Técnica de Teleradioradiografia de tórax y lateral.
Niveles Ganglionares Mediastinicos
Lineas de Union Pleural
Receso PAE
Dr. Stelios Cedi Zamudio.
HOSPITAL GENERAL DE
MEXICO
RADIOGRAFIA DE TORAX
• Piedra angular en el diagnostico radiologico.
 Técnica :
 Bipedestación.
 Inspiración máxima.
 Las manos a nivel de la cadera
hacia adelante los codos.
 Distancia 1.80 metros.
 El rayo debe ir dirigido hacia T6.
RX DE TORAX PA
Que la radiografía este bien centrada.
El aumento de exposición de la radiografía.
Se debe tomar en inspiración profunda.
Sub- Exposición
SOBRE-EXPOSICIÓN
-Excesiva intensidad de
radiación.
-En estas condiciones una
lesión pulmonar que
normalmente daría origen
a una sombra tenue puede
pasar inadvertida.
-La estructura ósea de la
columna se ve con toda
claridad
MISMA PLACA EN ESPIRACIÓN.
T : Tráquea
C: Clavículas
AE: Apófisis Espinosa
BD y BI: Bronquio derecho e izquierdo.
Ba: Botón Aórtico.
VCS: Vena cava superior
AP: Arteria Pulmonar.
AD: Aurícula Derecha.
VCI: Vena cava inferior.
VI: Ventrículo izquierdo
CF : Angulo costo frénico
DD y DI : Cúpula diafragmática
derecha e izquierda.
INDICE CARDIOTORACICO:
A + B / C = - 50
A B
C
ESPACIOS AÉREOS
Bronquio Derecho:
- Bronquio del lóbulo superior
- Bronquio del lóbulo intermediario
- Bronquio lóbulo medio
- Bronquio lóbulo inferior
Bronquio izquierdo:
-Medio .
-Inferior.
MEDIASTINO
• ES EL ESPACIO EXTRAPLEUREAL QUE QUEDA ENTRE LOS PULMONES SUS
LIMITES SON:
• SUPERIOR : EL ISTMO TORACICO
• LATERAL: LOS REPLIEGUES DE LA PLEURA PARIETAL.
• INFERIOR: EL DIAFRAGMA
MEDIASTINO
DIVISION :
SUPERIOR
INFERIOR: ANTERIOR
, MEDIO Y POSTERIOR.
LA LINEA DE UNION ANTERIOR
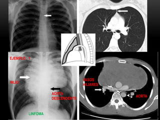
EJEMPLO : 1
AORTA
DESCENDENTE
HILIO
LINFOMA
VASOS
HILIARES
AORTA
EJEMPLO : 2
GRASA PERICARDICA
MEDIASTINO MEDIO
• LIMITES:
• ANTERIOR: PERICARDIO
• POSTERIOR: LA PARED POSTERIOR DE LA TRAQUEA
• SUPERIOR CONDUCTO TORACICO
• INFERIOR: DIAFRAGMA
• CONTIENE:
• CORAZON , PERICARDIO, LA AORTA ASCENDENTRE Y
DESCENDENTE LA VENA CAVA INFERIOR, VASOS BRAQUIO-
CEFALICOS , VASOS PULMONARES, TRAQUEA, NERVIO VAGO
BRONQUIOS, GANGLIOS, Y NERVIO LARINGEO RECURRENTE.
MEDIASTINO MEDIO ( LINEA PARATRAQUEAL
DERECHA.
EJEMPLO :3
SVC
ACIGOS
ACIGOS
LINFADENOPATIA
VENTANA AORTOPULMONAR
VENTANA AORTOPULMONAR
EJEMPLO: ANEURISMA AORTICO
VENTANA AORTOPULMONAR
EJEMPLO: AORCO AORTICO DERECHO.
MEDIASTINO POSTERIOR:
• Limites:
• Anterior: pared posterior de la tráquea y el pericardio.
• Posterior: columna vertebral.
• Superior: Istmo torácico.
• Inferior: diafragma.
MEDIASTINO POSTERIOR:
• Contenido:
• Esófago, Aorta descendente, ganglios linfáticos,
venas ácigos y hemiacigos.
RECESO ACIGOESOFAGICO
Superior: Cayado de la Ácigos
Posterior: Vena Ácigos y pleura
anterior a la columna
Medial: Esófago
Lateral: Segmento Superior
del Lóbulo inferior derecho.
ESOFAGO
RECESO
VENA ACIGOS
LINEA
ACIGOESOFAGICA
RECESO PAE EJEMPLO:QUISTE
BRONCOGENICO
QUISTE BRONCOGENICO
MASA SUBCARINAL QUE OCUPA EL RECESO .
LINEA DE UNION POSTERIOR:
• Se forma por la
unión de ambos
pulmones en la
parte posterior y el
esófago usualmente
entre la 3 y la 5ta
vertebra torácica
CISURAS
• Principales:
• -Mayor u oblicua (T5)
• -Menor u horizontal T6
• Accesorias:
Cisura del lóbulo ácigos
Cisura Accesoria Inferior
Cisura Accesoria Superior
Cisura Menor Izquierda
Cisuras Intersegmentarias
CISURAS ACCESORIAS.
CISURA ACCESORIA
INFERIOR
FINA
LINEA
RADIOPACA
Separa el segmento basal del resto del lobulo inferior.
CISURA DE LA VENA ÁCIGOS
Debido a una falla de la migración de la vena ácigos desde la pared torácica
hasta el lóbulo superior hacia su posición habitual en el Angulo traqueo bronquial.
CISURA ACCESORIA SUPERIOR
• Separa el segmento superior (apical) de un lobulo inferior en los segmentos basales
TRONCO PULMONAR DIAMETRO 28 MM +/-2MM
HANSELL HABLA DE 29MM VALOR PREDICTIVO POSITIVO DE 0.97.
3.32MM ES MUY SUGESTIVO DE HIPERTENSION PULMONAR.
APD (5 cm LONGITUD)
CALIBRE DE: 7 A 18MM
Arteria lobar superior
A. Interlobar
API (3 cm)LONGITUD
CALIBRE DE: 6 A 14MM
A. Lobar Sup
A. Lobar Inf
En sujetos sanos, la PAPm
varía de 10 mmHg - 15 mmHg.
Por estudio eco cardiográfico
la presión sistólica de la
arteria
pulmonar (PSAP) oscila de 18
mmHg a 30 mmHg.
ARTERIAS BRONQUIALES:
• Aportan la nutación del parénquima pulmonar: ramas de la
aorta nutren hasta los bronquiolos terminales, pero las
anastomosis entre las arterias pulmonares y estas arterias
permiten que un flujo de aproximadamente una séptima parte
viaje a loa alveolos.
• Las presiones en el circuito pulmonar son aproximadamente
seis veces menores que las del circuito sistémico: la presión
media en la aorta es de 100 mmHg, mientras que en la arteria
pulmonar es de sólo 15 mmHg.
NIVELES GANGLIONARES.
• International Association for the Study of Lung Cancer 2009
• 1.- cervicales bajos, supraclaviculares y
esternales. 1R :_ 1L
Borde superior :margen inferior del cricoides
Borde Inferior: clavículas y borde superior del manubrio
• 2R Paratraqueales superiores derechos.
• Borde superior :borde superior del manubrio.
• Borde inferior: intersección de la vena innominada
con la tráquea.
• 2L Paratraqueales superiores izq.
• Borde superior: borde superior del manubrio
• Borde inferior: borde superior del arco aórtico
3.- Ganglios Prevascular y prevertebral.
• 3 A Prevascular
Anterior a los vasos
• 3 P Prevertebral
Detrás del esófago (3B)
• * no están adyacentes a la tráquea
4R Paratraqueal inferior derecho.
• Borde superior: intersección de la vena
innominada con la tráquea.
• Borde inferior: borde inferior de la vena
azigos.
• 4R Paratraqueal inferior izquierdo
• Localiza en el borde traqueal izquierdo
Ganglios Aórticos 5-6
5 Subaorticos (ventana aortopulmonar)
6 Paraaorticos (aorta ascendente ó frenicos)
• 7 Subcarinales:
• Caudales a la Carina por
debajo de los bronquio
intermediario derecho y de lado
izquierdo por debajo de l
bronquio inferior
• 8 Paraesofagicos
• Estos ganglios están situados
por debajo de los nódulos
subcarinales hasta el
diafragma.
• 9 Ligamento pulmonar
• se encuentra en limites con el
ligamento pulmonar y la pared
posterior e inferior de la vena
pulmonar inferior.
• 10 Hiliar
• se encuentra a nivel de lóbulo
pulmonar izquierdo y por
debajo del bronquio principal
derecho.
BIBLIOGRAFIA
http://www.semes.org/revista/vol23_2/16.pdf
http://www.scielo.cl/pdf/rcher/v27n3/art07.pdf
DIAGNOSTICO POR IMAGEN COMPENDIO CESAR S.PEDROSA
PAG 28 A 38.

Niveles ganglionares torax

  • 1.
    Técnica de Teleradioradiografiade tórax y lateral. Niveles Ganglionares Mediastinicos Lineas de Union Pleural Receso PAE Dr. Stelios Cedi Zamudio. HOSPITAL GENERAL DE MEXICO
  • 2.
    RADIOGRAFIA DE TORAX •Piedra angular en el diagnostico radiologico.  Técnica :  Bipedestación.  Inspiración máxima.  Las manos a nivel de la cadera hacia adelante los codos.  Distancia 1.80 metros.  El rayo debe ir dirigido hacia T6.
  • 5.
    RX DE TORAXPA Que la radiografía este bien centrada. El aumento de exposición de la radiografía. Se debe tomar en inspiración profunda. Sub- Exposición
  • 6.
    SOBRE-EXPOSICIÓN -Excesiva intensidad de radiación. -Enestas condiciones una lesión pulmonar que normalmente daría origen a una sombra tenue puede pasar inadvertida. -La estructura ósea de la columna se ve con toda claridad
  • 7.
    MISMA PLACA ENESPIRACIÓN.
  • 9.
    T : Tráquea C:Clavículas AE: Apófisis Espinosa BD y BI: Bronquio derecho e izquierdo. Ba: Botón Aórtico. VCS: Vena cava superior AP: Arteria Pulmonar. AD: Aurícula Derecha. VCI: Vena cava inferior. VI: Ventrículo izquierdo CF : Angulo costo frénico DD y DI : Cúpula diafragmática derecha e izquierda.
  • 11.
    INDICE CARDIOTORACICO: A +B / C = - 50 A B C
  • 12.
    ESPACIOS AÉREOS Bronquio Derecho: -Bronquio del lóbulo superior - Bronquio del lóbulo intermediario - Bronquio lóbulo medio - Bronquio lóbulo inferior Bronquio izquierdo: -Medio . -Inferior.
  • 13.
    MEDIASTINO • ES ELESPACIO EXTRAPLEUREAL QUE QUEDA ENTRE LOS PULMONES SUS LIMITES SON: • SUPERIOR : EL ISTMO TORACICO • LATERAL: LOS REPLIEGUES DE LA PLEURA PARIETAL. • INFERIOR: EL DIAFRAGMA
  • 14.
  • 15.
    LA LINEA DEUNION ANTERIOR EJEMPLO : 1 AORTA DESCENDENTE HILIO LINFOMA VASOS HILIARES AORTA
  • 16.
    EJEMPLO : 2 GRASAPERICARDICA
  • 17.
    MEDIASTINO MEDIO • LIMITES: •ANTERIOR: PERICARDIO • POSTERIOR: LA PARED POSTERIOR DE LA TRAQUEA • SUPERIOR CONDUCTO TORACICO • INFERIOR: DIAFRAGMA • CONTIENE: • CORAZON , PERICARDIO, LA AORTA ASCENDENTRE Y DESCENDENTE LA VENA CAVA INFERIOR, VASOS BRAQUIO- CEFALICOS , VASOS PULMONARES, TRAQUEA, NERVIO VAGO BRONQUIOS, GANGLIOS, Y NERVIO LARINGEO RECURRENTE.
  • 18.
    MEDIASTINO MEDIO (LINEA PARATRAQUEAL DERECHA. EJEMPLO :3 SVC ACIGOS ACIGOS LINFADENOPATIA
  • 19.
  • 20.
  • 21.
  • 22.
    MEDIASTINO POSTERIOR: • Limites: •Anterior: pared posterior de la tráquea y el pericardio. • Posterior: columna vertebral. • Superior: Istmo torácico. • Inferior: diafragma.
  • 23.
    MEDIASTINO POSTERIOR: • Contenido: •Esófago, Aorta descendente, ganglios linfáticos, venas ácigos y hemiacigos.
  • 24.
    RECESO ACIGOESOFAGICO Superior: Cayadode la Ácigos Posterior: Vena Ácigos y pleura anterior a la columna Medial: Esófago Lateral: Segmento Superior del Lóbulo inferior derecho. ESOFAGO RECESO VENA ACIGOS LINEA ACIGOESOFAGICA
  • 25.
    RECESO PAE EJEMPLO:QUISTE BRONCOGENICO QUISTEBRONCOGENICO MASA SUBCARINAL QUE OCUPA EL RECESO .
  • 26.
    LINEA DE UNIONPOSTERIOR: • Se forma por la unión de ambos pulmones en la parte posterior y el esófago usualmente entre la 3 y la 5ta vertebra torácica
  • 27.
    CISURAS • Principales: • -Mayoru oblicua (T5) • -Menor u horizontal T6 • Accesorias: Cisura del lóbulo ácigos Cisura Accesoria Inferior Cisura Accesoria Superior Cisura Menor Izquierda Cisuras Intersegmentarias
  • 28.
    CISURAS ACCESORIAS. CISURA ACCESORIA INFERIOR FINA LINEA RADIOPACA Separael segmento basal del resto del lobulo inferior.
  • 29.
    CISURA DE LAVENA ÁCIGOS Debido a una falla de la migración de la vena ácigos desde la pared torácica hasta el lóbulo superior hacia su posición habitual en el Angulo traqueo bronquial.
  • 30.
    CISURA ACCESORIA SUPERIOR •Separa el segmento superior (apical) de un lobulo inferior en los segmentos basales
  • 31.
    TRONCO PULMONAR DIAMETRO28 MM +/-2MM HANSELL HABLA DE 29MM VALOR PREDICTIVO POSITIVO DE 0.97. 3.32MM ES MUY SUGESTIVO DE HIPERTENSION PULMONAR. APD (5 cm LONGITUD) CALIBRE DE: 7 A 18MM Arteria lobar superior A. Interlobar API (3 cm)LONGITUD CALIBRE DE: 6 A 14MM A. Lobar Sup A. Lobar Inf En sujetos sanos, la PAPm varía de 10 mmHg - 15 mmHg. Por estudio eco cardiográfico la presión sistólica de la arteria pulmonar (PSAP) oscila de 18 mmHg a 30 mmHg.
  • 32.
    ARTERIAS BRONQUIALES: • Aportanla nutación del parénquima pulmonar: ramas de la aorta nutren hasta los bronquiolos terminales, pero las anastomosis entre las arterias pulmonares y estas arterias permiten que un flujo de aproximadamente una séptima parte viaje a loa alveolos. • Las presiones en el circuito pulmonar son aproximadamente seis veces menores que las del circuito sistémico: la presión media en la aorta es de 100 mmHg, mientras que en la arteria pulmonar es de sólo 15 mmHg.
  • 33.
    NIVELES GANGLIONARES. • InternationalAssociation for the Study of Lung Cancer 2009
  • 34.
    • 1.- cervicalesbajos, supraclaviculares y esternales. 1R :_ 1L Borde superior :margen inferior del cricoides Borde Inferior: clavículas y borde superior del manubrio • 2R Paratraqueales superiores derechos. • Borde superior :borde superior del manubrio. • Borde inferior: intersección de la vena innominada con la tráquea. • 2L Paratraqueales superiores izq. • Borde superior: borde superior del manubrio • Borde inferior: borde superior del arco aórtico
  • 35.
    3.- Ganglios Prevasculary prevertebral. • 3 A Prevascular Anterior a los vasos • 3 P Prevertebral Detrás del esófago (3B) • * no están adyacentes a la tráquea
  • 36.
    4R Paratraqueal inferiorderecho. • Borde superior: intersección de la vena innominada con la tráquea. • Borde inferior: borde inferior de la vena azigos.
  • 37.
    • 4R Paratraquealinferior izquierdo • Localiza en el borde traqueal izquierdo
  • 38.
    Ganglios Aórticos 5-6 5Subaorticos (ventana aortopulmonar) 6 Paraaorticos (aorta ascendente ó frenicos)
  • 39.
    • 7 Subcarinales: •Caudales a la Carina por debajo de los bronquio intermediario derecho y de lado izquierdo por debajo de l bronquio inferior • 8 Paraesofagicos • Estos ganglios están situados por debajo de los nódulos subcarinales hasta el diafragma.
  • 40.
    • 9 Ligamentopulmonar • se encuentra en limites con el ligamento pulmonar y la pared posterior e inferior de la vena pulmonar inferior. • 10 Hiliar • se encuentra a nivel de lóbulo pulmonar izquierdo y por debajo del bronquio principal derecho.
  • 42.

Notas del editor

  • #8 Esta radiografía es del mismo sujeto de la placa 1, pero fue tomada en espiración: los pulmones se ven de un menor volumen por tener un menor contenido aéreo y los vasos, aglomerados en un área mas restringida, impresionan como una aumento de trama intersticial. El ascenso diafragmático reduce la elongación del mediastino que aparece ensanchado con aumento aparente de tamaño del corazón porque este está en una posición más horizontal.
  • #9 Comentario placa : La falta de burbuja gástrica bajo el diafragma izquierdo indica que esta placa fue tomada en decúbito. Si no se repara en que la radiografía no es de pies, el aparente aumento del tamaño del corazón, secundario a su horizontalización, pueden conducir a un falso diagnóstico de insuficiencia cardíaca.
  • #10 Paredes del tóraxCOLUMNA VERTEBRAL: los cuerpos vertebrales se ven en forma borrosa, y las apófisis espinosas (AE), dispuestas a lo largo de la línea media, se aprecian mejor en la parte alta del tórax, perdiéndose detrás del corazón. En la proyección lateral las vértebras se ven más claramente, viéndose más blancas las superiores por la sobreposición de las masas musculares de la cintura escapular.COSTILLAS: por su trayecto oblicuo los arcos posteriores de las costillas se proyectan varios centímetros más arriba que sus extremos anteriores, que son los más fáciles de individualizar para contar las costillas. Sus bordes son aproximadamente paralelos, y los espacios intercostales son iguales a ambos lados del tórax. En personas de edad, los cartílagos costales suelen calcificarse, dando imágenes que pueden confundirse con lesiones patológicas del pulmón.ESTERNON: se ve en su totalidad en la proyección lateral (ET), mientras que en frontal sólo se ve la zona del manubrio por encima de la extremidad de la segunda costilla. Ocasionalmente puede aparentar un ensanchamiento de la parte alta del mediastino. CLAVICULA: es importante individualizar sus extremos internos (C) en relación a las apófisis espinosas para verificar si la placa esté bien centrada.ESCAPULA: al tomarse una radiografía, los brazos se ponen en posición tal que las escápulas (E) son desplazadas fuera del campo de proyección de los pulmones, pero generalmente es posible ver su borde interno proyectado sobre éstos. DIAFRAGMA: En inspiración profunda la parte más alta de la cúpula diafragmática derecha (DD) coincide aproximadamente con el extremo anterior de la 6� costilla. Debido al peso del corazón, la cúpula izquierda (DI) está 1,5 a 2,5 cm más abajo en el 90% de los sujetos normales. Usualmente las cúpulas son regularmente redondeadas, pero pueden presentar lobulaciones. A ambos lados contactan en ángulo agudo con las paredes costales formando los senos costofrénicos laterales (CF). Hacia la línea media, la cúpula derecha termina formando con el corazón el ángulo cardiofrénico, mientras que a la izquierda puede seguirse por varios centímetros dentro de la sombra cardíaca. Uno a dos cm bajo el diafragma izquierdo se observa la burbuja de aire del estómago (G), relación que sirve para reconocer la posición de pies en la placa frontal, identificar este hemidiafragma en la radiografía lateral y para sospechar, como más adelante veremos, la existencia de un derrame infrapulmonar al lado izquierdo. En esta última proyección puede apreciarse que, por tener las inserciones posteriores del diafragma una posición más caudal, los senos costofrénicos posteriores (CFP), están situados varios centímetros por debajo de los anteriores y laterales y son los primeros que se borran al iniciarse un derrame pleural..PARTES BLANDAS PARIETALES. Usualmente su situación externa al tórax es evidente pero, en ocasiones, los pezones y tumores superficiales pueden simular nódulos, mientras que los pliegues cutáneos pueden dar falsas imágenes lineales. Las mamas voluminosas pueden producir un velamiento tenue y una mastectomía, una falsa imagen de hipertranslucencia pulmonar.Contenido torácicoTRAQUEA: en la placa frontal se ve como una tenue columna aérea (T) que baja por la línea media, desviándose ligeramente a la derecha a nivel del cayado aórtico. En la radiografía lateral es levemente oblicua de delante a atrás.BRONQUIOS PRINCIPALES: en la placa frontal, un poco por debajo del nivel del botón aórtico, se separan las columnas aéreas de los bronquios derecho (BD) e izquierdo (BI), formado una carina de ángulo variable entre 50 y 100%.En proyección lateral, estos bronquios principales se superponen y no son diferenciables, pero las ramas para los lóbulos superiores de ambos pulmones (BSD y BSI) siguen un trayecto horizontal, relativamente paralelo al haz de rayos, por lo que sus paredes son atravesadas longitudinalmente y contrastan como claridades redondeadas superpuestas al eje traqueal, siendo la más alta la correspondiente al bronquio derecho. Las ramas bronquiales lobulares y sus subdivisiones no son visibles por estar rodeadas de pulmón lleno de aire.MEDIASTINO: Los órganos centrales del tórax forman una silueta característica en la placa frontal, cuyo borde derecho está formado de arriba abajo sucesivamente por el tronco braquiocefálico derecho, la vena cava superior (VCS), la aurícula derecha (AD) y una pequeña parte de la vena cava inferior (VCI). El borde izquierdo empieza arriba con la arteria subclavia y sigue con la prominencia del botón aórtico (BA). En la parte media se proyecta el tronco de la arteria pulmonar(AP), parte de la aurícula izquierda y finalmente, el ventrículo izquierdo (VI), que forma un arco fuertemente prominente. En la placa lateral la sombra cardíaca descansa y se confunde con la mitad anterior del hemidiafragma izquierdo. Su borde anterior está formado por el ventrículo derecho (VD) y el posterior por la aurícula izquierda arriba, el ventrículo al medio y la vena cava inferior, abajo. El cayado aórtico (CA) puede distinguirse parcialmente como un arco anteroposterior.PARENQUIMA PULMONAR. El aire, las paredes bronquiales, los tabiques alveolares y el intersticio normales no dan imagen radiográfica notoria. La trama que se ve en los campos pulmonares corresponde a los vasos pulmonares llenos de sangre que contrastan con el parénquima aireado. Las arterias pulmonares y el nacimiento de sus ramas principales forman parte del mediastino y de las sombras hiliares. Hacia la periferia, las arterias (A) se ven más tenues, pero es posible seguirlas hasta 1 a 2 cm de la pleura y apreciar sus divisiones, que se suceden con intervalos de 1 a 2 cm. Por efecto de la gravedad, la presión hidrostática intravascular es mayor en las bases, por lo cual los vasos en estas zonas están más distendidos y se ven un 50 - 75% más gruesos que los de la mitad superior del pulmón. En la mitad inferior de los pulmones, las arterias siguen un trayecto oblicuo cercano a la vertical, mientras que las venas siguen una dirección casi horizontal hacia la aurícula izquierda.Los bronquios iintrapulmonares no se ven por constituir prácticamente una interfase aire-aire. Ocasionalmente pueden dar origen a una imagen anular cercana a los hilios cuando los rayos los atraviesan a lo largo de su eje longitudinal.HILIOS PULMONARES. Anatómicamente son el conjunto de vasos, bronquios, nervios que desde el mediastino penetran al pulmón, más algunos ganglios linfáticos pequeños. Su principal componente radiográfico al lado derecho son las ramas de la arteria pulmonar derecha, mientras que al lado izquierdo son la arteria pulmonar izquierda en sí misma y sus divisiones. En condiciones normales, los demás componentes contribuyen poco a las sombras hiliares. El hilio derecho se encuentra aproximadamente 1,5 cm más bajo que el izquierdo.PLEURAS. En la mayor parte de su extensión, estas membranas se encuentran en contacto con la superficie interna del tórax, formando una interfase sólido-sólido, que no da imagen radiográfica. A nivel de las cisuras pulmonares, en cambio, la pleura tiene aire por ambos lados, de manera que da origen a una fina imagen lineal en las zonas en que los rayos la atraviesan tangencialmente. La cisura menor u horizontal del lado derecho se ve frecuentemente en la radiografía frontal y casi siempre en la lateral. Las cisuras mayores u oblicuas (CO) no son apreciables en la placa frontal, pero suelen verse en la lateral como finas líneas oblicuas de atrás a adelante y de arriba a abajo.Tamaño del pulmónEl tamaño de los pulmones se aprecia en la radiografía especialmente por la posición del diafragma y mediastino y por la conformación de la caja torácica. Varía ampliamente con la contextura y talla del individuo. En posición de pies y en inspiración profunda, el vértice de la cúpula diafragmática derecha coincide con el extremo anterior de la 5a a 6a costilla. Al lado izquierdo la base pulmonar está, en general, hasta 2,5 cm más bajo. En decúbito el tórax se acorta considerablemente, el corazón se dispone más horizontalmente y el mediastino se ensancha. Lo mismo sucede, en menor grado, en la espiración. En alteraciones unilaterales el mediastino suele desplazarse hacia el pulmón de menor tamaño al tiempo que los espacios intercostales de ese lado se ven más estrechos.
  • #15 Mediastino superior: ocupa la región comprendida entre el orificio torácico superior y el ángulo esternal (ángulo de Louis), a nivel de la torácica cuatro (T4).Mediastino inferior: éste a su vez se subdivide en tres porciones: anterior, medio y posterior:Mediastino medio: en él se ubica el corazón, ocupa la región comprendida entre el pericardio y la porción anterior de la bifurcación traqueal.Mediastino posterior: se localiza posterior al pericardio fibroso y al diafragma, y anterior a los cuerpos vertebrales de las ocho vértebras dorsales inferiores.Mediastino anterior: es la parte más pequeña del mediastino y se localiza anterior al pericardio fibroso, entre éste y el esternón. Se encuentra el timo.The mediastinum is divided into superiorand inferior compartments by an imaginary linetraversing the manubriosternal joint and the lowersurface of the fourth thoracic vertebra. The inferiorcompartment is further subdivided into threeparts: the middle mediastinum, which containsthe pericardium and its contents as well as themajor vessels and airways; the anterior mediastinum,which lies anterior to the middle mediastinumand posterior to the sternum; and the posteriormediastinum, which lies posterior to themiddle mediastinum and anterior to the thoracicvertebral column
  • #16 The line is formed by the anterior apposition of the lungs and consists of the four layers of pleura separating the lungs behindthe upper two-thirds of the sternumThe line runsobliquelyfrom upper right to lower left and does not extend above the manubriosternal junction.These properties help differentiate the anterior junction line from the posterior junction lineAnterior junction line. (a) Posteroanterior chest radiograph demonstrates the anterior junction line(arrow). (b) Computed tomographic (CT) scan shows the four layers of pleura that constitute the anteriorjunction line (arrow). The interface between aerated lung and pleura allows the line to be appreciated at conventionalradiography (cfa).Figure 3. Hilum overlay sign in a patient with lymphoma. (a) Posteroanterior chest radiograph clearly depictsthe hila (white arrow), which indicates that the mass is either anterior or posterior to the hila. In addition,the descending aorta is clearly seen (black arrow), indicating that the mass is not within the posterior mediastinum.(b) Chest CT scan demonstrates an anterior mediastinal mass. The anterior junction line is obliterated,whereas the lung interfaces with the hilar vessels (arrow) and aorta (arrowhead) are preserved.
  • #17 Figure 4. Epicardial fat pad. (a) Posteroanterior chest radiograph shows loss of the cardiac silhouette at theborder of the right side of the heart and an epicardial fat pad with relatively low density (arrow). (b) CT scanshows the fat pad (arrow) as an area of homogeneous fat attenuatAnterior mediastinalmasses in theprevascularregion can obliterate the anterior junction line, although it is usually the preservation of moreposterior lines at radiography that helps identify the location of an anterior mediastinalmass.ion adjacent to the right border of the heart.EJEMPLOS DE MASAS QUE PUEDEN OCUPAR EL ESPACIO ANTERIOR O POSTERIOR: PrevascularmassesLymphadenopathyRetrosternalgoiterThymiclesions (thymoma, carcinoma, hyperplasia,cysts, thymolipoma)Germcell tumorPrecardiac masses in contact with the diaphragmEpicardialfatpadDiaphragmatichumpMorgagni herniaPleuropericardialcysts*LymphnodeenlargementRarelesionsLymphaticmalformationsHemangiomas
  • #19 Right paratracheal stripe. (a) Posteroanterior chest radiograph shows the right paratracheal stripe(arrow). The azygos vein is seen at the inferior margin of the stripe at the tracheobronchial angle (arrowhead).(b) CT scan shows the right wall of the trachea with medial and lateral air–soft tissue interfaces caused by airwithin the tracheal lumen and right lung (arrow). These interfaces create the right paratracheal stripe (cfa).Note the position of the SVC (VENA CAVA SUPERIOR) (arrowhead), which explains why the paratracheal stripe is seen projectingthrough the SVC at radiography. (c) CT scan obtained at the level of the azygos arch shows that the azygosvein (arrow) disrupts the lung–tracheal wall interface at the tracheo bronchial angle.There have been reports of a normal size range for the azygos vein, including upper limits of 6mm (9) and 7 mm (10), but most authors consider a transverse diameter of 10 mm or less to bewithin normal limits (5). In pregnancy, the azygos vein can dilate to a normal maximum width of 15mm (10). Possible causes of pathologicdilatationof the azygos vein include congestive heart failure,IMAGEN DE ABAJO: Figure 8. Lymphadenopathy.(a) On a collimatedposteroanteriorchestradiograph, the right paratracheal stripe is not seen, having been obliterated by a rightparatrachealmass (arrowheads). (b) CT scandemonstratesrightparatracheallymphadenopathy (arrow), whichobliteratesthe air–softtissue interface betweenthe right lung and the tracheal wall. This finding explains theobliteration of theright paratracheal stripe in a.
  • #20 Radiografía y TAC.— una concavidad focal en el borde izquierdo del mediastino por debajo de la aorta y por encima de la arteria pulmonar izquierda puede verse en una radiografía frontal (fig. 5). Su apariencia puede ser modificada por tortuosidad de la aorta. La ventana aortopulmonar es un lugar común de linfadenopatía en una variedad de enfermedades inflamatorias y neoplásicas.The aortopulmonary (AP) window is a middle mediastinal space bounded superiorly by the inferior margin of the aortic arch; inferiorly by thesuperior margin of the left pulmonary artery; anteriorly by the posterior wall of the ascending aorta; posteriorly by the anterior wall of the descending aorta; medially by the trachea, left main bronchus, and esophagus; and laterally by the left lung (7). The AP window contains lymph nodes, the left recurrent laryngeal nerve arising from the vagus nerve, the left bronchial arteries, the ligamentumarteriosum, and fat.IMAGEN DOS:AP window lymphadenopathy. (a) Chest radiograph shows the AP window with an abnormal convex border (arrow). (b) CT scan demonstrates lymphadenopathy (arrow), which accounts for the distortion of the AP window in a.
  • #21 Figure 11. Aneurysm of the aortic arch. (a) Posteroanterior chest radiograph demonstrates theAP window with a convex border (arrow). (b) CT scan reveals an aneurysm (arrow) arising laterallyfrom the aortic arch, a finding that accounts for the abnormality seen in a.A convex border between the AP window and the lung is considered abnormal. (APRENDER)
  • #22 Figure 12. Right-sided aortic arch. (a) Posteroanterior chest radiograph demonstrates an abnormalityin the right paratracheal region (arrow) with loss of the paratracheal stripe. Note, however,the absence of the aortic knuckle on the left. (b) CT scan shows a right-sided aortic arch (arrow),which explains the findings in a.
  • #25 Corte transverso de TC que muestra el receso acigo-esofágico (flechas).The azygoesophageal recess reflection is a prevertebralstructure and is, therefore, disrupted byprevertebral disease. It has an interface with themiddle mediastinum; thus, the resulting line seenat radiography can be interrupted by abnormalitiesin both the middle and posterior compartments.Azygoesophagealrecessreflection. (a) Posteroanteriorchestradiographshows the azygoesophageal line (arrowheads). (b) CT scan shows the azygoesophagealrecess (white arrow) formed by the esophagus anteriorly (black arrow) and theazygos vein posteriorly (arrowhead). The azygoesophageal line in a represents theinterface between this recess and the lung.
  • #26 Bronchogeniccyst. (a) Posteroanteriorchestradiographdemonstrates a subcarinalabnormality with increased opacity (*), splaying of the carina, and abnormal convexity of the upperand middle thirds of the azygoesophageal line (arrowheads). (b) Corresponding CT scan helpsconfirm a subcarinal mass (arrow), which proved to be a bronchogenic cyst.
  • #27 Se forma por la union de ambos pulmones en la parte posterior y el esofago usualmente entre la 3 y la 5ta vertebra torácica
  • #28 Una cisura es el repliegue de la pleura visceral que separa un lóbulo o parte de un lóbulo de otro; por ello, las cisuras interlobares están formadas por dos capas de pleura visceral. Las cisuras supernumerarias separan segmentos en lugar de lóbulos. La cisura ácigos, a diferencia de las otras cisuras, está formada por dos capas, cada una de ellas de pleura visceral y parietal. Todas las cisuras (aparte de la ácigos) pueden ser incompletas.Las cisuras aparecen como opacidades lineales, normalmente de 1 mm o menos de grosor, que se corresponden en posición y extensión a la separación anatómica de los lóbulos o segmentos. Como calificadores se incluyen menor, mayor, horizontal, oblicua, accesoria, ácigos y accesoria inferior.
  • #29 Se visualiza como una fina línea radioopaca en la base pulmonar (Flecha).
  • #30 Una variante normal
  • #34 Supraclavicular nodes1. Low cervical, supraclavicular and sternal notch nodesFrom the lower margin of the cricoid to the clavicles andthe upper border of the manubrium.The midline of the trachea serves as border between 1Rand 1L.Superior MediastinalNodes 2-42R. UpperParatracheal2R nodes extend to the left lateral border of the trachea.From upper border of manubrium to the intersection ofcaudal margin of innominate (left brachiocephalic) veinwiththetrachea.2L. UpperParatrachealFrom the upper border of manubrium to the superiorborder of aorticarch.2L nodes are located to the left of the left lateral border ofthetrachea.3A. Pre-vascularThese nodes are not adjacent to the trachea like thenodes in station 2, but they are anterior to the vessels.3P. Pre-vertebralNodes not adjacent to the trachea like the nodes in station2, but behind the esophagus, which is prevertebral.4R. LowerParatrachealFrom the intersection of the caudal margin of innominate(left brachiocephalic) vein with the trachea to the lowerborder of the azygos vein.4R nodes extend from the right to the left lateral border ofthetrachea.4L. LowerParatrachealFrom the upper margin of the aortic arch to the upper rimof the left main pulmonary artery.
  • #35 Los nodulos de la estacion 2 l se encuentran limitados por el borde superior del manubrio y el borde superior del arco aortico2R. RightUpperParatracheal2R nodes extend to the left lateral border of the trachea.Upper border: upper border of manubrium.Lower border: intersection of caudal margin of innominate(left brachiocephalic) vein with the trachea.2L. LeftUpperParatrachealUpper border: upper border of manubrium.Lower border: superior border of aortic arch.On the left a station 2 node in front of the trachea, i.e. a2R-node.
  • #36 Losnodulos de las estacion 3p no son accesibles mediante mediastinoscopia pero pueden ser accesible por ultrasonido endoscopicoEn la imagen se observa un nodulo a nivel de la estacion 3ª en el espacio prevascular y de igual forma se observan unos nodulos en la lineaparatrauqeual derecha inferior estacion 4r3. Prevascular and PrevertabralnodesStation 3 nodes are not adjacent to the trachea likestation 2 nodes.They are either:3A anterior to the vessels or3B behind the esophagus, which lies prevertebrally.Station 3 nodes are not accessible with mediastinoscopy.3P nodes can be
  • #37 4R. RightLowerParatrachealUpper border: intersection of caudal margin of innominate(left brachiocephalic) vein with the trachea.Lower border:lower border of azygos vein.4R nodes extend to the left lateral bOn the left we see 4R paratracheal nodes.In addition there is an aortic node lateral to the aorticarch, i.e. station 6 node.order of the trachea.
  • #38 4L. LeftLowerParatracheal4L nodes are lower paratracheal nodes that are located tothe left of the left tracheal border, between a horizontalline drawn tangentially to the upper margin of the aorticarch and a line extending across the left main bronchus atthe level of the upper margin of the left upper lobebronchus.These include paratracheal nodes that are locatedmedially to the ligamentumarteriosum.Station 5 (AP-window) nodes are located laterally to theligamentumarteriosum.En ambas imágenes se observan nódulos de la estación 4r y 4l que seria paratraqueales también se pueden observar en la imagen 1 un nódulo subaortico o ventanaaortopulmonar. En la segunda imagen se observa un nódulo de lado izquierdo correspondiente a la estación 6 aórtico lateral a la arteria aorta.
  • #39 5. SubaorticnodesSubaortic or aorto-pulmonary window nodes are lateral tothe ligamentumarteriosum or the aorta or left pulmonaryartery and proximal to the first branch of the leftpulmonary artery and lie within the mediastinal pleuralenvelope.6. Para-aorticnodesPara-aortic (ascending aorta or phrenic) nodes are locatedanteriorly and laterally to the ascending aorta and theaortic arch from the upper margin to the lower margin oftheaorticarch.
  • #41 Los nodulos de la estacion 9 se enceuntran en limites con el ligamento pulmonar y la pared posterior e inferior de la vena pulmonar inferior.Los nodulos de la estacion 10 se encuentra a nivel de lobulo pulmonar izquierdo y por debajo del bronquio principal derecho.