Diagnóstico de NIC.
¿Biopsia?
Sandro Casavilca Zambrano. MC. MG
Patólogo Oncólogo
Instituto Nacional de Enfermedades Neoplásicas
Departamento de Patología
Jefe de Banco de Tejidos Tumorales
Empezando la historia por el final………
Método diagnóstico
referente o “Gold
Standard” para cáncer
de cuello uterino y
lesiones pre malignas
Biopsia
Concepto de LIE
Es un espectro de cambios neoplásicos del
epitelio del cérvix uterino que se reconocen
como precursores del carcinoma epidermoide
invasivo.
NIC 1 LIE de
bajo grado,
• compromete el tercio inferior
del epitelio y se asocia
generalmente a PVH de bajo
riesgo.
• Regresiona en el 85% de los
casos.
NIC2
• compromete los 2/3 del
epitelio.
NIC3
• Compromete todo el espesor
del epitelio, se consideran LIE
de alto grado.
• Alrededor del 25% de NIC3
progresa a carcinoma invasivo
el el transcurso de los
siguientes 10 años.
Controversia histórica:
• El método de la citología tuvo
inicialmente mucha resistencia para
su uso clínico.
EU tenía detractores, el Dr. Ewing, considerado como el
padre de la patología del cáncer de los Estados Unidos, fue
inicialmente escéptico; en su opinión, el cuello del útero
era lo suficientemente accesible a la biopsia, de modo que
la citología era un examen superfluo.
Lesión escamosa intraepitelial y PVH
• El virus del papiloma humano (PVH) es una
causa necesaria, pero no suficiente, para
desarrollar cáncer de cuello uterino.
• Muchas mujeres se infectan con el PVH
alguna vez en su vida, usualmente al inicio
de la actividad sexual.
• La mayoría de infecciones se resolverán
espontáneamente a los 6 y hasta los 24
meses
La infección persistente y PVH de alto riesgo
• Sin embargo algunas pocas
persistirán.
• Con la infección persistente, las
células epiteliales podrán
progresar a células pre malignas
y luego a carcinoma e invasión
de la membrana basal.
TheUtilityofImmunohistochemistryforProvidingGeneticInformationonTumors.
JohnK.C.Chan,Yiu-TungIpandWahCheuk,INTJSURGPATHOL201321:455
• En la carcinogénesis cervical al
unírsele la oncoproteína E7 del PVH,
se ha demostrado la existencia de
una correlación recíproca entre pRb
y p16, razón por la cual existe
sobreexpresión de p16
• En los carcinomas como en las
lesiones premalignas del cérvix
uterino relacionados a PVH.
AmJSurgPathol2015;39:611–617
ArchPatholLabMed.2007;131:1343–1349
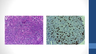
El valor de p16 y ki67
• El estudio histológico de las
lesiones intraepiteliales de cuello
uterino presenta variabilidad inter
e intraobservador.
• Se considera el Gold estándar en el
que se basan las conductas clínicas
actuales.
• En prácticamente todos los
trabajos la concordancia
diagnóstica es mayor en los
extremos del espectro (biopsias
negativas, NIC3 y CCU), mientras
que la discordancia es más elevada
en las lesiones intermedias (NIC1 y,
especialmente NIC2).
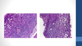
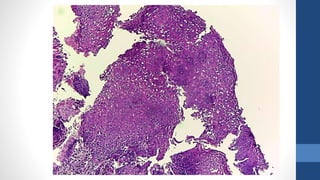
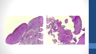
Mujer de 23 años, biopsia de cervix
Diagnóstico
•LIE de alto grado, NIC 2
• El precursor directo del cáncer cervical es la lesión de alto grado (también conocido
como NIC 2 y NIC 3) el cual puede progresar a cáncer en un periodo de hasta 10 ó
más años. La mayoría de lesiones de bajo grado desaparecen sin tratamiento o no
avanzan, sobre todo en mujeres jóvenes. Sin embargo, los casos que ocurren en
países en donde no hay programas de tamizaje en funcionamiento y la enfermedad
ha estado presente durante periodos de tiempo más largos, son menos probable de
regresionar o desaparecer.
GRACIAS

Diagnóstico de NIC. ¿Biopsia?

  • 1.
    Diagnóstico de NIC. ¿Biopsia? SandroCasavilca Zambrano. MC. MG Patólogo Oncólogo Instituto Nacional de Enfermedades Neoplásicas Departamento de Patología Jefe de Banco de Tejidos Tumorales
  • 2.
    Empezando la historiapor el final……… Método diagnóstico referente o “Gold Standard” para cáncer de cuello uterino y lesiones pre malignas Biopsia
  • 3.
    Concepto de LIE Esun espectro de cambios neoplásicos del epitelio del cérvix uterino que se reconocen como precursores del carcinoma epidermoide invasivo. NIC 1 LIE de bajo grado, • compromete el tercio inferior del epitelio y se asocia generalmente a PVH de bajo riesgo. • Regresiona en el 85% de los casos. NIC2 • compromete los 2/3 del epitelio. NIC3 • Compromete todo el espesor del epitelio, se consideran LIE de alto grado. • Alrededor del 25% de NIC3 progresa a carcinoma invasivo el el transcurso de los siguientes 10 años.
  • 4.
    Controversia histórica: • Elmétodo de la citología tuvo inicialmente mucha resistencia para su uso clínico. EU tenía detractores, el Dr. Ewing, considerado como el padre de la patología del cáncer de los Estados Unidos, fue inicialmente escéptico; en su opinión, el cuello del útero era lo suficientemente accesible a la biopsia, de modo que la citología era un examen superfluo.
  • 5.
    Lesión escamosa intraepitelialy PVH • El virus del papiloma humano (PVH) es una causa necesaria, pero no suficiente, para desarrollar cáncer de cuello uterino. • Muchas mujeres se infectan con el PVH alguna vez en su vida, usualmente al inicio de la actividad sexual. • La mayoría de infecciones se resolverán espontáneamente a los 6 y hasta los 24 meses
  • 6.
    La infección persistentey PVH de alto riesgo • Sin embargo algunas pocas persistirán. • Con la infección persistente, las células epiteliales podrán progresar a células pre malignas y luego a carcinoma e invasión de la membrana basal.
  • 7.
    TheUtilityofImmunohistochemistryforProvidingGeneticInformationonTumors. JohnK.C.Chan,Yiu-TungIpandWahCheuk,INTJSURGPATHOL201321:455 • En lacarcinogénesis cervical al unírsele la oncoproteína E7 del PVH, se ha demostrado la existencia de una correlación recíproca entre pRb y p16, razón por la cual existe sobreexpresión de p16 • En los carcinomas como en las lesiones premalignas del cérvix uterino relacionados a PVH.
  • 8.
  • 9.
  • 10.
    El valor dep16 y ki67 • El estudio histológico de las lesiones intraepiteliales de cuello uterino presenta variabilidad inter e intraobservador. • Se considera el Gold estándar en el que se basan las conductas clínicas actuales. • En prácticamente todos los trabajos la concordancia diagnóstica es mayor en los extremos del espectro (biopsias negativas, NIC3 y CCU), mientras que la discordancia es más elevada en las lesiones intermedias (NIC1 y, especialmente NIC2).
  • 11.
    Mujer de 23años, biopsia de cervix
  • 18.
  • 19.
    • El precursordirecto del cáncer cervical es la lesión de alto grado (también conocido como NIC 2 y NIC 3) el cual puede progresar a cáncer en un periodo de hasta 10 ó más años. La mayoría de lesiones de bajo grado desaparecen sin tratamiento o no avanzan, sobre todo en mujeres jóvenes. Sin embargo, los casos que ocurren en países en donde no hay programas de tamizaje en funcionamiento y la enfermedad ha estado presente durante periodos de tiempo más largos, son menos probable de regresionar o desaparecer.
  • 20.