Caso clínico TC: Hernia
inguinal
1
Camilo De la
Contenido
Definición de hernia y tipos
Hernia inguinal
Hernia Crural o Femoral
Revisión bibliográfica
Conclusión
2
Definición de hernia
Protrusión o salida de parte de un órgano, como el intestino,
de la estructura anatómica que normalmente la fija.
Hernias ventrales
◦ Umbilical
◦ Incisional
◦ Spiegel
Hernias lumbares
◦ Postquirúrgica
◦ Petit
Hernias de la
Zona inguinal
◦ Hernia inguinal (80%)
◦ Hernia Femoral (5%)
3
Anatomía del Conducto
Inguinal
4
Pared anterior:
Aponeurosis del músculo oblicuo externo en su totalidad,
y su parte lateral se ve reforzada por la aponeurosis del
músculo oblicuo interno.
Pared posterior:
Fascia transversal en su totalidad, y su tercio interno se
ve reforzada por el tendón conjunto (transverso del
abdomen+oblicuo interno medial a la línea pectínea)
Techo:
Formado por fibras arqueadas del m. transverso del
abdomen y del m. oblicuo interno
Suelo:
Formado por la mitad interna del ligamento inguinal,
reforzado por el ligamento lacunar. El borde libre
enrollado de la aponeurosis del músculo oblicuo externo
forma una depresión en la cual se coloca el contenido del
conducto inguinal.
5
Pared
anterior
6
Pilar lateral
Pilar medial
Fibras intercrurales
Vasos
epigástricos
Fascia
transversal,
triángulo de
Hesselbach
M. Cremaster
Tendón
conjunto
Pared
posterior
7
Techo
8
Piso
9
Contenido del conducto inguinal
Conducto deferente
Arteria del conducto
deferente
Arteria testicular
Plexo pampiniforme
Arteria y vena
cremastéricas
Ramo genital del nervio
genitofemoral
Fibras nerviosas aferentes
simpáticas y viscerales
Linfáticos
Vestigios del proceso
vaginal 10
Tipos de hernia inguinal
Se produce porque el saco peritoneal se
introduce en el conducto inguinal de dos
formas:
Indirecta, por el anillo inguinal
profundo
Directa, por la pared posterior del
conducto inguinal
11
Hernia inguinal indirecta
Es la mas frecuente
Se da más en hombres
Todo o una porción del proceso
vaginal se mantiene permeable o
abierta
Congénitas
Se introduce por el anillo profundo
Puede salir por el anillo superficial
12
13
14
Hernia inguinal directa
Entra al conducto directamente a
traves de la pared posterior
Adquirida
Debido a debilidad muscular
Triangulo de Hesselbach
No atraviesa el conducto inguinal en
toda su longitud
Puede salir por el anillo superficial
15
Hernia inguinal directa
16
Triángulo de
Hesselbach
17
Hernia crural o femoral
Pasa a través del conducto femoral hacia la cara anterointerna
del muslo. El conducto femoral está situado en el borde interno
del paquete femoral, que contiene la arteria femoral, vena
femoral y linfáticos.
El cuello del conducto femoral es muy estrecho y tiende a atrapar
intestino dentro del saco, lo que hace este tipo de hernia
irreductible y susceptible de estrangulación.
Las hernias crurales habitualmente son adquiridas y no
congénitas y suelen aparecer en personas de mediana edad y
ancianas.
Además son más frecuentes en mujeres ya que éstas tienen
pelvis más anchas que los hombres.
18
Hernia crural o femoral
19
20
Complicaciones
Estrangulación
Riesgo menor para hernias inguinales directas,
que pueden ser controladas y con tratamiento
conservador
Moderado riesgo para hernias inguinales
indirectas
Aprox 40% de hernias femorales manifiestan
estrangulación
21
Síntomas y signos
Asintomático. Hallazgos incidentales
La hernia reductible no produce
síntomas importantes salvo dolor que
coincide con los episodios en los
cuales la hernia está con su
contenido.
No reductible puede ocasionar
obstrucción intestinal o isquemia.
22
CASO CLÍNICO
23
Anamnesis
Hematuria macroscópica dos veces
en el último mes
No duele
No sabe que tiene hernia
24
Protocolo utilizado: Urotac
Fase pielográfica
◦ Prono, con vejiga distendida y 0,5 mg de furosemida
aprox. Barrido largo. Reconstrucción axial.
Fase venosa 70s
◦ Reconstrucciones axial y coronal. Barrido largo. Inyección
automática de 90 mL con flujo de 3 mL/s
Fase tardía 7 min
◦ Reconstrucción axial, CPR de uréteres y coronal oblicuo
de riñon localizado. Barrido largo.
Fase tardía 9 min localizada
◦ Prono, debido a descubrimiento de masa polipoídea.
Barrido acotado a vejiga. Reconstrucción axial.
25
Siemens Somaton Definition AS
128 canales
26
Hallazgos
La vejiga se encuentra parcialmente distendida. Sus paredes
se encuentran levemente engrosadas en forma difusa, y en
su aspecto lateral derecho se identifica una formación
polipoidea sólida que protruye al lumen de 10×11 mm.
En el decúbito prono, el aspecto antero-inferior izquierdo de
la vejiga se insinua a hernia inguinal ipsilateral de 14 mm de
diámetro.
Impresión
Lesión polipoidea endoluminal vesical derecha. Correlacionar
con cistocopía. Leve engrosamiento parietal difuso vesical.
Hernia inguinal izquierda , con insinuación de la pared
antero-inferior-izquierda de la vejiga en posición decubito
prono.
27
Formación polipoidea sólida que protruye al lumen
28
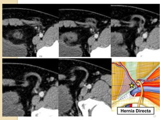
Hernia inguinal
29
30
31
Hernia Directa
REVISIÓN
BIBLIOGRÁFICA
32
33
Hernia directa. Signo “lateral
crescent”
34
35
Hernia directa. Signo “lateral
crescent”
36
Hernia directa. Signo “lateral
crescent”
37
Hernia indirecta. V. epigástricos
mediales al saco herniario.
38
Hernia femoral. Saco herniario lateral a
vena femoral que está un poco comprimida
39
Hernia en pantalon, femoral+directa.
Conclusión
Clínicamente es dificil encontrar diferencias entre hernias inguinales directas,
indirectas y femorales
Rol importante de la imagenología (TC)
Protocolo utilizado fue útil para la evaluación de la hernia
Un protocolo dirigido tendría un FOV más acotado y debiese incluir una fase
arterial para visualizar los vasos epigástricos. Técnicas de valsalva debiesen
servir.
La fase venosa es muy importante para evaluar edema y signos de isquemia de
vísceras que estén dentro del saco herniario.
La utilidad de diferenciar hernias inguinales directas e indirectas es discutible, ya
que ambas tienen un manejo quirúrgico similar, sin embargo como las hernias
directas tienen bajo riesgo de estrangulación, sería útil diferenciarlas para evitar
la cirugía en esos casos. 40
Referencias
Joan Hu Burkhardt, MD et al. Diagnosis of
Inguinal Region Hernias with Axial CT: The
Lateral Crescent Sign and Other Key
Findings. RadioGraphics 2011; 31(2):E1–
E12.
Gray, anatomía para estudiantes. Versión en
español de la 1° edición de la obra en inglés.
ELSEVIER 2005, España.
Diego Alcaide Martín et al. Hernia Vesical
Inguinoescrotal: Reconstrucción Con Uro-tc
Multidetector. Arch. Esp. Urol. 2010; 63 (7):
565-566
41

Diagnóstico de hernia inguinal por TC

  • 1.
    Caso clínico TC:Hernia inguinal 1 Camilo De la
  • 2.
    Contenido Definición de herniay tipos Hernia inguinal Hernia Crural o Femoral Revisión bibliográfica Conclusión 2
  • 3.
    Definición de hernia Protrusióno salida de parte de un órgano, como el intestino, de la estructura anatómica que normalmente la fija. Hernias ventrales ◦ Umbilical ◦ Incisional ◦ Spiegel Hernias lumbares ◦ Postquirúrgica ◦ Petit Hernias de la Zona inguinal ◦ Hernia inguinal (80%) ◦ Hernia Femoral (5%) 3
  • 4.
  • 5.
    Pared anterior: Aponeurosis delmúsculo oblicuo externo en su totalidad, y su parte lateral se ve reforzada por la aponeurosis del músculo oblicuo interno. Pared posterior: Fascia transversal en su totalidad, y su tercio interno se ve reforzada por el tendón conjunto (transverso del abdomen+oblicuo interno medial a la línea pectínea) Techo: Formado por fibras arqueadas del m. transverso del abdomen y del m. oblicuo interno Suelo: Formado por la mitad interna del ligamento inguinal, reforzado por el ligamento lacunar. El borde libre enrollado de la aponeurosis del músculo oblicuo externo forma una depresión en la cual se coloca el contenido del conducto inguinal. 5
  • 6.
  • 7.
  • 8.
  • 9.
  • 10.
    Contenido del conductoinguinal Conducto deferente Arteria del conducto deferente Arteria testicular Plexo pampiniforme Arteria y vena cremastéricas Ramo genital del nervio genitofemoral Fibras nerviosas aferentes simpáticas y viscerales Linfáticos Vestigios del proceso vaginal 10
  • 11.
    Tipos de herniainguinal Se produce porque el saco peritoneal se introduce en el conducto inguinal de dos formas: Indirecta, por el anillo inguinal profundo Directa, por la pared posterior del conducto inguinal 11
  • 12.
    Hernia inguinal indirecta Esla mas frecuente Se da más en hombres Todo o una porción del proceso vaginal se mantiene permeable o abierta Congénitas Se introduce por el anillo profundo Puede salir por el anillo superficial 12
  • 13.
  • 14.
  • 15.
    Hernia inguinal directa Entraal conducto directamente a traves de la pared posterior Adquirida Debido a debilidad muscular Triangulo de Hesselbach No atraviesa el conducto inguinal en toda su longitud Puede salir por el anillo superficial 15
  • 16.
  • 17.
  • 18.
    Hernia crural ofemoral Pasa a través del conducto femoral hacia la cara anterointerna del muslo. El conducto femoral está situado en el borde interno del paquete femoral, que contiene la arteria femoral, vena femoral y linfáticos. El cuello del conducto femoral es muy estrecho y tiende a atrapar intestino dentro del saco, lo que hace este tipo de hernia irreductible y susceptible de estrangulación. Las hernias crurales habitualmente son adquiridas y no congénitas y suelen aparecer en personas de mediana edad y ancianas. Además son más frecuentes en mujeres ya que éstas tienen pelvis más anchas que los hombres. 18
  • 19.
    Hernia crural ofemoral 19
  • 20.
  • 21.
    Complicaciones Estrangulación Riesgo menor parahernias inguinales directas, que pueden ser controladas y con tratamiento conservador Moderado riesgo para hernias inguinales indirectas Aprox 40% de hernias femorales manifiestan estrangulación 21
  • 22.
    Síntomas y signos Asintomático.Hallazgos incidentales La hernia reductible no produce síntomas importantes salvo dolor que coincide con los episodios en los cuales la hernia está con su contenido. No reductible puede ocasionar obstrucción intestinal o isquemia. 22
  • 23.
  • 24.
    Anamnesis Hematuria macroscópica dosveces en el último mes No duele No sabe que tiene hernia 24
  • 25.
    Protocolo utilizado: Urotac Fasepielográfica ◦ Prono, con vejiga distendida y 0,5 mg de furosemida aprox. Barrido largo. Reconstrucción axial. Fase venosa 70s ◦ Reconstrucciones axial y coronal. Barrido largo. Inyección automática de 90 mL con flujo de 3 mL/s Fase tardía 7 min ◦ Reconstrucción axial, CPR de uréteres y coronal oblicuo de riñon localizado. Barrido largo. Fase tardía 9 min localizada ◦ Prono, debido a descubrimiento de masa polipoídea. Barrido acotado a vejiga. Reconstrucción axial. 25
  • 26.
    Siemens Somaton DefinitionAS 128 canales 26
  • 27.
    Hallazgos La vejiga seencuentra parcialmente distendida. Sus paredes se encuentran levemente engrosadas en forma difusa, y en su aspecto lateral derecho se identifica una formación polipoidea sólida que protruye al lumen de 10×11 mm. En el decúbito prono, el aspecto antero-inferior izquierdo de la vejiga se insinua a hernia inguinal ipsilateral de 14 mm de diámetro. Impresión Lesión polipoidea endoluminal vesical derecha. Correlacionar con cistocopía. Leve engrosamiento parietal difuso vesical. Hernia inguinal izquierda , con insinuación de la pared antero-inferior-izquierda de la vejiga en posición decubito prono. 27
  • 28.
    Formación polipoidea sólidaque protruye al lumen 28
  • 29.
  • 30.
  • 31.
  • 32.
  • 33.
  • 34.
    Hernia directa. Signo“lateral crescent” 34
  • 35.
    35 Hernia directa. Signo“lateral crescent”
  • 36.
    36 Hernia directa. Signo“lateral crescent”
  • 37.
    37 Hernia indirecta. V.epigástricos mediales al saco herniario.
  • 38.
    38 Hernia femoral. Sacoherniario lateral a vena femoral que está un poco comprimida
  • 39.
    39 Hernia en pantalon,femoral+directa.
  • 40.
    Conclusión Clínicamente es dificilencontrar diferencias entre hernias inguinales directas, indirectas y femorales Rol importante de la imagenología (TC) Protocolo utilizado fue útil para la evaluación de la hernia Un protocolo dirigido tendría un FOV más acotado y debiese incluir una fase arterial para visualizar los vasos epigástricos. Técnicas de valsalva debiesen servir. La fase venosa es muy importante para evaluar edema y signos de isquemia de vísceras que estén dentro del saco herniario. La utilidad de diferenciar hernias inguinales directas e indirectas es discutible, ya que ambas tienen un manejo quirúrgico similar, sin embargo como las hernias directas tienen bajo riesgo de estrangulación, sería útil diferenciarlas para evitar la cirugía en esos casos. 40
  • 41.
    Referencias Joan Hu Burkhardt,MD et al. Diagnosis of Inguinal Region Hernias with Axial CT: The Lateral Crescent Sign and Other Key Findings. RadioGraphics 2011; 31(2):E1– E12. Gray, anatomía para estudiantes. Versión en español de la 1° edición de la obra en inglés. ELSEVIER 2005, España. Diego Alcaide Martín et al. Hernia Vesical Inguinoescrotal: Reconstrucción Con Uro-tc Multidetector. Arch. Esp. Urol. 2010; 63 (7): 565-566 41

Notas del editor

  • #4 Esta definicion es de hernias de pared abdominal solamente. Las demas hernias que no son de la zona inguinal son bastante infrecuentes.
  • #9 Formado por fibras arqueadas del m. transverso del abdomen y del m. oblicuo interno
  • #10 Formado por la mitad interna del ligamento inguinal, reforzado por el ligamento lacunar. El borde libre enrollado de la aponeurosis del músculo oblicuo externo forma una depresión en la cual se coloca el contenido del conducto inguinal
  • #14 El testículo en su migración desde el retroperitoneo al escroto pasa a través de la pared abdominal por el conducto inguinal. Un saco peritoneal, el proceso vaginal, lo acompaña normalmente y se cierra antes del nacimiento o en la lactancia precoz. Queda entonces el cordón espermático que atraviesa todas las capas recibiendo un recubrimiento de cada una de ellas. Cuando hay un defecto en el anillo inguinal profundo hay protrusión de contenido intestinal por éste y la aparición de un saco en el conducto inguinal que con el tiempo puede llegar hasta el escroto.
  • #15 Foto de netter de hernia inguinal indirecta. La víscera entra por el anillo inguinal profundo. Notar que la protrusión es lateral a los vasos epigástricos (flecha amarilla)
  • #17 cuando hay un defecto de la pared posterior del conducto inguinal en la zona denominada triángulo de Hesselbach, limitado por fuera por los vasos epigástricos, por abajo por el ligamento inguinal y por dentro por el borde lateral de la vaina de los rectos se habla de una hernia directa. En las hernias directas el saco protruye desde atrás y no ingresa entre las túnicas del cordón sino mas bien está adyacente a él y es inhabitual que se proyecte por el orificio inguinal externo y alcance al escroto.
  • #18 Si está hacia lateral de los vasos epigástricos inferiores, es una hernia indirecta. Si está medial a los vasos epigástricos inferiores, es una hernia directa.
  • #20 En la hernia crural el defecto primitivo está también a nivel del triángulo de Hesselbach , pero en este caso el saco herniario en vez de hacer protrusión hacia el canal inguinal sigue por debajo del ligamento inguinal y penetra hacia el triángulo femoral, estructura limitada por el ligamento lacunar hacia medial y por la vena femoral hacia lateral.
  • #21 La hernia femoral está por abajo del ligamento inguinal. En la imagen de la esquina inferior izquierda se muestra una hernia femoral y al mismo tiempo una hernia inguinal indirecta. Si hay dos tipos de hernia al mismo tiempo se denomina “hernia en pantalón” como en este caso.
  • #30 Notar que la hernia en prono con la vejiga llena protruye hacia el saco inguinal. Pero en los barridos en supino y después de la micción, la vegija no sale. Esto demuestra el carácter dinámico de las hernias.
  • #32 Imágenes van desde cortes superiores a inferiores. Se logra notar los vasos epigástricos que se mueven hacia lateral a medida que se baja en los cortes. El saco herniario emerge medial a los vasos epigástricos, por lo que se trataría de una hernia directa.
  • #35 Este signo es debido a que el contenido del conducto inguinal (que está lateral a la hernia directa) se comprime por la hernia directa y forma una “luna creciente”.
  • #41 no tiene mayor utilidad la identificación de una hernia como directa o indirecta ya que ambas son de tratamiento quirúrgico y la técnica no se modificará sustancialmente. Interesa diferenciar hernia crurales de las inguinales ya que las primeras pueden ser repadas por vía preperitoneal, sin ingresar el conducto inguinal, debilitándolo.