Hepatología
  Dr. Armando Téllez Hernández

       Universidad de Monterrey
Servicio Medico de la Sección 50 del
            Magisterio
       Monterrey, Nuevo Leon
Vena cava Inferior


Lóbulo Derecho
                                     Lóbulo Izquierdo



Ligamento
Falciforme


                      Ligamento
                       Redondo

                     Vesícula
                      biliar

                            Higado
Funciones del hígado
• Metabolismo:                   • Síntesis proteínas
   – Carbohidratos                  – Albúmina
   – Proteínas                      – Factores de coagulación
   – Lípidos
                                 • Función inmune
• Excreción
   – Excreción biliar
                                 • Función endocrina
   – Detoxificación de drogas    • Almacenamiento
• Digestión                         – Vitamina A
   – Emulsificación de lípidos      – Hierro
• Reciclaje hierro
Conceptos Generales
• Multiplicidad y heterogeneidad de funciones

• Órgano clave en el mantenimiento de la
  homeostasis corporal

• Gran reserva funcional

• Gran capacidad de regeneración
Objetivos
• Describir los mecanismos de daño hepático agudo
• Conocer las causas frecuentes de daño hepático agudo
• Resumir las fases generales de metabolización de
  drogas en el hígado
• Reconocer la importancia de CYP en el metabolismo
  de drogas
• Familiarizarse con aspectos generales de la hepatitis
  aguda por virus A y B
• Entender y detectar la Falla Aguda
• Conocer generalidades del Hepatocarcinoma
Síntesis de Albúmina

          • Síntesis 12 g/d
          • Proteína plasmática más
            abundante
          • Responsable de generar
            presión oncótica
          • Disminución contribuye a
            la generación de edema
            (mecanismos renales…)
Factores de coagulación

• El hígado sintetiza todos los factores de la
  coagulación excepto el factor VIII

• Insuficiencia hepática afecta coagulación:
  Disminución de la protrombina

• Importante: Descartar déficit de Vitamina K
Función inmune

• Primer “filtro” para flujo sanguíneo que
  drena al intestino (normalmente
  “contaminado”)

• Gran cantidad de macrófagos (céls.
  Kupffer). Reconocimiento de antígenos

• Excreción de IgA al intestino a través de la
  bilis
Función Endocrina

• Secreción de múltiples hormonas:
  – Somatomedinas
  – Trombopoyetina
• Insuficiencia hepática genera alteraciones
  endocrinas:
  – Hipogonadismo por cambios en los receptores
    de estrógenos hepáticos
  – Metabolismo de hormonas esteroidales
Virus RNA
Familia               Tipo
                      Poliovirus 1-3
Picornaviridae        Hepatitis A
                      Rhinovirus
Orthomyxoviridae      Influenza A y B
                      Parotiditis
Paramyxoviridae       Sarampión
                      Respiratorio sincitial
Togaviridae           Rubeola
                      Fiebre amarilla
                      Dengue
Flaviviridae
                      Hepatitis C
                      Hepatitis G
Rhabdoviridae         Rabia
Caliciviridae         Hepatitis E
Filoviridae           Ebola y Marburg
Reoviridae            Rotavirus
Retroviridae          VIH
Arenaviridae          Fiebre de Lassa
Bunyaviridae          Hantavirus
Deltaviridae          Hepatitis D
Virus DNA
Familia          Tipo
                 Herpex simplex
                 tipo 1
                 Herpes simplex
Herpesviridae    tipo 2
                 Varicela-Zoster
                 Citomegalovirus
                 Epestein-Barr
Adenoviridae     Adenovirus 1-42
                 Vacuna
Poxviridae       Molluscum
                 contagiosum
Papovaviridae    Papiloma 1-60
Hepadnaviridae   Hepatitis B
Sin clasificar   Hepatitis F
Características de los virus desnudos
Componentes          Proteínas

                     Estabilidad a la
                     temperatura, acidez,
Propiedades          proteasas, detergentes y
                     desecación.
                     Se liberan por lisis

                     Facilidad de
                     diseminación (fómites,
                     manos, polvo, gotas
                     pequeñas)
                     Resistencia a la
                     desecación
                     Supervivencia en el
Características
                     tracto gastrointestinal y
                     aguas residuales
                     insuficientemente
                     tratadas
                     Pueden inducir una
                     respuesta inmune
                     humoral protectora
Características de los virus envueltos
                  Lípidos, proteínas
Componentes
                  y glicoproteínas
                  Sensibilidad a la
                  temperatura,
                  acidez, detergentes
Propiedades
                  y desecación.
                  Se liberan por
                  gemación y lisis
                  Dificultad de
                  diseminación
                  (gotas grandes,
                  secreciones, sangre
                  y tejidos)
                  No sobreviven en
Características
                  el tracto
                  gastrointestinal
                  Pueden inducir una
                  respuesta inmune
                  celular y humoral
                  protectora
HEPATITIS VIRALES
                           PROPIEDADES DE VIRUS HEPATOTROPOS PRIMARIOS


                     A                B               C                  D         E

                PICORNAVIRUS     HEPADNAVIRUS     FLAVIVIRUS                      NO
                                                                              CLASIFICADO

   VIRUS             NO                SI             SI                 SI   DESCONOCIDO
 ENVOLTURA

  GENOMA            ARN               ADN            ARN             ARN         ARN


 HUESPEDES        HUMANO            HUMANO          HUMANO         HUMANO       HUMANO
                 CHIMPACES           PATOS

TRANSMISION      FECAL-ORAL       PARENTERAL      PARENTERAL     PARENTERAL   FECAL-ORAL


 EVOLUCION         AGUDA             AGUDA          AGUDA           AGUDA       AGUDA
                                    CRONICA        CRONICA         CRONICA

PATOGENESIS       INMUNE            INMUNE          INMUNE         INMUNE?    DESCONOCIDO


    CHC             NO                 SI             SI                 SI       NO


  HEPATITIS          0              300-400         50-100               ?         0
CRONICA EN EL                      MILLONES        MILLONES
   MUNDO
Características de los virus
                VHA          VHB            VHC          VHD     VHE         VGB-C        VTT

Tamaño (nm)     27           42             55           36      32            ?          30-50



Acido           ARN          ADN            ARN          ARN     ARN         ARN          ADN
Nucleico

Longitud del    7,5          3,2            9,4          1,7     7,5         9,4          3,8
Genoma (kb)

Clasificación   Picornavirus Hepadnavirus   Flavivirus   -----   Calicivirus Flavivirus
                                                                                          ----
Días de         15 - 45      30 – 180       15 – 160     21–     14-63         ?          ?
Incubación                                               140
Transmision
             VHA    VHB      VHC     VHD         VHE   VGB-C    VTT

Fecal/Oral   +++         -       -       -   +++           ?       +

Percutane    Rara   +++      +++     +++     -         ++      ++
a
Sexual       ?      ++       +       ++      -         ?       ?


Perinatal    -      +++      +       +       -         ?       ?
Caracteristicas Clinicas
                 VHA           VHB         VHC    VHD         VHE            VGB-C VTT

Gravedad        Generalmente   Moderada    Leve   Puede ser   Generalmente   Leve Leve
                     Leve                           Grave          leve
Infección              No       1-10% y    80 -         Si           No       Si    Si
Crónica                         90 % en    90%
                                neonatos
Estado de              No          Si       Si        Si             No       Si   Si
Portador

Hepatitis            0,1 %        1%       Raro       Si       En Embarazo     ?    ?
Fulminante                                                      10 a 20 %

Cáncer                 No          Si       Si          ?            No        ?   No
Hepatocelular


Profilaxis             Si         Si       No       No              No        No   No
HEPATITIS VIRUS A



 FAMILIA: Picornaviridae
 GENERO: Hepatovirus
    –

                       cápside

                       ARN
                                      M.A.L

Unidad de la cápside         R.N.C.           R.N.C.
(VP1,VP2,VP3,VP4)
   Patogenia
    – Afectación hepática
    – Lesión por mecanismos inmunopatológicos
    – Factor relacionado: edad vs. Infección
   Transmisión
    – Liberación de viriones : en las heces de individuos
      infectados (incubación y etapa aguda)
    – Fecal – oral
    – Viremia breve
   Epidemiología
    – Diseminado mundialmente
    – Condiciones socioeconómicas y sanitarias
          Higiene ambiental deficitaria   facilita transmisión
           fecal-oral
    – Prevalencia
   Diagnóstico (test inmunoenzimáticos)
    – IgM anti VHA (fase aguda)
    – IgG anti VHA (estudios de seroprevalencia)


         IgM                       IgG
   Prevención y Control
    – Inmunización pasiva y activa
    – Medidas de higiene personal y colectiva
Virus de la hepatitis
Virus de la hepatitis B
Virus de la hepatitis B
Microfotografía electrónica
Microfotografía electrónica
Microfotografía electrónica
Proteina de superficie (AgsHB)
HEPATITIS POR VIRUS B


   Enfermedad de importancia mundial (más de 300
    millones de individuos crónicamente infectados)
   Estrechamente relacionada a cáncer primario de hígado
   Característica epidemiológica:
     – edad de inicio de la infección, ruta (áreas de
       intermedia y alta prevalencia)
     – Infección crónica inversamente proporcional a la
       edad
   Aumento de mortalidad (falla hepática, cirrosis y
    cáncer)
   Esfuerzos preventivos deben dirigirse tomando en
    cuenta la prevalencia
HEPATITIS POR VIRUS B
                              ASPECTOS VIROLOGICOS

   Familia Hepadnaviridae
   Genoma pequeño de ADN (alto grado de compactación)
   Biología molecular compleja (incluye etapa de
    transcripción reversa)




VIRIÓN               ESFERA
         FILAMENTO
   Transmisión
    – Percutanea (I/M, I/V, tatuajes, etc.)
    – Sexual
    – Vertical
   Grupos de riesgo
    –   Hemodializados
    –   Adultos heterosexuales con más de una pareja
    –   Hombres homo y bisexuales
    –   Personas con riesgo ocupacional
    –   Adolescentes
   Epidemiología
    – Uruguay: país de baja prevalencia (0,5% HBsAg
        en donantes de sangre)
Tipos de partículas del virus de la
           hepatitis B
El virus se pega a la célula
          hepática
El virión entra al hepatocito
El genoma viral se desenvuelve y
  entra al núcleo del hepatocito
El virus usa la maquinaria de la
   célula para su replicación
El virión es ensamblado
   intracelularmente
Algunas proteínas de superficie se disponen
en partículas no infecciosas que son liberadas
        también al torrente sanguíneo
Todas las partículas virales, tanto infecciosas
    como no infecciosas son liberadas
DIAGNOSTICO VIROLOGICO
                     HEPATITIS AGUDA POR VIRUS B
                               DIAGNOSTICO SEROLOGICO

   Antígeno de superficie HBsAg
   Marcadores serológicos: HBcAc (totales),fectio n w ith R eco v ery
        A cu te H ep atitis B V iru s In HBcAc IgM, HBeAg, HBeAc, HBsAc
   Diagnóstico evolutivoT y p ic a l S e r o lo g ic C o u r se

                              S ym p to m s

                          HBeAg                           a n ti-H B e



                                                          T o ta l a n ti-H B c

       T ite r
       T ite r


                 HBsAg                         Ig M a n ti-H B c                       a n ti-H B s




                 0    4   8   12    16    20   24    28     32     36             52         100

                                   W e e k s a fte r E x p o su r e
                                   W e e k s a fte r E x p o su r e
Hepatitis Aguda
DIAGNOSTICO VIROLOGICO
               HEPATITIS CRONICA POR VIRUS B
                           DIAGNOSTICO SEROLOGICO
   HBsAg persistentemente detectable
   HBeAg presencia variable
   HBcIgM generalmente indetectable a los 6 meses de la infección aguda
DIAGNOSTICO VIROLOGICO
                HEPATITIS POR VIRUS B
                      DIAGNOSTICO MOLECULAR


   Detección de ADN viral:
    –   hibridización (1.5 pg/ml = 4 x 105 genomas/ml)
    –   PCR (100 – 1000 genomas/ml)
   Identificación de genotipos
    – Análisis de secuencias
    – Estudio del polimorfismo de los fragmentos por enzimas de
        restricción
   Cuantificación del ADN viral
    – Monitorizar el efecto sobre la replicación viral
    – Identificar la aparición de resistencia a las drogas
    – Evidenciar la infección crónica, asegurar la infectividad y
        estimar un pronóstico
DIAGNOSTICO VIROLOGICO
                    HEPATITIS POR VIRUS B

   Utilidad
    – Monitorización de la respuesta al tratamiento con:
        alfa interferón

        nuevas estrategias : análogos de nucleósidos:

               –   famciclovir y lamivudine
               –   Descienden niveles de ADN viral
               –   “clearance” de HBeAg
               –   Descenso de niveles de aminotransferasas
   Resistencia
    –   Mutaciones en el gen de la polimerasa
                                                                Metionina
    –   15 – 25% de cepas resistentes
    –   Reaparición del ADN viral y recaída
    –   Aumento de resistencia
                                                                YMDD
            1 año – 24%                                 Valina/Isoleucina
            2 años – 38%

   Prevención y Control
     – Educación
     – Inmunización pasiva y activa
     – Test de tamizajes
         Donantes de sangre

         Embarazadas

     – Control de inmunización
         Cuantificación de respuesta

            – < 10 mUI/ml : falta de respuesta
            – 10 – 100 mUI/ml : respuesta moderada
            – > 100 mUI/ml : buena respuesta
Serología de un paciente con
         hepatitis B
Serología de un paciente con hepatitis B
Hepatitis Aguda por Virus B con Recuperacion
           Curso Serologico Tipico

           Sintomas



T                           Anti- HBc total
I
T
U
L
O                                             Anti-HBs
S




           Semanas despues de exposicion
Los grupos de riesgo son
                    los siguientes:
- Hijos de madres infectadas por el virus
- Consumidores de drogas que comparten jeringuillas
- Personas con tatuajes o piercings realizados con jeringuillas no esterilizadas
- Parejas de personas infectadas
- Personas que conviven con miembros portadores del virus o en contacto íntimo
- Personas con múltiples contactos sexuales (homosexuales y heterosexuales)
- Individuos institucionalizados (discapacitados, prisioneros, etc.)
- Trabajadores sanitarios
- Transfundidos múltiples
- Pacientes sometidos a hemodiálisis
- Personas que viajan a países de alto riesgo
- Padres adoptivos de niños procedentes de zonas con alta endemicidad para la
  hepatitis B que son portadores del virus de la hepatitis B
Areas de Endemicidad Elevada

• Donde la Población se infecta en el periodo Peri natal o en la infancia
• Porcentaje de portadores 5-20 %
• Prevalencia 10 a 15 %
• Positividad Serologica de contacto previo de 50 a 90 % en la
  Población General
Zonas y Paises de Endemicidad
                   Elevada
•   África
•   India
•   Republicas Asiáticas
•   Asia Menor
•   Áreas del Caribe
•   Bulgaria
•   Rumania        Prevalencia de Portadores
                   de 5 a 10 % de la Población Gral.
•   Albania
•   Moldava
Areas de Endemicidad Intermedia

• La transmision es de Niño a Niño o entre adultos
• La prevalencia es de 2 a 5 %
• 30 al 50 % Dan positividad a pruebas serologicas de
  Hepatitis B
Zonas y Países de endemicidad
             intermedia
•Algunas partes del Este y Sureste de
 Europa
•Este Medio
•Oeste asiático a lo largo del subcontinente
 Indu
•Partes de América Central y del Sur.
Areas de Endemicidad Baja

• La Transmisión Peri natal y de Niño a Niño es rara
• La Infección se contrae en el adulto generalmente
  Vía sexual
  Drogadicción
  Perforaciones cutáneas
  Exposición Accidental Laboral
Países de endemicidad baja

• América del Norte
• Oeste de Europa
• Australia
• Algunas Zonas de América del Sur
• España tiene una incidencia media o baja
  con un índice de portadores de 1%.
Prevención
Inmunización activa.
• Consiste en la administración de una vacuna.
• Las vacunas para prevenir la infección por el
  virus de la hepatitis contienen el antígeno de
  superficie del virus (HBsAg)
• Al inyectarlo se induce la formación de
  anticuerpos (anti-HBs)
• Así se neutraliza y protege de la infección por el
  virus de la hepatitis
• La forma más efectiva de prevenir la infección
  por este virus es una inmunización activa con la
  vacuna de la hepatitis B.
Vacunación
• La vacuna de la hepatitis B se administra
  intramuscular, en el deltoides en adulto
  o en la cara anterolateral del muslo en recién
  nacidos.
• Se requieren tres dosis (meses 0,1 y 6).
• Actualmente la OMS recomienda que no se
  utilice ninguna sustancia de origen humano en
  la fabricación de estas vacunas
• Han de ser altamente purificadas
• Estas vacunas son muy seguras, únicamente
  suelen producir reacción local transitoria
Vacunación
• Según la OMS se ha demostrado que la vacuna
  es efectiva
• Previene el estado de portador crónico en el
  95% de niños y adultos que no habían sido
  previamente infectados.
• En Países donde el 8%-15% de los niños
  llegaban a ser portadores crónicos, estas cifras
  se han reducido gracias a la inmunización activa
  a menos del 1%
• Además otros estudios han demostrado una
  reducción directa del cáncer de hígado
Hepatitis B Vacunacion
• 3 dosis
• Hijo de Madre portadora a las 12 hs se
  aplica junto con Gammaglobunlina
  hiperinmune
• El resto de dosis a criterio del Pediatra
• Madre no Portadora Se da primera dosis en
  cualquier momento hasta la 4ª a 8 sem de
  vida, la 2da al mes y la 3ª a los 6 meses
Inmunización pasiva

• Consiste en la administración de
  inmunoglobulinas (proteínas con actividad
  de anticuerpo, están relacionadas con la
  inmunidad, encuentran en suero)
  contra el antígeno de superficie del virus B
  de la hepatitis (anti-HBsAg).
La inmunización pasiva se utiliza en 4
           situaciones:

- Neonatos nacidos de madres HBsAg positivas
- Después de un pinchazo con accidental con
  aguja posiblemente contaminada
- Después de una exposición sexual de riesgo
- Después de un trasplante hepático, en
  pacientes que anteriormente eran HBsAg
  positivo
AGENTES ANTIVIRALES
                     Infección Viral
        virus                          sist.inmune
     Virulencia                         responde
       Titulo                          *Inf.Aguda
  Sitio de Entrada                      *Inf.Crónica
                                        no responde
                                       *Inmunodep.

                      Antivirales
           Interrumpir el proceso patogénico
Factores    DROGA, ESTADO INMUNE, CARGA VIRAL
           RESISTENCIA, AGUDAS, CRONICAS
• Desarrollo lento
   –   Replicación viral vs. Metabolismo celular
   –   Replicación intracelular obligada
   –   Menor nº de enzimas asociadas
   –   Existencia de vacunas
   –   Investigación de alto riesgo
• Acción selectiva
   – Inhibir la replicación viral a concentraciones no tóxicas para el
     huésped
• Objetivo
   – Infecciones no controlables por vacunas
   – Afectan nº elevado de personas
   – Diagnóstico rápido
   – Relativa severidad
   – Largos períodos de tratamiento
Tratamiento
Inmunomoduladores
•Mejoran la enfermedad hepática,
•Reducen la capacidad de las células del hígado (hepatocitos) para
 mantener la replicación viral
•Estimulan la respuesta inmune específica

•El interferón alfa es actualmente el más ampliamente utilizado en el
 tratamiento de la hepatitis B.
•En su eficacia influye la edad,
•La raza
•Gravedad de la enfermedad
•Forma de adquisición de la misma,
•Si se presentan la llamada "forma precore" del virus
•Este tratamiento se administra mediante inyección por vía subcutánea.

•La timosína alfa-1, regula algunos aspectos de la función de las
 llamadas células T. Aunque su perfil de seguridad está muy mejorado
 su eficacia resulta limitada.
Antivirales

•Actúan directamente frente al virus
•Interfiriendo en su replicación.
•La Lamivudina que es un potente inhibidor de la multiplicación
viral muy selectivo y poco tóxico (actúa sobre las células
infectadas).
•La respuesta que se obtiene con el tratamiento con lamivudina
no depende del origen del paciente (asiático, occidental…) Este
tratamiento se administra por vía oral
•Los estudios clínicos realizados con Lamivudina han demostrado
que además de mejorar la enfermedad hepática, reduce la
progresión a fibrosis y mejora la histología hepática.
Otros Antivirales
• Adefovir, Ha mostrado un bajo índice de resistencia
  y minimas mutaciones hasta de 3,4 % al 4 año de
  tratamiento, el cual es de 10 mg v.o.
• Entecavir, su dosificación es de tab de .5 mg al dia
  con un buen índice de respuesta y sin resistencia
  referida hasta el momento
HEPATITIS VIRUS C

 Virus C es el agente responsable del mayor
  porcentaje de casos de hepatitis crónica no A
  no B
 Familia: Flaviviridae
 Virus ARN con gran heterogeneidad genética
 Métodos de biología molecular han permitido
  caracterizar a este virus y tienen un rol
  importante en el diagnóstico clínico para
  confirmar la infección activa.
DIAGNOSTICO VIROLOGICO
             HEPATITIS CRONICA POR VIRUS C
               DETECCION DE ANTICUERPOS ANTI VHC

Ensayos Serológicos
    Tamizajes (EIA)                  Individuo infectado por HCV
        Infección pasada, presente       EIA REACTIVO
        No diferencian infección
        aguda, crónica, resuelta          EIL POSITIVO
        Sensibilidad > 97%           Individuo no infectado por HCV
        Bajo valor predictivo            EIA NO REACTIVO
        positivo
                                          EIA REACTIVO Y EIL
    Complementarios (EIL)                NEGATIVO
        Alta especificidad
        Indeterminados
            Seroconversión
            Inf. Crónicas
            Falsos positivos
HEPATITIS CRONICA POR VIRUS C


        •   Virus ARN, Sentido Positivo, 9600 nucleótidos
        •
                                                      IFN-PKR

        •
                                                      represor



        •
        •
5’NCR       C   E1   E2     P7 NS2     NS3   NS4aNS4b NS5a       NS5b 3’NCR
        •
        •
                                     HVR1 386-411    Cambios de aa/mes:
                                     HVR2 474-480       0.7 – 1.7%

            • Codifica una poliproteína de 3000 aminoácidos
DIAGNOSTICO VIROLOGICO
              HEPATITIS CRONICA POR VIRUS C
                        DIAGNOSTICO MOLECULAR
                  Electroforesis en gel de agarosa (1.5%)

A B C D E F G M C+ C- H I                M 1 2 3 4    M 1 2 3 4 M 1 2 3 4




                                           1a/1b          1b           1b


M: Marcador de peso molecular (100 pb)
                                          M: Marcador de peso molecular (25 pb)
A,B,C,....: Muestras de pacientes
                                           1,2,3,4,....: Digestión enzimática
C+ : Control positivo
C- : Control negativo
DIAGNOSTICO VIROLOGICO
 HEPATITIS CRONICA POR VIRUS C
     Distribución geográfica
      1a
      1b
      2a
      2b
      2c
      3a

           1a
           1b                     1a
           2a                     1b
1a
           2b            4a       2a
1b         2c                     2b
           3a                     2c
2a
                              6   3a
2b                   5
2c
3a
DIAGNOSTICO VIROLOGICO
        HEPATITIS CRONICA POR VIRUS C
 Estudios de prevalencia
   – Centro de Referencia de Hepatitis Virales
      D.L.S.P. – M.S.P.
       Genotipo          %          Subtipos
   –      1             70.5         1a(50%)
                                     1b(50%)

           2             3             2a
           3            26.5           3a
           4
           5
           6
EXPOSICION
                INF.AGUDA

RECUPERACION                 CRONICIDAD
(15%)
                              (85%)



                 CIRROSIS             ESTABLE
                 (20%)                (80%)


  PROGRESION            HEPATOCARCINOMA
  LENTA (75%)           TRANSPLANTE
                        MUERTE
Hepatitis C Cronica
Factores que Promueven la
Progresion de la Severidad
• Incremento en ingesta de alcohol
• Edad > 40 anos al momento de la
  infeccion
• Co-infection HIV
• Otros
  – Genero Masculino
  – Co-infection con HBV Cronica
Hepatitis por Virus C

Periodo de Incubacion   Promedio 6-7 weeks
Rango                    2-26 weeks
Enfermedad Aguda (ictericia) Leve (<20%)
Nivel de Casos fatales  Bajo
InfeccionCronica        60%-85%
Hepatitis Cronica       10%-70%
Mortalidad de EHC       1%-5%
Patron Serologico de Infeccion AgudaRecuperacion con
     Patron Serologico de Infeccion Aguda por HCV con
                                                      por HCV
                           Recuperacion
                                                                anti-
                                                                HCV
                       Sintomas +/-


                       HCV RNA
       Titer




                                          ALT


                                 Normal
               0   1   2    3    4    5    6    1    2   3      4
                           Meses                      Anos
                              Tiempo Despues de la Exposicion
Patron Serologico de Infeccion Aguda HCV con
        Progresion a Infeccion Cronica
                                   anti-
                                                        HCV
                    Sintomas +/-


                         HCV RNA
    Titer




                                                        ALT



                                   Normal
            0   1   2    3    4    5   6    1   2   3   4
                        Meses                    Anos
                    Tiempo despues de la Exposicion
HEPATITIS C Y CIRROSIS
INFILTRADO MONONUCLEAR
Hepatitis por Virus C, en Estados Unidos

Nuevas infecciones por ano 1985-89       242,000
                            2001         25,000
Muertes por falla Hepatica Aguda         Raro
Personas infectedas (1.8%)               3.9 millones (3.1-4.8)*
Personas con Infeccion Cronica            2.7 millones (2.4-3.0)*
Enfermedad Cronica relacionada con HCV    40% - 60%
Muertes por Enfermedad cronica/ano        8,000-10,000



*Intervalo de Confianza 95%l
Incidencia Estimada de Infeccion
                          Aguda HCV en
                     Estados Unidos, 1960-2001
  Nuevas Infecciones/100,000



                               140
                               120
                               100
                                80                               Disminucion en drogadictos
                                60                                  con uso de drogas IV
                                40
                                20                    Disminucion en
                                                 Receptores de Transfusion
                                 0
                                 1960 1965 1970 1975 1980 1985 1989 1992 1995 1998 2001
                                                            Ano



Source: Hepatology 2000;31:777-82; Hepatology 1997;26:62S-65S;
CDC, unpublished data
Factores Conocidos Asociados a
    Infeccion HCV en Estados Unidos
•   Uso de Drogas Intravenosas
•   Transfusion, transplantes de donador infectado
•   Exposicion Ocupacional a sangre
•   Principalmente jeringas
•   Exposicion Iatrogenica
•   Nacidos de Madre Infectada por HCV
•   Relaciones sexuales con parejas infectadas
     • Multiples parejas sexuales
Casos Reportados de Hepatitis C Aguda por Riesgo
     de Factores Seleccionados en Estados Unidos,
                      1982-2001*

                      80
                      70
Porcentage de Casos




                      60
                      50
                                                             Uso de Drogas IV
                                                              Sexual
                      40
                      30
                      20                                    Trabajadores de la salud
                      10                                      Transfusion

                       0
                       1982 1984 1986 1988 1990 1992 1994 1996 1998 2000 2001
    * 1982-1990 basedo en Hepatitis no-A, no-B        Ano
Uso de Drogas Intravenosas y HCV Transmision

  •Altamente Eficiente
  •Contaminacion Parafernalia de drogas, no solo
     agujas y jeringas
  •Rapidamente es adquirida la infeccion desde el
     inicio
  •La prevalencia es de 30 % despues de 3 anos
      >50% despues de 5 anos
  •Cuatro veces mas comun que HIV
Hepatitis C Postransfusion
                              30     Todos los donadores voluntarios
 % of Reciptores Infectados



                                               HBsAg
                              25

                              20
                              15                              Escrutinio del donador para Factores de riesgo para HIV
                                                                           Anti-HIV
                              10                                               ALT/Anti-HBc
                                                                                     Anti-HCV
                              5                                                             Mejoria de las pruebas de
                                                                                            HCV
                              0
                              1965        1970      1975       1980           1985   1990      1995      2000
                                                                       Year
Adaptedo de HJ Alter y Tobler y Busch, Clin Chem 1997
Transmision Ocupacional de HCV

• Ineficiente proteccion ocupacional
• Porcentaje de incidencia 1.8% seguida de lesion con
  aguja de fuente HCV-positiva
• Reporte de caso de transmision de salpicar de sangre
   al ojo; una exposicion con piel intacta
• Prevalencia de 1-2% entre trabajadores de la salud
    • Mas baja que en adultos de la Poblacion General
      10 veces mas baja que la infeccion por HBV
Transmision Perinatal de HCV
• Transmision solo de mujeres HCV-RNA positiva
  al nacimiento
• 6% nivel de porcentaje de infeccion
• (17%) Mas alta si la mujer esta co-infectada con HIV
• El valor del nivel de titulos virales no son claros
• No hay asociacion con metodo de Nacimiento
• Alimentacion Materna
Sexual Transmision Sexual de HCV

•Casos-control, Estudios Cruzados Seccionales
  • Pareja Infectada
  • Multiples pareja
  • Sexo temprano
  • No-uso de condon
  • Sexo con trauma
Fuentes de Infeccion para
           Personas Con Hepatitis C
Uso de drogas Intravenosas 60%
                              Sexual 15%
                                       Transfusion 10%
                                       (antes del screening)

                                                           Ocupacional 4%

                                                           Otros 1%*

                                                     Desconocida 10%

  * Nosocomial; iatrogenic; perinatal
Source: Centers for Disease Control and Prevention
Prevalencia de HCV en Grupos
           Seleccionados en USA
            Hemofilia
    usuarios drogas iv

         Hemodialisis
       STD repeticion
 Gen poblacion adulta
            Cirujanos
Mujeres Emabarazadas
      Personal Militar
                         0   10 20 30       40 50 60      70 80      90
                             Porcentaje Promedio Anti-HCV Positivo
Prueba de HCV Recomendada
              Rutinariamente
  Basado sobre incremento en el riesgo de infeccion
• Siempre con el uso drogas ilegales inyectables
• Receptores de factores de coagulacion antes de 1987
• Receptores de sangre/organos antes de Julio de 1992
• Sempre con hemodialysis cronica
• Evidencia de enfermedad hepatica
   Basado en la necesidad de exposicion por manejo
• Trabajadores de la salud, emergencia, Trabajadorees de
  seguridad publica despues de lesion en mucosa por navaja
  con sangre HCV-positivo
• Ninos nacidos de madres HCV-positivas
Manejo Post-exposicion de HCV
• IG, antivirales no recomendado para profilaxis
• Seguimiento despues de la exposicion de mucosas a
  rastrillos, navajas, de personas con sangre HCV-
  positiva
  Pruebas para anti-HCV
  – Prueba al trabajador si la fuente anti-HCV positiva
     • Anti-HCV y ALT basal y 4-6 meses despues
     • Para diagnostico temprano, HCV RNA a las 4-6 sem.
  – Confirmar los resultados anti-HCV con RIBA
• Referir al trabajador infectado a especialista para
  evaluacion medica y manejo
Pruebas para HCV No Recomendada
               de Rutina
  (Sin Factor de Riesgo Identificado)
• Trabajadores de la salud, emergencia medica, y
  Trabajadores de seguridad publica
• Embarazadas
• Utensilios (no-sexual) en contacto con personas
  HCV-positivo
• Poblacion General
Algoritmo de pruebas para HCV
     para el Diagnostico en Personas
              Asintomaticas Negativa
                           Prueba de Escrutinio para                       ALTO
                                  Anti-HCV
                                 Positiva
                                           O

                                      Negativa
      RIBA para Anti-HCV                                NAT para HCV RNA


       Negativa            Indeterminada         Positiva       Positiva

              Laboratorio Adicional        Evaluacion
  ALTO      Evaluacion (e.g. PCR, ALT)      Medica
           Negativa PCR,   Positiva PCR,
            Normal ALT     Anormal ALT


Source: MMWR 1998;47 (No. RR 19)
HCV Consejeria

     Prevenir Transmision de HCV a
                  otros
           Exposicion Indirecta a Sangre
• No donar sangre, organos, otros tejidos o semen
• No Usar utensicilios que puedan tener sangre de
  ellos
  – Cuidado personal (e.g., rastrillos, cepillos dentales)
  – Tratamientos en hogar (e.g., agujas y jeringas)
• Cubrir las heridas de piel
HCV Consejeria

        Usuarios de Drogas Ilegales

• Proveer reduccion del con counsejos y, educacion
  – Suspender el uso de Inyectables
  – Referir el abuso de substancias en programas de
    tratamiento
  – Si se continua con el uso de inyectables
     • Nunca reusar jeringas o agujas, o equipo de preparacion de
       drogas
     • Vacunas contra hepatitis B y hepatitis A
HCV Conseria

             Transmision de Madre-a-hijo HCV

• Post-exposicion no hay profilaxis disponible
• No necesecita evitar el embarazo o alimentacion materna
   – Considerar biberon si hay lesion de pezon
• No se nececita determinar el modo de nacimiento basado en el status de la Infeccion
  por HCV
• Pruebas a ninos nacidos de madres HCV-positivas
   – >15-18 meses
   – Considerar pruebas a cualquier nino nacido de madres infectedas
      reciemntemente
   – Evaluar ninos infectados para Enfermedad Hepatica Cronica
HCV Consejeria

        Transmision Sexual de HCV
    Personas con Pareja sexual permanente
• No nececita cambiar practicas sexuales
• Debera discutir con su pareja
  – Riesgo (bajo pero no ausente) de transmision sexual
  – Consejo y pruebas de parejas debera ser individualizada
  – Pueden proveer ,mayor precaucion algunas parejas
    pueden decidir usar barreras por precaucion que bajen
    mas el limite de riesgo futuro
HCV Consejeria

         Transmision Sexual de HCV
 Personas con Conductas sexuales de Alto Riesgo
• Riesgo de Enfermedades transmitidas sexualmente,
  e.g., HIV, HBV, gonorrea, clamydia, etc.
• Riesgo Reducido
  –   Numero de Parejas Limitadas
  –   Uso de condones de Latex
  –   Vacunarse contra contra hepatitis B
  –   Estar Vacunado contra hepatitis A
HCV Consejeria

       Otras Formas de Transmision

• HCV no se esparce por
  besos, abrazos, estornudos, tos, comida o
  agua, utensilios de limpieza de oidos
  dientes, bebiendo de los mismos vasos o contacto
  casual.
• No se excluye de trabajo, escuela, lugares de
  juegos, cuidados de niños o otros escenarios basados
  en el estatus infeccioso de HCV.
Complicaciones de Hepatitis
• Hepatitis Crónica
• Cirrosis
  - Hipertension Portal
  - Ascitis
  - Encefalopatia
• Hepatocarcinoma
Falla Hepatica Aguda


 Dr. Armando Tellez Hernandez
    Universidad e Monterrey
Servicio Medico de la Seccion 50
         Monterrey, N.L.
Falla Hepatica Aguda
                Definicion
Padecimiento potencialmente mortal que cursa
 con ictericia, encefalopatía y severos
 problemas de coagulación en un periodo breve
 generalmente menos de 12 semanas en un
 Hígado previamente sano y que generalmente
 se ven comprometidos diversos órganos y
 sistemas
Etiologias*
• Enfermedad de Wilson
• Sobreinfeccion de Hepatitis Delta en
  Pacientes con Hepatitis B
• Hepatitis Autoinmune



  * Aceptadas aun sin Hígado sano
Daño hepático agudo


  Drogas                            Hepatitis A




                                      Shock
Hepatitis B

                    Necrosis
Daño hepático agudo

                                            Elevación de transaminasas

                Daño inmunológico (linf. CD8)
                Citoquinas (TNF)
                Daño de membranas
                Daño mitocondrial
                Otros
                .
                .
                                                       Necrosis
                .
Hepatocito


                                    Regeneración       Falla hepática
Causas de daño hepatico agudo 1
• Hepatitis Viral:
  Virus A, B, C, D, E Herpes Simplex
   Eptein Barr. Citomegalovirus, Herpesvirus 6
   Influenza tipo B, Virus de fiebres hemorragicas
  (Lassa, Ebola, Marburg)
• Drogas:
  Paracetamol (accidental o intento suicida)
  Antibioticos
  (Isoniacida, Nitrofurantoina, Tetraciclina, Ciprofloxacino, eritro
  micina. Amoxicilina-acido clavulanico) Acido
  clavulanico, Lavastatina,Fenitoina, Triciclicos, Halothano, Oro, F
  lutamida, Antabuse, Ciclofosfamida, Ectasism
  Loratadina, Propiltiouracilo, Diclofenaco, Sulfas,Amoidarona, Et
  c.
Causas de daño hepático agudo I
Hepatitis Viral:
   • Virus de Hepatitis A, B, C, D, E, Herpes Simplex, Epstein-
     Barr, Citomegalovirus, Herpesvirus 6, Influenza tipo B,
     Virus de fiebres hemorrágicas (Lassa, Ebola, Marburg).
Drogas:
   • Paracetamol (accidental o intento suicida), Antibióticos
     (isoniazida, nitrofurantoína, tetracilina, ciprofloxacino,
     eritromicina, amoxicilina-ácido clavulánico), Acido
     valproico, Lovastatina, Fenitoína, Tricíclicos, Halotano,
     Oro, Flutamida, Antabuse, Ciclofosfamida, Ectasis,
     Loratadina, Propiltiouracilo, Diclofenaco, Sulfas,
     Amiodarona, etc.
Causas de daño hepático agudo II
Toxinas:
  • Amanita Phalloides, Solventes orgánicos, Hierbas
    medicinales (ginseng, valeriana, etc), Toxinas bacterianas
    (Bacillus cereus, cianobacterias)
Misceláneas:
  • Hígado graso agudo del embarazo, Síndrome HELLP,
    Hepatitis autoinmune, Budd-Chiari, Trombosis portal,
    Insuficiencia cardiaca derecha, Isquemia, Leucemia,
    Linfoma, Metástasis, Malaria, Tuberculosis, Síndrome de
    Reye, Enfermedad de Wilson
Indeterminadas
Nomenclatura
            Insuficiencia
           hepática aguda


 Hígado sano          Hígado dañado


  Falla hepática    Descompensación
fulminante (FHF)         DHC
Como se define hepatotoxicidad?
          Nivel de
    transaminasas
    (veces sobre el
      valor normal)              Grado 4
                         10                     “Hepatotoxicidad
                                                severa”
                                 Grado 3

                             5

                                 Grado 1 or 2

Límite alto de lo normal    1
                                 Normal
                             0
Hepatotoxicidad por drogas

• El metabolismo de la drogas requiere
  eliminación renal o biliar
• La mayoría de los medicamentos orales son
  drogas lipofílicas (insolubles en agua)
• Existe un paso inicial de metabolismo
  hepático para hacerlas hidrosolubles
Metabolismo hepático de drogas

• Fase I: Adición de grupos polares por
  acción del citocromo P450

• Fase II: Conjugación
Metabolismo hepático de drogas
        NADPH          NADP+




                               Metabolito                  Droga conjugada
Droga         Fase I                          Fase II
                                activo


          CYP                               Transferasas
          -Oxidación                        -Glucuronización
          -Reducción                        -Sulfatación
          -Hidroxilación                    -Metilación
                                            -Acetilación
Fase I - CYP (Citocromo P450)

• Familia de proteínas (enzimas)
• 30 isoformas agupadas en 10 familias y
  subfamilias
• Localizadas en el retículo endoplásmico
• Tienen una apoproteína y un grupo heme
• Reacciones de oxidación, reducción e hidrólisis
• Funcionan con NADPH
• Habitualmente produce el metabolito activo
Fase I - CYP (Citocromo P450)

• CYP4 a CYP10 metabolizan compuestos
  endógenos
• CYP1 a CYP3 metabolizan drogas y toxinas, por
  lo que son inducibles
• Muchas drogas son metabolizadas por CYP3A:
  Ciclosporina, Warfarina, Cisaprida, Amiodarona,
  Eritromicina, Lidocaína
Fase II - Conjugación

• Unión de la droga o metabolito con un
  grupo polar hidrosoluble:
  –   Glucurónido
  –   Sulfato
  –   Acetato
  –   Metilo
• Habitualmente el metabolito es inactivo
  luego de la conjugación
CYP (Citocromo P450)


        CYP2E1

Citocromo   Familia   Subfamilia   Variante
   P450
Actividad de CYP es variable

• La actividad de CYP varía:

  – Factores genéticos: Mutaciones
  – Inducción
                 Otras drogas
  – Inhibición
¿Quién no ha
tenido hepatitis?
      (levantar la mano)
LEVANTEN LA MANO !!!!
Clasificacion
                 Tiempo

• Fulminante    antes de 2 semanas
• Sub-fulminante ente 2 y 12 semanas
Clasificación
             Pronostico y Terapia

  Tipo              Encefalopatía
Hiperaguda               8 días
Aguda                    8 – 28 días
Sub-aguda                4 – 12 semanas
Falla Hepatica Aguda
                                        Etiologia
• Viral ( A, B, Agente Delta, E, Herpes Simple, Epstein Barr, Citomegalovirus
•             y Fiebre Amarilla

• Toxica ( Drogas y Tóxicos: Acetaminofen, AINES, Halothano,
•             Antiepilépticos Antimicrobianos, Amanita Phaloides , Ginseg)

• Metabolica (Higado Graso del Embarazo, Enfermedad de Wilson y
•             Síndrome de Reye)

• Isquemia (Síndrome de Bud-Chiari, Enfermedad Ven oclusiva,
•            Hepatitis Hipoxico-izquemica

• Otros (Hígado Metastático, Leucemia Aguda, Abscesos Hepaticos,
•               Infección Bacteriana)
Cuadro Clinico y Complicaciones
• Edema Cerebral
       Citotoxico
       Angiogenico
• Encefalopatia
• Coagulopatia
• Hipoglicemia
• Alteraciones Hemodinamicas
• Insuficiencia Renal
• Infecciones
• Sangrado de Tubo Digestivo
• Pancrfeatitis
• Distress Rrespiratorio
Encefalopatia
                      Grados.-

• I Cambios en la personalidad
• II Desorientación tiempo y persona,
      Asterixis, somnolencia
• III Estupor , Responde solo a estímulos
      dolorosos
• IV No hay respuesta a estímulos
Falla Hepatica Aguda
         Tratamiento Medico
• Especifico
     N- acetil cisteina
     Flumasenil
• Soporte
     Linea Central
     Cateter radial
     Sonda Nasogastrica y vesical
     Omeprazol
     Medidas antiamonio energicas
     Sopote ventilatorio
     Nutricion (NPT)
Falla Hepatica aguda
       Tratamiento Edema Cerebral
•   Elevar cabecera de cama 30 grados
•   Tratamiento de Hipertermia
•   Evitar crisis tusigena
•   Manejo adecuado de Hipoxemia e hipercapnia
•   Sedación
•   Intubación
•   Vigilancia de la presión Intracraneana
•   Uso de Manitol, diuréticos
•   Valorar el uso de vasopresores
Falla Hepatica Aguda
                Tratamiento
•   Soluciones glucosada 10 %
•   Plasma y Vitamina K
•   Antibioticos
•   Valoracion adecuada de Hemodialisis
•   Ventilacion mecanica con buen usos de
    flujos
Falla Hepatica Aguda
                   Otros
•   Hemodialisis
•   Plasmaferesis
•   Higado Artificial
•   Trasplante Hepatico
Trasplante Hepatico
                  Contraindicaciones
•   Presión de perfusion cerebral menor de 40 por mas de 2 hs
•   Presión Intracraneal mayor de 50 sostenida
•   Sepsis
•   Pancreatitis Hemorrágica
•   SIRPA severo
•   Enfermedad Cardiopulmonar severa
•   Alcoholismo o Drogadicción activo
•   HIV +
•   Trombosis Portal o Mesentérica
•   Daño Cerebral Severo
•   MEJORIA DE LA FUNCION HEPATICA
Bloque Viceral Normal
Hígado Normal
Corte Microscópico Normal
Corte Histológico Normal
Cuerpos Hialino de Mallory
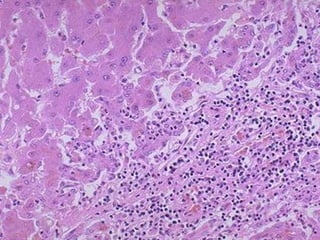
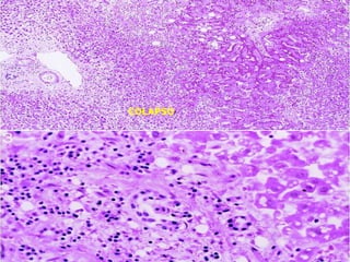
Falla Hepática Aguda
NECROSIS
COLAPSO
Hepatocarcinoma
• Tipos
  Primario
  Metastasico
Hepatocarcinoma
• Variantes
  Hepatocelular
  Fibrolamelar
  Colangiocarcinoma
  Carcinosarcoma
  Hepatoblastoma
Sintomatología
•   Dolor
•   Sensación de Pesantez
•   Ictericia
•   Baja de peso
•   Ascitis
•   Hepatomegalia
Cáncer de hígado debido a hepatitis B


                                    • Esta mujer no está embarazada
                                    • Ella tiene hepatitis B y sufre de cáncer de
                                    hígado
                                    • Esta mujer era una refugiada de Camboya
                                    • La foto fue tomada en un campo de
                                    refugiados tailandés
                                    • Ella murió 4 meses después de llegar al
                                    campo de refugiados (la esperanza de vida
                                    después del diagnóstico de cáncer hepático es
                                    de 6 meses)




 Courtesy of Patricia Walker, MD,
   Ramsey Clinic Associates,
          St. Paul, MN
Diagnostico
•   Clinico
•   Laboratorio
•   Radiologico
•   Gabinete
    - Placas simples
    - Ecografia
    - Tomografia
    - Resonancia
HEPATOCARCINOMA CON MULTIPLES
   NODULOS SATELITES
GRAN TUMORACION HEPATICA EN LOBULO DERECHO
Puntaje de Child-Pugh: escala con
valor pronóstico en Hepatocarcinoma
La evolución del hombre
¡Cuide su hígado!
Alcohol

• Es una de las principales causas de cirrosis
• El consumo per cápita está correlacionado a
  la mortalidad global por cirrosis
• En Chile: Dependencia de alcohol en 5% de
  la población
• Umbral de riesgo: 60 g/d en hombres, 20
  g/d en mujeres
Contractura de Dupuytren
Alcohol
      ↓ Potencial Redox

            ADH                           ALDH

Alcohol               Acetaldehído                  Acetato




                          Tóxico
                          Reactivo
                          Unión a membranas
                          Peroxidación de lípidos
                          Daño mitocondrial
Alcohol
ASCITIS
GINECOMASTIA
Ictericia y Coluria
Comprometidas en daño hepático:
• Metabolismo:                   • Síntesis proteínas
   – Carbohidratos                  – Albúmina
   – Proteínas                      – Factores de coagulación
   – Lípidos
                                 • Función inmune
• Excreción
   – Detoxificación de drogas
                                 • Función endocrina
   – Excreción biliar            • Almacenamiento
• Digestión                         – Vitamina A
   – Emulsificación de lípidos      – Hierro
• Reciclaje hierro
Síntesis de Albúmina

          • Síntesis 12 g/d
          • Proteína plasmática más
            abundante
          • Responsable de generar
            presión oncótica
          • Disminución contribuye a
            la generación de edema
            (mecanismos renales…)
Factores de coagulación

• El hígado sintetiza todos los factores de la
  coagulación excepto el factor VIII

• Insuficiencia hepática afecta coagulación:
  Disminución de la protrombina

• Importante: Descartar déficit de Vitamina K
Función inmune

• Primer “filtro” para flujo sanguíneo que
  drena al intestino (normalmente
  “contaminado”)

• Gran cantidad de macrófagos (céls.
  Kupffer). Reconocimiento de antígenos

• Excreción de IgA al intestino a través de la
  bilis
Función Endocrina

• Secreción de múltiples hormonas:
  – Somatomedinas
  – Trombopoyetina
• Insuficiencia hepática genera alteraciones
  endocrinas:
  – Hipogonadismo por cambios en los receptores
    de estrógenos hepáticos
  – Metabolismo de hormonas esteroidales
Evaluación de la hepatotoxicidad por drogas


• Se ha observado esta reacción adversa antes?
• Es el momento de la hepatotoxicidad consistente?
• El problema mejora al descontinuar la droga?
• Hay recurrencia con la re-exposición del
  medicamento?
• Se descartaron otras posibles causas de
  hepatotoxicidad?


                                Ann et al. Ann Intern Med 2002; 136:480-483
Daño hepático crónico



Hepatitis C
                                      Alcohol




Hepatitis B                      Hígado graso
                     Apoptosis
Daño hepático crónico
                 Daño inmunológico (linf. CD8)
                 Citoquinas (TNF)
                 Daño de membranas
                 Daño mitocondrial
                 Otros
                 .                                     Apoptosis
                 .
                 .                          Respuesta estereoptipada
Hepatocito

                                            •Activación de células
                                            estrelladas
                                            •TGF beta
                                            •Depósito de colágeno
                                            •Distorsión de la
                                            arquitectura
                                            •Alteraciones vasculares
Cirrosis

• Cirrosis: Proceso hepático difuso con
  fibrosis y formación de nódulos
• Muchas causas; resultado final similar
  – Necrosis
  – Fibrosis                    Cirrosis
  – Regeneración
• Disminución síntesis
• Alteraciones vasculares: Hipertensión portal
Etiologia de la Cirrosis
•   Alcohol
•   Virus
•   Autoinmunidad
•   Drogas
•   Enfermedades Colestasicas
•   Problemas de almacenamiento
•   Deficeincias enzimaticas
•   Congestivas
•   Otras
Progresión de la fibrosis
Circulación colateral
Palma hepática
Telangiectasias
Clasificación de severidad
Hepatitis A

• Picornavirus RNA
• Causa hepatitis aguda e infección
  asintomática
• Principal causa de hepatitis aguda en niños
  y jóvenes
• No produce infección crónica
• Se generan anticuerpos protectores
Hepatitis A
Hepatitis A

• Período de incubación: 30 días (15-50)

• Formas inhabituales:
  – Fulminante: 1%
  – Bifásica (recaida)
  – Colestásica (prurito)
Hepatitis A
                   Síntomas



                        ALT

                                IgM                     IgG
    Viremia


     HAV en depos.



0   1   2     3    4    5   6   7     8   9   10   11    12   13
                       Semanas
Hepatitis A

         Depos


         Suero
Fluido




         Saliva


         Orina


                 100   102       104       106         108   1010
                             Dosis infecciosa por mL
Hepatitis A
• Vías de transmisión:
   – Oro-fecal
   – Consumo de verduras regadas con aguas servidas
   – Consumo de mariscos crudos
• Prevención:
   –   Medidas de higiene y sanitización
   –   Vacuna: Altamente eficaz (98%)
   –   2 dosis (0 y 6 meses)
   –   Inmunoglobulina: 2 semanas
Alcohol

• Es una de las principales causas de cirrosis
• El consumo per capita está correlacionado a
  la mortalidad global por cirrosis
• En Chile: Dependencia de alcohol en 5% de
  la población
• Umbral de riesgo: 60 g/d en hombres, 20
  g/d en mujeres
Mejoría del pronóstico con
       abstinencia

3 set hepatitis b

  • 1.
    Hepatología Dr.Armando Téllez Hernández Universidad de Monterrey Servicio Medico de la Sección 50 del Magisterio Monterrey, Nuevo Leon
  • 2.
    Vena cava Inferior LóbuloDerecho Lóbulo Izquierdo Ligamento Falciforme Ligamento Redondo Vesícula biliar Higado
  • 3.
    Funciones del hígado •Metabolismo: • Síntesis proteínas – Carbohidratos – Albúmina – Proteínas – Factores de coagulación – Lípidos • Función inmune • Excreción – Excreción biliar • Función endocrina – Detoxificación de drogas • Almacenamiento • Digestión – Vitamina A – Emulsificación de lípidos – Hierro • Reciclaje hierro
  • 4.
    Conceptos Generales • Multiplicidady heterogeneidad de funciones • Órgano clave en el mantenimiento de la homeostasis corporal • Gran reserva funcional • Gran capacidad de regeneración
  • 5.
    Objetivos • Describir losmecanismos de daño hepático agudo • Conocer las causas frecuentes de daño hepático agudo • Resumir las fases generales de metabolización de drogas en el hígado • Reconocer la importancia de CYP en el metabolismo de drogas • Familiarizarse con aspectos generales de la hepatitis aguda por virus A y B • Entender y detectar la Falla Aguda • Conocer generalidades del Hepatocarcinoma
  • 6.
    Síntesis de Albúmina • Síntesis 12 g/d • Proteína plasmática más abundante • Responsable de generar presión oncótica • Disminución contribuye a la generación de edema (mecanismos renales…)
  • 7.
    Factores de coagulación •El hígado sintetiza todos los factores de la coagulación excepto el factor VIII • Insuficiencia hepática afecta coagulación: Disminución de la protrombina • Importante: Descartar déficit de Vitamina K
  • 8.
    Función inmune • Primer“filtro” para flujo sanguíneo que drena al intestino (normalmente “contaminado”) • Gran cantidad de macrófagos (céls. Kupffer). Reconocimiento de antígenos • Excreción de IgA al intestino a través de la bilis
  • 9.
    Función Endocrina • Secreciónde múltiples hormonas: – Somatomedinas – Trombopoyetina • Insuficiencia hepática genera alteraciones endocrinas: – Hipogonadismo por cambios en los receptores de estrógenos hepáticos – Metabolismo de hormonas esteroidales
  • 10.
    Virus RNA Familia Tipo Poliovirus 1-3 Picornaviridae Hepatitis A Rhinovirus Orthomyxoviridae Influenza A y B Parotiditis Paramyxoviridae Sarampión Respiratorio sincitial Togaviridae Rubeola Fiebre amarilla Dengue Flaviviridae Hepatitis C Hepatitis G Rhabdoviridae Rabia Caliciviridae Hepatitis E Filoviridae Ebola y Marburg Reoviridae Rotavirus Retroviridae VIH Arenaviridae Fiebre de Lassa Bunyaviridae Hantavirus Deltaviridae Hepatitis D
  • 11.
    Virus DNA Familia Tipo Herpex simplex tipo 1 Herpes simplex Herpesviridae tipo 2 Varicela-Zoster Citomegalovirus Epestein-Barr Adenoviridae Adenovirus 1-42 Vacuna Poxviridae Molluscum contagiosum Papovaviridae Papiloma 1-60 Hepadnaviridae Hepatitis B Sin clasificar Hepatitis F
  • 12.
    Características de losvirus desnudos Componentes Proteínas Estabilidad a la temperatura, acidez, Propiedades proteasas, detergentes y desecación. Se liberan por lisis Facilidad de diseminación (fómites, manos, polvo, gotas pequeñas) Resistencia a la desecación Supervivencia en el Características tracto gastrointestinal y aguas residuales insuficientemente tratadas Pueden inducir una respuesta inmune humoral protectora
  • 13.
    Características de losvirus envueltos Lípidos, proteínas Componentes y glicoproteínas Sensibilidad a la temperatura, acidez, detergentes Propiedades y desecación. Se liberan por gemación y lisis Dificultad de diseminación (gotas grandes, secreciones, sangre y tejidos) No sobreviven en Características el tracto gastrointestinal Pueden inducir una respuesta inmune celular y humoral protectora
  • 14.
    HEPATITIS VIRALES PROPIEDADES DE VIRUS HEPATOTROPOS PRIMARIOS A B C D E PICORNAVIRUS HEPADNAVIRUS FLAVIVIRUS NO CLASIFICADO VIRUS NO SI SI SI DESCONOCIDO ENVOLTURA GENOMA ARN ADN ARN ARN ARN HUESPEDES HUMANO HUMANO HUMANO HUMANO HUMANO CHIMPACES PATOS TRANSMISION FECAL-ORAL PARENTERAL PARENTERAL PARENTERAL FECAL-ORAL EVOLUCION AGUDA AGUDA AGUDA AGUDA AGUDA CRONICA CRONICA CRONICA PATOGENESIS INMUNE INMUNE INMUNE INMUNE? DESCONOCIDO CHC NO SI SI SI NO HEPATITIS 0 300-400 50-100 ? 0 CRONICA EN EL MILLONES MILLONES MUNDO
  • 15.
    Características de losvirus VHA VHB VHC VHD VHE VGB-C VTT Tamaño (nm) 27 42 55 36 32 ? 30-50 Acido ARN ADN ARN ARN ARN ARN ADN Nucleico Longitud del 7,5 3,2 9,4 1,7 7,5 9,4 3,8 Genoma (kb) Clasificación Picornavirus Hepadnavirus Flavivirus ----- Calicivirus Flavivirus ---- Días de 15 - 45 30 – 180 15 – 160 21– 14-63 ? ? Incubación 140
  • 16.
    Transmision VHA VHB VHC VHD VHE VGB-C VTT Fecal/Oral +++ - - - +++ ? + Percutane Rara +++ +++ +++ - ++ ++ a Sexual ? ++ + ++ - ? ? Perinatal - +++ + + - ? ?
  • 17.
    Caracteristicas Clinicas VHA VHB VHC VHD VHE VGB-C VTT Gravedad Generalmente Moderada Leve Puede ser Generalmente Leve Leve Leve Grave leve Infección No 1-10% y 80 - Si No Si Si Crónica 90 % en 90% neonatos Estado de No Si Si Si No Si Si Portador Hepatitis 0,1 % 1% Raro Si En Embarazo ? ? Fulminante 10 a 20 % Cáncer No Si Si ? No ? No Hepatocelular Profilaxis Si Si No No No No No
  • 18.
    HEPATITIS VIRUS A FAMILIA: Picornaviridae  GENERO: Hepatovirus – cápside ARN M.A.L Unidad de la cápside R.N.C. R.N.C. (VP1,VP2,VP3,VP4)
  • 20.
    Patogenia – Afectación hepática – Lesión por mecanismos inmunopatológicos – Factor relacionado: edad vs. Infección  Transmisión – Liberación de viriones : en las heces de individuos infectados (incubación y etapa aguda) – Fecal – oral – Viremia breve  Epidemiología – Diseminado mundialmente – Condiciones socioeconómicas y sanitarias  Higiene ambiental deficitaria facilita transmisión fecal-oral – Prevalencia
  • 21.
    Diagnóstico (test inmunoenzimáticos) – IgM anti VHA (fase aguda) – IgG anti VHA (estudios de seroprevalencia) IgM IgG
  • 22.
    Prevención y Control – Inmunización pasiva y activa – Medidas de higiene personal y colectiva
  • 24.
    Virus de lahepatitis
  • 25.
    Virus de lahepatitis B
  • 26.
    Virus de lahepatitis B
  • 27.
  • 28.
  • 29.
  • 30.
  • 31.
    HEPATITIS POR VIRUSB  Enfermedad de importancia mundial (más de 300 millones de individuos crónicamente infectados)  Estrechamente relacionada a cáncer primario de hígado  Característica epidemiológica: – edad de inicio de la infección, ruta (áreas de intermedia y alta prevalencia) – Infección crónica inversamente proporcional a la edad  Aumento de mortalidad (falla hepática, cirrosis y cáncer)  Esfuerzos preventivos deben dirigirse tomando en cuenta la prevalencia
  • 32.
    HEPATITIS POR VIRUSB ASPECTOS VIROLOGICOS  Familia Hepadnaviridae  Genoma pequeño de ADN (alto grado de compactación)  Biología molecular compleja (incluye etapa de transcripción reversa) VIRIÓN ESFERA FILAMENTO
  • 33.
    Transmisión – Percutanea (I/M, I/V, tatuajes, etc.) – Sexual – Vertical  Grupos de riesgo – Hemodializados – Adultos heterosexuales con más de una pareja – Hombres homo y bisexuales – Personas con riesgo ocupacional – Adolescentes  Epidemiología – Uruguay: país de baja prevalencia (0,5% HBsAg en donantes de sangre)
  • 34.
    Tipos de partículasdel virus de la hepatitis B
  • 36.
    El virus sepega a la célula hepática
  • 37.
    El virión entraal hepatocito
  • 38.
    El genoma viralse desenvuelve y entra al núcleo del hepatocito
  • 39.
    El virus usala maquinaria de la célula para su replicación
  • 40.
    El virión esensamblado intracelularmente
  • 41.
    Algunas proteínas desuperficie se disponen en partículas no infecciosas que son liberadas también al torrente sanguíneo
  • 42.
    Todas las partículasvirales, tanto infecciosas como no infecciosas son liberadas
  • 44.
    DIAGNOSTICO VIROLOGICO HEPATITIS AGUDA POR VIRUS B DIAGNOSTICO SEROLOGICO  Antígeno de superficie HBsAg  Marcadores serológicos: HBcAc (totales),fectio n w ith R eco v ery A cu te H ep atitis B V iru s In HBcAc IgM, HBeAg, HBeAc, HBsAc  Diagnóstico evolutivoT y p ic a l S e r o lo g ic C o u r se S ym p to m s HBeAg a n ti-H B e T o ta l a n ti-H B c T ite r T ite r HBsAg Ig M a n ti-H B c a n ti-H B s 0 4 8 12 16 20 24 28 32 36 52 100 W e e k s a fte r E x p o su r e W e e k s a fte r E x p o su r e
  • 45.
  • 46.
    DIAGNOSTICO VIROLOGICO HEPATITIS CRONICA POR VIRUS B DIAGNOSTICO SEROLOGICO  HBsAg persistentemente detectable  HBeAg presencia variable  HBcIgM generalmente indetectable a los 6 meses de la infección aguda
  • 47.
    DIAGNOSTICO VIROLOGICO HEPATITIS POR VIRUS B DIAGNOSTICO MOLECULAR  Detección de ADN viral: – hibridización (1.5 pg/ml = 4 x 105 genomas/ml) – PCR (100 – 1000 genomas/ml)  Identificación de genotipos – Análisis de secuencias – Estudio del polimorfismo de los fragmentos por enzimas de restricción  Cuantificación del ADN viral – Monitorizar el efecto sobre la replicación viral – Identificar la aparición de resistencia a las drogas – Evidenciar la infección crónica, asegurar la infectividad y estimar un pronóstico
  • 48.
    DIAGNOSTICO VIROLOGICO HEPATITIS POR VIRUS B  Utilidad – Monitorización de la respuesta al tratamiento con:  alfa interferón  nuevas estrategias : análogos de nucleósidos: – famciclovir y lamivudine – Descienden niveles de ADN viral – “clearance” de HBeAg – Descenso de niveles de aminotransferasas  Resistencia – Mutaciones en el gen de la polimerasa Metionina – 15 – 25% de cepas resistentes – Reaparición del ADN viral y recaída – Aumento de resistencia YMDD  1 año – 24% Valina/Isoleucina  2 años – 38% 
  • 54.
    Prevención y Control – Educación – Inmunización pasiva y activa – Test de tamizajes  Donantes de sangre  Embarazadas – Control de inmunización  Cuantificación de respuesta – < 10 mUI/ml : falta de respuesta – 10 – 100 mUI/ml : respuesta moderada – > 100 mUI/ml : buena respuesta
  • 56.
    Serología de unpaciente con hepatitis B
  • 57.
    Serología de unpaciente con hepatitis B
  • 58.
    Hepatitis Aguda porVirus B con Recuperacion Curso Serologico Tipico Sintomas T Anti- HBc total I T U L O Anti-HBs S Semanas despues de exposicion
  • 59.
    Los grupos deriesgo son los siguientes: - Hijos de madres infectadas por el virus - Consumidores de drogas que comparten jeringuillas - Personas con tatuajes o piercings realizados con jeringuillas no esterilizadas - Parejas de personas infectadas - Personas que conviven con miembros portadores del virus o en contacto íntimo - Personas con múltiples contactos sexuales (homosexuales y heterosexuales) - Individuos institucionalizados (discapacitados, prisioneros, etc.) - Trabajadores sanitarios - Transfundidos múltiples - Pacientes sometidos a hemodiálisis - Personas que viajan a países de alto riesgo - Padres adoptivos de niños procedentes de zonas con alta endemicidad para la hepatitis B que son portadores del virus de la hepatitis B
  • 61.
    Areas de EndemicidadElevada • Donde la Población se infecta en el periodo Peri natal o en la infancia • Porcentaje de portadores 5-20 % • Prevalencia 10 a 15 % • Positividad Serologica de contacto previo de 50 a 90 % en la Población General
  • 62.
    Zonas y Paisesde Endemicidad Elevada • África • India • Republicas Asiáticas • Asia Menor • Áreas del Caribe • Bulgaria • Rumania Prevalencia de Portadores de 5 a 10 % de la Población Gral. • Albania • Moldava
  • 63.
    Areas de EndemicidadIntermedia • La transmision es de Niño a Niño o entre adultos • La prevalencia es de 2 a 5 % • 30 al 50 % Dan positividad a pruebas serologicas de Hepatitis B
  • 64.
    Zonas y Paísesde endemicidad intermedia •Algunas partes del Este y Sureste de Europa •Este Medio •Oeste asiático a lo largo del subcontinente Indu •Partes de América Central y del Sur.
  • 65.
    Areas de EndemicidadBaja • La Transmisión Peri natal y de Niño a Niño es rara • La Infección se contrae en el adulto generalmente Vía sexual Drogadicción Perforaciones cutáneas Exposición Accidental Laboral
  • 83.
    Países de endemicidadbaja • América del Norte • Oeste de Europa • Australia • Algunas Zonas de América del Sur • España tiene una incidencia media o baja con un índice de portadores de 1%.
  • 85.
    Prevención Inmunización activa. • Consisteen la administración de una vacuna. • Las vacunas para prevenir la infección por el virus de la hepatitis contienen el antígeno de superficie del virus (HBsAg) • Al inyectarlo se induce la formación de anticuerpos (anti-HBs) • Así se neutraliza y protege de la infección por el virus de la hepatitis • La forma más efectiva de prevenir la infección por este virus es una inmunización activa con la vacuna de la hepatitis B.
  • 86.
    Vacunación • La vacunade la hepatitis B se administra intramuscular, en el deltoides en adulto o en la cara anterolateral del muslo en recién nacidos. • Se requieren tres dosis (meses 0,1 y 6). • Actualmente la OMS recomienda que no se utilice ninguna sustancia de origen humano en la fabricación de estas vacunas • Han de ser altamente purificadas • Estas vacunas son muy seguras, únicamente suelen producir reacción local transitoria
  • 89.
    Vacunación • Según laOMS se ha demostrado que la vacuna es efectiva • Previene el estado de portador crónico en el 95% de niños y adultos que no habían sido previamente infectados. • En Países donde el 8%-15% de los niños llegaban a ser portadores crónicos, estas cifras se han reducido gracias a la inmunización activa a menos del 1% • Además otros estudios han demostrado una reducción directa del cáncer de hígado
  • 90.
    Hepatitis B Vacunacion •3 dosis • Hijo de Madre portadora a las 12 hs se aplica junto con Gammaglobunlina hiperinmune • El resto de dosis a criterio del Pediatra • Madre no Portadora Se da primera dosis en cualquier momento hasta la 4ª a 8 sem de vida, la 2da al mes y la 3ª a los 6 meses
  • 92.
    Inmunización pasiva • Consisteen la administración de inmunoglobulinas (proteínas con actividad de anticuerpo, están relacionadas con la inmunidad, encuentran en suero) contra el antígeno de superficie del virus B de la hepatitis (anti-HBsAg).
  • 93.
    La inmunización pasivase utiliza en 4 situaciones: - Neonatos nacidos de madres HBsAg positivas - Después de un pinchazo con accidental con aguja posiblemente contaminada - Después de una exposición sexual de riesgo - Después de un trasplante hepático, en pacientes que anteriormente eran HBsAg positivo
  • 94.
    AGENTES ANTIVIRALES Infección Viral virus sist.inmune Virulencia responde Titulo *Inf.Aguda Sitio de Entrada *Inf.Crónica no responde *Inmunodep. Antivirales Interrumpir el proceso patogénico Factores DROGA, ESTADO INMUNE, CARGA VIRAL RESISTENCIA, AGUDAS, CRONICAS
  • 95.
    • Desarrollo lento – Replicación viral vs. Metabolismo celular – Replicación intracelular obligada – Menor nº de enzimas asociadas – Existencia de vacunas – Investigación de alto riesgo • Acción selectiva – Inhibir la replicación viral a concentraciones no tóxicas para el huésped • Objetivo – Infecciones no controlables por vacunas – Afectan nº elevado de personas – Diagnóstico rápido – Relativa severidad – Largos períodos de tratamiento
  • 96.
    Tratamiento Inmunomoduladores •Mejoran la enfermedadhepática, •Reducen la capacidad de las células del hígado (hepatocitos) para mantener la replicación viral •Estimulan la respuesta inmune específica •El interferón alfa es actualmente el más ampliamente utilizado en el tratamiento de la hepatitis B. •En su eficacia influye la edad, •La raza •Gravedad de la enfermedad •Forma de adquisición de la misma, •Si se presentan la llamada "forma precore" del virus •Este tratamiento se administra mediante inyección por vía subcutánea. •La timosína alfa-1, regula algunos aspectos de la función de las llamadas células T. Aunque su perfil de seguridad está muy mejorado su eficacia resulta limitada.
  • 97.
    Antivirales •Actúan directamente frenteal virus •Interfiriendo en su replicación. •La Lamivudina que es un potente inhibidor de la multiplicación viral muy selectivo y poco tóxico (actúa sobre las células infectadas). •La respuesta que se obtiene con el tratamiento con lamivudina no depende del origen del paciente (asiático, occidental…) Este tratamiento se administra por vía oral •Los estudios clínicos realizados con Lamivudina han demostrado que además de mejorar la enfermedad hepática, reduce la progresión a fibrosis y mejora la histología hepática.
  • 98.
    Otros Antivirales • Adefovir,Ha mostrado un bajo índice de resistencia y minimas mutaciones hasta de 3,4 % al 4 año de tratamiento, el cual es de 10 mg v.o. • Entecavir, su dosificación es de tab de .5 mg al dia con un buen índice de respuesta y sin resistencia referida hasta el momento
  • 99.
    HEPATITIS VIRUS C Virus C es el agente responsable del mayor porcentaje de casos de hepatitis crónica no A no B  Familia: Flaviviridae  Virus ARN con gran heterogeneidad genética  Métodos de biología molecular han permitido caracterizar a este virus y tienen un rol importante en el diagnóstico clínico para confirmar la infección activa.
  • 100.
    DIAGNOSTICO VIROLOGICO HEPATITIS CRONICA POR VIRUS C DETECCION DE ANTICUERPOS ANTI VHC Ensayos Serológicos Tamizajes (EIA) Individuo infectado por HCV Infección pasada, presente EIA REACTIVO No diferencian infección aguda, crónica, resuelta EIL POSITIVO Sensibilidad > 97% Individuo no infectado por HCV Bajo valor predictivo EIA NO REACTIVO positivo EIA REACTIVO Y EIL Complementarios (EIL) NEGATIVO Alta especificidad Indeterminados Seroconversión Inf. Crónicas Falsos positivos
  • 101.
    HEPATITIS CRONICA PORVIRUS C • Virus ARN, Sentido Positivo, 9600 nucleótidos • IFN-PKR • represor • • 5’NCR C E1 E2 P7 NS2 NS3 NS4aNS4b NS5a NS5b 3’NCR • • HVR1 386-411 Cambios de aa/mes: HVR2 474-480 0.7 – 1.7% • Codifica una poliproteína de 3000 aminoácidos
  • 102.
    DIAGNOSTICO VIROLOGICO HEPATITIS CRONICA POR VIRUS C DIAGNOSTICO MOLECULAR Electroforesis en gel de agarosa (1.5%) A B C D E F G M C+ C- H I M 1 2 3 4 M 1 2 3 4 M 1 2 3 4 1a/1b 1b 1b M: Marcador de peso molecular (100 pb) M: Marcador de peso molecular (25 pb) A,B,C,....: Muestras de pacientes 1,2,3,4,....: Digestión enzimática C+ : Control positivo C- : Control negativo
  • 103.
    DIAGNOSTICO VIROLOGICO HEPATITISCRONICA POR VIRUS C Distribución geográfica 1a 1b 2a 2b 2c 3a 1a 1b 1a 2a 1b 1a 2b 4a 2a 1b 2c 2b 3a 2c 2a 6 3a 2b 5 2c 3a
  • 104.
    DIAGNOSTICO VIROLOGICO HEPATITIS CRONICA POR VIRUS C  Estudios de prevalencia – Centro de Referencia de Hepatitis Virales D.L.S.P. – M.S.P. Genotipo % Subtipos – 1 70.5 1a(50%) 1b(50%) 2 3 2a 3 26.5 3a 4 5 6
  • 105.
    EXPOSICION INF.AGUDA RECUPERACION CRONICIDAD (15%) (85%) CIRROSIS ESTABLE (20%) (80%) PROGRESION HEPATOCARCINOMA LENTA (75%) TRANSPLANTE MUERTE
  • 106.
    Hepatitis C Cronica Factoresque Promueven la Progresion de la Severidad • Incremento en ingesta de alcohol • Edad > 40 anos al momento de la infeccion • Co-infection HIV • Otros – Genero Masculino – Co-infection con HBV Cronica
  • 107.
    Hepatitis por VirusC Periodo de Incubacion Promedio 6-7 weeks Rango 2-26 weeks Enfermedad Aguda (ictericia) Leve (<20%) Nivel de Casos fatales Bajo InfeccionCronica 60%-85% Hepatitis Cronica 10%-70% Mortalidad de EHC 1%-5%
  • 108.
    Patron Serologico deInfeccion AgudaRecuperacion con Patron Serologico de Infeccion Aguda por HCV con por HCV Recuperacion anti- HCV Sintomas +/- HCV RNA Titer ALT Normal 0 1 2 3 4 5 6 1 2 3 4 Meses Anos Tiempo Despues de la Exposicion
  • 109.
    Patron Serologico deInfeccion Aguda HCV con Progresion a Infeccion Cronica anti- HCV Sintomas +/- HCV RNA Titer ALT Normal 0 1 2 3 4 5 6 1 2 3 4 Meses Anos Tiempo despues de la Exposicion
  • 111.
    HEPATITIS C YCIRROSIS
  • 112.
  • 113.
    Hepatitis por VirusC, en Estados Unidos Nuevas infecciones por ano 1985-89 242,000 2001 25,000 Muertes por falla Hepatica Aguda Raro Personas infectedas (1.8%) 3.9 millones (3.1-4.8)* Personas con Infeccion Cronica 2.7 millones (2.4-3.0)* Enfermedad Cronica relacionada con HCV 40% - 60% Muertes por Enfermedad cronica/ano 8,000-10,000 *Intervalo de Confianza 95%l
  • 114.
    Incidencia Estimada deInfeccion Aguda HCV en Estados Unidos, 1960-2001 Nuevas Infecciones/100,000 140 120 100 80 Disminucion en drogadictos 60 con uso de drogas IV 40 20 Disminucion en Receptores de Transfusion 0 1960 1965 1970 1975 1980 1985 1989 1992 1995 1998 2001 Ano Source: Hepatology 2000;31:777-82; Hepatology 1997;26:62S-65S; CDC, unpublished data
  • 115.
    Factores Conocidos Asociadosa Infeccion HCV en Estados Unidos • Uso de Drogas Intravenosas • Transfusion, transplantes de donador infectado • Exposicion Ocupacional a sangre • Principalmente jeringas • Exposicion Iatrogenica • Nacidos de Madre Infectada por HCV • Relaciones sexuales con parejas infectadas • Multiples parejas sexuales
  • 117.
    Casos Reportados deHepatitis C Aguda por Riesgo de Factores Seleccionados en Estados Unidos, 1982-2001* 80 70 Porcentage de Casos 60 50 Uso de Drogas IV Sexual 40 30 20 Trabajadores de la salud 10 Transfusion 0 1982 1984 1986 1988 1990 1992 1994 1996 1998 2000 2001 * 1982-1990 basedo en Hepatitis no-A, no-B Ano
  • 118.
    Uso de DrogasIntravenosas y HCV Transmision •Altamente Eficiente •Contaminacion Parafernalia de drogas, no solo agujas y jeringas •Rapidamente es adquirida la infeccion desde el inicio •La prevalencia es de 30 % despues de 3 anos >50% despues de 5 anos •Cuatro veces mas comun que HIV
  • 119.
    Hepatitis C Postransfusion 30 Todos los donadores voluntarios % of Reciptores Infectados HBsAg 25 20 15 Escrutinio del donador para Factores de riesgo para HIV Anti-HIV 10 ALT/Anti-HBc Anti-HCV 5 Mejoria de las pruebas de HCV 0 1965 1970 1975 1980 1985 1990 1995 2000 Year Adaptedo de HJ Alter y Tobler y Busch, Clin Chem 1997
  • 120.
    Transmision Ocupacional deHCV • Ineficiente proteccion ocupacional • Porcentaje de incidencia 1.8% seguida de lesion con aguja de fuente HCV-positiva • Reporte de caso de transmision de salpicar de sangre al ojo; una exposicion con piel intacta • Prevalencia de 1-2% entre trabajadores de la salud • Mas baja que en adultos de la Poblacion General 10 veces mas baja que la infeccion por HBV
  • 121.
    Transmision Perinatal deHCV • Transmision solo de mujeres HCV-RNA positiva al nacimiento • 6% nivel de porcentaje de infeccion • (17%) Mas alta si la mujer esta co-infectada con HIV • El valor del nivel de titulos virales no son claros • No hay asociacion con metodo de Nacimiento • Alimentacion Materna
  • 122.
    Sexual Transmision Sexualde HCV •Casos-control, Estudios Cruzados Seccionales • Pareja Infectada • Multiples pareja • Sexo temprano • No-uso de condon • Sexo con trauma
  • 123.
    Fuentes de Infeccionpara Personas Con Hepatitis C Uso de drogas Intravenosas 60% Sexual 15% Transfusion 10% (antes del screening) Ocupacional 4% Otros 1%* Desconocida 10% * Nosocomial; iatrogenic; perinatal Source: Centers for Disease Control and Prevention
  • 124.
    Prevalencia de HCVen Grupos Seleccionados en USA Hemofilia usuarios drogas iv Hemodialisis STD repeticion Gen poblacion adulta Cirujanos Mujeres Emabarazadas Personal Militar 0 10 20 30 40 50 60 70 80 90 Porcentaje Promedio Anti-HCV Positivo
  • 125.
    Prueba de HCVRecomendada Rutinariamente Basado sobre incremento en el riesgo de infeccion • Siempre con el uso drogas ilegales inyectables • Receptores de factores de coagulacion antes de 1987 • Receptores de sangre/organos antes de Julio de 1992 • Sempre con hemodialysis cronica • Evidencia de enfermedad hepatica Basado en la necesidad de exposicion por manejo • Trabajadores de la salud, emergencia, Trabajadorees de seguridad publica despues de lesion en mucosa por navaja con sangre HCV-positivo • Ninos nacidos de madres HCV-positivas
  • 126.
    Manejo Post-exposicion deHCV • IG, antivirales no recomendado para profilaxis • Seguimiento despues de la exposicion de mucosas a rastrillos, navajas, de personas con sangre HCV- positiva Pruebas para anti-HCV – Prueba al trabajador si la fuente anti-HCV positiva • Anti-HCV y ALT basal y 4-6 meses despues • Para diagnostico temprano, HCV RNA a las 4-6 sem. – Confirmar los resultados anti-HCV con RIBA • Referir al trabajador infectado a especialista para evaluacion medica y manejo
  • 127.
    Pruebas para HCVNo Recomendada de Rutina (Sin Factor de Riesgo Identificado) • Trabajadores de la salud, emergencia medica, y Trabajadores de seguridad publica • Embarazadas • Utensilios (no-sexual) en contacto con personas HCV-positivo • Poblacion General
  • 128.
    Algoritmo de pruebaspara HCV para el Diagnostico en Personas Asintomaticas Negativa Prueba de Escrutinio para ALTO Anti-HCV Positiva O Negativa RIBA para Anti-HCV NAT para HCV RNA Negativa Indeterminada Positiva Positiva Laboratorio Adicional Evaluacion ALTO Evaluacion (e.g. PCR, ALT) Medica Negativa PCR, Positiva PCR, Normal ALT Anormal ALT Source: MMWR 1998;47 (No. RR 19)
  • 129.
    HCV Consejeria Prevenir Transmision de HCV a otros Exposicion Indirecta a Sangre • No donar sangre, organos, otros tejidos o semen • No Usar utensicilios que puedan tener sangre de ellos – Cuidado personal (e.g., rastrillos, cepillos dentales) – Tratamientos en hogar (e.g., agujas y jeringas) • Cubrir las heridas de piel
  • 130.
    HCV Consejeria Usuarios de Drogas Ilegales • Proveer reduccion del con counsejos y, educacion – Suspender el uso de Inyectables – Referir el abuso de substancias en programas de tratamiento – Si se continua con el uso de inyectables • Nunca reusar jeringas o agujas, o equipo de preparacion de drogas • Vacunas contra hepatitis B y hepatitis A
  • 131.
    HCV Conseria Transmision de Madre-a-hijo HCV • Post-exposicion no hay profilaxis disponible • No necesecita evitar el embarazo o alimentacion materna – Considerar biberon si hay lesion de pezon • No se nececita determinar el modo de nacimiento basado en el status de la Infeccion por HCV • Pruebas a ninos nacidos de madres HCV-positivas – >15-18 meses – Considerar pruebas a cualquier nino nacido de madres infectedas reciemntemente – Evaluar ninos infectados para Enfermedad Hepatica Cronica
  • 132.
    HCV Consejeria Transmision Sexual de HCV Personas con Pareja sexual permanente • No nececita cambiar practicas sexuales • Debera discutir con su pareja – Riesgo (bajo pero no ausente) de transmision sexual – Consejo y pruebas de parejas debera ser individualizada – Pueden proveer ,mayor precaucion algunas parejas pueden decidir usar barreras por precaucion que bajen mas el limite de riesgo futuro
  • 133.
    HCV Consejeria Transmision Sexual de HCV Personas con Conductas sexuales de Alto Riesgo • Riesgo de Enfermedades transmitidas sexualmente, e.g., HIV, HBV, gonorrea, clamydia, etc. • Riesgo Reducido – Numero de Parejas Limitadas – Uso de condones de Latex – Vacunarse contra contra hepatitis B – Estar Vacunado contra hepatitis A
  • 134.
    HCV Consejeria Otras Formas de Transmision • HCV no se esparce por besos, abrazos, estornudos, tos, comida o agua, utensilios de limpieza de oidos dientes, bebiendo de los mismos vasos o contacto casual. • No se excluye de trabajo, escuela, lugares de juegos, cuidados de niños o otros escenarios basados en el estatus infeccioso de HCV.
  • 135.
    Complicaciones de Hepatitis •Hepatitis Crónica • Cirrosis - Hipertension Portal - Ascitis - Encefalopatia • Hepatocarcinoma
  • 137.
    Falla Hepatica Aguda Dr. Armando Tellez Hernandez Universidad e Monterrey Servicio Medico de la Seccion 50 Monterrey, N.L.
  • 138.
    Falla Hepatica Aguda Definicion Padecimiento potencialmente mortal que cursa con ictericia, encefalopatía y severos problemas de coagulación en un periodo breve generalmente menos de 12 semanas en un Hígado previamente sano y que generalmente se ven comprometidos diversos órganos y sistemas
  • 139.
    Etiologias* • Enfermedad deWilson • Sobreinfeccion de Hepatitis Delta en Pacientes con Hepatitis B • Hepatitis Autoinmune * Aceptadas aun sin Hígado sano
  • 140.
    Daño hepático agudo Drogas Hepatitis A Shock Hepatitis B Necrosis
  • 141.
    Daño hepático agudo Elevación de transaminasas Daño inmunológico (linf. CD8) Citoquinas (TNF) Daño de membranas Daño mitocondrial Otros . . Necrosis . Hepatocito Regeneración Falla hepática
  • 142.
    Causas de dañohepatico agudo 1 • Hepatitis Viral: Virus A, B, C, D, E Herpes Simplex Eptein Barr. Citomegalovirus, Herpesvirus 6 Influenza tipo B, Virus de fiebres hemorragicas (Lassa, Ebola, Marburg) • Drogas: Paracetamol (accidental o intento suicida) Antibioticos (Isoniacida, Nitrofurantoina, Tetraciclina, Ciprofloxacino, eritro micina. Amoxicilina-acido clavulanico) Acido clavulanico, Lavastatina,Fenitoina, Triciclicos, Halothano, Oro, F lutamida, Antabuse, Ciclofosfamida, Ectasism Loratadina, Propiltiouracilo, Diclofenaco, Sulfas,Amoidarona, Et c.
  • 143.
    Causas de dañohepático agudo I Hepatitis Viral: • Virus de Hepatitis A, B, C, D, E, Herpes Simplex, Epstein- Barr, Citomegalovirus, Herpesvirus 6, Influenza tipo B, Virus de fiebres hemorrágicas (Lassa, Ebola, Marburg). Drogas: • Paracetamol (accidental o intento suicida), Antibióticos (isoniazida, nitrofurantoína, tetracilina, ciprofloxacino, eritromicina, amoxicilina-ácido clavulánico), Acido valproico, Lovastatina, Fenitoína, Tricíclicos, Halotano, Oro, Flutamida, Antabuse, Ciclofosfamida, Ectasis, Loratadina, Propiltiouracilo, Diclofenaco, Sulfas, Amiodarona, etc.
  • 144.
    Causas de dañohepático agudo II Toxinas: • Amanita Phalloides, Solventes orgánicos, Hierbas medicinales (ginseng, valeriana, etc), Toxinas bacterianas (Bacillus cereus, cianobacterias) Misceláneas: • Hígado graso agudo del embarazo, Síndrome HELLP, Hepatitis autoinmune, Budd-Chiari, Trombosis portal, Insuficiencia cardiaca derecha, Isquemia, Leucemia, Linfoma, Metástasis, Malaria, Tuberculosis, Síndrome de Reye, Enfermedad de Wilson Indeterminadas
  • 145.
    Nomenclatura Insuficiencia hepática aguda Hígado sano Hígado dañado Falla hepática Descompensación fulminante (FHF) DHC
  • 147.
    Como se definehepatotoxicidad? Nivel de transaminasas (veces sobre el valor normal) Grado 4 10 “Hepatotoxicidad severa” Grado 3 5 Grado 1 or 2 Límite alto de lo normal  1 Normal 0
  • 148.
    Hepatotoxicidad por drogas •El metabolismo de la drogas requiere eliminación renal o biliar • La mayoría de los medicamentos orales son drogas lipofílicas (insolubles en agua) • Existe un paso inicial de metabolismo hepático para hacerlas hidrosolubles
  • 149.
    Metabolismo hepático dedrogas • Fase I: Adición de grupos polares por acción del citocromo P450 • Fase II: Conjugación
  • 150.
    Metabolismo hepático dedrogas NADPH NADP+ Metabolito Droga conjugada Droga Fase I Fase II activo CYP Transferasas -Oxidación -Glucuronización -Reducción -Sulfatación -Hidroxilación -Metilación -Acetilación
  • 151.
    Fase I -CYP (Citocromo P450) • Familia de proteínas (enzimas) • 30 isoformas agupadas en 10 familias y subfamilias • Localizadas en el retículo endoplásmico • Tienen una apoproteína y un grupo heme • Reacciones de oxidación, reducción e hidrólisis • Funcionan con NADPH • Habitualmente produce el metabolito activo
  • 152.
    Fase I -CYP (Citocromo P450) • CYP4 a CYP10 metabolizan compuestos endógenos • CYP1 a CYP3 metabolizan drogas y toxinas, por lo que son inducibles • Muchas drogas son metabolizadas por CYP3A: Ciclosporina, Warfarina, Cisaprida, Amiodarona, Eritromicina, Lidocaína
  • 153.
    Fase II -Conjugación • Unión de la droga o metabolito con un grupo polar hidrosoluble: – Glucurónido – Sulfato – Acetato – Metilo • Habitualmente el metabolito es inactivo luego de la conjugación
  • 154.
    CYP (Citocromo P450) CYP2E1 Citocromo Familia Subfamilia Variante P450
  • 155.
    Actividad de CYPes variable • La actividad de CYP varía: – Factores genéticos: Mutaciones – Inducción Otras drogas – Inhibición
  • 156.
    ¿Quién no ha tenidohepatitis? (levantar la mano)
  • 157.
  • 158.
    Clasificacion Tiempo • Fulminante antes de 2 semanas • Sub-fulminante ente 2 y 12 semanas
  • 159.
    Clasificación Pronostico y Terapia Tipo Encefalopatía Hiperaguda 8 días Aguda 8 – 28 días Sub-aguda 4 – 12 semanas
  • 160.
    Falla Hepatica Aguda Etiologia • Viral ( A, B, Agente Delta, E, Herpes Simple, Epstein Barr, Citomegalovirus • y Fiebre Amarilla • Toxica ( Drogas y Tóxicos: Acetaminofen, AINES, Halothano, • Antiepilépticos Antimicrobianos, Amanita Phaloides , Ginseg) • Metabolica (Higado Graso del Embarazo, Enfermedad de Wilson y • Síndrome de Reye) • Isquemia (Síndrome de Bud-Chiari, Enfermedad Ven oclusiva, • Hepatitis Hipoxico-izquemica • Otros (Hígado Metastático, Leucemia Aguda, Abscesos Hepaticos, • Infección Bacteriana)
  • 161.
    Cuadro Clinico yComplicaciones • Edema Cerebral Citotoxico Angiogenico • Encefalopatia • Coagulopatia • Hipoglicemia • Alteraciones Hemodinamicas • Insuficiencia Renal • Infecciones • Sangrado de Tubo Digestivo • Pancrfeatitis • Distress Rrespiratorio
  • 162.
    Encefalopatia Grados.- • I Cambios en la personalidad • II Desorientación tiempo y persona, Asterixis, somnolencia • III Estupor , Responde solo a estímulos dolorosos • IV No hay respuesta a estímulos
  • 163.
    Falla Hepatica Aguda Tratamiento Medico • Especifico N- acetil cisteina Flumasenil • Soporte Linea Central Cateter radial Sonda Nasogastrica y vesical Omeprazol Medidas antiamonio energicas Sopote ventilatorio Nutricion (NPT)
  • 164.
    Falla Hepatica aguda Tratamiento Edema Cerebral • Elevar cabecera de cama 30 grados • Tratamiento de Hipertermia • Evitar crisis tusigena • Manejo adecuado de Hipoxemia e hipercapnia • Sedación • Intubación • Vigilancia de la presión Intracraneana • Uso de Manitol, diuréticos • Valorar el uso de vasopresores
  • 165.
    Falla Hepatica Aguda Tratamiento • Soluciones glucosada 10 % • Plasma y Vitamina K • Antibioticos • Valoracion adecuada de Hemodialisis • Ventilacion mecanica con buen usos de flujos
  • 166.
    Falla Hepatica Aguda Otros • Hemodialisis • Plasmaferesis • Higado Artificial • Trasplante Hepatico
  • 167.
    Trasplante Hepatico Contraindicaciones • Presión de perfusion cerebral menor de 40 por mas de 2 hs • Presión Intracraneal mayor de 50 sostenida • Sepsis • Pancreatitis Hemorrágica • SIRPA severo • Enfermedad Cardiopulmonar severa • Alcoholismo o Drogadicción activo • HIV + • Trombosis Portal o Mesentérica • Daño Cerebral Severo • MEJORIA DE LA FUNCION HEPATICA
  • 169.
  • 170.
  • 171.
  • 172.
  • 173.
  • 174.
  • 175.
  • 176.
  • 177.
    Hepatocarcinoma • Tipos Primario Metastasico
  • 178.
    Hepatocarcinoma • Variantes Hepatocelular Fibrolamelar Colangiocarcinoma Carcinosarcoma Hepatoblastoma
  • 179.
    Sintomatología • Dolor • Sensación de Pesantez • Ictericia • Baja de peso • Ascitis • Hepatomegalia
  • 180.
    Cáncer de hígadodebido a hepatitis B • Esta mujer no está embarazada • Ella tiene hepatitis B y sufre de cáncer de hígado • Esta mujer era una refugiada de Camboya • La foto fue tomada en un campo de refugiados tailandés • Ella murió 4 meses después de llegar al campo de refugiados (la esperanza de vida después del diagnóstico de cáncer hepático es de 6 meses) Courtesy of Patricia Walker, MD, Ramsey Clinic Associates, St. Paul, MN
  • 181.
    Diagnostico • Clinico • Laboratorio • Radiologico • Gabinete - Placas simples - Ecografia - Tomografia - Resonancia
  • 182.
  • 183.
    GRAN TUMORACION HEPATICAEN LOBULO DERECHO
  • 184.
    Puntaje de Child-Pugh:escala con valor pronóstico en Hepatocarcinoma
  • 185.
  • 186.
  • 187.
    Alcohol • Es unade las principales causas de cirrosis • El consumo per cápita está correlacionado a la mortalidad global por cirrosis • En Chile: Dependencia de alcohol en 5% de la población • Umbral de riesgo: 60 g/d en hombres, 20 g/d en mujeres
  • 188.
  • 189.
    Alcohol ↓ Potencial Redox ADH ALDH Alcohol Acetaldehído Acetato Tóxico Reactivo Unión a membranas Peroxidación de lípidos Daño mitocondrial
  • 190.
  • 191.
  • 192.
  • 193.
  • 194.
    Comprometidas en dañohepático: • Metabolismo: • Síntesis proteínas – Carbohidratos – Albúmina – Proteínas – Factores de coagulación – Lípidos • Función inmune • Excreción – Detoxificación de drogas • Función endocrina – Excreción biliar • Almacenamiento • Digestión – Vitamina A – Emulsificación de lípidos – Hierro • Reciclaje hierro
  • 195.
    Síntesis de Albúmina • Síntesis 12 g/d • Proteína plasmática más abundante • Responsable de generar presión oncótica • Disminución contribuye a la generación de edema (mecanismos renales…)
  • 196.
    Factores de coagulación •El hígado sintetiza todos los factores de la coagulación excepto el factor VIII • Insuficiencia hepática afecta coagulación: Disminución de la protrombina • Importante: Descartar déficit de Vitamina K
  • 197.
    Función inmune • Primer“filtro” para flujo sanguíneo que drena al intestino (normalmente “contaminado”) • Gran cantidad de macrófagos (céls. Kupffer). Reconocimiento de antígenos • Excreción de IgA al intestino a través de la bilis
  • 198.
    Función Endocrina • Secreciónde múltiples hormonas: – Somatomedinas – Trombopoyetina • Insuficiencia hepática genera alteraciones endocrinas: – Hipogonadismo por cambios en los receptores de estrógenos hepáticos – Metabolismo de hormonas esteroidales
  • 199.
    Evaluación de lahepatotoxicidad por drogas • Se ha observado esta reacción adversa antes? • Es el momento de la hepatotoxicidad consistente? • El problema mejora al descontinuar la droga? • Hay recurrencia con la re-exposición del medicamento? • Se descartaron otras posibles causas de hepatotoxicidad? Ann et al. Ann Intern Med 2002; 136:480-483
  • 200.
    Daño hepático crónico HepatitisC Alcohol Hepatitis B Hígado graso Apoptosis
  • 201.
    Daño hepático crónico Daño inmunológico (linf. CD8) Citoquinas (TNF) Daño de membranas Daño mitocondrial Otros . Apoptosis . . Respuesta estereoptipada Hepatocito •Activación de células estrelladas •TGF beta •Depósito de colágeno •Distorsión de la arquitectura •Alteraciones vasculares
  • 202.
    Cirrosis • Cirrosis: Procesohepático difuso con fibrosis y formación de nódulos • Muchas causas; resultado final similar – Necrosis – Fibrosis Cirrosis – Regeneración • Disminución síntesis • Alteraciones vasculares: Hipertensión portal
  • 203.
    Etiologia de laCirrosis • Alcohol • Virus • Autoinmunidad • Drogas • Enfermedades Colestasicas • Problemas de almacenamiento • Deficeincias enzimaticas • Congestivas • Otras
  • 214.
  • 215.
  • 216.
  • 217.
  • 218.
  • 219.
    Hepatitis A • PicornavirusRNA • Causa hepatitis aguda e infección asintomática • Principal causa de hepatitis aguda en niños y jóvenes • No produce infección crónica • Se generan anticuerpos protectores
  • 220.
  • 221.
    Hepatitis A • Períodode incubación: 30 días (15-50) • Formas inhabituales: – Fulminante: 1% – Bifásica (recaida) – Colestásica (prurito)
  • 222.
    Hepatitis A Síntomas ALT IgM IgG Viremia HAV en depos. 0 1 2 3 4 5 6 7 8 9 10 11 12 13 Semanas
  • 223.
    Hepatitis A Depos Suero Fluido Saliva Orina 100 102 104 106 108 1010 Dosis infecciosa por mL
  • 224.
    Hepatitis A • Víasde transmisión: – Oro-fecal – Consumo de verduras regadas con aguas servidas – Consumo de mariscos crudos • Prevención: – Medidas de higiene y sanitización – Vacuna: Altamente eficaz (98%) – 2 dosis (0 y 6 meses) – Inmunoglobulina: 2 semanas
  • 225.
    Alcohol • Es unade las principales causas de cirrosis • El consumo per capita está correlacionado a la mortalidad global por cirrosis • En Chile: Dependencia de alcohol en 5% de la población • Umbral de riesgo: 60 g/d en hombres, 20 g/d en mujeres
  • 226.
    Mejoría del pronósticocon abstinencia