NEUMONIA INTRAHOSPITALARIA DR. RENATO CASANOVA MENDOZA MÉDICO NEUMÓLGO ASISTENTE CENTRO MEDICO NAVAL. CLÍNICA SAN GABRIEL MIEMBRO DE LA SOCIEDAD PERUANA DE NEUMOLOGÍA
 
 
2000
NEUMONÍA INTRAHOSPITALARIA: GUÍA CLÍNICA APLICABLE A LATINOAMÉRICA PREPARADA EN COMÚN POR DIFERENTES ESPECIALISTAS SEPAR 2005 Archivos de  Bronconeumología; 41: 439 - 456 ISSN : 0579-2129  Volumen 41, Número 08, Agosto 2005
 
 
DEFINICION Se define como Neumonía intra hospitalaria ( NIH ) a aquella que se produce 48 horas o más después de la admisión en el hospital .  NIH temprana: Antes de los 5 días. NIH tardía: Después de los 5 días.  Algunos autores consideran como NIH cuando ocurren hasta 30 días post-hospitalización.
Neumonía intrahospitalaria es aquella adquirida en un hospital  de la cual no existe evidencia de incubación en el momento del ingreso al medio hospitalario. Según series epidemiológicas, afecta el 0,5 a 2% de los pacientes hospitalizados, pero esto varia por servicios e incluso entre hospitales.
La incidencia de NIH es de 5 a 10 casos por 1000 ingresos hospitalarios y es de 6 a 20 veces más frecuente en los paciente que reciben VM. Centers for Disease Control and Prevention.. Prevention and control of influenza: recommendations of the Advisory Committee on Immunization Practices (ACIP). MMWR Morb Mortal Wkly Rep. 2001;50 (RR-4):1-44.
Un estudio multicéntrico en 2.897 pacientes con VM invasiva mostró una prevalencia del 15%, con una mediana de 3 días de VM para su comienzo. Tejerina E, Frutos-Vivar F, Apezteguia C, González M, Soto L, Abroug F, et al.. Incidence and outcome of ventilator-associated pneumonia. Eur Resp J. En prensa 2004. 
NEUMONÍA CIERTA Nuevos infiltrados pulmonares progresivos y persistentes (> 24 h). Secreciones traqueales purulentas, más uno de los siguientes: Cavitación radiográfica: por TAC, preferentemente indicativa de absceso, confirmada por cultivo de material de punción. Evidencia histológica de neumonía (biopsia o necropsia) con formación de abscesos o áreas de consolidación con intensa infiltración leucocitaria. Cultivo positivo del parénquima que contenga ≥ 10 4  unidades formadoras de colonias (ufc)/g de tejido.
NEUMONÍA PROBABLE Nuevos infiltrados pulmonares progresivos y persistentes (>24 h) y secreciones traqueales purulentas, más uno de los siguientes criterios: a) cultivo cuantitativo de una muestra de secreciones pulmonares, obtenida con cepillo protegido (CP: > 10 3  ufc/ml) o lavado broncoalveolar (LBA: > 10 4  ufc/ml). b) aislamiento de microorganismos de hemocultivo, en ausencia de otro foco probable, en las 48 h anteriores o posteriores a la obtención de una muestra respiratoria simple (aspirado traqueal o esputo).  Los patógenos de los hemocultivos y secreciones deben ser microbiológicamente idénticos, con   igual patrón de sensibilidad antibiótica.
c) aislamiento de microorganismos en el líquido pleural, sin instrumentación previa y microbiológicamente idéntico, con igual patrón de sensibilidad antibiótica que el germen aislado de una muestra respiratoria simple. d) evidencia histológica de neumonía (biopsia o autopsia) con abscesos o áreas de consolidación con intensa infiltración leucocitaria, con cultivo negativo del parénquima pulmonar (< 104 ufc/g de tejido).
 
Factores de riesgo Enfermedades predisponentes serias.  Malnutrición. Tto inmunodepresor.  Edad (mayores de 60 años).  Cirugía reciente.  Técnicas invasivas.  Enfermedades neuromusculares.  Depresión o toma de conciencia.  Uso de antiácidos.  Estancia en UCI.  Intubación endotraqueal.  Soporte ventilatorio.
Factores de riesgo Sexo femenino.  Grupos de edad extremos.  Hospitalización mayor de 14 días.  Sonda naso-gástrica.  Procedimientos quirúrgicos en cabeza, cuello, y abdomen superior.  Uso de antibióticos en los 2 meses anteriores.  Enfermedad cardiorespiratoria asociada.
Factor de riesgo Agente causal frecuente  Broncoaspiración Bacterias anaerobias Cirugía abdominal Enterococcos spp.  Anaerobios Diabetes mellitus Staphylococcus aureus (Meth-sens. ) Coma, drogadictos I. V.  Staphylococcus aureus  (Meth-sens. ) Falla renal crónica Staphylococcus  aureus (Meth-sens. )
Factor de riesgo Agente causal frecuente  Glucocorticoides Legionella spp,  aspergillus spp.  Hospitalización prolongada  (pisos y UCI)    P. aureuginosa,  enterobacter spp, Acinetobacter spp.  Antibióticos previos  P. aureuginosa,  enterobacter spp.  Acinetobacter spp.  Daño estructural  pulmonar  P. aureuginosa
 
 
Factores de riesgo de neumonía intrahospitalaria por microorganismos multirresistentes VM prolongada (> 4-7 días). Uso previo de antibióticos. Para Acinetobacter baumannii: neurocirugía y SDRA. Para P. aeruginosa: uso de metronidazol y EPOC. Para SAMR: traumatismo craneal y uso de corticoides.
Factores pronósticos de mortalidad Edad avanzada. Mala calidad de vida previa. Presencia de enfermedad rápida o finalmente fatal  Enfermedades con déficit inmunitario (cáncer, trasplantes, sida). Ingreso en UCI quirúrgicas. Necesidad de oxígeno a concentraciones superiores al 35%. Necesidad de presión positiva al final de la espiración. Reintubación.
Factores pronósticos de mortalidad Disfunciones orgánicas no pulmonares (particularmente cuando el número de defectos es mayor de 3). Shock. Sepsis grave. Compromiso bilateral. Concentraciones séricas elevadas de interleucina 6. Tratamiento antibiótico inadecuado. La neumonía tardía. La secundaria a patógenos de alto riesgo (gramnegativos no fermentadores y SAMR).
Rutas de ingreso de la infección Micro aspiración de secreciones de la orofaringe previamente colonizada por bacterias patógenas. Broncoaspiración masiva ( reflejo nauseoso alterado, cuando hay alteración en el estado de conciencia, durante intubación endo-traqueal, utilización de sonda naso gástrica, y en enfermedades esofágicas). La contaminación hematógena ( la contaminación hematógena de sitios distantes es importante durante período post-operatorio y en pacientes con catéteres y sondas vesicales).
Rutas de ingreso de la infección Inhalación de aerosoles contaminados ( la aspiración de aerosoles contaminados es la responsable de infecciones por Legionella, algunos virus, mycobacterium tuberculosis y hongos, especialmente durante ventilación mecánica utilizando sistemas de humidificación contaminados).
COLONIZACION DE BOCA Y OROFARINGE:  Ausencia de fibronectina / 42%-46% patógenos NIH se aislaron previamente en la oro faringe  (Am J Resp crit care Med 1998;158:1839-47) COLONIZACION TRAQUEAL:  Se produce a las 24 h en un 80-89% / pseudomona aeruginosa  ( Chest 1999;116:462-70)
Rutas de ingreso de la infección El tubo endotraqueal  sobrepasa los sistemas de defensa existentes por encima de las cuerdas vocales y altera mecanismos del árbol bronquial como son la tos y el sistema mucociliar de la mucosa. Las secreciones contaminadas se  acumulan por encima del balón del tubo endo-traqueal y no se pueden succionar en forma rutinaria, facilitando su broncoaspiración hacia el tracto respiratorio inferior.
 
 
BIOFILM DEL TUBO ENDOTRAQUEAL:  70% pacientes con NIH tuvo patógenos aislados en tuvo endotraqueal previamente  (Intens Care Med 1999;25:1072-6)  VENTILADOR MECANICO:  80% de los circuitos y los condensados fueron colonizados a las 24 h  (Am Rev Resp dis 1984;129:625-8) Manipulación de los circuitos incrementan el riesgo de NIH  (NEJM 1982;306:1505-9)
Rutas de ingreso de la infección Translocación desde el tracto gastro-intestinal (por aumento del pH  gástrico y se encuentra por encima de 4.0, lo cual puede ocurrir en pacientes ancianos, acloridia, ileo, enfermedades del tracto digestivo superior, nutrición enteral, antiácidos, antagonistas H2)
ETIOLOGIA FUENTE PRINCIPAL: AGENTES ENDOGENOS QUE COLONIZAN AL PACIENTE DURANTE SU HOSPITALIZACION LOS AGENTES RESPONSABLES VARIAN SEGÚN EL MOMENTO DEL INICIO DE LA NEUMONIA, ASI COMO EL SERVICIO DONDE SE ENCUENTRA EL PACIENTE E INCLUSO ENTRE INSTITUCIONES
Gérmenes más comunes en la NIH Entre el 75 y el 85 %:  Los gram negativos (enterobacterias),  con una mortalidad que oscila entre el 30 y el 60 % El 15 % son originadas por  gram positivos (Staphylococcus aureus, Streptococcus ) con una mortalidad entre el 5 y el 20 %.
La  Pseudomonas sp  es el germen más frecuente en el paciente ventilado (20-30 %)  Richards MJ, Edwards JR, Culver DH, Gaynes RP. Nosocomial infections in medical intensive care units in the United States. National Nosocomial Infections Surveillance System. Crit Care Med. 1999;27:887.
 
Gérmenes más comunes en la NIH Hasta en el 50 % de las neumonías intrahospitalarias se desconoce el germen patógeno, pues por los diferentes métodos diagnósticos no se aísla ningún organismo. Hasta en el 30 % de las NIH, se tratan de un proceso donde intervienen varios gérmenes (polimicrobiana).
La etiología polimicrobiana es frecuente. Se presenta en alrededor del 40% de las NIH en las series y es más frecuente en pacientes con síndrome de distrés respiratorio agudo (SDRA). Luna CM, Vujacich P, Niederman MS, Vay C, Gherardi C, Matera J, et al.. Impact of BAL data on the therapy and outcome of ventilator-associated pneumonia. Chest. 1997;111:676-85.   Chastre J, Trouillet JL, Vuagnat A, Joly-Guillou ML, Clavier H, Dombret MC, et al.. Nosocomial pneumonia in patients with acute respiratory distress syndrome. Am Rev Respir Crit Care Med. 1998;157:1165-72. 
Gérmenes más comunes en la NIH La etiología viral es muy importante causa de neumonía intrahospitalaria en los pacientes pediátricos. Entre los virus que conviene destacar se encuentran: Influenza A y B, virus respiratorio sincicial, Adenovius, virus parainfluenza 1, 2, 3 y Hantavirus .
Gérmenes más comunes en la NIH Gérmenes  % Pseudomonas aeruginosa 15 - 20 Enterobacter sp 10 - 12 Escherichia coli  6  - 7 Klebsiella sp  7  - 8 Proteus sp  3  - 4 Serratia marcescens  4  - 5 Staphylococcus aureus 10 - 20 Streptococcus pneumoniae  3  - 8
 
 
NEUMONIA INTRAHOSPITALARIA DE INICIO TEMPRANO STAFILOCOCO AUREUS METICILINO SENSIBLE STREPTOCOCO PNEUMONIAE HAEMOFILUS INFLUENZAE ANAEROBIOS
NEUMONIA DE INICIO TARDIO: GERMENES POTENCIALMENTE RESISTENTES STAFILOCOCO AUREUS METICILINO RESISTENTE PSEUDOMONA AERUGINOSA ACINETOBACTER BAUMANI STENOTROPHOMONA MALTOPHILA
 
CLASIFICACIÓN La Asociación Americana del Tórax agrupo a todos los pacientes con NIH  en tres categorías: GRUPO I:   Enfermedad leve a moderada en personas sin factores de riesgo, inicio temprano o tardío  Enfermedad severa de inicio temprano (< 5 días).  GRUPO II:  Enfermedad leve a moderada con factores de riesgo, inicio temprano o tardío.
CLASIFICACIÓN GRUPO III   Enfermedad severa con factores de riesgo inicio temprano (< 5 días)  Enfermedad severa de inicio tardío ( > 5días )
 
 
 
NEUMONIA ASOCIADA A VM
NEUMONIA ASOCIADA AL VM
NAV
NEUMONIA INTRAHOSPITALARIA : PROBLEMAS DIAGNOSTICOS
DIAGNÓSTICO NO EXISTE GOLD ESTÁNDAR PARA DIAGNOSTICO DE NEUMONIA INTRAHOSPITALARIA. PROBLEMAS DIAGNOSTICOS FRECUENTES Diferenciación entre colonización e infección Interpretación de signos clínicos y síntomas Elección correcta de antibióticos
DIAGNÓSTICO EVALUACION CLINICA  SOLA. EVALUACION CLINICA ASOCIADO A CULTIVOS CUALITATIVOS. EVALUACION CLINICA ASOCIADO A CULTIVOS CUANTITATIVOS: De muestras no obtenidas por BFC De muestras obtenidas por BFC
EVALUACION CLINICA Los parámetros clínicos con estudios radiológicos tienen baja especificidad para el diagnostico. La ayuda microbiológica proporcionada por el gram y cultivo de esputo es bajo, pero en algunos casos orienta el antibiótico inicial de elección El resultado es un sobreuso de antibióticos, falla de tratamiento y riesgo de colonización por gérmenes multiresistentes
Se ha planteado el uso de puntajes basados en las manifestaciones clinicas del paciente ( clinical pulmonary infection score – CPIS) El puntaje varia de 0 a 12, puntajes por encima de 6 orientan a un diagnostico correcto de neumonía intrahospitalaria y un uso justificado de antibióticos Estrategias basadas en el uso de CPSI demuestran menor costo en uso de ATB, aparición de resistencia y súper infección Am Rev Resp Dis 1991;143:1121-9 Am J Resp Crit Care Med 2000;162:505-11
Criterion Value Points Temperature (°C) >/= 36.5 and </= 38.4 0 >/= 38.5 and </= 38.9 1 </= 36.0 and >/= 39.0 2 Blood leukocytes (/µL) >/= 4000 and </= 11,000 0 < 4000 or > 11,000 1 >/= 500 band forms +1 Tracheal secretions Absence of tracheal secretions 0 Presence of nonpurulent tracheal secretions 1 Presence of purulent tracheal secretions 2 Oxygenation: PaO 2 /FIO 2  (mm Hg) > 240 or ARDS 0 </= 240 and no evidence of ARDS 2 Pulmonary radiography No infiltrate 0 Diffuse (or patchy) infiltrate 1 Localized infiltrate 2 Progression of pulmonary infiltrate No radiographic progression 0 Radiographic progression (after CHF and ARDS excluded) 2 Culture and Gram stain of tracheal aspirate (semiquantitative: 0/+/++/+++) No pathogenic bacteria cultured (0/+) 0 Pathogenic bacteria cultured (+/++/+++) 1 Some pathogenic bacteria seen on Gram stain (> +) +1
 
 
USO DE CULTIVOS POR BRONCOFIBROSCOPIA Son los cultivos mas recomendables a la fecha para diagnostico de neumonía intrahospitalaria según estudios realizados (1) Obtenidos por lavado broncoalveolar (BAL) o escobillado bronquial (PSB) siendo el punto de corte 10(4) y 10(3)UFC respectivamente Estrategia dx basada en cultivos por BFC cursa con menor mortalidad frente a pacientes con dx solo clinico (2) (1)Ann Intern Med. 2000;132:621-630   .(2)Chest 1999;115:1076-84
USO DE ASPIRADOS ENDOTRAQUEALES El análisis de cultivos CUANTITATIVOS obtenidos por aspirados endotraqueales  - 10(5)  UFC-  son fáciles de realizar y sus resultados han sido comparados en eficacia con los de BFC ( 50 -60%) Los cultivos rutinarios de aspiración traqueal no cuantitativos han perdido especificidad y no son recomendables en la actualidad Eur Respir J . 2001;17:791-801
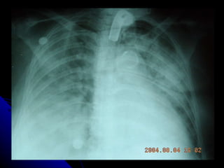
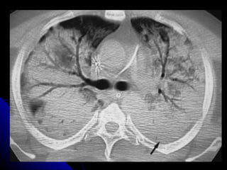
RADIOLOGIA Los infiltrados pueden ser muy pequeños y difíciles de apreciar especialmente en radiografías portátiles. La pausa inspiratoria es prácticamente imposible cuando el paciente se encuentra en ventilación mecánica haciéndolas menos específicas para el diagnóstico. La Tomografía Axial del tórax puede diagnosticar hasta en un 26% más, infiltrados pulmonares a más de definirlos más exactamente que la placa simple del tórax
 
 
 
 
 
Diagnóstico La interpretación de las secreciones bronquiales purulentas y su diagnóstico microbiológico también es difícil.  La orofaringe de los pacientes moderadamente enfermos hospitalizados, rápidamente aparece colonizada por micro-organismos patógenos. En aspirados traqueales la presencia de cultivos positivos para micro-organismos comunes o inclusive patógenos como Pseudomonas  aureuginosa o el Staphylococcus aureus, no asegura el diagnóstico microbiológico adecuado de neumonía nosocomial.
Diagnóstico Las más extensas investigaciones se han hecho con la utilización de  cepillos endoscópicos protegidos (PSB) y de lavados bronquiolo alveolares (BAL).   Se acepta que cultivos cuantitativos positivos para más de 1000  ó  10000  unidades formadoras de colonias por mL.
Diagnóstico El estudio cuantitativo del aspirado traqueal tiene una sensibilidad promedio del 81% y una especificidad del 65%. El punto de corte recomendado para considerar el cultivo positivo es de ≥ 105 a ≥ 106 ufc/ml, para cada microorganismo microbiológicamente significativo  Marquette CH, Georges H, Wallet F, Ramon P, Saulnier F, Neviere R, et al.. Diagnostic efficiency of endotracheal aspirates with quantitative bacterial cultures in intubated patients with suspected pneumonia. Comparison with the protected specimen brush. Am Rev Respir Dis. 1993;148:138-44.
TRATAMIENTO Datos clínicos y gravedad. Uso previo de antibióticos. Tiempo transcurrido entre el ingreso hospitalario y el diagnóstico. Duración previa de la VM. Los FR para patógenos específicos. La prevalencia de patógenos y patrones de resistencia natural y propios de la UCI o del hospital. El tratamiento inicial debe buscar ser adecuado y temprano. Los antibióticos deben usarse prudentemente para tratar de impedir el desarrollo de resistencia bacteriana.
TRATAMIENTO Bacilos Gram negativos Cefalosporinas de tercera o cuarta generación, con o sin acción antipseudomonas + Aminoglucosido. Combinaciones de ß lactámicos con inhibidores de ß lactamasas + Quinolonas o Aminoglucósidos +  Carbapenems.
TRATAMIENTO Cepas productoras de BL  (E. coli  y Klebsiella spp) Amino-glucósidos + Fluoroquinolonas como ciprofloxacina,Levofloxacina o Trovofloxacina, imipenem-cilastina o meropenem. Frente a una cepa de Enterobacter spp se recomienda no usar cefalosporinas y usar otros antimicrobianos con actividad para bacilos Gram negativos.
TRATAMIENTO Staphylococcus aureus resistente a meticilina:  Vancomicina.  S. aureus oxacilina-sensible:  Cloxacilina.   Alergia a vancomicina o dificultad en el manejo de las vías venosas, para completar tratamiento:  Teicoplanina  por vía intramuscular  o  Linezolid. Quinupristin/dalfopristin  es una alternativa para el tratamiento de las infecciones resistentes por cocáceas Gram positivas.
TRATAMIENTO Pseudomonas aeruginosa Uso de terapia asociada Netilmicina + imipenem (?). ßlactámicos con acción antipseudomonas (ceftazidima, cefoperazona, cefepime) o piperacilina/tazobactam o imipenem-cilastina o meropenem asociado a un aminoglucósido o ciprofloxacina.
SAMR sensibilidad intermedia a la vancomicina (concentración mínima inhibitoria: 8-16 μ g/ml). Entre los nuevos antibióticos con efectividad frente al SAMR figuran el  linezolid y quinupristín/dalfopristín. Klebsiella spp. y Enterobacter spp. son sensibles al carbapenem y al cefepime, y de forma variable a las fluoroquinolonas, el cotrimoxazol y los aminoglucósidos; son naturalmente resistentes a aminopenicilinas y pueden adquirir resistencia a cefalosporinas de tercera y cuarta generaciones.
La resistencia a cefalosporinas de tercera generación de Klebsiella pneumoniae, Escherichia coli y Proteus mirabilis puede deberse a betalactamasas de espectro extendido (BLEE). P. aeruginosa tiene una gran capacidad de adaptarse y sobrevivir. Ciertas penicilinas, cefalosporinas, carbapenem, monobactamos, aminoglucósidos, fluoroquinolonas y polimixinas pueden ser activas pero comprometerse por resistencia mutacional por varios mecanismos.
Acinetobacter spp. son resistentes a penicilinas y cefalosporinas, La opción es un  carbapenem. Stenotrophomonas maltophilia es un agente multirresistente que está aumentando en importancia, en particular en Europa. Es intrínsicamente resistente a cefalosporinas de espectro extendido y carbapenemes.  El cotrimoxazol y las nuevas fluoroquinolonas tienen mejor actividad.
Grupo 1 (bajo riesgo de infección por gérmenes resistentes) Menos de 4 días de ingreso en la UCI o menos de 7 días en el hospital. Que no hayan recibido antibióticos durante más de 24 h en los últimos 15 días. Que no tengan otros FR de colonización orofaríngea por patógenos multirresistentes. En estos pacientes, se deben considerar patógenos diana los siguientes: S. pneumoniae, H. influenzae, S. aureus sensible a la meticilina, enterobacterias sensibles, bacterias de la flora saprofita de la vía respiratoria superior (Corynebacterium spp., Streptococcus grupo viridans, Staphylococcus coagulasa-negativo, Neisseria spp., etc.).
Grupo 1 (bajo riesgo de infección por gérmenes resistentes) El tratamiento recomendado en este grupo es:  ampicilina-sulbactam, ceftriaxona o cefotaxima  (usadas con precaución en instituciones con creciente incidencia de producción de BLEE) o alguna de las nuevas fluoroquinolonas  (levofloxacina, gatifloxacina o moxifloxacina).
Grupo 2 (alto riesgo de infección por patógenos multirresistentes) Pctes que hayan permanecido más de 4 días en la UCI o más de 7 días en el hospital Que hayan recibido antibióticos durante más de 24 h en los últimos 15 días. Que presenten otros FR de colonización orofaríngea crónica por gérmenes multirresistentes tales como: neurocirugía y SDRA para A. baumannii56 , EPOC para P. aeruginosa, traumatismo craneoencefálico y corticoides para SAMR75 o VM prolongada. En estos pacientes, se deben considerar patógenos diana los siguientes: P. aeruginosa, Acinetobacter spp., S. maltophilia, enterobacterias multirresistentes y SAMR.
Grupo 2 (alto riesgo de infección por patógenos multirresistentes) El tratamiento propuesto en este grupo es: carbapenemes  (imipenem, meropenem), cefepima, ceftazidima, piperacilina-tazobactam, fluoroquinolonas (ciprofloxacina y nuevas fluoroquinolonas)  para los gramnegativos (teniendo en consideración los patrones de resistencia locales) y glucopéptidos  (vancomicina, teicoplanina), linezolid y quinupristín/dalfopristín  para el SAMR.
 
 
 
 
YA  FALTA  POCO NO  SE  DUERMAN
Duración del tratamiento antiinfeccioso La duración del tratamiento debería ser individualizada dependiendo del microorganismo involucrado, la severidad de la enfermedad y la respuesta al tratamiento. Las normas de la ATS (American Thoracic Society) recomiendan una duración de  7 a 10 días para infecciones causadas por S. aureus o H. influenzae y duración de 14 a 21 días para infecciones graves causadas por bacilos Gram negativos.
FALLAS DE TRATAMIENTO INADECUADO ESQUEMA DE TRATAMIENTO CEPAS RESISTENTES PATOGENOS INUSUALES SUPERINFECCION FOCO CONCOMITANTE DE INFECCION CONDICIONES NO INFECCIOSAS
 
Criterios para cambio a terapia oral Paciente mejorando clínicamente (disnea y otros síntomas respiratorios). Afebril (menos de 38° C durante al menos 8 a 24 horas). Recuento de leucocitos en normalización.  Estabilidad hemodinámica durante al menos 24 horas (frecuencia cardiaca menor de 100/ minuto, frecuencia respiratoria menor de 24/minuto, presión sistólica mayor de 90 mmHg.  Paciente en condición de ingerir medicamentos orales  Tránsito digestivo normal.
NEUMONIAS INTRAHOSPITALARIAS: MEDIDAS PREVENTIVAS DESCONTAMINACION SELECTIVA DEL TRACTO GASTRO INTESTINAL:  Meta análisis al respecto demuestran que esta estrategia se asocia con significativa reducción de NIH. ( Chest 1994;105:1101-8/ BMJ 1993;307:525-32/  JAMA 2001;286:335-40 ) PROFILAXIS SISTEMICA :  Estudios al respecto demuestran que  prevendría aparición de NIH tempranas, mas no las tardías ( Am J Resp Crit Care Med 1997;155:1729-34 )
NEUMONIAS INTRAHOSPITALARIAS: MEDIDAS PREVENTIVAS DESCONTAMINACION OROFARINGEA : Medida promisoria pero aun faltan estudios que definan su verdadero rol en la prevención de neumonías IH (Am J Resp Crit Care Med 2001;164:382-8) PROFILAXIS DE LAS ULCERAS DE STRESS : El uso de sucralfato ha sido fehacientemente asociado a disminución de riesgo de neumonías frente a bloqueadores H2, pero pierde eficacia.  para prevenir ulceras de stress . Su uso rutinario no es recomendable  ( BMJ 2000;321:1-7)
NEUMONIAS INTRAHOSPITALARIAS: MEDIDAS PREVENTIVAS MODULACION DE ALIMENTACION ENTERAL : Comparaciones entre alimentación gástrica y enteral asocian a esta ultima disminución de NIH pero no es significativo ( Intens Care Med 2001;27:660-4) DRENAJE DE SECRESIONES SUBGLOTICAS . Medida promisoria pero faltan mas estudios  (Chest 2002;121:858-62) POSICION DEL CUERPO.  Se ha demostrado reducción de incidencia de NIH en pacientes tratados en posición semisentado vs supina durante alimentación enteral ( Lancet 1999;354:1851-8)
 
LOS MOTIVOS DE MI VIDA
MUCHAS GRACIAS

Neumonia intrahospitalaria. Dr. Casanova

  • 1.
    NEUMONIA INTRAHOSPITALARIA DR.RENATO CASANOVA MENDOZA MÉDICO NEUMÓLGO ASISTENTE CENTRO MEDICO NAVAL. CLÍNICA SAN GABRIEL MIEMBRO DE LA SOCIEDAD PERUANA DE NEUMOLOGÍA
  • 2.
  • 3.
  • 4.
  • 5.
    NEUMONÍA INTRAHOSPITALARIA: GUÍACLÍNICA APLICABLE A LATINOAMÉRICA PREPARADA EN COMÚN POR DIFERENTES ESPECIALISTAS SEPAR 2005 Archivos de Bronconeumología; 41: 439 - 456 ISSN : 0579-2129 Volumen 41, Número 08, Agosto 2005
  • 6.
  • 7.
  • 8.
    DEFINICION Se definecomo Neumonía intra hospitalaria ( NIH ) a aquella que se produce 48 horas o más después de la admisión en el hospital . NIH temprana: Antes de los 5 días. NIH tardía: Después de los 5 días. Algunos autores consideran como NIH cuando ocurren hasta 30 días post-hospitalización.
  • 9.
    Neumonía intrahospitalaria esaquella adquirida en un hospital de la cual no existe evidencia de incubación en el momento del ingreso al medio hospitalario. Según series epidemiológicas, afecta el 0,5 a 2% de los pacientes hospitalizados, pero esto varia por servicios e incluso entre hospitales.
  • 10.
    La incidencia deNIH es de 5 a 10 casos por 1000 ingresos hospitalarios y es de 6 a 20 veces más frecuente en los paciente que reciben VM. Centers for Disease Control and Prevention.. Prevention and control of influenza: recommendations of the Advisory Committee on Immunization Practices (ACIP). MMWR Morb Mortal Wkly Rep. 2001;50 (RR-4):1-44.
  • 11.
    Un estudio multicéntricoen 2.897 pacientes con VM invasiva mostró una prevalencia del 15%, con una mediana de 3 días de VM para su comienzo. Tejerina E, Frutos-Vivar F, Apezteguia C, González M, Soto L, Abroug F, et al.. Incidence and outcome of ventilator-associated pneumonia. Eur Resp J. En prensa 2004. 
  • 12.
    NEUMONÍA CIERTA Nuevosinfiltrados pulmonares progresivos y persistentes (> 24 h). Secreciones traqueales purulentas, más uno de los siguientes: Cavitación radiográfica: por TAC, preferentemente indicativa de absceso, confirmada por cultivo de material de punción. Evidencia histológica de neumonía (biopsia o necropsia) con formación de abscesos o áreas de consolidación con intensa infiltración leucocitaria. Cultivo positivo del parénquima que contenga ≥ 10 4 unidades formadoras de colonias (ufc)/g de tejido.
  • 13.
    NEUMONÍA PROBABLE Nuevosinfiltrados pulmonares progresivos y persistentes (>24 h) y secreciones traqueales purulentas, más uno de los siguientes criterios: a) cultivo cuantitativo de una muestra de secreciones pulmonares, obtenida con cepillo protegido (CP: > 10 3 ufc/ml) o lavado broncoalveolar (LBA: > 10 4 ufc/ml). b) aislamiento de microorganismos de hemocultivo, en ausencia de otro foco probable, en las 48 h anteriores o posteriores a la obtención de una muestra respiratoria simple (aspirado traqueal o esputo). Los patógenos de los hemocultivos y secreciones deben ser microbiológicamente idénticos, con igual patrón de sensibilidad antibiótica.
  • 14.
    c) aislamiento demicroorganismos en el líquido pleural, sin instrumentación previa y microbiológicamente idéntico, con igual patrón de sensibilidad antibiótica que el germen aislado de una muestra respiratoria simple. d) evidencia histológica de neumonía (biopsia o autopsia) con abscesos o áreas de consolidación con intensa infiltración leucocitaria, con cultivo negativo del parénquima pulmonar (< 104 ufc/g de tejido).
  • 15.
  • 16.
    Factores de riesgoEnfermedades predisponentes serias. Malnutrición. Tto inmunodepresor. Edad (mayores de 60 años). Cirugía reciente. Técnicas invasivas. Enfermedades neuromusculares. Depresión o toma de conciencia. Uso de antiácidos. Estancia en UCI. Intubación endotraqueal. Soporte ventilatorio.
  • 17.
    Factores de riesgoSexo femenino. Grupos de edad extremos. Hospitalización mayor de 14 días. Sonda naso-gástrica. Procedimientos quirúrgicos en cabeza, cuello, y abdomen superior. Uso de antibióticos en los 2 meses anteriores. Enfermedad cardiorespiratoria asociada.
  • 18.
    Factor de riesgoAgente causal frecuente Broncoaspiración Bacterias anaerobias Cirugía abdominal Enterococcos spp. Anaerobios Diabetes mellitus Staphylococcus aureus (Meth-sens. ) Coma, drogadictos I. V. Staphylococcus aureus (Meth-sens. ) Falla renal crónica Staphylococcus aureus (Meth-sens. )
  • 19.
    Factor de riesgoAgente causal frecuente Glucocorticoides Legionella spp, aspergillus spp. Hospitalización prolongada (pisos y UCI) P. aureuginosa, enterobacter spp, Acinetobacter spp. Antibióticos previos P. aureuginosa, enterobacter spp. Acinetobacter spp. Daño estructural pulmonar P. aureuginosa
  • 20.
  • 21.
  • 22.
    Factores de riesgode neumonía intrahospitalaria por microorganismos multirresistentes VM prolongada (> 4-7 días). Uso previo de antibióticos. Para Acinetobacter baumannii: neurocirugía y SDRA. Para P. aeruginosa: uso de metronidazol y EPOC. Para SAMR: traumatismo craneal y uso de corticoides.
  • 23.
    Factores pronósticos demortalidad Edad avanzada. Mala calidad de vida previa. Presencia de enfermedad rápida o finalmente fatal Enfermedades con déficit inmunitario (cáncer, trasplantes, sida). Ingreso en UCI quirúrgicas. Necesidad de oxígeno a concentraciones superiores al 35%. Necesidad de presión positiva al final de la espiración. Reintubación.
  • 24.
    Factores pronósticos demortalidad Disfunciones orgánicas no pulmonares (particularmente cuando el número de defectos es mayor de 3). Shock. Sepsis grave. Compromiso bilateral. Concentraciones séricas elevadas de interleucina 6. Tratamiento antibiótico inadecuado. La neumonía tardía. La secundaria a patógenos de alto riesgo (gramnegativos no fermentadores y SAMR).
  • 25.
    Rutas de ingresode la infección Micro aspiración de secreciones de la orofaringe previamente colonizada por bacterias patógenas. Broncoaspiración masiva ( reflejo nauseoso alterado, cuando hay alteración en el estado de conciencia, durante intubación endo-traqueal, utilización de sonda naso gástrica, y en enfermedades esofágicas). La contaminación hematógena ( la contaminación hematógena de sitios distantes es importante durante período post-operatorio y en pacientes con catéteres y sondas vesicales).
  • 26.
    Rutas de ingresode la infección Inhalación de aerosoles contaminados ( la aspiración de aerosoles contaminados es la responsable de infecciones por Legionella, algunos virus, mycobacterium tuberculosis y hongos, especialmente durante ventilación mecánica utilizando sistemas de humidificación contaminados).
  • 27.
    COLONIZACION DE BOCAY OROFARINGE: Ausencia de fibronectina / 42%-46% patógenos NIH se aislaron previamente en la oro faringe (Am J Resp crit care Med 1998;158:1839-47) COLONIZACION TRAQUEAL: Se produce a las 24 h en un 80-89% / pseudomona aeruginosa ( Chest 1999;116:462-70)
  • 28.
    Rutas de ingresode la infección El tubo endotraqueal  sobrepasa los sistemas de defensa existentes por encima de las cuerdas vocales y altera mecanismos del árbol bronquial como son la tos y el sistema mucociliar de la mucosa. Las secreciones contaminadas se  acumulan por encima del balón del tubo endo-traqueal y no se pueden succionar en forma rutinaria, facilitando su broncoaspiración hacia el tracto respiratorio inferior.
  • 29.
  • 30.
  • 31.
    BIOFILM DEL TUBOENDOTRAQUEAL: 70% pacientes con NIH tuvo patógenos aislados en tuvo endotraqueal previamente (Intens Care Med 1999;25:1072-6) VENTILADOR MECANICO: 80% de los circuitos y los condensados fueron colonizados a las 24 h (Am Rev Resp dis 1984;129:625-8) Manipulación de los circuitos incrementan el riesgo de NIH (NEJM 1982;306:1505-9)
  • 32.
    Rutas de ingresode la infección Translocación desde el tracto gastro-intestinal (por aumento del pH gástrico y se encuentra por encima de 4.0, lo cual puede ocurrir en pacientes ancianos, acloridia, ileo, enfermedades del tracto digestivo superior, nutrición enteral, antiácidos, antagonistas H2)
  • 33.
    ETIOLOGIA FUENTE PRINCIPAL:AGENTES ENDOGENOS QUE COLONIZAN AL PACIENTE DURANTE SU HOSPITALIZACION LOS AGENTES RESPONSABLES VARIAN SEGÚN EL MOMENTO DEL INICIO DE LA NEUMONIA, ASI COMO EL SERVICIO DONDE SE ENCUENTRA EL PACIENTE E INCLUSO ENTRE INSTITUCIONES
  • 34.
    Gérmenes más comunesen la NIH Entre el 75 y el 85 %: Los gram negativos (enterobacterias), con una mortalidad que oscila entre el 30 y el 60 % El 15 % son originadas por gram positivos (Staphylococcus aureus, Streptococcus ) con una mortalidad entre el 5 y el 20 %.
  • 35.
    La Pseudomonassp es el germen más frecuente en el paciente ventilado (20-30 %) Richards MJ, Edwards JR, Culver DH, Gaynes RP. Nosocomial infections in medical intensive care units in the United States. National Nosocomial Infections Surveillance System. Crit Care Med. 1999;27:887.
  • 36.
  • 37.
    Gérmenes más comunesen la NIH Hasta en el 50 % de las neumonías intrahospitalarias se desconoce el germen patógeno, pues por los diferentes métodos diagnósticos no se aísla ningún organismo. Hasta en el 30 % de las NIH, se tratan de un proceso donde intervienen varios gérmenes (polimicrobiana).
  • 38.
    La etiología polimicrobianaes frecuente. Se presenta en alrededor del 40% de las NIH en las series y es más frecuente en pacientes con síndrome de distrés respiratorio agudo (SDRA). Luna CM, Vujacich P, Niederman MS, Vay C, Gherardi C, Matera J, et al.. Impact of BAL data on the therapy and outcome of ventilator-associated pneumonia. Chest. 1997;111:676-85. Chastre J, Trouillet JL, Vuagnat A, Joly-Guillou ML, Clavier H, Dombret MC, et al.. Nosocomial pneumonia in patients with acute respiratory distress syndrome. Am Rev Respir Crit Care Med. 1998;157:1165-72. 
  • 39.
    Gérmenes más comunesen la NIH La etiología viral es muy importante causa de neumonía intrahospitalaria en los pacientes pediátricos. Entre los virus que conviene destacar se encuentran: Influenza A y B, virus respiratorio sincicial, Adenovius, virus parainfluenza 1, 2, 3 y Hantavirus .
  • 40.
    Gérmenes más comunesen la NIH Gérmenes % Pseudomonas aeruginosa 15 - 20 Enterobacter sp 10 - 12 Escherichia coli 6 - 7 Klebsiella sp 7 - 8 Proteus sp 3 - 4 Serratia marcescens 4 - 5 Staphylococcus aureus 10 - 20 Streptococcus pneumoniae 3 - 8
  • 41.
  • 42.
  • 43.
    NEUMONIA INTRAHOSPITALARIA DEINICIO TEMPRANO STAFILOCOCO AUREUS METICILINO SENSIBLE STREPTOCOCO PNEUMONIAE HAEMOFILUS INFLUENZAE ANAEROBIOS
  • 44.
    NEUMONIA DE INICIOTARDIO: GERMENES POTENCIALMENTE RESISTENTES STAFILOCOCO AUREUS METICILINO RESISTENTE PSEUDOMONA AERUGINOSA ACINETOBACTER BAUMANI STENOTROPHOMONA MALTOPHILA
  • 45.
  • 46.
    CLASIFICACIÓN La AsociaciónAmericana del Tórax agrupo a todos los pacientes con NIH en tres categorías: GRUPO I: Enfermedad leve a moderada en personas sin factores de riesgo, inicio temprano o tardío Enfermedad severa de inicio temprano (< 5 días). GRUPO II: Enfermedad leve a moderada con factores de riesgo, inicio temprano o tardío.
  • 47.
    CLASIFICACIÓN GRUPO III Enfermedad severa con factores de riesgo inicio temprano (< 5 días) Enfermedad severa de inicio tardío ( > 5días )
  • 48.
  • 49.
  • 50.
  • 51.
  • 52.
  • 53.
  • 54.
    NEUMONIA INTRAHOSPITALARIA :PROBLEMAS DIAGNOSTICOS
  • 55.
    DIAGNÓSTICO NO EXISTEGOLD ESTÁNDAR PARA DIAGNOSTICO DE NEUMONIA INTRAHOSPITALARIA. PROBLEMAS DIAGNOSTICOS FRECUENTES Diferenciación entre colonización e infección Interpretación de signos clínicos y síntomas Elección correcta de antibióticos
  • 56.
    DIAGNÓSTICO EVALUACION CLINICA SOLA. EVALUACION CLINICA ASOCIADO A CULTIVOS CUALITATIVOS. EVALUACION CLINICA ASOCIADO A CULTIVOS CUANTITATIVOS: De muestras no obtenidas por BFC De muestras obtenidas por BFC
  • 57.
    EVALUACION CLINICA Losparámetros clínicos con estudios radiológicos tienen baja especificidad para el diagnostico. La ayuda microbiológica proporcionada por el gram y cultivo de esputo es bajo, pero en algunos casos orienta el antibiótico inicial de elección El resultado es un sobreuso de antibióticos, falla de tratamiento y riesgo de colonización por gérmenes multiresistentes
  • 58.
    Se ha planteadoel uso de puntajes basados en las manifestaciones clinicas del paciente ( clinical pulmonary infection score – CPIS) El puntaje varia de 0 a 12, puntajes por encima de 6 orientan a un diagnostico correcto de neumonía intrahospitalaria y un uso justificado de antibióticos Estrategias basadas en el uso de CPSI demuestran menor costo en uso de ATB, aparición de resistencia y súper infección Am Rev Resp Dis 1991;143:1121-9 Am J Resp Crit Care Med 2000;162:505-11
  • 59.
    Criterion Value PointsTemperature (°C) >/= 36.5 and </= 38.4 0 >/= 38.5 and </= 38.9 1 </= 36.0 and >/= 39.0 2 Blood leukocytes (/µL) >/= 4000 and </= 11,000 0 < 4000 or > 11,000 1 >/= 500 band forms +1 Tracheal secretions Absence of tracheal secretions 0 Presence of nonpurulent tracheal secretions 1 Presence of purulent tracheal secretions 2 Oxygenation: PaO 2 /FIO 2 (mm Hg) > 240 or ARDS 0 </= 240 and no evidence of ARDS 2 Pulmonary radiography No infiltrate 0 Diffuse (or patchy) infiltrate 1 Localized infiltrate 2 Progression of pulmonary infiltrate No radiographic progression 0 Radiographic progression (after CHF and ARDS excluded) 2 Culture and Gram stain of tracheal aspirate (semiquantitative: 0/+/++/+++) No pathogenic bacteria cultured (0/+) 0 Pathogenic bacteria cultured (+/++/+++) 1 Some pathogenic bacteria seen on Gram stain (> +) +1
  • 60.
  • 61.
  • 62.
    USO DE CULTIVOSPOR BRONCOFIBROSCOPIA Son los cultivos mas recomendables a la fecha para diagnostico de neumonía intrahospitalaria según estudios realizados (1) Obtenidos por lavado broncoalveolar (BAL) o escobillado bronquial (PSB) siendo el punto de corte 10(4) y 10(3)UFC respectivamente Estrategia dx basada en cultivos por BFC cursa con menor mortalidad frente a pacientes con dx solo clinico (2) (1)Ann Intern Med. 2000;132:621-630 .(2)Chest 1999;115:1076-84
  • 63.
    USO DE ASPIRADOSENDOTRAQUEALES El análisis de cultivos CUANTITATIVOS obtenidos por aspirados endotraqueales - 10(5) UFC- son fáciles de realizar y sus resultados han sido comparados en eficacia con los de BFC ( 50 -60%) Los cultivos rutinarios de aspiración traqueal no cuantitativos han perdido especificidad y no son recomendables en la actualidad Eur Respir J . 2001;17:791-801
  • 64.
    RADIOLOGIA Los infiltradospueden ser muy pequeños y difíciles de apreciar especialmente en radiografías portátiles. La pausa inspiratoria es prácticamente imposible cuando el paciente se encuentra en ventilación mecánica haciéndolas menos específicas para el diagnóstico. La Tomografía Axial del tórax puede diagnosticar hasta en un 26% más, infiltrados pulmonares a más de definirlos más exactamente que la placa simple del tórax
  • 65.
  • 66.
  • 67.
  • 68.
  • 69.
  • 70.
    Diagnóstico La interpretaciónde las secreciones bronquiales purulentas y su diagnóstico microbiológico también es difícil. La orofaringe de los pacientes moderadamente enfermos hospitalizados, rápidamente aparece colonizada por micro-organismos patógenos. En aspirados traqueales la presencia de cultivos positivos para micro-organismos comunes o inclusive patógenos como Pseudomonas  aureuginosa o el Staphylococcus aureus, no asegura el diagnóstico microbiológico adecuado de neumonía nosocomial.
  • 71.
    Diagnóstico Las másextensas investigaciones se han hecho con la utilización de cepillos endoscópicos protegidos (PSB) y de lavados bronquiolo alveolares (BAL). Se acepta que cultivos cuantitativos positivos para más de 1000  ó  10000  unidades formadoras de colonias por mL.
  • 72.
    Diagnóstico El estudiocuantitativo del aspirado traqueal tiene una sensibilidad promedio del 81% y una especificidad del 65%. El punto de corte recomendado para considerar el cultivo positivo es de ≥ 105 a ≥ 106 ufc/ml, para cada microorganismo microbiológicamente significativo Marquette CH, Georges H, Wallet F, Ramon P, Saulnier F, Neviere R, et al.. Diagnostic efficiency of endotracheal aspirates with quantitative bacterial cultures in intubated patients with suspected pneumonia. Comparison with the protected specimen brush. Am Rev Respir Dis. 1993;148:138-44.
  • 73.
    TRATAMIENTO Datos clínicosy gravedad. Uso previo de antibióticos. Tiempo transcurrido entre el ingreso hospitalario y el diagnóstico. Duración previa de la VM. Los FR para patógenos específicos. La prevalencia de patógenos y patrones de resistencia natural y propios de la UCI o del hospital. El tratamiento inicial debe buscar ser adecuado y temprano. Los antibióticos deben usarse prudentemente para tratar de impedir el desarrollo de resistencia bacteriana.
  • 74.
    TRATAMIENTO Bacilos Gramnegativos Cefalosporinas de tercera o cuarta generación, con o sin acción antipseudomonas + Aminoglucosido. Combinaciones de ß lactámicos con inhibidores de ß lactamasas + Quinolonas o Aminoglucósidos + Carbapenems.
  • 75.
    TRATAMIENTO Cepas productorasde BL (E. coli y Klebsiella spp) Amino-glucósidos + Fluoroquinolonas como ciprofloxacina,Levofloxacina o Trovofloxacina, imipenem-cilastina o meropenem. Frente a una cepa de Enterobacter spp se recomienda no usar cefalosporinas y usar otros antimicrobianos con actividad para bacilos Gram negativos.
  • 76.
    TRATAMIENTO Staphylococcus aureusresistente a meticilina: Vancomicina. S. aureus oxacilina-sensible: Cloxacilina. Alergia a vancomicina o dificultad en el manejo de las vías venosas, para completar tratamiento: Teicoplanina por vía intramuscular o Linezolid. Quinupristin/dalfopristin es una alternativa para el tratamiento de las infecciones resistentes por cocáceas Gram positivas.
  • 77.
    TRATAMIENTO Pseudomonas aeruginosaUso de terapia asociada Netilmicina + imipenem (?). ßlactámicos con acción antipseudomonas (ceftazidima, cefoperazona, cefepime) o piperacilina/tazobactam o imipenem-cilastina o meropenem asociado a un aminoglucósido o ciprofloxacina.
  • 78.
    SAMR sensibilidad intermediaa la vancomicina (concentración mínima inhibitoria: 8-16 μ g/ml). Entre los nuevos antibióticos con efectividad frente al SAMR figuran el linezolid y quinupristín/dalfopristín. Klebsiella spp. y Enterobacter spp. son sensibles al carbapenem y al cefepime, y de forma variable a las fluoroquinolonas, el cotrimoxazol y los aminoglucósidos; son naturalmente resistentes a aminopenicilinas y pueden adquirir resistencia a cefalosporinas de tercera y cuarta generaciones.
  • 79.
    La resistencia acefalosporinas de tercera generación de Klebsiella pneumoniae, Escherichia coli y Proteus mirabilis puede deberse a betalactamasas de espectro extendido (BLEE). P. aeruginosa tiene una gran capacidad de adaptarse y sobrevivir. Ciertas penicilinas, cefalosporinas, carbapenem, monobactamos, aminoglucósidos, fluoroquinolonas y polimixinas pueden ser activas pero comprometerse por resistencia mutacional por varios mecanismos.
  • 80.
    Acinetobacter spp. sonresistentes a penicilinas y cefalosporinas, La opción es un carbapenem. Stenotrophomonas maltophilia es un agente multirresistente que está aumentando en importancia, en particular en Europa. Es intrínsicamente resistente a cefalosporinas de espectro extendido y carbapenemes. El cotrimoxazol y las nuevas fluoroquinolonas tienen mejor actividad.
  • 81.
    Grupo 1 (bajoriesgo de infección por gérmenes resistentes) Menos de 4 días de ingreso en la UCI o menos de 7 días en el hospital. Que no hayan recibido antibióticos durante más de 24 h en los últimos 15 días. Que no tengan otros FR de colonización orofaríngea por patógenos multirresistentes. En estos pacientes, se deben considerar patógenos diana los siguientes: S. pneumoniae, H. influenzae, S. aureus sensible a la meticilina, enterobacterias sensibles, bacterias de la flora saprofita de la vía respiratoria superior (Corynebacterium spp., Streptococcus grupo viridans, Staphylococcus coagulasa-negativo, Neisseria spp., etc.).
  • 82.
    Grupo 1 (bajoriesgo de infección por gérmenes resistentes) El tratamiento recomendado en este grupo es: ampicilina-sulbactam, ceftriaxona o cefotaxima (usadas con precaución en instituciones con creciente incidencia de producción de BLEE) o alguna de las nuevas fluoroquinolonas (levofloxacina, gatifloxacina o moxifloxacina).
  • 83.
    Grupo 2 (altoriesgo de infección por patógenos multirresistentes) Pctes que hayan permanecido más de 4 días en la UCI o más de 7 días en el hospital Que hayan recibido antibióticos durante más de 24 h en los últimos 15 días. Que presenten otros FR de colonización orofaríngea crónica por gérmenes multirresistentes tales como: neurocirugía y SDRA para A. baumannii56 , EPOC para P. aeruginosa, traumatismo craneoencefálico y corticoides para SAMR75 o VM prolongada. En estos pacientes, se deben considerar patógenos diana los siguientes: P. aeruginosa, Acinetobacter spp., S. maltophilia, enterobacterias multirresistentes y SAMR.
  • 84.
    Grupo 2 (altoriesgo de infección por patógenos multirresistentes) El tratamiento propuesto en este grupo es: carbapenemes (imipenem, meropenem), cefepima, ceftazidima, piperacilina-tazobactam, fluoroquinolonas (ciprofloxacina y nuevas fluoroquinolonas) para los gramnegativos (teniendo en consideración los patrones de resistencia locales) y glucopéptidos (vancomicina, teicoplanina), linezolid y quinupristín/dalfopristín para el SAMR.
  • 85.
  • 86.
  • 87.
  • 88.
  • 89.
    YA FALTA POCO NO SE DUERMAN
  • 90.
    Duración del tratamientoantiinfeccioso La duración del tratamiento debería ser individualizada dependiendo del microorganismo involucrado, la severidad de la enfermedad y la respuesta al tratamiento. Las normas de la ATS (American Thoracic Society) recomiendan una duración de 7 a 10 días para infecciones causadas por S. aureus o H. influenzae y duración de 14 a 21 días para infecciones graves causadas por bacilos Gram negativos.
  • 91.
    FALLAS DE TRATAMIENTOINADECUADO ESQUEMA DE TRATAMIENTO CEPAS RESISTENTES PATOGENOS INUSUALES SUPERINFECCION FOCO CONCOMITANTE DE INFECCION CONDICIONES NO INFECCIOSAS
  • 92.
  • 93.
    Criterios para cambioa terapia oral Paciente mejorando clínicamente (disnea y otros síntomas respiratorios). Afebril (menos de 38° C durante al menos 8 a 24 horas). Recuento de leucocitos en normalización. Estabilidad hemodinámica durante al menos 24 horas (frecuencia cardiaca menor de 100/ minuto, frecuencia respiratoria menor de 24/minuto, presión sistólica mayor de 90 mmHg. Paciente en condición de ingerir medicamentos orales Tránsito digestivo normal.
  • 94.
    NEUMONIAS INTRAHOSPITALARIAS: MEDIDASPREVENTIVAS DESCONTAMINACION SELECTIVA DEL TRACTO GASTRO INTESTINAL: Meta análisis al respecto demuestran que esta estrategia se asocia con significativa reducción de NIH. ( Chest 1994;105:1101-8/ BMJ 1993;307:525-32/ JAMA 2001;286:335-40 ) PROFILAXIS SISTEMICA : Estudios al respecto demuestran que prevendría aparición de NIH tempranas, mas no las tardías ( Am J Resp Crit Care Med 1997;155:1729-34 )
  • 95.
    NEUMONIAS INTRAHOSPITALARIAS: MEDIDASPREVENTIVAS DESCONTAMINACION OROFARINGEA : Medida promisoria pero aun faltan estudios que definan su verdadero rol en la prevención de neumonías IH (Am J Resp Crit Care Med 2001;164:382-8) PROFILAXIS DE LAS ULCERAS DE STRESS : El uso de sucralfato ha sido fehacientemente asociado a disminución de riesgo de neumonías frente a bloqueadores H2, pero pierde eficacia. para prevenir ulceras de stress . Su uso rutinario no es recomendable ( BMJ 2000;321:1-7)
  • 96.
    NEUMONIAS INTRAHOSPITALARIAS: MEDIDASPREVENTIVAS MODULACION DE ALIMENTACION ENTERAL : Comparaciones entre alimentación gástrica y enteral asocian a esta ultima disminución de NIH pero no es significativo ( Intens Care Med 2001;27:660-4) DRENAJE DE SECRESIONES SUBGLOTICAS . Medida promisoria pero faltan mas estudios (Chest 2002;121:858-62) POSICION DEL CUERPO. Se ha demostrado reducción de incidencia de NIH en pacientes tratados en posición semisentado vs supina durante alimentación enteral ( Lancet 1999;354:1851-8)
  • 97.
  • 98.
  • 99.