• ESPONDILÓLISIS
Defecto en la pars interarticularis de la vértebra, pero sin ningún
deslizamiento hacia adelante.
71-95% en L5
5-15% en L4
• ESPONDILOLISTESIS
Proviene del griego espondilo = vértebra y olistesis =
deslizamiento. Se define como el deslizamiento de una vértebra
sobre la otra.
L5 y
S1
1.- Espondilólisis y espondilolistesis 35%
2.- Enfermedad de Scheruermann 25%
3.-Tumores óseos 10%
4.- Infecciones 10%
5.- Hernia discal 5%
6.- Causa desconocida 15%
Espondilolistesis
• Hombres 5-6%
• Mujeres 2-3%
Espondilólisis
• 6 % población
general
• 12-13% en
desportistas
17%
13%
27%
WILTSE (ORIGEN ANOATOMO-PATOLÓGICO)
TIPO DESCRIPCIÓN
I Displásica Anomalía en el desarrollo del sacro o
del arco posterior de L-5
II Ístmica II a Espondilólisis
II b Elongación de la pars
interarticularis
II c Fractura
III Degenerativa Artrosis intersegmentaria
IV Traumática Fracturas del arco neural
V Patológica Destrucción del arco neural
CLASIFICACIÓN DE MEYERDING
Bajo grado
Alto grado
0-25% 26-50%
51-75% 76-100% Espondiloptosis
25% de los síntomas antes de los 20
años
9% de consulta pediátrica
Aparición en la adolescencia
• Hiperlordosis
• Parrilla costal baja
• Contractura de
isquiotibialies
• Contractura de
musculatura paraespinal
• Aplanamiento de la zona
glútea
80%
• Edad joven
• Mujer
• L5 de forma trapezoidal
• Sacro superior en cúpula
• >50 de deslizamiento
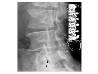
Rx
• Ap Laterales y oblicuas
• Grado de listesis (lateral)
• Perritos de Lachapelle (Oblicua)
1. Hocico que es la apófisis
transversa
2. Ojo, pedículo
3. Oreja, apófisis articular superior
4. Pata delantera, apófisis
articular inferior
5. Rabo, lámina y apófisis articular
superior del lado opuesto
6. Pata trasera, apófisis articular
inferior lado opuesto
7. Cuerpo, lámina
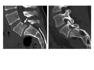
TACY RM
• Lesión unilateral o bilateral
• Seguimiento de espondilólisis
• Estado del defecto
• Morfología
• Evaluación de partes blandas
• Detección precoz de
espondilólisis
Magnitud del
deslizamiento
TRATAMIENTO
QUIRÚRGICO
CONSERVADOR
CONSERVADOR
• Manejo agudo
• Modificación de las
actividades
• Manejo del dolor
• AINES
• Fisioterapia
• Fortalecimiento de la
musculatura abdominal y
paraespinal
• Flexibilidad y balance
• Infiltración y bloqueo epidural
Indicaciones:
• Sin déficit neurológico
• Umbral de dolor tolerable
• Mejoría con terapia física
Manejo durante
3 – 6 meses
Quirúrgico
• Prevenir la progresión
• Estabilizar el segmento
• Corregir hiperlordosis
• Revertir el compromiso
neurológico
• Manejo del dolor
Espondilólisis
Reparación del defecto de la pars articularis
• No afecta la movilidad vertebral
• Sistema de fijación (tornillos y alambre)
• Personas menores de 30 años
• Contraindicado en casos de degeneración de disco
Espondilolistesis
LAMINECTOMÍA DESCOMPRESIVA 27% de progresión
ARTRODESIS POSTERIOR >80% de buenos resultados

Espondilolisis y espondilolistesis

  • 2.
    • ESPONDILÓLISIS Defecto enla pars interarticularis de la vértebra, pero sin ningún deslizamiento hacia adelante. 71-95% en L5 5-15% en L4
  • 3.
    • ESPONDILOLISTESIS Proviene delgriego espondilo = vértebra y olistesis = deslizamiento. Se define como el deslizamiento de una vértebra sobre la otra. L5 y S1
  • 4.
    1.- Espondilólisis yespondilolistesis 35% 2.- Enfermedad de Scheruermann 25% 3.-Tumores óseos 10% 4.- Infecciones 10% 5.- Hernia discal 5% 6.- Causa desconocida 15% Espondilolistesis • Hombres 5-6% • Mujeres 2-3% Espondilólisis • 6 % población general • 12-13% en desportistas 17% 13% 27%
  • 6.
    WILTSE (ORIGEN ANOATOMO-PATOLÓGICO) TIPODESCRIPCIÓN I Displásica Anomalía en el desarrollo del sacro o del arco posterior de L-5 II Ístmica II a Espondilólisis II b Elongación de la pars interarticularis II c Fractura III Degenerativa Artrosis intersegmentaria IV Traumática Fracturas del arco neural V Patológica Destrucción del arco neural
  • 8.
    CLASIFICACIÓN DE MEYERDING Bajogrado Alto grado 0-25% 26-50% 51-75% 76-100% Espondiloptosis
  • 10.
    25% de lossíntomas antes de los 20 años 9% de consulta pediátrica Aparición en la adolescencia
  • 11.
    • Hiperlordosis • Parrillacostal baja • Contractura de isquiotibialies • Contractura de musculatura paraespinal • Aplanamiento de la zona glútea 80%
  • 12.
    • Edad joven •Mujer • L5 de forma trapezoidal • Sacro superior en cúpula • >50 de deslizamiento
  • 13.
    Rx • Ap Lateralesy oblicuas • Grado de listesis (lateral) • Perritos de Lachapelle (Oblicua) 1. Hocico que es la apófisis transversa 2. Ojo, pedículo 3. Oreja, apófisis articular superior 4. Pata delantera, apófisis articular inferior 5. Rabo, lámina y apófisis articular superior del lado opuesto 6. Pata trasera, apófisis articular inferior lado opuesto 7. Cuerpo, lámina
  • 16.
    TACY RM • Lesiónunilateral o bilateral • Seguimiento de espondilólisis • Estado del defecto • Morfología • Evaluación de partes blandas • Detección precoz de espondilólisis
  • 18.
  • 19.
  • 20.
    CONSERVADOR • Manejo agudo •Modificación de las actividades • Manejo del dolor • AINES • Fisioterapia • Fortalecimiento de la musculatura abdominal y paraespinal • Flexibilidad y balance • Infiltración y bloqueo epidural Indicaciones: • Sin déficit neurológico • Umbral de dolor tolerable • Mejoría con terapia física Manejo durante 3 – 6 meses
  • 21.
    Quirúrgico • Prevenir laprogresión • Estabilizar el segmento • Corregir hiperlordosis • Revertir el compromiso neurológico • Manejo del dolor
  • 22.
    Espondilólisis Reparación del defectode la pars articularis • No afecta la movilidad vertebral • Sistema de fijación (tornillos y alambre) • Personas menores de 30 años • Contraindicado en casos de degeneración de disco
  • 23.
  • 24.
    ARTRODESIS POSTERIOR >80%de buenos resultados