Toxoplasmosis
Historia
Agente Etiológico
Ciclo Vital del Toxoplasma gondii
EPIDEMIOLOGIA y Cuadro Clínico
Diagnóstico
Prevención y tratamiento
TOXOPLASMOSIS
1908
Toxoplasma
gondii
descubierto por
Nicolle y
Manceaux en
Túnez en el
roedor
Ctenodactylus
gundi
1923
Janku en Praga,
describe el primer
caso de
coriorretinitis en
una recién nacida.
1948
Sabin y Feldman
establecieron el
diagnóstico
serológico de la
enfermedad.
1970
Frenkel y Hutchison
describen su ciclo
vital.
HISTORIA
AGENTE ETIOLOGICO
• Filum Apicomplexa,
• Clase Sporozoa ,
• Familia Sarcocystidae,
• Género Toxoplasma.
• Especie : Toxoplasma gondii
• Griego Toxon Arco
• morfología curva o en media luna.
Agente Etiologico:
• Taquizoíto
– Forma proliferativa
– infección aguda
– multiplicación rápida.
– Tamaño 4 a 6 u de largo por 2-3 de ancho.
– Coloración Giemsa citoplasma azul pálido núcleo paracentral rojizo.
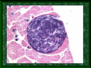
• Quistes
– Infecciones crónicas
– Poseen una membrana propia
– Miden entre 20- 200u de diámetro.
– Son la forma de resistencia en el medio interno.
• Bradizoitos
– Se encuentran por cientos dentro de los quistes
– Reproducción lenta
– Miden 7 u de largo por 2u de ancho.
• OOQUISTE
– Las formas sexuadas (gametocitos) solo existen en el gato,
– Células ileales, los trofozoitos se transforman en gametocitos, que
al unirse forman un ooquiste,
– Poseen una cápsula muy resistente,
– Mide entre 10 a 12 micras,
– Se eliminan en las heces de los gatos .
• 7 a 20 días después de su infestación, se liberan diez
millones de ooquistes por día durante dos semanas;
• En condiciones ambientales adecuadas los ooquistes
esporulan dando origen a la forma infestante:
• Huevo diploide (dos esporoquistes, cada uno de cuatro
esporozoitos).
Ciclo Biológico en el Huésped
intermediario
• Hombre
– Fase Proliferartiva: Zoítos penetran las células ,
se multiplican por endodiogenia y rompen las
células liberando taquizoítos.
– Fase Quística: Zoítos penetran una célula
formando una membrana quística se
multiplican por endodiogenia degeneran la
célula formando un pseudoquiste.
Ciclo Biológico en felinos (huésped
Definitivo)
• Fase Esquizogónica
– El Zoíto penetra las células de la pared intestinal del felino,
forman allí esquizontes los que después se rompen
liberando merozoítos.
• Fase Gamagónica
– El zoíto penetra la pared intestinal del felino formando
micro y macro gametos
• Fase Esporogónica
– Los Gametos se fecundan formando un cigoto que sale a la
luz intestinal: Ooquiste: 2 esporoblastos: 4 esporozoítos.
Biología
• Se multiplan por
endodiogenia
(Asexuada)
Quiste con bradizoitos
Células Huésped
Neutrófilos
Células dendríticas
Macrófagos
Linfocitos
Mastocitos
Astrocitos
CICLO VITAL
• Ciclo Entero Epitelial o Esporogónico: El gato se infesta:
– Ingiriendo ratones o pájaros parasitados por quistes o
– A través de ooquistes de hierba y tierra;
– Alimentación con carne cruda
• los quistes u ooquistes por acción de los jugos digestivos
dan lugar a la salida de trofozoitos que se multiplican e
invaden las células intestinales,
• dentro de las células, se transforman en microgametos
masculinos y femeninos, la fusión de estos forma grandes
cantidades de ooquistes que se eliminan en las heces.
• En el medio ambiente maduran en 1 a 2 días y en su
interior se forman dos esporoquistes, cada uno con 4
esporozoítos.
• Ciclo Esquizogónico: Los "ooquistes maduros" (2
esporoquistes c/u con 4 esporozoitos) bajo la
acción de los jugos digestivos, liberan el parásito
que penetra en las células y se multiplican,
• Pasan luego a la sangre dando lugar a una
parasitemia, estos trofozoitos llegan a todo el
cuerpo principalmente al tejido muscular y
nervioso donde el parásito se instala cambiando a
la forma quística, como un mecanismo de defensa
ante la acción del huésped.
• La mayoría de animales silvestres son positivos a
la enfermedad, los animales domésticos también
poseen una alta positividad.
Modo de contaminación
• El ser humano puede contaminarse con toxoplasmas
en las tres formas que se presenta el parásito:
• OOQUISTES: Ingesta de verduras, legumbres y
frutas contaminadas, o en el entorno del gato.
• TROFOZOITO: Pasaje de trofozoitos a través de la
placenta, sobre todo al final del embarazo
(Toxoplasmosis congénita); y transplantes o
transfusiones.
• QUISTES: Ingesta de carne cruda o mal cocida.
EPIDEMIOLOGIA
• Distribución Cosmopolita
• Magnitud
– Prevalencia variable de acuerdo a usos y costumbres.
• Mecanismos de Transmisión
– Carnivorismo (Quistes)
– Transfusional
– Transplacentario (Taquizoítos)
– Contaminación fecal con heces de gatos (Ooquistes).
Epidemiología
• Huésped
– Definitivo: Gato y otros felinos
– Intermediarios: Cientos de mamíferos y aves
incluido el hombre
• Grupos de Riesgo
– Feto en desarrollo
– Inmunodeprimidos
Formas clínicas
• Toxoplasmosis Adquirida:
– Leve y a menudo inadvertida en personas
inmunocompetentes.
– Grave en inmunodeprimidos (SIDA, pacientes con
cáncer en quimioterapia, etc), pudiendo afectar en
estos pacientes al cerebro, los ojos, el corazón, el
pulmón, y el hígado.
• Toxoplasmosis Congénita:
– Muy grave para el feto:
- Ceguera
- Daños irreversibles en el S.N.C.
CUADRO CLINICO
• El período de incubación (libre de síntomas) es
entre 1 y 2 semanas. Los síntomas y signos
más típicos son:
• Huésped normal:
∀• Enfermedad febril leve similar a la llamada
"mononucleosis".
∀• Dolor de cabeza.
∀• Dolores musculares.
∀• Aumento de tamaño de los ganglios
linfáticos.
Infección congénita
• Cuando la madre se infecta por primera vez, durante
el embarazo, se invaden todos los órganos incluido la
placenta existe un riesgo de transmisión de:
• 65% último trimestre
• 25% segundo trimestre
• 17% Primer trimestre
• La infección de la madre es leve o asintomática, si la
infección fue adquirida antes de la gestación el niño
no desarrolla infección congénita.
• También se acepta que una madre que dio a luz un
niño con toxoplasmosis no vuelve a tener otro con la
enfermedad.
Infección Congénita
• Puede haber aborto o natimuertos,pero no es causa de
abortos repetidos.
• De los recién nacidos infectados:
• 70% Son asintomáticos.
• 20% Secuelas neurológicas o infección generalizada
10% Compromiso ocular.
∀ • Alteraciones del sistema nervioso central:
Microcefalia o hidrocefalia, calcificaciones.
∀ • Aumento de tamaño del bazo y el hígado.
∀ • Fiebre
∀ • Ictericia
∀ • Coriorretinitis (ceguera), cataratas, uveítis y glaucoma
∀ • Retraso mental.
Infección congénita con
calcificaciones e hidrocefalia
Calcificacion y atrofia cerebral
Microftalmia y retardo mental
Huésped inmunodeprimido:
• Toxoplasmosis cerebral: Fiebre, dolor de
cabeza, confusión, convulsiones.
• Toxoplasmosis de la retina: Visión
borrosa.
• Toxoplasmosis sistémica o generalizada
DIAGNOSTICO
• Es una enfermedad de difícil
diagnóstico, pues no siempre puede
establecerse la relación entre infección
y enfermedad.
• Debe diferenciarse de Mononucleosis,
Tifoidea y Brucelosis, y la forma
congénita de todas las otras entidades
que producen malformaciones
congénitas (T.O.R.C.H.S)
Demostración Directa
• Estudio de Secreciones y Biopsias:
– L.C.R.
– Ganglios linfáticos,
– Médula ósea
– Otros tejidos
• Inoculación en animales de experimentación
– Bajo rendimiento
– Ratones no infectados por vía intraperitoneal,
– Los taquizoítos aparecen en 4 a 8 días en el exudado
intraperitoneal,
– En 4 a 6 semanas se buscan los quistes en el cerebro.
Necropsia
• Cerebro de un prematuro con
calcificaciones por toxoplasmosis
Serología
• Inmunofluorescencia indirecta: Títulos de
1: 1024 sugieren infección activa, puede
repetirse cada dos semanas para ver
incremento del título.
• Prueba de ELISA.: Títulos mayores de 300
UI/ml sugieren infección activa.
• Prueba de Hemaglutinación indirecta. 1:
1024.
SEROLOGIA
• Prueba de Sabin y Feldman. 1: 1024,
llamada también prueba del colorante, si los
parásitos no se tiñen con azul de metileno
significa una prueba positiva. Es muy
específica
• Prueba de fijación de complemento:
Títulos mayores de 1: 256 indican
infección activa, es altamente específica,
pero poco sensible
SEROLOGIA
• Toxoplasmina. Prueba de
hipersensibilidad tardía, aparece positiva
después de la quinta semana de infección,
es una prueba poco específica, pero si es
negativa ayuda a descartar la entidad.
• RCP. Es la prueba mas útil, ya que
identifica el ADN indicando su presencia
en los tejidos y fluidos inclusive en el
líquido amniótico.
SEROLOGIA
• En el Recién Nacido se consideran de valor
diagnóstico para infección congénita, Los
siguientes casos:
∀• Cuando los títulos son mas elevados en el
R.N. que en la madre, por lo menos en
cuatro diluciones.
∀• Cuando en los meses siguientes, el niño
eleva progresivamente los títulos de
anticuerpos.
∀• Cuando el niño presenta títulos
notablemente altos ej. 1: 16000 o más.
∀• Cuando al R.N. se le detectan anticuerpos
Ig. M.
DIAGNOSTICO
• En la mujer gestante, se le dá importancia a
las reacciones serológicas, cuando al
empezar el embarazo estaban negativas y
se hicieron positivas en los siguientes
meses.
• Toxoplasmosis cerebral: Para su
diagnóstico, pueden ser precisos una TAC
craneal y/o una Resonancia Magnética, e
incluso una biopsia cerebral.
TRATAMIENTO
• Los casos leves y asintomáticos no necesitan
tratamiento.
• El tratamiento de la mujer gestante disminuye las
complicaciones a la mitad.
• Las medicaciones más empleadas son la
pirimetamina, las sulfamidas y la clindamicina
• El tratamiento en los pacientes con SIDA se
mantiene de por vida, ya que la infección
puede reactivarse si se suspende el
tratamiento.
(PREVENCION)
• Evitar la carne cruda o mal cocida, o bien
congelarla -20º C durante al menos 48 horas.
• Proteger las zonas de juegos infantiles de las
heces de gatos y perros.
• Lavado de manos minucioso tras contacto con
suelo que haya podido estar contaminado.
• Todas las mujeres gestantes tiene que hacerse
una serología para Toxoplasma, y las que la
tengan negativa, tomar precauciones
especiales para no contraerla durante su
embarazo,
PRECAUCIONES ESPECIALES
• 1. No manipular carnes crudas, o utilizar guantes
para ello, lavado de manos luego de manipular carnes.
• 2. Evitar la alimentación del gato con carne cruda.
• 3. Evitar la limpieza de las heces de gatos.
• 4. Control de roedores, que son la fuente de infección
de los gatos.
• 5. Buen cocimiento de las carnes
• 6. Control de cucarachas y moscas, por la posibilidad
de actuar como vectores mecánicos.
• 7. En fase experimental se encuentra la vacunación de
los gatos con una cepa avirulenta de toxoplasma.

10.toxoplasmosis

  • 1.
  • 2.
    Historia Agente Etiológico Ciclo Vitaldel Toxoplasma gondii EPIDEMIOLOGIA y Cuadro Clínico Diagnóstico Prevención y tratamiento TOXOPLASMOSIS
  • 3.
    1908 Toxoplasma gondii descubierto por Nicolle y Manceauxen Túnez en el roedor Ctenodactylus gundi 1923 Janku en Praga, describe el primer caso de coriorretinitis en una recién nacida. 1948 Sabin y Feldman establecieron el diagnóstico serológico de la enfermedad. 1970 Frenkel y Hutchison describen su ciclo vital. HISTORIA
  • 4.
    AGENTE ETIOLOGICO • FilumApicomplexa, • Clase Sporozoa , • Familia Sarcocystidae, • Género Toxoplasma. • Especie : Toxoplasma gondii • Griego Toxon Arco • morfología curva o en media luna.
  • 5.
    Agente Etiologico: • Taquizoíto –Forma proliferativa – infección aguda – multiplicación rápida. – Tamaño 4 a 6 u de largo por 2-3 de ancho. – Coloración Giemsa citoplasma azul pálido núcleo paracentral rojizo. • Quistes – Infecciones crónicas – Poseen una membrana propia – Miden entre 20- 200u de diámetro. – Son la forma de resistencia en el medio interno. • Bradizoitos – Se encuentran por cientos dentro de los quistes – Reproducción lenta – Miden 7 u de largo por 2u de ancho.
  • 6.
    • OOQUISTE – Lasformas sexuadas (gametocitos) solo existen en el gato, – Células ileales, los trofozoitos se transforman en gametocitos, que al unirse forman un ooquiste, – Poseen una cápsula muy resistente, – Mide entre 10 a 12 micras, – Se eliminan en las heces de los gatos . • 7 a 20 días después de su infestación, se liberan diez millones de ooquistes por día durante dos semanas; • En condiciones ambientales adecuadas los ooquistes esporulan dando origen a la forma infestante: • Huevo diploide (dos esporoquistes, cada uno de cuatro esporozoitos).
  • 12.
    Ciclo Biológico enel Huésped intermediario • Hombre – Fase Proliferartiva: Zoítos penetran las células , se multiplican por endodiogenia y rompen las células liberando taquizoítos. – Fase Quística: Zoítos penetran una célula formando una membrana quística se multiplican por endodiogenia degeneran la célula formando un pseudoquiste.
  • 13.
    Ciclo Biológico enfelinos (huésped Definitivo) • Fase Esquizogónica – El Zoíto penetra las células de la pared intestinal del felino, forman allí esquizontes los que después se rompen liberando merozoítos. • Fase Gamagónica – El zoíto penetra la pared intestinal del felino formando micro y macro gametos • Fase Esporogónica – Los Gametos se fecundan formando un cigoto que sale a la luz intestinal: Ooquiste: 2 esporoblastos: 4 esporozoítos.
  • 14.
    Biología • Se multiplanpor endodiogenia (Asexuada)
  • 15.
  • 21.
  • 22.
    CICLO VITAL • CicloEntero Epitelial o Esporogónico: El gato se infesta: – Ingiriendo ratones o pájaros parasitados por quistes o – A través de ooquistes de hierba y tierra; – Alimentación con carne cruda • los quistes u ooquistes por acción de los jugos digestivos dan lugar a la salida de trofozoitos que se multiplican e invaden las células intestinales, • dentro de las células, se transforman en microgametos masculinos y femeninos, la fusión de estos forma grandes cantidades de ooquistes que se eliminan en las heces. • En el medio ambiente maduran en 1 a 2 días y en su interior se forman dos esporoquistes, cada uno con 4 esporozoítos.
  • 24.
    • Ciclo Esquizogónico:Los "ooquistes maduros" (2 esporoquistes c/u con 4 esporozoitos) bajo la acción de los jugos digestivos, liberan el parásito que penetra en las células y se multiplican, • Pasan luego a la sangre dando lugar a una parasitemia, estos trofozoitos llegan a todo el cuerpo principalmente al tejido muscular y nervioso donde el parásito se instala cambiando a la forma quística, como un mecanismo de defensa ante la acción del huésped. • La mayoría de animales silvestres son positivos a la enfermedad, los animales domésticos también poseen una alta positividad.
  • 26.
    Modo de contaminación •El ser humano puede contaminarse con toxoplasmas en las tres formas que se presenta el parásito: • OOQUISTES: Ingesta de verduras, legumbres y frutas contaminadas, o en el entorno del gato. • TROFOZOITO: Pasaje de trofozoitos a través de la placenta, sobre todo al final del embarazo (Toxoplasmosis congénita); y transplantes o transfusiones. • QUISTES: Ingesta de carne cruda o mal cocida.
  • 30.
    EPIDEMIOLOGIA • Distribución Cosmopolita •Magnitud – Prevalencia variable de acuerdo a usos y costumbres. • Mecanismos de Transmisión – Carnivorismo (Quistes) – Transfusional – Transplacentario (Taquizoítos) – Contaminación fecal con heces de gatos (Ooquistes).
  • 31.
    Epidemiología • Huésped – Definitivo:Gato y otros felinos – Intermediarios: Cientos de mamíferos y aves incluido el hombre • Grupos de Riesgo – Feto en desarrollo – Inmunodeprimidos
  • 32.
    Formas clínicas • ToxoplasmosisAdquirida: – Leve y a menudo inadvertida en personas inmunocompetentes. – Grave en inmunodeprimidos (SIDA, pacientes con cáncer en quimioterapia, etc), pudiendo afectar en estos pacientes al cerebro, los ojos, el corazón, el pulmón, y el hígado. • Toxoplasmosis Congénita: – Muy grave para el feto: - Ceguera - Daños irreversibles en el S.N.C.
  • 33.
    CUADRO CLINICO • Elperíodo de incubación (libre de síntomas) es entre 1 y 2 semanas. Los síntomas y signos más típicos son: • Huésped normal: ∀• Enfermedad febril leve similar a la llamada "mononucleosis". ∀• Dolor de cabeza. ∀• Dolores musculares. ∀• Aumento de tamaño de los ganglios linfáticos.
  • 34.
    Infección congénita • Cuandola madre se infecta por primera vez, durante el embarazo, se invaden todos los órganos incluido la placenta existe un riesgo de transmisión de: • 65% último trimestre • 25% segundo trimestre • 17% Primer trimestre • La infección de la madre es leve o asintomática, si la infección fue adquirida antes de la gestación el niño no desarrolla infección congénita. • También se acepta que una madre que dio a luz un niño con toxoplasmosis no vuelve a tener otro con la enfermedad.
  • 35.
    Infección Congénita • Puedehaber aborto o natimuertos,pero no es causa de abortos repetidos. • De los recién nacidos infectados: • 70% Son asintomáticos. • 20% Secuelas neurológicas o infección generalizada 10% Compromiso ocular. ∀ • Alteraciones del sistema nervioso central: Microcefalia o hidrocefalia, calcificaciones. ∀ • Aumento de tamaño del bazo y el hígado. ∀ • Fiebre ∀ • Ictericia ∀ • Coriorretinitis (ceguera), cataratas, uveítis y glaucoma ∀ • Retraso mental.
  • 37.
  • 38.
  • 42.
  • 43.
    Huésped inmunodeprimido: • Toxoplasmosiscerebral: Fiebre, dolor de cabeza, confusión, convulsiones. • Toxoplasmosis de la retina: Visión borrosa. • Toxoplasmosis sistémica o generalizada
  • 44.
    DIAGNOSTICO • Es unaenfermedad de difícil diagnóstico, pues no siempre puede establecerse la relación entre infección y enfermedad. • Debe diferenciarse de Mononucleosis, Tifoidea y Brucelosis, y la forma congénita de todas las otras entidades que producen malformaciones congénitas (T.O.R.C.H.S)
  • 45.
    Demostración Directa • Estudiode Secreciones y Biopsias: – L.C.R. – Ganglios linfáticos, – Médula ósea – Otros tejidos • Inoculación en animales de experimentación – Bajo rendimiento – Ratones no infectados por vía intraperitoneal, – Los taquizoítos aparecen en 4 a 8 días en el exudado intraperitoneal, – En 4 a 6 semanas se buscan los quistes en el cerebro.
  • 46.
    Necropsia • Cerebro deun prematuro con calcificaciones por toxoplasmosis
  • 47.
    Serología • Inmunofluorescencia indirecta:Títulos de 1: 1024 sugieren infección activa, puede repetirse cada dos semanas para ver incremento del título. • Prueba de ELISA.: Títulos mayores de 300 UI/ml sugieren infección activa. • Prueba de Hemaglutinación indirecta. 1: 1024.
  • 48.
    SEROLOGIA • Prueba deSabin y Feldman. 1: 1024, llamada también prueba del colorante, si los parásitos no se tiñen con azul de metileno significa una prueba positiva. Es muy específica • Prueba de fijación de complemento: Títulos mayores de 1: 256 indican infección activa, es altamente específica, pero poco sensible
  • 49.
    SEROLOGIA • Toxoplasmina. Pruebade hipersensibilidad tardía, aparece positiva después de la quinta semana de infección, es una prueba poco específica, pero si es negativa ayuda a descartar la entidad. • RCP. Es la prueba mas útil, ya que identifica el ADN indicando su presencia en los tejidos y fluidos inclusive en el líquido amniótico.
  • 50.
    SEROLOGIA • En elRecién Nacido se consideran de valor diagnóstico para infección congénita, Los siguientes casos: ∀• Cuando los títulos son mas elevados en el R.N. que en la madre, por lo menos en cuatro diluciones. ∀• Cuando en los meses siguientes, el niño eleva progresivamente los títulos de anticuerpos. ∀• Cuando el niño presenta títulos notablemente altos ej. 1: 16000 o más. ∀• Cuando al R.N. se le detectan anticuerpos Ig. M.
  • 51.
    DIAGNOSTICO • En lamujer gestante, se le dá importancia a las reacciones serológicas, cuando al empezar el embarazo estaban negativas y se hicieron positivas en los siguientes meses. • Toxoplasmosis cerebral: Para su diagnóstico, pueden ser precisos una TAC craneal y/o una Resonancia Magnética, e incluso una biopsia cerebral.
  • 52.
    TRATAMIENTO • Los casosleves y asintomáticos no necesitan tratamiento. • El tratamiento de la mujer gestante disminuye las complicaciones a la mitad. • Las medicaciones más empleadas son la pirimetamina, las sulfamidas y la clindamicina • El tratamiento en los pacientes con SIDA se mantiene de por vida, ya que la infección puede reactivarse si se suspende el tratamiento.
  • 53.
    (PREVENCION) • Evitar lacarne cruda o mal cocida, o bien congelarla -20º C durante al menos 48 horas. • Proteger las zonas de juegos infantiles de las heces de gatos y perros. • Lavado de manos minucioso tras contacto con suelo que haya podido estar contaminado. • Todas las mujeres gestantes tiene que hacerse una serología para Toxoplasma, y las que la tengan negativa, tomar precauciones especiales para no contraerla durante su embarazo,
  • 54.
    PRECAUCIONES ESPECIALES • 1.No manipular carnes crudas, o utilizar guantes para ello, lavado de manos luego de manipular carnes. • 2. Evitar la alimentación del gato con carne cruda. • 3. Evitar la limpieza de las heces de gatos. • 4. Control de roedores, que son la fuente de infección de los gatos. • 5. Buen cocimiento de las carnes • 6. Control de cucarachas y moscas, por la posibilidad de actuar como vectores mecánicos. • 7. En fase experimental se encuentra la vacunación de los gatos con una cepa avirulenta de toxoplasma.