CÁNCER ESOFÁGICO Arriaga Luis Juan Ramon
ANATO
MIA
HISTOLOGIA
TIPOS DE CÁNCER
 Benignos- leiomioma
 lipoma
 pólipos
 neurofibroma
 schuwanoma
 rabdomioma
Malignos –carcinoma epidermoide
-adenocarcinoma
otros –leiomiosarcoma, rabdomiosarcoma, linfoma,
melanoma
ADENOCARCINOMA
Epidemiologia
-octavo lugar en incidencia
-sexto lugar en mortalidad
-se localiza predominantemente en el
tercio inferior y en la unión
cardioesofagica
- afecta mas a hombres
- afecta en la edad adulta
ETIOPATOGENIA
CUADRO CLÍNICO
En etapas iniciales no presenta síntomas, pueden corresponder a
ERGE
1- historia de ERGE
2-Antecedentes de Tabaquismo
3-presencia de disfagia, odinofagia, o dolor
epigástrico
4-anemia
5- perdida de peso
CARCINOMA EPIDERMOIDE
Epidemiologia
- no hay predominancia de sexo
- mas común en Asia y norte de América
-principalmente en el tercio medio
ETIOPATOGENIA
- la deficiencia de oligoelementos en la dieta
-tipo de alimentación
-aditivos del cigarro
Tipo de alimentación.- legumbres que se conservan en salmuera o
vinagre, cantidades elevadas de nitrosamidas
Falta de oligoelementos- dietas carentes de vitamina A B C E, ingestión
de verduras carentes de hierro, zinc
Bebidas exageradamente calientes
Menor frecuencia.
- síndrome plummer vinson
- anemia de fanconi
-Antecedente de ingesta de causticos
ANATOMÍA PATOLÓGICA
1- crecimiento hacia la luz, (forma polipoide)
2-invasión pared esofágica circunferencial con
infiltración gradual de las capas (estenosante o
infiltrativa)
3-cambios de necrosis y ulceración (forma ulcerada)
Diseminación linfática y hematogena
CUADRO CLÍNICO
-sialorrea
-opresión retroesternal
DIAGNOSTICO
-Clínico- hiporexia, perdida peso,
paraneoplasicos
-estudios de laboratorio
-Endoscopia con toma de muestra
-Esofagograma
-TAC
-PET
-Ultrasonido endoscópico
-ENDOSCOPIA CON TOMA DE
MUESTRA
-
ESOFAGOGR
AMA
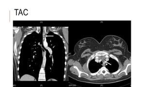
TAC
PET
ULTRASONIDO ENDOSCÓPICO
TNM
TRATAMIENTO
-preventivo- obesidad, crónico degenerativas, tabaco, alcohol,
alimentación, ERGE
-Paliativo – sondas, dilataciones, radioterapia, quimioterapia,
gastrostomía
-Quirúrgico
.resección endoscópica de mucosa
.cirugía –esofagectomía transhiatal
-esofagectomía transtoracica
-esofagectomía de tres campos o de mckeown
PALIATIVO
QUIRÚRGICO
Esofagectomía transhiatal
esofagectomía transtoracica
-esofagectomía de tres
campos o de mckeown

Cáncer esofágico