APARATO DIGESTIVO
C.D. CONSTANZA M. SÁNCHEZ GUERRA
http://www.facmed.unam.mx/dept
os/biocetis/atlas2013A/digestivo7/
digestivo.html
Liga de apoyo
• El sistema digestivo está
formado por el tubo
digestivo y glándulas
anexas.
• Su función es tomar de los
alimentos los metabolitos
necesarios para el
desarrollo y
mantenimiento del
organismo.
• Para esto el alimento debe ser
degradado (digerido) y
transformado en pequeños
metabolitos de fácil absorción a
través del epitelio del intestino
delgado.
• El primer paso se realiza en la
cavidad oral, donde el alimento
es triturado por los dientes
durante la masticación y
humedecido por la saliva.
•El APARATO DIGESTIVO se extiende desde la cavidad
oral hasta el ano.
• La cavidad oral recibe el alimento y por medio de la
masticación y la formación del bolo, lo entrega al
esófago y el estómago.
•El contenido gástrico se reduce a un quimo ácido.
• Pasa al intestino delgado, donde se produce la mayor
parte de la digestión y absorción.
• El residuo pasa al intestino grueso, donde se
completa la digestión y se reabsorbe el agua.
•A continuación, las heces solidificadas pasan al ano
para ser eliminadas.
C.D. CONSTANZA M. SÁNCHEZ GUERRA
Boca
C.D. CONSTANZA M. SÁNCHEZ GUERRA
C.D. CONSTANZA M. SÁNCHEZ GUERRA
Cavidad bucal
• Se presenta revestida por un epitelio estratificado plano, cuyas
células superficiales aplanadas son nucleadas y presentan algunos
gránulos de queratina en su citoplasma. En los labios puede
apreciarse la transición a epitelio queratinizado.
• Estas mucosas se derivan del endodermo
Labios
C.D. CONSTANZA M. SÁNCHEZ GUERRA
Mucosa
• La mucosa bucal esta
revestida por un epitelio
estratificado escamoso
paraqueratinizado.
• Se considera móvil al
estar sobre la
submucosa.
Paladar
• El techo de la boca esta revestido por
un mismo tipo de mucosa formada de
epitelio plano estratificado
ortoqueratinizado y se divide en:
• Paladar duro, la membrana mucosa
descansa directamente en tejido óseo.
• Paladar blando, la parte central está
formado por músculo estriado esquelético,
además de muchas glándulas mucosas en
su submucosa.
Paraqueratinizado: epitelio que se
caracteriza por un estrato
córneo con núcleos picnóticos y un
estrato granuloso pobremente
definido. Presenta citoqueratina
1-10-14 y 13.
Ortoqueratinizado: Se
caracteriza por tener
citoqueratinas 1-2-10 y 11, que
son específicas de la
diferenciación tipo de epidermis.
PALADAR
DURO
•Mucosa masticatoria
•Adipocitos
•Glándulas salivales mucosas
(lateral posterior)
•Pared nasal epitelio respiratorio
con zonas de plano estratificado
no queratinizado
BLANDO
•Mucosa de revestimiento
•Glándulas salivales mucosas
•Pared nasal epitelio respiratorio
Encía
•Se forma por una lámina de tejido conjuntivo
denso, firmemente adherido al periostio y un
epitelio estratificado plano que puede ser
queratinizado en algunos lugares.
•Sus capas epiteliales están unidas a la cutícula
secundaria mediante hemidesmosomas.
C.D. CONSTANZA M. SÁNCHEZ GUERRA
Encía
Ligamento periodontal
•Está formado por tejido conjuntivo denso, con
fibras de colágena, colágeno soluble y fibras
elásticas de oxitalán, los espacios entre las fibras
contienen glucoproteínas.
•Todo este sistema actúa como amortiguador de
las presiones ejercidas por los dientes.
•Cualquier proceso que afecte la síntesis proteica o
del colágeno o falta de vitamina C puede
ocasionar atrofia de este ligamento.
Dientes
Trituran el alimento, aquí
inicia la transformación en
pequeñas moléculas.
Lengua
• Contiene una masa de tejido
muscular estriado, recubierto por una
mucosa cuya estructura varía de
acuerdo con la región.
• Las fibras musculares se entrecruzan
y los haces musculares se separan
por tejido conjuntivo.
C.D. CONSTANZA M. SÁNCHEZ GUERRA
Mucosa lingual
•Superficie inferior: mucosa lisa
•Superficie superior: mucosa extremadamente
irregular por la presencia de gran número de
papilas linguales
•Región posterior: se separa de la anterior por una
línea en V. Por detrás de esta línea V se encuentran
unas prominencias:
• a) nódulos linfáticos
• b) amígdalas linguales, que contienen criptas
donde a su alrededor se presentan los nódulos
linfáticos. Están formadas por tejido linfoide.
C.D. CONSTANZA M. SÁNCHEZ GUERRA
Papilas linguales
• Son elevaciones del
epitelio oral y de la lámina
propia con formas y
funciones diferentes:
• Filiformes
• Fungiformes
• Caliciformes
• Las papilas gustativas son órganos sensoriales intraepiteliales
que funcionan en la percepción del gusto. La superficie de la
lengua y la cara posterior de la cavidad oral tienen
aproximadamente 3000 papilas gustativas. Cada papila
gustativa, compuesta de 60 a 80 células en forma de huso, es
una estructura ovalada, de 70 a 80 μm de largo y de 30 a 40
μm de ancho, y es claramente más pálida que el epitelio que
la rodea. El extremo angosto de la papila gustativa, ubicado en
la superficie libre del epitelio, se proyecta hacia una abertura,
el poro del gusto, formado por las células epiteliales
escamosas que recubren la papila gustativa.
• Cuatro tipos de células constituyen la papila gustativa: células
basales, células oscuras, células ligeras, células intermedias. La
relación entre los distintos tipos de células no está clara,
aunque los investigadores coinciden en que las células basales
funcionan como células de reserva y regeneran las células de
las papilas gustativas, que tienen una vida media de 10 días.
La mayoría de los investigadores cree en la siguiente
progresión: las células basales dan lugar a células oscuras, que
maduran en células ligeras, que se convierten en células
intermedias y mueren.
• Las fibras nerviosas penetran en la papila gustativa y forman
uniones sinápticas con las células tipo I, tipo II y tipo III, lo que
indica que los tres tipos de células probablemente funcionan
en el discernimiento del gusto. Cada uno de estos tipos de
células tiene microvellosidades largas y esbeltas que
sobresalen del poro del gusto. En el pasado, estas
microvellosidades se observaban con el microscopio óptico y
se denominaban pelos del gusto.
• Hay cuatro sensaciones primarias de sabor: salado, dulce,
ácido y amargo. La reacción a estas modalidades de sabor se
debe a la presencia de canales de iones específicos (salado y
ácido) y receptores de membrana acoplados a proteína G
(amargo y dulce) en el plasmalema de las células del paladar.
El proceso de percepción del sabor complejo se debe más al
aparato olfativo que a las papilas gustativas.
Tipos de Papilas
Papilas Filiformes
•Son cónicas y alargadas y las
más numerosas cubren toda la superficie lingual y
no contienen corpúsculos gustativos.
Papilas Fungiformes
• Son de base estrecha y parte apical más amplia dando la
forma de un hongo, en menor cantidad y a menudo
presentan corpúsculos gustativos.
C.D. CONSTANZA M. SÁNCHEZ GUERRA
Papilas Caliciformes
• Son circunvaladas, aplanadas y circundadas por un profundo
surco, se encuentran en la V lingual y son de 7 a 12 y en la
parte lateral presentan gran número de corpúsculos
gustativos.
Glándulas salivales
• Las glándulas extramurales del sistema digestivo incluyen las glándulas salivales, el
páncreas y el hígado. Los productos secretores de estas glándulas ayudan en el
proceso digestivo y se envían a la luz del tracto alimentario mediante un sistema de
conductos.
• Al producir saliva, las glándulas salivales facilitan el proceso de degustación de los
alimentos, inician su digestión y permiten su deglución. Estas glándulas también
protegen el cuerpo secretando los agentes antibacterianos lisozima y lactoferrina, así
como la inmunoglobulina IgA secretora.
• Las principales glándulas salivales son las parótidas emparejadas, submandibulares y
sublinguales. Las porciones secretoras de las glándulas salivales están compuestas por
células secretoras serosas y / o mucosas dispuestas en acinos (alvéolos) o túbulos que
están expresados por células mioepiteliales, mientras que sus conductos son muy​​
ramificados y van desde conductos intercalares muy pequeños hasta un extremo muy
grande (terminal ) conductos.
• Aunque físicamente es la más grande de las glándulas salivales, la glándula parótida
produce solo alrededor del 30% de la producción salival total; la saliva que produce es
serosa.
• La glándula submandibular produce el 60% de la producción salival total; aunque
fabrica una saliva mixta, la mayor parte es serosa.
• La glándula sublingual es muy pequeña, está compuesta principalmente de acinos
mucosos con semilunas serosas y produce una saliva mixta.
Faringe
Faringe
Es común a los aparatos digestivo y respiratorio, se
comunica con cavidad nasal y laringe, y la cavidad
bucal con el esófago.
Su revestimiento epitelial es estratificado plano en la
región que se continua con el esófago haciéndose
pseudoestratificado prismático ciliado en la región
que comunica con la cavidad nasal.
Tiene también a las amígdalas faríngeas de origen
linfoide y pequeños grupos de glándulas mucosas.
C.D. CONSTANZA M. SÁNCHEZ GUERRA
C.D. CONSTANZA M. SÁNCHEZ GUERRA
C.D. CONSTANZA M. SÁNCHEZ GUERRA
C.D. CONSTANZA M. SÁNCHEZ GUERRA
Esófago
• Se presenta como un tubo
muscular cuya función es
transportar rápidamente la
comida desde la faringe al
estómago.
• Está revestido por epitelio
pavimentoso estratificado.
• En la región cercana al estómago
presenta unas glándulas
cardiacas.
• Mide 25 cm de longitud.
C.D. CONSTANZA M. SÁNCHEZ GUERRA
C.D. CONSTANZA M. SÁNCHEZ GUERRA
C.D. CONSTANZA M. SÁNCHEZ GUERRA
C.D. CONSTANZA M. SÁNCHEZ GUERRA
Estómago
C.D. CONSTANZA M. SÁNCHEZ GUERRA
Estómago
• Se presenta como una dilatación del tubo digestivo y su
función es suministrar líquidos digestivos al bolo
alimenticio, para licuarlo e iniciar la digestión de las
proteínas.
• La mucosa del estómago vacío forma pliegues
longitudinales, las arrugas.
• Se distinguen 3 áreas en el estómago:
• Región del cardias
• Región del cuerpo y del fondo
• Región pilórica
C.D. CONSTANZA M. SÁNCHEZ GUERRA
C.D. CONSTANZA M. SÁNCHEZ GUERRA
C.D. CONSTANZA M. SÁNCHEZ GUERRA
C.D. CONSTANZA M. SÁNCHEZ GUERRA
Lucha de epitelios
Estómago Esófago
Región del cardias
•Se constituye por:
•Una estrecha faja de mucosa dispuesta
circularmente y localizada en la transición del
esófago y la región fúndica.
•La lámina propia presenta glándulas tubulosas
simples o ramificadas, cuya porción terminal está
frecuentemente enrollada, sus células secretoras
son mucosas. (Mucina)
C.D. CONSTANZA M. SÁNCHEZ GUERRA
Estómago
C.D. CONSTANZA M. SÁNCHEZ GUERRA
Glándulas Gástricas
C.D. CONSTANZA M. SÁNCHEZ GUERRA
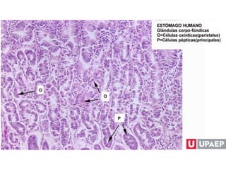
Región del cuerpo y del
fondo•Lámina propia ocupada por glándulas tubulosas
ramificadas (glándula fúndica), que cambia de forma a
lo largo de las diferentes porciones.
•Se distinguen de estas glándulas 3 regiones:
Istmo, cuello y base
Y estas están formadas por 5 tipos diferentes de
células.
Células mucosas del istmo
Células parietales u oxínticas
Células mucosas del cuello
Células cimogénicas o principales
Células argirófilas
C.D. CONSTANZA M. SÁNCHEZ GUERRA
C.D. CONSTANZA M. SÁNCHEZ GUERRA
C.D. CONSTANZA M. SÁNCHEZ GUERRA
Células parietales, oxínticas o
fúndicas.
C.D. CONSTANZA M. SÁNCHEZ GUERRA
Células mucosas del istmo ubicadas en la transición entre el
cuello y la foseta gástrica, producen mucina y sustancia G
además de Gastrina
Células Parietales, Oxínticas, pilóricas o (producen el ácido
clorhídrico del jugo gástrico)
Células mucosas del cuello (no similares a las células
epiteliales de revestimiento)
Células cimogénicas (sintetizan proteínas)
Células argirófilas (secresión desconocida pero con alto
contenido de 5-hidroxitriptamina)
C.D. CONSTANZA M. SÁNCHEZ GUERRA
Región pilórica
•Presenta fosetas muy profundas en las
cuales se abren glándulas tubulosas simples
o ramificadas muy similares a las glándulas
de la región cardiaca, pero con la diferencia
que aquí hay fosetas profundas y glándulas
cortas lo contrario de la región del cardias.
C.D. CONSTANZA M. SÁNCHEZ GUERRA
Capa
Submucos
C.D. CONSTANZA M. SÁNCHEZ GUERRA
Capa muscular del estómago
•Es relativamente gruesa y formada por 2 o 3 capas
de músculo liso, en dirección a la luz del órgano
parten fibras de la capa muscular a la lámina propia
y cuando se contraen forman pliegues en la
superficie interna del estómago provocando la
compresión de las glándulas del estómago
eliminando su secreción
C.D. CONSTANZA M. SÁNCHEZ GUERRA
Estructura general del tubo digestivo
• Está formado por:
• Mucosa
• Submucosa
• Muscular
• Serosa
C.D. CONSTANZA M. SÁNCHEZ GUERRA
Tubo Digestivo
Estructura general
C.D. CONSTANZA M. SÁNCHEZ GUERRA
C.D. CONSTANZA M. SÁNCHEZ GUERRA
Capa mucosa
•Constituida por:
•Epitelio de revestimiento húmedo con funciones
de secreción y absorción
•Lámina propia del tejido conjuntivo laxo, rica en
vasos sanguíneos, linfáticos y fibras musculares
lisas pudiendo contener glándulas y tejido linfoide
•Muscular de la mucosa, que por lo general
consiste en dos capas delgadas de músculo liso,
responsables de la movilidad de la mucosa.
C.D. CONSTANZA M. SÁNCHEZ GUERRA
Submucosa
•La submucosa es un componente de tejido
conectivo más grueso que físicamente sostiene a
la mucosa y le proporciona nervios, vasos
sanguíneos y linfáticos.
• En algunas regiones del conducto alimentario la
submucosa contiene glándulas
C.D. CONSTANZA M. SÁNCHEZ GUERRA
Capa muscular
•Constituida por:
•Fibras musculares lisas, orientadas en espiral:
* capa interna.- próxima a la luz y las fibras están
dispuestas circularmente
* capa externa.- las fibras estas
longitudinalmente.
•Plexo nervioso mioentérico, que se sitúa entre las
2 subcapas musculares
C.D. CONSTANZA M. SÁNCHEZ GUERRA
Capa serosa
•Constituida por:
•Tejido conjuntivo laxo, con gran cantidad de
células adiposas, vasos sanguíneos y
linfáticos.
•Mesotelio en forma de epitelio
pavimentoso simple.
C.D. CONSTANZA M. SÁNCHEZ GUERRA
Hígado
C.D. CONSTANZA M. SÁNCHEZ GUERRA
1. Arteria,2. Vena3. Vaso Linfático
1
23
C.D. CONSTANZA M. SÁNCHEZ GUERRA
• El hígado, similar al páncreas, tiene funciones tanto endocrinas como exocrinas,
aunque la misma célula, el hepatocito, es responsable de la formación de su
secreción exocrina, bilis y sus productos endocrinos. Los hepatocitos también
desintoxican las toxinas y las excretan en la bilis.
• La cápsula de tejido conectivo del hígado, la cápsula de Glisson, está flojamente
unida, excepto en el porta hepático, donde ingresa al hígado, formando un
conducto para la sangre y los vasos linfáticos y los conductos biliares. El hígado
es inusual, en el sentido de que sus elementos de tejido conectivo son escasos;
por lo tanto, la mayor parte del hígado se compone de células parenquimatosas
uniformes, los hepatocitos.
• El hígado tiene un doble suministro de sangre, que recibe sangre oxigenada de
las arterias hepáticas (25%) y sangre rica en nutrientes a través de la vena porta
(75%). Ambos vasos ingresan al hígado en la circulación porta hepática. La
sangre sale del hígado en la parte posterior del órgano a través de las venas
hepáticas. La bilis deja el hígado en el porta hepático, a través de los conductos
hepáticos, para ser entregado a la vesícula biliar para su concentración y
almacenamiento.
• Los hepatocitos forman lóbulos clásicos hexagonales cuyas fronteras en el
hígado humano solo se pueden aproximar.
• La región donde se unen tres lóbulos clásicos se conoce como área portal que
alberga ramas delgadas de la arteria hepática, afluentes de la vena porta
relativamente grande, conductos biliares interlobulares y vasos linfáticos.
• Cada lóbulo tiene una sola vena central que recibe sangre de cada senoide de
ese lóbulo. A medida que la vena central abandona el lóbulo, termina en la vena
sublobular que eventualmente drena en la vena hepática.
Al centro del lobulillo se
aprecia la arteria clásica.
Todos los cordones de
hepatocitos tienen una
distribución radial a partir de
éste vaso.
C.D. CONSTANZA M. SÁNCHEZ GUERRA
• Hay tres conceptualizaciones básicas del lóbulo
hepático. El lóbulo hepático clásico fue el primero en
definirse histológicamente porque la disposición del
tejido conectivo en el hígado de cerdo proporcionó
un fundamento obvio. En este concepto, la sangre
fluye desde la periferia hasta el centro del lóbulo
hacia la vena central. La bilis, fabricada por células
hepáticas, ingresa en pequeños espacios
intercelulares, canalículos biliares, localizados entre
los hepatocitos y fluye hacia la periferia del lóbulo
hacia los conductos biliares interlobulillares de las
áreas del portal.
• Para ser coherente con los lóbulos de otras glándulas
exocrinas, liberando bilis a un lumen central, el lóbulo
portal se describió como la región triangular cuyo
centro es el área del portal y cuya periferia está
delimitada por líneas rectas imaginarias que conectan
las tres venas centrales circundantes.
• Una tercera conceptualización, conocida como acino
hepático (acinos de Rappaport) se basa en el flujo
sanguíneo. Se ve como tres regiones concéntricas
pobremente definidas de parénquima hepático que
rodea una arteria de distribución en el centro. La capa
más externa, la zona 3, se extiende hasta la vena
central y es la más pobre en oxígeno de las tres zonas.
La región restante se divide por igual en dos zonas (1
y 2); la zona 1 es la más rica en oxígeno.
Hepatocito
• Se dice que las membranas plasmáticas de los hepatocitos tienen dos dominios, lateral y
sinusoidal.
• Los dominios laterales forman espacios intercelulares elaborados, de 1 a 2 μm de
diámetro, canalículos biliares, que conducen la bilis entre los hepatocitos a la periferia de
los lóbulos clásicos.
• Los dominios sinusoidales de las membranas plasmáticas de hepatocitos también tienen
microvellosidades, que se proyectan en el espacio de Disse. Se ha calculado que estas
microvellosidades aumentan el área superficial del dominio sinusoidal en un factor de 6,
facilitando el intercambio de material entre el hepatocito y el plasma en el espacio
perisinusoidal.
• Los hepatocitos tienen una abundancia de ribosomas libres, RER y aparato de Golgi. Cada
celda alberga varios conjuntos de aparatos de Golgi, ubicados cerca de canalículos biliares.
• Cada célula contiene hasta 2000 mitocondrias. Las células en la zona 3 del acino del hígado
tienen casi el doble de mitocondrias, pero más pequeñas que las células del hígado en la
zona 1 del acino del hígado. Las células hepáticas también tienen muchos endosomas,
lisosomas y peroxisomas.
• Las células en la zona 3 del acino del hígado tienen la dotación más rica de SER que
aumenta en presencia de ciertos fármacos y toxinas porque la desintoxicación ocurre
dentro de las cisternas de este orgánulo.
• Los hepatocitos contienen cantidades variables de inclusiones en forma de gotas de lípidos
y glucógeno.
C.D. CONSTANZA M. SÁNCHEZ GUERRA
C.D. CONSTANZA M. SÁNCHEZ GUERRA
Circulación Porta
C.D. CONSTANZA M. SÁNCHEZ GUERRA
C.D. CONSTANZA M. SÁNCHEZ GUERRA
Páncreas
C.D. CONSTANZA M. SÁNCHEZ GUERRA
• El páncreas produce secreciones exocrinas y endocrinas. Los componentes
endocrinos del páncreas, islotes de Langerhans, están dispersos entre los
acinos secretores exocrinos. Los islotes tienen cinco tipos de células, células
alfa (producir glucagón), células beta (producir insulina), células PP
(producir polipéptido pancreático), células G (fabricación de gastrina) y
células delta (fabricación de somatostatina).
• El páncreas exocrino se compone de acinos cuyo lumen está ocupado por
células centroacinares, el comienzo del sistema de conductos del páncreas.
Las células acinares fabrican, almacenan y liberan enzimas digestivas:
amilasa pancreática, lipasa pancreática, ribonucleasa, desoxirribonucleasa y
proenzimas quimotripsinógeno, procarboxipeptidasa y elastasa. También
fabrican el inhibidor de la tripsina, que protege a la célula de la activación
intracelular de la tripsina. La liberación de las enzimas pancreáticas se
efectúa por la colecistoquinina (pancreozima) de la hormona fabricada por
las células DNES del intestino delgado, así como por la acetilcolina liberada
por las fibras parasimpáticas posganglionares.
• Las células centroacinares fabrican un tapón rico en bicarbonato, cuya
liberación se efectúa mediante la hormona secretina, producida por las
células DNES del intestino delgado y posiblemente en concierto con la
acetilcolina.
• Por lo tanto, las secreciones ricas en enzimas y pobres en enzimas se
regulan por separado, y las dos secreciones pueden liberarse en momentos
diferentes o de forma concomitante.
C.D. CONSTANZA M. SÁNCHEZ GUERRA
Islote de
Langerhans
acinos secretores
exocrinos
Vasos
sanguíneos
C.D. CONSTANZA M. SÁNCHEZ GUERRA
Vesícula
C.D. CONSTANZA M. SÁNCHEZ GUERRA
• La vesícula es un órgano pequeño, en forma de pera, situado en la
cara inferior del hígado.
• Mide 10 cm de largo y 4 cm de sección transversal.
• Almacena 70 ml de bilis aproximadamente.
• Se asemeja a un saco con una sola abertura.
• La abertura se continua en el cuello con el conducto cístico.
• En el cuello se encuentra la bolsa de Hartmann que es la región
donde suelen alojarse los cálculos biliares.
• El conducto se une al cónducto pancreático para liberar bilis al
duodeno cuando es necesario.
C.D. CONSTANZA M. SÁNCHEZ GUERRA
C.D. CONSTANZA M. SÁNCHEZ GUERRA
La vesícula biliar está formada por cuatro capas:
•Epitelio
•Lámina propia
•Músculo liso
•Serosa/ Adventicia
C.D. CONSTANZA M. SÁNCHEZ GUERRA
Mucosa:
Con muchos pliegues
Epitelio simple cilíndrico:
Vacía: esta muy plegada y con crestas altas y paralelas
Llena de bilis: el plegamiento se reduce y las crestas son cortas,
volviéndose relativamente liso.
Abundantes microvellosidades apicales cortas y poco
desarrolladas.
Complejos de unión apicales que unen células contiguas y forman
una barrera.
Concentraciones de mitocondrias en el citoplasma basal y apical.
Pliegues laterales.
ATPasas de Na en las membranas laterales y vesículas de
secreción con contenido de glucoproteínas en el citoplasma apical.
C.D. CONSTANZA M. SÁNCHEZ GUERRA
• La luz de la vesícula esta revestida por un epitelio cilíndrico simple,
compuesto por dos tipos de células:
• Células claras (las más abundantes)
• Células en cepillo (poco frecuentes)
Lámina propia
• Esta formada por un tejido conjuntivo laxo vascularizado, que posee
abundantes fibras elásticas y de colágeno.
• En el cuello tiene glándulas tubuloacinares simples que producen
moco para lubricar este paso estrecho.
Músculo
Las fibras de músculo liso están
orientadas:
•principalmente de forma oblicua
•otras fibras están orientadas
longitudinalmente.
Serosa adventicia
Es un tejido conectivo liso que
cubre a la vesícula, excepto en la
zona que está unida al hígado
(zona del peritoneo)
C.D. CONSTANZA M. SÁNCHEZ GUERRA
C.D. CONSTANZA M. SÁNCHEZ GUERRA
Intestino delgado
C.D. CONSTANZA M. SÁNCHEZ GUERRA
C.D. CONSTANZA M. SÁNCHEZ GUERRA
Unidad vellosidad- Cripta
C.D. CONSTANZA M. SÁNCHEZ GUERRA
Intestino delgado
• Porción del tubo digestivo donde ocurren los procesos
finales de la digestión de los alimentos y de la absorción de
los productos de la digestión.
• Mide cerca de 6 mts. Lo que permite una acción prolongada
de las enzimas digestivas.
• Presenta 3 porciones:
• Duodeno
• Yeyuno
• Ileón
C.D. CONSTANZA M. SÁNCHEZ GUERRA
Membrana mucosa del intestino
delgado
•Presenta una serie de pliegues de forma semilunar,
circular o espiral, con dobleces de la mucosa y
submucosa.
•Vellosidades intestinales, son invaginaciones de la
membrana mucosa.
•Entre los puntos de inserción de las vellosidades se
observan los orificios donde desembocan las
glándulas intestinales o de Lieberkühn.
Al día se renuevan aproximadamente 250 g de mucosa de
intestino delgado, por desplazamiento de las células de la
porción basal de las glándulas hacia las vellosidades.
C.D. CONSTANZA M. SÁNCHEZ GUERRA
Células absorbentes
•Son columnares, prismáticas y se caracterizan por la
presencia de una estriación longitudinal en su superficie
apical (cutícula o chapa estriada)
•Estas cutículas tienen una capa de millones de
microvellosidades de ahí su importancia fisiológica por la
gran superficie de contacto del intestino delgado con los
alimentos y en especial porque es el lugar de actividad
de las disacaridasas. (hidrolizan los disacáridos y
monosacáridos para ser fácilmente absorbidos).
Células caliciformes
•Están entre las células absorbentes en menos
número, producen glucoproteínas ácidas,
cuya principal función es lubricar la luz
intestinal.
C.D. CONSTANZA M. SÁNCHEZ GUERRA
Células argirófilas
•Más frecuentes en la porción basal de las glándulas
intestinales.
•Liberan 5-hidroxitriptamina, la cual estimula
activamente la capa muscular del intestino,
actuando así sobre la motilidad del órgano.
C.D. CONSTANZA M. SÁNCHEZ GUERRA
Células de Paneth
•Localizadas en la porción basal de las glándulas
intestinales.
•Son células exocrinas seromucosas, sintetiza
proteínas
Vasos y nervios
Los vasos sanguíneos que nutren el intestino y
extraen los productos de la digestión
atraviesan la capa muscular y forman un gran
plexo en la submucosa, después las ramas se
extienden a través de la muscular de la
mucosa, la lámina propia y penetra en las
vellosidades.
la inervación de los intestinos presenta dos
componentes:
❏Intrínseco.
❏Extrínseco.
Tomado de presentación de Lorena Cancino,
Milena Aslec, Nohemi Romero y Marco López.
Yeyuno normal
Tumor carcinoide
C.D. CONSTANZA M. SÁNCHEZ GUERRA
Apéndice
C.D. CONSTANZA M. SÁNCHEZ GUERRA
Apéndice
• Es una invaginación del ciego,
en fondo de saco se
caracteriza por presentar luz
estrecha e irregular por la gran
cantidad de nódulos linfáticos
que hay en la pared del
órgano.
• Su estructura es semejante a la
del intestino grueso pero sus
fibras no forman tenias.
C.D. CONSTANZA M. SÁNCHEZ GUERRA
Se puede inflamar e
infectar frecuentemente
produciéndose una
apendicitis y si revienta se
produce una septicemia.
C.D. CONSTANZA M. SÁNCHEZ GUERRA
Intestino Grueso
C.D. CONSTANZA M. SÁNCHEZ GUERRA
Intestino grueso
•Está subdividido en:
•ciego
•colon ascendente,
transverso,
descendente y
sigmoide
•recto
•conducto anal
•apéndice.
•En él se absorbe el agua
y sales inorgánicas.
C.D. CONSTANZA M. SÁNCHEZ GUERRA
Colon sigmoideo
C.D. CONSTANZA M. SÁNCHEZ GUERRA
Intestino grueso
• Presenta membrana lisa sin pliegues, excepto en la porción
rectal y final.
• El epitelio de revestimiento es de tipo columnar prismático
y también una pequeña región cuticular.
• Sus funciones principales son:
la absorción de agua
la formación del bolo fecal
la producción de moco para la lubricación de la
superficie
mucosa.
• Presenta 3 haces gruesos de fibras llamadas tenias del
colon.
C.D. CONSTANZA M. SÁNCHEZ GUERRA
• Se observa pliegues apreciables
a simple vista y corresponden a
engrosamientos de la
submucosa.
• Las criptas son más profundas
que en el intestino delgado.
C.D. CONSTANZA M. SÁNCHEZ GUERRA
• Criptas del intestino grueso.
• Muchas células caliciformes.
• No hay células de absorción
• Conglomerados linfoides
situados en la porción más
superficial de la mucosa.
Muestran continuación hacia la
lámina propia atravesando a la
muscular de la mucosa.
C.D. CONSTANZA M. SÁNCHEZ GUERRA
Ano y Recto
C.D. CONSTANZA M. SÁNCHEZ GUERRA
•En la región anal , la membrana mucosa
presenta una serie de pliegues
longitudinales, las columnas rectales o
columnas de Morgagni.
•En esta región la lámina propia presenta un
rico plexo venoso, cuyas venas cuando se
encuentran muy dilatadas y varicosas dan
origen a las hemorroides.
C.D. CONSTANZA M. SÁNCHEZ GUERRA
C.D. CONSTANZA M. SÁNCHEZ GUERRA
C.D. CONSTANZA M. SÁNCHEZ GUERRA
C.D. CONSTANZA M. SÁNCHEZ GUERRA
Pólipos
C.D. CONSTANZA M. SÁNCHEZ GUERRA
Cáncer de recto
C.D. CONSTANZA M. SÁNCHEZ GUERRA
Aparato digestivo

Aparato digestivo

  • 1.
    APARATO DIGESTIVO C.D. CONSTANZAM. SÁNCHEZ GUERRA http://www.facmed.unam.mx/dept os/biocetis/atlas2013A/digestivo7/ digestivo.html Liga de apoyo
  • 2.
    • El sistemadigestivo está formado por el tubo digestivo y glándulas anexas. • Su función es tomar de los alimentos los metabolitos necesarios para el desarrollo y mantenimiento del organismo. • Para esto el alimento debe ser degradado (digerido) y transformado en pequeños metabolitos de fácil absorción a través del epitelio del intestino delgado. • El primer paso se realiza en la cavidad oral, donde el alimento es triturado por los dientes durante la masticación y humedecido por la saliva.
  • 4.
    •El APARATO DIGESTIVOse extiende desde la cavidad oral hasta el ano. • La cavidad oral recibe el alimento y por medio de la masticación y la formación del bolo, lo entrega al esófago y el estómago. •El contenido gástrico se reduce a un quimo ácido. • Pasa al intestino delgado, donde se produce la mayor parte de la digestión y absorción. • El residuo pasa al intestino grueso, donde se completa la digestión y se reabsorbe el agua. •A continuación, las heces solidificadas pasan al ano para ser eliminadas. C.D. CONSTANZA M. SÁNCHEZ GUERRA
  • 5.
    Boca C.D. CONSTANZA M.SÁNCHEZ GUERRA
  • 6.
    C.D. CONSTANZA M.SÁNCHEZ GUERRA
  • 7.
    Cavidad bucal • Sepresenta revestida por un epitelio estratificado plano, cuyas células superficiales aplanadas son nucleadas y presentan algunos gránulos de queratina en su citoplasma. En los labios puede apreciarse la transición a epitelio queratinizado. • Estas mucosas se derivan del endodermo
  • 8.
    Labios C.D. CONSTANZA M.SÁNCHEZ GUERRA
  • 9.
    Mucosa • La mucosabucal esta revestida por un epitelio estratificado escamoso paraqueratinizado. • Se considera móvil al estar sobre la submucosa.
  • 10.
    Paladar • El techode la boca esta revestido por un mismo tipo de mucosa formada de epitelio plano estratificado ortoqueratinizado y se divide en: • Paladar duro, la membrana mucosa descansa directamente en tejido óseo. • Paladar blando, la parte central está formado por músculo estriado esquelético, además de muchas glándulas mucosas en su submucosa.
  • 11.
    Paraqueratinizado: epitelio quese caracteriza por un estrato córneo con núcleos picnóticos y un estrato granuloso pobremente definido. Presenta citoqueratina 1-10-14 y 13. Ortoqueratinizado: Se caracteriza por tener citoqueratinas 1-2-10 y 11, que son específicas de la diferenciación tipo de epidermis.
  • 12.
    PALADAR DURO •Mucosa masticatoria •Adipocitos •Glándulas salivalesmucosas (lateral posterior) •Pared nasal epitelio respiratorio con zonas de plano estratificado no queratinizado BLANDO •Mucosa de revestimiento •Glándulas salivales mucosas •Pared nasal epitelio respiratorio
  • 13.
    Encía •Se forma poruna lámina de tejido conjuntivo denso, firmemente adherido al periostio y un epitelio estratificado plano que puede ser queratinizado en algunos lugares. •Sus capas epiteliales están unidas a la cutícula secundaria mediante hemidesmosomas. C.D. CONSTANZA M. SÁNCHEZ GUERRA
  • 14.
  • 15.
    Ligamento periodontal •Está formadopor tejido conjuntivo denso, con fibras de colágena, colágeno soluble y fibras elásticas de oxitalán, los espacios entre las fibras contienen glucoproteínas. •Todo este sistema actúa como amortiguador de las presiones ejercidas por los dientes. •Cualquier proceso que afecte la síntesis proteica o del colágeno o falta de vitamina C puede ocasionar atrofia de este ligamento.
  • 16.
    Dientes Trituran el alimento,aquí inicia la transformación en pequeñas moléculas.
  • 17.
    Lengua • Contiene unamasa de tejido muscular estriado, recubierto por una mucosa cuya estructura varía de acuerdo con la región. • Las fibras musculares se entrecruzan y los haces musculares se separan por tejido conjuntivo. C.D. CONSTANZA M. SÁNCHEZ GUERRA
  • 18.
    Mucosa lingual •Superficie inferior:mucosa lisa •Superficie superior: mucosa extremadamente irregular por la presencia de gran número de papilas linguales •Región posterior: se separa de la anterior por una línea en V. Por detrás de esta línea V se encuentran unas prominencias: • a) nódulos linfáticos • b) amígdalas linguales, que contienen criptas donde a su alrededor se presentan los nódulos linfáticos. Están formadas por tejido linfoide. C.D. CONSTANZA M. SÁNCHEZ GUERRA
  • 19.
    Papilas linguales • Sonelevaciones del epitelio oral y de la lámina propia con formas y funciones diferentes: • Filiformes • Fungiformes • Caliciformes
  • 20.
    • Las papilasgustativas son órganos sensoriales intraepiteliales que funcionan en la percepción del gusto. La superficie de la lengua y la cara posterior de la cavidad oral tienen aproximadamente 3000 papilas gustativas. Cada papila gustativa, compuesta de 60 a 80 células en forma de huso, es una estructura ovalada, de 70 a 80 μm de largo y de 30 a 40 μm de ancho, y es claramente más pálida que el epitelio que la rodea. El extremo angosto de la papila gustativa, ubicado en la superficie libre del epitelio, se proyecta hacia una abertura, el poro del gusto, formado por las células epiteliales escamosas que recubren la papila gustativa. • Cuatro tipos de células constituyen la papila gustativa: células basales, células oscuras, células ligeras, células intermedias. La relación entre los distintos tipos de células no está clara, aunque los investigadores coinciden en que las células basales funcionan como células de reserva y regeneran las células de las papilas gustativas, que tienen una vida media de 10 días. La mayoría de los investigadores cree en la siguiente progresión: las células basales dan lugar a células oscuras, que maduran en células ligeras, que se convierten en células intermedias y mueren. • Las fibras nerviosas penetran en la papila gustativa y forman uniones sinápticas con las células tipo I, tipo II y tipo III, lo que indica que los tres tipos de células probablemente funcionan en el discernimiento del gusto. Cada uno de estos tipos de células tiene microvellosidades largas y esbeltas que sobresalen del poro del gusto. En el pasado, estas microvellosidades se observaban con el microscopio óptico y se denominaban pelos del gusto. • Hay cuatro sensaciones primarias de sabor: salado, dulce, ácido y amargo. La reacción a estas modalidades de sabor se debe a la presencia de canales de iones específicos (salado y ácido) y receptores de membrana acoplados a proteína G (amargo y dulce) en el plasmalema de las células del paladar. El proceso de percepción del sabor complejo se debe más al aparato olfativo que a las papilas gustativas.
  • 21.
  • 22.
    Papilas Filiformes •Son cónicasy alargadas y las más numerosas cubren toda la superficie lingual y no contienen corpúsculos gustativos.
  • 23.
    Papilas Fungiformes • Sonde base estrecha y parte apical más amplia dando la forma de un hongo, en menor cantidad y a menudo presentan corpúsculos gustativos. C.D. CONSTANZA M. SÁNCHEZ GUERRA
  • 24.
    Papilas Caliciformes • Soncircunvaladas, aplanadas y circundadas por un profundo surco, se encuentran en la V lingual y son de 7 a 12 y en la parte lateral presentan gran número de corpúsculos gustativos.
  • 25.
    Glándulas salivales • Lasglándulas extramurales del sistema digestivo incluyen las glándulas salivales, el páncreas y el hígado. Los productos secretores de estas glándulas ayudan en el proceso digestivo y se envían a la luz del tracto alimentario mediante un sistema de conductos. • Al producir saliva, las glándulas salivales facilitan el proceso de degustación de los alimentos, inician su digestión y permiten su deglución. Estas glándulas también protegen el cuerpo secretando los agentes antibacterianos lisozima y lactoferrina, así como la inmunoglobulina IgA secretora. • Las principales glándulas salivales son las parótidas emparejadas, submandibulares y sublinguales. Las porciones secretoras de las glándulas salivales están compuestas por células secretoras serosas y / o mucosas dispuestas en acinos (alvéolos) o túbulos que están expresados por células mioepiteliales, mientras que sus conductos son muy​​ ramificados y van desde conductos intercalares muy pequeños hasta un extremo muy grande (terminal ) conductos. • Aunque físicamente es la más grande de las glándulas salivales, la glándula parótida produce solo alrededor del 30% de la producción salival total; la saliva que produce es serosa. • La glándula submandibular produce el 60% de la producción salival total; aunque fabrica una saliva mixta, la mayor parte es serosa. • La glándula sublingual es muy pequeña, está compuesta principalmente de acinos mucosos con semilunas serosas y produce una saliva mixta.
  • 27.
  • 28.
    Faringe Es común alos aparatos digestivo y respiratorio, se comunica con cavidad nasal y laringe, y la cavidad bucal con el esófago. Su revestimiento epitelial es estratificado plano en la región que se continua con el esófago haciéndose pseudoestratificado prismático ciliado en la región que comunica con la cavidad nasal. Tiene también a las amígdalas faríngeas de origen linfoide y pequeños grupos de glándulas mucosas. C.D. CONSTANZA M. SÁNCHEZ GUERRA
  • 29.
    C.D. CONSTANZA M.SÁNCHEZ GUERRA
  • 30.
    C.D. CONSTANZA M.SÁNCHEZ GUERRA
  • 31.
    C.D. CONSTANZA M.SÁNCHEZ GUERRA
  • 32.
    Esófago • Se presentacomo un tubo muscular cuya función es transportar rápidamente la comida desde la faringe al estómago. • Está revestido por epitelio pavimentoso estratificado. • En la región cercana al estómago presenta unas glándulas cardiacas. • Mide 25 cm de longitud. C.D. CONSTANZA M. SÁNCHEZ GUERRA
  • 33.
    C.D. CONSTANZA M.SÁNCHEZ GUERRA
  • 34.
    C.D. CONSTANZA M.SÁNCHEZ GUERRA
  • 35.
    C.D. CONSTANZA M.SÁNCHEZ GUERRA
  • 36.
  • 37.
    Estómago • Se presentacomo una dilatación del tubo digestivo y su función es suministrar líquidos digestivos al bolo alimenticio, para licuarlo e iniciar la digestión de las proteínas. • La mucosa del estómago vacío forma pliegues longitudinales, las arrugas. • Se distinguen 3 áreas en el estómago: • Región del cardias • Región del cuerpo y del fondo • Región pilórica
  • 38.
    C.D. CONSTANZA M.SÁNCHEZ GUERRA
  • 41.
    C.D. CONSTANZA M.SÁNCHEZ GUERRA
  • 42.
    C.D. CONSTANZA M.SÁNCHEZ GUERRA
  • 44.
    C.D. CONSTANZA M.SÁNCHEZ GUERRA
  • 45.
  • 46.
  • 47.
    Región del cardias •Seconstituye por: •Una estrecha faja de mucosa dispuesta circularmente y localizada en la transición del esófago y la región fúndica. •La lámina propia presenta glándulas tubulosas simples o ramificadas, cuya porción terminal está frecuentemente enrollada, sus células secretoras son mucosas. (Mucina) C.D. CONSTANZA M. SÁNCHEZ GUERRA
  • 48.
  • 49.
  • 50.
    Región del cuerpoy del fondo•Lámina propia ocupada por glándulas tubulosas ramificadas (glándula fúndica), que cambia de forma a lo largo de las diferentes porciones. •Se distinguen de estas glándulas 3 regiones: Istmo, cuello y base Y estas están formadas por 5 tipos diferentes de células. Células mucosas del istmo Células parietales u oxínticas Células mucosas del cuello Células cimogénicas o principales Células argirófilas C.D. CONSTANZA M. SÁNCHEZ GUERRA
  • 52.
    C.D. CONSTANZA M.SÁNCHEZ GUERRA
  • 53.
    C.D. CONSTANZA M.SÁNCHEZ GUERRA
  • 54.
    Células parietales, oxínticaso fúndicas. C.D. CONSTANZA M. SÁNCHEZ GUERRA
  • 56.
    Células mucosas delistmo ubicadas en la transición entre el cuello y la foseta gástrica, producen mucina y sustancia G además de Gastrina Células Parietales, Oxínticas, pilóricas o (producen el ácido clorhídrico del jugo gástrico) Células mucosas del cuello (no similares a las células epiteliales de revestimiento) Células cimogénicas (sintetizan proteínas) Células argirófilas (secresión desconocida pero con alto contenido de 5-hidroxitriptamina) C.D. CONSTANZA M. SÁNCHEZ GUERRA
  • 57.
    Región pilórica •Presenta fosetasmuy profundas en las cuales se abren glándulas tubulosas simples o ramificadas muy similares a las glándulas de la región cardiaca, pero con la diferencia que aquí hay fosetas profundas y glándulas cortas lo contrario de la región del cardias. C.D. CONSTANZA M. SÁNCHEZ GUERRA
  • 60.
  • 61.
    Capa muscular delestómago •Es relativamente gruesa y formada por 2 o 3 capas de músculo liso, en dirección a la luz del órgano parten fibras de la capa muscular a la lámina propia y cuando se contraen forman pliegues en la superficie interna del estómago provocando la compresión de las glándulas del estómago eliminando su secreción C.D. CONSTANZA M. SÁNCHEZ GUERRA
  • 62.
    Estructura general deltubo digestivo • Está formado por: • Mucosa • Submucosa • Muscular • Serosa C.D. CONSTANZA M. SÁNCHEZ GUERRA
  • 63.
    Tubo Digestivo Estructura general C.D.CONSTANZA M. SÁNCHEZ GUERRA
  • 64.
    C.D. CONSTANZA M.SÁNCHEZ GUERRA
  • 65.
    Capa mucosa •Constituida por: •Epiteliode revestimiento húmedo con funciones de secreción y absorción •Lámina propia del tejido conjuntivo laxo, rica en vasos sanguíneos, linfáticos y fibras musculares lisas pudiendo contener glándulas y tejido linfoide •Muscular de la mucosa, que por lo general consiste en dos capas delgadas de músculo liso, responsables de la movilidad de la mucosa. C.D. CONSTANZA M. SÁNCHEZ GUERRA
  • 66.
    Submucosa •La submucosa esun componente de tejido conectivo más grueso que físicamente sostiene a la mucosa y le proporciona nervios, vasos sanguíneos y linfáticos. • En algunas regiones del conducto alimentario la submucosa contiene glándulas C.D. CONSTANZA M. SÁNCHEZ GUERRA
  • 67.
    Capa muscular •Constituida por: •Fibrasmusculares lisas, orientadas en espiral: * capa interna.- próxima a la luz y las fibras están dispuestas circularmente * capa externa.- las fibras estas longitudinalmente. •Plexo nervioso mioentérico, que se sitúa entre las 2 subcapas musculares C.D. CONSTANZA M. SÁNCHEZ GUERRA
  • 68.
    Capa serosa •Constituida por: •Tejidoconjuntivo laxo, con gran cantidad de células adiposas, vasos sanguíneos y linfáticos. •Mesotelio en forma de epitelio pavimentoso simple. C.D. CONSTANZA M. SÁNCHEZ GUERRA
  • 69.
  • 71.
    1. Arteria,2. Vena3.Vaso Linfático 1 23 C.D. CONSTANZA M. SÁNCHEZ GUERRA
  • 72.
    • El hígado,similar al páncreas, tiene funciones tanto endocrinas como exocrinas, aunque la misma célula, el hepatocito, es responsable de la formación de su secreción exocrina, bilis y sus productos endocrinos. Los hepatocitos también desintoxican las toxinas y las excretan en la bilis. • La cápsula de tejido conectivo del hígado, la cápsula de Glisson, está flojamente unida, excepto en el porta hepático, donde ingresa al hígado, formando un conducto para la sangre y los vasos linfáticos y los conductos biliares. El hígado es inusual, en el sentido de que sus elementos de tejido conectivo son escasos; por lo tanto, la mayor parte del hígado se compone de células parenquimatosas uniformes, los hepatocitos. • El hígado tiene un doble suministro de sangre, que recibe sangre oxigenada de las arterias hepáticas (25%) y sangre rica en nutrientes a través de la vena porta (75%). Ambos vasos ingresan al hígado en la circulación porta hepática. La sangre sale del hígado en la parte posterior del órgano a través de las venas hepáticas. La bilis deja el hígado en el porta hepático, a través de los conductos hepáticos, para ser entregado a la vesícula biliar para su concentración y almacenamiento. • Los hepatocitos forman lóbulos clásicos hexagonales cuyas fronteras en el hígado humano solo se pueden aproximar. • La región donde se unen tres lóbulos clásicos se conoce como área portal que alberga ramas delgadas de la arteria hepática, afluentes de la vena porta relativamente grande, conductos biliares interlobulares y vasos linfáticos. • Cada lóbulo tiene una sola vena central que recibe sangre de cada senoide de ese lóbulo. A medida que la vena central abandona el lóbulo, termina en la vena sublobular que eventualmente drena en la vena hepática.
  • 73.
    Al centro dellobulillo se aprecia la arteria clásica. Todos los cordones de hepatocitos tienen una distribución radial a partir de éste vaso. C.D. CONSTANZA M. SÁNCHEZ GUERRA
  • 74.
    • Hay tresconceptualizaciones básicas del lóbulo hepático. El lóbulo hepático clásico fue el primero en definirse histológicamente porque la disposición del tejido conectivo en el hígado de cerdo proporcionó un fundamento obvio. En este concepto, la sangre fluye desde la periferia hasta el centro del lóbulo hacia la vena central. La bilis, fabricada por células hepáticas, ingresa en pequeños espacios intercelulares, canalículos biliares, localizados entre los hepatocitos y fluye hacia la periferia del lóbulo hacia los conductos biliares interlobulillares de las áreas del portal. • Para ser coherente con los lóbulos de otras glándulas exocrinas, liberando bilis a un lumen central, el lóbulo portal se describió como la región triangular cuyo centro es el área del portal y cuya periferia está delimitada por líneas rectas imaginarias que conectan las tres venas centrales circundantes. • Una tercera conceptualización, conocida como acino hepático (acinos de Rappaport) se basa en el flujo sanguíneo. Se ve como tres regiones concéntricas pobremente definidas de parénquima hepático que rodea una arteria de distribución en el centro. La capa más externa, la zona 3, se extiende hasta la vena central y es la más pobre en oxígeno de las tres zonas. La región restante se divide por igual en dos zonas (1 y 2); la zona 1 es la más rica en oxígeno.
  • 75.
    Hepatocito • Se diceque las membranas plasmáticas de los hepatocitos tienen dos dominios, lateral y sinusoidal. • Los dominios laterales forman espacios intercelulares elaborados, de 1 a 2 μm de diámetro, canalículos biliares, que conducen la bilis entre los hepatocitos a la periferia de los lóbulos clásicos. • Los dominios sinusoidales de las membranas plasmáticas de hepatocitos también tienen microvellosidades, que se proyectan en el espacio de Disse. Se ha calculado que estas microvellosidades aumentan el área superficial del dominio sinusoidal en un factor de 6, facilitando el intercambio de material entre el hepatocito y el plasma en el espacio perisinusoidal. • Los hepatocitos tienen una abundancia de ribosomas libres, RER y aparato de Golgi. Cada celda alberga varios conjuntos de aparatos de Golgi, ubicados cerca de canalículos biliares. • Cada célula contiene hasta 2000 mitocondrias. Las células en la zona 3 del acino del hígado tienen casi el doble de mitocondrias, pero más pequeñas que las células del hígado en la zona 1 del acino del hígado. Las células hepáticas también tienen muchos endosomas, lisosomas y peroxisomas. • Las células en la zona 3 del acino del hígado tienen la dotación más rica de SER que aumenta en presencia de ciertos fármacos y toxinas porque la desintoxicación ocurre dentro de las cisternas de este orgánulo. • Los hepatocitos contienen cantidades variables de inclusiones en forma de gotas de lípidos y glucógeno. C.D. CONSTANZA M. SÁNCHEZ GUERRA
  • 76.
    C.D. CONSTANZA M.SÁNCHEZ GUERRA
  • 77.
  • 78.
    C.D. CONSTANZA M.SÁNCHEZ GUERRA
  • 79.
  • 80.
    • El páncreasproduce secreciones exocrinas y endocrinas. Los componentes endocrinos del páncreas, islotes de Langerhans, están dispersos entre los acinos secretores exocrinos. Los islotes tienen cinco tipos de células, células alfa (producir glucagón), células beta (producir insulina), células PP (producir polipéptido pancreático), células G (fabricación de gastrina) y células delta (fabricación de somatostatina). • El páncreas exocrino se compone de acinos cuyo lumen está ocupado por células centroacinares, el comienzo del sistema de conductos del páncreas. Las células acinares fabrican, almacenan y liberan enzimas digestivas: amilasa pancreática, lipasa pancreática, ribonucleasa, desoxirribonucleasa y proenzimas quimotripsinógeno, procarboxipeptidasa y elastasa. También fabrican el inhibidor de la tripsina, que protege a la célula de la activación intracelular de la tripsina. La liberación de las enzimas pancreáticas se efectúa por la colecistoquinina (pancreozima) de la hormona fabricada por las células DNES del intestino delgado, así como por la acetilcolina liberada por las fibras parasimpáticas posganglionares. • Las células centroacinares fabrican un tapón rico en bicarbonato, cuya liberación se efectúa mediante la hormona secretina, producida por las células DNES del intestino delgado y posiblemente en concierto con la acetilcolina. • Por lo tanto, las secreciones ricas en enzimas y pobres en enzimas se regulan por separado, y las dos secreciones pueden liberarse en momentos diferentes o de forma concomitante.
  • 81.
    C.D. CONSTANZA M.SÁNCHEZ GUERRA
  • 82.
  • 83.
  • 84.
    • La vesículaes un órgano pequeño, en forma de pera, situado en la cara inferior del hígado. • Mide 10 cm de largo y 4 cm de sección transversal. • Almacena 70 ml de bilis aproximadamente. • Se asemeja a un saco con una sola abertura. • La abertura se continua en el cuello con el conducto cístico. • En el cuello se encuentra la bolsa de Hartmann que es la región donde suelen alojarse los cálculos biliares. • El conducto se une al cónducto pancreático para liberar bilis al duodeno cuando es necesario. C.D. CONSTANZA M. SÁNCHEZ GUERRA
  • 85.
    C.D. CONSTANZA M.SÁNCHEZ GUERRA
  • 86.
    La vesícula biliarestá formada por cuatro capas: •Epitelio •Lámina propia •Músculo liso •Serosa/ Adventicia C.D. CONSTANZA M. SÁNCHEZ GUERRA
  • 87.
    Mucosa: Con muchos pliegues Epiteliosimple cilíndrico: Vacía: esta muy plegada y con crestas altas y paralelas Llena de bilis: el plegamiento se reduce y las crestas son cortas, volviéndose relativamente liso. Abundantes microvellosidades apicales cortas y poco desarrolladas. Complejos de unión apicales que unen células contiguas y forman una barrera. Concentraciones de mitocondrias en el citoplasma basal y apical. Pliegues laterales. ATPasas de Na en las membranas laterales y vesículas de secreción con contenido de glucoproteínas en el citoplasma apical. C.D. CONSTANZA M. SÁNCHEZ GUERRA
  • 88.
    • La luzde la vesícula esta revestida por un epitelio cilíndrico simple, compuesto por dos tipos de células: • Células claras (las más abundantes) • Células en cepillo (poco frecuentes)
  • 89.
    Lámina propia • Estaformada por un tejido conjuntivo laxo vascularizado, que posee abundantes fibras elásticas y de colágeno. • En el cuello tiene glándulas tubuloacinares simples que producen moco para lubricar este paso estrecho.
  • 90.
    Músculo Las fibras demúsculo liso están orientadas: •principalmente de forma oblicua •otras fibras están orientadas longitudinalmente. Serosa adventicia Es un tejido conectivo liso que cubre a la vesícula, excepto en la zona que está unida al hígado (zona del peritoneo) C.D. CONSTANZA M. SÁNCHEZ GUERRA
  • 91.
    C.D. CONSTANZA M.SÁNCHEZ GUERRA
  • 92.
  • 93.
    C.D. CONSTANZA M.SÁNCHEZ GUERRA
  • 95.
  • 96.
    C.D. CONSTANZA M.SÁNCHEZ GUERRA
  • 98.
    Intestino delgado • Porcióndel tubo digestivo donde ocurren los procesos finales de la digestión de los alimentos y de la absorción de los productos de la digestión. • Mide cerca de 6 mts. Lo que permite una acción prolongada de las enzimas digestivas. • Presenta 3 porciones: • Duodeno • Yeyuno • Ileón C.D. CONSTANZA M. SÁNCHEZ GUERRA
  • 100.
    Membrana mucosa delintestino delgado •Presenta una serie de pliegues de forma semilunar, circular o espiral, con dobleces de la mucosa y submucosa. •Vellosidades intestinales, son invaginaciones de la membrana mucosa. •Entre los puntos de inserción de las vellosidades se observan los orificios donde desembocan las glándulas intestinales o de Lieberkühn. Al día se renuevan aproximadamente 250 g de mucosa de intestino delgado, por desplazamiento de las células de la porción basal de las glándulas hacia las vellosidades.
  • 101.
    C.D. CONSTANZA M.SÁNCHEZ GUERRA
  • 102.
    Células absorbentes •Son columnares,prismáticas y se caracterizan por la presencia de una estriación longitudinal en su superficie apical (cutícula o chapa estriada) •Estas cutículas tienen una capa de millones de microvellosidades de ahí su importancia fisiológica por la gran superficie de contacto del intestino delgado con los alimentos y en especial porque es el lugar de actividad de las disacaridasas. (hidrolizan los disacáridos y monosacáridos para ser fácilmente absorbidos).
  • 103.
    Células caliciformes •Están entrelas células absorbentes en menos número, producen glucoproteínas ácidas, cuya principal función es lubricar la luz intestinal. C.D. CONSTANZA M. SÁNCHEZ GUERRA
  • 104.
    Células argirófilas •Más frecuentesen la porción basal de las glándulas intestinales. •Liberan 5-hidroxitriptamina, la cual estimula activamente la capa muscular del intestino, actuando así sobre la motilidad del órgano. C.D. CONSTANZA M. SÁNCHEZ GUERRA
  • 105.
    Células de Paneth •Localizadasen la porción basal de las glándulas intestinales. •Son células exocrinas seromucosas, sintetiza proteínas
  • 107.
    Vasos y nervios Losvasos sanguíneos que nutren el intestino y extraen los productos de la digestión atraviesan la capa muscular y forman un gran plexo en la submucosa, después las ramas se extienden a través de la muscular de la mucosa, la lámina propia y penetra en las vellosidades. la inervación de los intestinos presenta dos componentes: ❏Intrínseco. ❏Extrínseco. Tomado de presentación de Lorena Cancino, Milena Aslec, Nohemi Romero y Marco López.
  • 108.
    Yeyuno normal Tumor carcinoide C.D.CONSTANZA M. SÁNCHEZ GUERRA
  • 109.
  • 110.
    Apéndice • Es unainvaginación del ciego, en fondo de saco se caracteriza por presentar luz estrecha e irregular por la gran cantidad de nódulos linfáticos que hay en la pared del órgano. • Su estructura es semejante a la del intestino grueso pero sus fibras no forman tenias. C.D. CONSTANZA M. SÁNCHEZ GUERRA
  • 111.
    Se puede inflamare infectar frecuentemente produciéndose una apendicitis y si revienta se produce una septicemia. C.D. CONSTANZA M. SÁNCHEZ GUERRA
  • 112.
  • 113.
    Intestino grueso •Está subdivididoen: •ciego •colon ascendente, transverso, descendente y sigmoide •recto •conducto anal •apéndice. •En él se absorbe el agua y sales inorgánicas. C.D. CONSTANZA M. SÁNCHEZ GUERRA
  • 114.
  • 115.
    Intestino grueso • Presentamembrana lisa sin pliegues, excepto en la porción rectal y final. • El epitelio de revestimiento es de tipo columnar prismático y también una pequeña región cuticular. • Sus funciones principales son: la absorción de agua la formación del bolo fecal la producción de moco para la lubricación de la superficie mucosa. • Presenta 3 haces gruesos de fibras llamadas tenias del colon. C.D. CONSTANZA M. SÁNCHEZ GUERRA
  • 117.
    • Se observapliegues apreciables a simple vista y corresponden a engrosamientos de la submucosa. • Las criptas son más profundas que en el intestino delgado.
  • 118.
    C.D. CONSTANZA M.SÁNCHEZ GUERRA
  • 119.
    • Criptas delintestino grueso. • Muchas células caliciformes. • No hay células de absorción
  • 120.
    • Conglomerados linfoides situadosen la porción más superficial de la mucosa. Muestran continuación hacia la lámina propia atravesando a la muscular de la mucosa. C.D. CONSTANZA M. SÁNCHEZ GUERRA
  • 121.
    Ano y Recto C.D.CONSTANZA M. SÁNCHEZ GUERRA
  • 122.
    •En la regiónanal , la membrana mucosa presenta una serie de pliegues longitudinales, las columnas rectales o columnas de Morgagni. •En esta región la lámina propia presenta un rico plexo venoso, cuyas venas cuando se encuentran muy dilatadas y varicosas dan origen a las hemorroides. C.D. CONSTANZA M. SÁNCHEZ GUERRA
  • 123.
    C.D. CONSTANZA M.SÁNCHEZ GUERRA
  • 124.
    C.D. CONSTANZA M.SÁNCHEZ GUERRA
  • 125.
    C.D. CONSTANZA M.SÁNCHEZ GUERRA
  • 126.
  • 127.
    Cáncer de recto C.D.CONSTANZA M. SÁNCHEZ GUERRA