TV: 2m femenino
F.Nac:
27/03/2017
Ingreso Emergencia
18/04/2017
TE: 5días
• EM: 26 años
• G2P1000, CPN(+)
• Infecciones: (+),
Urocultivo (-)
VDRL (-).
• En tratamiento TBC
fase 2. (inicio al 6ª
mes de gestación –
14/01/17)
• F.Nac:27/03/17 01:10
h
• Parto Abdominal
• Apgar 8(1), 9(5),
• EG: 39 sem
• W. Nac=2780gr
• T. Nac =47cm
• Pc. Nac=32cm
• LAM verde oscuro
• RNAT de 39 sem
PEG
• Hijo de madre con
TBC
• D/C TBC congénita
• D/C ERGE
• Inicio profilaxis
Isoniazida: 10mg/k/d
28/03/17
• Alta: 03/04/17
• Hermana fallecida
por TB MDR 2013
• Tía Materna en 2015
TE: 5DÍAS
1°DÍA 2°DÍA 3°DÍA 4°DÍA 5°DÍA
Fiebre(39°C)
Paracetamol 6gt
y acudió a
Hospital Collique
tos seca esporádica
poco exigente sin
rubicundez ni
cianosis asociado a
disfonía
Respiración rápida +
movilización de
secreciones + tos
emetizante.
Acude a médico particular:
Amoxicilina 80mg/kg/d
c/8h + Dexametasona
1mg/Kg c/12h, sin mejoría
Persisten síntomas
Retorna a Médico
particular:
Probable
neumonía,
NBZ + refieren a
hospital más
cercano.
Paciente decaído, ↓
de lactancia
Fiebre (38.2°c)
Deposiciones
frecuentes
Vómitos lácteos 3v
Acude a la EMG Hosp
San Bartolomé
SE HOSPITALIZA• Pcte. poco reactivo al estímulo, febril
• TYP: Pasaje de MV en ACP. No rales
• Abd: Hígado a 4cm DRCD
• RNAT DE 39SS
• SD FEBRIL:
D/CMEC
D/C TBC CONGÉNITA
04/17
Lactancia regular asociado a episodios de vómitos de contenido lácteo y picos febriles que al tercer día del ingreso se autolimitan.
Vómitos persisten en el tiempo el 24/4/17 se agrega deposición con rasgos de sangre. Por persistencia de vómitos pasa a tratamiento
anti-TBC EV (24/4/17)
LCR CITOLÓGICO 18/04/17 24/04/17
COLOR Xantocrómico Incoloro
ASPECTO Transparente Transparente
FIBRINA Ausente Ausente
SEDIMENTO Ausente Ausente
REC LEUCOC 4 mm3 6 mm3
PMN 25 % -
MN 75 % -
LCR Bioquimica 18/04/17 24/04/17
PROTEINA 48.7 mg/dl 18 mg/dl
GLUCOSA 45 mg/dl 36 mg/dl
HISTOPATOLOGÍA DE PLACENTA (21/04/2017)
Placenta de 3° trimestre producto de Gestación única. Completa.
Deciduitis crónica con abundantes linfocitos. Áreas pequeñas y focales sugerentes de intervellitis crónica
histiocitaria. No se observan granulomas ni células gigantes.
Membranas: sin alteraciones
Cordón umbilical: hemorragia funicular focal. 2 arterias, 1 vena.
NOTA: Se sugiere inmunohistoquímica (cd68) para confirmar el diagnostico de Intervellitis histiocítica
crónica y hacer el respectivo correlato clínico-patológico.
BK Aspirado
gástrico
negativo
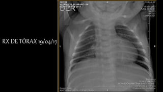
RX DE TÓRAX 19/04/17
05/17
Paciente
persiste con
vómitos,
algunos de
características
biliosas.
Evaluado por
cirugía
pediátrica
Cuenta con tránsito
intestinal 27/04/17
Ingresa SOP:
Malrotación
Intestinal
Tras recuperación de intervención quirúrgica, se decide reinstaurar el tto para TBC Congénita de manera
gradual, sin embargo persiste con vómitos en ocasiones tras ingesta de Isoniazida, y algunos tras ingesta de
leche, se plantea reiniciar esquema de manera gradual y a su vez D/C ERGE. Persiste con intolerancia oral.
F. Baquero-Artigao et al. Guía de la Sociedad Espanola de Infectología Pediátrica sobre tuberculosis en la embarazada y el recién nacido (I): epidemiología y diagnóstico. Tuberculosis
congénita. An Pediatr (Barc). 2015;83(4):285.e1-285.e8
TB confirmada
microbiológicamente
(por cultivo o PCR)
+
Uno de los siguientes
criterios
(Cantwell y col.)
Criterios diagnósticos propuestos por Cantwell
F. Baquero-Artigao et al. Guía de la Sociedad Espanola de Infectología Pediátrica sobre tuberculosis en la embarazada y el recién nacido (I): epidemiología y diagnóstico. Tuberculosis
congénita. An Pediatr (Barc). 2015;83(4):285.e1-285.e8
La TB congénita debe sospecharse en todo recién nacido hijo de madre con historia
gestacional de TB diseminada o extrapulmonar o con TB activa en el parto o en el
puerperio, aunque la exploración física al nacimiento sea normal.
La infección intrauterina puede causar abortos espontáneos, pero no se han descrito
alteraciones fetales. La aparición de síntomas durante la primera semana de vida es
diagnóstica, pero lo más frecuente es que se inicien en la segunda o tercera semana, a
pesar de que existen casos de inicio tardío (hasta los 3 meses de vida).
Son frecuentes la prematuridad y el bajo peso para la edad gestacional. En la mayoría de
casos existe afectación pulmonar, y con frecuencia se produce diseminación miliar, con
afectación hepatoesplénica y del sistema nervioso central
La mortalidad es elevada, en torno al 50%, condicionada por las dificultades para el
diagnóstico y la escasa sospecha clínica.
F. Baquero-Artigao et al. Guía de la Sociedad Espanola de Infectología Pediátrica sobre tuberculosis en la embarazada y el recién nacido (I): epidemiología y diagnóstico. Tuberculosis
congénita. An Pediatr (Barc). 2015;83(4):285.e1-285.e8
F. Baquero-Artigao et al. Guía de la Sociedad Espanola de Infectología Pediátrica sobre tuberculosis en la embarazada y el recién nacido (I): epidemiología y diagnóstico.
Tuberculosis congénita. An Pediatr (Barc). 2015;83(4):285.e1-285.e8
• Neumonía con patrón miliar, nodular, intersticial o adenopático con empeoramiento clínico progresivo a pesar de antibioterapia
de amplio espectro
• Hepatoesplenomegalia, lesiones focales hepatoesplénicas, distensión abdominal, adenopatías, o ascitis de etiología no filiada
• Meningitis de predominio linfocitario con hipoglucorraquia e hiperproteinorraquia o focalidad neurológica de causa no aclarada,
especialmente con parálisis de pares craneales
• Sepsis con cultivos negativos y evolución desfavorable a pesar de tratamiento antibiótico
• Sintomatología inespecífica prolongada y de causa no aclarada (tos pertusoide, dificultad respiratoria progresiva, otorrea
persistente, ictericia, pausas de apnea, letargia o irritabilidad, estancamiento ponderal, rechazo de tomas), especialmente
asociada a febrícula o fiebre persistente, leucocitosis con desviación izquierda y aumento de reactantes de fase aguda
F. Baquero-Artigao et al. Guía de la Sociedad Espanola de Infectología Pediátrica sobre tuberculosis en la embarazada y el recién nacido (I): epidemiología y diagnóstico. Tuberculosis
congénita. An Pediatr (Barc). 2015;83(4):285.e1-285.e8
Dada la inespecificidad de la clínica, es preciso el diagnóstico
diferencial con la sepsis bacteriana, la neumonía neonatal (virus,
bacterias, Candida, P. jirovecii) y otras infecciones de transmisión
vertical (toxoplasmosis, citomegalovirus, rubeola, herpes, VIH).
F. Baquero-Artigao et al. Guía de la Sociedad Espanola de Infectología Pediátrica sobre tuberculosis en la embarazada y el recién nacido (I): epidemiología y diagnóstico. Tuberculosis
congénita. An Pediatr (Barc). 2015;83(4):285.e1-285.e8
La profilaxis de la ITBL y de la enfermedad tuberculosa en el neonato se basa
en la terapia con antituberculosos de 1ª línea
Las dosis que se utilizan son las recomendadas en el lactante mayor de 3
meses, aunque no se dispone de datos farmacológicos que validen su
seguridad o eficacia por debajo de esta edad
Es, por tanto, fundamental un seguimiento clínico cercano para monitorizar
su eficacia terapéutica y su potencial toxicidad.
F. Baquero-Artigao et al. Guía de la Sociedad Espanola de Infectología Pediátrica sobre tuberculosis en la embarazada y el recién nacido (II): profilaxis y tratamiento. Tuberculosis
congénita. An Pediatr (Barc). 2015;83(4):285.e1-285.e8
Los recién nacidos de madres con historia gestacional de TB diseminada o extrapulmonar, con TB
activa en el momento del parto, o con contacto posnatal conocido, asintomáticos y con todas las
pruebas de primer nivel negativas, deben recibir profilaxis primaria con isoniazida.
La profilaxis puede no administrarse si la madre tiene historia de TB pulmonar o pleural no
complicada durante la gestación, está recibiendo un tratamiento correcto con buen cumplimiento,
tiene al menos un cultivo de esputo negativo, no es bacilífera en el momento del parto y se ha
excluido minuciosamente la TB en el medio familiar. En estos casos se recomienda un seguimiento
clínico estrecho del niño, con controles de PT e IGRA al nacimiento y cada 3-4 meses, hasta el año de
vida.
En casos dudosos, o que no cumplan todos los criterios anteriores, se realizarán todas las pruebas
de primer nivel, y si son negativas y el niño está asintomático, se iniciará tratamiento profiláctico. La
profilaxis con isoniazida debe mantenerse durante al menos 12 semanas. Transcurrido ese tiempo, se
repiten la PT y el test IGRA y, si son negativos, se interrumpe el tratamiento, aunque debe realizarse
un seguimiento estrecho con repetición de los test diagnósticos a los 6 y 12 meses de vida, dada su
menor sensibilidad en el periodo neonatal.
F. Baquero-Artigao et al. Guía de la Sociedad Espanola de Infectología Pediátrica sobre tuberculosis en la embarazada y el recién nacido (II): profilaxis y tratamiento. Tuberculosis
congénita. An Pediatr (Barc). 2015;83(4):285.e1-285.e8
En caso de que la cepa del caso índice presente resistencia a isoniazida, se administrará como
profilaxis rifampicina (10-15 mg/kg/día) durante al menos 12 semanas.
Si el aislamiento es resistente a isoniazida y rifampicina (multirresistente), puede optarse por
iniciar pautas alternativas (p. ej., con una fluoroquinolona) o mantener una vigilancia clínica
estrecha sin tratamiento, repitiendo los test diagnósticos al mes y medio, y a los 3, 6 y 12 meses.
En el recién nacido con un contacto de alto riesgo (madre con tuberculosis grave o diseminada
próxima al parto o en el puerperio o contacto posnatal muy íntimo, muy prolongado o con un caso
índice muy bacilífero), la profilaxis puede alargarse hasta tener un control negativo de los test
diagnósticos a los 6 meses de vida. En lactantes prematuros, desnutridos o inmunodeprimidos, en
los cuales la sensibilidad de la PT y los test IGRA es menor, puede valorarse completar la profilaxis
durante 9 meses como si se tratara de una ITBL, aunque todos los resultados sean negativos o, al
menos, mantenerla hasta 3 meses después de que el caso índice haya negativizado los cultivos.
F. Baquero-Artigao et al. Guía de la Sociedad Espanola de Infectología Pediátrica sobre tuberculosis en la embarazada y el recién nacido (II): profilaxis y tratamiento. Tuberculosis
congénita. An Pediatr (Barc). 2015;83(4):285.e1-285.e8
Tuberculosis cong   copia

Tuberculosis cong copia

  • 2.
    TV: 2m femenino F.Nac: 27/03/2017 IngresoEmergencia 18/04/2017 TE: 5días
  • 3.
    • EM: 26años • G2P1000, CPN(+) • Infecciones: (+), Urocultivo (-) VDRL (-). • En tratamiento TBC fase 2. (inicio al 6ª mes de gestación – 14/01/17) • F.Nac:27/03/17 01:10 h • Parto Abdominal • Apgar 8(1), 9(5), • EG: 39 sem • W. Nac=2780gr • T. Nac =47cm • Pc. Nac=32cm • LAM verde oscuro • RNAT de 39 sem PEG • Hijo de madre con TBC • D/C TBC congénita • D/C ERGE • Inicio profilaxis Isoniazida: 10mg/k/d 28/03/17 • Alta: 03/04/17 • Hermana fallecida por TB MDR 2013 • Tía Materna en 2015
  • 4.
    TE: 5DÍAS 1°DÍA 2°DÍA3°DÍA 4°DÍA 5°DÍA Fiebre(39°C) Paracetamol 6gt y acudió a Hospital Collique tos seca esporádica poco exigente sin rubicundez ni cianosis asociado a disfonía Respiración rápida + movilización de secreciones + tos emetizante. Acude a médico particular: Amoxicilina 80mg/kg/d c/8h + Dexametasona 1mg/Kg c/12h, sin mejoría Persisten síntomas Retorna a Médico particular: Probable neumonía, NBZ + refieren a hospital más cercano. Paciente decaído, ↓ de lactancia Fiebre (38.2°c) Deposiciones frecuentes Vómitos lácteos 3v Acude a la EMG Hosp San Bartolomé SE HOSPITALIZA• Pcte. poco reactivo al estímulo, febril • TYP: Pasaje de MV en ACP. No rales • Abd: Hígado a 4cm DRCD • RNAT DE 39SS • SD FEBRIL: D/CMEC D/C TBC CONGÉNITA
  • 5.
    04/17 Lactancia regular asociadoa episodios de vómitos de contenido lácteo y picos febriles que al tercer día del ingreso se autolimitan. Vómitos persisten en el tiempo el 24/4/17 se agrega deposición con rasgos de sangre. Por persistencia de vómitos pasa a tratamiento anti-TBC EV (24/4/17) LCR CITOLÓGICO 18/04/17 24/04/17 COLOR Xantocrómico Incoloro ASPECTO Transparente Transparente FIBRINA Ausente Ausente SEDIMENTO Ausente Ausente REC LEUCOC 4 mm3 6 mm3 PMN 25 % - MN 75 % - LCR Bioquimica 18/04/17 24/04/17 PROTEINA 48.7 mg/dl 18 mg/dl GLUCOSA 45 mg/dl 36 mg/dl HISTOPATOLOGÍA DE PLACENTA (21/04/2017) Placenta de 3° trimestre producto de Gestación única. Completa. Deciduitis crónica con abundantes linfocitos. Áreas pequeñas y focales sugerentes de intervellitis crónica histiocitaria. No se observan granulomas ni células gigantes. Membranas: sin alteraciones Cordón umbilical: hemorragia funicular focal. 2 arterias, 1 vena. NOTA: Se sugiere inmunohistoquímica (cd68) para confirmar el diagnostico de Intervellitis histiocítica crónica y hacer el respectivo correlato clínico-patológico. BK Aspirado gástrico negativo
  • 6.
    RX DE TÓRAX19/04/17
  • 7.
    05/17 Paciente persiste con vómitos, algunos de características biliosas. Evaluadopor cirugía pediátrica Cuenta con tránsito intestinal 27/04/17 Ingresa SOP: Malrotación Intestinal Tras recuperación de intervención quirúrgica, se decide reinstaurar el tto para TBC Congénita de manera gradual, sin embargo persiste con vómitos en ocasiones tras ingesta de Isoniazida, y algunos tras ingesta de leche, se plantea reiniciar esquema de manera gradual y a su vez D/C ERGE. Persiste con intolerancia oral.
  • 8.
    F. Baquero-Artigao etal. Guía de la Sociedad Espanola de Infectología Pediátrica sobre tuberculosis en la embarazada y el recién nacido (I): epidemiología y diagnóstico. Tuberculosis congénita. An Pediatr (Barc). 2015;83(4):285.e1-285.e8 TB confirmada microbiológicamente (por cultivo o PCR) + Uno de los siguientes criterios (Cantwell y col.) Criterios diagnósticos propuestos por Cantwell
  • 9.
    F. Baquero-Artigao etal. Guía de la Sociedad Espanola de Infectología Pediátrica sobre tuberculosis en la embarazada y el recién nacido (I): epidemiología y diagnóstico. Tuberculosis congénita. An Pediatr (Barc). 2015;83(4):285.e1-285.e8
  • 10.
    La TB congénitadebe sospecharse en todo recién nacido hijo de madre con historia gestacional de TB diseminada o extrapulmonar o con TB activa en el parto o en el puerperio, aunque la exploración física al nacimiento sea normal. La infección intrauterina puede causar abortos espontáneos, pero no se han descrito alteraciones fetales. La aparición de síntomas durante la primera semana de vida es diagnóstica, pero lo más frecuente es que se inicien en la segunda o tercera semana, a pesar de que existen casos de inicio tardío (hasta los 3 meses de vida). Son frecuentes la prematuridad y el bajo peso para la edad gestacional. En la mayoría de casos existe afectación pulmonar, y con frecuencia se produce diseminación miliar, con afectación hepatoesplénica y del sistema nervioso central La mortalidad es elevada, en torno al 50%, condicionada por las dificultades para el diagnóstico y la escasa sospecha clínica. F. Baquero-Artigao et al. Guía de la Sociedad Espanola de Infectología Pediátrica sobre tuberculosis en la embarazada y el recién nacido (I): epidemiología y diagnóstico. Tuberculosis congénita. An Pediatr (Barc). 2015;83(4):285.e1-285.e8
  • 11.
    F. Baquero-Artigao etal. Guía de la Sociedad Espanola de Infectología Pediátrica sobre tuberculosis en la embarazada y el recién nacido (I): epidemiología y diagnóstico. Tuberculosis congénita. An Pediatr (Barc). 2015;83(4):285.e1-285.e8 • Neumonía con patrón miliar, nodular, intersticial o adenopático con empeoramiento clínico progresivo a pesar de antibioterapia de amplio espectro • Hepatoesplenomegalia, lesiones focales hepatoesplénicas, distensión abdominal, adenopatías, o ascitis de etiología no filiada • Meningitis de predominio linfocitario con hipoglucorraquia e hiperproteinorraquia o focalidad neurológica de causa no aclarada, especialmente con parálisis de pares craneales • Sepsis con cultivos negativos y evolución desfavorable a pesar de tratamiento antibiótico • Sintomatología inespecífica prolongada y de causa no aclarada (tos pertusoide, dificultad respiratoria progresiva, otorrea persistente, ictericia, pausas de apnea, letargia o irritabilidad, estancamiento ponderal, rechazo de tomas), especialmente asociada a febrícula o fiebre persistente, leucocitosis con desviación izquierda y aumento de reactantes de fase aguda
  • 12.
    F. Baquero-Artigao etal. Guía de la Sociedad Espanola de Infectología Pediátrica sobre tuberculosis en la embarazada y el recién nacido (I): epidemiología y diagnóstico. Tuberculosis congénita. An Pediatr (Barc). 2015;83(4):285.e1-285.e8
  • 13.
    Dada la inespecificidadde la clínica, es preciso el diagnóstico diferencial con la sepsis bacteriana, la neumonía neonatal (virus, bacterias, Candida, P. jirovecii) y otras infecciones de transmisión vertical (toxoplasmosis, citomegalovirus, rubeola, herpes, VIH). F. Baquero-Artigao et al. Guía de la Sociedad Espanola de Infectología Pediátrica sobre tuberculosis en la embarazada y el recién nacido (I): epidemiología y diagnóstico. Tuberculosis congénita. An Pediatr (Barc). 2015;83(4):285.e1-285.e8
  • 14.
    La profilaxis dela ITBL y de la enfermedad tuberculosa en el neonato se basa en la terapia con antituberculosos de 1ª línea Las dosis que se utilizan son las recomendadas en el lactante mayor de 3 meses, aunque no se dispone de datos farmacológicos que validen su seguridad o eficacia por debajo de esta edad Es, por tanto, fundamental un seguimiento clínico cercano para monitorizar su eficacia terapéutica y su potencial toxicidad. F. Baquero-Artigao et al. Guía de la Sociedad Espanola de Infectología Pediátrica sobre tuberculosis en la embarazada y el recién nacido (II): profilaxis y tratamiento. Tuberculosis congénita. An Pediatr (Barc). 2015;83(4):285.e1-285.e8
  • 15.
    Los recién nacidosde madres con historia gestacional de TB diseminada o extrapulmonar, con TB activa en el momento del parto, o con contacto posnatal conocido, asintomáticos y con todas las pruebas de primer nivel negativas, deben recibir profilaxis primaria con isoniazida. La profilaxis puede no administrarse si la madre tiene historia de TB pulmonar o pleural no complicada durante la gestación, está recibiendo un tratamiento correcto con buen cumplimiento, tiene al menos un cultivo de esputo negativo, no es bacilífera en el momento del parto y se ha excluido minuciosamente la TB en el medio familiar. En estos casos se recomienda un seguimiento clínico estrecho del niño, con controles de PT e IGRA al nacimiento y cada 3-4 meses, hasta el año de vida. En casos dudosos, o que no cumplan todos los criterios anteriores, se realizarán todas las pruebas de primer nivel, y si son negativas y el niño está asintomático, se iniciará tratamiento profiláctico. La profilaxis con isoniazida debe mantenerse durante al menos 12 semanas. Transcurrido ese tiempo, se repiten la PT y el test IGRA y, si son negativos, se interrumpe el tratamiento, aunque debe realizarse un seguimiento estrecho con repetición de los test diagnósticos a los 6 y 12 meses de vida, dada su menor sensibilidad en el periodo neonatal. F. Baquero-Artigao et al. Guía de la Sociedad Espanola de Infectología Pediátrica sobre tuberculosis en la embarazada y el recién nacido (II): profilaxis y tratamiento. Tuberculosis congénita. An Pediatr (Barc). 2015;83(4):285.e1-285.e8
  • 16.
    En caso deque la cepa del caso índice presente resistencia a isoniazida, se administrará como profilaxis rifampicina (10-15 mg/kg/día) durante al menos 12 semanas. Si el aislamiento es resistente a isoniazida y rifampicina (multirresistente), puede optarse por iniciar pautas alternativas (p. ej., con una fluoroquinolona) o mantener una vigilancia clínica estrecha sin tratamiento, repitiendo los test diagnósticos al mes y medio, y a los 3, 6 y 12 meses. En el recién nacido con un contacto de alto riesgo (madre con tuberculosis grave o diseminada próxima al parto o en el puerperio o contacto posnatal muy íntimo, muy prolongado o con un caso índice muy bacilífero), la profilaxis puede alargarse hasta tener un control negativo de los test diagnósticos a los 6 meses de vida. En lactantes prematuros, desnutridos o inmunodeprimidos, en los cuales la sensibilidad de la PT y los test IGRA es menor, puede valorarse completar la profilaxis durante 9 meses como si se tratara de una ITBL, aunque todos los resultados sean negativos o, al menos, mantenerla hasta 3 meses después de que el caso índice haya negativizado los cultivos. F. Baquero-Artigao et al. Guía de la Sociedad Espanola de Infectología Pediátrica sobre tuberculosis en la embarazada y el recién nacido (II): profilaxis y tratamiento. Tuberculosis congénita. An Pediatr (Barc). 2015;83(4):285.e1-285.e8