ECOGRAFIA DEL PRIMER
TRIMESTRE
SEMANA 1-6
Dr. Mario Alberto Campos Rodrìguez
MEDICO SONOGRAFISTA
OBJETIVOS DE LA ECOGRAFIA
EN EL PRIMER TRIMESTRE
En el primer trimestre, se pretende a través de la
ecografía establecer:
 La presencia del embarazo
 La existencia en el lugar adecuado.
 La vitalidad del mismo.
 La presencia de uno o más embriones.
 La concordancia con el tiempo cronológico de
la gestación y así establecer la fecha probable
de parto.
ECOGRAFIA DEL EMBARAZO
INTRAUTERINO NORMAL.
SACOGESTACIONAL.
La implantación se
lleva a cabo en el
fundus uterino entre
el dia 20-23 de
amenorrea.
ECOGRAFIA DEL EMBARAZO
INTRAUTERINO NORMAL.
IMPLANTACION
Se ha observado
que ocurre en la
pared uterina
ipsilateral respecto
al ovario
responsable de la
ovulación.
Anexo
izquierdo
Saco gestacional
lateralizado a la izquierda
ECOGRAFIA DEL EMBARAZO
INTRAUTERINO NORMAL.
La visualización mas
precoz del saco
gestacional es en la
semana 3.5 con
niveles positivos de
HGC fracción beta.
Signo intradecidual
ECOGRAFIA DEL EMBARAZO
INTRAUTERINO NORMAL.
SIGNO
INTRADECIDUAL.
Pequeño saco
gestacional en el
seno decidual, con
engrosamiento
ecogenico focal del
endometrial en el
lugar de implantación.
Día 25 y 29 del ciclo.
ECOGRAFIA DEL EMBARAZO
INTRAUTERINO NORMAL.
Es posible observar un
saco gestacional
intradecidual:
Transvaginal entre 4.5-5
sem. de amenorrea.
Abdominal mayor de 5
sem. de amenorrea.
ECOGRAFIA DEL EMBARAZO
INTRAUTERINO NORMAL.
SIGNODOBLE DECIDUAL.
Visualización ecografía de tres capas deciduales al
inicio del embarazo.
Anillo formado por el corion frondoso y la decidua basal de la zona de
implantación, el corion leve y la decidua capsular , estos últimos rodeados
por una decidua vera ecogénica.
SACO GESTACIONAL
 El saco gestacional pequeño suele
ser redondeado y con el
crecimiento se vuelven elípticos.
 Los grandes sacos pueden tener un
borde irregular por las
contracciones uterinas, miomas o
vejiga muy distendida.
SACO GESTACIONAL
ECOGRAFIA DEL EMBARAZO
INTRAUTERINO NORMAL.
SACOVITELINO.
Primera estructura
visible, cuando tiene
una dimensiones de 10
a 15 mm de diámetro.
La especificidad de la
identificación del saco
vitelino es de un 100%
en el diagnostico de
gestación intrauterina.
SACO VITELINO
SACO VITELINO
ESTRUCTURA ESFERICA, CON UNA REGION PERIFERICA
ECOGENICA BIEN DEFINIDA Y CENTRO ANECOICO
ECOGRAFIA DEL EMBARAZO
INTRAUTERINO NORMAL
IMPORTANCIA DEL SACO
VITELINO.
 Transferencia de
nutrientes (3-4 sem).
 Hematopoyesis (5-8
sem).
 Formación del intestino
primitivo (6 sem) y estan
conectados a través del
conducto vitelino.
Conducto vitelino
ECOGRAFIA DEL EMBARAZO
INTRAUTERINO NORMAL
SACOVITELINO.
El crecimiento del saco vitelino es de 0.1 mm por
cada milímetro de crecimiento del saco
gestacional.
Tiene su limite mas alto entre la semana 5 y 10
siendo de 5.6 mm.
El numero de sacos puede ayudar a determinar elEl numero de sacos puede ayudar a determinar el
numero de cavidades amnióticas y el numero denumero de cavidades amnióticas y el numero de
embriones.embriones.
ECOGRAFIA DEL EMBARAZO
INTRAUTERINO NORMAL
SACOVITELINO.
Es posible visualizar las
arteria y venas del
conducto vitelino y
periferia del saco
vitelino.
Se puede observar
irregularidades en la
pared del saco vitelino.
Al modo Doppler color se
puede detectar flujo.
ECOGRAFIA DEL EMBARAZO
INTRAUTERINO NORMAL
SACO VITELINO.
APLICACION DE DOPPLER COLOR
ECOGRAFIA DEL EMBARAZO
INTRAUTERINO NORMAL
EMBRION Y AMNIOS
SIGNO DE DOBLE
BURBUJA.
Representan el amnios
y el saco vitelino y el
disco embrionario se
encuentra entre
ambos.
ECOGRAFIA DEL EMBARAZO
INTRAUTERINO NORMAL
CORDON UMBILICAL.
Se forma en la sexta semana al expandirse el
amnios y envolver el pedículo de fijación,
conducto vitelino y alantoides.
Contiene dos arterias, una vena , el alantoides y
el conducto vitelino
(conductoonfalomesenterico), rodeados por la
gelatina de Wharton.
El cordón umbilical , con presencia de quiste cerca del
polo embrionario, la mayoría de las veces se reabsorbe,
a la aplicación de Doppler color se observa el flujo del
cordón umbilical.
ECOGRAFIA DEL EMBARAZO
INTRAUTERINO NORMAL
CALCULO DE LA EDADGESTACIONAL.
Tamaño del saco gestacional.
Se suman los diámetros AP, Transversal y
Longitudinal y se dividen entre tres, siendo
mas confiable vía transvaginal. (DMS)
Debe medir >= 8 mm cundo se visualice el saco
vitelino y >= 16 cunado se detecta el embrion.
Medición del saco gestacional
18 mm
Embrión
Sumar AP+T+L y dividirlo entre 3.
Un saco gestacional mayor
de 20 mm sin presencia de
SV o embrión es sugestivo
de embarazo
anembrionico, vale la pena
apoyarse de otros métodos
de estudio.
ECOGRAFIA DEL EMBARAZO
INTRAUTERINO NORMAL
LONGITUD CRANEOCAUDAL.
Es posible visualizarlo vía transvaginal a partir
de la semana 5.
POR VIA TRANSABDOMINAL A PARTIR DE LA SEMANA 6
ECOGRAFIA DEL EMBARAZO
INTRAUTERINO NORMAL
LONGITUDCRANEOCAUDAL
Durante la semana 6, con el plegamiento ventral
de los extremos craneal y caudal cambia de
un disco aplanado a una estructura en forma
de “C”.
Medición del embrión: LCC
Aumenta su tamaño 1 mm/dia
Normas para calcular la fecha de
embarazo durante el primer trimestre.
ETAPA DEL DESARROLLOETAPA DEL DESARROLLO EDAD GESTACIONALEDAD GESTACIONAL
Saco gestacional (no hay sacoSaco gestacional (no hay saco
vitelino, ni embrión, ni latidovitelino, ni embrión, ni latido
cardiaco)cardiaco)
55
Saco gestacional y saco vitelinoSaco gestacional y saco vitelino
(no hay embrión ni latido(no hay embrión ni latido
cardiaco).cardiaco).
5.55.5
Saco gestacional y saco vitelinoSaco gestacional y saco vitelino
(hay embrión con vida(hay embrión con vida
demasiado pequeño para serdemasiado pequeño para ser
medico)medico)
66
ECOGRAFIA DEL EMBARAZO
INTRAUTERINO NORMAL
EVALUACION DEL
EMBRION.
Desarrollo embriológico
normal
Polo cefalico: en la
semana 6-8 se puede
observar una estructura
quística en la porción
posterior de la cabeza
del embrión que
corresponde al
romboencefalo (cuarto
ventrículo).
ECOGRAFIA DEL EMBARAZO
INTRAUTERINO NORMAL
ACTIVIDADCARDIACA.
El corazón del embrión
comienza a latir al
principio de la sexta
semana con LCC de 1.5-3
mm.
NO debe considerarse
normal, la visualización del
embrión en ausencia de
detección de la actividad
ECOGRAFIA DEL EMBARAZO
INTRAUTERINO NORMAL
ACTIVIDADCARDIACA.
La frecuencia cardiaca varia con la
edad gestacional siendo para esta
etapa de
100-115 latidos por minuto.
Acontecimientos al inicio del
embarazo
ACONTECIMIENTOACONTECIMIENTO EDAD MENSTRUALEDAD MENSTRUAL
Positividad HGC fracción betaPositividad HGC fracción beta Día 23.Día 23.
Signo del saco intradecidual.Signo del saco intradecidual. Día 25-29.Día 25-29.
Signo del saco decidual dobleSigno del saco decidual doble Solo en el 50% de embarazos.Solo en el 50% de embarazos.
Identificación del saco gestacionalIdentificación del saco gestacional Día 34-38.Día 34-38.
Identificación del saco vitelinoIdentificación del saco vitelino Dia 36-42.Dia 36-42.
Embrion.Embrion. Dia 43-45Dia 43-45
Actividad cardiaca embrionariaActividad cardiaca embrionaria Dia 43-45Dia 43-45
LongitudLongitud LCC >5 mm.LCC >5 mm.
Fracción beta >2,523Fracción beta >2,523
Gracia
s

Ecografía del Primer Trimestre, Semanas 1-6

  • 1.
    ECOGRAFIA DEL PRIMER TRIMESTRE SEMANA1-6 Dr. Mario Alberto Campos Rodrìguez MEDICO SONOGRAFISTA
  • 2.
    OBJETIVOS DE LAECOGRAFIA EN EL PRIMER TRIMESTRE En el primer trimestre, se pretende a través de la ecografía establecer:  La presencia del embarazo  La existencia en el lugar adecuado.  La vitalidad del mismo.  La presencia de uno o más embriones.  La concordancia con el tiempo cronológico de la gestación y así establecer la fecha probable de parto.
  • 3.
    ECOGRAFIA DEL EMBARAZO INTRAUTERINONORMAL. SACOGESTACIONAL. La implantación se lleva a cabo en el fundus uterino entre el dia 20-23 de amenorrea.
  • 4.
    ECOGRAFIA DEL EMBARAZO INTRAUTERINONORMAL. IMPLANTACION Se ha observado que ocurre en la pared uterina ipsilateral respecto al ovario responsable de la ovulación. Anexo izquierdo Saco gestacional lateralizado a la izquierda
  • 5.
    ECOGRAFIA DEL EMBARAZO INTRAUTERINONORMAL. La visualización mas precoz del saco gestacional es en la semana 3.5 con niveles positivos de HGC fracción beta. Signo intradecidual
  • 6.
    ECOGRAFIA DEL EMBARAZO INTRAUTERINONORMAL. SIGNO INTRADECIDUAL. Pequeño saco gestacional en el seno decidual, con engrosamiento ecogenico focal del endometrial en el lugar de implantación. Día 25 y 29 del ciclo.
  • 7.
    ECOGRAFIA DEL EMBARAZO INTRAUTERINONORMAL. Es posible observar un saco gestacional intradecidual: Transvaginal entre 4.5-5 sem. de amenorrea. Abdominal mayor de 5 sem. de amenorrea.
  • 8.
    ECOGRAFIA DEL EMBARAZO INTRAUTERINONORMAL. SIGNODOBLE DECIDUAL. Visualización ecografía de tres capas deciduales al inicio del embarazo. Anillo formado por el corion frondoso y la decidua basal de la zona de implantación, el corion leve y la decidua capsular , estos últimos rodeados por una decidua vera ecogénica.
  • 9.
    SACO GESTACIONAL  Elsaco gestacional pequeño suele ser redondeado y con el crecimiento se vuelven elípticos.  Los grandes sacos pueden tener un borde irregular por las contracciones uterinas, miomas o vejiga muy distendida.
  • 10.
  • 11.
    ECOGRAFIA DEL EMBARAZO INTRAUTERINONORMAL. SACOVITELINO. Primera estructura visible, cuando tiene una dimensiones de 10 a 15 mm de diámetro. La especificidad de la identificación del saco vitelino es de un 100% en el diagnostico de gestación intrauterina. SACO VITELINO
  • 12.
    SACO VITELINO ESTRUCTURA ESFERICA,CON UNA REGION PERIFERICA ECOGENICA BIEN DEFINIDA Y CENTRO ANECOICO
  • 13.
    ECOGRAFIA DEL EMBARAZO INTRAUTERINONORMAL IMPORTANCIA DEL SACO VITELINO.  Transferencia de nutrientes (3-4 sem).  Hematopoyesis (5-8 sem).  Formación del intestino primitivo (6 sem) y estan conectados a través del conducto vitelino. Conducto vitelino
  • 14.
    ECOGRAFIA DEL EMBARAZO INTRAUTERINONORMAL SACOVITELINO. El crecimiento del saco vitelino es de 0.1 mm por cada milímetro de crecimiento del saco gestacional. Tiene su limite mas alto entre la semana 5 y 10 siendo de 5.6 mm. El numero de sacos puede ayudar a determinar elEl numero de sacos puede ayudar a determinar el numero de cavidades amnióticas y el numero denumero de cavidades amnióticas y el numero de embriones.embriones.
  • 15.
    ECOGRAFIA DEL EMBARAZO INTRAUTERINONORMAL SACOVITELINO. Es posible visualizar las arteria y venas del conducto vitelino y periferia del saco vitelino. Se puede observar irregularidades en la pared del saco vitelino. Al modo Doppler color se puede detectar flujo.
  • 16.
    ECOGRAFIA DEL EMBARAZO INTRAUTERINONORMAL SACO VITELINO. APLICACION DE DOPPLER COLOR
  • 17.
    ECOGRAFIA DEL EMBARAZO INTRAUTERINONORMAL EMBRION Y AMNIOS SIGNO DE DOBLE BURBUJA. Representan el amnios y el saco vitelino y el disco embrionario se encuentra entre ambos.
  • 18.
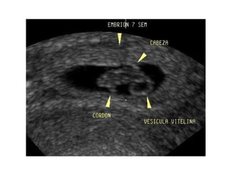
    ECOGRAFIA DEL EMBARAZO INTRAUTERINONORMAL CORDON UMBILICAL. Se forma en la sexta semana al expandirse el amnios y envolver el pedículo de fijación, conducto vitelino y alantoides. Contiene dos arterias, una vena , el alantoides y el conducto vitelino (conductoonfalomesenterico), rodeados por la gelatina de Wharton.
  • 19.
    El cordón umbilical, con presencia de quiste cerca del polo embrionario, la mayoría de las veces se reabsorbe, a la aplicación de Doppler color se observa el flujo del cordón umbilical.
  • 21.
    ECOGRAFIA DEL EMBARAZO INTRAUTERINONORMAL CALCULO DE LA EDADGESTACIONAL. Tamaño del saco gestacional. Se suman los diámetros AP, Transversal y Longitudinal y se dividen entre tres, siendo mas confiable vía transvaginal. (DMS) Debe medir >= 8 mm cundo se visualice el saco vitelino y >= 16 cunado se detecta el embrion.
  • 22.
    Medición del sacogestacional 18 mm Embrión Sumar AP+T+L y dividirlo entre 3. Un saco gestacional mayor de 20 mm sin presencia de SV o embrión es sugestivo de embarazo anembrionico, vale la pena apoyarse de otros métodos de estudio.
  • 23.
    ECOGRAFIA DEL EMBARAZO INTRAUTERINONORMAL LONGITUD CRANEOCAUDAL. Es posible visualizarlo vía transvaginal a partir de la semana 5. POR VIA TRANSABDOMINAL A PARTIR DE LA SEMANA 6
  • 24.
    ECOGRAFIA DEL EMBARAZO INTRAUTERINONORMAL LONGITUDCRANEOCAUDAL Durante la semana 6, con el plegamiento ventral de los extremos craneal y caudal cambia de un disco aplanado a una estructura en forma de “C”.
  • 25.
    Medición del embrión:LCC Aumenta su tamaño 1 mm/dia
  • 26.
    Normas para calcularla fecha de embarazo durante el primer trimestre. ETAPA DEL DESARROLLOETAPA DEL DESARROLLO EDAD GESTACIONALEDAD GESTACIONAL Saco gestacional (no hay sacoSaco gestacional (no hay saco vitelino, ni embrión, ni latidovitelino, ni embrión, ni latido cardiaco)cardiaco) 55 Saco gestacional y saco vitelinoSaco gestacional y saco vitelino (no hay embrión ni latido(no hay embrión ni latido cardiaco).cardiaco). 5.55.5 Saco gestacional y saco vitelinoSaco gestacional y saco vitelino (hay embrión con vida(hay embrión con vida demasiado pequeño para serdemasiado pequeño para ser medico)medico) 66
  • 27.
    ECOGRAFIA DEL EMBARAZO INTRAUTERINONORMAL EVALUACION DEL EMBRION. Desarrollo embriológico normal Polo cefalico: en la semana 6-8 se puede observar una estructura quística en la porción posterior de la cabeza del embrión que corresponde al romboencefalo (cuarto ventrículo).
  • 28.
    ECOGRAFIA DEL EMBARAZO INTRAUTERINONORMAL ACTIVIDADCARDIACA. El corazón del embrión comienza a latir al principio de la sexta semana con LCC de 1.5-3 mm. NO debe considerarse normal, la visualización del embrión en ausencia de detección de la actividad
  • 29.
    ECOGRAFIA DEL EMBARAZO INTRAUTERINONORMAL ACTIVIDADCARDIACA. La frecuencia cardiaca varia con la edad gestacional siendo para esta etapa de 100-115 latidos por minuto.
  • 30.
    Acontecimientos al iniciodel embarazo ACONTECIMIENTOACONTECIMIENTO EDAD MENSTRUALEDAD MENSTRUAL Positividad HGC fracción betaPositividad HGC fracción beta Día 23.Día 23. Signo del saco intradecidual.Signo del saco intradecidual. Día 25-29.Día 25-29. Signo del saco decidual dobleSigno del saco decidual doble Solo en el 50% de embarazos.Solo en el 50% de embarazos. Identificación del saco gestacionalIdentificación del saco gestacional Día 34-38.Día 34-38. Identificación del saco vitelinoIdentificación del saco vitelino Dia 36-42.Dia 36-42. Embrion.Embrion. Dia 43-45Dia 43-45 Actividad cardiaca embrionariaActividad cardiaca embrionaria Dia 43-45Dia 43-45 LongitudLongitud LCC >5 mm.LCC >5 mm. Fracción beta >2,523Fracción beta >2,523
  • 31.