CASO CLÍNICO
R1 Juan Edison Raymundo López
MOTIVO DE CONSULTA
Paciente femenina de 49 años que consultó el servicio de urgencias por un cuadro clínico de 3 dias
con cefalea y vértigo progresivo
Lacerda A, Agramonte J, Pérez Leal S, Martin D. Revista Cubana de Nuerología, 2012; 2(2); 141-143
ANTECEDENTES
Médicos: antecedente de migraña no tratado, parálisis facial periférica
hace 20 años y episodios de depresión.
Quirúrgicos: No refiere
Familiares: No refiere
Alergicos: No refiere
Vicios/manías: no refiere
Lacerda A, Agramonte J, Pérez Leal S, Martin D. Revista Cubana de Nuerología, 2012; 2(2); 141-143
HISTORIA DE LA
ENFERMEDAD ACTUAL
Paciente indica que hace 4 semanas inicia con
cefalea de leve intensidad con dificultad para
mantener la postura, posteriormente progresa
a dificultad para la coordinación de
movimientos asociado a temblores, no pone
importancia, y hace 3 días inicia con cefalea
holocraneana intensa asociada a vértigo
progresivo por lo que decide consultar
Lacerda A, Agramonte J, Pérez Leal S, Martin D. Revista Cubana de Nuerología, 2012; 2(2); 141-143
EXAMEN FÍSICO
Al ingreso estaba consciente y orientada en
tiempo, espacio y persona. Con parálisis facial,
los signos clínicos de importancia consistieron
hiperreflexia muscular generalizada, ataxia
cerebelosa y papiledema bilateral establecido.
Lacerda A, Agramonte J, Pérez Leal S, Martin D. Revista Cubana de Nuerología, 2012; 2(2); 141-143
LABORATORIOS
WBC: 4.48
Hgb: 14.5
Htc: 40.5%
Plts: 160,000
TP: 12.5
TPT: 34
INR: 1.3
PCR, perfil tiroideo, VES, ANA: normales
VIH, Hep B y C negativos.
GLIOBLASTOMA
MULTIFORME
Ballesteros M, Vargas-Carvajal. Secondary effects of the radiotherapy in the treatment of brain neoplasms. 2017. 35
(7); 313-366
En la primera mitad del siglo XIX el glioblastoma se consideraba de origen mesenquimatico y por
tanto se definió con el término de sarcoma.
En 1863, Rudolf Virchow demostró su origen glial.
Frank Burr Mallory, en una memoria de 1914, propuso el término glioblastoma multiforme
La clasificación OMS de 2000 de los tumores del sistema nervioso fija finalmente el nombre
de glioblastoma
Ballesteros M, Vargas-Carvajal. Secondary effects of the radiotherapy in the treatment of brain neoplasms. 2017. 35
(7); 313-366
FACTORES DE RIESGO
Edad: 45 – 70 años
Relacion varon/mujer: 1.5:1
Neurofibromatosis, síndrome de Turcot y Sindrome de Li-Fraumeni
Radiacion ionizante: aumenta el riesgo de tumores gliales 3-7 veces y
meningiomas hasta 10 veces con periodo de latencia de 10 o mas años
después de la exposición
Trabajadores expuestos a cloruro de vinilo e hidrocarburos
aromaticos.
Ballesteros M, Vargas-Carvajal. Secondary effects of the radiotherapy in the treatment of brain neoplasms. 2017. 35
(7); 313-366
SIGNOS Y SÍNTOMAS
• La historia clínica de la enfermedad suele ser corta (menos de 3 meses,
en más del 50% de los casos).
• Los síntomas del glioblastoma son los de una masa expansiva en el
interior del cráneo, que aumenta la PIC
• Pueden presentar cefalea, nauseas, vomitos, dilatación de los vasos
cerebrales con alteraciones de la retina hasta el papiledema,
hemiparesia, hemianestesia, hemianopsia, diplopía, afasia y crisis
convulsiva.
Ballesteros M, Vargas-Carvajal. Secondary effects of the radiotherapy in the treatment of brain neoplasms. 2017. 35
(7); 313-366
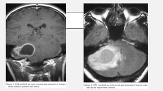
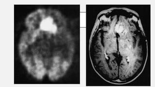
DIAGNOSTICO
La presencia de un tumor cerebral puede ser revelada con eficacia a través
de la TAC y la REM.
El uso de un medio de contraste (yodo en el caso de TC, en el caso de RM
gadolinio), permite obtener información sobre la vascularización y sobre la
integridad de la barrera hematoencefalica, una mejor definición del nódulo
tumoral respecto al edema circundante y permite avanzar hipótesis sobre
el grado de malignidad.
Ballesteros M, Vargas-Carvajal. Secondary effects of the radiotherapy in the treatment of brain neoplasms. 2017. 35
(7); 313-366
Ballesteros M, Vargas-Carvajal. Secondary effects of the
radiotherapy in the treatment of brain neoplasms. 2017. 35 (7); 313-
366
TRATAMIENTO
Tratamiento de
apoyo Tratamiento
dirigido
Corticosteriodes
(Dexametasona)
Convulsiones
(fenitoina,
carbamazepina,
fenobarbital y acido
valproico)
Ballesteros M, Vargas-Carvajal. Secondary effects of the radiotherapy in the treatment of brain neoplasms. 2017. 35
(7); 313-366
TRATAMIENTO
¿BEVACIZUMAB?
¿Resecable quirúrgicamente?
Quimioterapia
adyuvante
Temozolamida por 2
semanas
Radioterapia
Radioterapia +
quimioterapia
50 gy (gray)

Caso clínico Glioblastoma multiforme

  • 1.
    CASO CLÍNICO R1 JuanEdison Raymundo López
  • 2.
    MOTIVO DE CONSULTA Pacientefemenina de 49 años que consultó el servicio de urgencias por un cuadro clínico de 3 dias con cefalea y vértigo progresivo Lacerda A, Agramonte J, Pérez Leal S, Martin D. Revista Cubana de Nuerología, 2012; 2(2); 141-143
  • 3.
    ANTECEDENTES Médicos: antecedente demigraña no tratado, parálisis facial periférica hace 20 años y episodios de depresión. Quirúrgicos: No refiere Familiares: No refiere Alergicos: No refiere Vicios/manías: no refiere Lacerda A, Agramonte J, Pérez Leal S, Martin D. Revista Cubana de Nuerología, 2012; 2(2); 141-143
  • 4.
    HISTORIA DE LA ENFERMEDADACTUAL Paciente indica que hace 4 semanas inicia con cefalea de leve intensidad con dificultad para mantener la postura, posteriormente progresa a dificultad para la coordinación de movimientos asociado a temblores, no pone importancia, y hace 3 días inicia con cefalea holocraneana intensa asociada a vértigo progresivo por lo que decide consultar Lacerda A, Agramonte J, Pérez Leal S, Martin D. Revista Cubana de Nuerología, 2012; 2(2); 141-143
  • 5.
    EXAMEN FÍSICO Al ingresoestaba consciente y orientada en tiempo, espacio y persona. Con parálisis facial, los signos clínicos de importancia consistieron hiperreflexia muscular generalizada, ataxia cerebelosa y papiledema bilateral establecido. Lacerda A, Agramonte J, Pérez Leal S, Martin D. Revista Cubana de Nuerología, 2012; 2(2); 141-143
  • 6.
    LABORATORIOS WBC: 4.48 Hgb: 14.5 Htc:40.5% Plts: 160,000 TP: 12.5 TPT: 34 INR: 1.3 PCR, perfil tiroideo, VES, ANA: normales VIH, Hep B y C negativos.
  • 8.
    GLIOBLASTOMA MULTIFORME Ballesteros M, Vargas-Carvajal.Secondary effects of the radiotherapy in the treatment of brain neoplasms. 2017. 35 (7); 313-366
  • 9.
    En la primeramitad del siglo XIX el glioblastoma se consideraba de origen mesenquimatico y por tanto se definió con el término de sarcoma. En 1863, Rudolf Virchow demostró su origen glial. Frank Burr Mallory, en una memoria de 1914, propuso el término glioblastoma multiforme La clasificación OMS de 2000 de los tumores del sistema nervioso fija finalmente el nombre de glioblastoma Ballesteros M, Vargas-Carvajal. Secondary effects of the radiotherapy in the treatment of brain neoplasms. 2017. 35 (7); 313-366
  • 10.
    FACTORES DE RIESGO Edad:45 – 70 años Relacion varon/mujer: 1.5:1 Neurofibromatosis, síndrome de Turcot y Sindrome de Li-Fraumeni Radiacion ionizante: aumenta el riesgo de tumores gliales 3-7 veces y meningiomas hasta 10 veces con periodo de latencia de 10 o mas años después de la exposición Trabajadores expuestos a cloruro de vinilo e hidrocarburos aromaticos. Ballesteros M, Vargas-Carvajal. Secondary effects of the radiotherapy in the treatment of brain neoplasms. 2017. 35 (7); 313-366
  • 11.
    SIGNOS Y SÍNTOMAS •La historia clínica de la enfermedad suele ser corta (menos de 3 meses, en más del 50% de los casos). • Los síntomas del glioblastoma son los de una masa expansiva en el interior del cráneo, que aumenta la PIC • Pueden presentar cefalea, nauseas, vomitos, dilatación de los vasos cerebrales con alteraciones de la retina hasta el papiledema, hemiparesia, hemianestesia, hemianopsia, diplopía, afasia y crisis convulsiva. Ballesteros M, Vargas-Carvajal. Secondary effects of the radiotherapy in the treatment of brain neoplasms. 2017. 35 (7); 313-366
  • 12.
    DIAGNOSTICO La presencia deun tumor cerebral puede ser revelada con eficacia a través de la TAC y la REM. El uso de un medio de contraste (yodo en el caso de TC, en el caso de RM gadolinio), permite obtener información sobre la vascularización y sobre la integridad de la barrera hematoencefalica, una mejor definición del nódulo tumoral respecto al edema circundante y permite avanzar hipótesis sobre el grado de malignidad. Ballesteros M, Vargas-Carvajal. Secondary effects of the radiotherapy in the treatment of brain neoplasms. 2017. 35 (7); 313-366
  • 13.
    Ballesteros M, Vargas-Carvajal.Secondary effects of the radiotherapy in the treatment of brain neoplasms. 2017. 35 (7); 313- 366
  • 16.
    TRATAMIENTO Tratamiento de apoyo Tratamiento dirigido Corticosteriodes (Dexametasona) Convulsiones (fenitoina, carbamazepina, fenobarbitaly acido valproico) Ballesteros M, Vargas-Carvajal. Secondary effects of the radiotherapy in the treatment of brain neoplasms. 2017. 35 (7); 313-366
  • 17.
  • 18.
    ¿BEVACIZUMAB? ¿Resecable quirúrgicamente? Quimioterapia adyuvante Temozolamida por2 semanas Radioterapia Radioterapia + quimioterapia 50 gy (gray)