Facultad de Medicina
Objetivos  Aprovechar el crecimiento del niño para enderezar el esqueleto. Orientar el tx. Crear condiciones para que los enfermos entiendan lo que pueden hacer por su sistema locomotor.
Puntos críticos. Son 5 estructuras anatómicas en que ocurre la mayor parte de los cambios posturales. Columna vertebral. Cuello femoral. Rodilla. Tibia. Pie.
Columna vertebral en postura. Es la representación de la postura vertical humana. La columna no es recta. La bipedestación exige tres curvaturas.
Lordosis cervical Encargada de que la cabeza mantenga su postura cervical. Angulo de 25° o 30°. Puede sufrir rectificación.(cervicalgía). Debido al efecto latigazo. Discartrosis.
 
 
 
 
 
 
 
 
Definiciones, generalidades, conceptos básicos en ortopedia y traumatología Cap 1
Ortopedia Rama de la medicina que se ocupa de las enfermedades del aparato locomotor. Orthos = recto Paidos = niño. Traumatología Lesiones provocadas por noxas físicas. Trauma= herida. Logos = tratado. Árbol de Andry, símbolo de la  Ortopedia y Traumatología
Fractura Ósea Solución de continuidad de un hueso. Fisura “fractura sin trascendencia”. Cerradas o expuestas. Con o son desplazamiento Según la localización. Según la dirección del trazo. Según el numero de fragmentos.
Glosario Anquilosis . Perdida de la movilidad articular. Fibrosa Ósea. Artrodesis. Intervención Qx. Que tiene por objeto provocar la anquilosis ósea. Artroplastia. Intervención Qx. que tiene por objeto proporcionar movilidad a una articulación dañada.
Coxa anteversa Aumento del ángulo de declinación del cuello femoral. Coxa valga Disminución del ángulo de inclinación de la cadera. (138º) Coxa vara Opuesto a lo anterior.
Esguince Perdida de las relaciones anatómicas de las superficies articulares enfrentadas, en forma transitoria. Genu valgo Rodillas juntas, tobillos separados (piernas hacia fuera) Genu varo Opuesto a lo anterior
Luxación Perdida de las relaciones anatómicas de las superficies articulares enfrentadas, en forma permanente (hasta que se realice su reducción) Retardo de la consolidación Cuando se prolonga el plazo de consolidación de una fractura, estimado como tiempo promedio. Seudoartrosis Falta de consolidación ósea de una fractura o de una artrodesis. Atrófica Hipertrófica (en pata de elefante)
Biología del Tejido óseo Cap 2
El hueso es un tejido de sostén altamente especializado, que se caracteriza por su rigidez y dureza. Sus cuatro funciones principales son: Proporciona un sostén mecánico (las costillas).  Permitir la locomoción (los huesos largos).  Proporcionar protección (el cráneo).  Actuar como almacén metabólico de sales minerales
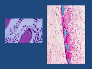
La mayoría de los huesos tienen una estructura básica formada por: Una zona externa  cortical  o  compacta.  Una zona interna  trabecular  o  esponjosa
 
 
Tipos de tejido óseo: - Hueso esponjoso : está formado por espacios vacíos o tabiques es un tejido reticular, tiene forma de red y entre las cavidades se encuentra la medula ósea y esta recubierta por un tejido compacto  - Hueso compacto : Sus componentes están muy fusionados y es lo que le da el aspecto duro y uniforme al hueso
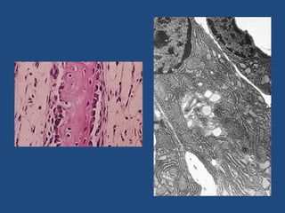
Hueso compacto Su matriz ósea mineralizada esta depositada en laminillas, entre estas se ubican las lagunas con los osteocitos  Las laminillas se disponen de 3 formas:  1.- Concéntricamente alrededor de un canal longitudinal vascular (llamado conducto de Havers)  2.- Líneas de cemento (capa de matriz ósea pobres en fibras colágeno que no son atravesados por estos canalículos
 
 
3.- Laminillas circunferenciales externas e internas (paralelas a la superficie). Los canales haversianos comunican entre si con la superficie o la cavidad medular por canales transversales u oblicuos llamados canales de Volkman que poseen vasos que vienen del periostio y del endostio
 
Hueso esponjoso - Posee una red de espículas ramificadas o trabéculas que limitan espacios ocupados por médula ósea - Se ubica en el interior de las epifisis de los huesos largos y huesos planos del cráneo
 
 
 
Matriz ósea: Representa el conjunto de la sustancia intersticial intercelular que compone el tejido óseo: Matriz orgánica  compuesta por fibras de colágeno en su mayoría de tipo I (resistencia y elasticidad) Componentes minerales inorgánicos  (65% del peso seco del hueso) en su mayoría Calcio y en menor proporción Fósforo (dureza del hueso)
Sustancia fundamental: Representa una pequeña fracción de la matriz orgánica del hueso  Glucosaminoglicanos identificados en extractos de hueso: condroitín-sulfato + queratán-sulfato + ácido hialurónico
Colágeno: Constituye aproximadamente el 90% de la matriz orgánica.  Predomina el colágeno tipo I las fibras, en el hueso laminar maduro, presentan una disposición muy ordenada
 
Sales minerales inorgánicas: Las más abundantes son fosfato de calcio amorfo y cristales de hidróxidos de calcio y de fosfato llamados hidroxiapatita
Hidroxiapatita Ca 10  (PO 4 ) 6   (OH) 2 Mg +2   CO 3 -2   CO 3 Sr +2   HPO 4 -2   F - Na + K +
 
Las células que intervienen en la producción, el mantenimiento y el modelado del hueso son las siguientes: Células osteoprogenitoras  Osteoblastos  Osteocitos  Osteoclastos
Células osteoprogenitoras: -  Células alargadas con citoplasma poco prominente, que proceden de las células mesenquimáticas primitivas  - Cuentan con potencial para diferenciarse hacia condroblastos u osteoblastos - Estas células se encuentran en las superficies externas e internas de los huesos (células periósticas y células endósticas)
 
Osteoblastos: - Son células polihédricas con largas y delgadas prolongaciones citoplasmáticas que son rodeadas por el osteoide producido - Es una célula diferenciada formadora de hueso que secreta la matriz ósea  - Estas secretan el colágeno y la sustancia fundamental que constituyen el hueso inicial no mineralizado u  osteoide
 
 
Osteocitos: - El osteocito es la  célula ósea madura , es de forma aplanada como semilla de calabaza  - Son capaces de sintetizar y de reabsorber, en forma limitada, la matriz ósea ("osteolisis osteocítica")  - Tienen tres estados funcionales: Osteocitos latentes, osteocitos formativos, osteocitos resortivos (osteolisis osteocitica)
 
 
 
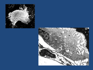
Osteoclasto: - Célula multinucleada de gran tamaño, cuya función es de resorción ósea  - Los osteclastos están adheridos a la superficie ósea en los lugares de resorcion ósea activa (laguna de resorción o de Howship) - Los osteoclastos reabsorben las trabéculas, van formando tejido óseo a manera de laminillas y se dispone la médula ósea definitiva
 
 
 
- Los osteoclastos reabsorben el hueso en dos fases, primero solubilizan el mineral y luego digieren la matriz orgánica.  - El mineral se solubiliza acidificando el microambiente creado entre la matriz ósea y la membrana fruncida del osteoclasto.  - La acidificación (pH=4) se logra bombeando hacia el hueso los iones H + .
 
 
Crecimiento en longitud: - El cartílago hialino normal experimenta un proceso de multiplicación celular formando columnas paralelas de células aplanadas en el sentido longitudinal del hueso
- A continuación los condrocitos aumentan notablemente su tamaño, acumulando glicógeno y grasa  - La matriz cartilaginosa queda reducida a tabiques delgados  - Posteriormente ocurre la calcificación de la matriz cartilaginosa
La matriz calcificada es penetrada por vasos sanguíneos que provienen desde el canal medular y que se acompañan de osteoblastos los cuales se adosan a la superficie de la matriz cartilaginosa calcificada y sintetizan y secretan la matriz ósea orgánica
Las espículas óseas con base cartilaginosa pueden fusionarse con el hueso cortical y posteriormente experimentar remodelación ósea interna, formándose sistemas de Havers
 
 
 
 
 
 
Crecimiento en grosor: Ocurre a partir de las células presentes en la capa interna del periostio en la cual existen células osteoprogenitoras (osteoblastos), se disponen en la superficie externa del hueso y sintetizan matriz ósea orgánica
Los osteblastos atrapados pasan a formar los osteocitos del nuevo tejido óseo. Mientras ocurre el crecimiento en grosor no se observa el sistema laminillar subperióstico
Hormones Peptide Calcitonin  Osteoclast  Formation; resorption Parathyroid  Osteoblast  Formation; resorption CGRP  Osteoblast  Formation; resorption Steroid Vitamin A  Osteoblast  Differentiation Vitamin D  Osteoblast; osteoclast  Differentiation; protein synthesis;  Mineral homeostasis Estrogen  Osteoblast; osteoclast  Formation; resorption Testosterone  Osteoblast  Formation Thyroid  Osteoblast  Resorption Glucocorticoid  Osteoblast  Differentiation; resorption;    protein synthesis
REGULACIÓN HORMONAL DEL METABOLISMO FOSFO-CALCIO La regulación hormonal del metabolismo fosfocálcico se realiza mediante:  - Tres hormonas principales: parathormona, 1-25 OH colecalciferol (metabolito activo de la vitamina D3) y en menor medida la tirocalcitonina.  - Cuatro hormonas accesorias: hormona del crecimiento, tiroxina, glucocorticoides y esteroides sexuales
Parathormona: La secreción de PTH está controlada por la concentración sérica del calcio ionizado (Ca++) son inversamente proporcionales Aumenta la actividad de los osteoclastos por acción directa y en menor medida, de forma indirecta  Su efecto neto es aumentar la liberación de calcio y fosfato a la sangre (líquido extracelular)
Aumento de la osteolisis y la disminución de la actividad osteoblástica, después de la formación del osteoclasto: dando lugar a hipercalcemia e hipercalciuria. La acción está diminuida en caso de carencia de vitamina D
 
Vitamina D: Aumenta la absorción intestinal de calcio y del fósforo A nivel del hueso normal el 1-25 dihidrocolecalciferol estimula la reabsorción ósea; produce hipercalcemia por acción directa y por intermedio de la PTH
 
La Tirocalcitonina: - A nivel del hueso actúa disminuyendo la reabsorción osteoclástica. Disminuye la síntesis de los osteoclastos a partir de sus precursores y facilita la transformación de los osteoclastos en osteoblastos. Tienen por tanto un efecto inverso a la parathormona (es estimulada por la hipercalcemia e inhibida por la hipocalcemia) - Además bloquea la osteolisis inducida por la parathormona, pero sin inhibirse sus otras acciones óseas
Las Hormonas Tiroideas:   - Disminuyen la absorción intestinal y la reabsorción tubular del calcio - Aumentan la reabsorción ósea - Son hipercalcemiantes
Los Estrógenos: - Aumentan la resistencia a la reabsorción de hueso mediada por PTH  - Los osteoblastos tienen receptores para estrógeno y no los osteoclastos
Los Esteroides Córtico-Suprarrenales: - Disminuyen la absorción intestinal y la reabsorción tubular del calcio.  - Aumentan la reabsorción ósea y disminuyen la actividad de los osteoblastos.  - Aumentan la absorción intestinal y la reabsorción tubular del calcio y del fósforo
La Hormona del Crecimiento:   - Aumenta la absorción intestinal y la reabsorción tubular del calcio y del fósforo.  - Activa la formación del hueso.
Bifosfonatos : - Actuan químicamente sobre los cristales del hueso impidiendo el acceso de los osteoclastos y así no reabsorben los cristales de hueso - Además tendría un efecto directo sobre los osteoclastos disminuyendo su número y actividad
 
Dx por imágenes Cap 3
DIAGNÓSTICO POR IMÁGENES Rx  -> Wilhelm C. Roentgen 1895 RADIOLOGÍA Son ondas electromagnéticas de longitud muy corta.  Capitulo 3
DIAGNÓSTICO POR IMÁGENES Propiedades de Rx: Atraviesan casi todos los objetos Actúan sobre las sales de plata de una película radiográfica sensible Generan luz al incidir sobre sustancias fluorescentes Capitulo 3 Radiología  A mayor densidad, los tejidos absorben mas radiación y son mas opacos a los Rx
DIAGNÓSTICO POR IMÁGENES Escala: Capitulo 3 Radiología
DIAGNÓSTICO POR IMÁGENES Medios de contraste que se utilizan: Sulfato de bario  Yodo Aire Capitulo 3 Radiología
DIAGNÓSTICO POR IMÁGENES Rx generan luz al incidir sobre sustancias fluorescentes. Fluoroscopia  Tienen efecto biológico  -> radioterapia Capitulo 3 Radiología
DIAGNÓSTICO POR IMÁGENES Rx se generan y desaparecen instantáneamente. REGISTROS En películas radiográficas de diferentes tamaños 18x24 24x30 35x43  Capitulo 3 Radiología
DIAGNÓSTICO POR IMÁGENES INDICACIONES Estudio de las enfermedades oseas y articulaciones Examen contrastado de algunas articulaciones Monitorización para la reduccion de fx y luxaciones Control intraoperatorio de diversas lesiones Localización de cuerpos extraños radiopacos Estudio de tumoraciones de partes blandas Guía para la biopsia osea Capitulo 3 Radiología
DIAGNÓSTICO POR IMÁGENES Estudio de los vasos y de los tejidos que irrigan mediante inyección IV de contraste. Capitulo 3 Angiografía digital y convencional Técnica Seldinger Disección vascular
DIAGNÓSTICO POR IMÁGENES Método radiológico  Capitulo 3 Tomografía computarizada
DIAGNÓSTICO POR IMÁGENES Características:  Muestra secciones del cuerpo Gran resolución anatómica que permite diferencias estructuras de densidad parecida.  Capitulo 3 Tomografía computarizada
DIAGNÓSTICO POR IMÁGENES REGISTROS: Multiimagenes en pelicula con emulsion de un solo lado.  INDICACIONES: Patología ósea del raquis Hernia discal Tumores óseos y lesiones seudotumorales Tumores de partes blandas Infecciones óseas Capitulo 3 Tomografía computarizada
DIAGNÓSTICO POR IMÁGENES Necrosis ósea Traumatismos de escapula y pelvis Evaluación de Fx complejas Guía para la biopsia percutánea Guía para el drenaje percutáneo de abscesos Búsqueda de metástasis en tumores musculoesqueléticos Evaluación posquirúrgica  Capitulo 3 Tomografía computarizada
DIAGNÓSTICO POR IMÁGENES Incorporación en el organismo de sustancias radiactivas de vida media corta Se fijan en diferentes tejidos Irradiación es captada por una cámara Capitulo 3 Gammagrafía
DIAGNÓSTICO POR IMÁGENES Sustancias radiactivas (radioisótopos) Tecnecio-99m  -> hueso Galio-67 -> infecciones  Capitulo 3 Gammagrafía
DIAGNÓSTICO POR IMÁGENES REGISTROS Multiimagenes en película con emulsión de un solo lado INDICACIONES Detección de metástasis óseas Evaluación de tumores oseos primarios Diagnóstico de osteomielitis y artritis Detección de algunas Fx Evaluación de enfermedades metabólicas Diagnostico de necrosis ósea isquémica Capitulo 3 Gammagrafía
DIAGNÓSTICO POR IMÁGENES La energía utilizada es el US y se estudia la impedancia acústica tisular. Se aplica mediante transductor Capitulo 3 Ecografía o ultrasonografía
DIAGNÓSTICO POR IMÁGENES El US atraviesa con facilidad estructuras liquidas; no atraviesa el aire ni el hueso.  REGISTROS Multiimagenes en película con emulsión de un solo lado. Capitulo 3 Ecografía o ultrasonografía
DIAGNÓSTICO POR IMÁGENES INDICACIONES Control de las caderas del RN Lesiones traumáticas de partes blandas Control intraoperatorio de tumores del conducto raquideo Estudio de tumoraciones de partes blandas Guia para la biopsia percutanea Guia para el drenaje percutaneo de abscesos Control en la elongacion de miembros Dx intrauterino de malformaciones congenitas Capitulo 3 Ecografía o ultrasonografía
DIAGNÓSTICO POR IMÁGENES Detectan la energía emitida por los átomos de hidrogeno del cuerpo humano cuando son sometidos a la acción de un campo magnético de alta intensidad y a ondas de radiofrecuencia.  Capitulo 3 Resonancia magnética
DIAGNÓSTICO POR IMÁGENES INDICACIONES Lesiones de medula espinal Hernias discales Anomalías congénitas del raquis que comprometen el conducto raquídeo Tumores óseos y de partes blandas Enfermedades de la medula osea Necrosis avascular Rupturas musculares, tendinosas, ligamentarias y meniscales.  Infecciones o inflamaciones oseas, articulares y partes blandas.  Capitulo 3 Resonancia magnética
DIAGNÓSTICO POR IMÁGENES Utilizan algún método del diagnostico por imágenes para orientar la introducción de agujas, catéteres, guías u otros elementos dentro del organismo Capitulo 3 Radiología intervencionista
 
¿QUE ES LA ARTROSCOPIA? La artroscopia es una técnica quirúrgica que permite al cirujano ortopédico diagnosticar y tratar diferentes alteraciones que puedan darse en una articulación del cuerpo (rodilla, hombro, tobillo,…).
HISTORIA DE LA ARTROSCOPIA La artroscopia nace de la curiosidad por inspeccionar cavidades del cuerpo humano 1806. Phillip Bozzini. Espéculo con tubos de plata cuya luz provenía de una vela de cera de abejas. Utilizado en nasofaringe, canal anal, recto, vagina, vejiga...
1826. Pierre Ségalas. La fuente de luz eran luciérnagas. 1853. Desormeaux. Utilizaba una lámpara que quemaba una mezcla de alcohol y trementina, el sistema óptico incluía tubos de plata, espejos y lentes.
1867. Bruck. Desarrolló un filamento de platino conectado a una bateria y enfriándolo con un flujo de agua  1879. Citoscopio de Nitze-Leiter. Consistía en un filamento eléctrico cubierto por una ventana con cristal de roca, iluminando la vejiga, la cual se podía ver a través de las lentes.
En 1918, Kenji Takagi consigue visualizar por primera vez en la historia el interior de una rodilla de cadáver humano. En Europa, también se comienza a desarrollar esta técnica, utilizando el laparoscopio de Jacobaeus (1919) por el cirujano suizo Bircher. Y en Estados Unidos, en 1925, se publica el primer documento sobre artroscopia. Estas tres escuelas continúan desarrollándose, viendo interrumpida su labor por la Segunda Guerra Mundial.
ELEMENTOS DE UN ARTROSCOPIO LENTE FUENTE DE LUZ IRRIGACION Instrumental basico Instrumental especializado para diversos procedimientos
APLICACIONES ANATOMICAS HOMBRO CODO CADERA RODILLA TOBILLO MUÑECA PEQUEÑAS ARTICULACIONES COLUMNA
LENTE
CAMARA
TROCAR
FUENTE DE LUZ
INSTRUMENTAL BASICO
HOMBRO
 
 
 
APLICACIONES CLINICAS LUXACIONES RECIDIVANTES SINOVECTOMIAS LESIONES TENDINOSAS ACROMIOPLASTIAS DIAGNOSTICAS
CODO
Semiológia de la columna vertebral Cap 5
Semiología de la columna vertebral Interrogatorio Examen físico Estudios por imágenes Exámenes de laboratorio Estudios anatomopatológicos.
Interrogatorio Es el tiempo principal del Dx. Deben precisarse el momento y las circunstancias de aparición de los síntomas, su evolución Y Tx efectuados. 1. Dolor 2. Deformación (alteración en la forma del tronco) Alteración de los ejes. - Plano frontal. Escoliosis. - Plano sagital. Cifosis, lordosis. Alteración del volumen. - Proceso neoplásico o inflamatorio.
3. Alteraciones motoras. Parálisis Paresias 4. Alteraciones sensitivas. Anestesia Parestesia. Disestesias.
Examen físico Con el paciente el posición de pie. INSPECCION Debe observarse por detrás, de costado y por delante. Nivel de los hombros y de las escápulas Verificar si existe simetría o deformación del tronco. Observar postura del paciente y su corrección voluntaria. Simetria de las caderas.
Importante comparar el triangulo del talle a cada lado del tronco. Curvas en plano sagital. PALPACIÓN De apófisis espinosas (línea recta). Masas musculares paravertebrales. Contracturas Puntos dolorosos. Tumoraciones.
En región cervical debe extenderse a todo el cuello y regiones supraclaviculares. Palpación del abdomen. Procesos retroperitoneales. Aneurisma de la aorta abdominal Tumores en la cavidad abdominal Procesos tumorales. Causa de dolores  Propagados a la región Lumbar.
PERCUSIÓN Despierta dolor en la zona donde hay un proceso inflamatorio o neoplásico. MOVILIDAD En región cervical: Mov. de flexoextensión. rotación. literalidad.
En región lumbar: Flexión. Extensión. Inclinaciones laterales. Torsión. MARCHA Alteraciones en la marcha. Diferencia de longitud de los miembros inf. Parálisis de grupos musculares. Rigidez articular de la cadera y de la rodilla. En contractura muscular: MOVILIDAD DISMINUIDA.
Con el paciente en decúbito supino Medición de los miembros inferiores. Distancia entre la espina iliaca anterosuperior y el maléolo tibial. Examen neurológico básico. Reflejos osteotendinosos. Cutaneoabdominales Sensibilidad y fuerza muscular. Pulsos periféricos
Estudios complementarios Rx simple Tomografía lineal. Centellografia. Tomografía computarizada. RM.
Rx simple Muestra detalles óseos de los distintos componentes vertebrales. Columna vertebral. AP  Lateral. otras: Posicion de Ferguson.
Tomografía lineal Permite poner de manifiesto lesiones osteolitícas que a veces quedan enmascaradas por el tejido óseo sano que se interpone en la dirección del rayo.
Centellografía  Permite mediante la captación del radiofármaco, descubrir alteraciones localizadas de la: Irrigación sanguínea (procesos inflamatorios). De la multiplicación celular (neoplasias)
Tomografía computarizada Puede hacerse con o sin medio de contraste. Permite visualizar los discos intervertebrales y el contenido del conducto raquídeo. Pueden evaluarse las dimensiones de este y diagnosticar la estenosis raquídea.
RM Mayor precisión. Se puede distinguir con claridad las partes blandas intrarraquídeas: Medula espinal. LCR. Raíces nerviosas. Alteraciones fisicoquímicas de l disco intervertebral.
Exámenes de laboratorio Análisis de rutina. Reumatograma. Referentes al metabolismo fosfocálcico.
Examen anatomopatológico Biopsia. Punción: Trocar Aspiración Actualmente se llega a la zona referida con mucha precisión mediante la tomografía computarizada.
 
ESCOLIOSIS Desviación lateral del raquis con rotación de las vértebras en forma permanente 2 tipos: Estructural Alteraciones en vértebras, ligamentos, músculos Funcional Desviación del eje de la columna, postura, diferencia de longitud, etc
Escoliosis idiopática Causa desconocida 85% frecuencia Predisposición hereditaria Sexo femenino predominante 6:1 Adolescencia
Escoliosis congénita Malformaciones vertebrales Formación: Hemivértebra Vértebra en cuña Segmentación: Sinostosis intervertrebrales
Escoliosis neuromusculares Neuropáticas Alteración de la neurona motora superior Alteración de la neurona motora inferior Miopáticas Distrofia muscular
Neurofibromatosis o enfermedad de von Recklinghausen Presencia de manchas y tumores cutáneos y nerviosos Alteración ósea fibromatosa que debilita las vértebras Deformaciones raquídeas importantes
Escoliosis poco frecuentes Trastornos mesenquimáticos  Enfermedad reumatoidea Traumática Contracturas vertebrales Infecciones Trastornos metabólicos
Patogenia Curva primaria o mayor Curvas secundarias o menores (eje de gravedad) Rotación de las vértebras de la curva Arrastre hacia atrás de las costillas Giba costal Vértebra ápice Vértebras límite (superior e inferior)
PATOGENIA Vértebra ápice -> gran acuñamiento Hemitórax convexo disminuye de tamaño Pulmón colapsa-> alteración de la fx respiratoria HTA en el circuito menor con ICD
CUADRO CLÍNICO Gralmt. Asintomático Consulta por asimetría Estadios avanzados dolor: Artorisis establecida Trastornos cardiorespiratorios Neurologicos RX simple (estudio complementario)
EXAMÉN FÍSICO Asimetría y alteraciones cutáneas Diferencia:  Altura hombros Escápulas Líneas de apófisis espinosas Triángulos del talle Caderas  Línea de la plomada: Escoliosis compensada Escoliosis descompensada
Medición de la curva por el método de Cobb Según la localización de la curva mayor existen 4 patrones: VA= vértebra ápice Curva torácica: VA T7 Curva toracolumbar: VA T12 Curva lumbar: VA L3 Doble curva: > torácica y > lumbar
 
Sx de Risser  Núcleo de osificación aparece de las crestas íliacas hacia el sacro Evaluar la progresión de la curva escoliótica que se detiene al completarse la madurez esquelética
Escoliosis en el adulto Padecen 2 síntomas principales: Síndrome funcional respiratorio En curvas torácicas graves. Con detrimento de la capacidad vital. Alteraciones cardiacas. Pueden llevar a la muerte. Síndrome doloroso. En curvas lumbares por artrosis discal e interfacetaria.
Tratamiento Tx de la escoliosis idiopática (EI). Factores que determinaran la conducta terapéutica: Patrón de la curva. Edad del paciente. Magnitud de la deformidad. Potencial de crecimiento Magnitud  de la giba Balance del tronco.
Opciones terapéuticas: Ejercicios. Terapia física. Estimulación eléctrica. Ortesis. Cx. (vías ant., post., y combinadas)
Objetivos de tratamiento No Qx. Controlar la curva. Prevención de la progresión. Prevención de una futura cirugía. Mejorar cosmesis.
Indicaciones de la Ortesis (corsé) Chicos inmaduros esqueléticamente (Risser 3 o <). Curvas de 25 º o mas en progresión. Curvas de mas de  30- 40 º.
Mas utilizados: corsé Milwaukee. Para curvas altas > T8. corsés tipo TLSO. Para curvas toracolumbares o lumbares. Corsés dinámicos El paciente deberá usarlo  No menos de 18 hrs. TLSO Dinámico
Cirugía Curvas con valores angulares > de 45º. Curvas progresivas. Curvas dolorosas. Objetivos: Columna balanceada. Hombros, pelvis y escápulas balanceadas. Fusión sólida y estable.

Cap 1 6

  • 1.
  • 2.
    Objetivos Aprovecharel crecimiento del niño para enderezar el esqueleto. Orientar el tx. Crear condiciones para que los enfermos entiendan lo que pueden hacer por su sistema locomotor.
  • 3.
    Puntos críticos. Son5 estructuras anatómicas en que ocurre la mayor parte de los cambios posturales. Columna vertebral. Cuello femoral. Rodilla. Tibia. Pie.
  • 4.
    Columna vertebral enpostura. Es la representación de la postura vertical humana. La columna no es recta. La bipedestación exige tres curvaturas.
  • 5.
    Lordosis cervical Encargadade que la cabeza mantenga su postura cervical. Angulo de 25° o 30°. Puede sufrir rectificación.(cervicalgía). Debido al efecto latigazo. Discartrosis.
  • 6.
  • 7.
  • 8.
  • 9.
  • 10.
  • 11.
  • 12.
  • 13.
  • 14.
    Definiciones, generalidades, conceptosbásicos en ortopedia y traumatología Cap 1
  • 15.
    Ortopedia Rama dela medicina que se ocupa de las enfermedades del aparato locomotor. Orthos = recto Paidos = niño. Traumatología Lesiones provocadas por noxas físicas. Trauma= herida. Logos = tratado. Árbol de Andry, símbolo de la Ortopedia y Traumatología
  • 16.
    Fractura Ósea Soluciónde continuidad de un hueso. Fisura “fractura sin trascendencia”. Cerradas o expuestas. Con o son desplazamiento Según la localización. Según la dirección del trazo. Según el numero de fragmentos.
  • 17.
    Glosario Anquilosis .Perdida de la movilidad articular. Fibrosa Ósea. Artrodesis. Intervención Qx. Que tiene por objeto provocar la anquilosis ósea. Artroplastia. Intervención Qx. que tiene por objeto proporcionar movilidad a una articulación dañada.
  • 18.
    Coxa anteversa Aumentodel ángulo de declinación del cuello femoral. Coxa valga Disminución del ángulo de inclinación de la cadera. (138º) Coxa vara Opuesto a lo anterior.
  • 19.
    Esguince Perdida delas relaciones anatómicas de las superficies articulares enfrentadas, en forma transitoria. Genu valgo Rodillas juntas, tobillos separados (piernas hacia fuera) Genu varo Opuesto a lo anterior
  • 20.
    Luxación Perdida delas relaciones anatómicas de las superficies articulares enfrentadas, en forma permanente (hasta que se realice su reducción) Retardo de la consolidación Cuando se prolonga el plazo de consolidación de una fractura, estimado como tiempo promedio. Seudoartrosis Falta de consolidación ósea de una fractura o de una artrodesis. Atrófica Hipertrófica (en pata de elefante)
  • 21.
  • 22.
    El hueso esun tejido de sostén altamente especializado, que se caracteriza por su rigidez y dureza. Sus cuatro funciones principales son: Proporciona un sostén mecánico (las costillas). Permitir la locomoción (los huesos largos). Proporcionar protección (el cráneo). Actuar como almacén metabólico de sales minerales
  • 23.
    La mayoría delos huesos tienen una estructura básica formada por: Una zona externa cortical o compacta. Una zona interna trabecular o esponjosa
  • 24.
  • 25.
  • 26.
    Tipos de tejidoóseo: - Hueso esponjoso : está formado por espacios vacíos o tabiques es un tejido reticular, tiene forma de red y entre las cavidades se encuentra la medula ósea y esta recubierta por un tejido compacto - Hueso compacto : Sus componentes están muy fusionados y es lo que le da el aspecto duro y uniforme al hueso
  • 27.
    Hueso compacto Sumatriz ósea mineralizada esta depositada en laminillas, entre estas se ubican las lagunas con los osteocitos Las laminillas se disponen de 3 formas: 1.- Concéntricamente alrededor de un canal longitudinal vascular (llamado conducto de Havers) 2.- Líneas de cemento (capa de matriz ósea pobres en fibras colágeno que no son atravesados por estos canalículos
  • 28.
  • 29.
  • 30.
    3.- Laminillas circunferencialesexternas e internas (paralelas a la superficie). Los canales haversianos comunican entre si con la superficie o la cavidad medular por canales transversales u oblicuos llamados canales de Volkman que poseen vasos que vienen del periostio y del endostio
  • 31.
  • 32.
    Hueso esponjoso -Posee una red de espículas ramificadas o trabéculas que limitan espacios ocupados por médula ósea - Se ubica en el interior de las epifisis de los huesos largos y huesos planos del cráneo
  • 33.
  • 34.
  • 35.
  • 36.
    Matriz ósea: Representael conjunto de la sustancia intersticial intercelular que compone el tejido óseo: Matriz orgánica compuesta por fibras de colágeno en su mayoría de tipo I (resistencia y elasticidad) Componentes minerales inorgánicos (65% del peso seco del hueso) en su mayoría Calcio y en menor proporción Fósforo (dureza del hueso)
  • 37.
    Sustancia fundamental: Representauna pequeña fracción de la matriz orgánica del hueso Glucosaminoglicanos identificados en extractos de hueso: condroitín-sulfato + queratán-sulfato + ácido hialurónico
  • 38.
    Colágeno: Constituye aproximadamenteel 90% de la matriz orgánica. Predomina el colágeno tipo I las fibras, en el hueso laminar maduro, presentan una disposición muy ordenada
  • 39.
  • 40.
    Sales minerales inorgánicas:Las más abundantes son fosfato de calcio amorfo y cristales de hidróxidos de calcio y de fosfato llamados hidroxiapatita
  • 41.
    Hidroxiapatita Ca 10 (PO 4 ) 6 (OH) 2 Mg +2 CO 3 -2 CO 3 Sr +2 HPO 4 -2 F - Na + K +
  • 42.
  • 43.
    Las células queintervienen en la producción, el mantenimiento y el modelado del hueso son las siguientes: Células osteoprogenitoras Osteoblastos Osteocitos Osteoclastos
  • 44.
    Células osteoprogenitoras: - Células alargadas con citoplasma poco prominente, que proceden de las células mesenquimáticas primitivas - Cuentan con potencial para diferenciarse hacia condroblastos u osteoblastos - Estas células se encuentran en las superficies externas e internas de los huesos (células periósticas y células endósticas)
  • 45.
  • 46.
    Osteoblastos: - Soncélulas polihédricas con largas y delgadas prolongaciones citoplasmáticas que son rodeadas por el osteoide producido - Es una célula diferenciada formadora de hueso que secreta la matriz ósea - Estas secretan el colágeno y la sustancia fundamental que constituyen el hueso inicial no mineralizado u osteoide
  • 47.
  • 48.
  • 49.
    Osteocitos: - Elosteocito es la célula ósea madura , es de forma aplanada como semilla de calabaza - Son capaces de sintetizar y de reabsorber, en forma limitada, la matriz ósea (&quot;osteolisis osteocítica&quot;) - Tienen tres estados funcionales: Osteocitos latentes, osteocitos formativos, osteocitos resortivos (osteolisis osteocitica)
  • 50.
  • 51.
  • 52.
  • 53.
    Osteoclasto: - Célulamultinucleada de gran tamaño, cuya función es de resorción ósea - Los osteclastos están adheridos a la superficie ósea en los lugares de resorcion ósea activa (laguna de resorción o de Howship) - Los osteoclastos reabsorben las trabéculas, van formando tejido óseo a manera de laminillas y se dispone la médula ósea definitiva
  • 54.
  • 55.
  • 56.
  • 57.
    - Los osteoclastosreabsorben el hueso en dos fases, primero solubilizan el mineral y luego digieren la matriz orgánica. - El mineral se solubiliza acidificando el microambiente creado entre la matriz ósea y la membrana fruncida del osteoclasto. - La acidificación (pH=4) se logra bombeando hacia el hueso los iones H + .
  • 58.
  • 59.
  • 60.
    Crecimiento en longitud:- El cartílago hialino normal experimenta un proceso de multiplicación celular formando columnas paralelas de células aplanadas en el sentido longitudinal del hueso
  • 61.
    - A continuaciónlos condrocitos aumentan notablemente su tamaño, acumulando glicógeno y grasa - La matriz cartilaginosa queda reducida a tabiques delgados - Posteriormente ocurre la calcificación de la matriz cartilaginosa
  • 62.
    La matriz calcificadaes penetrada por vasos sanguíneos que provienen desde el canal medular y que se acompañan de osteoblastos los cuales se adosan a la superficie de la matriz cartilaginosa calcificada y sintetizan y secretan la matriz ósea orgánica
  • 63.
    Las espículas óseascon base cartilaginosa pueden fusionarse con el hueso cortical y posteriormente experimentar remodelación ósea interna, formándose sistemas de Havers
  • 64.
  • 65.
  • 66.
  • 67.
  • 68.
  • 69.
  • 70.
    Crecimiento en grosor:Ocurre a partir de las células presentes en la capa interna del periostio en la cual existen células osteoprogenitoras (osteoblastos), se disponen en la superficie externa del hueso y sintetizan matriz ósea orgánica
  • 71.
    Los osteblastos atrapadospasan a formar los osteocitos del nuevo tejido óseo. Mientras ocurre el crecimiento en grosor no se observa el sistema laminillar subperióstico
  • 72.
    Hormones Peptide Calcitonin Osteoclast Formation; resorption Parathyroid Osteoblast Formation; resorption CGRP Osteoblast Formation; resorption Steroid Vitamin A Osteoblast Differentiation Vitamin D Osteoblast; osteoclast Differentiation; protein synthesis; Mineral homeostasis Estrogen Osteoblast; osteoclast Formation; resorption Testosterone Osteoblast Formation Thyroid Osteoblast Resorption Glucocorticoid Osteoblast Differentiation; resorption; protein synthesis
  • 73.
    REGULACIÓN HORMONAL DELMETABOLISMO FOSFO-CALCIO La regulación hormonal del metabolismo fosfocálcico se realiza mediante: - Tres hormonas principales: parathormona, 1-25 OH colecalciferol (metabolito activo de la vitamina D3) y en menor medida la tirocalcitonina. - Cuatro hormonas accesorias: hormona del crecimiento, tiroxina, glucocorticoides y esteroides sexuales
  • 74.
    Parathormona: La secreciónde PTH está controlada por la concentración sérica del calcio ionizado (Ca++) son inversamente proporcionales Aumenta la actividad de los osteoclastos por acción directa y en menor medida, de forma indirecta Su efecto neto es aumentar la liberación de calcio y fosfato a la sangre (líquido extracelular)
  • 75.
    Aumento de laosteolisis y la disminución de la actividad osteoblástica, después de la formación del osteoclasto: dando lugar a hipercalcemia e hipercalciuria. La acción está diminuida en caso de carencia de vitamina D
  • 76.
  • 77.
    Vitamina D: Aumentala absorción intestinal de calcio y del fósforo A nivel del hueso normal el 1-25 dihidrocolecalciferol estimula la reabsorción ósea; produce hipercalcemia por acción directa y por intermedio de la PTH
  • 78.
  • 79.
    La Tirocalcitonina: -A nivel del hueso actúa disminuyendo la reabsorción osteoclástica. Disminuye la síntesis de los osteoclastos a partir de sus precursores y facilita la transformación de los osteoclastos en osteoblastos. Tienen por tanto un efecto inverso a la parathormona (es estimulada por la hipercalcemia e inhibida por la hipocalcemia) - Además bloquea la osteolisis inducida por la parathormona, pero sin inhibirse sus otras acciones óseas
  • 80.
    Las Hormonas Tiroideas: - Disminuyen la absorción intestinal y la reabsorción tubular del calcio - Aumentan la reabsorción ósea - Son hipercalcemiantes
  • 81.
    Los Estrógenos: -Aumentan la resistencia a la reabsorción de hueso mediada por PTH - Los osteoblastos tienen receptores para estrógeno y no los osteoclastos
  • 82.
    Los Esteroides Córtico-Suprarrenales:- Disminuyen la absorción intestinal y la reabsorción tubular del calcio. - Aumentan la reabsorción ósea y disminuyen la actividad de los osteoblastos. - Aumentan la absorción intestinal y la reabsorción tubular del calcio y del fósforo
  • 83.
    La Hormona delCrecimiento: - Aumenta la absorción intestinal y la reabsorción tubular del calcio y del fósforo. - Activa la formación del hueso.
  • 84.
    Bifosfonatos : -Actuan químicamente sobre los cristales del hueso impidiendo el acceso de los osteoclastos y así no reabsorben los cristales de hueso - Además tendría un efecto directo sobre los osteoclastos disminuyendo su número y actividad
  • 85.
  • 86.
  • 87.
    DIAGNÓSTICO POR IMÁGENESRx -> Wilhelm C. Roentgen 1895 RADIOLOGÍA Son ondas electromagnéticas de longitud muy corta. Capitulo 3
  • 88.
    DIAGNÓSTICO POR IMÁGENESPropiedades de Rx: Atraviesan casi todos los objetos Actúan sobre las sales de plata de una película radiográfica sensible Generan luz al incidir sobre sustancias fluorescentes Capitulo 3 Radiología A mayor densidad, los tejidos absorben mas radiación y son mas opacos a los Rx
  • 89.
    DIAGNÓSTICO POR IMÁGENESEscala: Capitulo 3 Radiología
  • 90.
    DIAGNÓSTICO POR IMÁGENESMedios de contraste que se utilizan: Sulfato de bario Yodo Aire Capitulo 3 Radiología
  • 91.
    DIAGNÓSTICO POR IMÁGENESRx generan luz al incidir sobre sustancias fluorescentes. Fluoroscopia Tienen efecto biológico -> radioterapia Capitulo 3 Radiología
  • 92.
    DIAGNÓSTICO POR IMÁGENESRx se generan y desaparecen instantáneamente. REGISTROS En películas radiográficas de diferentes tamaños 18x24 24x30 35x43 Capitulo 3 Radiología
  • 93.
    DIAGNÓSTICO POR IMÁGENESINDICACIONES Estudio de las enfermedades oseas y articulaciones Examen contrastado de algunas articulaciones Monitorización para la reduccion de fx y luxaciones Control intraoperatorio de diversas lesiones Localización de cuerpos extraños radiopacos Estudio de tumoraciones de partes blandas Guía para la biopsia osea Capitulo 3 Radiología
  • 94.
    DIAGNÓSTICO POR IMÁGENESEstudio de los vasos y de los tejidos que irrigan mediante inyección IV de contraste. Capitulo 3 Angiografía digital y convencional Técnica Seldinger Disección vascular
  • 95.
    DIAGNÓSTICO POR IMÁGENESMétodo radiológico Capitulo 3 Tomografía computarizada
  • 96.
    DIAGNÓSTICO POR IMÁGENESCaracterísticas: Muestra secciones del cuerpo Gran resolución anatómica que permite diferencias estructuras de densidad parecida. Capitulo 3 Tomografía computarizada
  • 97.
    DIAGNÓSTICO POR IMÁGENESREGISTROS: Multiimagenes en pelicula con emulsion de un solo lado. INDICACIONES: Patología ósea del raquis Hernia discal Tumores óseos y lesiones seudotumorales Tumores de partes blandas Infecciones óseas Capitulo 3 Tomografía computarizada
  • 98.
    DIAGNÓSTICO POR IMÁGENESNecrosis ósea Traumatismos de escapula y pelvis Evaluación de Fx complejas Guía para la biopsia percutánea Guía para el drenaje percutáneo de abscesos Búsqueda de metástasis en tumores musculoesqueléticos Evaluación posquirúrgica Capitulo 3 Tomografía computarizada
  • 99.
    DIAGNÓSTICO POR IMÁGENESIncorporación en el organismo de sustancias radiactivas de vida media corta Se fijan en diferentes tejidos Irradiación es captada por una cámara Capitulo 3 Gammagrafía
  • 100.
    DIAGNÓSTICO POR IMÁGENESSustancias radiactivas (radioisótopos) Tecnecio-99m -> hueso Galio-67 -> infecciones Capitulo 3 Gammagrafía
  • 101.
    DIAGNÓSTICO POR IMÁGENESREGISTROS Multiimagenes en película con emulsión de un solo lado INDICACIONES Detección de metástasis óseas Evaluación de tumores oseos primarios Diagnóstico de osteomielitis y artritis Detección de algunas Fx Evaluación de enfermedades metabólicas Diagnostico de necrosis ósea isquémica Capitulo 3 Gammagrafía
  • 102.
    DIAGNÓSTICO POR IMÁGENESLa energía utilizada es el US y se estudia la impedancia acústica tisular. Se aplica mediante transductor Capitulo 3 Ecografía o ultrasonografía
  • 103.
    DIAGNÓSTICO POR IMÁGENESEl US atraviesa con facilidad estructuras liquidas; no atraviesa el aire ni el hueso. REGISTROS Multiimagenes en película con emulsión de un solo lado. Capitulo 3 Ecografía o ultrasonografía
  • 104.
    DIAGNÓSTICO POR IMÁGENESINDICACIONES Control de las caderas del RN Lesiones traumáticas de partes blandas Control intraoperatorio de tumores del conducto raquideo Estudio de tumoraciones de partes blandas Guia para la biopsia percutanea Guia para el drenaje percutaneo de abscesos Control en la elongacion de miembros Dx intrauterino de malformaciones congenitas Capitulo 3 Ecografía o ultrasonografía
  • 105.
    DIAGNÓSTICO POR IMÁGENESDetectan la energía emitida por los átomos de hidrogeno del cuerpo humano cuando son sometidos a la acción de un campo magnético de alta intensidad y a ondas de radiofrecuencia. Capitulo 3 Resonancia magnética
  • 106.
    DIAGNÓSTICO POR IMÁGENESINDICACIONES Lesiones de medula espinal Hernias discales Anomalías congénitas del raquis que comprometen el conducto raquídeo Tumores óseos y de partes blandas Enfermedades de la medula osea Necrosis avascular Rupturas musculares, tendinosas, ligamentarias y meniscales. Infecciones o inflamaciones oseas, articulares y partes blandas. Capitulo 3 Resonancia magnética
  • 107.
    DIAGNÓSTICO POR IMÁGENESUtilizan algún método del diagnostico por imágenes para orientar la introducción de agujas, catéteres, guías u otros elementos dentro del organismo Capitulo 3 Radiología intervencionista
  • 108.
  • 109.
    ¿QUE ES LAARTROSCOPIA? La artroscopia es una técnica quirúrgica que permite al cirujano ortopédico diagnosticar y tratar diferentes alteraciones que puedan darse en una articulación del cuerpo (rodilla, hombro, tobillo,…).
  • 110.
    HISTORIA DE LAARTROSCOPIA La artroscopia nace de la curiosidad por inspeccionar cavidades del cuerpo humano 1806. Phillip Bozzini. Espéculo con tubos de plata cuya luz provenía de una vela de cera de abejas. Utilizado en nasofaringe, canal anal, recto, vagina, vejiga...
  • 111.
    1826. Pierre Ségalas.La fuente de luz eran luciérnagas. 1853. Desormeaux. Utilizaba una lámpara que quemaba una mezcla de alcohol y trementina, el sistema óptico incluía tubos de plata, espejos y lentes.
  • 112.
    1867. Bruck. Desarrollóun filamento de platino conectado a una bateria y enfriándolo con un flujo de agua 1879. Citoscopio de Nitze-Leiter. Consistía en un filamento eléctrico cubierto por una ventana con cristal de roca, iluminando la vejiga, la cual se podía ver a través de las lentes.
  • 113.
    En 1918, KenjiTakagi consigue visualizar por primera vez en la historia el interior de una rodilla de cadáver humano. En Europa, también se comienza a desarrollar esta técnica, utilizando el laparoscopio de Jacobaeus (1919) por el cirujano suizo Bircher. Y en Estados Unidos, en 1925, se publica el primer documento sobre artroscopia. Estas tres escuelas continúan desarrollándose, viendo interrumpida su labor por la Segunda Guerra Mundial.
  • 114.
    ELEMENTOS DE UNARTROSCOPIO LENTE FUENTE DE LUZ IRRIGACION Instrumental basico Instrumental especializado para diversos procedimientos
  • 115.
    APLICACIONES ANATOMICAS HOMBROCODO CADERA RODILLA TOBILLO MUÑECA PEQUEÑAS ARTICULACIONES COLUMNA
  • 116.
  • 117.
  • 118.
  • 119.
  • 120.
  • 121.
  • 122.
  • 123.
  • 124.
  • 125.
    APLICACIONES CLINICAS LUXACIONESRECIDIVANTES SINOVECTOMIAS LESIONES TENDINOSAS ACROMIOPLASTIAS DIAGNOSTICAS
  • 126.
  • 127.
    Semiológia de lacolumna vertebral Cap 5
  • 128.
    Semiología de lacolumna vertebral Interrogatorio Examen físico Estudios por imágenes Exámenes de laboratorio Estudios anatomopatológicos.
  • 129.
    Interrogatorio Es eltiempo principal del Dx. Deben precisarse el momento y las circunstancias de aparición de los síntomas, su evolución Y Tx efectuados. 1. Dolor 2. Deformación (alteración en la forma del tronco) Alteración de los ejes. - Plano frontal. Escoliosis. - Plano sagital. Cifosis, lordosis. Alteración del volumen. - Proceso neoplásico o inflamatorio.
  • 130.
    3. Alteraciones motoras.Parálisis Paresias 4. Alteraciones sensitivas. Anestesia Parestesia. Disestesias.
  • 131.
    Examen físico Conel paciente el posición de pie. INSPECCION Debe observarse por detrás, de costado y por delante. Nivel de los hombros y de las escápulas Verificar si existe simetría o deformación del tronco. Observar postura del paciente y su corrección voluntaria. Simetria de las caderas.
  • 132.
    Importante comparar eltriangulo del talle a cada lado del tronco. Curvas en plano sagital. PALPACIÓN De apófisis espinosas (línea recta). Masas musculares paravertebrales. Contracturas Puntos dolorosos. Tumoraciones.
  • 133.
    En región cervicaldebe extenderse a todo el cuello y regiones supraclaviculares. Palpación del abdomen. Procesos retroperitoneales. Aneurisma de la aorta abdominal Tumores en la cavidad abdominal Procesos tumorales. Causa de dolores Propagados a la región Lumbar.
  • 134.
    PERCUSIÓN Despierta doloren la zona donde hay un proceso inflamatorio o neoplásico. MOVILIDAD En región cervical: Mov. de flexoextensión. rotación. literalidad.
  • 135.
    En región lumbar:Flexión. Extensión. Inclinaciones laterales. Torsión. MARCHA Alteraciones en la marcha. Diferencia de longitud de los miembros inf. Parálisis de grupos musculares. Rigidez articular de la cadera y de la rodilla. En contractura muscular: MOVILIDAD DISMINUIDA.
  • 136.
    Con el pacienteen decúbito supino Medición de los miembros inferiores. Distancia entre la espina iliaca anterosuperior y el maléolo tibial. Examen neurológico básico. Reflejos osteotendinosos. Cutaneoabdominales Sensibilidad y fuerza muscular. Pulsos periféricos
  • 137.
    Estudios complementarios Rxsimple Tomografía lineal. Centellografia. Tomografía computarizada. RM.
  • 138.
    Rx simple Muestradetalles óseos de los distintos componentes vertebrales. Columna vertebral. AP Lateral. otras: Posicion de Ferguson.
  • 139.
    Tomografía lineal Permiteponer de manifiesto lesiones osteolitícas que a veces quedan enmascaradas por el tejido óseo sano que se interpone en la dirección del rayo.
  • 140.
    Centellografía Permitemediante la captación del radiofármaco, descubrir alteraciones localizadas de la: Irrigación sanguínea (procesos inflamatorios). De la multiplicación celular (neoplasias)
  • 141.
    Tomografía computarizada Puedehacerse con o sin medio de contraste. Permite visualizar los discos intervertebrales y el contenido del conducto raquídeo. Pueden evaluarse las dimensiones de este y diagnosticar la estenosis raquídea.
  • 142.
    RM Mayor precisión.Se puede distinguir con claridad las partes blandas intrarraquídeas: Medula espinal. LCR. Raíces nerviosas. Alteraciones fisicoquímicas de l disco intervertebral.
  • 143.
    Exámenes de laboratorioAnálisis de rutina. Reumatograma. Referentes al metabolismo fosfocálcico.
  • 144.
    Examen anatomopatológico Biopsia.Punción: Trocar Aspiración Actualmente se llega a la zona referida con mucha precisión mediante la tomografía computarizada.
  • 145.
  • 146.
    ESCOLIOSIS Desviación lateraldel raquis con rotación de las vértebras en forma permanente 2 tipos: Estructural Alteraciones en vértebras, ligamentos, músculos Funcional Desviación del eje de la columna, postura, diferencia de longitud, etc
  • 147.
    Escoliosis idiopática Causadesconocida 85% frecuencia Predisposición hereditaria Sexo femenino predominante 6:1 Adolescencia
  • 148.
    Escoliosis congénita Malformacionesvertebrales Formación: Hemivértebra Vértebra en cuña Segmentación: Sinostosis intervertrebrales
  • 149.
    Escoliosis neuromusculares NeuropáticasAlteración de la neurona motora superior Alteración de la neurona motora inferior Miopáticas Distrofia muscular
  • 150.
    Neurofibromatosis o enfermedadde von Recklinghausen Presencia de manchas y tumores cutáneos y nerviosos Alteración ósea fibromatosa que debilita las vértebras Deformaciones raquídeas importantes
  • 151.
    Escoliosis poco frecuentesTrastornos mesenquimáticos Enfermedad reumatoidea Traumática Contracturas vertebrales Infecciones Trastornos metabólicos
  • 152.
    Patogenia Curva primariao mayor Curvas secundarias o menores (eje de gravedad) Rotación de las vértebras de la curva Arrastre hacia atrás de las costillas Giba costal Vértebra ápice Vértebras límite (superior e inferior)
  • 153.
    PATOGENIA Vértebra ápice-> gran acuñamiento Hemitórax convexo disminuye de tamaño Pulmón colapsa-> alteración de la fx respiratoria HTA en el circuito menor con ICD
  • 154.
    CUADRO CLÍNICO Gralmt.Asintomático Consulta por asimetría Estadios avanzados dolor: Artorisis establecida Trastornos cardiorespiratorios Neurologicos RX simple (estudio complementario)
  • 155.
    EXAMÉN FÍSICO Asimetríay alteraciones cutáneas Diferencia: Altura hombros Escápulas Líneas de apófisis espinosas Triángulos del talle Caderas Línea de la plomada: Escoliosis compensada Escoliosis descompensada
  • 156.
    Medición de lacurva por el método de Cobb Según la localización de la curva mayor existen 4 patrones: VA= vértebra ápice Curva torácica: VA T7 Curva toracolumbar: VA T12 Curva lumbar: VA L3 Doble curva: > torácica y > lumbar
  • 157.
  • 158.
    Sx de Risser Núcleo de osificación aparece de las crestas íliacas hacia el sacro Evaluar la progresión de la curva escoliótica que se detiene al completarse la madurez esquelética
  • 159.
    Escoliosis en eladulto Padecen 2 síntomas principales: Síndrome funcional respiratorio En curvas torácicas graves. Con detrimento de la capacidad vital. Alteraciones cardiacas. Pueden llevar a la muerte. Síndrome doloroso. En curvas lumbares por artrosis discal e interfacetaria.
  • 160.
    Tratamiento Tx dela escoliosis idiopática (EI). Factores que determinaran la conducta terapéutica: Patrón de la curva. Edad del paciente. Magnitud de la deformidad. Potencial de crecimiento Magnitud de la giba Balance del tronco.
  • 161.
    Opciones terapéuticas: Ejercicios.Terapia física. Estimulación eléctrica. Ortesis. Cx. (vías ant., post., y combinadas)
  • 162.
    Objetivos de tratamientoNo Qx. Controlar la curva. Prevención de la progresión. Prevención de una futura cirugía. Mejorar cosmesis.
  • 163.
    Indicaciones de laOrtesis (corsé) Chicos inmaduros esqueléticamente (Risser 3 o <). Curvas de 25 º o mas en progresión. Curvas de mas de 30- 40 º.
  • 164.
    Mas utilizados: corséMilwaukee. Para curvas altas > T8. corsés tipo TLSO. Para curvas toracolumbares o lumbares. Corsés dinámicos El paciente deberá usarlo No menos de 18 hrs. TLSO Dinámico
  • 165.
    Cirugía Curvas convalores angulares > de 45º. Curvas progresivas. Curvas dolorosas. Objetivos: Columna balanceada. Hombros, pelvis y escápulas balanceadas. Fusión sólida y estable.

Notas del editor

  • #16 Aparato locomotor como comun denominador