T R A U M AT O L O G I A Y O R T O P E D I A
J E S S E J A S S U A L O P E Z
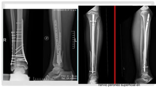
FRACTURAS DE PIERNA
INTRODUCCIONINTRODUCCION
La tibia es uno de los huesos que con
mayor frecuencia sufre fracturas
Su localización subcutánea implica
vulnerabilidad al trauma y a fracturas
abiertas, así como en la consolidación de
las mismas.
Las fracturas de la diáfisis de tibia se
definen como la pérdida de solución de
continuidad ósea en la diáfisis de tibia.
•Epífisis proximal
Diáfisis
Epífisis distal
Tubérculos
intercondíleos
Tuberosidad
Inserción del ligamento
cruzado posterior
Inserción del ligamento
cruzado anterior
•Epífisis proximal
presenta en su cara superior 2 superficies articulares
(cavidades glenoideas).
En medio presenta las tuberosidades intercondileas, que
sirven de insercion para los ligamentos cruzados. Las
cavidades articulares están soportadas por los cóndilos
tibiales medial y lateral.
Este último presenta una carilla articular para recibir a la
cabeza fibular.
El cóndilo medial es más desarrollado.
•Diafisis: prisma triangular
Antero-
medial: subcutánea
(espinilla) en su
extremo proximal se
inserta la pata de
ganso.
Lateral: cóncava, su
borde sirve para la
inserción tibial de la
membrana interósea.
Posterior: presenta
una línea oblicua
“línea del sóleo” , para
la inserción del
músculo homónimo.
Aquí también se
localiza su agujero
nutricio.
Cara medial: presenta
la saliente del maléolo
medial.
Cara lateral: presenta
una superficie articular
para la fíbula.
Cara posterior:
presenta surcos
oblicuos para el paso de
los tendones de los
músculos flexores.
Cara inferior: es la
superficie de contacto
articular con el talus,
tiene forma
cuadrangular
PERONÉ-ANATOMÍA
• Se articula por dentro con la tibia y por abajo con el astrágalo
• Está formado por:
3 caras:
-Interna: se encuentra la cresta interósea.
-Posterior: es rugosa y ¼ inferior se vuelve interna.
-Externa: se encuentra la cresta oblicua en 1/3 inferior.
3 bordes:
-Anterior: se encuentra muy marcado.
-Interno: que se difumina en la parte inferior.
-Externo: en la parte inferior se vuelve posterior.
•- Extremidad superior:
Presenta una faceta articular y una
pequeña protuberancia de la cabeza
denominada ápice
La apófisis estiloides del peroné se articula
con el cóndilo lateral de la tibia (sinovial,
plana).
- Extremidad inferior:
La porción lateral de este extremo se
expande para formar el maléolo externo
(lateral), que tiene una cara articular para el
talo.
Superior a la faceta articular existe una
rugosidad en el que se inserta el ligamento
interóseo de la articulación tibiofibular
inferior.
• Arteria tibial anterior
• Se encuentra por delante de la MIO entre el tibial anterior
y extensor largo del dedo gordo
• A. tibial posteror
• Continúa en el compartimiento posterior profundo de la
pierna
• A. peronea
• Continúa en el compartimiento posterior profundo entre el
tibial posterior y flexor largo del dedo gordo
Nervios
•nervio tibial (L4-S3)
•Ramas musculares suministran la pierna
posterior (compartimentos posterior
superficial y profundo)
•nervio peroneo común (L4-S2)
•Inerva los músculos del compartimento
lateral de la pierna y músculos del
compartimento anterior de la pierna,
•nervio peroneo superficial
• Suministros ramas musculares a peroneo
largo y corto del pulgar (compartimiento
lateral)
•nervio peroneo profundo
•Inerva la piel del pie entre el primer y
segundo dedos
•nervio safeno (L3-L4)
•proporciona la sensibilidad a la cara medial de la
pierna y el pie
FRACTURAS EN TIBIA
•Fractura en la meseta tibial
Fractura en el tercio proximal
Fractura en diáfisis tibial
Fracturas del pilón tibial
MECANISMO DE LESION
DIRECTOS
INDIRECTOS
MIXTOS
TIPOS DE FRACTURA
A) Oblicuas: causadas por
fuerza lateral y rotación.
B) Transversas: causadas
por fuerza lateral.
C) Espiroideas: causadas por
rotación.
D) Conminutas: causadas por
golpe directo.
TIPOS DE FRACTURA
A) Oblicuas: causadas por
fuerza lateral y rotación.
B) Transversas: causadas por
fuerza lateral.
C) Espiroideas: causadas por
rotación.
D) Conminutas: causadas por
golpe directo.
• Biomecánica:
• La meseta tibial medial lleva 60% de la carga de la rodilla
• Las lesiones peiarticulares de la tibia proximal frecuentemente son
asociadas con lesiones en tejidos blandos
• En hombres en los 40 -> por traumtismos de alta energía
• En mujeres de 70 -> por caídas
• Ubicación
• Frecuencia
• Lateral > bicondilea >medial
Fracturas en la meseta tibial
• Mecanismo
• Carga varo/valgo forzado con o sin carga axial
• Golpe de alta energía
• Asociado frecuentemente a lesiones de tejidos blandos
• Golpe de baja energía
• Generalmente en fracturas por insuficiencia
CLASIFICACIÓN DE SCHATZKER
CLASIFICACIÓN DE SCHATZKER
Clasificación de Hohl y Moore, fracturas y luxaciones
Tipo I Fractura coronal
Tipo II Fractura en todo el cóndilo
Tipo III Avulsion de la fractura en el borde de la meseta lateral
Tipo IV Fractura del borde por compresión
Tipo V Fractura en 4 partes
•Condiciones
asociadas
• Roturas de menisco
• Mas común de lado medial
• Asociada con el patrón de fractura Schatzker
II
• Menisco medial en lagrima
• Asociado con las fracturas Schatzker iv
• Lesiones en ligamento cruzado anterior
• Comun en fracturas schatzker tipo v y vi
(25%)
• Síndrome compartimental
• Lesión vascular
• Comunmente asocada a
fracturas/dislocaciones Schatzker iv
PRESENTACIÓN
• Historia
• Traumatismos de alta energía en pacientes jóvenes
• Caídas de baja energía en pacientes ancianos
• Examen físico
• Inspección
• Palpación
• Evaluación neurovascular
•Inspección
• Mirar alrededor para descartar una lesión abierta
Palpación
• Considerar un síndrome compartimental cuando los compartimentos son
firmnes y no compresibles
Valgo pruebas de estrés en varo
• Cualquier laxitud> 10 grados indica inestabilidad
• A menudo difícil de realizar dado el dolor
Evaluación neurvascular
• Cualquier diferencia en el examen del pulso entre las extremidades deben
investigarse más a fondo con la medición del índice de anke-braquial
IMAGENOLOGÍA
• Radiografía
•Vistas recomendadas
•AP, lateral, oblicua
•Oblicua es útil para determinar la cantidad
de la depresión
•Vistas opcionales
•Para ver meseta
•10 grados de inclinación caudal
•Recomendaciones
• deben de ser reconocidas las líneas de
fractura posteromediales
•TC
• Es importante identificar la depresión articular y trituración
• Recomendaciones
• Lipohemartrosis indica una fractura oculta
• Orientación del fragmento de la fractura y la planificación quirúrgica
•RM
• Indicaciones
• No está bien establecido
• Recomendaciones
• Útil para determinar la patología meniscal y ligamentosa
TRATAMIENTO
• no quirúrgico
• Órtesis de rodilla con carga parcial de peso (PWB) durante 8-12 semanas,
y la movilidad pasiva inmediata
• indicaciones
• Fractura con desplazamiento mínimo o fracturas deprimidas
• Para la fractura de baja energía estable para la alineación en varo / valgo
• Los pacientes que no pueden caminar
Operatorio
•contemporización puente de fijación externa w / ORIF retardada
•indicaciones
•lesión de tejidos blandos significativa
•politraumatismos
•fijación externa con limitado fijación abierta / percutánea del segmento articular
•indicaciones
•fractura abierta grave contaminación con marcada
•fracturas muy conminutas donde la fijación interna no sea posible
•resultados
•similar a abrir reducción, fijación interna
•reducción abierta, fijación interna
•indicaciones
•stepoff articular > 3mm
•ensanchamiento del cóndilo> 5mm
•varo / valgo inestabilidad
•todos fxs meseta medial
•fxs todo bicondilares
• Están asociados con
• Altas tasas de consolidación viciosa
• Valgo
• Vértice anterior (procurvatum)
• Compromiso del tejido blando
Fracturas en el tercio proximal
•Epidemiología
• Incidencia
• 5-11% de todas las fracturas de la
diáfisis tibial
Fisiopatología
• Mecanismo
• Baja energia
• Resultado de lesión torsional
• Traumatismo indirecto
• Alta energia
• Traumatismo directo
•condiciones asociadas
• Síndrome compartimental
• Lesión de tejidos blandos
• Crítico para el resultado
CLASIFICACIÓN
PRESENTACIÓN
• Los síntomas
• Dolor, incapacidad para soportar
peso
• Examen físico
• inspección y palpación
• Contusiones
• Ampollas
• Heridas abiertas
• Compartimientos
• Palpación
• El movimiento pasivo de los dedos del
pie
• Medición de la presión
intracompartimental si está indicado
• neurológica
• Peroneo profundo n.
• Peroneo superficial n.
• N sural.
• N tibial.
• N safena.
• PULSO
• Dorsal del pie
• Tibial posterior
• Asegúrese de revisar lado
contralateral
RADIOGRAFÍA
• AP longitud completa y lateral de la tibia
afectada
• Anteroposterior y lateral de la rodilla
ipsilateral
• Anteroposterior y lateral del tobillo
ipsilateral
• TAC
• indicaciones
• Cuestión de la extensión de la fractura
intra-articular
TRATAMIENTO
• no quirúrgico reducción
cerrada / inmovilización con
yeso
• indicaciones
• Las fracturas de baja energía cerradas
con la alineación aceptable
• <5 grados varo-valgo angulación
• <10 grados anterior / posterior angulación
• > 50% aposición cortical
• <1 cm acortamiento
• <Alineación 10 grados de rotación
• técnica
• Colocar en la larga yeso en la pierna
y convertir a ortesis funcional a las 4
semanas
• Fundida en 10 a 20 grados de flexión
• resultados
• Control de la rotación es difícil de
lograr por métodos cerrados
Operatorio
•Fijación externa
•Indicaciones
•fracturas con amplio compromiso
de los tejidos blandos
•politraumatismos
•fijadores son útiles
•Enclavado intramedular
•Indicaciones
•Suficiente hueso proximal para aceptar
dos tornillos de bloqueo (5-6 cm)
•Resultados
•Altas tasas de mala unión con una
técnica inadecuada
•Más mala unión común
•Valgo
•Vértice anterior (procurvatum)
•Placa de fijación
percutánea
•Indicaciones
•Inadecuada fijación proximal para
IM clavado
El más adecuado para las fracturas
transversales u oblicuas
•mínimo compromiso de los tejidos
blandos
•Técnica
•Puede utilizarse medial o lateral
•Mejor cobertura de tejidos blandos
lateralmente hace planchas
laterales más seguro
•Resultados
•Enchapado lateral con
conminución medial puede
conducir a un colapso en varo
•Placas largas pueden colocar
nervio peroneo superficial en
• Epidemiología
• Fx más común de los huesos largos
• Cuentan con el 4% del total de fx se
observa en la población de medicare
• Mecanismo
• patrón de baja energía fx
• Resultado de lesión torsional
• Resultados de trauma indirecto en espiral
fx
• Fx peroné a distinto nivel
• Tscherne grado 0 lesión tisular / I suave
• fx patrón de alta energía
• Fuerzas directas a menudo resultan en
cuña o fx oblicua corta y trituración
veces significativas
• Fx peroné al mismo nivel
• Lesión de tejidos blandos severa
• Tscherne II / III
• Fx abierto
Fracturas en diáfisis tibial
• CONDICIONES ASOCIADAS:
• LESIÓN DE TEJIDOS BLANDOS (HERIDAS
ABIERTAS)
• Crítico para el resultado
• SÍNDROME COMPARTIMENTAL
• PÉRDIDA DE HUESO
• LESIÓN ESQUELÉTICA IPSILATERAL
• La extensión de la meseta tibial
• Posterior fractura del maléolo
• Más comúnmente asociado con espiral tercera fractura
de tibia distal
PRESENTACIÓN
• síntomas
• Dolor, incapacidad para soportar peso,
deformidad
• Examen físico
• inspección y palpación
• Deformidad / angulación / mala rotación
• Contusiones
• Ampollas
• Heridas abiertas
• Compartimientos
• Palpación
• Dolor
• El movimiento pasivo de los dedos del pie
• Medición de la presión intracompartimental
si está indicado
• neurológica
• Peroneo profundo n.
• Peroneo superficial n.
• N sural.
• N tibial.
• N safena.
• PULSO
• Dorsal del pie
• Tibial posterior
• Asegúrese de revisar lado
contralateral
IMAGENOLOGÍA
•Radiografías
•Vistas recomendadas
•AP longitud completa y lateral de la tibia afectada
•AP, vistas laterales y oblicuas de la rodilla y el tobillo ipsilateral
•TAC
•Indicaciones
•Extensión de la fractura intraarticular o sospecha de afectación articular
•Para excluir la fractura maleolar posterior
TRATAMIENTO
•Reducción cerrada / inmovilización con
yeso
•Indicaciones
•fxs de baja energía cerradas con la
alineación aceptable
•<5 grados varo-valgo angulación
•<10 grados anterior / posterior
angulación
•> 50% aposición cortical
•<1 cm acortamiento
•<Mala alineación 10 grados de
rotación
•si se desplaza realizar una
reducción cerrada bajo anestesia
general
•Técnica
•Colocar en la larga yeso en la pierna y
convertir a ortesis funcional a las 4
semanas
•Resultados
•Alta tasa de éxito si la alineación es
aceptable
•Riesgo de acortamiento con patrones
de fractura oblicua
•Riesgo de mala unión varo con
fracturas de tibia y un peroné diáfisis
intacta
•No unión se produce en el 1,1% de los
pacientes tratados con reducción
cerrada
No quirúrgico
• fijación externa
• indicaciones
• Puede ser útil para proximal o fxs metafisarias
distales
Quirúrgico
• Clavado IM
• indicaciones
• Inaceptable alineación con reducción cerrada y
la colada
• Lesiones de tejidos blandos que no tolerará la
colada
• Fx segmentaria
• Fx conminuta
• Lesión extremidad ipsilateral (es decir, la rodilla
flotante)
• Politraumatismos
• Fx tibia bilateral
• Obesidad mórbida
• Placa de fijación percutánea
• Indicaciones
• Las fracturas de tibia proximal con
insuficiente fijación proximal de
mensajería instantánea para clavar
• Las fracturas de tibia distal con
fijación distal inadecuada del clavo
• Epidemiología
• incidencia
• Cuenta de <10% de las lesiones de las extremidades
inferiores
• La incidencia aumenta a medida que las tasas de
supervivencia tras la ampliación de los accidentes de tráfico
• demografía
• La edad promedio de los pacientes es de 35-40 años
• Más común en hombres que en mujeres
• fisiopatología
• mecanismo
• Carga axial de alta energía ( accidentes automovilísticos,
caídas de altura)
Fracturas del pilón tibial
Patoanatomía
se caracteriza por
- Impactación articular y trituración hueso metafisario
- Lesión de tejidos blandos ( abierta o tscherne II / III
fracturas cerradas)
- Asociados lesiones musculoesqueléticas
- 3 fragmentos típicos con los ligamentos del tobillo
intactas
- Maléolo medial (ligamento deltoideo)
- Posterolateral / fragmento de Volkmann (inferior
posterior del ligamento tibio-peroneo)
- Anterolateral / fragmento de Chaput (ligamento
tibio-peroneo inferior)
condiciones asociadas
• 75% han asociado fracturas peroné
PRONÓSTICO
•Parámetros que se correlacionan con un mal resultado clínico y la imposibilidad de volver a trabajar
•menor nivel de educación
•comorbilidades médicas pre-existentes
•sexo masculino
•lesiones relacionadas con el trabajo
•menores niveles de ingreso
Clasificación de Ruedi y Allgower
Tipo I No desplazada
Tipo II Desplazada con mínimo hundimiento
o conminución
Tipo
III
Desplazada con conminución en la
superficie articular
FRACTURAS DE PERONÉ
• Como tal las fracturas aisladas de
peroné no suelen ser muy
frecuentes ya que la mayoría de las
ocasiones suelen ser acompañadas
de la fractura de tibia.
• Las fractura de peroné suelen ser
causadas por traumatismos directos
sobre la cara lateral de la pierna.
ETIOLOGÍA
se asocian a
mecanismos de
alta energía:
accidentes de
tráfico (automóvil o
motocicleta).
atropellos.
población menor de
65 años.
Otras causas de
fracturas de baja
intensidad son las
fracturas de estrés
y las patológicas
“de los primeros
pasos”
• Según el nivel de fractura se distinguen:
• Fractura de la extremidad superior.
• Fractura de la diáfisis.
• Fractura de la extremidad inferior.
• Las fracturas de la extremidad superior poco
frecuentes debido a la movilidad elástica de
la articulación tibioperonea superior.
• tres posibilidades:
• fractura de apófisis estiloides, de la
cabeza o del cuello.
MANIFESTACIONES CLÍNICAS
• dolor súbito en el momento de la fractura,
equimosis local a los pocos minutos y al
examen clínico un dolor selectivo sobre la
cabeza del peroné.
• La exploración clínica y radiográfica debe
buscar las lesiones asociadas.
• Es obligada siempre la exploración de la
estabilidad de la rodilla y del estado de ciático
poplíteo externo
EXPLORACIÓN FÍSICA
TRATAMIENTO
•Siempre ortopédico funcional y la inmovilización con una férula posterior
con rodilla en semiflexión no es mas que una medida antiálgica que solo
tiene sentido en los primeros días.
no es obligada la inmovilización, por su fácil consolidación y estabilidad por
estar la tibia íntegra, pero puede recurrirse a la colocación un yeso 2-3
semanas para confort del enfermo
Fuerzas deformantes
• Tendón rotuliano
• Fragmento proximal en extensión
• Tendones isquiotibiales
• Fragmento distal en flexión
• Pata de ganso
• Fuerza de deformación valgus
• Musculatura del compartimento anterior
• Fuerza de deformación valgus

Fracturas de pierna

  • 1.
    T R AU M AT O L O G I A Y O R T O P E D I A J E S S E J A S S U A L O P E Z FRACTURAS DE PIERNA
  • 2.
    INTRODUCCIONINTRODUCCION La tibia esuno de los huesos que con mayor frecuencia sufre fracturas Su localización subcutánea implica vulnerabilidad al trauma y a fracturas abiertas, así como en la consolidación de las mismas. Las fracturas de la diáfisis de tibia se definen como la pérdida de solución de continuidad ósea en la diáfisis de tibia. •Epífisis proximal Diáfisis Epífisis distal
  • 3.
    Tubérculos intercondíleos Tuberosidad Inserción del ligamento cruzadoposterior Inserción del ligamento cruzado anterior •Epífisis proximal presenta en su cara superior 2 superficies articulares (cavidades glenoideas). En medio presenta las tuberosidades intercondileas, que sirven de insercion para los ligamentos cruzados. Las cavidades articulares están soportadas por los cóndilos tibiales medial y lateral. Este último presenta una carilla articular para recibir a la cabeza fibular. El cóndilo medial es más desarrollado.
  • 4.
    •Diafisis: prisma triangular Antero- medial:subcutánea (espinilla) en su extremo proximal se inserta la pata de ganso. Lateral: cóncava, su borde sirve para la inserción tibial de la membrana interósea. Posterior: presenta una línea oblicua “línea del sóleo” , para la inserción del músculo homónimo. Aquí también se localiza su agujero nutricio.
  • 5.
    Cara medial: presenta lasaliente del maléolo medial. Cara lateral: presenta una superficie articular para la fíbula. Cara posterior: presenta surcos oblicuos para el paso de los tendones de los músculos flexores. Cara inferior: es la superficie de contacto articular con el talus, tiene forma cuadrangular
  • 6.
    PERONÉ-ANATOMÍA • Se articulapor dentro con la tibia y por abajo con el astrágalo • Está formado por: 3 caras: -Interna: se encuentra la cresta interósea. -Posterior: es rugosa y ¼ inferior se vuelve interna. -Externa: se encuentra la cresta oblicua en 1/3 inferior. 3 bordes: -Anterior: se encuentra muy marcado. -Interno: que se difumina en la parte inferior. -Externo: en la parte inferior se vuelve posterior.
  • 7.
    •- Extremidad superior: Presentauna faceta articular y una pequeña protuberancia de la cabeza denominada ápice La apófisis estiloides del peroné se articula con el cóndilo lateral de la tibia (sinovial, plana). - Extremidad inferior: La porción lateral de este extremo se expande para formar el maléolo externo (lateral), que tiene una cara articular para el talo. Superior a la faceta articular existe una rugosidad en el que se inserta el ligamento interóseo de la articulación tibiofibular inferior.
  • 8.
    • Arteria tibialanterior • Se encuentra por delante de la MIO entre el tibial anterior y extensor largo del dedo gordo • A. tibial posteror • Continúa en el compartimiento posterior profundo de la pierna • A. peronea • Continúa en el compartimiento posterior profundo entre el tibial posterior y flexor largo del dedo gordo
  • 9.
    Nervios •nervio tibial (L4-S3) •Ramasmusculares suministran la pierna posterior (compartimentos posterior superficial y profundo) •nervio peroneo común (L4-S2) •Inerva los músculos del compartimento lateral de la pierna y músculos del compartimento anterior de la pierna, •nervio peroneo superficial • Suministros ramas musculares a peroneo largo y corto del pulgar (compartimiento lateral) •nervio peroneo profundo •Inerva la piel del pie entre el primer y segundo dedos •nervio safeno (L3-L4) •proporciona la sensibilidad a la cara medial de la pierna y el pie
  • 10.
    FRACTURAS EN TIBIA •Fracturaen la meseta tibial Fractura en el tercio proximal Fractura en diáfisis tibial Fracturas del pilón tibial
  • 11.
  • 12.
    TIPOS DE FRACTURA A)Oblicuas: causadas por fuerza lateral y rotación. B) Transversas: causadas por fuerza lateral. C) Espiroideas: causadas por rotación. D) Conminutas: causadas por golpe directo.
  • 13.
    TIPOS DE FRACTURA A)Oblicuas: causadas por fuerza lateral y rotación. B) Transversas: causadas por fuerza lateral. C) Espiroideas: causadas por rotación. D) Conminutas: causadas por golpe directo.
  • 14.
    • Biomecánica: • Lameseta tibial medial lleva 60% de la carga de la rodilla • Las lesiones peiarticulares de la tibia proximal frecuentemente son asociadas con lesiones en tejidos blandos • En hombres en los 40 -> por traumtismos de alta energía • En mujeres de 70 -> por caídas • Ubicación • Frecuencia • Lateral > bicondilea >medial Fracturas en la meseta tibial
  • 15.
    • Mecanismo • Cargavaro/valgo forzado con o sin carga axial • Golpe de alta energía • Asociado frecuentemente a lesiones de tejidos blandos • Golpe de baja energía • Generalmente en fracturas por insuficiencia
  • 16.
  • 17.
  • 18.
    Clasificación de Hohly Moore, fracturas y luxaciones Tipo I Fractura coronal Tipo II Fractura en todo el cóndilo Tipo III Avulsion de la fractura en el borde de la meseta lateral Tipo IV Fractura del borde por compresión Tipo V Fractura en 4 partes
  • 19.
    •Condiciones asociadas • Roturas demenisco • Mas común de lado medial • Asociada con el patrón de fractura Schatzker II • Menisco medial en lagrima • Asociado con las fracturas Schatzker iv • Lesiones en ligamento cruzado anterior • Comun en fracturas schatzker tipo v y vi (25%) • Síndrome compartimental • Lesión vascular • Comunmente asocada a fracturas/dislocaciones Schatzker iv
  • 20.
    PRESENTACIÓN • Historia • Traumatismosde alta energía en pacientes jóvenes • Caídas de baja energía en pacientes ancianos • Examen físico • Inspección • Palpación • Evaluación neurovascular
  • 21.
    •Inspección • Mirar alrededorpara descartar una lesión abierta Palpación • Considerar un síndrome compartimental cuando los compartimentos son firmnes y no compresibles Valgo pruebas de estrés en varo • Cualquier laxitud> 10 grados indica inestabilidad • A menudo difícil de realizar dado el dolor Evaluación neurvascular • Cualquier diferencia en el examen del pulso entre las extremidades deben investigarse más a fondo con la medición del índice de anke-braquial
  • 22.
    IMAGENOLOGÍA • Radiografía •Vistas recomendadas •AP,lateral, oblicua •Oblicua es útil para determinar la cantidad de la depresión •Vistas opcionales •Para ver meseta •10 grados de inclinación caudal •Recomendaciones • deben de ser reconocidas las líneas de fractura posteromediales
  • 23.
    •TC • Es importanteidentificar la depresión articular y trituración • Recomendaciones • Lipohemartrosis indica una fractura oculta • Orientación del fragmento de la fractura y la planificación quirúrgica •RM • Indicaciones • No está bien establecido • Recomendaciones • Útil para determinar la patología meniscal y ligamentosa
  • 24.
    TRATAMIENTO • no quirúrgico •Órtesis de rodilla con carga parcial de peso (PWB) durante 8-12 semanas, y la movilidad pasiva inmediata • indicaciones • Fractura con desplazamiento mínimo o fracturas deprimidas • Para la fractura de baja energía estable para la alineación en varo / valgo • Los pacientes que no pueden caminar
  • 25.
    Operatorio •contemporización puente defijación externa w / ORIF retardada •indicaciones •lesión de tejidos blandos significativa •politraumatismos •fijación externa con limitado fijación abierta / percutánea del segmento articular •indicaciones •fractura abierta grave contaminación con marcada •fracturas muy conminutas donde la fijación interna no sea posible •resultados •similar a abrir reducción, fijación interna •reducción abierta, fijación interna •indicaciones •stepoff articular > 3mm •ensanchamiento del cóndilo> 5mm •varo / valgo inestabilidad •todos fxs meseta medial •fxs todo bicondilares
  • 26.
    • Están asociadoscon • Altas tasas de consolidación viciosa • Valgo • Vértice anterior (procurvatum) • Compromiso del tejido blando Fracturas en el tercio proximal
  • 27.
    •Epidemiología • Incidencia • 5-11%de todas las fracturas de la diáfisis tibial Fisiopatología • Mecanismo • Baja energia • Resultado de lesión torsional • Traumatismo indirecto • Alta energia • Traumatismo directo •condiciones asociadas • Síndrome compartimental • Lesión de tejidos blandos • Crítico para el resultado
  • 28.
  • 29.
    PRESENTACIÓN • Los síntomas •Dolor, incapacidad para soportar peso • Examen físico • inspección y palpación • Contusiones • Ampollas • Heridas abiertas • Compartimientos • Palpación • El movimiento pasivo de los dedos del pie • Medición de la presión intracompartimental si está indicado • neurológica • Peroneo profundo n. • Peroneo superficial n. • N sural. • N tibial. • N safena. • PULSO • Dorsal del pie • Tibial posterior • Asegúrese de revisar lado contralateral
  • 30.
    RADIOGRAFÍA • AP longitudcompleta y lateral de la tibia afectada • Anteroposterior y lateral de la rodilla ipsilateral • Anteroposterior y lateral del tobillo ipsilateral • TAC • indicaciones • Cuestión de la extensión de la fractura intra-articular
  • 31.
    TRATAMIENTO • no quirúrgicoreducción cerrada / inmovilización con yeso • indicaciones • Las fracturas de baja energía cerradas con la alineación aceptable • <5 grados varo-valgo angulación • <10 grados anterior / posterior angulación • > 50% aposición cortical • <1 cm acortamiento • <Alineación 10 grados de rotación • técnica • Colocar en la larga yeso en la pierna y convertir a ortesis funcional a las 4 semanas • Fundida en 10 a 20 grados de flexión • resultados • Control de la rotación es difícil de lograr por métodos cerrados
  • 32.
    Operatorio •Fijación externa •Indicaciones •fracturas conamplio compromiso de los tejidos blandos •politraumatismos •fijadores son útiles
  • 33.
    •Enclavado intramedular •Indicaciones •Suficiente huesoproximal para aceptar dos tornillos de bloqueo (5-6 cm) •Resultados •Altas tasas de mala unión con una técnica inadecuada •Más mala unión común •Valgo •Vértice anterior (procurvatum) •Placa de fijación percutánea •Indicaciones •Inadecuada fijación proximal para IM clavado El más adecuado para las fracturas transversales u oblicuas •mínimo compromiso de los tejidos blandos •Técnica •Puede utilizarse medial o lateral •Mejor cobertura de tejidos blandos lateralmente hace planchas laterales más seguro •Resultados •Enchapado lateral con conminución medial puede conducir a un colapso en varo •Placas largas pueden colocar nervio peroneo superficial en
  • 34.
    • Epidemiología • Fxmás común de los huesos largos • Cuentan con el 4% del total de fx se observa en la población de medicare • Mecanismo • patrón de baja energía fx • Resultado de lesión torsional • Resultados de trauma indirecto en espiral fx • Fx peroné a distinto nivel • Tscherne grado 0 lesión tisular / I suave • fx patrón de alta energía • Fuerzas directas a menudo resultan en cuña o fx oblicua corta y trituración veces significativas • Fx peroné al mismo nivel • Lesión de tejidos blandos severa • Tscherne II / III • Fx abierto Fracturas en diáfisis tibial • CONDICIONES ASOCIADAS: • LESIÓN DE TEJIDOS BLANDOS (HERIDAS ABIERTAS) • Crítico para el resultado • SÍNDROME COMPARTIMENTAL • PÉRDIDA DE HUESO • LESIÓN ESQUELÉTICA IPSILATERAL • La extensión de la meseta tibial • Posterior fractura del maléolo • Más comúnmente asociado con espiral tercera fractura de tibia distal
  • 36.
    PRESENTACIÓN • síntomas • Dolor,incapacidad para soportar peso, deformidad • Examen físico • inspección y palpación • Deformidad / angulación / mala rotación • Contusiones • Ampollas • Heridas abiertas • Compartimientos • Palpación • Dolor • El movimiento pasivo de los dedos del pie • Medición de la presión intracompartimental si está indicado • neurológica • Peroneo profundo n. • Peroneo superficial n. • N sural. • N tibial. • N safena. • PULSO • Dorsal del pie • Tibial posterior • Asegúrese de revisar lado contralateral
  • 37.
    IMAGENOLOGÍA •Radiografías •Vistas recomendadas •AP longitudcompleta y lateral de la tibia afectada •AP, vistas laterales y oblicuas de la rodilla y el tobillo ipsilateral •TAC •Indicaciones •Extensión de la fractura intraarticular o sospecha de afectación articular •Para excluir la fractura maleolar posterior
  • 38.
    TRATAMIENTO •Reducción cerrada /inmovilización con yeso •Indicaciones •fxs de baja energía cerradas con la alineación aceptable •<5 grados varo-valgo angulación •<10 grados anterior / posterior angulación •> 50% aposición cortical •<1 cm acortamiento •<Mala alineación 10 grados de rotación •si se desplaza realizar una reducción cerrada bajo anestesia general •Técnica •Colocar en la larga yeso en la pierna y convertir a ortesis funcional a las 4 semanas •Resultados •Alta tasa de éxito si la alineación es aceptable •Riesgo de acortamiento con patrones de fractura oblicua •Riesgo de mala unión varo con fracturas de tibia y un peroné diáfisis intacta •No unión se produce en el 1,1% de los pacientes tratados con reducción cerrada No quirúrgico
  • 39.
    • fijación externa •indicaciones • Puede ser útil para proximal o fxs metafisarias distales Quirúrgico
  • 40.
    • Clavado IM •indicaciones • Inaceptable alineación con reducción cerrada y la colada • Lesiones de tejidos blandos que no tolerará la colada • Fx segmentaria • Fx conminuta • Lesión extremidad ipsilateral (es decir, la rodilla flotante) • Politraumatismos • Fx tibia bilateral • Obesidad mórbida
  • 41.
    • Placa defijación percutánea • Indicaciones • Las fracturas de tibia proximal con insuficiente fijación proximal de mensajería instantánea para clavar • Las fracturas de tibia distal con fijación distal inadecuada del clavo
  • 42.
    • Epidemiología • incidencia •Cuenta de <10% de las lesiones de las extremidades inferiores • La incidencia aumenta a medida que las tasas de supervivencia tras la ampliación de los accidentes de tráfico • demografía • La edad promedio de los pacientes es de 35-40 años • Más común en hombres que en mujeres • fisiopatología • mecanismo • Carga axial de alta energía ( accidentes automovilísticos, caídas de altura) Fracturas del pilón tibial
  • 43.
    Patoanatomía se caracteriza por -Impactación articular y trituración hueso metafisario - Lesión de tejidos blandos ( abierta o tscherne II / III fracturas cerradas) - Asociados lesiones musculoesqueléticas - 3 fragmentos típicos con los ligamentos del tobillo intactas - Maléolo medial (ligamento deltoideo) - Posterolateral / fragmento de Volkmann (inferior posterior del ligamento tibio-peroneo) - Anterolateral / fragmento de Chaput (ligamento tibio-peroneo inferior)
  • 44.
    condiciones asociadas • 75%han asociado fracturas peroné PRONÓSTICO •Parámetros que se correlacionan con un mal resultado clínico y la imposibilidad de volver a trabajar •menor nivel de educación •comorbilidades médicas pre-existentes •sexo masculino •lesiones relacionadas con el trabajo •menores niveles de ingreso
  • 45.
    Clasificación de Ruediy Allgower Tipo I No desplazada Tipo II Desplazada con mínimo hundimiento o conminución Tipo III Desplazada con conminución en la superficie articular
  • 46.
  • 47.
    • Como tallas fracturas aisladas de peroné no suelen ser muy frecuentes ya que la mayoría de las ocasiones suelen ser acompañadas de la fractura de tibia. • Las fractura de peroné suelen ser causadas por traumatismos directos sobre la cara lateral de la pierna.
  • 48.
    ETIOLOGÍA se asocian a mecanismosde alta energía: accidentes de tráfico (automóvil o motocicleta). atropellos. población menor de 65 años. Otras causas de fracturas de baja intensidad son las fracturas de estrés y las patológicas “de los primeros pasos”
  • 49.
    • Según elnivel de fractura se distinguen: • Fractura de la extremidad superior. • Fractura de la diáfisis. • Fractura de la extremidad inferior.
  • 50.
    • Las fracturasde la extremidad superior poco frecuentes debido a la movilidad elástica de la articulación tibioperonea superior. • tres posibilidades: • fractura de apófisis estiloides, de la cabeza o del cuello.
  • 51.
    MANIFESTACIONES CLÍNICAS • dolorsúbito en el momento de la fractura, equimosis local a los pocos minutos y al examen clínico un dolor selectivo sobre la cabeza del peroné. • La exploración clínica y radiográfica debe buscar las lesiones asociadas. • Es obligada siempre la exploración de la estabilidad de la rodilla y del estado de ciático poplíteo externo
  • 52.
  • 53.
    TRATAMIENTO •Siempre ortopédico funcionaly la inmovilización con una férula posterior con rodilla en semiflexión no es mas que una medida antiálgica que solo tiene sentido en los primeros días. no es obligada la inmovilización, por su fácil consolidación y estabilidad por estar la tibia íntegra, pero puede recurrirse a la colocación un yeso 2-3 semanas para confort del enfermo
  • 56.
    Fuerzas deformantes • Tendónrotuliano • Fragmento proximal en extensión • Tendones isquiotibiales • Fragmento distal en flexión • Pata de ganso • Fuerza de deformación valgus • Musculatura del compartimento anterior • Fuerza de deformación valgus

Notas del editor

  • #9 MIO-membrana interosea
  • #10 Peroneo común. inerva los músculos del compartimento lateral de la pierna, es decir el músculo peroneo lateral largo y el músculo peroneo lateral corto y  músculos del compartimento anterior de la pierna, es decir el músculo tibial anterior, el músculo peroneo anterior, el músculo extensor largo de los dedos y el músculo extensor largo del dedo gordo.
  • #19 Clasificación útil para  1) verdaderas fracturas-luxaciones 2) patrones de fractura que no encajan en la clasificación Schatzker (10% de todas las fracturas de meseta tibial) 3) fracturas asociadas con la inestabilidad de la rodilla
  • #24 La lipohemartrosis consiste en la presencia de sangre y gotas de grasa en el espacio articular. RM en T1
  • #57 Los tendones isquiotibiales o isquiosurales se sitúan en la región superior y posterior del muslo. Son los tendones de tres músculos, semimembranoso,semitendinoso y bíceps femoral (porción larga), que se insertan proximalmente en la tuberosidad isquiática de la pelvis. A nivel distal los dos primeros se insertan en la región posteromedial de la rodilla, en la tibia PATA DE GANSO - Sartorio, el Recto interno y el Semitendinoso.