CÁTEDRA: HISTOEMBRIOLOGÍA
CATEDRÁTICA: DRA. GINA MORA
REALIZADO POR:
ERIKA CUENCA
MIRIAN CUSHCAGUA
ANA PAULA FAICÁN
RUTH FAICAN
GABRIELA VERA
APARATO DIGESTIVO:
TUBO DIGESTIVO.
Consiste en una
estructura tubular,
compuesta por:
esófago, estómago,
intestino delgado,
grueso y conducto
anal.
Funciones.
Digiere alimentos,
absorbe nutrientes y
el agua, compacta y
elimina los
componentes
indigeribles de la
comida ingerida
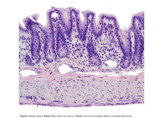
Organización general
del tubo digestivo.
Compuesto por una
serie de cilíndricos
concéntricos, en
torno a una luz.
La luz esta recubierta por una capa epitelial y un
estrato de tejido conjuntivo subepitelial, la lamina
propia , que alberga las glándulas y los folículos
linfáticos, que integran el tejido linfático asociado a
la mucosa.
La lamina propia esta
rodeada por la
muscular de la
mucosa, 2 capas de
músculo liso que
adoptan una
disposición helicoidal:
Una circular interna, y
otra longitudinal
externa, el epitelio la
lamina propia y la
muscular de la mucosa
constituyen en
conjunto la mucosa
Alrededor de la
mucosa hay un tejido
conjuntivo colágeno
denso, la submucosa,
que representa una
región vascularizada
que contiene
glándulas, pero solo en
el esófago y en el
duodeno
La muscular externa está compuesta
por músculo liso distribuido en dos
capas de disposición espiral: una
circular interna y otra longitudinal
externa.
El tubo digestivo está recubierto por un
tejido conjuntivo (adventicia) que fija
parte de sus reglones a la pared
corporal, o por un epitelio pavimentoso
simple húmedo (serosa) que reduce el
roce generado por su movimiento con
el peristaltismo.
 Está tapizada por un epitelio escamoso estratificado húmedo.
 El vestíbulo y la cavidad bucal propiamente dicha, el conjunto formado por tejido
conjuntivo subepitelial y el epitelio constituye la mucosa bucal.
 La mucosa cuando está queratinizada o paraqueratinizada recibe el nombre de
mucosa masticatoria y se localiza en las encías, el paladar duro y la porción
dorsal de la lengua.
 La mayor parte de la cavidad bucal posee mucosa de revestimiento; la superficie
dorsal de la lengua y algunas zonas del paladar blando y la faringe poseen mucosa
especializada (corpúsculos gustativos).
 Los pares de glándulas salivales mayores, producen saliva que contiene amilasa
salival, lactoferrina y lisozima (antimicrobianos), e IgA. Estos colaboran para el
mantenimiento de la humedad bucal; al comer, la saliva ayuda a la formación del
bolo alimenticio.
MUCOSA MASTICADORA MUCOSA DE REVESTIMIENTO
MUCOSA
ESPECIALIZADA
Cada labio posee:
Cara cutánea (externa), posee folículos pilosos.
Zona Bermellón, sus capilares del aparato reticular alto
se encuentran cerca de la superficie por lo que le da una
coloración rosada.
Cara mucosa (interna), es siempre húmeda y su mucosa
de revestimiento tiene tejido conjuntivo muy
vascularizado con un gran numero de glándulas
salivales menores mucosas y algunas serosas.
 Es una estructura hueca con una corona recubierta de esmalte y una raíz rodeada de
cemento que se unen en el cuello.
 Cavidad pulpar hueca se divide en: Conducto radicular y la cámara pulpar, está
rodeada de dentina mineralizada .
 En la raíz se encuentra el ligamento periodontal de tejido conectivo colagenoso
denso en el alvéolo óseo.
 La pulpa tiene un núcleo central neurovascular que esta envuelto por:
o Zona rica en células
o Zona pobre en células
o Capa odontoblástica
 El plexo de Raschkow que esta en la zona de contacto del núcleo pulpar y la zona rica
en células, conduce sensaciones de dolor al cerebro.
 Las fibras nerviosas y los vasos sanguíneos entran a la pulpa por medio del agujero
apical del vértice radicular.
 El esmalte es el tejido más duro del organismo, envuelve la corona y está compuesta 4%
de matriz orgánica y 96% de hidroxiapatita cálcica.
 Aparecen como grandes cristales recubiertos por enamelinas y tuftelinas (matriz
orgánica) que dan origen a bastones de esmaltes (prismas).
 El ameloblasto sintetiza los prismas y estos mueren antes de que brote el diente, por lo
tanto el esmalte dental no se puede reparar.
 La dentina, es de color amarillento y se halla en la corona y la raíz; está compuesto de
una matriz orgánica con fibras de colágeno de tipo I e hidroxiapatita cálcica; su
elasticidad le confiere protección al esmalte ante fracturas. Esta es fabricada por los
odontoblastos.
 El cemento está formado 50-55% de matriz orgánica con fibras de colágeno de tipo I y
agua y un 45-50% de hidroxiapatita cálcica, solo presente en la raíz. En el cemento de la
región apical de la raíz, hay lagunas ocupadas por cementocitos que no están presentes
en el cemento de la corona, pero ambos están rodeados por una monocapa de
cementoblastos.
 Los cementoclastos están encargados de la resorción de cemento.
 La Odontogenia ocurre entre la sexta y octava semana del desarrollo
embrionario, el epitelio bucal de origen ectodérmico prolifera para formar una
lámina dental en forma de herradura.
 Una membrana basal separa el ectomesénquima derivado de la cresta neural.
 Se forma una yema dental en 10 puntos diferentes en la lámina dental y da
comienzo a la etapa de gemación de la odontogenia.
 La papila dental se origina con la condensación del ectomesénquima en el
extremo de cada yema.
 Las células de la yema se dividen y crecen para formar un órgano de esmaltes
con tres capas: Etapa de coronilla del desarrollo dental.
 El epitelio escamoso simple
 Epitelio externo del esmalte
 Epitelio interno del esmalte (capa cúbico escamosa simple cóncava)
 El órgano del esmalte y la papila dental constituyen en germen del diente.
 El desarrollo del órgano del esmalte dental da lugar a un molde de incisiforme,
caniniforme o molariforme; esto depende de la protuberancia del esmalte. Es el
centro de señalización de la odontogenia.
 En la papila dental se sintetiza el factor de crecimiento fibroblástico 4 (FGF-4) y el
factor de crecimiento epidérmico (EFG-4), para la supervivencia de la protuberancia
que sintetiza FGF-4, Sonic Hedgehog y proteínas morfogénicas de hueso para
transformar un órgano de esmalte en un molde molariforme.
 Las papilas dentales de los órganos del esmalte incisiformes y caniniformes no
expresan FGF-4 ni EGF.
 Las papilas dentales fabrican la dentina y la pulpa de la raíz.
 El ectomesénquima que rodea al germen del diente forma una delgada capa de tejido
conjuntivo denso, el saco dental; este origina el alvéolo, el LPD y el cemento dental.
 Los dientes permanentes surgen de las láminas sucedáneas de las 20 yemas
dentales.
 Cuando aumenta el tamaño de la coronilla se forma una cuarta capa, el estrato
intermedio que caracteriza a la etapa de campana.
 Las células de EIE más lejanas al asa cervical se diferencian en preameoblastos
que sintetizan las matriz del esmalte; estas maduran y se convierten en
ameloblastos.
 La formación inicial del esmalte induce a la diferenciación de las células de las
papilas adosadas a la lámina basal en preodontoblastos, que luego se convierten
en odontoblastos cuando comienza la síntesis de la matriz de dentina.
 Ocurre la unión dentina-esmalte y se inicia la etapa aposicional del desarrollo
dental que se extiende hasta el asa cervical.
 El asa cervical se alarga y da lugar a la vaina epitelial de la raíz de Hertwig
(VERH), formada por EEE y EIE.
 Las células ectomesenquimatosas se continúan con la papila dental y
forman la pulpa radicular y la dentina radicular.
 Las regiones más antiguas de la VERH desaparecen y algunas células
ectomesenquimatosas suben a la superficie de la dentina radicular, se
diferencian en cementoblastos y fabrican el cemento.
 El diente brota en la cavidad bucal conforme aumenta el tamaño de la
raíz.
 La salida del diente se debe a la actividad de unos miofibroblastos
especializados del saco dental que empujan al diente en desarrollo hacia
la superficie.
ESTRUCTURAS ASOCIADAS A LOS
DIENTES
Asociadas a los dientes
Favorecen correcta
posición de cada diente
en cavidad bucal
Ligamento
periodontal
EnciasAlveolo
LIGAMENTO PERIODONTAL (LDP)
Composición
• Tejido conjuntivo colagenoso irregular denso neurovascular y celular
• Anchura 0,5 mm en cavidad bucal sana
Fibras de
colágeno tipo I
• Se organizan en grupos de fibras principales soportando y contrarestando fuerzas
de la masticación
• Suspenden el diente al alveolo mediante fibras de Sharpey
Celulas =
fibroblastos
• Sintetizan matriz extracelular
• Degradan fibras de colageno
Fibras
• Sensoriales
• Propiorreceptoras: aportan información de orientación espacial
ALVEOLO
Hueso Compacto
Cuneiforme
Escaso grosor
Numerosas perforaciones
En contacto con LPD
Hueso Alveolar
Propiamente Dicho
Hueso esponjoso
Rodea
Placa Cortical
Hueso compacto grueso
Externo
En sentido lingual y labial
Hueso que alberga la raíz
de cada pieza dental
Vasos sanguíneos y fibras
nerviosas en canales
nutrientes en forma de
tunel
Atraviesan perforaciones
en hueso alveolar PD
para inervar alveolo y LPD
ENCIAS
Epitelio escamoso
estratificado orto- o
paraqueratinizado
Soporta fuerzas de
friccion
Haces de fibras de
colágeno tipo I de T.C.
colagenoso
irregulardenso forman
grupos defibras
principales
Epitelio cerca del esmalte
da un giro brusco
Une a superficied del
esmalte mediante
hemidesmosoma
En forma de banda
epitelial, rodea el diente
= epitelio de union
Banda cuneiforme
1mm de longitud
50 células de ancho en
porción coronal
7 células en región apical
Impide invasión de TC
esteril gigival
Por abundante microflora
en cavidad bucal
PALADAR
Paladar Duro
Tapizado por mucosa de
tejido adiposo
anteriormente
Glandulas salivales
mucosas menores
posteriormente
Cara nasal de PD
compuesta de tejido
conjuntivo colagenoso
irregular denso c
Epitelio cilíndrico
seudoestratificado
ciliado abundan cel
caliciformes
Paladar Blando
Cubierto de mucosa de
revestimiento
TC numerosas
glándulas salivales
mucosas menores que
se continúan con
glándulas de PD
Úvula
Porcion terminal del PB
Cubierta de mucosa de
revestimiento alverga
glándulas salivales
mucosas menores
Porcion central posee
fibras de Mesqueletico
interviene en elevación
durante la deglucion
Separa cavidad bucal
de nasal
LENGUA
Órgano muscular grande y
dotado
Papilas linguales
Mayoria sobresale por
encima de la superficie
Mucosa masticatoria con
epitelio escamoso
estratificado muy
queratinizado
Raspa alimento de la
superficie
Otras papilas cubiertas de
epitelio escamoso
estratificado no
queratinizado
Contiene corpúsculos
gustativos para
reconocimiento de sabores
Gran movilidad
Participa en
Masticación
Formación del bolo
Deglución del bolo
MUSCULOS DE
LA LENGUA
Músculos
Extrínsecos
Provienen de
otras regiones
Se insertan en la
lengua para
moverla
Músculos
Intrínsecos
Dentro de la
lengua
Modifican su
morfologia
Voluntarios
SUPERFICIES DE LA
LENGUA
DORSAL
Dos tercios anteriores Un tercio posterior
Mucosa de
revestimiento
ensuperficie irregular
Abundancia de ganglios
linfáticos en tejido
conjuntivo subepitelial
(amígdala lingual)
VENTRAL LATERAL
Surco terminal
en forma de V
Raíz de la lengua
ancla este órgano a la
base de la cavidad
bucal y la faringe
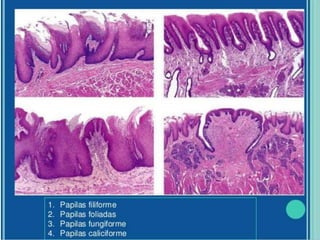
PAPILAS
LINGUALES
Papilas
filiformes
Mas numerosas y muy queratinizadas
Carecen corpúsculos corporativos
Se proyecta por encima de la superficie
lingual y rasca alimentos de una
superficie
Papilas
fungiforme
s
Mas escasas y remedan un champiñón
Epitelio escamosoestratificado no
queratinizado
Por encima de la superficie y se
entremezclan aleatoreamentrecon
papilas filiformes
Parecen puntos rojos en superficie. En
cara dorsal tres a cuatrocorpúsculos
gustativos
Papilas
circunvaladas
# 12 , delante de surco terminal,
revestimiento epitelial con corpuesculos
gustativos. Se degeneran al 3er año de vida
El suelo del surco terminal recibe
glándulas de Von Ebner salivales
serosas menores
Papilas
foliadas
Lateral de cara posterior de dos tercios
anteriores, asemejan a hojas de un
libro
Porcion mas profunda del surco desembocan
los conductos delgados de glándulas de von
Ebner
En dorso de
los tercios
anteriores
CORPUSCULOS
GUSTATIVOS
Conjunto intraepitelial
de células precedentes
de la cresta neural
Poro gustativo presenta
vellosidades (pelos
gustativos)
Formado por 60 a 80
células fusiformes
Se desprenden
continuamente y se
sustituyen por células
nuevas
Los cerca de 300
corpúsculos intervienen
en sensaciones
gustativas primarias
gracient
a deliciosa
amarga
dulce salada agria
Corpusculos gustativos
en el interior del epitelio
Célula tipo I (oscura)
Célula tipo II (pálida)
Célula tipo III
(Intermedia)
Célula tipo IV (célula
basal)
Tipo regenerativa que da
lugar a nuevas células
Vida media de 10
años
Conducto muscular,
mide 25 cm de
longitud.
Cuya luz se contrae
cuando no está
transportando un
bolo hacia el
estomago
Presenta la
siguiente
organización:
La mucosa esofágica
esta compuesta por:
En las regiones
cercanas a la faringe
y al estómago.
Moco que facilita la
deglución del bolo,
estas glándulas
están situadas:
Epitelio pavimentoso
estratificado no
queratinizado y una
lamina propia cuyas
glándulas esofágicas
cardiales producen:
La capa muscular de la
mucosa esta constituida
por una capa de músculo
liso con una disposición
longitudinal
La submucosa vascular,
posee glándulas esofágicas,
que generan secreciones
mucosas y serosas.
El componente seroso de
esta glándula fabrica
pepsinógeno y lisozima un
producto antibacteriano.
La muscular externa,
integrada por una capa
circular interna y otra
longitudinal externa es
atípica-.
Ambas están formadas por
músculo estriado, en el tercio
medio lo están por músculo
estriado y liso , y en el inferior
junto al estomago, únicamente
musculo liso.
El estrato más externo
del esófago es la
adventicia en el tórax y
una serosa que penetra
en la cavidad abdominal
Tiene una
entrada, donde
desemboca el
esófago y una
salida que se
comunica con el
duodeno.
Al recibir un bolo
desde el esófago,
segrega los jugos
gástricos, para
licuarlo en un fluido
ácido llamado quimo,
y empezar a digerirlo
a través del HCL y
sus encimas renina
pepsina y lipasa
gástrica.
El estomago tiene:
1. Una región cardial
curvatura menor cóncava.
2. Una región pilórica en la
curvatura mayor.
3. Dos regiones
anatómicas más, el fondo
y el cuerpo denominada
región fúndica.
La luz del estomago vacío
muestra pliegues,
rugosidades de la mucosa
y submucosa que
desaparecen al
distenderse.
El revestimiento tiene
depresiones cubiertas de
epitelio, las criptas gástricas, el
suelo esta perforado por
glándulas gástricas tubulares
que llenan la lamina propia muy
vascularizada.
La muscular de la mucosa
posee tres capaz de musculo
liso:
1. Circular interna.
2. Longitudinal externa.
3. Oblicua mas interna.
La muscular externa engloba
las capas circular interna,
longitudinal externa y la
oblicua mas interna
El epitelio cilíndrico simple de
la región fundica esta
compuesta de células
superficiales de revestimiento,
muy compacta y células
regenerativas.
Las células superficiales
de revestimiento,
producen el moco visible
espeso que protege al
epitelio frente al quimo
ácido.
La regenerativas
proliferan como recambio
del revestimiento epitelial
del estomago.
Las criptas gástricas de las
regiones fundica y cardial
recorren un tercio de su
longitud en la lamina propia,
que esta repleta de glándulas
gástricas
Cada glándula tienes 6 tipos celulares que
siguen una distribución desigual en sus tres
regiones:
1. El istmo, que perfora la cripta gástrica.
2. Cuello
3. Base que linda con la muscular de la
mucosa.
Las criptas gástricas de la región pilórica
penetran la mitad de la lamina propia.
Composición celular de las glándulas fúndicas
Las células mucosas del cuello fabrican un moco soluble
que se añade al quimo y lubrica el tubo digestivo. Las
células parietales no suelen a parecer en la base de la
glándula, tiene conductillo intracelulares recubiertos de
microvellosidades.
Las células parietales producen HCl y el factor
intrínseco gástrico. Al elaborar HCl el sistema
tubulovesicular reduce su tamaño con aumento
en la cantidad de microvellosidades, lo cual
incrementa la superficie durante la actividad
secretora.
Al dejar de generar HCl las membranas de las
microvellosidades regresan al sistema
tubulovesicular. Esto consume energía
proveniente de las mitocondrias
Las células
principales
cimógenas situadas
sobre la base de las
glándulas fúndicas y
ausentes en las
glándulas cardales o
pilóricas.
Fabrican
pepsinógeno
quimosina y lipasa
gástrica.
La proenzima
pepsinógeno
convierte en la
enzima proteolítica
pepsina en el
medio acido del
estomago.
La quimosina es una
enzima proteolítica
que cuaja la leche y la
enzima lipasa gástrica
degradad los lípidos.
Estas enzimas se
encuentran encerradas
en el interior de
vesículas en el
citoplasma apical
Las glándulas del
estomago producen
secreciones, los
principales
constituyentes son:
HCl, agua, enzimas,
factor intrínseco,
moco visible y
soluble. Al recubrir el
revestimiento del
estómago , el pH
neutro del moco
visible lo protege de
los jugos gástricos
ácidos
La muscular externa
del estómago sirve
para revolver y licuar
los alimentos
ingeridos formando
un quimo espeso .
La muscular de la
mucosa garantiza
que toda la superficie
epitelial del
estómago entre en
contacto con el
quimo.
Cuando su
consistencia es la
adecuada y según su
acidez osmolalidad y
contenido calórico y
lipidio la células del
SNED duodenales
liberan la hormona
gastrina, que hace
que se habrá el
esfínter pilórico y se
contraigan los
músculos
longitudinales del
píloro.
Si el quimo no esta listo para su salida, las células
del SNED emiten las hormonas Colecistocinina y
polipéptido gástrico inhibidor que inhibe la apertura
del esfínter ´pilórico y el quimo permanece en el
estómago.
La producción de HCl en el estomago atraviesa
tres fases :
1. Cefálica, que se refiere al pensamiento , el olor o
la visión de la comida.
2. Gástrica, por su presencia en la luz del
estómago.
3. Intestinal, por su presencia en el duodeno.
La inhibición de la fabricación y
secreción del HCl esta controlada
por 4 hormonas.
Las prostaglandina, el polipéptido
gástrico inhibidor y la urogastrona
actúan sobre las células parietales ,
mediante la inhibición de su
actividad secretora.
La cuarta hormona, la
somatostatina, inhibe la liberación
de gastrina por las células G y de
histamina por las células de tipo
enterocromafin
Lo que suprime las moléculas
señalizadoras necesarias para
provocar que las células parietales
elaboren y segreguen HCl
• El intestino delgado se extiende desde el orificio pilórico, donde se continua
con el estomago, ala unión ileocecal, donde prosigue con intestino grueso,
mide unos 7m de longitud y suele dividirse en tres regiones:
 Duodeno: ocupa unos 20 cm de longitud, esta relativamente fijo a la pared
abdominal posterior, ya que no posee, ya que no posee mesenterio y por lo
tanto retroperitoneal.
 Yeyuno: cuya pared es relativamente gruesa y no llega a los 3m de largo.
 Íleon: la mas estrecha, tiene la pared mas delgada y se extiende unos 4m.
• Las funciones del intestino delgado son transportar el material
alimenticio(quimo) del estomago al intestino grueso, completar la digestión
por la secreción de enzimas por su pared y por las glándulas accesorias,
absorber los productos finales de la digestión hacia los vasos sanguíneos y
linfáticos de su pared y secretar algunas hormonas.
• Aumentan la superficie
-PLIEGUES CIRCULARES (VALVULAS DE KERCKRING):Pliegues circulares o permanentes que
abarcan todo el espesor de la mucosa,, aumentan la superficie de la mucosa mas o menos
unas tres veces.
-VELLOSIDADES Y CRIPTAS: Pequeñas prolongaciones digitiformes de la membrana de la
mucosa, de 0,5 a 1,5 mm de longitud que solo se encuentran en el intestino delgado. Cada
una esta cubierta de epitelio y tiene un núcleo de lamina propia celular. En el núcleo hay
una arteriola y una vénula con una red capilar y un vaso linfático o quilífero central; los
capilares de las vellosidades son funestados y permeables a las macromoléculas.
Las funciones generadora y secretora de la cripta se ven reflejadas por la naturaleza de sus
tipos celulares que incluyen algunas células con función de absorción, células
indiferenciadas, células de Paneth, células mucosas y células enteroendocrinas.
-MOCREVELLOSIDADES: Para un mayor aumento de la
superficie, las células cilíndricas con funciones de absorción que
cubren las vellosidades y revisten las criptas tienen un borde
estriado o en cepillo formado por muchas prolongaciones
microvellosas.
En los núcleos de las micro vellosidades hay filamentos
delgados de orientación longitudinal que en las bases se
continúan loa filamentos del velo terminal.
Al material alimenticio en la luz del intestino delgado se
agregan las secreciones de:
1.GLANDULAS INTESTINALES: se encuentran en intestino delgado y
grueso.
2.GLANDULAS SUBMUCOSAS: Localizadas en el duodeno, son del tipo
tubular compuesto y se denominan glándulas duodenales( de
Brunner)
3.GLANDULAS FUERA DEL TUBO DIGESTIVO: pero que envían sus secreciones
hacia la luz de este por un sistema de conductos. Estas glándula
son el hígado y el páncreas, y ambas liberan sus secreciones
exocrinas hacia el duodeno.
• El epitelio de la mucosa intestinal es del tipo cilíndrico simple.
-CELULAS CILINDRICAS(absorción):Descansan sobre una lamina
basal. Sus núcleos son ovoides y se localizan hacia la base. Cada
célula tiene un borde estriado o en cepillo formado por
microvelloidades paralelas agrupadas muy juntas.
Estas células cilíndricas absorben azucares y aminoácidos de la luz
intestinal: estas sustancias pasan a través de las células a los
capilares sanguíneos de la lamina propia subyacente: Otra función es
la absorción de lípidos.
-CELULAS INDIFERENCIADAS( de origen): Las células de origen o
células madre se encuentran en la base de las células( criptas)
intestinales y son la fuente de origen de las demás células. Son
cilíndricas pero algo irregulares y presentan características de células
inmaduras (pocas mitocondrias, retículo endoplasmatico mal
desarrollado y un pequeño aparato de Golgi, pero muchos
ribosomas libres y polisomas) .
CELULAS DE PANTEH: Solo se encuentran en la base
de las criptas del intestino delgado y tienen forma
piramidal con base ancha y vértice estrecho.
Producen lisozima, enzima que digiere las paredes
de algunas bacterias, capaces de fagocitar algunas
bacterias.
Su función, es la regulación de la flora microbiana
del intestino.
CELULAS MUCOSAS (caliciformes): Estas células
secretorias de moco están dispersas entre las
células cilíndricas y su numero aumenta del
duodeno a la porción terminal del íleon.
El moco excretado es una glicoproteína acida y
forma una película protectora sobre el glucocaliz de
las microvellosidades de las células cilíndricas.
• CELULAS ENTERODOCRINAS: Se encuentran
en las criptas y vellosidades y secretan
péptidos reguladores activos que participan
en la secreción gástrica, la motilidad
intestinal, la secreción pancreática y la
contracción de la vesícula biliar.
• Se extiende entre las glándulas intestinales y en los
núcleos de las vellosidades. Su naturaleza es muy
distintiva e incluye una red de fibras reticulares y
muchas características del tejido linfático laxo.
• Quizá se describa mejor como tejido conectivo areolar
laxo con tendencias linfáticas. En la malla de fibras
reticulares hay células reticulares primitivas con
núcleos grandes, ovales y de coloración pálida, así
como linfocitos, macrófagos y células plasmáticas.
• En partículas se pueden ver leucocitos eosinofilos que
han emigrado en los vasos sanguíneos.
• Además de los linfocitos dispersos en la lamina propia
hay muchos folículos solitarios o nódulos linfáticos
aislados, mas abundantes en la parte distal del
intestino. No hay vellosidades y puede no haber criptas
en la superficie de los folículos grandes, que están
separados de la luz por un epitelio cilíndrico simple.
• Estas glándulas submucosas del duodeno
están formadas por células cubicas altas,
con núcleos oscuros, aplanados y basales, y
citoplasma claro vacuolado.
• Contienen urogastrona, péptido que inhibe
la secreción de acido clorhídrico en el
estomago y también estimula la
proliferación del epitelio.
Mide 1.5 m de largo.
Conformado por:
ciego, apéndice,
colon, recto y ano.
No posee vellosidades
ni pliegue circulares.
El esfínter ileocecal
conecta el intestino
delgado con el
grueso.
El apéndice es una
prolongación del
ciego y posee varios
nódulos linfáticos.
La función del intestino
delgado es la absorción y
la compactación del
quimo para crear las
heces fecales.
Mucosa
•Formada por un epitelio simple cilíndrico que forma algunas glándulas mucosas tubulares
denominadas criptas de Lieberkün, aparecen como invaginaciones en la superficie epitelial,
poseen algunas células del SNED y una cantidad mayor de células caliciformes. Su
revestimiento epitelial se renueva como mínimo una vez a la semana por la actividad
mitótica de las células regenerativas.
•En general la lámina propia es bastante parecida a la del resto del tubo digestivo aunque esta
carece de vasos linfáticos y una capa de colágeno entre la membrana basal y los vasos
sanguíneos próximos del epitelio. La mucosa posee una capa muscular organizada en dos
capas de músculo liso.
Submucosa
• Está formada por tejido conectivo denso
además posee vasos sanguíneos de gran
calibre y algunas zonas de tejido adiposo.
Muscular
• Está conformada por una capa longitudinal de
músculo liso.
Serosa
• Se encuentra en todo el intestino grueso a excepción
del ano. Está constituida por una delgada capa de
tejido conectivo que se fija a la pared corporal
mediante una adventicia. Durante el recorrido del
colon la serosa crea unas evaginaciones llenas de grasa
llamadas apéndices epiploicos.
• Posee una mucosa que presenta pliegues
longitudinales conocidas como columnas anales o
de Morgagni que en la línea pectínea forman las
válvulas anales que albergan los senos anales
• El conducto anal se encuentra tapizado por un
epitelio cúbico simple que al pasar la línea
pectínea se convierte en pavimentoso
estratificado no queratinizado. La lámina propia
fibroelástica contiene glándulas perianales. La
submucosa posee un plexo venoso hemorroidal.
• Tiene una luz estrellada de epitelio cilíndrico
simple compuesto de células absorbentes de
la superficie, células caliciformes y células M.
• Las criptas de Lieberkühn son escasas y poco
profundas. La lámina propia tiene un tejido
conjuntivo laxo con abundantes linfocitos y
folículos linfáticos. Las demás capas son
iguales al resto del tubo digestivo.
• Gartner L, Hiatt J. Histología Básica. Barcelona:
Editorial Elseiver; 2011.
• Lesson T, Hiatt J. Texto/Atlas de Histología.
Segunda Edición. México: Editorial Mc
Grawhill Interamericana Editores; 1990.
• Grupo Oceano. Enciclopedia Temática
Universal. Volumen 1. Barcelona: MMIV
EDITORIAL OCEANO; 2012.

Aparato digestivo

  • 1.
    CÁTEDRA: HISTOEMBRIOLOGÍA CATEDRÁTICA: DRA.GINA MORA REALIZADO POR: ERIKA CUENCA MIRIAN CUSHCAGUA ANA PAULA FAICÁN RUTH FAICAN GABRIELA VERA
  • 2.
  • 3.
    Consiste en una estructuratubular, compuesta por: esófago, estómago, intestino delgado, grueso y conducto anal. Funciones. Digiere alimentos, absorbe nutrientes y el agua, compacta y elimina los componentes indigeribles de la comida ingerida Organización general del tubo digestivo. Compuesto por una serie de cilíndricos concéntricos, en torno a una luz. La luz esta recubierta por una capa epitelial y un estrato de tejido conjuntivo subepitelial, la lamina propia , que alberga las glándulas y los folículos linfáticos, que integran el tejido linfático asociado a la mucosa.
  • 4.
    La lamina propiaesta rodeada por la muscular de la mucosa, 2 capas de músculo liso que adoptan una disposición helicoidal: Una circular interna, y otra longitudinal externa, el epitelio la lamina propia y la muscular de la mucosa constituyen en conjunto la mucosa Alrededor de la mucosa hay un tejido conjuntivo colágeno denso, la submucosa, que representa una región vascularizada que contiene glándulas, pero solo en el esófago y en el duodeno La muscular externa está compuesta por músculo liso distribuido en dos capas de disposición espiral: una circular interna y otra longitudinal externa. El tubo digestivo está recubierto por un tejido conjuntivo (adventicia) que fija parte de sus reglones a la pared corporal, o por un epitelio pavimentoso simple húmedo (serosa) que reduce el roce generado por su movimiento con el peristaltismo.
  • 6.
     Está tapizadapor un epitelio escamoso estratificado húmedo.  El vestíbulo y la cavidad bucal propiamente dicha, el conjunto formado por tejido conjuntivo subepitelial y el epitelio constituye la mucosa bucal.  La mucosa cuando está queratinizada o paraqueratinizada recibe el nombre de mucosa masticatoria y se localiza en las encías, el paladar duro y la porción dorsal de la lengua.  La mayor parte de la cavidad bucal posee mucosa de revestimiento; la superficie dorsal de la lengua y algunas zonas del paladar blando y la faringe poseen mucosa especializada (corpúsculos gustativos).  Los pares de glándulas salivales mayores, producen saliva que contiene amilasa salival, lactoferrina y lisozima (antimicrobianos), e IgA. Estos colaboran para el mantenimiento de la humedad bucal; al comer, la saliva ayuda a la formación del bolo alimenticio.
  • 7.
    MUCOSA MASTICADORA MUCOSADE REVESTIMIENTO MUCOSA ESPECIALIZADA
  • 8.
    Cada labio posee: Caracutánea (externa), posee folículos pilosos. Zona Bermellón, sus capilares del aparato reticular alto se encuentran cerca de la superficie por lo que le da una coloración rosada. Cara mucosa (interna), es siempre húmeda y su mucosa de revestimiento tiene tejido conjuntivo muy vascularizado con un gran numero de glándulas salivales menores mucosas y algunas serosas.
  • 10.
     Es unaestructura hueca con una corona recubierta de esmalte y una raíz rodeada de cemento que se unen en el cuello.  Cavidad pulpar hueca se divide en: Conducto radicular y la cámara pulpar, está rodeada de dentina mineralizada .  En la raíz se encuentra el ligamento periodontal de tejido conectivo colagenoso denso en el alvéolo óseo.  La pulpa tiene un núcleo central neurovascular que esta envuelto por: o Zona rica en células o Zona pobre en células o Capa odontoblástica  El plexo de Raschkow que esta en la zona de contacto del núcleo pulpar y la zona rica en células, conduce sensaciones de dolor al cerebro.  Las fibras nerviosas y los vasos sanguíneos entran a la pulpa por medio del agujero apical del vértice radicular.
  • 12.
     El esmaltees el tejido más duro del organismo, envuelve la corona y está compuesta 4% de matriz orgánica y 96% de hidroxiapatita cálcica.  Aparecen como grandes cristales recubiertos por enamelinas y tuftelinas (matriz orgánica) que dan origen a bastones de esmaltes (prismas).  El ameloblasto sintetiza los prismas y estos mueren antes de que brote el diente, por lo tanto el esmalte dental no se puede reparar.  La dentina, es de color amarillento y se halla en la corona y la raíz; está compuesto de una matriz orgánica con fibras de colágeno de tipo I e hidroxiapatita cálcica; su elasticidad le confiere protección al esmalte ante fracturas. Esta es fabricada por los odontoblastos.  El cemento está formado 50-55% de matriz orgánica con fibras de colágeno de tipo I y agua y un 45-50% de hidroxiapatita cálcica, solo presente en la raíz. En el cemento de la región apical de la raíz, hay lagunas ocupadas por cementocitos que no están presentes en el cemento de la corona, pero ambos están rodeados por una monocapa de cementoblastos.  Los cementoclastos están encargados de la resorción de cemento.
  • 14.
     La Odontogeniaocurre entre la sexta y octava semana del desarrollo embrionario, el epitelio bucal de origen ectodérmico prolifera para formar una lámina dental en forma de herradura.  Una membrana basal separa el ectomesénquima derivado de la cresta neural.  Se forma una yema dental en 10 puntos diferentes en la lámina dental y da comienzo a la etapa de gemación de la odontogenia.  La papila dental se origina con la condensación del ectomesénquima en el extremo de cada yema.  Las células de la yema se dividen y crecen para formar un órgano de esmaltes con tres capas: Etapa de coronilla del desarrollo dental.  El epitelio escamoso simple  Epitelio externo del esmalte  Epitelio interno del esmalte (capa cúbico escamosa simple cóncava)
  • 15.
     El órganodel esmalte y la papila dental constituyen en germen del diente.  El desarrollo del órgano del esmalte dental da lugar a un molde de incisiforme, caniniforme o molariforme; esto depende de la protuberancia del esmalte. Es el centro de señalización de la odontogenia.  En la papila dental se sintetiza el factor de crecimiento fibroblástico 4 (FGF-4) y el factor de crecimiento epidérmico (EFG-4), para la supervivencia de la protuberancia que sintetiza FGF-4, Sonic Hedgehog y proteínas morfogénicas de hueso para transformar un órgano de esmalte en un molde molariforme.  Las papilas dentales de los órganos del esmalte incisiformes y caniniformes no expresan FGF-4 ni EGF.  Las papilas dentales fabrican la dentina y la pulpa de la raíz.  El ectomesénquima que rodea al germen del diente forma una delgada capa de tejido conjuntivo denso, el saco dental; este origina el alvéolo, el LPD y el cemento dental.
  • 16.
     Los dientespermanentes surgen de las láminas sucedáneas de las 20 yemas dentales.  Cuando aumenta el tamaño de la coronilla se forma una cuarta capa, el estrato intermedio que caracteriza a la etapa de campana.  Las células de EIE más lejanas al asa cervical se diferencian en preameoblastos que sintetizan las matriz del esmalte; estas maduran y se convierten en ameloblastos.  La formación inicial del esmalte induce a la diferenciación de las células de las papilas adosadas a la lámina basal en preodontoblastos, que luego se convierten en odontoblastos cuando comienza la síntesis de la matriz de dentina.  Ocurre la unión dentina-esmalte y se inicia la etapa aposicional del desarrollo dental que se extiende hasta el asa cervical.  El asa cervical se alarga y da lugar a la vaina epitelial de la raíz de Hertwig (VERH), formada por EEE y EIE.
  • 17.
     Las célulasectomesenquimatosas se continúan con la papila dental y forman la pulpa radicular y la dentina radicular.  Las regiones más antiguas de la VERH desaparecen y algunas células ectomesenquimatosas suben a la superficie de la dentina radicular, se diferencian en cementoblastos y fabrican el cemento.  El diente brota en la cavidad bucal conforme aumenta el tamaño de la raíz.  La salida del diente se debe a la actividad de unos miofibroblastos especializados del saco dental que empujan al diente en desarrollo hacia la superficie.
  • 19.
    ESTRUCTURAS ASOCIADAS ALOS DIENTES Asociadas a los dientes Favorecen correcta posición de cada diente en cavidad bucal Ligamento periodontal EnciasAlveolo
  • 20.
    LIGAMENTO PERIODONTAL (LDP) Composición •Tejido conjuntivo colagenoso irregular denso neurovascular y celular • Anchura 0,5 mm en cavidad bucal sana Fibras de colágeno tipo I • Se organizan en grupos de fibras principales soportando y contrarestando fuerzas de la masticación • Suspenden el diente al alveolo mediante fibras de Sharpey Celulas = fibroblastos • Sintetizan matriz extracelular • Degradan fibras de colageno Fibras • Sensoriales • Propiorreceptoras: aportan información de orientación espacial
  • 22.
    ALVEOLO Hueso Compacto Cuneiforme Escaso grosor Numerosasperforaciones En contacto con LPD Hueso Alveolar Propiamente Dicho Hueso esponjoso Rodea Placa Cortical Hueso compacto grueso Externo En sentido lingual y labial Hueso que alberga la raíz de cada pieza dental Vasos sanguíneos y fibras nerviosas en canales nutrientes en forma de tunel Atraviesan perforaciones en hueso alveolar PD para inervar alveolo y LPD
  • 24.
    ENCIAS Epitelio escamoso estratificado orto-o paraqueratinizado Soporta fuerzas de friccion Haces de fibras de colágeno tipo I de T.C. colagenoso irregulardenso forman grupos defibras principales Epitelio cerca del esmalte da un giro brusco Une a superficied del esmalte mediante hemidesmosoma En forma de banda epitelial, rodea el diente = epitelio de union Banda cuneiforme 1mm de longitud 50 células de ancho en porción coronal 7 células en región apical Impide invasión de TC esteril gigival Por abundante microflora en cavidad bucal
  • 26.
    PALADAR Paladar Duro Tapizado pormucosa de tejido adiposo anteriormente Glandulas salivales mucosas menores posteriormente Cara nasal de PD compuesta de tejido conjuntivo colagenoso irregular denso c Epitelio cilíndrico seudoestratificado ciliado abundan cel caliciformes Paladar Blando Cubierto de mucosa de revestimiento TC numerosas glándulas salivales mucosas menores que se continúan con glándulas de PD Úvula Porcion terminal del PB Cubierta de mucosa de revestimiento alverga glándulas salivales mucosas menores Porcion central posee fibras de Mesqueletico interviene en elevación durante la deglucion Separa cavidad bucal de nasal
  • 28.
    LENGUA Órgano muscular grandey dotado Papilas linguales Mayoria sobresale por encima de la superficie Mucosa masticatoria con epitelio escamoso estratificado muy queratinizado Raspa alimento de la superficie Otras papilas cubiertas de epitelio escamoso estratificado no queratinizado Contiene corpúsculos gustativos para reconocimiento de sabores Gran movilidad Participa en Masticación Formación del bolo Deglución del bolo
  • 29.
    MUSCULOS DE LA LENGUA Músculos Extrínsecos Provienende otras regiones Se insertan en la lengua para moverla Músculos Intrínsecos Dentro de la lengua Modifican su morfologia Voluntarios
  • 30.
    SUPERFICIES DE LA LENGUA DORSAL Dostercios anteriores Un tercio posterior Mucosa de revestimiento ensuperficie irregular Abundancia de ganglios linfáticos en tejido conjuntivo subepitelial (amígdala lingual) VENTRAL LATERAL Surco terminal en forma de V Raíz de la lengua ancla este órgano a la base de la cavidad bucal y la faringe
  • 31.
    PAPILAS LINGUALES Papilas filiformes Mas numerosas ymuy queratinizadas Carecen corpúsculos corporativos Se proyecta por encima de la superficie lingual y rasca alimentos de una superficie Papilas fungiforme s Mas escasas y remedan un champiñón Epitelio escamosoestratificado no queratinizado Por encima de la superficie y se entremezclan aleatoreamentrecon papilas filiformes Parecen puntos rojos en superficie. En cara dorsal tres a cuatrocorpúsculos gustativos Papilas circunvaladas # 12 , delante de surco terminal, revestimiento epitelial con corpuesculos gustativos. Se degeneran al 3er año de vida El suelo del surco terminal recibe glándulas de Von Ebner salivales serosas menores Papilas foliadas Lateral de cara posterior de dos tercios anteriores, asemejan a hojas de un libro Porcion mas profunda del surco desembocan los conductos delgados de glándulas de von Ebner En dorso de los tercios anteriores
  • 33.
    CORPUSCULOS GUSTATIVOS Conjunto intraepitelial de célulasprecedentes de la cresta neural Poro gustativo presenta vellosidades (pelos gustativos) Formado por 60 a 80 células fusiformes Se desprenden continuamente y se sustituyen por células nuevas Los cerca de 300 corpúsculos intervienen en sensaciones gustativas primarias gracient a deliciosa amarga dulce salada agria
  • 35.
    Corpusculos gustativos en elinterior del epitelio Célula tipo I (oscura) Célula tipo II (pálida) Célula tipo III (Intermedia) Célula tipo IV (célula basal) Tipo regenerativa que da lugar a nuevas células Vida media de 10 años
  • 36.
    Conducto muscular, mide 25cm de longitud. Cuya luz se contrae cuando no está transportando un bolo hacia el estomago Presenta la siguiente organización: La mucosa esofágica esta compuesta por: En las regiones cercanas a la faringe y al estómago. Moco que facilita la deglución del bolo, estas glándulas están situadas: Epitelio pavimentoso estratificado no queratinizado y una lamina propia cuyas glándulas esofágicas cardiales producen: La capa muscular de la mucosa esta constituida por una capa de músculo liso con una disposición longitudinal La submucosa vascular, posee glándulas esofágicas, que generan secreciones mucosas y serosas. El componente seroso de esta glándula fabrica pepsinógeno y lisozima un producto antibacteriano.
  • 37.
    La muscular externa, integradapor una capa circular interna y otra longitudinal externa es atípica-. Ambas están formadas por músculo estriado, en el tercio medio lo están por músculo estriado y liso , y en el inferior junto al estomago, únicamente musculo liso. El estrato más externo del esófago es la adventicia en el tórax y una serosa que penetra en la cavidad abdominal
  • 39.
    Tiene una entrada, donde desembocael esófago y una salida que se comunica con el duodeno. Al recibir un bolo desde el esófago, segrega los jugos gástricos, para licuarlo en un fluido ácido llamado quimo, y empezar a digerirlo a través del HCL y sus encimas renina pepsina y lipasa gástrica. El estomago tiene: 1. Una región cardial curvatura menor cóncava. 2. Una región pilórica en la curvatura mayor. 3. Dos regiones anatómicas más, el fondo y el cuerpo denominada región fúndica.
  • 42.
    La luz delestomago vacío muestra pliegues, rugosidades de la mucosa y submucosa que desaparecen al distenderse. El revestimiento tiene depresiones cubiertas de epitelio, las criptas gástricas, el suelo esta perforado por glándulas gástricas tubulares que llenan la lamina propia muy vascularizada. La muscular de la mucosa posee tres capaz de musculo liso: 1. Circular interna. 2. Longitudinal externa. 3. Oblicua mas interna. La muscular externa engloba las capas circular interna, longitudinal externa y la oblicua mas interna
  • 43.
    El epitelio cilíndricosimple de la región fundica esta compuesta de células superficiales de revestimiento, muy compacta y células regenerativas. Las células superficiales de revestimiento, producen el moco visible espeso que protege al epitelio frente al quimo ácido. La regenerativas proliferan como recambio del revestimiento epitelial del estomago. Las criptas gástricas de las regiones fundica y cardial recorren un tercio de su longitud en la lamina propia, que esta repleta de glándulas gástricas Cada glándula tienes 6 tipos celulares que siguen una distribución desigual en sus tres regiones: 1. El istmo, que perfora la cripta gástrica. 2. Cuello 3. Base que linda con la muscular de la mucosa. Las criptas gástricas de la región pilórica penetran la mitad de la lamina propia.
  • 45.
    Composición celular delas glándulas fúndicas Las células mucosas del cuello fabrican un moco soluble que se añade al quimo y lubrica el tubo digestivo. Las células parietales no suelen a parecer en la base de la glándula, tiene conductillo intracelulares recubiertos de microvellosidades. Las células parietales producen HCl y el factor intrínseco gástrico. Al elaborar HCl el sistema tubulovesicular reduce su tamaño con aumento en la cantidad de microvellosidades, lo cual incrementa la superficie durante la actividad secretora. Al dejar de generar HCl las membranas de las microvellosidades regresan al sistema tubulovesicular. Esto consume energía proveniente de las mitocondrias
  • 47.
    Las células principales cimógenas situadas sobrela base de las glándulas fúndicas y ausentes en las glándulas cardales o pilóricas. Fabrican pepsinógeno quimosina y lipasa gástrica. La proenzima pepsinógeno convierte en la enzima proteolítica pepsina en el medio acido del estomago. La quimosina es una enzima proteolítica que cuaja la leche y la enzima lipasa gástrica degradad los lípidos. Estas enzimas se encuentran encerradas en el interior de vesículas en el citoplasma apical
  • 48.
    Las glándulas del estomagoproducen secreciones, los principales constituyentes son: HCl, agua, enzimas, factor intrínseco, moco visible y soluble. Al recubrir el revestimiento del estómago , el pH neutro del moco visible lo protege de los jugos gástricos ácidos La muscular externa del estómago sirve para revolver y licuar los alimentos ingeridos formando un quimo espeso . La muscular de la mucosa garantiza que toda la superficie epitelial del estómago entre en contacto con el quimo. Cuando su consistencia es la adecuada y según su acidez osmolalidad y contenido calórico y lipidio la células del SNED duodenales liberan la hormona gastrina, que hace que se habrá el esfínter pilórico y se contraigan los músculos longitudinales del píloro.
  • 50.
    Si el quimono esta listo para su salida, las células del SNED emiten las hormonas Colecistocinina y polipéptido gástrico inhibidor que inhibe la apertura del esfínter ´pilórico y el quimo permanece en el estómago. La producción de HCl en el estomago atraviesa tres fases : 1. Cefálica, que se refiere al pensamiento , el olor o la visión de la comida. 2. Gástrica, por su presencia en la luz del estómago. 3. Intestinal, por su presencia en el duodeno.
  • 51.
    La inhibición dela fabricación y secreción del HCl esta controlada por 4 hormonas. Las prostaglandina, el polipéptido gástrico inhibidor y la urogastrona actúan sobre las células parietales , mediante la inhibición de su actividad secretora. La cuarta hormona, la somatostatina, inhibe la liberación de gastrina por las células G y de histamina por las células de tipo enterocromafin Lo que suprime las moléculas señalizadoras necesarias para provocar que las células parietales elaboren y segreguen HCl
  • 52.
    • El intestinodelgado se extiende desde el orificio pilórico, donde se continua con el estomago, ala unión ileocecal, donde prosigue con intestino grueso, mide unos 7m de longitud y suele dividirse en tres regiones:  Duodeno: ocupa unos 20 cm de longitud, esta relativamente fijo a la pared abdominal posterior, ya que no posee, ya que no posee mesenterio y por lo tanto retroperitoneal.  Yeyuno: cuya pared es relativamente gruesa y no llega a los 3m de largo.  Íleon: la mas estrecha, tiene la pared mas delgada y se extiende unos 4m. • Las funciones del intestino delgado son transportar el material alimenticio(quimo) del estomago al intestino grueso, completar la digestión por la secreción de enzimas por su pared y por las glándulas accesorias, absorber los productos finales de la digestión hacia los vasos sanguíneos y linfáticos de su pared y secretar algunas hormonas.
  • 53.
    • Aumentan lasuperficie -PLIEGUES CIRCULARES (VALVULAS DE KERCKRING):Pliegues circulares o permanentes que abarcan todo el espesor de la mucosa,, aumentan la superficie de la mucosa mas o menos unas tres veces. -VELLOSIDADES Y CRIPTAS: Pequeñas prolongaciones digitiformes de la membrana de la mucosa, de 0,5 a 1,5 mm de longitud que solo se encuentran en el intestino delgado. Cada una esta cubierta de epitelio y tiene un núcleo de lamina propia celular. En el núcleo hay una arteriola y una vénula con una red capilar y un vaso linfático o quilífero central; los capilares de las vellosidades son funestados y permeables a las macromoléculas. Las funciones generadora y secretora de la cripta se ven reflejadas por la naturaleza de sus tipos celulares que incluyen algunas células con función de absorción, células indiferenciadas, células de Paneth, células mucosas y células enteroendocrinas.
  • 54.
    -MOCREVELLOSIDADES: Para unmayor aumento de la superficie, las células cilíndricas con funciones de absorción que cubren las vellosidades y revisten las criptas tienen un borde estriado o en cepillo formado por muchas prolongaciones microvellosas. En los núcleos de las micro vellosidades hay filamentos delgados de orientación longitudinal que en las bases se continúan loa filamentos del velo terminal. Al material alimenticio en la luz del intestino delgado se agregan las secreciones de: 1.GLANDULAS INTESTINALES: se encuentran en intestino delgado y grueso. 2.GLANDULAS SUBMUCOSAS: Localizadas en el duodeno, son del tipo tubular compuesto y se denominan glándulas duodenales( de Brunner) 3.GLANDULAS FUERA DEL TUBO DIGESTIVO: pero que envían sus secreciones hacia la luz de este por un sistema de conductos. Estas glándula son el hígado y el páncreas, y ambas liberan sus secreciones exocrinas hacia el duodeno.
  • 56.
    • El epiteliode la mucosa intestinal es del tipo cilíndrico simple. -CELULAS CILINDRICAS(absorción):Descansan sobre una lamina basal. Sus núcleos son ovoides y se localizan hacia la base. Cada célula tiene un borde estriado o en cepillo formado por microvelloidades paralelas agrupadas muy juntas. Estas células cilíndricas absorben azucares y aminoácidos de la luz intestinal: estas sustancias pasan a través de las células a los capilares sanguíneos de la lamina propia subyacente: Otra función es la absorción de lípidos. -CELULAS INDIFERENCIADAS( de origen): Las células de origen o células madre se encuentran en la base de las células( criptas) intestinales y son la fuente de origen de las demás células. Son cilíndricas pero algo irregulares y presentan características de células inmaduras (pocas mitocondrias, retículo endoplasmatico mal desarrollado y un pequeño aparato de Golgi, pero muchos ribosomas libres y polisomas) .
  • 57.
    CELULAS DE PANTEH:Solo se encuentran en la base de las criptas del intestino delgado y tienen forma piramidal con base ancha y vértice estrecho. Producen lisozima, enzima que digiere las paredes de algunas bacterias, capaces de fagocitar algunas bacterias. Su función, es la regulación de la flora microbiana del intestino. CELULAS MUCOSAS (caliciformes): Estas células secretorias de moco están dispersas entre las células cilíndricas y su numero aumenta del duodeno a la porción terminal del íleon. El moco excretado es una glicoproteína acida y forma una película protectora sobre el glucocaliz de las microvellosidades de las células cilíndricas.
  • 58.
    • CELULAS ENTERODOCRINAS:Se encuentran en las criptas y vellosidades y secretan péptidos reguladores activos que participan en la secreción gástrica, la motilidad intestinal, la secreción pancreática y la contracción de la vesícula biliar.
  • 60.
    • Se extiendeentre las glándulas intestinales y en los núcleos de las vellosidades. Su naturaleza es muy distintiva e incluye una red de fibras reticulares y muchas características del tejido linfático laxo. • Quizá se describa mejor como tejido conectivo areolar laxo con tendencias linfáticas. En la malla de fibras reticulares hay células reticulares primitivas con núcleos grandes, ovales y de coloración pálida, así como linfocitos, macrófagos y células plasmáticas. • En partículas se pueden ver leucocitos eosinofilos que han emigrado en los vasos sanguíneos. • Además de los linfocitos dispersos en la lamina propia hay muchos folículos solitarios o nódulos linfáticos aislados, mas abundantes en la parte distal del intestino. No hay vellosidades y puede no haber criptas en la superficie de los folículos grandes, que están separados de la luz por un epitelio cilíndrico simple.
  • 61.
    • Estas glándulassubmucosas del duodeno están formadas por células cubicas altas, con núcleos oscuros, aplanados y basales, y citoplasma claro vacuolado. • Contienen urogastrona, péptido que inhibe la secreción de acido clorhídrico en el estomago y también estimula la proliferación del epitelio.
  • 63.
    Mide 1.5 mde largo. Conformado por: ciego, apéndice, colon, recto y ano. No posee vellosidades ni pliegue circulares. El esfínter ileocecal conecta el intestino delgado con el grueso. El apéndice es una prolongación del ciego y posee varios nódulos linfáticos. La función del intestino delgado es la absorción y la compactación del quimo para crear las heces fecales.
  • 65.
    Mucosa •Formada por unepitelio simple cilíndrico que forma algunas glándulas mucosas tubulares denominadas criptas de Lieberkün, aparecen como invaginaciones en la superficie epitelial, poseen algunas células del SNED y una cantidad mayor de células caliciformes. Su revestimiento epitelial se renueva como mínimo una vez a la semana por la actividad mitótica de las células regenerativas. •En general la lámina propia es bastante parecida a la del resto del tubo digestivo aunque esta carece de vasos linfáticos y una capa de colágeno entre la membrana basal y los vasos sanguíneos próximos del epitelio. La mucosa posee una capa muscular organizada en dos capas de músculo liso. Submucosa • Está formada por tejido conectivo denso además posee vasos sanguíneos de gran calibre y algunas zonas de tejido adiposo.
  • 66.
    Muscular • Está conformadapor una capa longitudinal de músculo liso. Serosa • Se encuentra en todo el intestino grueso a excepción del ano. Está constituida por una delgada capa de tejido conectivo que se fija a la pared corporal mediante una adventicia. Durante el recorrido del colon la serosa crea unas evaginaciones llenas de grasa llamadas apéndices epiploicos.
  • 68.
    • Posee unamucosa que presenta pliegues longitudinales conocidas como columnas anales o de Morgagni que en la línea pectínea forman las válvulas anales que albergan los senos anales • El conducto anal se encuentra tapizado por un epitelio cúbico simple que al pasar la línea pectínea se convierte en pavimentoso estratificado no queratinizado. La lámina propia fibroelástica contiene glándulas perianales. La submucosa posee un plexo venoso hemorroidal.
  • 69.
    • Tiene unaluz estrellada de epitelio cilíndrico simple compuesto de células absorbentes de la superficie, células caliciformes y células M. • Las criptas de Lieberkühn son escasas y poco profundas. La lámina propia tiene un tejido conjuntivo laxo con abundantes linfocitos y folículos linfáticos. Las demás capas son iguales al resto del tubo digestivo.
  • 70.
    • Gartner L,Hiatt J. Histología Básica. Barcelona: Editorial Elseiver; 2011. • Lesson T, Hiatt J. Texto/Atlas de Histología. Segunda Edición. México: Editorial Mc Grawhill Interamericana Editores; 1990. • Grupo Oceano. Enciclopedia Temática Universal. Volumen 1. Barcelona: MMIV EDITORIAL OCEANO; 2012.