RADIOANATOMIA DEL CORAZON Y GRANDES VASOS FACULTAD DE MEDICINA HUMANA DÍAZ GONZALES WILDER JARA DÍAZ RONALD RIMARACHÍN VALDERRAMA ELIO RODRÍGUEZ CHÁVEZ JEFERSON SÁNCHEZ DELGADO EDUARDO VERA BECERRA ROCÍO ELIZABETH
RECUERDO ANATÓMICO DEL CORAZÓN Y GRANDES VASOS.
CONSIDERACIONES GENERALES. I.1. DEFINICIÓN . Órgano central del aparato circulatorio, es un músculo hueco que desempeña a la ves el papel de Boma aspirante e impelente. Situación:  Parte media de la cavidad torácica.  Medios de fijación:   Forma y orientación: Forma de una pirámide triangular. Peso : Por término medio de 270 a 275 gramos.
Caras: Cara anterior o esternocostal. Cara posterioinferior o diafragmática Cara izquierda o pulmonar. Bordes del corazón:  Derecho  y izquierdo. Base del corazón:  Cara superior del corazón situado en posición vertical, mira hacia atrás, a la derecha y ligeramente arriba. Vértice o punta del corazón:  Presenta la unión de los dos surcos interventriculares anterior y posterior. CONFIGURACIÓN EXTERIOR GENERAL DEL CORAZÓN
 
CONFIGURACIÓN INTERIOR.
VASCULARIZACIÓN  .
 
 
 
 
 
INERVACIÓN  .
GRANDES VASOS .
 
 
RADIOANATOMIA DEL MEDIASTINO
Definición Etimología: Corresponde al compartimiento central de la cavidad torácica Esta ocupado por una masa de tejido conectivo, situada entre las dos cavidades pulmonares
MEDIASTINO MEDIASTINO
División Se divide, de manera arbitraria en superior e inferior. El límite de separación corresponde a un plano horizontal que va desde: Ángulo esternal (Louis), por delante Disco intervertebral T4 – T5. por detrás
 
Mediastino superior Se sitúa encima del plano torácico transversal Límites:  Por delante el manubrio esternal Atrás las cuatro primeras vértebras torácicas
División El mediastino inferior se subdivide adicionalmente en: Anterior Por delante del pericardio fibroso Medio  Pericardio fibroso Corazón Grandes vasos Posterior Por detrás del pericardio fibroso
 
Mediastino superior Contenido : Timo Troncos venosos braquiocefálicos Vena cava superior Cayado de la aorta y sus ramas Conducto torácico Nervios vagos y frénicos Nervios laríngeo recurrentes Tráquea Esófago Músculos prevertebrales
Mediastino anterior Límites: Por delante Cuerpo del esternón Músculos transversos del tórax Por detrás Pericardio fibroso Lateralmente Cara medial de los pulmones
Mediastino anterior Contenido : Timo en el niño Ramas de los vasos torácicos internos Grasa Vasos y nódulos linfáticos
Mediastino posterior Límites: Por delante Pericardio fibroso Diafragma Por detrás Vértebras torácicas 5 a 12 Lateralmente Entre la pleura parietal de las caras mediales de los pulmones
Mediastino posterior Contenido : Aorta torácica Conducto torácico Nódulos linfáticos Venas ácigos y hemiácigos Nervios esplácnicos torácicos Esófago Nervios vagos Vasos y nódulos linfáticos Plexo esofágico Troncos simpáticos torácicos
Mediastino medio Contenido: El pericardio fibroso y su contenido El corazón La porción inicial de los grandes vasos
 
PATOLOGÍA EN EL MEDIASTINO
Localización Preferencial de Grupos Tumorales GRUPO PATOLOGICO COMPARTIMIENTO MEDIASTINAL Tumores y quistes de timo Anterior Linfoma Anterior Medio Tumor neurogénico Medio Posterior Tumor germinal Anterior  Medio  Quistes Anterior Medio Posterior Tumores mesenquimatosos Anterior Medio Posterior Tumores endocrinos Anterior Medio Quiste hidatídico Anterior Medio Posterior
Lesiones Mediastinales Lesiones sólidas. Bocio retroesternal Timoma (hiperplasia tímica) Tumores germinales (teratomas, seminomas o no seminomatosos). Linfoma, adenomegalias Bocio retrotraqueal. Tumores neurogénicos. Patología esofágica.
 
Timoma
Tumores Germinales – Teratoma Maduro
Neoplasias Neurogénicas 75% en mediastino posterior Benignas 80%. Nervios periféricos: Schawnoma, neurofibroma. Ganglios autónomos. Ganglioneuroma, neuroblastoma, ganglioneuroblastoma En relación con la edad Neuroblastoma < 3 años Ganglioneuroblastoma 3 – 10 años. Ganglioneuroma > 10 años.
Neuroblastoma
Lesiones Mediastinales Lesiones quísticas. Quiste tiroideo Quiste tímico Teratoma quístico Quiste mesotelial Quiste broncogénico Meningocele Quiste neuroentérico Linfangioma.
Quiste Broncogénico
Lesiones Mediastinales De densidad grasa Timolipoma Quiste dermoide Lipoma - lipomatosis Almohadilla Liposarcoma.
Timolipoma
Otros Mediastinitis Neumomediastino Neumopericardio
 
 
 
 
 
 
PLACA 5 : Esta radiografía es del mismo sujeto de la placa 1(inspiración) , pero fue tomada  en espiración : los pulmones se ven de un menor volumen por tener un menor contenido aéreo y los vasos, aglomerados en un área mas restringida, impresionan como una aumento de trama intersticial. El ascenso diafragmático reduce la elongación del mediastino que aparece ensanchado con  aumento aparente de tamaño del corazón porque este está en una posición más horizontal.
La falta de burbuja gástrica bajo el diafragma izquierdo indica que esta  placa fue tomada en decúbito . Si no se repara en que la radiografía no es de pies, el  aparente aumento del tamaño del corazón, secundario a su horizontalización , pueden conducir a un falso diagnóstico de insuficiencia cardíaca.
 
La  calcificación de la válvula aórtica está superpuesta a la columna en la proyección pa. por lo que no es visible. En la radiografía lateral puede verse a mitad de camino entre el borde cardiaco posterior y anterior. Si se traza una línea que, pasando por la bifurcación traqueal, llegue hasta el ángulo esternodiafragmático anterior, la válvula aórtica que­da por delante mientras que la válvula mitral queda por detrás.
 
La  calcificación de la válvula mitral en proyección pa. es difícil de ver porque queda justo a la izquierda de la columna. Sin embargo, si la aurícula izquierda está crecida puede llegar a verse la calcificación. En la proyección lateral, la válvula mitral está por debajo de la línea mencionada que pasa de la bifurcación traqueal al borde anterior diafragmático. La calcificación de la válvula mitral es prácticamente siempre secundaria a enfermedad reumática.
 
Generalmente es secundaria a la presencia de afectación reumática severa con trombosis mural en mujeres de edad media y aparece radiográficamente como varias líneas curvas o rectas de un grosor de varios milímetros situadas en la pared auricular. Se ve mejor en radiografía lateral en la parte superoposterior de la aurícula izquierda.
Las  calcificaciones pericárdicas resultan de la organización de exudado o sangre en saco pericárdico, que puede estar asociada o no con pericarditis constrictiva. La pericarditis constrictiva es más frecuente en tuberculosis. Sin embargo, pueden verse placas calcificadas pericárdicas en el 5 % de los pacientes con enfermedad reumática crónica. La calcificación es más densa en la zona de los surcos interventriculares y auriculoventriculares.
 
HALLAZGOS PULMONARES EN CARDIOPATIAS ADQUIRIDAS
1. Hipertensión venosa Cuando existe  obstáculo  al  flujo  más allá de los capilares pulmonares, la  presión   aumenta  en las venas pulmonares, produciéndose la llamada  hipertensión venocapilar .
a.  Hallazgos radiológicos  El hallazgo más temprano es la llamada  redistribución : la  dilatación  de los  vasos  de las  zonas altas  del pulmón con vasos normales en las zonas basales. Los hallazgos radiológicos incluyen en primer lugar la  presencia  de las líneas septales de  Kerley A y B      engrosamiento septos interlobulillares .
Kerley B:  horizontales , rectas,  4 mm  de anchas y  1-3 cm  de largas. Se ven en los  senos costodiafragmáticos , visibles en la  parte anterior  de los pulmones. Kerley A: líneas  densas , rectas o ligeramente anguladas,  4-5 cm  de longitud, que pueden verse en  cualquier zona , tienen tendencia a dirigirse  hacia el hilio , visibles en el  espacio retroesternal .
Hipertensión venosa pulmonar moderada, debida a obstrucción de AI. Redistribución pulmonar y edema con líneas de Kerley B. Sombras vasculares engrosadas en lob sup y adelgazadas en lob inf. Cardiomegalia con crecimiento de VD y aretria pulmonar prominente.
Cardiomegalia, redistribución , pinzamiento del seno costofrénico derecho, líneas B de Kerley.
b.  Edema alveolar Cuando la  presión venosa  alcanza los  30 mm Hg  el líquido sobrepasa el espacio intersticial y escapa rellenando los alvéolos pulmonares, produciendo un patrón alveolar típico, con  lesiones condensantes ,  mal definidas , de  bordes imprecisos , que tienden a  coalescer  y que pueden aparecer  en cualquier área  de los pulmones.
Edema pulmonar. El edema del intersticio se traduce por borramiento de la trama vascular y presencia de líneas de Kerley. El edema alveolar da sombras de relleno que se disponen simétricamente alrededor de los hilios, produciendo una imagen en mariposa. El aumento de tamaño del corazón indica que en este caso el edema es cardiogénico.
c. Cambios crónicos  La presencia de hipertensión pulmonar crónica puede asociarse a  depósito  local de  hemosiderina  en los alvéolos, produciéndose la llamada  hemosiderosis   pulmonar secundaria .  Radiográficamente  se traduce en la presencia de un  moteado denso ,  difuso  y  fino  por los campos pulmonares.
2.  Hipertensión arterial pulmonar  Cuando la  presión sistólica  en la arteria pulmonar  sobrepasa  los  30 mm Hg . Puede ser  debida  a  lesiones  que afectan el  árbol arterial pulmonar , a la presencia de  shunt central  o también  secundario  a la  hipertensión venosa pulmonar . Los  hallazgos   radiológicos   típicos  son la presencia de  dilatación  del  tronco  de la  arteria   pulmonar  y de los troncos de las  dos   arterias   principales  con  estrechamiento  marcado de las  arterias   pulmonares   periféricas .
Hipertensión pulmonar.
MIOCARDIOPATIAS
a. M iocardiopatía congestiva  Dificultades a la contracción miocárdica.  Radiológicamente: cardiomegalia con crecimiento ventricular izquierdo. El corazón puede llegar a ser de gran tamaño. El tamaño del arco aórtico suele ser pequeño. En los campos pulmonares pueden verse signos de hipertensión venosa pulmonar.
Angiograma izq. (3 años)    Miocardiopatía congestiva. VI muy dilatado en ‘B’ y su tamaño no se modifica en ‘A’. A. SISTOLE B. DIASTOLE
b. M iocardiopatía hipertrófica Alteración hereditaria de causa desconocida en la que existe un llenado diastólico alterado con obstrucción del tracto de salida del ventrículo izquierdo.  Radiologicamente: tamaño cardiaco normal en el que parece existir crecimiento ventricular izquierdo. Con frecuencia el borde superior, la parte mas alta del borde ventricular izquierdo presenta un bulto aumentado (third mogul) debido al engrosamiento de la parte alta del septo ventricular.
Cardiomiopatía hipertrófica
Miocardiopatía hipertrófica en RM. Plano transverso a través de los ventrículos. Hipertrofia del tabique y pared posterolateral  de VI. DIASTOLE SISTOLE
c. M iocardiopatía restrictiva Es la más rara de los tres tipos, también se caracteriza por relleno diastólico alterado.  Radiologicamente: corazón puede estar aumentado de tamaño o ser normal; suele haber hallazgos radiológicos que sugieran insuficiencia mitral. Hay dos formas fundamentales: fibroelastosis endocardica fibrosis endomiocardica
 
En el adulto la lesión mitral es prácticamente siempre secundaria a enfermedad reumática. La estenosis mitral reumática es resultado de la fusión de las comisuras anterolateral y posteromedial, y engrosamiento de las valvas En la mayoría las cuerdas tendinosas también resultan afectadas Debido a la sobrecarga de presión la aurícula izquierda crece mucho.
Los signos radiológicos más típicos son el crecimiento auricular izquierdo, ventricular derecho y del tronco pulmonar, y signos de hipertensión venosa pulmonar La calcificación de la válvula no es rara en el origen reumático
La ecocardiografía en modo M es diagnóstica.  Este método demuestra un aplanamiento de la pendiente diastólica
El modo bidimensional demuestra claramente lo cambios patológicos en las valvas, el anillo y las cuerdas tendinosas.
INSUFICIENCIA Puede deberse a anomalías de las valvas, del aparato subvalvular o del anillo
Isquemia de los musc. papilares Prolapso de válvula Enf. reumática endocarditis infecciosa miocardiopatías Rotura de las cuerdas tendinosas
Cuando la insuficiencia es moderada a grave, se muestra un crecimiento de la cavidades izquierdas En insuficiencia de larga evolución y de aumento crónico de la resistencia vascular pulmonar, la radiografía muestra hallazgos de hipertensión pulmonar
EN LA ECOCARDIOGRAFÍA LAS VALVAS SON GRANDES Y ESTÁN ENGROSADAS. NO SE AJUSTAN NORMALMENTE Y SOBRESALEN EN LA AURÍCULA IZQUIERDA DURANTE EL SISTOLE POR LO GENERAL ESTE ESTUDIO PERMITE LLEGAR AL DAGNÓSTICO DEFINITIVO DE LA INSUFICIENCIA MITRAL AGUDA
 
LA ESTENOSIS VALVULAR AÓRTICA  AISLADA PUEDE SER CONGÉNITA  O DEGENERATIVA, SEGÚN LA EDAD DEL PACIENTE. .PROVOCA UNA SOBRECARGA DE PRESIÓN QUE CONDUCE A UNA HIPERTROFIA VENTRICULAR IZQUIERDA. LA VÁLVULA ESTENÓTICA SUELE ESTAR CALCIFICADA
 
LA ECOCARDIOGRAFÍA BIDIMENSIONAL PERMITE EVALUAR LA MORFOLOGÍA DE LAS VALVAS Y SU DESPLAZAMIENTO, Y VALORA DISTINTOS PARÁMETROS DE FUNCIÓN VENTRICULAR IZQUIERDA
INSUFICIENCIA PUEDE DEBERSE A GRAN VARIEDAD DE LESIONES QUE AFECTAN A LAS VALVAS, AL ANILLO O A AMBOS DILATACIÓN DE LA RAIZ AÓRTICA VALVULOPATÍA REUMÁTICA MALFORMACIÓN VALVULAR CONGÉNITA
LAS RADIOGRAFIAS  FRONTAL Y LATERAL DE TORAX MUESTRAN CARDIOMEGALIA A EXPENSAS DE CRECIMIENTO VENTRICULAR IZQUIERDO. LA PARTE INFERIOR DEL BORDE CARDIACO IZQUIERDO ES PROMINENTE Y SE ENCUENTRA DESPLAZADO AL LADO IZQUIERDO DE MODO QUE LA PUNTA SE PROYECTA DEBAJO DEL BORDE DIAFRAGMÁTICO
 
LA ECOCARDIOGRAFÍA DEMUESTRA CON EXACTITUD LA MORFOLOGÍA DE LA RAIZ AORTICA, DEL ANILLO Y DE LAS VALVAS
PROCESOS INFLAMATORIOS RAIZ AÓRTICA DILATADA VALVAS ENGROSADAS Y ACORTADAS QUE APARECEN MUY SEPARADAS DE LAS COMISURAS VALVAS NORMALES, SIN EMBARGO SON MUY PEQUEÑAS PARA OCLUIR COMPLETAMENTE EL ORIFICO
ENFERMEDADES PERICÁRDICAS LA AUSENCIA CONGÉNITA DEL PERICARDIO. DERRAME PERICÁRDICO. LA PERICARDITIS CONSTRICTIVA. TAMPONAMIENTO CARDIACO. PERICARDITIS AGUDA. ENGROSAMIENTO DEL PERICARDIO. MASAS PERICARDICAS Y PARACARDIACAS.
PERICARDIO NORMAL.
LA AUSENCIA CONGÉNITA DEL PERICARDIO.
LA AUSENCIA CONGÉNITA DEL PERICARDIO.
 
 
Derrame pericárdico corazón grande, globular, con una cardiomegalia exagerada en relación a la vascularidad pulmonar
 
El estudio de la grasa epicárdica
 
 
 
TAMPONAMIENTO CARDIACO
 
PERICARDITIS AGUDA Clínicamente hay dolor torácico, cambios electrocardiográficos y roce pericárdico. Las causas mas comunes son: idiopática, viral, neoplásica, bacteriana, tbc.
ENGROSAMIENTO DEL PERICARDIO PERICARDIO POSQUIRÚRGICO
PERICARDITIS CONSTRICTIVA
 
 
 
 
 
 
MASAS PERICARDICAS Y PARACARDIACAS
 
 
 
 
GRACIAS

Radioanatomia Del Corazon Y Grandes Vasos

  • 1.
    RADIOANATOMIA DEL CORAZONY GRANDES VASOS FACULTAD DE MEDICINA HUMANA DÍAZ GONZALES WILDER JARA DÍAZ RONALD RIMARACHÍN VALDERRAMA ELIO RODRÍGUEZ CHÁVEZ JEFERSON SÁNCHEZ DELGADO EDUARDO VERA BECERRA ROCÍO ELIZABETH
  • 2.
    RECUERDO ANATÓMICO DELCORAZÓN Y GRANDES VASOS.
  • 3.
    CONSIDERACIONES GENERALES. I.1.DEFINICIÓN . Órgano central del aparato circulatorio, es un músculo hueco que desempeña a la ves el papel de Boma aspirante e impelente. Situación: Parte media de la cavidad torácica. Medios de fijación: Forma y orientación: Forma de una pirámide triangular. Peso : Por término medio de 270 a 275 gramos.
  • 4.
    Caras: Cara anterioro esternocostal. Cara posterioinferior o diafragmática Cara izquierda o pulmonar. Bordes del corazón: Derecho y izquierdo. Base del corazón: Cara superior del corazón situado en posición vertical, mira hacia atrás, a la derecha y ligeramente arriba. Vértice o punta del corazón: Presenta la unión de los dos surcos interventriculares anterior y posterior. CONFIGURACIÓN EXTERIOR GENERAL DEL CORAZÓN
  • 5.
  • 6.
  • 7.
  • 8.
  • 9.
  • 10.
  • 11.
  • 12.
  • 13.
  • 14.
  • 15.
  • 16.
  • 17.
  • 18.
    Definición Etimología: Correspondeal compartimiento central de la cavidad torácica Esta ocupado por una masa de tejido conectivo, situada entre las dos cavidades pulmonares
  • 19.
  • 20.
    División Se divide,de manera arbitraria en superior e inferior. El límite de separación corresponde a un plano horizontal que va desde: Ángulo esternal (Louis), por delante Disco intervertebral T4 – T5. por detrás
  • 21.
  • 22.
    Mediastino superior Sesitúa encima del plano torácico transversal Límites: Por delante el manubrio esternal Atrás las cuatro primeras vértebras torácicas
  • 23.
    División El mediastinoinferior se subdivide adicionalmente en: Anterior Por delante del pericardio fibroso Medio Pericardio fibroso Corazón Grandes vasos Posterior Por detrás del pericardio fibroso
  • 24.
  • 25.
    Mediastino superior Contenido: Timo Troncos venosos braquiocefálicos Vena cava superior Cayado de la aorta y sus ramas Conducto torácico Nervios vagos y frénicos Nervios laríngeo recurrentes Tráquea Esófago Músculos prevertebrales
  • 26.
    Mediastino anterior Límites:Por delante Cuerpo del esternón Músculos transversos del tórax Por detrás Pericardio fibroso Lateralmente Cara medial de los pulmones
  • 27.
    Mediastino anterior Contenido: Timo en el niño Ramas de los vasos torácicos internos Grasa Vasos y nódulos linfáticos
  • 28.
    Mediastino posterior Límites:Por delante Pericardio fibroso Diafragma Por detrás Vértebras torácicas 5 a 12 Lateralmente Entre la pleura parietal de las caras mediales de los pulmones
  • 29.
    Mediastino posterior Contenido: Aorta torácica Conducto torácico Nódulos linfáticos Venas ácigos y hemiácigos Nervios esplácnicos torácicos Esófago Nervios vagos Vasos y nódulos linfáticos Plexo esofágico Troncos simpáticos torácicos
  • 30.
    Mediastino medio Contenido:El pericardio fibroso y su contenido El corazón La porción inicial de los grandes vasos
  • 31.
  • 32.
    PATOLOGÍA EN ELMEDIASTINO
  • 33.
    Localización Preferencial deGrupos Tumorales GRUPO PATOLOGICO COMPARTIMIENTO MEDIASTINAL Tumores y quistes de timo Anterior Linfoma Anterior Medio Tumor neurogénico Medio Posterior Tumor germinal Anterior Medio Quistes Anterior Medio Posterior Tumores mesenquimatosos Anterior Medio Posterior Tumores endocrinos Anterior Medio Quiste hidatídico Anterior Medio Posterior
  • 34.
    Lesiones Mediastinales Lesionessólidas. Bocio retroesternal Timoma (hiperplasia tímica) Tumores germinales (teratomas, seminomas o no seminomatosos). Linfoma, adenomegalias Bocio retrotraqueal. Tumores neurogénicos. Patología esofágica.
  • 35.
  • 36.
  • 37.
    Tumores Germinales –Teratoma Maduro
  • 38.
    Neoplasias Neurogénicas 75%en mediastino posterior Benignas 80%. Nervios periféricos: Schawnoma, neurofibroma. Ganglios autónomos. Ganglioneuroma, neuroblastoma, ganglioneuroblastoma En relación con la edad Neuroblastoma < 3 años Ganglioneuroblastoma 3 – 10 años. Ganglioneuroma > 10 años.
  • 39.
  • 40.
    Lesiones Mediastinales Lesionesquísticas. Quiste tiroideo Quiste tímico Teratoma quístico Quiste mesotelial Quiste broncogénico Meningocele Quiste neuroentérico Linfangioma.
  • 41.
  • 42.
    Lesiones Mediastinales Dedensidad grasa Timolipoma Quiste dermoide Lipoma - lipomatosis Almohadilla Liposarcoma.
  • 43.
  • 44.
  • 45.
  • 46.
  • 47.
  • 48.
  • 49.
  • 50.
  • 51.
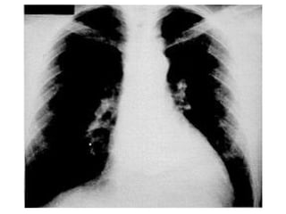
    PLACA 5 :Esta radiografía es del mismo sujeto de la placa 1(inspiración) , pero fue tomada en espiración : los pulmones se ven de un menor volumen por tener un menor contenido aéreo y los vasos, aglomerados en un área mas restringida, impresionan como una aumento de trama intersticial. El ascenso diafragmático reduce la elongación del mediastino que aparece ensanchado con aumento aparente de tamaño del corazón porque este está en una posición más horizontal.
  • 52.
    La falta deburbuja gástrica bajo el diafragma izquierdo indica que esta placa fue tomada en decúbito . Si no se repara en que la radiografía no es de pies, el aparente aumento del tamaño del corazón, secundario a su horizontalización , pueden conducir a un falso diagnóstico de insuficiencia cardíaca.
  • 53.
  • 54.
    La calcificaciónde la válvula aórtica está superpuesta a la columna en la proyección pa. por lo que no es visible. En la radiografía lateral puede verse a mitad de camino entre el borde cardiaco posterior y anterior. Si se traza una línea que, pasando por la bifurcación traqueal, llegue hasta el ángulo esternodiafragmático anterior, la válvula aórtica que­da por delante mientras que la válvula mitral queda por detrás.
  • 55.
  • 56.
    La calcificaciónde la válvula mitral en proyección pa. es difícil de ver porque queda justo a la izquierda de la columna. Sin embargo, si la aurícula izquierda está crecida puede llegar a verse la calcificación. En la proyección lateral, la válvula mitral está por debajo de la línea mencionada que pasa de la bifurcación traqueal al borde anterior diafragmático. La calcificación de la válvula mitral es prácticamente siempre secundaria a enfermedad reumática.
  • 57.
  • 58.
    Generalmente es secundariaa la presencia de afectación reumática severa con trombosis mural en mujeres de edad media y aparece radiográficamente como varias líneas curvas o rectas de un grosor de varios milímetros situadas en la pared auricular. Se ve mejor en radiografía lateral en la parte superoposterior de la aurícula izquierda.
  • 59.
    Las calcificacionespericárdicas resultan de la organización de exudado o sangre en saco pericárdico, que puede estar asociada o no con pericarditis constrictiva. La pericarditis constrictiva es más frecuente en tuberculosis. Sin embargo, pueden verse placas calcificadas pericárdicas en el 5 % de los pacientes con enfermedad reumática crónica. La calcificación es más densa en la zona de los surcos interventriculares y auriculoventriculares.
  • 60.
  • 61.
    HALLAZGOS PULMONARES ENCARDIOPATIAS ADQUIRIDAS
  • 62.
    1. Hipertensión venosaCuando existe obstáculo al flujo más allá de los capilares pulmonares, la presión aumenta en las venas pulmonares, produciéndose la llamada hipertensión venocapilar .
  • 63.
    a. Hallazgosradiológicos El hallazgo más temprano es la llamada redistribución : la dilatación de los vasos de las zonas altas del pulmón con vasos normales en las zonas basales. Los hallazgos radiológicos incluyen en primer lugar la presencia de las líneas septales de Kerley A y B  engrosamiento septos interlobulillares .
  • 64.
    Kerley B: horizontales , rectas, 4 mm de anchas y 1-3 cm de largas. Se ven en los senos costodiafragmáticos , visibles en la parte anterior de los pulmones. Kerley A: líneas densas , rectas o ligeramente anguladas, 4-5 cm de longitud, que pueden verse en cualquier zona , tienen tendencia a dirigirse hacia el hilio , visibles en el espacio retroesternal .
  • 65.
    Hipertensión venosa pulmonarmoderada, debida a obstrucción de AI. Redistribución pulmonar y edema con líneas de Kerley B. Sombras vasculares engrosadas en lob sup y adelgazadas en lob inf. Cardiomegalia con crecimiento de VD y aretria pulmonar prominente.
  • 66.
    Cardiomegalia, redistribución ,pinzamiento del seno costofrénico derecho, líneas B de Kerley.
  • 67.
    b. Edemaalveolar Cuando la presión venosa alcanza los 30 mm Hg el líquido sobrepasa el espacio intersticial y escapa rellenando los alvéolos pulmonares, produciendo un patrón alveolar típico, con lesiones condensantes , mal definidas , de bordes imprecisos , que tienden a coalescer y que pueden aparecer en cualquier área de los pulmones.
  • 68.
    Edema pulmonar. Eledema del intersticio se traduce por borramiento de la trama vascular y presencia de líneas de Kerley. El edema alveolar da sombras de relleno que se disponen simétricamente alrededor de los hilios, produciendo una imagen en mariposa. El aumento de tamaño del corazón indica que en este caso el edema es cardiogénico.
  • 69.
    c. Cambios crónicos La presencia de hipertensión pulmonar crónica puede asociarse a depósito local de hemosiderina en los alvéolos, produciéndose la llamada hemosiderosis pulmonar secundaria . Radiográficamente se traduce en la presencia de un moteado denso , difuso y fino por los campos pulmonares.
  • 70.
    2. Hipertensiónarterial pulmonar Cuando la presión sistólica en la arteria pulmonar sobrepasa los 30 mm Hg . Puede ser debida a lesiones que afectan el árbol arterial pulmonar , a la presencia de shunt central o también secundario a la hipertensión venosa pulmonar . Los hallazgos radiológicos típicos son la presencia de dilatación del tronco de la arteria pulmonar y de los troncos de las dos arterias principales con estrechamiento marcado de las arterias pulmonares periféricas .
  • 71.
  • 72.
  • 73.
    a. M iocardiopatíacongestiva Dificultades a la contracción miocárdica. Radiológicamente: cardiomegalia con crecimiento ventricular izquierdo. El corazón puede llegar a ser de gran tamaño. El tamaño del arco aórtico suele ser pequeño. En los campos pulmonares pueden verse signos de hipertensión venosa pulmonar.
  • 74.
    Angiograma izq. (3años)  Miocardiopatía congestiva. VI muy dilatado en ‘B’ y su tamaño no se modifica en ‘A’. A. SISTOLE B. DIASTOLE
  • 75.
    b. M iocardiopatíahipertrófica Alteración hereditaria de causa desconocida en la que existe un llenado diastólico alterado con obstrucción del tracto de salida del ventrículo izquierdo. Radiologicamente: tamaño cardiaco normal en el que parece existir crecimiento ventricular izquierdo. Con frecuencia el borde superior, la parte mas alta del borde ventricular izquierdo presenta un bulto aumentado (third mogul) debido al engrosamiento de la parte alta del septo ventricular.
  • 76.
  • 77.
    Miocardiopatía hipertrófica enRM. Plano transverso a través de los ventrículos. Hipertrofia del tabique y pared posterolateral de VI. DIASTOLE SISTOLE
  • 78.
    c. M iocardiopatíarestrictiva Es la más rara de los tres tipos, también se caracteriza por relleno diastólico alterado. Radiologicamente: corazón puede estar aumentado de tamaño o ser normal; suele haber hallazgos radiológicos que sugieran insuficiencia mitral. Hay dos formas fundamentales: fibroelastosis endocardica fibrosis endomiocardica
  • 79.
  • 80.
    En el adultola lesión mitral es prácticamente siempre secundaria a enfermedad reumática. La estenosis mitral reumática es resultado de la fusión de las comisuras anterolateral y posteromedial, y engrosamiento de las valvas En la mayoría las cuerdas tendinosas también resultan afectadas Debido a la sobrecarga de presión la aurícula izquierda crece mucho.
  • 81.
    Los signos radiológicosmás típicos son el crecimiento auricular izquierdo, ventricular derecho y del tronco pulmonar, y signos de hipertensión venosa pulmonar La calcificación de la válvula no es rara en el origen reumático
  • 82.
    La ecocardiografía enmodo M es diagnóstica. Este método demuestra un aplanamiento de la pendiente diastólica
  • 83.
    El modo bidimensionaldemuestra claramente lo cambios patológicos en las valvas, el anillo y las cuerdas tendinosas.
  • 84.
    INSUFICIENCIA Puede debersea anomalías de las valvas, del aparato subvalvular o del anillo
  • 85.
    Isquemia de losmusc. papilares Prolapso de válvula Enf. reumática endocarditis infecciosa miocardiopatías Rotura de las cuerdas tendinosas
  • 86.
    Cuando la insuficienciaes moderada a grave, se muestra un crecimiento de la cavidades izquierdas En insuficiencia de larga evolución y de aumento crónico de la resistencia vascular pulmonar, la radiografía muestra hallazgos de hipertensión pulmonar
  • 87.
    EN LA ECOCARDIOGRAFÍALAS VALVAS SON GRANDES Y ESTÁN ENGROSADAS. NO SE AJUSTAN NORMALMENTE Y SOBRESALEN EN LA AURÍCULA IZQUIERDA DURANTE EL SISTOLE POR LO GENERAL ESTE ESTUDIO PERMITE LLEGAR AL DAGNÓSTICO DEFINITIVO DE LA INSUFICIENCIA MITRAL AGUDA
  • 88.
  • 89.
    LA ESTENOSIS VALVULARAÓRTICA AISLADA PUEDE SER CONGÉNITA O DEGENERATIVA, SEGÚN LA EDAD DEL PACIENTE. .PROVOCA UNA SOBRECARGA DE PRESIÓN QUE CONDUCE A UNA HIPERTROFIA VENTRICULAR IZQUIERDA. LA VÁLVULA ESTENÓTICA SUELE ESTAR CALCIFICADA
  • 90.
  • 91.
    LA ECOCARDIOGRAFÍA BIDIMENSIONALPERMITE EVALUAR LA MORFOLOGÍA DE LAS VALVAS Y SU DESPLAZAMIENTO, Y VALORA DISTINTOS PARÁMETROS DE FUNCIÓN VENTRICULAR IZQUIERDA
  • 92.
    INSUFICIENCIA PUEDE DEBERSEA GRAN VARIEDAD DE LESIONES QUE AFECTAN A LAS VALVAS, AL ANILLO O A AMBOS DILATACIÓN DE LA RAIZ AÓRTICA VALVULOPATÍA REUMÁTICA MALFORMACIÓN VALVULAR CONGÉNITA
  • 93.
    LAS RADIOGRAFIAS FRONTAL Y LATERAL DE TORAX MUESTRAN CARDIOMEGALIA A EXPENSAS DE CRECIMIENTO VENTRICULAR IZQUIERDO. LA PARTE INFERIOR DEL BORDE CARDIACO IZQUIERDO ES PROMINENTE Y SE ENCUENTRA DESPLAZADO AL LADO IZQUIERDO DE MODO QUE LA PUNTA SE PROYECTA DEBAJO DEL BORDE DIAFRAGMÁTICO
  • 94.
  • 95.
    LA ECOCARDIOGRAFÍA DEMUESTRACON EXACTITUD LA MORFOLOGÍA DE LA RAIZ AORTICA, DEL ANILLO Y DE LAS VALVAS
  • 96.
    PROCESOS INFLAMATORIOS RAIZAÓRTICA DILATADA VALVAS ENGROSADAS Y ACORTADAS QUE APARECEN MUY SEPARADAS DE LAS COMISURAS VALVAS NORMALES, SIN EMBARGO SON MUY PEQUEÑAS PARA OCLUIR COMPLETAMENTE EL ORIFICO
  • 97.
    ENFERMEDADES PERICÁRDICAS LAAUSENCIA CONGÉNITA DEL PERICARDIO. DERRAME PERICÁRDICO. LA PERICARDITIS CONSTRICTIVA. TAMPONAMIENTO CARDIACO. PERICARDITIS AGUDA. ENGROSAMIENTO DEL PERICARDIO. MASAS PERICARDICAS Y PARACARDIACAS.
  • 98.
  • 99.
    LA AUSENCIA CONGÉNITADEL PERICARDIO.
  • 100.
    LA AUSENCIA CONGÉNITADEL PERICARDIO.
  • 101.
  • 102.
  • 103.
    Derrame pericárdico corazóngrande, globular, con una cardiomegalia exagerada en relación a la vascularidad pulmonar
  • 104.
  • 105.
    El estudio dela grasa epicárdica
  • 106.
  • 107.
  • 108.
  • 109.
  • 110.
  • 111.
    PERICARDITIS AGUDA Clínicamentehay dolor torácico, cambios electrocardiográficos y roce pericárdico. Las causas mas comunes son: idiopática, viral, neoplásica, bacteriana, tbc.
  • 112.
    ENGROSAMIENTO DEL PERICARDIOPERICARDIO POSQUIRÚRGICO
  • 113.
  • 114.
  • 115.
  • 116.
  • 117.
  • 118.
  • 119.
  • 120.
    MASAS PERICARDICAS YPARACARDIACAS
  • 121.
  • 122.
  • 123.
  • 124.
  • 125.