Dra.Elizabeth Conde
Anatomía y fisiología
cardiovascular
Recordar los aspectos básicos de Anatomía y fisiología
del musculo cardiaco tomando en cuenta potencial de
acción, regulación cardiaca, sistema de conducción
excitación y EKG normal, para facilitar la comprensión
adecuada de patología a estudiar.N
Anatomía y fisiología cardiovascular
La aorta presenta tres segmentos
dentro de su trayecto :
1. Aorta ascendente
2. Arco o cayado aórtico
3. Aorta descendente :
Porción torácica
Porción abdominal
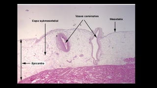
Epicardio
Células mesoteliales
y submesoteliales
Miocardio
Contráctil y
especializado
Endocardio
Células endoteliales
Arterias coronarias:
Arteria
Coronaria
Derecha
Arteria
Coronaria
Izquierda
Arterias coronarias:
Descripción de la formación y conducción rápida de los impulsos
cardíacos.
Descripción de EKG e la formación y conducción rápida de los
impulsos cardíacos.
Descripción de las propiedades fisiológicas de la fibra
miocárdica (automatismo, conductibilidad, contractibilidad,
excitabilidad o irritabilidad).
 Automatismo o
cronotropismo
 Excitabilidad o
batmotropismo
 Conductibilidad o
dromotropismo
 Contractilidad o
inotropismo
 Relajación o
lusitropismo
Estas fibras
musculares cardiacas
poseen unos discos
intercalares que
ayuda a la rápida
difusión de iones
entre las células.
Los músculos cardíacos
son estriados y su
contracción se lleva a cabo
a través de fibrillas
contráctiles.
• El musculo cardiaco
es un musculo
excitable.
• los miocardiocitos
presentan algunas
características
• Son células
automaticas es
decir, autoexitable.
• Son células
rítmicas lo cual
permite que
mantengan una
frecuencia de
contracción
MUSCULO CARDÍACO
SISTEMA ELECTRICO DEL CORAZON
Compuesto por:
• El nodo sinusal.
• El nodo auriculo-ventricular.
• El haz de his.
• Las fibras de Purkinje.
POTENCIAL DE ACCION CARDIACO
Corresponde a las variaciones del potencial trans-membranal durante el proceso de
despolarización y repolarizacion.
Inicia por el nodo sinoatrial viaja a lo largo del sistema de conducción se esparce
excitando las fibras musculares auriculares y ventriculares “funcionantes”
denominado fibras contráctiles.
Un potencial de acción se genera de la siguiente manera: Las dos variedades mas
diferentes del potencial de acción son: Potencial del marcapasos o respuesta lenta y
Potencial de acción ventricular o respuesta rápida.
POTENCIAL DE ACCION CARDIACO
Potencial de acción Ventricular o
Respuesta Rápida
a. Fase 0: O fase de despolarización
rápida.
b. Fase 1: O de repolarización breve.
c. Fase 2 : O de meseta. Es la fase más
característica de los potenciales de
acción cardíacos. Durante la misma se
produce una apertura de canales lentos
de Ca.
d. Fase 3: O fase de repolarización.
e. Fase 4: O potencial de membrana en
reposo. En condiciones basales estas
fibras presentan una gran
permeabilidad al potasio, lo que hace
que su valor en reposo esté próximo a
su punto de equilibrio (-90 mv).
Periodo refractario
• El periodo refractario
absoluto abarca el tiempo desde que se
inicia la fase 0 hasta casi la mitad de la
fase 3.
• El periodo refractario relativo abarca el
tiempo restante hasta que la membrana
se ha repolarizado por completo.
• permite la recuperación de la
excitabilidad ya que se pueden generar
potenciales de acción si el estímulo es
muy fuerte.
• Evita que se realice contracciones
sostenidas de tipo tetánico
• Es un mecanismo de protección
• Permite el tiempo necesario para llenarse
y contraerse
Propagación del potencial de
acción cardiaco
El potencial de acción iniciado en
el nodo sinusal se extiende por
todas las fibras cardiacas según la
secuencia coordinada descrita en el
sistema de conducción.
Puede apreciarse el retraso
temporal producido en el nodo AV y
la rapidez con que el potencial se
inicia en todas las fibras
ventriculares.
Esta despolarización,
prácticamente al unísono, permite
que la contracción se desarrolle de
igual manera y el corazón pueda
funcionar como una bomba.
Dra.Elizabeth Conde
ATEROSCLEROSIS
Estructura del Vaso Sanguíneo
Las Arterias
Los Capilares
Las Venas
Sistema Arterial
Arterias Elásticas
o Conductoras
Arterias Musculares
o Distribuidoras
Arteriolas
Anastomosis Vascular
Sistema Vascular
ENDOTELIO
El endotelio vascular juega un importantísimo rol en la
regulación, mantenimiento y control de las funciones
cardiocirculatorias a través de la producción y liberación de
múltiples sustancias.
Funciones
a) Regulación del tono vascular
Síntesis de compuestos vaso activos: NO, factor hiperpolarizante derivado del
endotelio(EDHF), ET-1, PGI2
Presencia de ECA, producción de Ang II, endotelina, y factor constrictor derivado del
endotelio (EDCF)
b) Función trófica para capas íntima y media; control de inflamación
Producción de colágeno y MMPs, fibronectina, elastina, laminina,
mucopolisacáridos, estimulación de células musculares lisas y por ellas de
factores crecimiento .
Expresión de MCP-1 (Monocyte chemotactic Protein-1)
Expresión de moléculas de adhesión (VCAM-1, ICA;-1, selectinas)
Producción de TNF alfa, IL-1, IL-6 e IL-8
c) Función metabólica: Ligadura de lipoprotein
lipasa
d) Función coagulante/anticoagulante:
Síntesis y ligadura de factores
hemostáticos: NO, FT, Heparán
sulfato, factor vonWillebrand,
trombomodulín, trombina,
proteínas C y S, PAI-1, uPA y tPA;
prostaglandinas
ATEROSCLEROSIS
• La aterioesclerosis consiste en el endurecimiento de las arterias. las
presión y otras causas pueden causar engrosamiento de las paredes
de las arterias, restringiendo su elasticidad y flexibilidad, y la corriente
del flujo de sangre.
• La aterosclerosis es una enfermedad vascular de evolución crónica,
dinámica y evolutiva que aparece por el concurso de tres factores
principales: disfunción endotelial, inflamación y trombosis.
• Se caracteriza por la oclusión progresiva de las arterias por placas de
ateroma que pueden producir una oclusión parcial o total.
ATEROSCLEROSIS:
clasificación anatomopatologica
• ATEROSCLEROSIS: formación de placas fibrosas en la intima
• ESCLEROSIS CALCIFICADA DE LA MEDIA DEE MONCKENBERG:
caracterizada por deposito de calcio en las arterias musculares de
mediano tamaño en personas mayores de 50 años
• ARTERIOLOSCLEROSIS: lesión que afecta las arteria pequeñas y
arteriolas, en sus dos formas anatómicas : hialina e hiperplasica, las
cuales engruesan las paredes y estrechan la luz.
RIESGOS DE ARTERIOESCLEROSIS
• Arterioesclerosis es un trastorno común que suele afectar mas a los
hombres mayores de 50 años.
• Las personas están en mayor riesgo si tienen antecedentes de:
• Colesterol anormal
• DM
• Sedentarismo
• Proteina C
• Presión arterial alta
• ERC que involucra hemodiálisis
• Tabaquismo
PATOGENIA DE LA ARTERIOESCLEROSIS
• Evolución de 20-30 años
• Hipercolesterolemia
familiar primaria
homocigota
• Estria lipídica
• Masa de células de la
intima
• Fase de formación
• Fase de adaptación
• Fase clínica
Rotura de la placa ateroma:
- Oclusión trombotica
- Resolución sin
complicaciones
- Reducir mas la luz
Ateroma: características morfologicas
Ateroma
complicado
Localización de
lesiones graves
de
ateroesclerosis
Complicaciones:
- Oclusión aguda
- Reducción crónica de la luz
vascular
- Formación aneurismas
- embolia
El síndrome de Raynaud secundario
• El síndrome de Raynaud secundario se produce en personas que
tienen algunos otros problemas de salud, que a menudo provocan o
desencadenan el síndrome de Raynaud.
• El síndrome de Raynaud secundario es una enfermedad más grave
que puede requerir tanto medicamentos como cambios en el estilo
de vida para controlarlo.
El síndrome de Raynaud secundario
• El síndrome de Raynaud secundario puede estar relacionado con:
• Trastornos del tejido conjuntivo, como la polimiositis/dermatomiositis, la artritis
reumatoide, la esclerodermia, el síndrome de Sjögren, el lupus.
• Trastornos del sistema endocrino (glandulares), como hipotiroidismo.
• Trastornos de la sangre, como enfermedad por aglutininas frías, policitemia vera.
• Trastornos neoplásicos (crecimiento celular), como síndrome carcinoide,
síndrome paraneoplásico.
• Problemas que afectan el sistema nervioso, como el síndrome del túnel carpiano.
• Trastornos vasculares, como el síndrome de la salida torácica.
• Enfermedades de las arterias, como la aterosclerosis (endurecimiento de las
arterias), enfermedad de Buerger, hipertensión pulmonar.
La enfermedad de Raynaud primaria
• La enfermedad de Raynaud primaria es el tipo más común y
representa alrededor del 80% de los casos.
• La enfermedad de Raynaud primaria se produce cuando los vasos
sanguíneos de las manos o de los pies reaccionan en forma excesiva
ante el estrés o las bajas temperaturas.
• A menudo, personas que tienen enfermedad de Raynaud primaria
presentan síntomas leves que pueden tratarse con cambios en el
estilo de vida
Algunos medicamentos también pueden
desencadenar el síndrome de Raynaud:
• Determinados medicamentos para la presión arterial alta, que se
llaman betabloqueantes.
• Medicamentos para la migraña, que contienen ergotamina.
• Medicamentos que contienen estrógeno, como píldoras
anticonceptivas.
• Medicamentos para quimioterapia, como cisplatino y vinblastina.
• Determinados medicamentos para los resfriados, que hacen que los
vasos sanguíneos se estrechen, como los que contienen
seudoefedrina.
¿Quién tiene riesgo de tener la enfermedad de
Raynaud?
• La enfermedad de Raynaud afecta a alrededor del 3% al 5% de las
personas. Es más común en las mujeres y se produce, más a menudo, en
los climas más fríos.
• La enfermedad de Raynaud primaria, por lo general, se produce entre los
15 y los 25 años. Las personas que tienen antecedentes familiares de la
enfermedad tienen un mayor riesgo.
• El síndrome de Raynaud secundario se produce a una edad más avanzada,
por lo general, en personas de 30 años o más.
• También se ha asociado la enfermedad de Raynaud con determinadas
enfermedades, medicamentos, el hábito de fumar, lesiones en las manos o
los pies, sabañones, exposición a sustancias químicas y profesiones que
implican movimientos repetitivos o vibraciones.
síndrome de Raynaud
Cianosis distal
Arteriopatía periférica en piernas
• Arteriopatía periférica en piernas es
una enfermedad de los vasos
sanguíneos que lleva al
estrechamiento y endurecimiento de
las arterias que irrigan las piernas y
los pies.
• puede lesionar nervios y otros
tejidos.
Causas: Arteriopatía periférica en piernas
• arterioesclerosis o “endurecimiento de las
arterias”. Este problema ocurre cuando el
material graso (placa) se acumula en las
paredes de las arterias. Esto hace que las
arterias se vuelvan más estrechas y mas
rigidas.
• Como resultado, cuando los músculos de las
piernas están trabajando más intensamente
(como al hacer ejercicio o caminar), no
pueden recibir suficiente sangre y oxígeno.
Finalmente, es posible que no haya
suficiente sangre y oxígeno, incluso cuando
los músculos están en reposo.
Arteriopatía periférica en piernas: síntomas
• Síntomas: Los síntomas clásicos son dolor, molimiento, fatiga, ardor o
molestia en los músculos de los pies, las pantorrillas o los muslos.
• Al principio, estos síntomas pueden aparecer únicamente cuando se
camina cuesta arriba, camina más rápidamente o camina distancias
más largas.
• Lentamente, estos síntomas aparecen de manera más rápida y con
menos ejercicio.
• Las piernas o los pies pueden sentirse entumecidos al estar en
reposo. Las piernas también pueden sentirse frías al tacto y la piel
puede aparecer pálida
Arteriopatía periférica en piernas
• Otros síntomas mas graves:
• impotencia
• Dolor y calambres en la noche
• Dolor u hormigueo en el pie o los dedos de los pies que pueden ser
tan intenso que incluso el peso de la ropa o las sábanas de la cama es
doloroso.
• Dolor que empeora cuando la pierna está elevada y mejora cuando se
descuelga las piernas sobre el lado de la cama.
• Úlceras que no sanan.
Arteriopatía periférica en piernas: DIAGNOSTICO
• (soplos arteriales en MsIs)
• Disminución de la presión arterial en la extremidad
afectada
• Pérdida del vello en las piernas o los pies, o los dedos de
los pies
• Disminución o ausencia de pulso en la extremidad
• Cuando la arteriopatía periférica es más grave, se puede
detectar: atrofia muscular y debilidad.
• Úlceras dolorosas que no sangran en los pies o los dedos
de los pies (por lo regular negras) que sanan lentamente
• Palidez de la piel o color azulado en los pies o los dedos de
los pies (cianosis)
• Piel tensa y brillante
• Uñas gruesas en los dedos de los pies
• Diferencia entre enfermedad y fenómeno de RAYNAUD
• Aneurismas ateroscleróticos
Clase tema 1 2 de patologia, pdf

Clase tema 1 2 de patologia, pdf

  • 1.
    Dra.Elizabeth Conde Anatomía yfisiología cardiovascular
  • 2.
    Recordar los aspectosbásicos de Anatomía y fisiología del musculo cardiaco tomando en cuenta potencial de acción, regulación cardiaca, sistema de conducción excitación y EKG normal, para facilitar la comprensión adecuada de patología a estudiar.N Anatomía y fisiología cardiovascular
  • 4.
    La aorta presentatres segmentos dentro de su trayecto : 1. Aorta ascendente 2. Arco o cayado aórtico 3. Aorta descendente : Porción torácica Porción abdominal
  • 5.
    Epicardio Células mesoteliales y submesoteliales Miocardio Contráctily especializado Endocardio Células endoteliales
  • 11.
  • 12.
  • 13.
    Descripción de laformación y conducción rápida de los impulsos cardíacos.
  • 14.
    Descripción de EKGe la formación y conducción rápida de los impulsos cardíacos.
  • 15.
    Descripción de laspropiedades fisiológicas de la fibra miocárdica (automatismo, conductibilidad, contractibilidad, excitabilidad o irritabilidad).  Automatismo o cronotropismo  Excitabilidad o batmotropismo  Conductibilidad o dromotropismo  Contractilidad o inotropismo  Relajación o lusitropismo
  • 16.
    Estas fibras musculares cardiacas poseenunos discos intercalares que ayuda a la rápida difusión de iones entre las células. Los músculos cardíacos son estriados y su contracción se lleva a cabo a través de fibrillas contráctiles.
  • 17.
    • El musculocardiaco es un musculo excitable. • los miocardiocitos presentan algunas características • Son células automaticas es decir, autoexitable. • Son células rítmicas lo cual permite que mantengan una frecuencia de contracción MUSCULO CARDÍACO SISTEMA ELECTRICO DEL CORAZON Compuesto por: • El nodo sinusal. • El nodo auriculo-ventricular. • El haz de his. • Las fibras de Purkinje.
  • 19.
    POTENCIAL DE ACCIONCARDIACO Corresponde a las variaciones del potencial trans-membranal durante el proceso de despolarización y repolarizacion. Inicia por el nodo sinoatrial viaja a lo largo del sistema de conducción se esparce excitando las fibras musculares auriculares y ventriculares “funcionantes” denominado fibras contráctiles. Un potencial de acción se genera de la siguiente manera: Las dos variedades mas diferentes del potencial de acción son: Potencial del marcapasos o respuesta lenta y Potencial de acción ventricular o respuesta rápida.
  • 20.
  • 21.
    Potencial de acciónVentricular o Respuesta Rápida a. Fase 0: O fase de despolarización rápida. b. Fase 1: O de repolarización breve. c. Fase 2 : O de meseta. Es la fase más característica de los potenciales de acción cardíacos. Durante la misma se produce una apertura de canales lentos de Ca. d. Fase 3: O fase de repolarización. e. Fase 4: O potencial de membrana en reposo. En condiciones basales estas fibras presentan una gran permeabilidad al potasio, lo que hace que su valor en reposo esté próximo a su punto de equilibrio (-90 mv).
  • 22.
    Periodo refractario • Elperiodo refractario absoluto abarca el tiempo desde que se inicia la fase 0 hasta casi la mitad de la fase 3. • El periodo refractario relativo abarca el tiempo restante hasta que la membrana se ha repolarizado por completo. • permite la recuperación de la excitabilidad ya que se pueden generar potenciales de acción si el estímulo es muy fuerte. • Evita que se realice contracciones sostenidas de tipo tetánico • Es un mecanismo de protección • Permite el tiempo necesario para llenarse y contraerse
  • 23.
    Propagación del potencialde acción cardiaco El potencial de acción iniciado en el nodo sinusal se extiende por todas las fibras cardiacas según la secuencia coordinada descrita en el sistema de conducción. Puede apreciarse el retraso temporal producido en el nodo AV y la rapidez con que el potencial se inicia en todas las fibras ventriculares. Esta despolarización, prácticamente al unísono, permite que la contracción se desarrolle de igual manera y el corazón pueda funcionar como una bomba.
  • 35.
  • 36.
    Estructura del VasoSanguíneo Las Arterias Los Capilares Las Venas
  • 37.
    Sistema Arterial Arterias Elásticas oConductoras Arterias Musculares o Distribuidoras Arteriolas
  • 38.
  • 39.
  • 40.
    ENDOTELIO El endotelio vascularjuega un importantísimo rol en la regulación, mantenimiento y control de las funciones cardiocirculatorias a través de la producción y liberación de múltiples sustancias.
  • 41.
    Funciones a) Regulación deltono vascular Síntesis de compuestos vaso activos: NO, factor hiperpolarizante derivado del endotelio(EDHF), ET-1, PGI2 Presencia de ECA, producción de Ang II, endotelina, y factor constrictor derivado del endotelio (EDCF) b) Función trófica para capas íntima y media; control de inflamación Producción de colágeno y MMPs, fibronectina, elastina, laminina, mucopolisacáridos, estimulación de células musculares lisas y por ellas de factores crecimiento . Expresión de MCP-1 (Monocyte chemotactic Protein-1) Expresión de moléculas de adhesión (VCAM-1, ICA;-1, selectinas) Producción de TNF alfa, IL-1, IL-6 e IL-8
  • 42.
    c) Función metabólica:Ligadura de lipoprotein lipasa d) Función coagulante/anticoagulante: Síntesis y ligadura de factores hemostáticos: NO, FT, Heparán sulfato, factor vonWillebrand, trombomodulín, trombina, proteínas C y S, PAI-1, uPA y tPA; prostaglandinas
  • 43.
    ATEROSCLEROSIS • La aterioesclerosisconsiste en el endurecimiento de las arterias. las presión y otras causas pueden causar engrosamiento de las paredes de las arterias, restringiendo su elasticidad y flexibilidad, y la corriente del flujo de sangre. • La aterosclerosis es una enfermedad vascular de evolución crónica, dinámica y evolutiva que aparece por el concurso de tres factores principales: disfunción endotelial, inflamación y trombosis. • Se caracteriza por la oclusión progresiva de las arterias por placas de ateroma que pueden producir una oclusión parcial o total.
  • 44.
    ATEROSCLEROSIS: clasificación anatomopatologica • ATEROSCLEROSIS:formación de placas fibrosas en la intima • ESCLEROSIS CALCIFICADA DE LA MEDIA DEE MONCKENBERG: caracterizada por deposito de calcio en las arterias musculares de mediano tamaño en personas mayores de 50 años • ARTERIOLOSCLEROSIS: lesión que afecta las arteria pequeñas y arteriolas, en sus dos formas anatómicas : hialina e hiperplasica, las cuales engruesan las paredes y estrechan la luz.
  • 45.
    RIESGOS DE ARTERIOESCLEROSIS •Arterioesclerosis es un trastorno común que suele afectar mas a los hombres mayores de 50 años. • Las personas están en mayor riesgo si tienen antecedentes de: • Colesterol anormal • DM • Sedentarismo • Proteina C • Presión arterial alta • ERC que involucra hemodiálisis • Tabaquismo
  • 47.
    PATOGENIA DE LAARTERIOESCLEROSIS • Evolución de 20-30 años • Hipercolesterolemia familiar primaria homocigota • Estria lipídica • Masa de células de la intima • Fase de formación • Fase de adaptación • Fase clínica
  • 48.
    Rotura de laplaca ateroma: - Oclusión trombotica - Resolución sin complicaciones - Reducir mas la luz
  • 49.
  • 50.
  • 51.
    Localización de lesiones graves de ateroesclerosis Complicaciones: -Oclusión aguda - Reducción crónica de la luz vascular - Formación aneurismas - embolia
  • 53.
    El síndrome deRaynaud secundario • El síndrome de Raynaud secundario se produce en personas que tienen algunos otros problemas de salud, que a menudo provocan o desencadenan el síndrome de Raynaud. • El síndrome de Raynaud secundario es una enfermedad más grave que puede requerir tanto medicamentos como cambios en el estilo de vida para controlarlo.
  • 54.
    El síndrome deRaynaud secundario • El síndrome de Raynaud secundario puede estar relacionado con: • Trastornos del tejido conjuntivo, como la polimiositis/dermatomiositis, la artritis reumatoide, la esclerodermia, el síndrome de Sjögren, el lupus. • Trastornos del sistema endocrino (glandulares), como hipotiroidismo. • Trastornos de la sangre, como enfermedad por aglutininas frías, policitemia vera. • Trastornos neoplásicos (crecimiento celular), como síndrome carcinoide, síndrome paraneoplásico. • Problemas que afectan el sistema nervioso, como el síndrome del túnel carpiano. • Trastornos vasculares, como el síndrome de la salida torácica. • Enfermedades de las arterias, como la aterosclerosis (endurecimiento de las arterias), enfermedad de Buerger, hipertensión pulmonar.
  • 55.
    La enfermedad deRaynaud primaria • La enfermedad de Raynaud primaria es el tipo más común y representa alrededor del 80% de los casos. • La enfermedad de Raynaud primaria se produce cuando los vasos sanguíneos de las manos o de los pies reaccionan en forma excesiva ante el estrés o las bajas temperaturas. • A menudo, personas que tienen enfermedad de Raynaud primaria presentan síntomas leves que pueden tratarse con cambios en el estilo de vida
  • 56.
    Algunos medicamentos tambiénpueden desencadenar el síndrome de Raynaud: • Determinados medicamentos para la presión arterial alta, que se llaman betabloqueantes. • Medicamentos para la migraña, que contienen ergotamina. • Medicamentos que contienen estrógeno, como píldoras anticonceptivas. • Medicamentos para quimioterapia, como cisplatino y vinblastina. • Determinados medicamentos para los resfriados, que hacen que los vasos sanguíneos se estrechen, como los que contienen seudoefedrina.
  • 57.
    ¿Quién tiene riesgode tener la enfermedad de Raynaud? • La enfermedad de Raynaud afecta a alrededor del 3% al 5% de las personas. Es más común en las mujeres y se produce, más a menudo, en los climas más fríos. • La enfermedad de Raynaud primaria, por lo general, se produce entre los 15 y los 25 años. Las personas que tienen antecedentes familiares de la enfermedad tienen un mayor riesgo. • El síndrome de Raynaud secundario se produce a una edad más avanzada, por lo general, en personas de 30 años o más. • También se ha asociado la enfermedad de Raynaud con determinadas enfermedades, medicamentos, el hábito de fumar, lesiones en las manos o los pies, sabañones, exposición a sustancias químicas y profesiones que implican movimientos repetitivos o vibraciones.
  • 58.
  • 59.
    Arteriopatía periférica enpiernas • Arteriopatía periférica en piernas es una enfermedad de los vasos sanguíneos que lleva al estrechamiento y endurecimiento de las arterias que irrigan las piernas y los pies. • puede lesionar nervios y otros tejidos.
  • 60.
    Causas: Arteriopatía periféricaen piernas • arterioesclerosis o “endurecimiento de las arterias”. Este problema ocurre cuando el material graso (placa) se acumula en las paredes de las arterias. Esto hace que las arterias se vuelvan más estrechas y mas rigidas. • Como resultado, cuando los músculos de las piernas están trabajando más intensamente (como al hacer ejercicio o caminar), no pueden recibir suficiente sangre y oxígeno. Finalmente, es posible que no haya suficiente sangre y oxígeno, incluso cuando los músculos están en reposo.
  • 61.
    Arteriopatía periférica enpiernas: síntomas • Síntomas: Los síntomas clásicos son dolor, molimiento, fatiga, ardor o molestia en los músculos de los pies, las pantorrillas o los muslos. • Al principio, estos síntomas pueden aparecer únicamente cuando se camina cuesta arriba, camina más rápidamente o camina distancias más largas. • Lentamente, estos síntomas aparecen de manera más rápida y con menos ejercicio. • Las piernas o los pies pueden sentirse entumecidos al estar en reposo. Las piernas también pueden sentirse frías al tacto y la piel puede aparecer pálida
  • 62.
    Arteriopatía periférica enpiernas • Otros síntomas mas graves: • impotencia • Dolor y calambres en la noche • Dolor u hormigueo en el pie o los dedos de los pies que pueden ser tan intenso que incluso el peso de la ropa o las sábanas de la cama es doloroso. • Dolor que empeora cuando la pierna está elevada y mejora cuando se descuelga las piernas sobre el lado de la cama. • Úlceras que no sanan.
  • 63.
    Arteriopatía periférica enpiernas: DIAGNOSTICO • (soplos arteriales en MsIs) • Disminución de la presión arterial en la extremidad afectada • Pérdida del vello en las piernas o los pies, o los dedos de los pies • Disminución o ausencia de pulso en la extremidad • Cuando la arteriopatía periférica es más grave, se puede detectar: atrofia muscular y debilidad. • Úlceras dolorosas que no sangran en los pies o los dedos de los pies (por lo regular negras) que sanan lentamente • Palidez de la piel o color azulado en los pies o los dedos de los pies (cianosis) • Piel tensa y brillante • Uñas gruesas en los dedos de los pies
  • 64.
    • Diferencia entreenfermedad y fenómeno de RAYNAUD • Aneurismas ateroscleróticos