INFECTOLOGIA
CLINIA MEDICA
Dr. Ramon Bellon
Historia
Agente Etiológico
Ciclo Vital del Toxoplasma gondii
EPIDEMIOLOGIA y Cuadro Clínico
Diagnóstico
Prevención y tratamiento
TOXOPLASMOSIS
1908
Toxoplasma
gondii
descubierto por
Nicolle y
Manceaux en
Túnez en el
roedor
Ctenodactylus
gundi
1923
Janku en Praga,
describe el primer
caso de
coriorretinitis en
una recién nacida.
1948
Sabin y Feldman
establecieron el
diagnóstico
serológico de la
enfermedad.
1970
Frenkel y Hutchison
describen su ciclo
vital.
HISTORIA
AGENTE ETIOLOGICO
Filum Apicomplexa,
Clase Sporozoa ,
Familia Sarcocystidae,
Género Toxoplasma.
Especie : Toxoplasma gondii
Griego Toxon Arco
morfología curva o en media luna.
Agente Etiologico:
Taquizoíto
 Forma proliferativa
infección aguda
multiplicación rápida.
Tamaño 4 a 6 u de largo por 2-3 de ancho.
Coloración Giemsa citoplasma azul pálido núcleo paracentral rojizo.
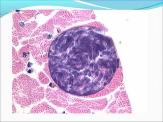
Quistes
Infecciones crónicas
 Poseen una membrana propia
 Miden entre 20- 200u de diámetro.
Son la forma de resistencia en el medio interno.
 Bradizoitos
Se encuentran por cientos dentro de los quistes
Reproducción lenta
 Miden 7 u de largo por 2u de ancho.
OOQUISTE
Las formas sexuadas (gametocitos) solo existen en el gato,
Células ileales, los trofozoitos se transforman en gametocitos,
que al unirse forman un ooquiste,
Poseen una cápsula muy resistente,
Mide entre 10 a 12 micras,
Se eliminan en las heces de los gatos .
7 a 20 días después de su infestación, se liberan diez
millones de ooquistes por día durante dos semanas;
 En condiciones ambientales adecuadas los ooquistes
esporulan dando origen a la forma infestante:
Huevo diploide (dos esporoquistes, cada uno de cuatro
esporozoitos).
Ciclo Biológico en el Huésped intermediario
Hombre
Fase Proliferartiva: Zoítos penetran las células , se
multiplican por endodiogenia y rompen las células
liberando taquizoítos.
Fase Quística: Zoítos penetran una célula formando una
membrana quística se multiplican por endodiogenia
degeneran la célula formando un pseudoquiste.
Ciclo Biológico en felinos (huésped
Definitivo)
Fase Esquizogónica
El Zoíto penetra las células de la pared intestinal del
felino, forman allí esquizontes los que después se
rompen liberando merozoítos.
Fase Gamagónica
El zoíto penetra la pared intestinal del felino formando
micro y macro gametos
Fase Esporogónica
Los Gametos se fecundan formando un cigoto que sale a
la luz intestinal: Ooquiste: 2 esporoblastos: 4
esporozoítos.
Biología Se multiplan por
endodiogenia
(Asexuada)
Quiste con bradizoitos
Células Huésped
Neutrófilos
Células dendríticas
Macrófagos
Linfocitos
Mastocitos
Astrocitos
CICLO VITAL
Ciclo Entero Epitelial o Esporogónico: El gato se infesta:
 Ingiriendo ratones o pájaros parasitados por quistes o
A través de ooquistes de hierba y tierra;
Alimentación con carne cruda
los quistes u ooquistes por acción de los jugos
digestivos dan lugar a la salida de trofozoitos que se
multiplican e invaden las células intestinales,
 dentro de las células, se transforman en microgametos
masculinos y femeninos, la fusión de estos forma
grandes cantidades de ooquistes que se eliminan en las
heces.
En el medio ambiente maduran en 1 a 2 días y en su
interior se forman dos esporoquistes, cada uno con 4
esporozoítos.
 Ciclo Esquizogónico: Los "ooquistes maduros" (2
esporoquistes c/u con 4 esporozoitos) bajo la acción de
los jugos digestivos, liberan el parásito que penetra en las
células y se multiplican,
 Pasan luego a la sangre dando lugar a una parasitemia,
estos trofozoitos llegan a todo el cuerpo principalmente
al tejido muscular y nervioso donde el parásito se instala
cambiando a la forma quística, como un mecanismo de
defensa ante la acción del huésped.
 La mayoría de animales silvestres son positivos a la
enfermedad, los animales domésticos también poseen una
alta positividad.
Modo de contaminación
El ser humano puede contaminarse con toxoplasmas en las
tres formas que se presenta el parásito:
OOQUISTES: Ingesta de verduras, legumbres y frutas
contaminadas, o en el entorno del gato.
TROFOZOITO: Pasaje de trofozoitos a través de la placenta,
sobre todo al final del embarazo (Toxoplasmosis congénita);
y transplantes o transfusiones.
QUISTES: Ingesta de carne cruda o mal cocida.
EPIDEMIOLOGIA
Distribución Cosmopolita
Magnitud
Prevalencia variable de acuerdo a usos y costumbres.
Mecanismos de Transmisión
Carnivorismo (Quistes)
Transfusional
Transplacentario (Taquizoítos)
Contaminación fecal con heces de gatos (Ooquistes).
Epidemiología
Huésped
Definitivo: Gato y otros felinos
Intermediarios: Cientos de mamíferos y aves incluido el
hombre
Grupos de Riesgo
Feto en desarrollo
Inmunodeprimidos
Formas clínicas
Toxoplasmosis Adquirida:
 Leve y a menudo inadvertida en personas
inmunocompetentes.
Grave en inmunodeprimidos (SIDA, pacientes con cáncer
en quimioterapia, etc), pudiendo afectar en estos pacientes al
cerebro, los ojos, el corazón, el pulmón, y el hígado.
 Toxoplasmosis Congénita:
Muy grave para el feto:
- Ceguera
- Daños irreversibles en el S.N.C.
CUADRO CLINICO
El período de incubación (libre de síntomas) es entre 1 y 2
semanas. Los síntomas y signos más típicos son:
Huésped normal:
• Enfermedad febril leve similar a la llamada
"mononucleosis".
• Dolor de cabeza.
• Dolores musculares.
• Aumento de tamaño de los ganglios
linfáticos.
Infección congénita
Cuando la madre se infecta por primera vez, durante
el embarazo, se invaden todos los órganos incluido la
placenta existe un riesgo de transmisión de:
 65% último trimestre
 25% segundo trimestre
 17% Primer trimestre
La infección de la madre es leve o asintomática, si la
infección fue adquirida antes de la gestación el niño no
desarrolla infección congénita.
También se acepta que una madre que dio a luz un
niño con toxoplasmosis no vuelve a tener otro con la
enfermedad.
Infección Congénita
Puede haber aborto o natimuertos,pero no es causa de
abortos repetidos.
De los recién nacidos infectados:
 70% Son asintomáticos.
 20% Secuelas neurológicas o infección generalizada
10% Compromiso ocular.
•       Alteraciones del sistema nervioso central:
Microcefalia o hidrocefalia, calcificaciones.
•       Aumento de tamaño del bazo y el hígado.
•       Fiebre
•       Ictericia
•       Coriorretinitis (ceguera), cataratas, uveítis y glaucoma
•       Retraso mental.
Infección congénita con
calcificaciones e hidrocefalia
Calcificacion y atrofia cerebral
Microftalmia y retardo
mental
Huésped inmunodeprimido:
Toxoplasmosis cerebral: Fiebre, dolor de cabeza,
confusión, convulsiones.
Toxoplasmosis de la retina: Visión borrosa.
Toxoplasmosis sistémica o generalizada
DIAGNOSTICOEs una enfermedad de difícil diagnóstico, pues
no siempre puede establecerse la relación entre
infección y enfermedad.
Debe diferenciarse de Mononucleosis, Tifoidea y
Brucelosis, y la forma congénita de todas las
otras entidades que producen malformaciones
congénitas (T.O.R.C.H.S)
Demostración Directa
Estudio de Secreciones y Biopsias:
L.C.R.
Ganglios linfáticos,
Médula ósea
Otros tejidos
Inoculación en animales de experimentación
Bajo rendimiento
Ratones no infectados por vía intraperitoneal,
Los taquizoítos aparecen en 4 a 8 días en el exudado
intraperitoneal,
En 4 a 6 semanas se buscan los quistes en el cerebro.
Necropsia
Cerebro de un prematuro con
calcificaciones por toxoplasmosis
Serología
Inmunofluorescencia indirecta: Títulos de 1: 1024
sugieren infección activa, puede repetirse cada dos
semanas para ver incremento del título.
Prueba de ELISA.: Títulos mayores de 300 UI/ml
sugieren infección activa.
Prueba de Hemaglutinación indirecta. 1: 1024.
SEROLOGIA
Prueba de Sabin y Feldman. 1: 1024, llamada
también prueba del colorante, si los parásitos no se
tiñen con azul de metileno significa una prueba
positiva. Es muy específica
Prueba de fijación de complemento: Títulos
mayores de 1: 256 indican infección activa, es
altamente específica, pero poco sensible
SEROLOGIA
Toxoplasmina. Prueba de hipersensibilidad tardía,
aparece positiva después de la quinta semana de
infección, es una prueba poco específica, pero si es
negativa ayuda a descartar la entidad.
RCP. Es la prueba mas útil, ya que identifica el ADN
indicando su presencia en los tejidos y fluidos
inclusive en el líquido amniótico.
SEROLOGIA
En el Recién Nacido se consideran de valor
diagnóstico para infección congénita, Los
siguientes casos:
• Cuando los títulos son mas elevados en el
R.N. que en la madre, por lo menos en
cuatro diluciones.
• Cuando en los meses siguientes, el niño
eleva progresivamente los títulos de
anticuerpos.
• Cuando el niño presenta títulos
notablemente altos ej. 1: 16000 o más.
• Cuando al R.N. se le detectan anticuerpos
Ig. M.
DIAGNOSTICO
En la mujer gestante, se le dá importancia a las
reacciones serológicas, cuando al empezar el
embarazo estaban negativas y se hicieron positivas en
los siguientes meses.
Toxoplasmosis cerebral: Para su diagnóstico,
pueden ser precisos una TAC craneal y/o una
Resonancia Magnética, e incluso una biopsia cerebral.
TRATAMIENTO
• Los casos leves y asintomáticos no necesitan tratamiento.
• El tratamiento de la mujer gestante disminuye las
complicaciones a la mitad.
• Las medicaciones más empleadas son la pirimetamina,
las sulfadiacina y la clindamicina asociados al acido
folinico
• El tiempo del tratamiento es de 4 a 6 semanas
• El tratamiento en los pacientes con SIDA se mantiene de
por vida, ya que la infección puede reactivarse si se
suspende el tratamiento.
(PREVENCION)
• Evitar la carne cruda o mal cocida, o bien congelarla -20º
C durante al menos 48 horas.
• Proteger las zonas de juegos infantiles de las heces de
gatos y perros.
 Lavado de manos minucioso tras contacto con suelo que
haya podido estar contaminado.
• Todas las mujeres gestantes tiene que hacerse una
serología para Toxoplasma, y las que la tengan negativa,
tomar precauciones especiales para no contraerla durante
su embarazo,
PRECAUCIONES ESPECIALES
1. No manipular carnes crudas, o utilizar guantes
para ello, lavado de manos luego de manipular
carnes.
2. Evitar la alimentación del gato con carne
cruda.
3. Evitar la limpieza de las heces de gatos.
4. Control de roedores, que son la fuente de
infección de los gatos.
5. Buen cocimiento de las carnes
6. Control de cucarachas y moscas, por la
posibilidad de actuar como vectores mecánicos.
7. En fase experimental se encuentra la
vacunación de los gatos con una cepa avirulenta de
MUCHAS GRACIAS…
FIN

Toxoplasmosis

  • 1.
  • 2.
    Historia Agente Etiológico Ciclo Vitaldel Toxoplasma gondii EPIDEMIOLOGIA y Cuadro Clínico Diagnóstico Prevención y tratamiento TOXOPLASMOSIS
  • 3.
    1908 Toxoplasma gondii descubierto por Nicolle y Manceauxen Túnez en el roedor Ctenodactylus gundi 1923 Janku en Praga, describe el primer caso de coriorretinitis en una recién nacida. 1948 Sabin y Feldman establecieron el diagnóstico serológico de la enfermedad. 1970 Frenkel y Hutchison describen su ciclo vital. HISTORIA
  • 4.
    AGENTE ETIOLOGICO Filum Apicomplexa, ClaseSporozoa , Familia Sarcocystidae, Género Toxoplasma. Especie : Toxoplasma gondii Griego Toxon Arco morfología curva o en media luna.
  • 5.
    Agente Etiologico: Taquizoíto  Formaproliferativa infección aguda multiplicación rápida. Tamaño 4 a 6 u de largo por 2-3 de ancho. Coloración Giemsa citoplasma azul pálido núcleo paracentral rojizo. Quistes Infecciones crónicas  Poseen una membrana propia  Miden entre 20- 200u de diámetro. Son la forma de resistencia en el medio interno.  Bradizoitos Se encuentran por cientos dentro de los quistes Reproducción lenta  Miden 7 u de largo por 2u de ancho.
  • 6.
    OOQUISTE Las formas sexuadas(gametocitos) solo existen en el gato, Células ileales, los trofozoitos se transforman en gametocitos, que al unirse forman un ooquiste, Poseen una cápsula muy resistente, Mide entre 10 a 12 micras, Se eliminan en las heces de los gatos . 7 a 20 días después de su infestación, se liberan diez millones de ooquistes por día durante dos semanas;  En condiciones ambientales adecuadas los ooquistes esporulan dando origen a la forma infestante: Huevo diploide (dos esporoquistes, cada uno de cuatro esporozoitos).
  • 12.
    Ciclo Biológico enel Huésped intermediario Hombre Fase Proliferartiva: Zoítos penetran las células , se multiplican por endodiogenia y rompen las células liberando taquizoítos. Fase Quística: Zoítos penetran una célula formando una membrana quística se multiplican por endodiogenia degeneran la célula formando un pseudoquiste.
  • 13.
    Ciclo Biológico enfelinos (huésped Definitivo) Fase Esquizogónica El Zoíto penetra las células de la pared intestinal del felino, forman allí esquizontes los que después se rompen liberando merozoítos. Fase Gamagónica El zoíto penetra la pared intestinal del felino formando micro y macro gametos Fase Esporogónica Los Gametos se fecundan formando un cigoto que sale a la luz intestinal: Ooquiste: 2 esporoblastos: 4 esporozoítos.
  • 14.
    Biología Se multiplanpor endodiogenia (Asexuada)
  • 15.
  • 21.
  • 22.
    CICLO VITAL Ciclo EnteroEpitelial o Esporogónico: El gato se infesta:  Ingiriendo ratones o pájaros parasitados por quistes o A través de ooquistes de hierba y tierra; Alimentación con carne cruda los quistes u ooquistes por acción de los jugos digestivos dan lugar a la salida de trofozoitos que se multiplican e invaden las células intestinales,  dentro de las células, se transforman en microgametos masculinos y femeninos, la fusión de estos forma grandes cantidades de ooquistes que se eliminan en las heces. En el medio ambiente maduran en 1 a 2 días y en su interior se forman dos esporoquistes, cada uno con 4 esporozoítos.
  • 24.
     Ciclo Esquizogónico:Los "ooquistes maduros" (2 esporoquistes c/u con 4 esporozoitos) bajo la acción de los jugos digestivos, liberan el parásito que penetra en las células y se multiplican,  Pasan luego a la sangre dando lugar a una parasitemia, estos trofozoitos llegan a todo el cuerpo principalmente al tejido muscular y nervioso donde el parásito se instala cambiando a la forma quística, como un mecanismo de defensa ante la acción del huésped.  La mayoría de animales silvestres son positivos a la enfermedad, los animales domésticos también poseen una alta positividad.
  • 26.
    Modo de contaminación Elser humano puede contaminarse con toxoplasmas en las tres formas que se presenta el parásito: OOQUISTES: Ingesta de verduras, legumbres y frutas contaminadas, o en el entorno del gato. TROFOZOITO: Pasaje de trofozoitos a través de la placenta, sobre todo al final del embarazo (Toxoplasmosis congénita); y transplantes o transfusiones. QUISTES: Ingesta de carne cruda o mal cocida.
  • 30.
    EPIDEMIOLOGIA Distribución Cosmopolita Magnitud Prevalencia variablede acuerdo a usos y costumbres. Mecanismos de Transmisión Carnivorismo (Quistes) Transfusional Transplacentario (Taquizoítos) Contaminación fecal con heces de gatos (Ooquistes).
  • 31.
    Epidemiología Huésped Definitivo: Gato yotros felinos Intermediarios: Cientos de mamíferos y aves incluido el hombre Grupos de Riesgo Feto en desarrollo Inmunodeprimidos
  • 32.
    Formas clínicas Toxoplasmosis Adquirida: Leve y a menudo inadvertida en personas inmunocompetentes. Grave en inmunodeprimidos (SIDA, pacientes con cáncer en quimioterapia, etc), pudiendo afectar en estos pacientes al cerebro, los ojos, el corazón, el pulmón, y el hígado.  Toxoplasmosis Congénita: Muy grave para el feto: - Ceguera - Daños irreversibles en el S.N.C.
  • 33.
    CUADRO CLINICO El períodode incubación (libre de síntomas) es entre 1 y 2 semanas. Los síntomas y signos más típicos son: Huésped normal: • Enfermedad febril leve similar a la llamada "mononucleosis". • Dolor de cabeza. • Dolores musculares. • Aumento de tamaño de los ganglios linfáticos.
  • 34.
    Infección congénita Cuando lamadre se infecta por primera vez, durante el embarazo, se invaden todos los órganos incluido la placenta existe un riesgo de transmisión de:  65% último trimestre  25% segundo trimestre  17% Primer trimestre La infección de la madre es leve o asintomática, si la infección fue adquirida antes de la gestación el niño no desarrolla infección congénita. También se acepta que una madre que dio a luz un niño con toxoplasmosis no vuelve a tener otro con la enfermedad.
  • 35.
    Infección Congénita Puede haberaborto o natimuertos,pero no es causa de abortos repetidos. De los recién nacidos infectados:  70% Son asintomáticos.  20% Secuelas neurológicas o infección generalizada 10% Compromiso ocular. •       Alteraciones del sistema nervioso central: Microcefalia o hidrocefalia, calcificaciones. •       Aumento de tamaño del bazo y el hígado. •       Fiebre •       Ictericia •       Coriorretinitis (ceguera), cataratas, uveítis y glaucoma •       Retraso mental.
  • 37.
  • 38.
  • 42.
  • 43.
    Huésped inmunodeprimido: Toxoplasmosis cerebral:Fiebre, dolor de cabeza, confusión, convulsiones. Toxoplasmosis de la retina: Visión borrosa. Toxoplasmosis sistémica o generalizada
  • 44.
    DIAGNOSTICOEs una enfermedadde difícil diagnóstico, pues no siempre puede establecerse la relación entre infección y enfermedad. Debe diferenciarse de Mononucleosis, Tifoidea y Brucelosis, y la forma congénita de todas las otras entidades que producen malformaciones congénitas (T.O.R.C.H.S)
  • 45.
    Demostración Directa Estudio deSecreciones y Biopsias: L.C.R. Ganglios linfáticos, Médula ósea Otros tejidos Inoculación en animales de experimentación Bajo rendimiento Ratones no infectados por vía intraperitoneal, Los taquizoítos aparecen en 4 a 8 días en el exudado intraperitoneal, En 4 a 6 semanas se buscan los quistes en el cerebro.
  • 46.
    Necropsia Cerebro de unprematuro con calcificaciones por toxoplasmosis
  • 47.
    Serología Inmunofluorescencia indirecta: Títulosde 1: 1024 sugieren infección activa, puede repetirse cada dos semanas para ver incremento del título. Prueba de ELISA.: Títulos mayores de 300 UI/ml sugieren infección activa. Prueba de Hemaglutinación indirecta. 1: 1024.
  • 48.
    SEROLOGIA Prueba de Sabiny Feldman. 1: 1024, llamada también prueba del colorante, si los parásitos no se tiñen con azul de metileno significa una prueba positiva. Es muy específica Prueba de fijación de complemento: Títulos mayores de 1: 256 indican infección activa, es altamente específica, pero poco sensible
  • 49.
    SEROLOGIA Toxoplasmina. Prueba dehipersensibilidad tardía, aparece positiva después de la quinta semana de infección, es una prueba poco específica, pero si es negativa ayuda a descartar la entidad. RCP. Es la prueba mas útil, ya que identifica el ADN indicando su presencia en los tejidos y fluidos inclusive en el líquido amniótico.
  • 50.
    SEROLOGIA En el ReciénNacido se consideran de valor diagnóstico para infección congénita, Los siguientes casos: • Cuando los títulos son mas elevados en el R.N. que en la madre, por lo menos en cuatro diluciones. • Cuando en los meses siguientes, el niño eleva progresivamente los títulos de anticuerpos. • Cuando el niño presenta títulos notablemente altos ej. 1: 16000 o más. • Cuando al R.N. se le detectan anticuerpos Ig. M.
  • 51.
    DIAGNOSTICO En la mujergestante, se le dá importancia a las reacciones serológicas, cuando al empezar el embarazo estaban negativas y se hicieron positivas en los siguientes meses. Toxoplasmosis cerebral: Para su diagnóstico, pueden ser precisos una TAC craneal y/o una Resonancia Magnética, e incluso una biopsia cerebral.
  • 52.
    TRATAMIENTO • Los casosleves y asintomáticos no necesitan tratamiento. • El tratamiento de la mujer gestante disminuye las complicaciones a la mitad. • Las medicaciones más empleadas son la pirimetamina, las sulfadiacina y la clindamicina asociados al acido folinico • El tiempo del tratamiento es de 4 a 6 semanas • El tratamiento en los pacientes con SIDA se mantiene de por vida, ya que la infección puede reactivarse si se suspende el tratamiento.
  • 53.
    (PREVENCION) • Evitar lacarne cruda o mal cocida, o bien congelarla -20º C durante al menos 48 horas. • Proteger las zonas de juegos infantiles de las heces de gatos y perros.  Lavado de manos minucioso tras contacto con suelo que haya podido estar contaminado. • Todas las mujeres gestantes tiene que hacerse una serología para Toxoplasma, y las que la tengan negativa, tomar precauciones especiales para no contraerla durante su embarazo,
  • 54.
    PRECAUCIONES ESPECIALES 1. Nomanipular carnes crudas, o utilizar guantes para ello, lavado de manos luego de manipular carnes. 2. Evitar la alimentación del gato con carne cruda. 3. Evitar la limpieza de las heces de gatos. 4. Control de roedores, que son la fuente de infección de los gatos. 5. Buen cocimiento de las carnes 6. Control de cucarachas y moscas, por la posibilidad de actuar como vectores mecánicos. 7. En fase experimental se encuentra la vacunación de los gatos con una cepa avirulenta de
  • 55.