Inespecífico  Falsos negativos hasta en el 40%
  • 24.
    Trauma de Diafragma Diagnostico  RMN  Mas sensible que la TC en ausencia de herniación  Laparoscopia / toracoscopia  Util en pacientes con estabilidad hemodinámica  S: 88% E: 100%
  • 27.
    Trauma de Diafragma Cirugía  en lesiones agudas Laparotomía  Abordaje de elección  Descartar siempre otras lesiones  Reducción de vísceras herniadas  Respetar el nervio frénico  control de contaminación torácica
  • 28.
    Trauma de Diafragma Lesiones menoresde 5cm: sutura en 1 solo plano con puntos separados
  • 29.
    Trauma de Diafragma Lesiones mayoresde 5cm: sutura en 2 planos, continuo
  • 30.