Tres proyecciones: Posteroanterior (PA) Oblicua Anterior Izquierda (OAI) Oblicua Anterior Derecha (OAD) Proyección Lateral Izquierda
PROYECCIÓN POSTEROANTERIOR Necesita ser: De pie De 1.8 a 2 m de distancia Inspiraci ó n profunda Abatir los omoplatos
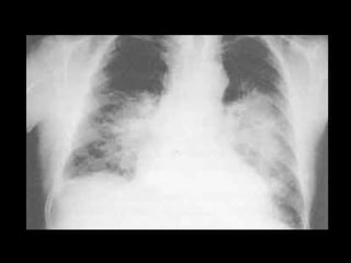
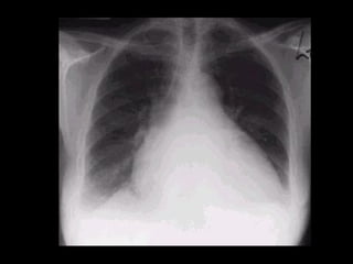
PROYECCIÓN POSTEROANTERIOR BORDE DERECHO Vena Cava Superior Aurícula Derecha BORDE IZQUIERDO  Botón Aórtico Arco de la Pulmonar Ventrículo Izquierdo
 
 
PROYECCIÓN OBLICUA ANTERIOR IZQUIERDA PERFIL ANTERIOR Arco Aórtico Aorta Ascendente Orejuela Derecha  Ventrículo Derecho PERFIL POSTERIOR Arco Aórtico  Arteria Pulmonar  Bronquio Principal Izquierdo Aurícula Izquierda Ventrículo Izquierdo
 
 
PROYECCIÓN OBLICUA ANTERIOR DERECHA PERFIL ANTERIOR Aorta Ascendente y Cayado Tronco Pulmonar  Ventrículo Derecho   PERFIL POSTERIOR Vena Cava Superior Aurícula Izquierda En esta proyección la radiografía es tomada después de que el paciente ha ingerido bario para visualizar el esófago.
 
 
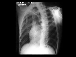
PERFIL ANTERIOR Aorta Ascendente Tronco de la Arteria Pulmonar  Ventrículo Derecho PROYECCIÓN LATERAL IZQUIERDA PERFIL POSTERIOR Aurícula Izquierda Ventrículo Izquierdo Vena Cava Inferior
 
 
CRECIMIENTOS
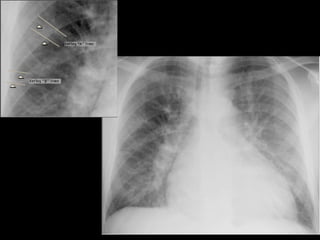
CARDIOMEGALIA  Mayor de 0.5 es sugestivo de cardiomegalia.  Índice Cardiotorácico   ICT =  A + B ________  C C B A
Factores que modifican el tamaño aparente de la silueta cardiovascular: Espiración Proyección Anteroposterior Ascitis Obesidad Embarazo Deformidades de la caja torácica
CRECIMIENTO DE LA AURÍCULA DERECHA Proyección PA Aumento de la prominencia del borde inferior derecho hacia el hemitórax derecho  Proyección OAI   Prominencia de la orejuela derecha inmediatamente por debajo de la aorta descendente.
 
CRECIMIENTO DEL VENTRÍCULO DERECHO Proyección OAI Si la prominencia anterior de la silueta llega a tocar la pared torácica es muy probable que sea por crecimiento del ventrículo derecho Proyección Lateral Izquierda El espacio retroesternal se encuentra ocupado en más del 60%
 
CRECIMIENTO DE LA AURÍCULA IZQUIERDA Proyección PA Prominencia de la orejuela izquierda que da lugar a la aparición de un arco intermedio entre el arco de la pulmonar y el del ventrículo izquierdo  IMAGEN DE CUATRO ARCOS. Proyección OAI Desplazamiento hacia arriba y/o disminución de la luz del bronquio principal izquierdo. Proyección OAD Rechazo hacia atrás y disminución de la luz del esófago en su tercio inferior.  Proyección Lateral Encima del surco auriculoventricular posterior se observa la sombra de la aurícula izquierda dilatada.
IMAGEN DE CUATRO ARCOS
CRECIMIENTO DEL VENTRÍCULO IZQUIERDO Proyección PA Prominencia exagerada del arco inferior del perfil izquierdo:  Puede ser redondeado ( hipertrofia ) ó elongado ( dilatación) Proyección OAI El arco inferior rebasa la mitad anterior de la columna El ángulo que forma con el hemidiafragma izquierdo  Puede ser agudo  (hipertrofia ) u obtuso ( dilatación) Proyección Lateral El perfil del Ventrículo Izquierdo se desplaza hacia atrás de la VCI
 
AORTA Proyección PA La dilatación aórtica puede observarse como una densidad mayor que la de los perfiles inferiores de la silueta cardiaca, bien definida, se puede distinguir su porción ascendente y el cayado Ensanchamiento mediastinal desde discreto hasta masivo Proyección Lateral Es la proyección en la que mejor se observa, se visualizan las tres porciones intratorácicas del vaso
 
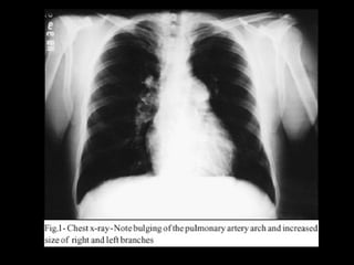
ARTERIA PULMONAR Proyección PA Su dilatación se manifiesta por abombamiento del arco de la pulmonar. Proyección OAD Una prominencia entre el arco ventricular y la aorta ascendente.
 
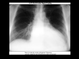
CARDIOMEGALIA GLOBAL Las causas más frecuentes son: Cardiopatía Reumática Plurivalvular Avanzada  Miocardiopatías Congestivas Diagnóstico Diferencial  Enf. De Ebstein Derrame Pericardico
 
HIPERTENSIÓN VENOCAPILAR HIPERTENSIÓN ARTERIAL PULMONAR
HIPERTENSIÓN VENOCAPILAR PULMONAR La presión de las venas pulmonares es mayor de 8 – 10 mmHg y se transmite en forma retrógada a los capilares pulmonares.  Se produce dilatación de las venas pulmonares.  A mayor presión se produce exceso de líquido en el intersticio pulmonar, en donde se acumula. El acúmulo de líquido en los septa interlobulares se ve como pequeñas y finas líneas horizontales predominantemente en las bases pulmonares  Líneas B de Kerley.
 
 
HIPERTENSIÓN VENOCAPILAR PULMONAR El exceso de líquido intersticial interfiere con el drenaje del líquido Se acumula en los septa interlobares (en la radiografía se ven cisuras visibles y derrame pleural), que produce borramiento de los senos costodiafragmáticos. Cuando la HVCP es lenta y crónica, existe vasoconstricción refleja de regiones basales que redistribuye el flujo a las regiones apicales por lo que el ensanchamiento venoso se ve en la mitad superior del tórax   “ Imagen en Asta de Ciervo”
 
HIPERTENSIÓN VENOCAPILAR PULMONAR Cuando la extravasación de líquido es considerable, el líquido pasa del instersticio a los alveolos (edema alveolar)  “ Edema en Alas de Mariposa ” En HVCP crónica, el ensanchamiento venoso puede ser reversible y el repetido acúmulo de líquido en el intersticio provoca cambios fibróticos que dejan líneas de Kerley o cisuras permanentemente visibles  Da una imagen, que por haberse visto con mayor frecuencia en enfermos con estenosis mitral, se ha llamado ” Pulmón Mitral”.
 
DERRAME PLEURAL

Radiología de corazón

  • 1.
    Tres proyecciones: Posteroanterior(PA) Oblicua Anterior Izquierda (OAI) Oblicua Anterior Derecha (OAD) Proyección Lateral Izquierda
  • 2.
    PROYECCIÓN POSTEROANTERIOR Necesitaser: De pie De 1.8 a 2 m de distancia Inspiraci ó n profunda Abatir los omoplatos
  • 3.
    PROYECCIÓN POSTEROANTERIOR BORDEDERECHO Vena Cava Superior Aurícula Derecha BORDE IZQUIERDO Botón Aórtico Arco de la Pulmonar Ventrículo Izquierdo
  • 4.
  • 5.
  • 6.
    PROYECCIÓN OBLICUA ANTERIORIZQUIERDA PERFIL ANTERIOR Arco Aórtico Aorta Ascendente Orejuela Derecha Ventrículo Derecho PERFIL POSTERIOR Arco Aórtico Arteria Pulmonar Bronquio Principal Izquierdo Aurícula Izquierda Ventrículo Izquierdo
  • 7.
  • 8.
  • 9.
    PROYECCIÓN OBLICUA ANTERIORDERECHA PERFIL ANTERIOR Aorta Ascendente y Cayado Tronco Pulmonar Ventrículo Derecho PERFIL POSTERIOR Vena Cava Superior Aurícula Izquierda En esta proyección la radiografía es tomada después de que el paciente ha ingerido bario para visualizar el esófago.
  • 10.
  • 11.
  • 12.
    PERFIL ANTERIOR AortaAscendente Tronco de la Arteria Pulmonar Ventrículo Derecho PROYECCIÓN LATERAL IZQUIERDA PERFIL POSTERIOR Aurícula Izquierda Ventrículo Izquierdo Vena Cava Inferior
  • 13.
  • 14.
  • 15.
  • 16.
    CARDIOMEGALIA Mayorde 0.5 es sugestivo de cardiomegalia. Índice Cardiotorácico ICT = A + B ________ C C B A
  • 17.
    Factores que modificanel tamaño aparente de la silueta cardiovascular: Espiración Proyección Anteroposterior Ascitis Obesidad Embarazo Deformidades de la caja torácica
  • 18.
    CRECIMIENTO DE LAAURÍCULA DERECHA Proyección PA Aumento de la prominencia del borde inferior derecho hacia el hemitórax derecho Proyección OAI Prominencia de la orejuela derecha inmediatamente por debajo de la aorta descendente.
  • 19.
  • 20.
    CRECIMIENTO DEL VENTRÍCULODERECHO Proyección OAI Si la prominencia anterior de la silueta llega a tocar la pared torácica es muy probable que sea por crecimiento del ventrículo derecho Proyección Lateral Izquierda El espacio retroesternal se encuentra ocupado en más del 60%
  • 21.
  • 22.
    CRECIMIENTO DE LAAURÍCULA IZQUIERDA Proyección PA Prominencia de la orejuela izquierda que da lugar a la aparición de un arco intermedio entre el arco de la pulmonar y el del ventrículo izquierdo IMAGEN DE CUATRO ARCOS. Proyección OAI Desplazamiento hacia arriba y/o disminución de la luz del bronquio principal izquierdo. Proyección OAD Rechazo hacia atrás y disminución de la luz del esófago en su tercio inferior. Proyección Lateral Encima del surco auriculoventricular posterior se observa la sombra de la aurícula izquierda dilatada.
  • 23.
  • 24.
    CRECIMIENTO DEL VENTRÍCULOIZQUIERDO Proyección PA Prominencia exagerada del arco inferior del perfil izquierdo: Puede ser redondeado ( hipertrofia ) ó elongado ( dilatación) Proyección OAI El arco inferior rebasa la mitad anterior de la columna El ángulo que forma con el hemidiafragma izquierdo Puede ser agudo (hipertrofia ) u obtuso ( dilatación) Proyección Lateral El perfil del Ventrículo Izquierdo se desplaza hacia atrás de la VCI
  • 25.
  • 26.
    AORTA Proyección PALa dilatación aórtica puede observarse como una densidad mayor que la de los perfiles inferiores de la silueta cardiaca, bien definida, se puede distinguir su porción ascendente y el cayado Ensanchamiento mediastinal desde discreto hasta masivo Proyección Lateral Es la proyección en la que mejor se observa, se visualizan las tres porciones intratorácicas del vaso
  • 27.
  • 28.
    ARTERIA PULMONAR ProyecciónPA Su dilatación se manifiesta por abombamiento del arco de la pulmonar. Proyección OAD Una prominencia entre el arco ventricular y la aorta ascendente.
  • 29.
  • 30.
    CARDIOMEGALIA GLOBAL Lascausas más frecuentes son: Cardiopatía Reumática Plurivalvular Avanzada Miocardiopatías Congestivas Diagnóstico Diferencial Enf. De Ebstein Derrame Pericardico
  • 31.
  • 32.
  • 33.
    HIPERTENSIÓN VENOCAPILAR PULMONARLa presión de las venas pulmonares es mayor de 8 – 10 mmHg y se transmite en forma retrógada a los capilares pulmonares. Se produce dilatación de las venas pulmonares. A mayor presión se produce exceso de líquido en el intersticio pulmonar, en donde se acumula. El acúmulo de líquido en los septa interlobulares se ve como pequeñas y finas líneas horizontales predominantemente en las bases pulmonares Líneas B de Kerley.
  • 34.
  • 35.
  • 36.
    HIPERTENSIÓN VENOCAPILAR PULMONAREl exceso de líquido intersticial interfiere con el drenaje del líquido Se acumula en los septa interlobares (en la radiografía se ven cisuras visibles y derrame pleural), que produce borramiento de los senos costodiafragmáticos. Cuando la HVCP es lenta y crónica, existe vasoconstricción refleja de regiones basales que redistribuye el flujo a las regiones apicales por lo que el ensanchamiento venoso se ve en la mitad superior del tórax “ Imagen en Asta de Ciervo”
  • 37.
  • 38.
    HIPERTENSIÓN VENOCAPILAR PULMONARCuando la extravasación de líquido es considerable, el líquido pasa del instersticio a los alveolos (edema alveolar) “ Edema en Alas de Mariposa ” En HVCP crónica, el ensanchamiento venoso puede ser reversible y el repetido acúmulo de líquido en el intersticio provoca cambios fibróticos que dejan líneas de Kerley o cisuras permanentemente visibles Da una imagen, que por haberse visto con mayor frecuencia en enfermos con estenosis mitral, se ha llamado ” Pulmón Mitral”.
  • 39.
  • 40.