Demencias Vasculares
Luis Fernando Collazos Marín
Residente Tercer Año Psiquiatría
Univalle
INTRODUCCIÓN
Demencias Vasculares (VaD) y Deterioro
Cognitivo Vascular (VCI):
• ECV o alt flujo sanguíneo cerebral.
• 2da forma ++ demencia. Prevalencia 0,6 a 2,1%.
• Coexistencia de EA y Dva. Dx Difícil (FxR CV)
Neuroimagen
• Cualquier lesión cerebral CV no suficiente para Dx.
Enf neurodegenerativas
• Muy común con envejecimiento y se puede
acompañar de otras neuropatologías.
VaD se reconoce en escenarios clínicos.
• ACV clínica/ Dx seguido por demencia
• Lesión cerebral vascular (imágenes
cerebrales) en pcte con deterioro
cognitivo pero sin ant clínicos ACV.
Características clínicas + imágenes
cerebrales
• Ubicación y gravedad de lesión cerebral
 Juicio clínico sobre si enf
cerebrovascular es suficiente para
causar VaD.
• Dx VaD NO completo hasta  Dx enf
cerebrovasculares o CV subyacentes.
Eric Smith, MD, Clinton B Wright, MD, MS. Etiology, clinical manifestations, and diagnosis of vascular dementia - UpToDate. May 2020
DEFINICIONES
Deterioro Cognitivo Vascular
(NINDS-AIREN):
• “Deterioro cognitivo
causado por o asociado con
Fx vasculares".
• Demencia, DCL causado por
enf cerebrovascular.
Etiología múltiple o demencia
mixta:
• VaD pura: menos común que
demencia de etiología múltiple
o "mixta“.
• Neuropatología de EA (placas
y enredos βA)  concurrentes
con DaV.
• Demencia mixta: VaD + Dx
otro Tx neurodegenerativo
como EA.
Eric Smith, MD, Clinton B Wright, MD, MS. Etiology, clinical manifestations, and diagnosis of vascular dementia - UpToDate. May 2020
EPIDEMIOLOGÍA
• Cuantificación reto
• Cambios en: Adultos mayores ASx, demencia,
coexisten con EA.
• Clasificación errónea
• Neuroimágenes detectar lesión cerebral
vascular clínica/ no reconocida, uso de
biomarcadores EA, o con confirmación
neuropatológica.
• Pocos estudios DCL vascular y de riesgo de
pasar de DCL vascular a demencia.
Incidencia y
prevalencia:
Enf vascular causa o contribuyente 25-50% casos demencia.
Demencia vascular 2da causa demencia.
Demencia vascular pura  poco común 10% todos casos demencia
Demencia mixta (EA)  30-40%.
.
Enf cerebral vasos pequeños: 33% riesgo
de demencia.
.
Prevalencia >65años: 1.6 por 100 y ↑ con
edad.
.
Framingham Heart Study >60a (2004-
2008): 0,4 personas de cada 100
desarrollaron demencia vascular a 5 años.
Eric Smith, MD, Clinton B Wright, MD, MS. Etiology, clinical manifestations, and diagnosis of vascular dementia - UpToDate. May 2020
FACTORES DE RIESGO
FxR modificables:
2 Mx ACV
isquémico
susceptibles
prevención 2ria:
FxR no
modificables:
•HTA
•DM
•Tabaquismo
•Dislipidemia
•Inactividad física
•FA
•Estenosis AA carótida
•Edad avanzada, > 80 años
•Raza y etnia, > riesgo
negros que blancos
•Sexo, > riesgo mayoría
edades hombres.
Ant Fliar y Tx genéticos,
> mayor riesgo gemelos
monocigóticos, Tx
genéticos (enf células
falciformes o arteriopatía
cerebral autosómica
dominante con infartos
subcorticales y
leucoencefalopatía).
Evaluar RCV
Framingham.
Control FxR
ateroscleróticos
 prevención
1ria y 2ria ACV.
Karen L Furie, MD, MPH, Natalia S Rost, MD, MPH. Overview of secondary prevention of ischemic stroke - UpToDate. May 2020
Karen L Furie, MD, MPH, Natalia S Rost, MD, MPH. Overview of secondary prevention of ischemic stroke - UpToDate. May 2020
FACTORES DE RIESGO
Alcohol
• Consumo ligero
(1-2 bebidas /
día) < riesgo
ACV isquémico
• Consumo
excesivo  >
riesgo.
Enf cardíaca
• FA causa más
común ACV
cardioembólico.
• IAM, disfunción
ventricular izq, enf
valvular, trombo
ventricular izq ,
defectos tabique
auricular y ateroma
complejo en aorta
ascendente o el arco
proximal.
Fibrinógeno
• Asoc riesgo ACV y
Enf
cardiovascular
mecanismos
aterogénesis e
inflamación, ↑
viscosidad sanguínea
y plasmática, ↑
agregación
plaquetaria, > mayor
tendencia a formar
fibrina dentro del
trombo.
• ↑ fibrinógeno placa
aterosclerótica:
adelgazamiento capa
fibrosa ateroma
(predispone ruptura y
↑ infla placa).
Hipercoagulabilidad
• Estados
hipercoagulabid
ad ↑ riesgo
TIA y ACV.
Sd antifosfolípido
• Trombosis VV y
AA o
tromboembolism
o.
Karen L Furie, MD, MPH, Natalia S Rost, MD, MPH. Overview of secondary prevention of ischemic stroke - UpToDate. May 2020
FACTORES DE RIESGO
• Trombofilias hereditarias (estados
hipercoagulables):
• Deficiencia de proteína C
• Deficiencia de proteína S
• Deficiencia de antitrombina
• Resistencia a la proteína C activada
• Factor V Leiden como causa de
resistencia a la proteína C activada
• Mutación de protrombina G20210A
• Mutaciones de
metilenetetrahidrofolato reductasa
(MTHFR) asociadas con
hiperhomocisteinemia
• Relacionadas con trombosis VV. NO
claro si predisponen a
tromboembolismo AA y ACV.
Hiperhomocisteinemia:
• ↑ homocisteína: > riesgo enf
coronaria y cerebrovascular.
• > riesgo ACV isquémico AA
grandes, y posiblemente AA
pequeñas. NO
cardioembólicos.
Infección:
• Algunos informes >
riesgo ACV: CMV, VHS,
neumonía por clamidia,
H. pylori, especies de
Legionella y enf
periodontal.
Inflamación:
• Contribuye aterosclerosis
y riesgo ACV.
• ↑ PCR > riesgo largo
plazo eventos
cardiovasculares (ACV
isquémico).
• NO establecido umbrales
críticos.
Karen L Furie, MD, MPH, Natalia S Rost, MD, MPH. Overview of secondary prevention of ischemic stroke - UpToDate. May 2020
FACTORES DE RIESGO
Recuentos
leucocitos y
neutrófilos.
• ↑leucos semana ant ACV
recurrente y en de novo.
Fx relacionados
con lípidos.
• Lipoproteína (a) [Lp
(a)] FxR modesto
independiente. Asoc
fosfolipasa A2.
Sd metabólico:.
• Considera prediabética
relacionada > riesgo de
cardiopatía. No claro si
FxR independiente para
ACV isquémico más allá
suma de sus
componentes
individuales,.
Obesidad.
• > riesgo ACV.
Tx respiratorios
relacionados con
sueño:
• (SAHOS) > riesgo ACV.
Radioterapia.
• Cabeza y cuello TTO
CA prod vasculopatía
retrasada vasos grandes
y pequeños mediada por
daño endotelial, fibrosis
y aterosclerosis
acelerada. Enf oclusiva
relacionada con
radioterapia.
Karen L Furie, MD, MPH, Natalia S Rost, MD, MPH. Overview of secondary prevention of ischemic stroke - UpToDate. May 2020
Factores de riesgo
Edad
avanzada
HTA Diabetes
↑ Colesterol
total
↓ Actividad
física
↑ o ↓ IMC
Tabaquismo
activo
Enf AA
coronaria
FA
Eric Smith, MD, Clinton B Wright, MD, MS. Etiology, clinical manifestations, and diagnosis of vascular dementia - UpToDate. May 2020
ACV puede causar demencia vascular.
FxR ACV también son para demencia vascular.
FxR Demencia posteriores a ACV
• 14% ant demencia, y
12% No Dx demencia
previa  Dx
Demencia luego de
1er ACV.
Pctes hosp por
ACV
• Edad avanzada, raza
no blanca, ↓
educación, diabetes y
FA.
Fx previos al
ACV
• Hemorragia
intracerebral, afasia,
localización
hemisferio izqy ACV
múltiples o
recurrentes.
Fx por el ACV
• Incontinencia,
confusión o
convulsiones.
Complicaciones
del ACV
• Evidencia imagen
cerebral
leucoaraiosis, atrofia
gralizada, atrofia lob
temporal medial y
depositos de βA.
↓ Reserva
cerebral
Eric Smith, MD, Clinton B Wright, MD, MS. Etiology, clinical manifestations, and diagnosis of vascular dementia - UpToDate. May 2020
Enfermedad de Alzheimer y otras demencias. Instituto Nacional de Geriatría. Unidad 2. Conceptos básicos. Pag 17-37. 2014
Enfermedad de Alzheimer y otras demencias. Instituto Nacional de Geriatría. Unidad 2. Conceptos básicos. Pag 17-37. 2014
ETIOLOGÍA
Enf vasculatura cerebral y sist
CV
• Hipoperfusión y embolia cardiaca.
• Enf  interrumpen función cerebral N y
causan deterioro cognitivo por isquemia
cerebral o pérdida integridad vascular con
hemorragia.
VaD
• Cualquier causa de ACV isquémico
(cardioembolismo, aterosclerosis AA
grandes, enf vasos pequeños cerebrales),
hemorragia intracerebral o subaracnoidea
 si lesión cerebral suficiente/ grave.
• Enf cerebrales vasos pequeños.
• 20-25% ACV: correlato neuropatológico
más común.
Eric Smith, MD, Clinton B Wright, MD, MS. Etiology, clinical manifestations, and diagnosis of vascular dementia - UpToDate. May 2020
• Enf pequeños vasos cerebrales
arterioescleróticos:
• Regiones subcorticales (ganglios
basales y corona radiada) 
presume menos vasos colaterales
subcorticales en comparación con
rica colateralización de corteza.
• Múltiples infartos lacunares o
lesiones extensas y confluentes de
sust blanca.
• Sinónimos: Enf Binswanger y
demencia vascular isquémica
subcortical.
• Puede haber microinfartos corticales,
neurodegeneración 2ria con
apoptosis  adelgazamiento
cortical.
• Angiopatía amiloide cerebral
(AAC):
• 2do tipo más común de enf de vasos
pequeños cerebrales. Depósitos βA
en AA pequeñas y arteriolas en
leptomeninges y corteza.
• Pérdida integridad vascular 
hemorragias cerebrales grandes ASx,
Sx y pequeñas.
• Hemorragias restringidas a
ubicaciones típicas en corteza o sust
blanca subcortical (lobulares) con
preservación de ganglios basales y el
tronco encefálico.
Eric Smith, MD, Clinton B Wright, MD, MS. Etiology, clinical manifestations, and diagnosis of vascular dementia - UpToDate. May 2020
Otros
Causas raras y menos
comunes de enf cerebral de
pequeños vasos:
Tx genéticos  Arteriopatía
cerebral autosómica dominante
con infartos subcorticales y
leucoencefalopatía (CADASIL).
Vasculitis de vasos pequeños y
otros Tx infla y colagenosis
venosa.
No existen criterios
Dx claros para
Deterioro Cognitivo
Vascular.
Término que destaca
rango de patología,
en lugar de una
entidad de Dx
claramente validada.
Eric Smith, MD, Clinton B Wright, MD, MS. Etiology, clinical manifestations, and diagnosis of vascular dementia - UpToDate. May 2020
Demencia luego a ACV
Vínculo enf cerebrovascular e inicio
deterioro cognitivo.
• Deterioro cognitivo gradual. Relativa/ claro.
• Deterioro funciones ejecutivas, memoria episódica relativa/
conservada.
• Otros Sg corticales de ACV como afasia y apraxia. Amplia
variación perfil cognitivo, relacionada con heterogeneidad en
ubicación y tamaño ACV.
• No todos → Sd clásico deterioro desproporcionado función
ejecutiva.
• Infarto talámico ant→ deterioro aislado memoria con
preservación otros dominios (imitar perfil EA).
Demencia por infarto múltiple (o
hemorragia múltiple):
• Daño múltiples regiones cerebro tiene efecto
acumulativo.
• Intentos identificar umbral de vol de infarto que
predice demencia post a ACV→ fallado, R/=
inconsistentes.
• Incapacidad para identificar umbral: variación
reserva cognitiva y cerebral entre individuos y
consideración inadecuada del papel de la ubicación
de lesión.
Eric Smith, MD, Clinton B Wright, MD, MS. Etiology, clinical manifestations, and diagnosis of vascular dementia - UpToDate. May 2020
Demencia luego a ACV
Infarto estratégico (o hemorragia):
• Daño en una sola ubicación del cerebro→ suficiente para deterioro cognitivo clínica/
significativo.
• Lóbulos frontales mediales (territorio AA cerebral anterior), cortezas lenguaje, tálamo y
lóbulos temporales mediales.
Deterioro cognitivo puede mejorar→ recuperación ACV.
• Evolución estático y no progresivo→ TTO FxR CV y no ACV recurrentes.
• 10% desarrollarán nueva demencia 1-4 años luego de ACV.
• Estudios basados ​​en población→ tasa promedio de deterioro cognitivo se
acelera luego ACV.
• +1/2 nuevos casos de demencia >1 a→ nuevos ACV recurrentes.
• Resto nuevos casos de demencia + Sx cognitivos progresivos→ Enf cerebral
progresiva de pequeños vasos y no a la EA.
Eric Smith, MD, Clinton B Wright, MD, MS. Etiology, clinical manifestations, and diagnosis of vascular dementia - UpToDate. May 2020
Demencia vascular sin ACV reciente
Deterioro
cognitivo
progresivo o
gradual sin ant
concurrente de
ACV Sx, pero
con evidencia
de imágenes de
enf
cerebrovascular
clínica/ no
reconocida.
• "Silenciosa
o
encubierta"
→
rendimiento
cognitivo
más ↓ y ↑
riesgo
demencia.
Enf de vasos pequeños cerebrales
arterioloscleróticos
• Deterioro función ejecutiva y vel
procesamiento. NO exclusivo estos
dominios, tmbn daños globales en
memoria y otras funciones.
• EA vs VCI→ mejor aprendizaje verbal
y memoria, y peor función ejecutiva.
• Deterioro cognitivo puede progresar en
una serie de ↓ escalonadas→ ACV no
reconocidos, o puede ser suave y
progresivo
Eric Smith, MD, Clinton B Wright, MD, MS. Etiology, clinical manifestations, and diagnosis of vascular dementia - UpToDate. May 2020
Demencia vascular sin ACV reciente
Enf cerebral de vasos pequeños debido a AAC)
• Deterioro cognitivo en ausencia de ACV.
• Perfil similar al ant. Memoria episódica no afectada en = grado que EA
Sg neuropsiquiátricos y motores:
• Depresión, abulia, apatía y psicosis con delirios o alucinaciones. Risa o llanto
patológicos (afecto pseudobulbar).
• ↓marcha→ enf cerebral pequeños vasos, puede conducir a Sd con parkinsonismo
de la parte inf cuerpo .
• ↑ frecuencia urinaria.
• Sg y Sx relacionados con ACV → afasia, debilidad motora y deficiencias
sensoriales.
Eric Smith, MD, Clinton B Wright, MD, MS. Etiology, clinical manifestations, and diagnosis of vascular dementia - UpToDate. May 2020
DIAGNOSTICO DIFERENCIAL
• Declive gradual y progresivo.
• > deterioro memoria episódica.
Presentaciones atípicas EA (frontal).
• HC y neuroimagen→ suficientes para Dx.
• Puntaje isquémico de Hachinski: Predecir
probabilidad demencia vascular o
contribución vascular a demencia de
etiología múltiple.
• PET amiloide o mediciones tau beta-
amiloide y fosforilada LCR→ EA.
• PET 18-F (FDG): hipometabolismo parietal
y temporal EA. Hipometabolismo > irregular
y heterogéneo VaD.
Enf de Alzheimer
• Enf cuerpo de Lewy (Parkinson y demencia
Lewy) → ↓ gradual y progresiva con Sx
de marcha.
• Parkinsonismo vascular (“parte inferior del
cuerpo")→ bradicinesia afecta más a
piernas que a brazos. NO temblor en
reposo (Parkinson).
• Tx comportamiento sueño + REM,
fluctuaciones nivel alerta y disfunción
visoespacial→ Demencia cuerpos de
Lewy.
Enf Parkinson y
otras demencias
Eric Smith, MD, Clinton B Wright, MD, MS. Etiology, clinical manifestations, and diagnosis of vascular dementia - UpToDate. May 2020
DIAGNOSTICO DIFERENCIAL
• Hidrocefalia de presión normal:
• ↓ cognición + marcha lenta +
incontinencia urinaria.
• Perfil cognitivo similar demencia
vascular, función ejecutiva (presión
tractos materia blanca
periventricular desde lóbulos
frontales).
• NPH y DaV→ marcha lenta, pero Sg
• Marcha NPH: marcha "magnética"
apráxica de base ancha.
• Enf cerebral vasos pequeños:
marcha más estrecha y se parece
más a la del parkinsonismo.
• Depresión:
• Apatía, lentitud psicomotora y
disfunción ejecutiva imitan
perfil neuropsicológico
demencia vascular.
• Depresión > 50 años→
considerar si depresión es Mx
inicial de Tx neurodegenerativo
o VCI.
• Depresión en vejez→ > carga
enf cerebrovascular silenciosa
definida RMN y confiere > riesgo
Dx futuro de demencia vascular.
Eric Smith, MD, Clinton B Wright, MD, MS. Etiology, clinical manifestations, and diagnosis of vascular dementia - UpToDate. May 2020
DIAGNOSTICO DIFERENCIAL
Eric B Larson. Evaluation of cognitive impairment and dementia. ©2020 UpToDate, review April 2020.
EVALUACIÓN
• Gravedad y perfil del deterioro cognitivo, HC y
ant ACV, FxR y causas ACV o enf
cerebrovascular silenciosa, imágenes cerebrales
enf cerebrovascular silenciosa y características
clínicas o biomarcadores de otras enf
neurodegenerativas.
• Historia: Curso temporal deterioro cognitivo y
relación con ABVD e AIVD.
• Determinar historial previo ACV, así como
momento en relación con inicio de Sx
cognitivos.
• Puntaje isquémico de Hachinski → info historial
médico pasado, curso cognitivo, Sx psiquiátricos
y examen neurológico para: probabilidad
contribución vascular a la demencia.
Eric B Larson. Evaluation of cognitive impairment and dementia. ©2020 UpToDate, review April 2020.
EVALUACIÓN
Pruebas de
detección
cognitiva:
• Evaluación cognitiva: diferenciar DCL o demencia.
• MoCA parecer más sensible que MMSE Folstein → VCI. < 25 → anormales
Pruebas
neuropsicológicas:
• Cuando patrón de deterioro cognitivo NO claro.
• > impedimentos vel, praxis, función ejecutiva y memoria visual, con deterioro < memoria episódica verbal.
• Mejor rendimiento: aprendizaje y recuerdo verbales.
• Peor rendimiento: función ejecutiva frontal.
Rendimiento
pruebas:
• Lenguaje, habilidades de construcción, registro memoria, función conceptual y atención y seguimiento→
similar EA.
• Limitaciones: Falta confirmación biomarcadores patología EA. Perfiles pruebas neuropsicológicas→ VaD Sd
alta/ heterogéneo, y pacientes individuales pueden tener perfil cognitivo que se superpone con EA.
Eric B Larson. Evaluation of cognitive impairment and dementia. ©2020 UpToDate, review April 2020.
EVALUACIÓN
Examen físico
• Deterioro marcha, bradicinesia, rigidez,
hiperreflexia y Sg focales presencia Enf cerebral
o ACV.
Laboratorio
• Electrolitos, creatinina, calcio, enzimas hepáticas,
recuento sanguíneo completo, vitamina B12 y
TSH.
Neuroimagen:
• RMN + sensible q TAC: imágenes cerebrales
estructurales → enf cerebrovascular silenciosa
clínica/ no reconocida, infarto o hemorragia.
• Sg enf cerebral de pequeñosvasos y
microhemorragias (indicar AAC).
• Criterios STRIVE: Definiciones radiológicas y
términos para cambios cerebrales por enf vasos
pequeños cerebrales.
EVALUACIÓN
Infartos no lacunares:
• Infartos >15mm o infartos de
cualquier tamaño en corteza
cerebral.
• Pueden ser
cardioembólicos.
• Infartos corticales <5mm →
microinfartos.
Lacunas de supuesto
origen vascular:
• Infartos pequeños ≤15mm en
regiones subcorticales.
Hiperintensidades sust
blanca o
hipodensidades de
presunto origen
vascular:
• áreas > señal de agua en
sust blanca:
Desmielinización, pérdida
axones y pérdida
oligodendrocitos (imagen 4).
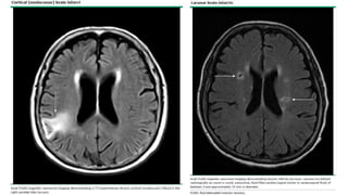
Eric B Larson. Evaluation of cognitive impairment and dementia. ©2020 UpToDate, review April 2020.
EVALUACIÓN
• Pequeñas áreas
redondeadas (<10 mm) de
pérdida de señal
(hipointensidad) áreas
depósito hemosiderina.
Microsangrados:
• Hipointensidad lineal a lo
largo de superficie cortical.
• A lo largo circunvolución
supratentorial simple o
múltiple→ gral/ Sg AAC,
otras causas hemorragia
superficial (Malform
vasculares o trombosis
venosa cortical).
Siderosis
superficial:
• Gral/ no se informan en
práctica radiológica de
rutina. Se vuelven más
visibles en pctes con enf
cerebrales de pequeños
vasos.
• Atrofia: atrofia cerebral
acelerada.
Espacios
perivasculares:
Eric B Larson. Evaluation of cognitive impairment and dementia. ©2020 UpToDate, review April 2020.
Evaluación causas Enf cerebrovascular
FxR Cv y causas de ACV →
prevención 2ria dirigida para
ACV recurrente.
• Historial FxR comportamiento y estilo
de vida (tabaquismo, dieta y obesidad)
• Medición de TA
• Evaluación pulso→ FA.
Infartos silenciosos de
apariencia embólica→ EKG
Holter.
Territorio perfusión AA
carótida→Imágenes
vasculares no invasivas→
descartar estenosis carotídea:
Revascularización carotídea.
Eric B Larson. Evaluation of cognitive impairment and dementia. ©2020 UpToDate, review April 2020.
DIAGNÓSTICO
AHA, DSM-5, Sociedad
Internacional de
Conducta Vascular y
Trastornos cognitivos
(VAS-COG. Elementos
comunes incluyen:
Deterioro Cognitivo
Vascular (VCI)
•Deterioro Cognitivo Vascular
Leve (MCI; "Tx neurocognitivo
menor vascular" en DSM-5)
•Demencia vascular (Tx
neurocognitivo vascular mayor).
Requisito para identificar
enf cerebrovascular:
•Ant cerebrovascular
•Neuroimagen enf
cerebrovascular silenciosa
Dx juicio: enf
cerebrovascular se
considera suficiente
para causar deterioro
cognitivo.
Afasia severa evitar
evaluación de cualquier
otra capacidad cognitiva
que no sea el lenguaje en
sí.
Eric B Larson. Evaluation of cognitive impairment and dementia. ©2020 UpToDate, review April 2020.
DIAGNÓSTICO
• Todos criterios Dx:
• Dx Demencia post ACV cuando afasia
impide función independiente en
actividades de vida diaria.
• Impacto cognición en función:
• Juicio impacto deterioro cognitivo del
impacto de impedimentos motores y
sensoriales luego de ACV.
• Historial ACV seguido un nuevo inicio
de demencia.
• Historia retrospectiva:
• Deterioro previo a ACV?  sugiere enf
neurodegenerativa superpuesta
adicional presente o enf cerebral
progresiva de pequeños vasos.
• HC + neuroimagen Dx demencia
vascular, EA o demencia mixta.
• Enf cerebrovascular silenciosa /
DCL vascular o demencia.
• AHA: "patología difusa de enf
cerebrovascular subcortical“.
• VAS-COG: 1 o 2 infartos de vasos
grandes, un infarto único grande o
estratégica/ colocado, múltiples
infartos lacunares (> 2) fuera del
tronco encefálico, una o dos
lagunas colocadas estratégica/o en
combinación con lesiones extensas
de sustancia blanca, o extensas y
confluentes Las lesiones de la sust
blanca de supuesto origen vascular.
Eric B Larson. Evaluation of cognitive impairment and dementia. ©2020 UpToDate, review April 2020.
MODIFICACIÓN DE RIESGO VASCULAR
Fx de riesgo:
• Evaluación y TTO HTA.
• Prevención 2ria de ACV
(recurrente):
• > riesgo de deterioro
cognitivo.
• Demencia post a ACV
 > mortalidad.
TTO todos
ppales FxR
ACV vs NO
TTO  ↓ riesgo
ACV recurrente
en 80%.
Eric Smith, MD, Clinton B Wright, MD, MS. Treatment of vascular cognitive impairment and dementia - UpToDate. May 2020
Terapia Anti-HTA
HTA es FxR estrategias ↓TA NO
probado específica/ para TTO VaD.
•Ensayo aleatorizado en pacientes sin enf
cerebrovascular establecida:
•TTO más agresivo de TA (TA objetivo 120 vs
140mmHg) se asoció:
•↑ medio menor en Vol lesión de sust blanca
(0,92 vs 1,45 cm)
•↓ > en Vol cerebral total (-30,6 vs -26,9 cm)
después 4a.
↓ agresiva TA 
comprometer perfusión
cerebral y puede ser
perjudicial en pacientes
con enf cerebrovascular
establecida.
NO sugieren ↓ agresiva
TAS < 120 mmHg en pctes
con VaD Sx.
Eric Smith, MD, Clinton B Wright, MD, MS. Treatment of vascular cognitive impairment and dementia - UpToDate. May 2020
Terapia Anti-HTA
TTO HTA previo Dx de ACV.
Inicio anti-HTA cualquier tipo ACV isquémico o AIT TA ≥140 /90 mmHg.
Además en aquellos sin Dx HTA con ACV aterotrombótico, lacunar (oclusivo de
vasos pequeños) o criptogénico con TA > 120/70 mmHg
NO TTO anti-HTA en NO hipertensos: TA <130/80 mmHg con ACV o TIA
isquémico cardioembólico.
ACV isquémico agudo (1ras horas y días) NO ↓ TA demasiado rápido.
Modificaciones estilo de vida:↓ peso, restricción Na++, dieta rica en frutas,
verduras y productos lácteos ↓ grasa, actividad física aeróbica regular y
consumo limitado -OH.
Karen L Furie, MD, MPH, Natalia S Rost, MD, MPH. Overview of secondary prevention of ischemic stroke - UpToDate. May 2020
TERAPIA ANTITROMBÓTICA
VaD + ant ACV isquémico o TIA antitrombótico.
Terapia Antiplaquetaria: Prevención 2ria ACV isquémico con ant ACV no cardioembólico o TIA.
ACV cardioembólico se puede preferir terapia anticoagulante sobre antiplaquetaria.
Mayoría pctes con VaD sin ant ACV isquémico o TIA individualizar TTO.
Neuroimágenes  lesiones sust blanca o infartos múltiples y sin contraindicaciones ASA 50-100mg día.
NO antiplaquetaria  hemorragia intracraneal previa, evidencia de siderosis superficial cortical o
microhemorragias múltiples, hemorragia sistémica mayor y otras contraindicaciones potenciales para ASA.
ASA no definida en enf cerebrovascular silenciosa
Eric Smith, MD, Clinton B Wright, MD, MS. Treatment of vascular cognitive impairment and dementia - UpToDate. May 2020
TERAPIA ANTITROMBÓTICA
Prevención ACV isquémico recurrente, con ant ACV no
cardioembólico o TIA aterotrombótico, lacunar (oclusivo de vasos
pequeños) o criptogénico.
• ASA (50-100mg día), clopidogrel (75 mg día) y combinación
de dipiridamol de liberación prolongada de aspirina (25 mg / 200
mg dos veces al día).
Terapia antiplaquetaria doble temprana a corto plazo (ASA +
clopidogrel): ↑ riesgo ACV, aterosclerosis intracraneal Sx reciente.
• Anticoagulación largo plazo (warfarina; dabigatrán, apixabán,
rivaroxabán o edoxabán) FA no valvular crónica. Terapia
anticoagulante > riesgo hemorragia mayor, pero beneficio
supera riesgo.
Terapia antitrombótica Sx neurológicos isquémicos ​​por
disección AA cervical.
Otras indicaciones de
anticoagulación:
• Válvulas cardíacas
mecánicas
• Miocardiopatía dilatada
• Valvulopatía reumática
• IAM reciente en pcte ↑
riesgo CV
Karen L Furie, MD, MPH, Natalia S Rost, MD, MPH. Overview of secondary prevention of ischemic stroke - UpToDate. May 2020
ESTATINAS
Pctes con enf vascular periférica y ant ACV
isquémico o TIA.
Dar según Fx CV evaluado.
Efecto hipolipemiante y pleiotrópicos
sobre función vascular combinándose
para inhibir aterosclerosis.
Efecto sobre desaceleración progresión
VaD incierto.
TTO (LDL-C) con estatinas:
• ↓ riesgo ACV. Otras intervenciones
↓ lípidos (fibratos, resinas, dieta)
no impacto significativo.
• Estatinas  propiedades
pleiotrópicas (Anti-aterotrombóticas,
antiinflamatorias).
• Incluso en pctes con CT "promedio“.
Eric Smith, MD, Clinton B Wright, MD, MS. Treatment of vascular cognitive impairment and dementia - UpToDate. May 2020
Enfoque para ↓ LDL-C
ACV o TIA isquémico
aterosclerótico:
Estatinas alta
intensidad (indepLDL-
C) Atorvastatina
80 mg/día.
No toleran TTO
estatinas ↑
intensidad
Moderada (Atorvastatina 10-
20mg dia, rosuvastatina 5-10
mg dia, simvastatina 20-
40mg dia, pravastatina 40-
80mg dia, lovastatina 40mg
dia, fluvastatina 40mgdia en
dos dosis divididas)
Baja (Pravastatina 10-20mg
dia o lovastatina 20mg dia).
LDL-C ≥70mg/dL a
pesar TTO estatinas
máximo tolerado
Agregar ezetimiba o
inhibidor de proproteína
convertasa subtilisina /
kexina tipo 9 (PCSK9)
[Alirocumab].
NO tolera ningún
régimen Ezetimiba.
Karen L Furie, MD, MPH, Natalia S Rost, MD, MPH. Overview of secondary prevention of ischemic stroke - UpToDate. May 2020
CONTROL DIABETES
NO estudios TTO VaD. Control
glucosa prevención
complicaciones DM.
Detección DM. Control según ADA.
HBA1C ≤7%.
ACV isquémico o TIA  control
glucosa cercanos a normoglucemia:
↓ complicaciones microvasculares.
Dieta, ejercicio, med
hipoglucemiantes orales e insulina.
Eric Smith, MD, Clinton B Wright, MD, MS. Treatment of vascular cognitive impairment and dementia - UpToDate. May 2020
Otros
Dejar de fumar.
Consumo de alcohol:
eliminar o ↓
consumo.
Actividad física y
ejercicio:
Dieta.
•Intensidad moderada a
vigorosa mayoría de días de
semana durante min 40 min.
•Tipo mediterránea.
•↓TA: ↓ ingesta sodio (<
2400mg por día).
Suplementación
con betacaroteno,
vitamina E y
vitamina C: NO
efectiva.
Aceite de pescado
(ácidos grasos
omega-3): ↓ TG,
parecer ↓ LDL-C y
↑ HDL-C. No
pruebas ↓ riesgo
ACV.
↓ peso.
Revascularización
AA carótida int
cervical con
endarterectomía o
colocación de
stent.
Karen L Furie, MD, MPH, Natalia S Rost, MD, MPH. Overview of secondary prevention of ischemic stroke - UpToDate. May 2020
TERAPIA FARMACOLÓGICA
Inhibidores colinesterasa:
• Deterioro cognitivo progresivo NO atribuible directa/ a ACV
clínico.
• Muchos de estos pctes  tendrán EA concomitante, y difícil
confirmar o excluir EA en pctes con VaD.
• Beneficio pequeño pero razonable para algunos pctes.
• NO se usa en pctes con Dx demencia luego ACV si no hay
un deterioro cognitivo progresivo.
Disfunción colinérgica VaD y EA.
• Estudios: beneficios pequeños y de importancia clínica
incierta.
Eric Smith, MD, Clinton B Wright, MD, MS. Treatment of vascular cognitive impairment and dementia - UpToDate. May 2020
TERAPIA FARMACOLÓGICA
Memantina:
• Antagonista ® N-metil-D-
aspartato, inhibe
excitotoxicidad y protege
contra lesiones
neurológicas.
• NO se sugiere su uso.
Aprobada para EA mod a
severa algunos médicos
pueden usarla en pctes
VaD porque EA no se
puede descartar y puede
ser comórbida con VaD.
Agentes de
investigación:
• Agentes evidencia no
concluyente. No
recomendada
• Nimodipina, alcaloides del
cornezuelo de centeno
(hidergina, nicergolina),
cerebrolisina, ginkgo biloba,
derivados de xantina
(propentofilina, pentoxifilina
y denbufilina),
citidinedifosfocolina y
piracetam.
Eric Smith, MD, Clinton B Wright, MD, MS. Treatment of vascular cognitive impairment and dementia - UpToDate. May 2020
TERAPIA NO FARMACOLÓGICA
• Ejercicio e
interacciones
sociales.
Intervenciones en
estilo de vida
• No evidencia ↑calidad.
• No beneficio sólido en
R/= cognitivos, pero sí
posible beneficio para
mejorar resultados
funcionales.
Ejercicio, nutrición
y otros cambios en
estilo de vida.
• Evidencia limitada.
Rehabilitación
cognitiva y física:
Eric Smith, MD, Clinton B Wright, MD, MS. Treatment of vascular cognitive impairment and dementia - UpToDate. May 2020
PRONÓSTICO
Tx heterogéneo progresión clínica constante.
• ACV agudo: se espera cierta recuperación función cognitiva.
Luego recuperación inicial mejora adicional es (-) probable.
• Deterioro cognitivo estable consistente. Otros deterioro cognitivo continuo.
FxR empeorar cognición cambios sust blanca y presencia atrofia lob temporal
medial.
• FxR mal pronostico ACV recurrentes y cognición alterada en línea de base
antes ACV.
Eric Smith, MD, Clinton B Wright, MD, MS. Treatment of vascular cognitive impairment and dementia - UpToDate. May 2020
Demencias Vasculares.pptx

Demencias Vasculares.pptx

  • 1.
    Demencias Vasculares Luis FernandoCollazos Marín Residente Tercer Año Psiquiatría Univalle
  • 2.
    INTRODUCCIÓN Demencias Vasculares (VaD)y Deterioro Cognitivo Vascular (VCI): • ECV o alt flujo sanguíneo cerebral. • 2da forma ++ demencia. Prevalencia 0,6 a 2,1%. • Coexistencia de EA y Dva. Dx Difícil (FxR CV) Neuroimagen • Cualquier lesión cerebral CV no suficiente para Dx. Enf neurodegenerativas • Muy común con envejecimiento y se puede acompañar de otras neuropatologías. VaD se reconoce en escenarios clínicos. • ACV clínica/ Dx seguido por demencia • Lesión cerebral vascular (imágenes cerebrales) en pcte con deterioro cognitivo pero sin ant clínicos ACV. Características clínicas + imágenes cerebrales • Ubicación y gravedad de lesión cerebral  Juicio clínico sobre si enf cerebrovascular es suficiente para causar VaD. • Dx VaD NO completo hasta  Dx enf cerebrovasculares o CV subyacentes. Eric Smith, MD, Clinton B Wright, MD, MS. Etiology, clinical manifestations, and diagnosis of vascular dementia - UpToDate. May 2020
  • 3.
    DEFINICIONES Deterioro Cognitivo Vascular (NINDS-AIREN): •“Deterioro cognitivo causado por o asociado con Fx vasculares". • Demencia, DCL causado por enf cerebrovascular. Etiología múltiple o demencia mixta: • VaD pura: menos común que demencia de etiología múltiple o "mixta“. • Neuropatología de EA (placas y enredos βA)  concurrentes con DaV. • Demencia mixta: VaD + Dx otro Tx neurodegenerativo como EA. Eric Smith, MD, Clinton B Wright, MD, MS. Etiology, clinical manifestations, and diagnosis of vascular dementia - UpToDate. May 2020
  • 4.
    EPIDEMIOLOGÍA • Cuantificación reto •Cambios en: Adultos mayores ASx, demencia, coexisten con EA. • Clasificación errónea • Neuroimágenes detectar lesión cerebral vascular clínica/ no reconocida, uso de biomarcadores EA, o con confirmación neuropatológica. • Pocos estudios DCL vascular y de riesgo de pasar de DCL vascular a demencia. Incidencia y prevalencia: Enf vascular causa o contribuyente 25-50% casos demencia. Demencia vascular 2da causa demencia. Demencia vascular pura  poco común 10% todos casos demencia Demencia mixta (EA)  30-40%. . Enf cerebral vasos pequeños: 33% riesgo de demencia. . Prevalencia >65años: 1.6 por 100 y ↑ con edad. . Framingham Heart Study >60a (2004- 2008): 0,4 personas de cada 100 desarrollaron demencia vascular a 5 años. Eric Smith, MD, Clinton B Wright, MD, MS. Etiology, clinical manifestations, and diagnosis of vascular dementia - UpToDate. May 2020
  • 5.
    FACTORES DE RIESGO FxRmodificables: 2 Mx ACV isquémico susceptibles prevención 2ria: FxR no modificables: •HTA •DM •Tabaquismo •Dislipidemia •Inactividad física •FA •Estenosis AA carótida •Edad avanzada, > 80 años •Raza y etnia, > riesgo negros que blancos •Sexo, > riesgo mayoría edades hombres. Ant Fliar y Tx genéticos, > mayor riesgo gemelos monocigóticos, Tx genéticos (enf células falciformes o arteriopatía cerebral autosómica dominante con infartos subcorticales y leucoencefalopatía). Evaluar RCV Framingham. Control FxR ateroscleróticos  prevención 1ria y 2ria ACV. Karen L Furie, MD, MPH, Natalia S Rost, MD, MPH. Overview of secondary prevention of ischemic stroke - UpToDate. May 2020 Karen L Furie, MD, MPH, Natalia S Rost, MD, MPH. Overview of secondary prevention of ischemic stroke - UpToDate. May 2020
  • 6.
    FACTORES DE RIESGO Alcohol •Consumo ligero (1-2 bebidas / día) < riesgo ACV isquémico • Consumo excesivo  > riesgo. Enf cardíaca • FA causa más común ACV cardioembólico. • IAM, disfunción ventricular izq, enf valvular, trombo ventricular izq , defectos tabique auricular y ateroma complejo en aorta ascendente o el arco proximal. Fibrinógeno • Asoc riesgo ACV y Enf cardiovascular mecanismos aterogénesis e inflamación, ↑ viscosidad sanguínea y plasmática, ↑ agregación plaquetaria, > mayor tendencia a formar fibrina dentro del trombo. • ↑ fibrinógeno placa aterosclerótica: adelgazamiento capa fibrosa ateroma (predispone ruptura y ↑ infla placa). Hipercoagulabilidad • Estados hipercoagulabid ad ↑ riesgo TIA y ACV. Sd antifosfolípido • Trombosis VV y AA o tromboembolism o. Karen L Furie, MD, MPH, Natalia S Rost, MD, MPH. Overview of secondary prevention of ischemic stroke - UpToDate. May 2020
  • 7.
    FACTORES DE RIESGO •Trombofilias hereditarias (estados hipercoagulables): • Deficiencia de proteína C • Deficiencia de proteína S • Deficiencia de antitrombina • Resistencia a la proteína C activada • Factor V Leiden como causa de resistencia a la proteína C activada • Mutación de protrombina G20210A • Mutaciones de metilenetetrahidrofolato reductasa (MTHFR) asociadas con hiperhomocisteinemia • Relacionadas con trombosis VV. NO claro si predisponen a tromboembolismo AA y ACV. Hiperhomocisteinemia: • ↑ homocisteína: > riesgo enf coronaria y cerebrovascular. • > riesgo ACV isquémico AA grandes, y posiblemente AA pequeñas. NO cardioembólicos. Infección: • Algunos informes > riesgo ACV: CMV, VHS, neumonía por clamidia, H. pylori, especies de Legionella y enf periodontal. Inflamación: • Contribuye aterosclerosis y riesgo ACV. • ↑ PCR > riesgo largo plazo eventos cardiovasculares (ACV isquémico). • NO establecido umbrales críticos. Karen L Furie, MD, MPH, Natalia S Rost, MD, MPH. Overview of secondary prevention of ischemic stroke - UpToDate. May 2020
  • 8.
    FACTORES DE RIESGO Recuentos leucocitosy neutrófilos. • ↑leucos semana ant ACV recurrente y en de novo. Fx relacionados con lípidos. • Lipoproteína (a) [Lp (a)] FxR modesto independiente. Asoc fosfolipasa A2. Sd metabólico:. • Considera prediabética relacionada > riesgo de cardiopatía. No claro si FxR independiente para ACV isquémico más allá suma de sus componentes individuales,. Obesidad. • > riesgo ACV. Tx respiratorios relacionados con sueño: • (SAHOS) > riesgo ACV. Radioterapia. • Cabeza y cuello TTO CA prod vasculopatía retrasada vasos grandes y pequeños mediada por daño endotelial, fibrosis y aterosclerosis acelerada. Enf oclusiva relacionada con radioterapia. Karen L Furie, MD, MPH, Natalia S Rost, MD, MPH. Overview of secondary prevention of ischemic stroke - UpToDate. May 2020
  • 9.
    Factores de riesgo Edad avanzada HTADiabetes ↑ Colesterol total ↓ Actividad física ↑ o ↓ IMC Tabaquismo activo Enf AA coronaria FA Eric Smith, MD, Clinton B Wright, MD, MS. Etiology, clinical manifestations, and diagnosis of vascular dementia - UpToDate. May 2020 ACV puede causar demencia vascular. FxR ACV también son para demencia vascular.
  • 10.
    FxR Demencia posterioresa ACV • 14% ant demencia, y 12% No Dx demencia previa  Dx Demencia luego de 1er ACV. Pctes hosp por ACV • Edad avanzada, raza no blanca, ↓ educación, diabetes y FA. Fx previos al ACV • Hemorragia intracerebral, afasia, localización hemisferio izqy ACV múltiples o recurrentes. Fx por el ACV • Incontinencia, confusión o convulsiones. Complicaciones del ACV • Evidencia imagen cerebral leucoaraiosis, atrofia gralizada, atrofia lob temporal medial y depositos de βA. ↓ Reserva cerebral Eric Smith, MD, Clinton B Wright, MD, MS. Etiology, clinical manifestations, and diagnosis of vascular dementia - UpToDate. May 2020
  • 11.
    Enfermedad de Alzheimery otras demencias. Instituto Nacional de Geriatría. Unidad 2. Conceptos básicos. Pag 17-37. 2014
  • 12.
    Enfermedad de Alzheimery otras demencias. Instituto Nacional de Geriatría. Unidad 2. Conceptos básicos. Pag 17-37. 2014
  • 13.
    ETIOLOGÍA Enf vasculatura cerebraly sist CV • Hipoperfusión y embolia cardiaca. • Enf  interrumpen función cerebral N y causan deterioro cognitivo por isquemia cerebral o pérdida integridad vascular con hemorragia. VaD • Cualquier causa de ACV isquémico (cardioembolismo, aterosclerosis AA grandes, enf vasos pequeños cerebrales), hemorragia intracerebral o subaracnoidea  si lesión cerebral suficiente/ grave. • Enf cerebrales vasos pequeños. • 20-25% ACV: correlato neuropatológico más común. Eric Smith, MD, Clinton B Wright, MD, MS. Etiology, clinical manifestations, and diagnosis of vascular dementia - UpToDate. May 2020
  • 15.
    • Enf pequeñosvasos cerebrales arterioescleróticos: • Regiones subcorticales (ganglios basales y corona radiada)  presume menos vasos colaterales subcorticales en comparación con rica colateralización de corteza. • Múltiples infartos lacunares o lesiones extensas y confluentes de sust blanca. • Sinónimos: Enf Binswanger y demencia vascular isquémica subcortical. • Puede haber microinfartos corticales, neurodegeneración 2ria con apoptosis  adelgazamiento cortical. • Angiopatía amiloide cerebral (AAC): • 2do tipo más común de enf de vasos pequeños cerebrales. Depósitos βA en AA pequeñas y arteriolas en leptomeninges y corteza. • Pérdida integridad vascular  hemorragias cerebrales grandes ASx, Sx y pequeñas. • Hemorragias restringidas a ubicaciones típicas en corteza o sust blanca subcortical (lobulares) con preservación de ganglios basales y el tronco encefálico. Eric Smith, MD, Clinton B Wright, MD, MS. Etiology, clinical manifestations, and diagnosis of vascular dementia - UpToDate. May 2020
  • 18.
    Otros Causas raras ymenos comunes de enf cerebral de pequeños vasos: Tx genéticos  Arteriopatía cerebral autosómica dominante con infartos subcorticales y leucoencefalopatía (CADASIL). Vasculitis de vasos pequeños y otros Tx infla y colagenosis venosa. No existen criterios Dx claros para Deterioro Cognitivo Vascular. Término que destaca rango de patología, en lugar de una entidad de Dx claramente validada. Eric Smith, MD, Clinton B Wright, MD, MS. Etiology, clinical manifestations, and diagnosis of vascular dementia - UpToDate. May 2020
  • 20.
    Demencia luego aACV Vínculo enf cerebrovascular e inicio deterioro cognitivo. • Deterioro cognitivo gradual. Relativa/ claro. • Deterioro funciones ejecutivas, memoria episódica relativa/ conservada. • Otros Sg corticales de ACV como afasia y apraxia. Amplia variación perfil cognitivo, relacionada con heterogeneidad en ubicación y tamaño ACV. • No todos → Sd clásico deterioro desproporcionado función ejecutiva. • Infarto talámico ant→ deterioro aislado memoria con preservación otros dominios (imitar perfil EA). Demencia por infarto múltiple (o hemorragia múltiple): • Daño múltiples regiones cerebro tiene efecto acumulativo. • Intentos identificar umbral de vol de infarto que predice demencia post a ACV→ fallado, R/= inconsistentes. • Incapacidad para identificar umbral: variación reserva cognitiva y cerebral entre individuos y consideración inadecuada del papel de la ubicación de lesión. Eric Smith, MD, Clinton B Wright, MD, MS. Etiology, clinical manifestations, and diagnosis of vascular dementia - UpToDate. May 2020
  • 21.
    Demencia luego aACV Infarto estratégico (o hemorragia): • Daño en una sola ubicación del cerebro→ suficiente para deterioro cognitivo clínica/ significativo. • Lóbulos frontales mediales (territorio AA cerebral anterior), cortezas lenguaje, tálamo y lóbulos temporales mediales. Deterioro cognitivo puede mejorar→ recuperación ACV. • Evolución estático y no progresivo→ TTO FxR CV y no ACV recurrentes. • 10% desarrollarán nueva demencia 1-4 años luego de ACV. • Estudios basados ​​en población→ tasa promedio de deterioro cognitivo se acelera luego ACV. • +1/2 nuevos casos de demencia >1 a→ nuevos ACV recurrentes. • Resto nuevos casos de demencia + Sx cognitivos progresivos→ Enf cerebral progresiva de pequeños vasos y no a la EA. Eric Smith, MD, Clinton B Wright, MD, MS. Etiology, clinical manifestations, and diagnosis of vascular dementia - UpToDate. May 2020
  • 22.
    Demencia vascular sinACV reciente Deterioro cognitivo progresivo o gradual sin ant concurrente de ACV Sx, pero con evidencia de imágenes de enf cerebrovascular clínica/ no reconocida. • "Silenciosa o encubierta" → rendimiento cognitivo más ↓ y ↑ riesgo demencia. Enf de vasos pequeños cerebrales arterioloscleróticos • Deterioro función ejecutiva y vel procesamiento. NO exclusivo estos dominios, tmbn daños globales en memoria y otras funciones. • EA vs VCI→ mejor aprendizaje verbal y memoria, y peor función ejecutiva. • Deterioro cognitivo puede progresar en una serie de ↓ escalonadas→ ACV no reconocidos, o puede ser suave y progresivo Eric Smith, MD, Clinton B Wright, MD, MS. Etiology, clinical manifestations, and diagnosis of vascular dementia - UpToDate. May 2020
  • 23.
    Demencia vascular sinACV reciente Enf cerebral de vasos pequeños debido a AAC) • Deterioro cognitivo en ausencia de ACV. • Perfil similar al ant. Memoria episódica no afectada en = grado que EA Sg neuropsiquiátricos y motores: • Depresión, abulia, apatía y psicosis con delirios o alucinaciones. Risa o llanto patológicos (afecto pseudobulbar). • ↓marcha→ enf cerebral pequeños vasos, puede conducir a Sd con parkinsonismo de la parte inf cuerpo . • ↑ frecuencia urinaria. • Sg y Sx relacionados con ACV → afasia, debilidad motora y deficiencias sensoriales. Eric Smith, MD, Clinton B Wright, MD, MS. Etiology, clinical manifestations, and diagnosis of vascular dementia - UpToDate. May 2020
  • 26.
    DIAGNOSTICO DIFERENCIAL • Declivegradual y progresivo. • > deterioro memoria episódica. Presentaciones atípicas EA (frontal). • HC y neuroimagen→ suficientes para Dx. • Puntaje isquémico de Hachinski: Predecir probabilidad demencia vascular o contribución vascular a demencia de etiología múltiple. • PET amiloide o mediciones tau beta- amiloide y fosforilada LCR→ EA. • PET 18-F (FDG): hipometabolismo parietal y temporal EA. Hipometabolismo > irregular y heterogéneo VaD. Enf de Alzheimer • Enf cuerpo de Lewy (Parkinson y demencia Lewy) → ↓ gradual y progresiva con Sx de marcha. • Parkinsonismo vascular (“parte inferior del cuerpo")→ bradicinesia afecta más a piernas que a brazos. NO temblor en reposo (Parkinson). • Tx comportamiento sueño + REM, fluctuaciones nivel alerta y disfunción visoespacial→ Demencia cuerpos de Lewy. Enf Parkinson y otras demencias Eric Smith, MD, Clinton B Wright, MD, MS. Etiology, clinical manifestations, and diagnosis of vascular dementia - UpToDate. May 2020
  • 27.
    DIAGNOSTICO DIFERENCIAL • Hidrocefaliade presión normal: • ↓ cognición + marcha lenta + incontinencia urinaria. • Perfil cognitivo similar demencia vascular, función ejecutiva (presión tractos materia blanca periventricular desde lóbulos frontales). • NPH y DaV→ marcha lenta, pero Sg • Marcha NPH: marcha "magnética" apráxica de base ancha. • Enf cerebral vasos pequeños: marcha más estrecha y se parece más a la del parkinsonismo. • Depresión: • Apatía, lentitud psicomotora y disfunción ejecutiva imitan perfil neuropsicológico demencia vascular. • Depresión > 50 años→ considerar si depresión es Mx inicial de Tx neurodegenerativo o VCI. • Depresión en vejez→ > carga enf cerebrovascular silenciosa definida RMN y confiere > riesgo Dx futuro de demencia vascular. Eric Smith, MD, Clinton B Wright, MD, MS. Etiology, clinical manifestations, and diagnosis of vascular dementia - UpToDate. May 2020
  • 28.
    DIAGNOSTICO DIFERENCIAL Eric BLarson. Evaluation of cognitive impairment and dementia. ©2020 UpToDate, review April 2020.
  • 30.
    EVALUACIÓN • Gravedad yperfil del deterioro cognitivo, HC y ant ACV, FxR y causas ACV o enf cerebrovascular silenciosa, imágenes cerebrales enf cerebrovascular silenciosa y características clínicas o biomarcadores de otras enf neurodegenerativas. • Historia: Curso temporal deterioro cognitivo y relación con ABVD e AIVD. • Determinar historial previo ACV, así como momento en relación con inicio de Sx cognitivos. • Puntaje isquémico de Hachinski → info historial médico pasado, curso cognitivo, Sx psiquiátricos y examen neurológico para: probabilidad contribución vascular a la demencia. Eric B Larson. Evaluation of cognitive impairment and dementia. ©2020 UpToDate, review April 2020.
  • 31.
    EVALUACIÓN Pruebas de detección cognitiva: • Evaluacióncognitiva: diferenciar DCL o demencia. • MoCA parecer más sensible que MMSE Folstein → VCI. < 25 → anormales Pruebas neuropsicológicas: • Cuando patrón de deterioro cognitivo NO claro. • > impedimentos vel, praxis, función ejecutiva y memoria visual, con deterioro < memoria episódica verbal. • Mejor rendimiento: aprendizaje y recuerdo verbales. • Peor rendimiento: función ejecutiva frontal. Rendimiento pruebas: • Lenguaje, habilidades de construcción, registro memoria, función conceptual y atención y seguimiento→ similar EA. • Limitaciones: Falta confirmación biomarcadores patología EA. Perfiles pruebas neuropsicológicas→ VaD Sd alta/ heterogéneo, y pacientes individuales pueden tener perfil cognitivo que se superpone con EA. Eric B Larson. Evaluation of cognitive impairment and dementia. ©2020 UpToDate, review April 2020.
  • 32.
    EVALUACIÓN Examen físico • Deterioromarcha, bradicinesia, rigidez, hiperreflexia y Sg focales presencia Enf cerebral o ACV. Laboratorio • Electrolitos, creatinina, calcio, enzimas hepáticas, recuento sanguíneo completo, vitamina B12 y TSH. Neuroimagen: • RMN + sensible q TAC: imágenes cerebrales estructurales → enf cerebrovascular silenciosa clínica/ no reconocida, infarto o hemorragia. • Sg enf cerebral de pequeñosvasos y microhemorragias (indicar AAC). • Criterios STRIVE: Definiciones radiológicas y términos para cambios cerebrales por enf vasos pequeños cerebrales.
  • 33.
    EVALUACIÓN Infartos no lacunares: •Infartos >15mm o infartos de cualquier tamaño en corteza cerebral. • Pueden ser cardioembólicos. • Infartos corticales <5mm → microinfartos. Lacunas de supuesto origen vascular: • Infartos pequeños ≤15mm en regiones subcorticales. Hiperintensidades sust blanca o hipodensidades de presunto origen vascular: • áreas > señal de agua en sust blanca: Desmielinización, pérdida axones y pérdida oligodendrocitos (imagen 4). Eric B Larson. Evaluation of cognitive impairment and dementia. ©2020 UpToDate, review April 2020.
  • 34.
    EVALUACIÓN • Pequeñas áreas redondeadas(<10 mm) de pérdida de señal (hipointensidad) áreas depósito hemosiderina. Microsangrados: • Hipointensidad lineal a lo largo de superficie cortical. • A lo largo circunvolución supratentorial simple o múltiple→ gral/ Sg AAC, otras causas hemorragia superficial (Malform vasculares o trombosis venosa cortical). Siderosis superficial: • Gral/ no se informan en práctica radiológica de rutina. Se vuelven más visibles en pctes con enf cerebrales de pequeños vasos. • Atrofia: atrofia cerebral acelerada. Espacios perivasculares: Eric B Larson. Evaluation of cognitive impairment and dementia. ©2020 UpToDate, review April 2020.
  • 38.
    Evaluación causas Enfcerebrovascular FxR Cv y causas de ACV → prevención 2ria dirigida para ACV recurrente. • Historial FxR comportamiento y estilo de vida (tabaquismo, dieta y obesidad) • Medición de TA • Evaluación pulso→ FA. Infartos silenciosos de apariencia embólica→ EKG Holter. Territorio perfusión AA carótida→Imágenes vasculares no invasivas→ descartar estenosis carotídea: Revascularización carotídea. Eric B Larson. Evaluation of cognitive impairment and dementia. ©2020 UpToDate, review April 2020.
  • 39.
    DIAGNÓSTICO AHA, DSM-5, Sociedad Internacionalde Conducta Vascular y Trastornos cognitivos (VAS-COG. Elementos comunes incluyen: Deterioro Cognitivo Vascular (VCI) •Deterioro Cognitivo Vascular Leve (MCI; "Tx neurocognitivo menor vascular" en DSM-5) •Demencia vascular (Tx neurocognitivo vascular mayor). Requisito para identificar enf cerebrovascular: •Ant cerebrovascular •Neuroimagen enf cerebrovascular silenciosa Dx juicio: enf cerebrovascular se considera suficiente para causar deterioro cognitivo. Afasia severa evitar evaluación de cualquier otra capacidad cognitiva que no sea el lenguaje en sí. Eric B Larson. Evaluation of cognitive impairment and dementia. ©2020 UpToDate, review April 2020.
  • 42.
    DIAGNÓSTICO • Todos criteriosDx: • Dx Demencia post ACV cuando afasia impide función independiente en actividades de vida diaria. • Impacto cognición en función: • Juicio impacto deterioro cognitivo del impacto de impedimentos motores y sensoriales luego de ACV. • Historial ACV seguido un nuevo inicio de demencia. • Historia retrospectiva: • Deterioro previo a ACV?  sugiere enf neurodegenerativa superpuesta adicional presente o enf cerebral progresiva de pequeños vasos. • HC + neuroimagen Dx demencia vascular, EA o demencia mixta. • Enf cerebrovascular silenciosa / DCL vascular o demencia. • AHA: "patología difusa de enf cerebrovascular subcortical“. • VAS-COG: 1 o 2 infartos de vasos grandes, un infarto único grande o estratégica/ colocado, múltiples infartos lacunares (> 2) fuera del tronco encefálico, una o dos lagunas colocadas estratégica/o en combinación con lesiones extensas de sustancia blanca, o extensas y confluentes Las lesiones de la sust blanca de supuesto origen vascular. Eric B Larson. Evaluation of cognitive impairment and dementia. ©2020 UpToDate, review April 2020.
  • 43.
    MODIFICACIÓN DE RIESGOVASCULAR Fx de riesgo: • Evaluación y TTO HTA. • Prevención 2ria de ACV (recurrente): • > riesgo de deterioro cognitivo. • Demencia post a ACV  > mortalidad. TTO todos ppales FxR ACV vs NO TTO  ↓ riesgo ACV recurrente en 80%. Eric Smith, MD, Clinton B Wright, MD, MS. Treatment of vascular cognitive impairment and dementia - UpToDate. May 2020
  • 44.
    Terapia Anti-HTA HTA esFxR estrategias ↓TA NO probado específica/ para TTO VaD. •Ensayo aleatorizado en pacientes sin enf cerebrovascular establecida: •TTO más agresivo de TA (TA objetivo 120 vs 140mmHg) se asoció: •↑ medio menor en Vol lesión de sust blanca (0,92 vs 1,45 cm) •↓ > en Vol cerebral total (-30,6 vs -26,9 cm) después 4a. ↓ agresiva TA  comprometer perfusión cerebral y puede ser perjudicial en pacientes con enf cerebrovascular establecida. NO sugieren ↓ agresiva TAS < 120 mmHg en pctes con VaD Sx. Eric Smith, MD, Clinton B Wright, MD, MS. Treatment of vascular cognitive impairment and dementia - UpToDate. May 2020
  • 45.
    Terapia Anti-HTA TTO HTAprevio Dx de ACV. Inicio anti-HTA cualquier tipo ACV isquémico o AIT TA ≥140 /90 mmHg. Además en aquellos sin Dx HTA con ACV aterotrombótico, lacunar (oclusivo de vasos pequeños) o criptogénico con TA > 120/70 mmHg NO TTO anti-HTA en NO hipertensos: TA <130/80 mmHg con ACV o TIA isquémico cardioembólico. ACV isquémico agudo (1ras horas y días) NO ↓ TA demasiado rápido. Modificaciones estilo de vida:↓ peso, restricción Na++, dieta rica en frutas, verduras y productos lácteos ↓ grasa, actividad física aeróbica regular y consumo limitado -OH. Karen L Furie, MD, MPH, Natalia S Rost, MD, MPH. Overview of secondary prevention of ischemic stroke - UpToDate. May 2020
  • 46.
    TERAPIA ANTITROMBÓTICA VaD +ant ACV isquémico o TIA antitrombótico. Terapia Antiplaquetaria: Prevención 2ria ACV isquémico con ant ACV no cardioembólico o TIA. ACV cardioembólico se puede preferir terapia anticoagulante sobre antiplaquetaria. Mayoría pctes con VaD sin ant ACV isquémico o TIA individualizar TTO. Neuroimágenes  lesiones sust blanca o infartos múltiples y sin contraindicaciones ASA 50-100mg día. NO antiplaquetaria  hemorragia intracraneal previa, evidencia de siderosis superficial cortical o microhemorragias múltiples, hemorragia sistémica mayor y otras contraindicaciones potenciales para ASA. ASA no definida en enf cerebrovascular silenciosa Eric Smith, MD, Clinton B Wright, MD, MS. Treatment of vascular cognitive impairment and dementia - UpToDate. May 2020
  • 47.
    TERAPIA ANTITROMBÓTICA Prevención ACVisquémico recurrente, con ant ACV no cardioembólico o TIA aterotrombótico, lacunar (oclusivo de vasos pequeños) o criptogénico. • ASA (50-100mg día), clopidogrel (75 mg día) y combinación de dipiridamol de liberación prolongada de aspirina (25 mg / 200 mg dos veces al día). Terapia antiplaquetaria doble temprana a corto plazo (ASA + clopidogrel): ↑ riesgo ACV, aterosclerosis intracraneal Sx reciente. • Anticoagulación largo plazo (warfarina; dabigatrán, apixabán, rivaroxabán o edoxabán) FA no valvular crónica. Terapia anticoagulante > riesgo hemorragia mayor, pero beneficio supera riesgo. Terapia antitrombótica Sx neurológicos isquémicos ​​por disección AA cervical. Otras indicaciones de anticoagulación: • Válvulas cardíacas mecánicas • Miocardiopatía dilatada • Valvulopatía reumática • IAM reciente en pcte ↑ riesgo CV Karen L Furie, MD, MPH, Natalia S Rost, MD, MPH. Overview of secondary prevention of ischemic stroke - UpToDate. May 2020
  • 48.
    ESTATINAS Pctes con enfvascular periférica y ant ACV isquémico o TIA. Dar según Fx CV evaluado. Efecto hipolipemiante y pleiotrópicos sobre función vascular combinándose para inhibir aterosclerosis. Efecto sobre desaceleración progresión VaD incierto. TTO (LDL-C) con estatinas: • ↓ riesgo ACV. Otras intervenciones ↓ lípidos (fibratos, resinas, dieta) no impacto significativo. • Estatinas  propiedades pleiotrópicas (Anti-aterotrombóticas, antiinflamatorias). • Incluso en pctes con CT "promedio“. Eric Smith, MD, Clinton B Wright, MD, MS. Treatment of vascular cognitive impairment and dementia - UpToDate. May 2020
  • 49.
    Enfoque para ↓LDL-C ACV o TIA isquémico aterosclerótico: Estatinas alta intensidad (indepLDL- C) Atorvastatina 80 mg/día. No toleran TTO estatinas ↑ intensidad Moderada (Atorvastatina 10- 20mg dia, rosuvastatina 5-10 mg dia, simvastatina 20- 40mg dia, pravastatina 40- 80mg dia, lovastatina 40mg dia, fluvastatina 40mgdia en dos dosis divididas) Baja (Pravastatina 10-20mg dia o lovastatina 20mg dia). LDL-C ≥70mg/dL a pesar TTO estatinas máximo tolerado Agregar ezetimiba o inhibidor de proproteína convertasa subtilisina / kexina tipo 9 (PCSK9) [Alirocumab]. NO tolera ningún régimen Ezetimiba. Karen L Furie, MD, MPH, Natalia S Rost, MD, MPH. Overview of secondary prevention of ischemic stroke - UpToDate. May 2020
  • 50.
    CONTROL DIABETES NO estudiosTTO VaD. Control glucosa prevención complicaciones DM. Detección DM. Control según ADA. HBA1C ≤7%. ACV isquémico o TIA  control glucosa cercanos a normoglucemia: ↓ complicaciones microvasculares. Dieta, ejercicio, med hipoglucemiantes orales e insulina. Eric Smith, MD, Clinton B Wright, MD, MS. Treatment of vascular cognitive impairment and dementia - UpToDate. May 2020
  • 51.
    Otros Dejar de fumar. Consumode alcohol: eliminar o ↓ consumo. Actividad física y ejercicio: Dieta. •Intensidad moderada a vigorosa mayoría de días de semana durante min 40 min. •Tipo mediterránea. •↓TA: ↓ ingesta sodio (< 2400mg por día). Suplementación con betacaroteno, vitamina E y vitamina C: NO efectiva. Aceite de pescado (ácidos grasos omega-3): ↓ TG, parecer ↓ LDL-C y ↑ HDL-C. No pruebas ↓ riesgo ACV. ↓ peso. Revascularización AA carótida int cervical con endarterectomía o colocación de stent. Karen L Furie, MD, MPH, Natalia S Rost, MD, MPH. Overview of secondary prevention of ischemic stroke - UpToDate. May 2020
  • 52.
    TERAPIA FARMACOLÓGICA Inhibidores colinesterasa: •Deterioro cognitivo progresivo NO atribuible directa/ a ACV clínico. • Muchos de estos pctes  tendrán EA concomitante, y difícil confirmar o excluir EA en pctes con VaD. • Beneficio pequeño pero razonable para algunos pctes. • NO se usa en pctes con Dx demencia luego ACV si no hay un deterioro cognitivo progresivo. Disfunción colinérgica VaD y EA. • Estudios: beneficios pequeños y de importancia clínica incierta. Eric Smith, MD, Clinton B Wright, MD, MS. Treatment of vascular cognitive impairment and dementia - UpToDate. May 2020
  • 53.
    TERAPIA FARMACOLÓGICA Memantina: • Antagonista® N-metil-D- aspartato, inhibe excitotoxicidad y protege contra lesiones neurológicas. • NO se sugiere su uso. Aprobada para EA mod a severa algunos médicos pueden usarla en pctes VaD porque EA no se puede descartar y puede ser comórbida con VaD. Agentes de investigación: • Agentes evidencia no concluyente. No recomendada • Nimodipina, alcaloides del cornezuelo de centeno (hidergina, nicergolina), cerebrolisina, ginkgo biloba, derivados de xantina (propentofilina, pentoxifilina y denbufilina), citidinedifosfocolina y piracetam. Eric Smith, MD, Clinton B Wright, MD, MS. Treatment of vascular cognitive impairment and dementia - UpToDate. May 2020
  • 54.
    TERAPIA NO FARMACOLÓGICA •Ejercicio e interacciones sociales. Intervenciones en estilo de vida • No evidencia ↑calidad. • No beneficio sólido en R/= cognitivos, pero sí posible beneficio para mejorar resultados funcionales. Ejercicio, nutrición y otros cambios en estilo de vida. • Evidencia limitada. Rehabilitación cognitiva y física: Eric Smith, MD, Clinton B Wright, MD, MS. Treatment of vascular cognitive impairment and dementia - UpToDate. May 2020
  • 55.
    PRONÓSTICO Tx heterogéneo progresiónclínica constante. • ACV agudo: se espera cierta recuperación función cognitiva. Luego recuperación inicial mejora adicional es (-) probable. • Deterioro cognitivo estable consistente. Otros deterioro cognitivo continuo. FxR empeorar cognición cambios sust blanca y presencia atrofia lob temporal medial. • FxR mal pronostico ACV recurrentes y cognición alterada en línea de base antes ACV. Eric Smith, MD, Clinton B Wright, MD, MS. Treatment of vascular cognitive impairment and dementia - UpToDate. May 2020