ANEURISMA AÓRTICO
AAT
Caso Clínico Tomografía Computada
Marianela Hervias
CONTENIDOS
 Anatomía
 Patología
• Definición
• Tipos
• Patogenia
• Signos y síntomas
• Métodos diagnósticos
• Tratamiento
• Visualización en TC
 Caso clínico
• Anamnesis
• Protocolo INT
• Justificación
• Discusión
• Imágenes
 Revisión Bibliográfica
 Conclusión
 Referencias
ANATOMÍA
Arteria Aorta
Aorta Torácica
Aorta Abdominal
Túnicas de vasos sanguíneos
• Íntima
– Endotelio, lámina basal
endotelial, tejido conectivo
sub-endotelial
• Media
– Fibras musculares lisas, tejido
conectivo
• Adventicia
– Tejido conectivo laxo, vasa
vasorum, nervo vasorum.
PATOLOGÍA
ANEURISMA AÓRTICO
Definiciones
• Aneurisma: Dilatación localizada y
permanente de una arteria, con diámetro >
al 50% de lo normal (Sociedad Internacional
de Cirugia Vascular).
• Ectasia: Dilatación < al 50%.
• Arteriomegalia: Dilatación difusa y
permanente de varios segmentos arteriales.
• Flebectasias o várices
Clasificación de Aneurismas
Según
forma
Saculares
Fusiformes
Según
indemnidad
de túnicas
Aneurisma
verdadero
Pseudoaneurisma
Según
tamaño
Micro
Pequeño
Grande
Gigante
Según
Localización
AATA,
AAAY, AAT
Cerebral,
etc.
Según
extensión
(Crawford
en Aorta)
Aneurismas saculares:
Tienen forma de saco y afecta sólo una
parte de la circunferencia del vaso.
Ejemplo: aneurismas cerebrales. Este tipo
de aneurismas es asintomático y suele
diagnosticarse por rotura del mismo
produciendo hemorragias, sobre todo a
nivel subaracnoideo ya que suelen
localizarse en el territorio encefálico.
Aneurismas fusiformes:
Dilatación cilíndrica que afecta a
todo el perímetro del vaso. Se
continúa gradualmente en huso, por
arriba y por abajo, con el vaso normal.
Según forma
Según indemnidad de las túnicas
El aneurisma verdadero es
una dilatación de las
TRES capas vasculares.
Pseudoaneurisma: Ruptura del
vaso produce hematoma pulsátil
que es contenido por la adventicia
o el tejido conectivo circundante.
Clasificación por tamaño
• Pequeños: Tienen menos de 11 mm
• Grandes: Tienen de 11 a 25 mm
• Gigantes: Tienen más de 25 mm
Localización
Microaneurisma de retina
Aneurisma cerebral
Aneurisma aórtico torácico
(AAT)
Aneurisma aórtico abdominal
(AAA)
Aneurisma de la arteria poplítea
Para aorta, clasificación de Crawford
I II III IV
Patogenia
Desequilibrio de
síntesis y
degradación
de matriz
proteica de la
túnica media
por enzimas
proteolíticas que
degradan
colágeno y
elastina
Debilitación
de la capa
media cuyas
unidades
laminares
elásticas se
fragmentan* y
se sustituyen
por tejido
fibroso
Pared cede ante
presión lateral
del flujo
sanguíneo, se
pierde
capacidad de
recuperación del
diámetro y del
tono arterial.
Dilatación.
(*degeneración quística de la media)
• Ley de Laplace: Al aumentar el diámetro del
vaso, la corriente se enlentece y la presión es
mayor, cediendo nuevamente la pared del
vaso y generando un círculo vicioso.
Patogenia
𝑻𝒆𝒏𝒔𝒊ó𝒏 =
𝒓 × 𝑷
𝟐𝒆
Etiologic classification of arterial aneurysms
Congenital (developmental)
Ehlers-Danlos syndrome, Marfan's syndrome
Mechanical (hemodynamic)
Poststenotic, arteriovenous fistula-associated
Traumatic
Blunt or penetrating trauma
Inflammatory (noninfectious)
Takayasu's disease, Behcet's disease, Kawasaki's disease, microvascular disorders
(i.e., polyarteritis), periarterial inflammatory disease (i.e., pancreatitis)
Infectious
Bacterial, fungal, spirochetal
Degenerative
Nonspecific (commonly considered arteriosclerotic (tabaquismo, HTA)); dysplastic
Morbimortalidad
• El AAA es el tipo más frecuente
 Al menos 40 de cada 1000 personas mayores de 50 años
son portadores de ellos.
• Afectan de manera predominante al varón
• Frecuencia aumenta con la edad
 (6% en la 6.ª década de la vida; 14% en la 9.ª década)
• Riesgo de ruptura aumenta con el diámetro
• Para rotura de AAA la mortalidad se encuentra
entre un 85% y un 90%
– Entre un 1 a 2% de todas las muertes en los países
occidentales
• Para cirugía preventiva la mortalidad es inferior al
5%
Morbimortalidad
Clínica
• Los aneurismas se desarrollan lentamente
durante muchos años y a menudo son
asintomáticos
• Rotura de aneurisma:
– Intenso dolor precordial o lumbar de aparición
súbita, pulsátil.
– Puede irradiarse a espalda, hombros y región
lumbar.
– Taquipnea, taquicardia, cianosis, shock.
P. Young, B. C. Finn, D. Pellegrini. Einstein's sign and other signs of aortic aneurysm. An Med Interna. 2006 Jul;23(7):345-6.
Aneurisma disecante
Ambas
corresponden a
disecciones
Disección: ruptura de capa intima que produce un avance de sangre a través del
espesor de la media.
• generación de falso lumen
• dilatación el vaso -> es lo que genera confusión, pero hay que basarse en el
proceso primario
Métodos diagnósticos
• Examen físico:
– Palpación de masa pulsátil
• Imagenológicos:
– Ecografía modo B
• Ventajas: bajo costo, sin radiación ni MC. Hallazgos
incidentales. Ideal para pacientes delgados.
• Desventajas: Imprecisa en determinar dimensiones del
aneurisma. Dificultad en aorta suprarrenal y en a. iliacas
por interferencia de gas intestinal. Operador dependiente.
– TC
• Ventajas: define la forma y extensión del aneurisma y sus
relaciones anatómicas. Prequirúrgico, evalúa
calcificaciones.
• Desventajas: más cara, disponibilidad, uso de radiación y
medio de contraste
– RM
• Ventajas: Mediciones precisas. Sin radiación
• Desventajas: No evalúa calcificaciones. Artefactos metálicos
en seguimiento de endoprótesis.
– Angiografía, rx
Tratamiento
• Tratamiento médico
• Modificar factores de riesgo
• Propanolol
• Estatinas
• Endoprótesis
• Mínimamente invasivo
• Baja mortalidad
• externados entre las 24 y 48 hrs
posteriores al procedimiento
• Cirugía convencional
• Reservada para casos anatómicos
complejos (AATA, AAAY)
• Mayor mortalidad, 4 y el 8% a los 30 días
Visualización en TC
Estos abruptos cambios de dirección y angulaciones traen como consecuencia la
producción muy frecuente de un artefacto de deformación elíptica en los cortes
tomográficos, por lo que cuando el médico quiere medir el diámetro de un vaso
angulado, sólo debe considerar el diámetro menor, que es el verdadero
Visualización en TC
Visualización en TC
CASO CLÍNICO
AAT
Anamnesis
• Paciente sexo masculino
• 65 años
• Dolor dorsal
• Tratamiento quirúrgico de aorta ascendente hace dos
años
• Sin enfermedades crónicas
• No fumador
Orden médica indica realizar Angio TC de Aorta de tórax-
abdomen y pelvis. La observación indica que médico
tratante sospecha de nuevo aneurisma.
Equipamiento
Equipo: Siemens Somaton Definition AS de 128 canales
Inyectora automática: Opti Vantage DH
Medio de contraste: Optiray
(monómero no iónico)
Material estéril inyección MC: Vía 18 G más insumos
Protocolo: AngioTC de aorta INT
• Indicación: malformaciones, aneurismas y disecciones.
• Posicionamiento: Decúbito supino, brazos arriba, cabeza hacia el gantry.
La adquisición se realiza en sentido cráneo-caudal. Inspiración.
• Barrido sin MC en la zona a estudiar (según extensión de patología).
• Barrido con MC en fase arterial angiográfica, incluir vasos supraaórticos
hasta glándulas suprarenales* (en estudios de malformaciones). Para
aneurisma y disección se incluye abdomen y pelvis si es menester.
– Inyección monofásica
– Volumen: 100mL Flujo: 4,5-5 mL/s
– Sensor de Bolo con ROI en aorta ascendente a 100 UH
Protocolo: AngioTC de aorta INT
• Para control de aneurismas aórticos operados es
conveniente realizar un estudio tardío para evaluar
endoleaks*.
• Ventana de Mediastino AngioTC 400-450 / 50-70
• Kv 120 y mAs 300
• Adquisición helicoidal. Pitch cercano a 1
• Cortes finos
• Reconstrucciones:
– Ventana mediastínica angiográfica, con cortes
gruesos y finos
– Ventana pulmón alta resolución
– Corazón y aorta localizado, con cortes finos
Justificación
La características de la patología determinan
los elementos del protocolo.
• Bajo tiempo de barrido
– Apnea
– Fase angiográfica
• Alta resolución espacial
– Extensión de la lesión, permeabilidad de vasos
– Alta SNR
* Cortes Finos
• Utilidad de fases
– Sin contraste
• Evalúa calcificaciones, sangrado activo. Hallazgos incidentales
– Angiográfica
• Evalúa vasos durante la fase de máxima opacificación
Revisión Bibliográfica protocolo Angio
TC de aorta
Discusión del protocolo
• Falta incorporar el uso de test de bolo para pacientes con
alteraciones en la circulación.
• La ventana pulmonar en alta resolución no está descrita en el
protocolo convencional, sin embargo en este caso se justifica.
• Se debiese considerar el uso de inyecciones bifásicas para
estudios extensos como el de este paciente
• Podría complementarse con el uso de Care-Dose
• Realizar reconstrucciones en MIP y VRT podrían complementar
información
• En algunas revisiones en la literatura se sugiere ubicar el ROI distal
al cuello inferior del aneurisma, esto porque su flujo es turbulento
y podría impedir su correcta opacificación. (7)
FASE ANGIOGRÁFICA
Video
Informe
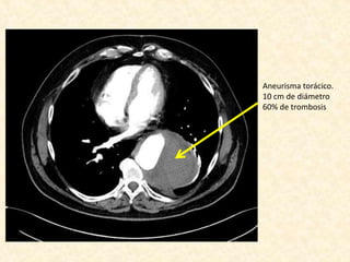
• Leve dilatación de arco aórtico
• La aorta descendente se presenta elongada, tortuosa y
presenta un gran aneurisma que compromete gran
parte de su extensión, el cual se inicia
aproximadamente 6 cm del origen de la subclavia
izquierda, se extiende por aproximadamente 15 cm, y
alcanza un diámetro máximo de 10 cm, con trombosis
aproximadamente del 60% de la luz.
• La aorta abdominal es tortuosa, con ateroma severo de
predominio de placas no calcificadas, sin aneurismas.
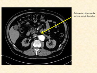
• Estenosis crítica de la arteria renal derecha
• Riñones levementes asimétricos por menor tamaño del
derecho
Aneurisma torácico.
10 cm de diámetro
60% de trombosis
Placas de ateroma
sin calcificaciones en
aorta abdominal
Estenosis crítica de la
arteria renal derecha
Riñones asimétricos,
con menor tamaño
del derecho
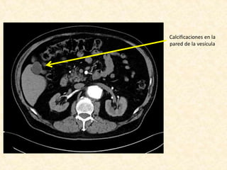
Calcificaciones en la
pared de la vesícula
Revisión bibliográfica
Propósito: Comprobar si la configuración y localización de endoleaks hallados en
TC se confirman en angiografía.
Método: Se hizo un seguimiento de control con TC a 46 pacientes después de
instalación de endoprótesis. Los que formaron endoleaks fueron sometidos a una
angiografía para confirmar.
I
II
II
I o III
a) Proximalmente la prótesis (flechas) toca la
pared de la aorta.
b) Hacia caudal hay un endoleak (flechas
abiertas) con una base amplia en contacto con
las ramas de la prótesis (flechas sólidas).
Margen de la aorta está trombosado. Endoleak
tipo A.
c) Angiografía del mismo paciente. Hay un
pequeño perigraft leakage (flechas)
d) Luego de una embolización. Oclusión
completa del endoleak, con varios coils
metálicos (flechas)
a) Protesis (flechas sólidas) muestra un endoleak ventral (flecha abierta) que no está en
contacto con la prótesis (tipo B)
b) Angiografía del mismo paciente, muestra el endoleak (flecha recta) que es de la a.
mesentérica inferior (flecha curva)
c) Angiografía super-selectiva del endoleak del mismo paciente antes de la embolización. Se
ve la punta del microcateter (flecha larga) que avanzó desde la mesentérica superior a través
del arco de Riolano (flechas pequeñas) al origen de la mesentérica inferior. Se ve otra
embolización previa (flecha abierta) que se realizó 3 meses antes.
• Conclusión: TC es muy sensible para la
detección de la configuración y localización de
endoleaks. La causa y/o la arteria
comunicante puede confirmarse en
angiografía.
Bonus track
• Cirugía de aneurisma roto: Endoprótesis
Conclusión
• El protocolo se realizó de manera correcta de acuerdo a la
patología, tal como se analizó en la justificación
• La calidad de las imágenes es buena, con poco ruido (alta
SNR) y con buen realce arterial. Es una imagen diagnóstica
• La literatura disponible es extensa, en especial en lo
relacionado a tratamiento de aneurismas. En cuanto al
protocolo se remitió a instituciones.
• Finalmente el aneurisma aórtico en estudio se clasifica como
un aneurisma verdadero, fusiforme, gigante, de ubicación
torácica, tipo I de Crawford.
• TC es fundamental en su diagnóstico.
Referencias
1. Görich et al. Leakages after endovascular repair of aortic
aneurysms. Radiology. 1999.
2. http://www.medicinavascularweb.com.ar/aaa.html. Consultado el
21-04-2014
3. Raúl Poblete S. Aneurisma o disección. Un concepto nunca bien
definido. Rev. Chilena de cirugía. 2004
4. Adam A. Disección aórtica en una mujer joven. Presentación de un
caso. Gac. int. cienc. forense. 2013
5. Castillo B. Pseudoaneurisma crónico de la arteria femoral
izquierda secundaria a trauma. Presentación de un caso. Gac Med
Bol. 2012
6. Bergoeing M. Uso de endoprótesis fenestrada para la reparación
de aneurismas aórticos complejos. Reporte de dos casos. Rev.
Chilena de cirugía. 2011
7. Congreso SERAM 2012. P. Marin Crespo, A. Alonso Burgos, J.
Urbano García, M. Cabrera.González, A. Franco López;
Madrid/ES.Protocolos de angioTC en patología aórtica: técnicas de
supervivencia para el residente en apuros.
Diagnóstico de aneurisma aórtico torácico por TC

Diagnóstico de aneurisma aórtico torácico por TC

  • 1.
    ANEURISMA AÓRTICO AAT Caso ClínicoTomografía Computada Marianela Hervias
  • 2.
    CONTENIDOS  Anatomía  Patología •Definición • Tipos • Patogenia • Signos y síntomas • Métodos diagnósticos • Tratamiento • Visualización en TC  Caso clínico • Anamnesis • Protocolo INT • Justificación • Discusión • Imágenes  Revisión Bibliográfica  Conclusión  Referencias
  • 3.
  • 4.
  • 5.
  • 6.
    Túnicas de vasossanguíneos • Íntima – Endotelio, lámina basal endotelial, tejido conectivo sub-endotelial • Media – Fibras musculares lisas, tejido conectivo • Adventicia – Tejido conectivo laxo, vasa vasorum, nervo vasorum.
  • 7.
  • 8.
    Definiciones • Aneurisma: Dilataciónlocalizada y permanente de una arteria, con diámetro > al 50% de lo normal (Sociedad Internacional de Cirugia Vascular). • Ectasia: Dilatación < al 50%. • Arteriomegalia: Dilatación difusa y permanente de varios segmentos arteriales. • Flebectasias o várices
  • 9.
    Clasificación de Aneurismas Según forma Saculares Fusiformes Según indemnidad detúnicas Aneurisma verdadero Pseudoaneurisma Según tamaño Micro Pequeño Grande Gigante Según Localización AATA, AAAY, AAT Cerebral, etc. Según extensión (Crawford en Aorta)
  • 10.
    Aneurismas saculares: Tienen formade saco y afecta sólo una parte de la circunferencia del vaso. Ejemplo: aneurismas cerebrales. Este tipo de aneurismas es asintomático y suele diagnosticarse por rotura del mismo produciendo hemorragias, sobre todo a nivel subaracnoideo ya que suelen localizarse en el territorio encefálico. Aneurismas fusiformes: Dilatación cilíndrica que afecta a todo el perímetro del vaso. Se continúa gradualmente en huso, por arriba y por abajo, con el vaso normal. Según forma
  • 11.
    Según indemnidad delas túnicas El aneurisma verdadero es una dilatación de las TRES capas vasculares. Pseudoaneurisma: Ruptura del vaso produce hematoma pulsátil que es contenido por la adventicia o el tejido conectivo circundante.
  • 12.
    Clasificación por tamaño •Pequeños: Tienen menos de 11 mm • Grandes: Tienen de 11 a 25 mm • Gigantes: Tienen más de 25 mm
  • 13.
    Localización Microaneurisma de retina Aneurismacerebral Aneurisma aórtico torácico (AAT) Aneurisma aórtico abdominal (AAA) Aneurisma de la arteria poplítea
  • 14.
    Para aorta, clasificaciónde Crawford I II III IV
  • 15.
    Patogenia Desequilibrio de síntesis y degradación dematriz proteica de la túnica media por enzimas proteolíticas que degradan colágeno y elastina Debilitación de la capa media cuyas unidades laminares elásticas se fragmentan* y se sustituyen por tejido fibroso Pared cede ante presión lateral del flujo sanguíneo, se pierde capacidad de recuperación del diámetro y del tono arterial. Dilatación. (*degeneración quística de la media)
  • 16.
    • Ley deLaplace: Al aumentar el diámetro del vaso, la corriente se enlentece y la presión es mayor, cediendo nuevamente la pared del vaso y generando un círculo vicioso. Patogenia 𝑻𝒆𝒏𝒔𝒊ó𝒏 = 𝒓 × 𝑷 𝟐𝒆
  • 17.
    Etiologic classification ofarterial aneurysms Congenital (developmental) Ehlers-Danlos syndrome, Marfan's syndrome Mechanical (hemodynamic) Poststenotic, arteriovenous fistula-associated Traumatic Blunt or penetrating trauma Inflammatory (noninfectious) Takayasu's disease, Behcet's disease, Kawasaki's disease, microvascular disorders (i.e., polyarteritis), periarterial inflammatory disease (i.e., pancreatitis) Infectious Bacterial, fungal, spirochetal Degenerative Nonspecific (commonly considered arteriosclerotic (tabaquismo, HTA)); dysplastic
  • 18.
    Morbimortalidad • El AAAes el tipo más frecuente  Al menos 40 de cada 1000 personas mayores de 50 años son portadores de ellos. • Afectan de manera predominante al varón • Frecuencia aumenta con la edad  (6% en la 6.ª década de la vida; 14% en la 9.ª década) • Riesgo de ruptura aumenta con el diámetro
  • 19.
    • Para roturade AAA la mortalidad se encuentra entre un 85% y un 90% – Entre un 1 a 2% de todas las muertes en los países occidentales • Para cirugía preventiva la mortalidad es inferior al 5% Morbimortalidad
  • 20.
    Clínica • Los aneurismasse desarrollan lentamente durante muchos años y a menudo son asintomáticos • Rotura de aneurisma: – Intenso dolor precordial o lumbar de aparición súbita, pulsátil. – Puede irradiarse a espalda, hombros y región lumbar. – Taquipnea, taquicardia, cianosis, shock.
  • 21.
    P. Young, B.C. Finn, D. Pellegrini. Einstein's sign and other signs of aortic aneurysm. An Med Interna. 2006 Jul;23(7):345-6.
  • 22.
    Aneurisma disecante Ambas corresponden a disecciones Disección:ruptura de capa intima que produce un avance de sangre a través del espesor de la media. • generación de falso lumen • dilatación el vaso -> es lo que genera confusión, pero hay que basarse en el proceso primario
  • 23.
    Métodos diagnósticos • Examenfísico: – Palpación de masa pulsátil • Imagenológicos: – Ecografía modo B • Ventajas: bajo costo, sin radiación ni MC. Hallazgos incidentales. Ideal para pacientes delgados. • Desventajas: Imprecisa en determinar dimensiones del aneurisma. Dificultad en aorta suprarrenal y en a. iliacas por interferencia de gas intestinal. Operador dependiente. – TC • Ventajas: define la forma y extensión del aneurisma y sus relaciones anatómicas. Prequirúrgico, evalúa calcificaciones. • Desventajas: más cara, disponibilidad, uso de radiación y medio de contraste – RM • Ventajas: Mediciones precisas. Sin radiación • Desventajas: No evalúa calcificaciones. Artefactos metálicos en seguimiento de endoprótesis. – Angiografía, rx
  • 24.
    Tratamiento • Tratamiento médico •Modificar factores de riesgo • Propanolol • Estatinas • Endoprótesis • Mínimamente invasivo • Baja mortalidad • externados entre las 24 y 48 hrs posteriores al procedimiento • Cirugía convencional • Reservada para casos anatómicos complejos (AATA, AAAY) • Mayor mortalidad, 4 y el 8% a los 30 días
  • 25.
  • 26.
    Estos abruptos cambiosde dirección y angulaciones traen como consecuencia la producción muy frecuente de un artefacto de deformación elíptica en los cortes tomográficos, por lo que cuando el médico quiere medir el diámetro de un vaso angulado, sólo debe considerar el diámetro menor, que es el verdadero Visualización en TC
  • 27.
  • 28.
  • 29.
    Anamnesis • Paciente sexomasculino • 65 años • Dolor dorsal • Tratamiento quirúrgico de aorta ascendente hace dos años • Sin enfermedades crónicas • No fumador Orden médica indica realizar Angio TC de Aorta de tórax- abdomen y pelvis. La observación indica que médico tratante sospecha de nuevo aneurisma.
  • 30.
    Equipamiento Equipo: Siemens SomatonDefinition AS de 128 canales Inyectora automática: Opti Vantage DH Medio de contraste: Optiray (monómero no iónico) Material estéril inyección MC: Vía 18 G más insumos
  • 31.
    Protocolo: AngioTC deaorta INT • Indicación: malformaciones, aneurismas y disecciones. • Posicionamiento: Decúbito supino, brazos arriba, cabeza hacia el gantry. La adquisición se realiza en sentido cráneo-caudal. Inspiración. • Barrido sin MC en la zona a estudiar (según extensión de patología). • Barrido con MC en fase arterial angiográfica, incluir vasos supraaórticos hasta glándulas suprarenales* (en estudios de malformaciones). Para aneurisma y disección se incluye abdomen y pelvis si es menester. – Inyección monofásica – Volumen: 100mL Flujo: 4,5-5 mL/s – Sensor de Bolo con ROI en aorta ascendente a 100 UH
  • 32.
    Protocolo: AngioTC deaorta INT • Para control de aneurismas aórticos operados es conveniente realizar un estudio tardío para evaluar endoleaks*. • Ventana de Mediastino AngioTC 400-450 / 50-70 • Kv 120 y mAs 300 • Adquisición helicoidal. Pitch cercano a 1 • Cortes finos • Reconstrucciones: – Ventana mediastínica angiográfica, con cortes gruesos y finos – Ventana pulmón alta resolución – Corazón y aorta localizado, con cortes finos
  • 33.
    Justificación La características dela patología determinan los elementos del protocolo. • Bajo tiempo de barrido – Apnea – Fase angiográfica • Alta resolución espacial – Extensión de la lesión, permeabilidad de vasos – Alta SNR * Cortes Finos • Utilidad de fases – Sin contraste • Evalúa calcificaciones, sangrado activo. Hallazgos incidentales – Angiográfica • Evalúa vasos durante la fase de máxima opacificación
  • 34.
  • 35.
    Discusión del protocolo •Falta incorporar el uso de test de bolo para pacientes con alteraciones en la circulación. • La ventana pulmonar en alta resolución no está descrita en el protocolo convencional, sin embargo en este caso se justifica. • Se debiese considerar el uso de inyecciones bifásicas para estudios extensos como el de este paciente • Podría complementarse con el uso de Care-Dose • Realizar reconstrucciones en MIP y VRT podrían complementar información • En algunas revisiones en la literatura se sugiere ubicar el ROI distal al cuello inferior del aneurisma, esto porque su flujo es turbulento y podría impedir su correcta opacificación. (7)
  • 36.
  • 37.
    Informe • Leve dilataciónde arco aórtico • La aorta descendente se presenta elongada, tortuosa y presenta un gran aneurisma que compromete gran parte de su extensión, el cual se inicia aproximadamente 6 cm del origen de la subclavia izquierda, se extiende por aproximadamente 15 cm, y alcanza un diámetro máximo de 10 cm, con trombosis aproximadamente del 60% de la luz. • La aorta abdominal es tortuosa, con ateroma severo de predominio de placas no calcificadas, sin aneurismas. • Estenosis crítica de la arteria renal derecha • Riñones levementes asimétricos por menor tamaño del derecho
  • 38.
    Aneurisma torácico. 10 cmde diámetro 60% de trombosis
  • 39.
    Placas de ateroma sincalcificaciones en aorta abdominal
  • 40.
    Estenosis crítica dela arteria renal derecha
  • 41.
  • 42.
  • 43.
    Revisión bibliográfica Propósito: Comprobarsi la configuración y localización de endoleaks hallados en TC se confirman en angiografía. Método: Se hizo un seguimiento de control con TC a 46 pacientes después de instalación de endoprótesis. Los que formaron endoleaks fueron sometidos a una angiografía para confirmar.
  • 44.
  • 45.
    a) Proximalmente laprótesis (flechas) toca la pared de la aorta. b) Hacia caudal hay un endoleak (flechas abiertas) con una base amplia en contacto con las ramas de la prótesis (flechas sólidas). Margen de la aorta está trombosado. Endoleak tipo A. c) Angiografía del mismo paciente. Hay un pequeño perigraft leakage (flechas) d) Luego de una embolización. Oclusión completa del endoleak, con varios coils metálicos (flechas)
  • 46.
    a) Protesis (flechassólidas) muestra un endoleak ventral (flecha abierta) que no está en contacto con la prótesis (tipo B) b) Angiografía del mismo paciente, muestra el endoleak (flecha recta) que es de la a. mesentérica inferior (flecha curva) c) Angiografía super-selectiva del endoleak del mismo paciente antes de la embolización. Se ve la punta del microcateter (flecha larga) que avanzó desde la mesentérica superior a través del arco de Riolano (flechas pequeñas) al origen de la mesentérica inferior. Se ve otra embolización previa (flecha abierta) que se realizó 3 meses antes.
  • 47.
    • Conclusión: TCes muy sensible para la detección de la configuración y localización de endoleaks. La causa y/o la arteria comunicante puede confirmarse en angiografía.
  • 48.
    Bonus track • Cirugíade aneurisma roto: Endoprótesis
  • 49.
    Conclusión • El protocolose realizó de manera correcta de acuerdo a la patología, tal como se analizó en la justificación • La calidad de las imágenes es buena, con poco ruido (alta SNR) y con buen realce arterial. Es una imagen diagnóstica • La literatura disponible es extensa, en especial en lo relacionado a tratamiento de aneurismas. En cuanto al protocolo se remitió a instituciones. • Finalmente el aneurisma aórtico en estudio se clasifica como un aneurisma verdadero, fusiforme, gigante, de ubicación torácica, tipo I de Crawford. • TC es fundamental en su diagnóstico.
  • 50.
    Referencias 1. Görich etal. Leakages after endovascular repair of aortic aneurysms. Radiology. 1999. 2. http://www.medicinavascularweb.com.ar/aaa.html. Consultado el 21-04-2014 3. Raúl Poblete S. Aneurisma o disección. Un concepto nunca bien definido. Rev. Chilena de cirugía. 2004 4. Adam A. Disección aórtica en una mujer joven. Presentación de un caso. Gac. int. cienc. forense. 2013 5. Castillo B. Pseudoaneurisma crónico de la arteria femoral izquierda secundaria a trauma. Presentación de un caso. Gac Med Bol. 2012 6. Bergoeing M. Uso de endoprótesis fenestrada para la reparación de aneurismas aórticos complejos. Reporte de dos casos. Rev. Chilena de cirugía. 2011 7. Congreso SERAM 2012. P. Marin Crespo, A. Alonso Burgos, J. Urbano García, M. Cabrera.González, A. Franco López; Madrid/ES.Protocolos de angioTC en patología aórtica: técnicas de supervivencia para el residente en apuros.