INSULINOMA
Luis More Saldaña MD
Jefe de Especialidades Médicas
Hospital Santa Rosa Lima Perú
Clínica San Felipe
Consultorios El Golf
Endocrinólogo Nacional Oncosalud
Centro de Investigación en Diabetes y Enfermedades Metabólicas
INTRODUCCION
Los cuadros clínicos de Hipoglicemia se reconocieron antes del comienzo del siglo 19 ,
pero sus síntomas y signos se relacionaron con el exceso de insulina después del 1921 en
personas no diabéticas ,lo cual condujo a la postulación de una nueva enfermedad
denominada HIPERINSULINISMO.
En 1927 se encontró un tumor de las células de los islotes pancreáticos maligno en
paciente con Hipoglicemia marcada , notificándose la primera cura de este
Hiperinsulinismo en 1929 .
Insulinomas son la causa más común de hipoglucemia resultantes de hiperinsulinismo
endógeno.
Aproximadamente el 90-95% son benignos.
Hyperinsulinism and dysinsulinism Harris S JAMA. 1924;83:729.
Aunque la hipoglucemia es común en personas con diabetes, es un
evento clínico poco común en personas que no tienen diabetes
debido a la eficacia de la fisiología normal y las defensas de
comportamiento contra la caída concentraciones de glucosa en
plasma.
Cryer PE : La prevención y corrección de la hipoglucemia. Jefferson LS Cherrington AD Manual de Fisiología.
Sección 7: El sistema endocrino. . Volumen II: El páncreas endocrino y la regulación del metabolismo de 2001
Oxford University Press New York 1057 - 1092
CLINICA DEL INSULINOMA
La manifestación clínica común de un insulinoma es la Hipoglicemia en el ayuno, con
episodios discretos de síntomas neuroglucopénicos que pueden o no estar precedidos
por síntomas simpatoadrenales (autónomos).
Sin embargo, la hipoglucemia postprandial puede ser una característica o incluso la
única manifestación de la hipoglucemia en algunos insulinomas .
La hipoglucemia en personas con insulinoma se debe principalmente a la reducción de
la producción hepática de glucosa en lugar de una mayor utilización de la glucosa .
La evidencia sugiere que los insulinomas surgen de células ductales/ y acinares del
páncreas no así de las células de los islotes pancreáticos .
Non-islet origin of pancreatic islet cell tumors. Vortmeyer AO, Huang S, Lubensky I, Zhuang Z J Clin Endocrinol Metab. 2004;89(4):1934
INCIDENCIA
Uno de los estudios más grandes de seguimiento de insulinomas por 60 años es de la
Clínica Mayo (1927 a 1986, se estudiaron 224 pacientes ) aquí se logro medir la
incidencia de 0,4 por 100.000 años-persona (o cuatro casos por millón por año) .
La distribución por edad y sexo en una serie posterior a la de Mayo Clinic (1987 a 2007)
series posteriores de la misma institución fueron similares a los de la cohorte anterior.
Los insulinomas se observan en todos los grupos étnicos.
Functioning insulinoma--incidence, recurrence, and long-term survival of patients: a 60-year study.
Service FJ, McMahon MM, O'Brien PC, Ballard DJ Mayo Clin Proc. 1991;66(7):711
Distribución por edad y sexo
Para la serie observada desde 1987 hasta 2007 de Mayo Clinic ( 237 pacientes) la
edad mediana en el momento de la cirugía fue de 50 años (rango 17 a 86 años) y el
57 % eran mujeres .
No hubo diferencias demográficas entre esta serie y que reportaron para el
período 1927-1986
Secular trends in the presentation and management of functioning insulinoma at the Mayo Clinic, 1987-2007. Placzkowski KA, Vella A, Thompson GB,
Grant CS, Reading CC, Charboneau JW, Andrews JC, Lloyd RV, Service FJ J Clin Endocrinol Metab. 2009;94(4):1069
Signos y síntomas
Insulinomas se caracterizan clínicamente por la tríada de Whipple, como sigue:
1. Presencia de síntomas de hipoglucemia (alrededor de 85% de los
pacientes)
2. Documentado bajos de azúcar en sangre en el momento de los
síntomas
3. Reversión de los síntomas mediante la administración de glucosa
SINTOMAS Y SIGNOS (1)
EL 85% presentan síntomas de hipoglucemia , que incluyen:
1. Diplopía ,
2. Visión borrosa,
3. Palpitaciones o
4. Gran debilidad , además ,
5. Confusión,
6. Comportamiento anormal,
7. Pérdida del conocimiento y amnesia.
Alrededor del 12% de los pacientes tienen ataques epilépticos severos.
Síntomas adrenérgicos (hipoglucemia provoca la liberación de adrenalina) incluyen :
debilidad, sudoración, taquicardia, palpitaciones y el hambre.
Los síntomas pueden estar presentes desde 1 mes a 30 años, la mediana de 24 meses,
como se encuentra en una gran serie de 59 pacientes).
Dizon AM, Kowalyk S, Hoogwerf BJ. Neuroglucopénicos y otros síntomas en pacientes con insulinomas. Am J Med . 1999 marzo 106
(3):. 307-10 [Medline] .
SINTOMAS Y SIGNOS (2)
8.-Los síntomas ocurren con mayor frecuencia durante la noche o en las horas tempranas
de la mañana.
9.-La hipoglucemia ocurre generalmente varias horas después de una comida.
10.-En los casos graves, los síntomas pueden desarrollarse en el período postprandial. Los
síntomas pueden ser agravados por el ejercicio, el alcohol, la dieta hipocalórica y el
tratamiento con sulfonilureas.
11.-El aumento de peso se produce en el 20-40% de los pacientes. Debido a
Hiperinsulinismo pueden presentar sobrepeso.
12.-Los síntomas causados ​​por efectos de la masa tumoral local son muy raros en
insulinoma
Dizon AM, Kowalyk S, Hoogwerf BJ. Neuroglucopénicos y otros síntomas en pacientes con insulinomas. Am J Med . 1999 marzo 106 (3):. 307-10 [Medline] .
GENERALMENTE……..
Los síntomas de la hipoglucemia generalmente se producen exclusivamente en el
estado de ayuno en el 73 por ciento, mientras que el 21 % informó en ayunas y
postprandial , con 6 % reportado sólo síntomas postprandiales.
Durante los últimos se ha visto un aumento de los síntomas hipo glicémicos
postprandiales (2 por ciento de 1987 a 1992 en comparación con el 10 ciento entre
2003 y 2007)en últimos estudios de referencia.
Secular trends in the presentation and management of functioning insulinoma at the Mayo Clinic, 1987-2007. Placzkowski KA, Vella A, Thompson GB,
Grant CS, Reading CC, Charboneau JW, Andrews JC, Lloyd RV, Service FJ J Clin Endocrinol Metab. 2009;94(4):1069.
Fisiopatología
Es un tumor neuroendocrino, derivado de las células de los islotes pancreáticos, que
secreta insulina. Algunos insulinomas también secretan otras hormonas, como la
gastrina, ácido 5-hydroxyindolic, hormona adrenocorticotrópica (ACTH), glucagón,
gonadotropina coriónica humana, y la somatostatina.
Alrededor del 90% de los insulinomas son benignos y el 10 % malignos, así mismo el 10
% son múltiples y el 50 % de estos insulinomas múltiples tiene MEN tipo 1
Los insulinomas se asocian con MEN 1 en 5% de los pacientes, solamente el 21 % de los
MEN 1 desarrollan insulinoma ,debiéndose hacer el cribado a los familiares con MEN 1.
Se viene observando un aumento de la vía de fosforilacion de la Rapamicina ( p-mTOR
) y la vía de la señalización dela serina /treonina quinasa p70s6k en muestras de los
insulinomas .
Zhan HX, Cong L, Zhao YP, Zhang TP, Chen G, Zhou L, et al. Activado vía de señalización mTOR / p70s6k está implicado en la tumorigénesis insulinoma. J Surg
Oncol . 2012 diciembre 106 (8):. 972-80 [Medline] .
CAUSAS
El gen de neoplasia MEN 1 ,enfermedad autosómica dominante, toma el nombre de gen
MEN1 y su mapa esta en la banda 11q13.
MEN1 se piensa para funcionar como un gen supresor de tumores.
Los datos sugieren que el gen MEN1 está implicado en la patogénesis de al menos un
tercio de los tumores neuroendocrinos esporádicos.
En un estudio de 12 niños con insulinoma, cuatro casos mostraron mutaciones
heterocigotos de MEN1 en 11q. Aneuploidía del cromosoma 11 y otros cromosomas era
común tanto en MEN1 y insulinomas no MEN1.
Un estudio mostró que la mutación k -ras mutación esta presente en 23% de los
insulinomas.
Bhatti TR, Ganapathy K, Huppmann AR, Conlin L, Boodhansingh KE, MacMullen C, et al. Histológico y molecular Perfil de Pediatría Insulinomas: Evidencia de
un Paternal para Padres de origen Efecto. J Clin Endocrinol Metab . 2016 Ene 12. 161 (3):. Jc20152914 [Medline] .
MEN1 : Estudio de la Mayo Clinic
Entre los 237 pacientes en una cohorte ( años 1927 a 1986 ) :
1. Catorce (6 por ciento) tenían neoplasia endocrina múltiple tipo 1 (MEN1), de
los cuales 71 por ciento eran hombres .
2. Trece (93 por ciento) tenían insulinomas benignos.
3. Doce (86 por ciento) tenían múltiples tumores de los islotes, en comparación
con sólo el 3 por ciento en el resto de la cohorte.
Los pacientes que requirieron tratamiento quirúrgico adicional debido a la cirugía inicial
fallado o recurrencia de insulinoma en el período 1927-1986 tenían una mayor prevalencia
de MEN1 con múltiples tumores (25 por ciento) y los insulinomas malignos (13 por ciento)
.
Functioning insulinoma--incidence, recurrence, and long-term survival of patients: a 60-year study. Service FJ, McMahon MM, O'Brien PC, Ballard DJ
Mayo Clin Proc. 1991;66(7):711.
MEN 1 : Distribución del tumor
Los insulinomas pueden ser únicas o múltiples y benigno o maligno.
Entre los 224 pacientes en una cohorte :
● 194 (87 por ciento) tenían tumores benignos individuales (uno de ellos era
ectópico)
● 16 (7 por ciento) tenía múltiples tumores benignos
● 13 (6 por ciento) tenía insulinomas malignos, definida como la presencia de
metástasis
● Uno tenía la hiperplasia de los islotes
La edad mediana (y rango) de los pacientes con insulinoma maligno fue de 48 años (18
a 61 años), y el 77 por ciento eran hombres.
TIFunctioning insulinoma--incidence, recurrence, and long-term survival of patients: a 60-year study. Service FJ, McMahon MM, O'Brien PC, Ballard DJ
Mayo Clin Proc. 1991;66(7):711.
Diagnóstico y la estadificación
El diagnóstico de insulinoma se establece mediante la demostración de las
concentraciones de insulina en suero inadecuadamente altas durante un episodio
espontáneo o inducido de hipoglucemia, el test de ayuno de 72 horas o en el caso de la
paciente con síntomas únicamente postprandiales la prueba de comida mixta.
CANDIDATOS PARA LA EVALUACIÓN
Paciente con hipoglucemia y sin diagnóstico de Diabetes solamente deben ser
candidatos a estudiar su hipoglicemia aquellos pacientes en los que se documenta la
tríada de WHIPPLE.
La tríada de Whipple incluye lo siguiente:
● Síntomas compatibles con hipoglucemia
● Una baja concentración de glucosa en plasma se mide con un método
preciso (no un monitor de glucosa en casa) cuando los síntomas están
presentes.
● El alivio de los síntomas después que la concentración plasmática de
glucosa se eleva.
Evaluation and management of adult hypoglycemic disorders: an Endocrine Society Clinical Practice Guideline. Cryer PE, Axelrod L, Grossman AB, Heller SR,
Montori VM, Seaquist ER, Service FJ, Endocrine Society J Clin Endocrinol Metab. 2009;94(3):709.
PRIMER ENFOQUE DIAGNOSTICO
Guías de la Sociedad Endocrina 2009 para la evaluación y tratamiento de los trastornos de
hipoglucemia en los adultos .
La evaluación clínica
El primer paso es revisar la historia del paciente en detalle:
1.- incluyendo la naturaleza y el calendario de los síntomas (especialmente en relación con
las comidas), existencia de enfermedades o condiciones, los medicamentos tomados por el
paciente y por miembros de la familia y la historia social ,insuficiencia suprarrenal .
2.-En un individuo aparentemente bien, la causa es menos evidente y puede ser debido a
Hiperinsulinismo o hipoglucemia facticia aquí cuando la causa de la hipoglucemia no es
evidente, es necesaria una evaluación detallada de laboratorio.
Diagnostic approach to adults with hypoglycemic disorders. Service FJ Endocrinol Metab Clin North Am. 1999;28(3):519.
PRUEBAS DE LABORATORIO
Durante la prueba del ayuno de 72 horas se debe medir :
● glucosa
● La insulina
● C-péptido
● El beta-hidroxibutirato (Bhob)
● La proinsulina
● Dosaje de sulfonilureas y meglitinida
En los pacientes con Hiperinsulinismo endógeno, los anticuerpos de insulina deben ser
medidos para distinguir la hipoglucemia autoinmune de otras causas de hiperinsulinismo.
Diagnostic approach to adults with hypoglycemic disorders.Service FJ Endocrinol Metab Clin North Am. 1999;28(3):519.
PRUEBA DE AYUNO DE 72 HORAS
PROTOCOLO
● Fecha del inicio del ayuno en el momento de la última ingesta de calorías. Suspenda
todos los medicamentos no esenciales.
● Permita que el paciente beba bebidas que son calorías y libre de cafeína.
● Asegúrese de que el paciente está activo durante las horas de vigilia.
● Recoger muestras de sangre para la medición de la glucosa en plasma, insulina,
péptido C, la proinsulina y Bhob cada seis horas hasta tengamos una glucosa por debajo
de 60 mg / dl (3.3 mmol / L); desde este momento bajamos el control de glucosa cada
dos .
Aunque la sangre se recoge en varias ocasiones, medimos la insulina, péptido C, y
proinsulina sólo en aquellas muestras en las que la concentración de glucosa en plasma
es ≤60 mg / dl (3.3 mmol / L) .
los anticuerpos de insulina deben ser medidos, pero no tienen que ser medidos durante
la hipoglucemia.
PRUEBA DE AYUNO DE 72 HORAS
Duración y finalización de la prueba
La prueba de ayuno de 72 horas es la prueba estándar para el diagnóstico de insulinoma.
Se da por concluida cuando :
1.- La concentración de glucosa esta menos o igual a 45 mg /dl ( 2,5 mmol/L
),han transcurrido 72 horas y tuvo síntomas y signos de hipoglicemia .
2.- Cuando la glucosa plasmática es menos de 55 mg/dl ( 3 mmol /L ) si la tirada
de Whipple fue documentada .
En un estudio ultimo el ayuno termino cuando glucosa fue menos de 45 mg / dl *( 2,5
mmol/lL ) en el 43 % en 12 horas , en un 67 % a las 24 horas y 95 % a las 48 horas.
INTERPRETACIONDE LA PRUEBA DE AYUNO DE 72 HORAS
La insulina en plasma
Concentración de insulina en plasma de 3 microU / mL (20,8 pmol / L) mediante el
ensayo de immunochemiluminometric (ICMA) cuando la glucosa en plasma está por
debajo de 55 mg / dl (3.0 mmol / L) indica un exceso de insulina y es consistente con
hiperinsulinemia (por ejemplo, insulinoma)
Por desgracia, las concentraciones de glucosa en plasma caen por debajo de 50 mg / dl
(2.8 mmol / L) en algunos sujetos normales y permanecen por encima de 50 mg / dl en
pacientes en forma ocacional con un insulinoma , esta ligera superposición hace
requerir una glucosa en plasma de menos de 45 mg / dl (2.5 mmol / L) en el final del
ayuno
INTERPRETAACION DE LA PRUEBA DE AYUNO DE 72 HORAS
Plasma péptido C
Es esencial medir el péptido C en plasma al final del ayuno para distinguir la
hiperinsulinemia endógena de la hiperinsulinemia exógena
En pacientes con glucosa por debajo de 45 mg / dl (2.5 mmol / L), no había
punto de comparación entre los valores de los pacientes con insulinoma y
sujetos normales a una concentración de plasma del péptido C de 0,2 nmol / L
(200 pmol / L o 0,6 ng / ml) .
Todos los pacientes de insulinoma tuvieron valores más altos y todos los sujetos
normales que estaban hipoglucémico tenían valores más bajos.
Para la proinsulina del plasma, el criterio diagnóstico de insulinoma es 5 pmol /
L o mayor
Hypoglycemic disorders. Service FJ N Engl J Med. 1995;332(17):1144.
INTERPRETAACION DE LA PRUEBA DE AYUNO DE 72 HORAS
Beta hidroxibutarato (Bhob )
Debido al efecto antiketogenico de insulina, concentraciones Bhob plasma son
inferiores en los pacientes con insulinoma que en sujetos normales.
Todos los insulinoma tuvieron valores plasmáticos muy bajos de Bhob 2,7 mmol / L
o menos al final del ayuno, mientras que los sujetos normales tenían valores más
altos.
El valor Bhob plasma, así como la respuesta de la glucosa a glucagón , se pueden
utilizar para confirmar el diagnóstico en pacientes en los que los valores del
péptido C de la insulina y se encuentran en el rango límite (por ejemplo,
concentración de insulina en plasma de <3 microU / mL [ 20,8 pmol / L], péptido C
<0,2 nmol / L [0,6 ng / ml]) o para indicar la acción de un factor similar a la insulina.
INTERPRETAACION DE LA PRUEBA DE AYUNO DE 72 HORAS
Respuesta al Glucagon
La insulina y la hiperinsulinemia es antiglucogenolitica no permitiendo la desgración
del glucógeno en el hígado. Como resultado, los pacientes con hipoglucemia
mediada por la insulina responden a 1 mg de intravenosa de glucagón (un agente
glucogenolítica potente) mediante la liberación de glucosa..
Al final del ayuno, los pacientes con un insulinoma tienen un aumento en la
respuesta de la glucosa en plasma de 25 mg / dl (1.4 mmol / L) o más a los 20 a 30
minutos, mientras que los sujetos normales tienen un incremento más pequeño.
Hypoglycemic disorders. Service FJ N Engl J Med. 1995;332(17):1144.
ESTUDIOS DE IMÁGENES
Siempre iniciar estudios de imágenes sólo después de que el diagnóstico ha sido
confirmado bioquímicamente, el 80% de los insulinomas son menos de 2 cm de
tamaño y puede no ser visible por tomografía computarizada o a una ecografía
abdominal.
La localización del tumor preoperatoria éxito se logra en aproximadamente el 60%
de los pacientes ,con la exploración quirúrgica y la ecografía intraoperatoria se
identifican más del 90% de los tumores.
TC helicoidal o multicorte tiene una sensibilidad 82-94%.La En CT helicoidal de
doble fase res más sensible que la de una sola fase para la detección de insulinoma.
RM con gadolinio puede ser útil en la detección de un tumor en el 85% de los casos.
Hashimoto LA, Walsh RM. La localización preoperatoria de los insulinomas no es necesario. J Am Coll Surg . 1999 octubre 189 (4):. 368-73
[Medline] .
imagen TAC con contraste oral e intravenosa en un paciente con evidencia
bioquímica de insulinoma. El 3-cm de mejora del contraste neoplasia
(flecha) se observa en la cola de la posterior páncreas (P) en el estómago (S)
(Yeo, 1993).
ESTUDIOS DE IMÁGENES
La precisión de la arteriografía selectiva es del 82%, aunque con una tasa de falsos
positivos del 5%. Muchos expertos ven como el mejor procedimiento general de
localización preoperatoria.
La arteriografía DE ramas arteriales del sistema celíaca en combinación con inyecciones de
calcio (que estimulan la liberación de insulina a partir de tejido neoplásico, pero no de los
islotes normales) localiza tumores en 47% de los pacientes.
Wiesli et al encontraron que la proinsulina, péptido C y la insulina son liberados por las
células de insulinoma en respuesta al calcio. Sin embargo, la cromogranina A (CGA) y
enolasa neuronal específica (NSE) no son liberados
La sensibilidad de la gammagrafía de receptores de la somatostatina es 60%, aunque
muchos insulinomas carecen de receptores de somatostatina subtipo 2 para la
identificación exitosa.
Wiesli P, Uthoff H, Perren A, et al. Son marcadores bioquímicos de los tumores neuroendocrinos coreleased con insulina después de la
estimulación de calcio local en pacientes con insulinomas ?. páncreas . 40 de octubre de 2011 (7):. 995-9 [Medline] .
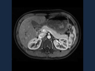
Ecografía endoscópica
Detecta el 77% de los insulinomas en el páncreas su rendimiento es mayor en
combinación con la TC. Tenga en cuenta lo siguiente:
1.- En tiempo real la Ecografía transabdominal de alta resolución tiene una sensibilidad
del 50%.
2.- La Ecografía Intraoperatoria Transabdominal de alta resolución detecta más de 90% de
los insulinomas.
Realización de un estudio preoperatorio para localizar el tumor seguida de la ecografía
intraoperatoria y un examen físico no es irrazonable.
a) la apariencia típica de la USE insulinoma: una masa de 1,5 mm
hipoecoica bien definido en la mitad del cuerpo del páncreas. (B) Dos
insulinomas muy pequeñas (flechas) que mide menos de 5 mm en el
páncreas distal.
ECOGRAFIA ENDOSCOPICA
TRATAMIENTO
La resección del tumor primario
La extirpación quirúrgica del insulinoma es el tratamiento de elección.
Los siguientes procedimientos se llevaron a cabo en la cohorte clínica Mayo:
● La enucleación del insulinoma - 130 pacientes
● Pancreatectomía distal parcial - 73 pacientes
● La enucleación del insulinoma y pancreatectomía parcial - nueve pacientes
● Un procedimiento de Whipple (extirpación de la cabeza del páncreas,
gastrectomía,
duodenectomía y la esplenectomía) - un paciente
● total pancreatectomía - un paciente
La tasa de complicaciones quirúrgicas fue de aproximadamente 10 por ciento.
Functioning insulinoma--incidence, recurrence, and long-term survival of patients: a 60-year study. Service FJ, McMahon MM, O'Brien PC, Ballard DJ
Mayo Clin Proc. 1991;66(7):711.
TRATAMIENTO
Resultado
En la serie 1927-1986 de Mayo Clinic se observaron los siguientes resultados:
● 196 pacientes (87,5 %) se curaron, libre de síntomas durante al menos seis
meses después de la cirugía
● 19 pacientes (8,5 %), 10 con insulinomas benignos, ocho con insulinomas
malignos y uno con hiperplasia de células de los islotes, tenían hipoglucemia
persistente
● Cinco (2,2 %) desarrollaron diabetes mellitus
● Cuatro (1,8 %) murieron durante el período perioperatorio; los cuatro
fueron operados antes de 1941.
Entre los 10 pacientes que tenían insulinomas benignos e hipoglucemia persistente
después del tratamiento quirúrgico , seis tenían tumores múltiples (cuatro debido a la
neoplasia endocrina múltiple tipo 1 [MEN1]).
Functioning insulinoma--incidence, recurrence, and long-term survival of patients: a 60-year study. Service FJ, McMahon MM, O'Brien PC, Ballard DJ
Mayo Clin Proc. 1991;66(7):711.
TRATMIENTO QUIRURGICO
El tratamiento quirúrgico del insulinoma logra la curación en 90% de los pacientes, es
actualmente el tratamiento de elección.
Manejo Preoperatorio
1.- Administrar Diazóxido en el día de la cirugía en los pacientes que responden a esta
medicación , este reduce la necesidad de suplementos de glucosa y el riesgo de
hipoglucemia.
2.- Controlar el nivel de glucosa en la sangre durante toda la operación.
3.- Infundir 10% de dextrosa en agua a una velocidad de al menos 100 ml / h.
4.- Una prueba preoperatoria con Diazóxido se indica para determinar si el paciente es un
respondedor (5-10% de los pacientes no responden); los resultados del estudio ayudan a
determinar la estrategia intraoperatoria si el tumor no se localiza.
5.- En los pacientes con (MEN 1), la hipercalcemia debe ser corregida con
paratiroidectomía antes de la resección del insulinoma.
Lo CY, Lam KY, Fan ST. Estrategia quirúrgica para insulinomas en neoplasia endocrina múltiple tipo I Am J Surg . 1998 Apr. 175 (4):. 305-7 [Medline] .
TRATAMIENTO MEDICO
Indicado para insulinomas malignos y en aquellos que no quieren o no pueden
someterse a cirugía, medidas diseñadas para prevenir la hipoglucemia y en tumores
malignos, para reducir la carga tumoral..
Diazóxido se relaciona con los diuréticos tiazídicos y reduce la secreción de insulina,
pero retiene sodio y existe una tendencia a la Insuficiencia cardiaca y el hirsutismo, se
prescribe con Hidroclorotiazida para disminuir edemas y hiperpotasemia y potenciar
el efecto hiperglucémico.
El 50% de los insulinomas responden al uso de la , 50% octreotida análogo de la
somatostatina para prevenir la hipoglucemia. El efecto de la terapia depende de la
presencia de subtipo de receptor de somatostatina 2 sobre las células tumorales
insulinoma.
Arnold R, Simon B, Wied M. Tratamiento de neuroendocrino GEP tumores con análogos de la somatostatina:. Una revisión digestión . 2000. 62 Suppl. 1: 84-91
[Medline] .
TRATAMIENTO ENFERMEDAD METASTASICA
Los insulinomas tienen metástasis en el momento de la cirugía en un 5-10% de los
pacientes.
Iniciar tratamiento con Diazóxido mientras se realiza exámenes de imágenes
invasivos ante de la cirugía reparativa, en el 5 al 10 % que no responden o hay
intolerancia al Diazóxido y se excluye la enfermedad ectópica ,una resección de
dos tercios de pancreatectomía distal , sabiendo que este procedimiento tiene
solo 25 % de éxito .
Los tumores que no se encuentran en la cirugía normalmente se encuentra en la
cabeza del páncreas (54%), el cuerpo (20%), y la cola (14%).
Cuando se encuentran metástasis, la extirpación quirúrgica es factible antes que
cualquier otro tratamiento médico, quimioterapia, etc. .
Bernard V, Lombard-Bohas C, Taquet MC, Caroli-Bosc FX, Ruszniewski P, Niccoli-Sire P, et al. Efficacy of Everolimus in Patients with Metastatic
Insulinoma and Refractory Hypoglycemia. Eur J Endocrinol. 2013 Feb 7. [Medline].
VIGILANCIA POSTRATAMIENTO
No hay directrices basadas en la evidencia para el seguimiento después de la resección
de un insulinoma maligno.
Las guías de consenso derivado de la National Comprehensive Cancer Network después
del tratamiento para un tumor de células de los islotes incluir lo siguiente :
● De Tres a seis meses de la cirugía :- historia y examen físico, marcadores
tumorales y la tomografía computarizada (TC) / magnética por imágenes de
resonancia nuclear (RMN).
● A largo plazo - Historia y examen físico con marcadores tumorales cada 6 a 12
meses para los años uno a tres y como se indica clínicamente a partir de entonces.
National Comprehensive Cancer Network (NCCN). NCCN Guías de práctica clínica en oncología. http://www.nccn.org/professionals/physician_gls/f_guidelines.asp
(consultado el 27 de febrero de 2016).
Insulinoma
Insulinoma

Insulinoma

  • 1.
    INSULINOMA Luis More SaldañaMD Jefe de Especialidades Médicas Hospital Santa Rosa Lima Perú Clínica San Felipe Consultorios El Golf Endocrinólogo Nacional Oncosalud Centro de Investigación en Diabetes y Enfermedades Metabólicas
  • 3.
    INTRODUCCION Los cuadros clínicosde Hipoglicemia se reconocieron antes del comienzo del siglo 19 , pero sus síntomas y signos se relacionaron con el exceso de insulina después del 1921 en personas no diabéticas ,lo cual condujo a la postulación de una nueva enfermedad denominada HIPERINSULINISMO. En 1927 se encontró un tumor de las células de los islotes pancreáticos maligno en paciente con Hipoglicemia marcada , notificándose la primera cura de este Hiperinsulinismo en 1929 . Insulinomas son la causa más común de hipoglucemia resultantes de hiperinsulinismo endógeno. Aproximadamente el 90-95% son benignos. Hyperinsulinism and dysinsulinism Harris S JAMA. 1924;83:729.
  • 4.
    Aunque la hipoglucemiaes común en personas con diabetes, es un evento clínico poco común en personas que no tienen diabetes debido a la eficacia de la fisiología normal y las defensas de comportamiento contra la caída concentraciones de glucosa en plasma. Cryer PE : La prevención y corrección de la hipoglucemia. Jefferson LS Cherrington AD Manual de Fisiología. Sección 7: El sistema endocrino. . Volumen II: El páncreas endocrino y la regulación del metabolismo de 2001 Oxford University Press New York 1057 - 1092
  • 5.
    CLINICA DEL INSULINOMA Lamanifestación clínica común de un insulinoma es la Hipoglicemia en el ayuno, con episodios discretos de síntomas neuroglucopénicos que pueden o no estar precedidos por síntomas simpatoadrenales (autónomos). Sin embargo, la hipoglucemia postprandial puede ser una característica o incluso la única manifestación de la hipoglucemia en algunos insulinomas . La hipoglucemia en personas con insulinoma se debe principalmente a la reducción de la producción hepática de glucosa en lugar de una mayor utilización de la glucosa . La evidencia sugiere que los insulinomas surgen de células ductales/ y acinares del páncreas no así de las células de los islotes pancreáticos . Non-islet origin of pancreatic islet cell tumors. Vortmeyer AO, Huang S, Lubensky I, Zhuang Z J Clin Endocrinol Metab. 2004;89(4):1934
  • 6.
    INCIDENCIA Uno de losestudios más grandes de seguimiento de insulinomas por 60 años es de la Clínica Mayo (1927 a 1986, se estudiaron 224 pacientes ) aquí se logro medir la incidencia de 0,4 por 100.000 años-persona (o cuatro casos por millón por año) . La distribución por edad y sexo en una serie posterior a la de Mayo Clinic (1987 a 2007) series posteriores de la misma institución fueron similares a los de la cohorte anterior. Los insulinomas se observan en todos los grupos étnicos. Functioning insulinoma--incidence, recurrence, and long-term survival of patients: a 60-year study. Service FJ, McMahon MM, O'Brien PC, Ballard DJ Mayo Clin Proc. 1991;66(7):711
  • 7.
    Distribución por edady sexo Para la serie observada desde 1987 hasta 2007 de Mayo Clinic ( 237 pacientes) la edad mediana en el momento de la cirugía fue de 50 años (rango 17 a 86 años) y el 57 % eran mujeres . No hubo diferencias demográficas entre esta serie y que reportaron para el período 1927-1986 Secular trends in the presentation and management of functioning insulinoma at the Mayo Clinic, 1987-2007. Placzkowski KA, Vella A, Thompson GB, Grant CS, Reading CC, Charboneau JW, Andrews JC, Lloyd RV, Service FJ J Clin Endocrinol Metab. 2009;94(4):1069
  • 8.
    Signos y síntomas Insulinomasse caracterizan clínicamente por la tríada de Whipple, como sigue: 1. Presencia de síntomas de hipoglucemia (alrededor de 85% de los pacientes) 2. Documentado bajos de azúcar en sangre en el momento de los síntomas 3. Reversión de los síntomas mediante la administración de glucosa
  • 9.
    SINTOMAS Y SIGNOS(1) EL 85% presentan síntomas de hipoglucemia , que incluyen: 1. Diplopía , 2. Visión borrosa, 3. Palpitaciones o 4. Gran debilidad , además , 5. Confusión, 6. Comportamiento anormal, 7. Pérdida del conocimiento y amnesia. Alrededor del 12% de los pacientes tienen ataques epilépticos severos. Síntomas adrenérgicos (hipoglucemia provoca la liberación de adrenalina) incluyen : debilidad, sudoración, taquicardia, palpitaciones y el hambre. Los síntomas pueden estar presentes desde 1 mes a 30 años, la mediana de 24 meses, como se encuentra en una gran serie de 59 pacientes). Dizon AM, Kowalyk S, Hoogwerf BJ. Neuroglucopénicos y otros síntomas en pacientes con insulinomas. Am J Med . 1999 marzo 106 (3):. 307-10 [Medline] .
  • 10.
    SINTOMAS Y SIGNOS(2) 8.-Los síntomas ocurren con mayor frecuencia durante la noche o en las horas tempranas de la mañana. 9.-La hipoglucemia ocurre generalmente varias horas después de una comida. 10.-En los casos graves, los síntomas pueden desarrollarse en el período postprandial. Los síntomas pueden ser agravados por el ejercicio, el alcohol, la dieta hipocalórica y el tratamiento con sulfonilureas. 11.-El aumento de peso se produce en el 20-40% de los pacientes. Debido a Hiperinsulinismo pueden presentar sobrepeso. 12.-Los síntomas causados ​​por efectos de la masa tumoral local son muy raros en insulinoma Dizon AM, Kowalyk S, Hoogwerf BJ. Neuroglucopénicos y otros síntomas en pacientes con insulinomas. Am J Med . 1999 marzo 106 (3):. 307-10 [Medline] .
  • 11.
    GENERALMENTE…….. Los síntomas dela hipoglucemia generalmente se producen exclusivamente en el estado de ayuno en el 73 por ciento, mientras que el 21 % informó en ayunas y postprandial , con 6 % reportado sólo síntomas postprandiales. Durante los últimos se ha visto un aumento de los síntomas hipo glicémicos postprandiales (2 por ciento de 1987 a 1992 en comparación con el 10 ciento entre 2003 y 2007)en últimos estudios de referencia. Secular trends in the presentation and management of functioning insulinoma at the Mayo Clinic, 1987-2007. Placzkowski KA, Vella A, Thompson GB, Grant CS, Reading CC, Charboneau JW, Andrews JC, Lloyd RV, Service FJ J Clin Endocrinol Metab. 2009;94(4):1069.
  • 12.
    Fisiopatología Es un tumorneuroendocrino, derivado de las células de los islotes pancreáticos, que secreta insulina. Algunos insulinomas también secretan otras hormonas, como la gastrina, ácido 5-hydroxyindolic, hormona adrenocorticotrópica (ACTH), glucagón, gonadotropina coriónica humana, y la somatostatina. Alrededor del 90% de los insulinomas son benignos y el 10 % malignos, así mismo el 10 % son múltiples y el 50 % de estos insulinomas múltiples tiene MEN tipo 1 Los insulinomas se asocian con MEN 1 en 5% de los pacientes, solamente el 21 % de los MEN 1 desarrollan insulinoma ,debiéndose hacer el cribado a los familiares con MEN 1. Se viene observando un aumento de la vía de fosforilacion de la Rapamicina ( p-mTOR ) y la vía de la señalización dela serina /treonina quinasa p70s6k en muestras de los insulinomas . Zhan HX, Cong L, Zhao YP, Zhang TP, Chen G, Zhou L, et al. Activado vía de señalización mTOR / p70s6k está implicado en la tumorigénesis insulinoma. J Surg Oncol . 2012 diciembre 106 (8):. 972-80 [Medline] .
  • 13.
    CAUSAS El gen deneoplasia MEN 1 ,enfermedad autosómica dominante, toma el nombre de gen MEN1 y su mapa esta en la banda 11q13. MEN1 se piensa para funcionar como un gen supresor de tumores. Los datos sugieren que el gen MEN1 está implicado en la patogénesis de al menos un tercio de los tumores neuroendocrinos esporádicos. En un estudio de 12 niños con insulinoma, cuatro casos mostraron mutaciones heterocigotos de MEN1 en 11q. Aneuploidía del cromosoma 11 y otros cromosomas era común tanto en MEN1 y insulinomas no MEN1. Un estudio mostró que la mutación k -ras mutación esta presente en 23% de los insulinomas. Bhatti TR, Ganapathy K, Huppmann AR, Conlin L, Boodhansingh KE, MacMullen C, et al. Histológico y molecular Perfil de Pediatría Insulinomas: Evidencia de un Paternal para Padres de origen Efecto. J Clin Endocrinol Metab . 2016 Ene 12. 161 (3):. Jc20152914 [Medline] .
  • 15.
    MEN1 : Estudiode la Mayo Clinic Entre los 237 pacientes en una cohorte ( años 1927 a 1986 ) : 1. Catorce (6 por ciento) tenían neoplasia endocrina múltiple tipo 1 (MEN1), de los cuales 71 por ciento eran hombres . 2. Trece (93 por ciento) tenían insulinomas benignos. 3. Doce (86 por ciento) tenían múltiples tumores de los islotes, en comparación con sólo el 3 por ciento en el resto de la cohorte. Los pacientes que requirieron tratamiento quirúrgico adicional debido a la cirugía inicial fallado o recurrencia de insulinoma en el período 1927-1986 tenían una mayor prevalencia de MEN1 con múltiples tumores (25 por ciento) y los insulinomas malignos (13 por ciento) . Functioning insulinoma--incidence, recurrence, and long-term survival of patients: a 60-year study. Service FJ, McMahon MM, O'Brien PC, Ballard DJ Mayo Clin Proc. 1991;66(7):711.
  • 16.
    MEN 1 :Distribución del tumor Los insulinomas pueden ser únicas o múltiples y benigno o maligno. Entre los 224 pacientes en una cohorte : ● 194 (87 por ciento) tenían tumores benignos individuales (uno de ellos era ectópico) ● 16 (7 por ciento) tenía múltiples tumores benignos ● 13 (6 por ciento) tenía insulinomas malignos, definida como la presencia de metástasis ● Uno tenía la hiperplasia de los islotes La edad mediana (y rango) de los pacientes con insulinoma maligno fue de 48 años (18 a 61 años), y el 77 por ciento eran hombres. TIFunctioning insulinoma--incidence, recurrence, and long-term survival of patients: a 60-year study. Service FJ, McMahon MM, O'Brien PC, Ballard DJ Mayo Clin Proc. 1991;66(7):711.
  • 17.
    Diagnóstico y laestadificación El diagnóstico de insulinoma se establece mediante la demostración de las concentraciones de insulina en suero inadecuadamente altas durante un episodio espontáneo o inducido de hipoglucemia, el test de ayuno de 72 horas o en el caso de la paciente con síntomas únicamente postprandiales la prueba de comida mixta.
  • 18.
    CANDIDATOS PARA LAEVALUACIÓN Paciente con hipoglucemia y sin diagnóstico de Diabetes solamente deben ser candidatos a estudiar su hipoglicemia aquellos pacientes en los que se documenta la tríada de WHIPPLE. La tríada de Whipple incluye lo siguiente: ● Síntomas compatibles con hipoglucemia ● Una baja concentración de glucosa en plasma se mide con un método preciso (no un monitor de glucosa en casa) cuando los síntomas están presentes. ● El alivio de los síntomas después que la concentración plasmática de glucosa se eleva. Evaluation and management of adult hypoglycemic disorders: an Endocrine Society Clinical Practice Guideline. Cryer PE, Axelrod L, Grossman AB, Heller SR, Montori VM, Seaquist ER, Service FJ, Endocrine Society J Clin Endocrinol Metab. 2009;94(3):709.
  • 19.
    PRIMER ENFOQUE DIAGNOSTICO Guíasde la Sociedad Endocrina 2009 para la evaluación y tratamiento de los trastornos de hipoglucemia en los adultos . La evaluación clínica El primer paso es revisar la historia del paciente en detalle: 1.- incluyendo la naturaleza y el calendario de los síntomas (especialmente en relación con las comidas), existencia de enfermedades o condiciones, los medicamentos tomados por el paciente y por miembros de la familia y la historia social ,insuficiencia suprarrenal . 2.-En un individuo aparentemente bien, la causa es menos evidente y puede ser debido a Hiperinsulinismo o hipoglucemia facticia aquí cuando la causa de la hipoglucemia no es evidente, es necesaria una evaluación detallada de laboratorio. Diagnostic approach to adults with hypoglycemic disorders. Service FJ Endocrinol Metab Clin North Am. 1999;28(3):519.
  • 22.
    PRUEBAS DE LABORATORIO Durantela prueba del ayuno de 72 horas se debe medir : ● glucosa ● La insulina ● C-péptido ● El beta-hidroxibutirato (Bhob) ● La proinsulina ● Dosaje de sulfonilureas y meglitinida En los pacientes con Hiperinsulinismo endógeno, los anticuerpos de insulina deben ser medidos para distinguir la hipoglucemia autoinmune de otras causas de hiperinsulinismo. Diagnostic approach to adults with hypoglycemic disorders.Service FJ Endocrinol Metab Clin North Am. 1999;28(3):519.
  • 23.
    PRUEBA DE AYUNODE 72 HORAS PROTOCOLO ● Fecha del inicio del ayuno en el momento de la última ingesta de calorías. Suspenda todos los medicamentos no esenciales. ● Permita que el paciente beba bebidas que son calorías y libre de cafeína. ● Asegúrese de que el paciente está activo durante las horas de vigilia. ● Recoger muestras de sangre para la medición de la glucosa en plasma, insulina, péptido C, la proinsulina y Bhob cada seis horas hasta tengamos una glucosa por debajo de 60 mg / dl (3.3 mmol / L); desde este momento bajamos el control de glucosa cada dos . Aunque la sangre se recoge en varias ocasiones, medimos la insulina, péptido C, y proinsulina sólo en aquellas muestras en las que la concentración de glucosa en plasma es ≤60 mg / dl (3.3 mmol / L) . los anticuerpos de insulina deben ser medidos, pero no tienen que ser medidos durante la hipoglucemia.
  • 24.
    PRUEBA DE AYUNODE 72 HORAS Duración y finalización de la prueba La prueba de ayuno de 72 horas es la prueba estándar para el diagnóstico de insulinoma. Se da por concluida cuando : 1.- La concentración de glucosa esta menos o igual a 45 mg /dl ( 2,5 mmol/L ),han transcurrido 72 horas y tuvo síntomas y signos de hipoglicemia . 2.- Cuando la glucosa plasmática es menos de 55 mg/dl ( 3 mmol /L ) si la tirada de Whipple fue documentada . En un estudio ultimo el ayuno termino cuando glucosa fue menos de 45 mg / dl *( 2,5 mmol/lL ) en el 43 % en 12 horas , en un 67 % a las 24 horas y 95 % a las 48 horas.
  • 26.
    INTERPRETACIONDE LA PRUEBADE AYUNO DE 72 HORAS La insulina en plasma Concentración de insulina en plasma de 3 microU / mL (20,8 pmol / L) mediante el ensayo de immunochemiluminometric (ICMA) cuando la glucosa en plasma está por debajo de 55 mg / dl (3.0 mmol / L) indica un exceso de insulina y es consistente con hiperinsulinemia (por ejemplo, insulinoma) Por desgracia, las concentraciones de glucosa en plasma caen por debajo de 50 mg / dl (2.8 mmol / L) en algunos sujetos normales y permanecen por encima de 50 mg / dl en pacientes en forma ocacional con un insulinoma , esta ligera superposición hace requerir una glucosa en plasma de menos de 45 mg / dl (2.5 mmol / L) en el final del ayuno
  • 28.
    INTERPRETAACION DE LAPRUEBA DE AYUNO DE 72 HORAS Plasma péptido C Es esencial medir el péptido C en plasma al final del ayuno para distinguir la hiperinsulinemia endógena de la hiperinsulinemia exógena En pacientes con glucosa por debajo de 45 mg / dl (2.5 mmol / L), no había punto de comparación entre los valores de los pacientes con insulinoma y sujetos normales a una concentración de plasma del péptido C de 0,2 nmol / L (200 pmol / L o 0,6 ng / ml) . Todos los pacientes de insulinoma tuvieron valores más altos y todos los sujetos normales que estaban hipoglucémico tenían valores más bajos. Para la proinsulina del plasma, el criterio diagnóstico de insulinoma es 5 pmol / L o mayor Hypoglycemic disorders. Service FJ N Engl J Med. 1995;332(17):1144.
  • 31.
    INTERPRETAACION DE LAPRUEBA DE AYUNO DE 72 HORAS Beta hidroxibutarato (Bhob ) Debido al efecto antiketogenico de insulina, concentraciones Bhob plasma son inferiores en los pacientes con insulinoma que en sujetos normales. Todos los insulinoma tuvieron valores plasmáticos muy bajos de Bhob 2,7 mmol / L o menos al final del ayuno, mientras que los sujetos normales tenían valores más altos. El valor Bhob plasma, así como la respuesta de la glucosa a glucagón , se pueden utilizar para confirmar el diagnóstico en pacientes en los que los valores del péptido C de la insulina y se encuentran en el rango límite (por ejemplo, concentración de insulina en plasma de <3 microU / mL [ 20,8 pmol / L], péptido C <0,2 nmol / L [0,6 ng / ml]) o para indicar la acción de un factor similar a la insulina.
  • 33.
    INTERPRETAACION DE LAPRUEBA DE AYUNO DE 72 HORAS Respuesta al Glucagon La insulina y la hiperinsulinemia es antiglucogenolitica no permitiendo la desgración del glucógeno en el hígado. Como resultado, los pacientes con hipoglucemia mediada por la insulina responden a 1 mg de intravenosa de glucagón (un agente glucogenolítica potente) mediante la liberación de glucosa.. Al final del ayuno, los pacientes con un insulinoma tienen un aumento en la respuesta de la glucosa en plasma de 25 mg / dl (1.4 mmol / L) o más a los 20 a 30 minutos, mientras que los sujetos normales tienen un incremento más pequeño. Hypoglycemic disorders. Service FJ N Engl J Med. 1995;332(17):1144.
  • 35.
    ESTUDIOS DE IMÁGENES Siempreiniciar estudios de imágenes sólo después de que el diagnóstico ha sido confirmado bioquímicamente, el 80% de los insulinomas son menos de 2 cm de tamaño y puede no ser visible por tomografía computarizada o a una ecografía abdominal. La localización del tumor preoperatoria éxito se logra en aproximadamente el 60% de los pacientes ,con la exploración quirúrgica y la ecografía intraoperatoria se identifican más del 90% de los tumores. TC helicoidal o multicorte tiene una sensibilidad 82-94%.La En CT helicoidal de doble fase res más sensible que la de una sola fase para la detección de insulinoma. RM con gadolinio puede ser útil en la detección de un tumor en el 85% de los casos. Hashimoto LA, Walsh RM. La localización preoperatoria de los insulinomas no es necesario. J Am Coll Surg . 1999 octubre 189 (4):. 368-73 [Medline] .
  • 36.
    imagen TAC concontraste oral e intravenosa en un paciente con evidencia bioquímica de insulinoma. El 3-cm de mejora del contraste neoplasia (flecha) se observa en la cola de la posterior páncreas (P) en el estómago (S) (Yeo, 1993).
  • 38.
    ESTUDIOS DE IMÁGENES Laprecisión de la arteriografía selectiva es del 82%, aunque con una tasa de falsos positivos del 5%. Muchos expertos ven como el mejor procedimiento general de localización preoperatoria. La arteriografía DE ramas arteriales del sistema celíaca en combinación con inyecciones de calcio (que estimulan la liberación de insulina a partir de tejido neoplásico, pero no de los islotes normales) localiza tumores en 47% de los pacientes. Wiesli et al encontraron que la proinsulina, péptido C y la insulina son liberados por las células de insulinoma en respuesta al calcio. Sin embargo, la cromogranina A (CGA) y enolasa neuronal específica (NSE) no son liberados La sensibilidad de la gammagrafía de receptores de la somatostatina es 60%, aunque muchos insulinomas carecen de receptores de somatostatina subtipo 2 para la identificación exitosa. Wiesli P, Uthoff H, Perren A, et al. Son marcadores bioquímicos de los tumores neuroendocrinos coreleased con insulina después de la estimulación de calcio local en pacientes con insulinomas ?. páncreas . 40 de octubre de 2011 (7):. 995-9 [Medline] .
  • 41.
    Ecografía endoscópica Detecta el77% de los insulinomas en el páncreas su rendimiento es mayor en combinación con la TC. Tenga en cuenta lo siguiente: 1.- En tiempo real la Ecografía transabdominal de alta resolución tiene una sensibilidad del 50%. 2.- La Ecografía Intraoperatoria Transabdominal de alta resolución detecta más de 90% de los insulinomas. Realización de un estudio preoperatorio para localizar el tumor seguida de la ecografía intraoperatoria y un examen físico no es irrazonable.
  • 43.
    a) la aparienciatípica de la USE insulinoma: una masa de 1,5 mm hipoecoica bien definido en la mitad del cuerpo del páncreas. (B) Dos insulinomas muy pequeñas (flechas) que mide menos de 5 mm en el páncreas distal. ECOGRAFIA ENDOSCOPICA
  • 45.
    TRATAMIENTO La resección deltumor primario La extirpación quirúrgica del insulinoma es el tratamiento de elección. Los siguientes procedimientos se llevaron a cabo en la cohorte clínica Mayo: ● La enucleación del insulinoma - 130 pacientes ● Pancreatectomía distal parcial - 73 pacientes ● La enucleación del insulinoma y pancreatectomía parcial - nueve pacientes ● Un procedimiento de Whipple (extirpación de la cabeza del páncreas, gastrectomía, duodenectomía y la esplenectomía) - un paciente ● total pancreatectomía - un paciente La tasa de complicaciones quirúrgicas fue de aproximadamente 10 por ciento. Functioning insulinoma--incidence, recurrence, and long-term survival of patients: a 60-year study. Service FJ, McMahon MM, O'Brien PC, Ballard DJ Mayo Clin Proc. 1991;66(7):711.
  • 46.
    TRATAMIENTO Resultado En la serie1927-1986 de Mayo Clinic se observaron los siguientes resultados: ● 196 pacientes (87,5 %) se curaron, libre de síntomas durante al menos seis meses después de la cirugía ● 19 pacientes (8,5 %), 10 con insulinomas benignos, ocho con insulinomas malignos y uno con hiperplasia de células de los islotes, tenían hipoglucemia persistente ● Cinco (2,2 %) desarrollaron diabetes mellitus ● Cuatro (1,8 %) murieron durante el período perioperatorio; los cuatro fueron operados antes de 1941. Entre los 10 pacientes que tenían insulinomas benignos e hipoglucemia persistente después del tratamiento quirúrgico , seis tenían tumores múltiples (cuatro debido a la neoplasia endocrina múltiple tipo 1 [MEN1]). Functioning insulinoma--incidence, recurrence, and long-term survival of patients: a 60-year study. Service FJ, McMahon MM, O'Brien PC, Ballard DJ Mayo Clin Proc. 1991;66(7):711.
  • 47.
    TRATMIENTO QUIRURGICO El tratamientoquirúrgico del insulinoma logra la curación en 90% de los pacientes, es actualmente el tratamiento de elección. Manejo Preoperatorio 1.- Administrar Diazóxido en el día de la cirugía en los pacientes que responden a esta medicación , este reduce la necesidad de suplementos de glucosa y el riesgo de hipoglucemia. 2.- Controlar el nivel de glucosa en la sangre durante toda la operación. 3.- Infundir 10% de dextrosa en agua a una velocidad de al menos 100 ml / h. 4.- Una prueba preoperatoria con Diazóxido se indica para determinar si el paciente es un respondedor (5-10% de los pacientes no responden); los resultados del estudio ayudan a determinar la estrategia intraoperatoria si el tumor no se localiza. 5.- En los pacientes con (MEN 1), la hipercalcemia debe ser corregida con paratiroidectomía antes de la resección del insulinoma. Lo CY, Lam KY, Fan ST. Estrategia quirúrgica para insulinomas en neoplasia endocrina múltiple tipo I Am J Surg . 1998 Apr. 175 (4):. 305-7 [Medline] .
  • 48.
    TRATAMIENTO MEDICO Indicado parainsulinomas malignos y en aquellos que no quieren o no pueden someterse a cirugía, medidas diseñadas para prevenir la hipoglucemia y en tumores malignos, para reducir la carga tumoral.. Diazóxido se relaciona con los diuréticos tiazídicos y reduce la secreción de insulina, pero retiene sodio y existe una tendencia a la Insuficiencia cardiaca y el hirsutismo, se prescribe con Hidroclorotiazida para disminuir edemas y hiperpotasemia y potenciar el efecto hiperglucémico. El 50% de los insulinomas responden al uso de la , 50% octreotida análogo de la somatostatina para prevenir la hipoglucemia. El efecto de la terapia depende de la presencia de subtipo de receptor de somatostatina 2 sobre las células tumorales insulinoma. Arnold R, Simon B, Wied M. Tratamiento de neuroendocrino GEP tumores con análogos de la somatostatina:. Una revisión digestión . 2000. 62 Suppl. 1: 84-91 [Medline] .
  • 49.
    TRATAMIENTO ENFERMEDAD METASTASICA Losinsulinomas tienen metástasis en el momento de la cirugía en un 5-10% de los pacientes. Iniciar tratamiento con Diazóxido mientras se realiza exámenes de imágenes invasivos ante de la cirugía reparativa, en el 5 al 10 % que no responden o hay intolerancia al Diazóxido y se excluye la enfermedad ectópica ,una resección de dos tercios de pancreatectomía distal , sabiendo que este procedimiento tiene solo 25 % de éxito . Los tumores que no se encuentran en la cirugía normalmente se encuentra en la cabeza del páncreas (54%), el cuerpo (20%), y la cola (14%). Cuando se encuentran metástasis, la extirpación quirúrgica es factible antes que cualquier otro tratamiento médico, quimioterapia, etc. . Bernard V, Lombard-Bohas C, Taquet MC, Caroli-Bosc FX, Ruszniewski P, Niccoli-Sire P, et al. Efficacy of Everolimus in Patients with Metastatic Insulinoma and Refractory Hypoglycemia. Eur J Endocrinol. 2013 Feb 7. [Medline].
  • 50.
    VIGILANCIA POSTRATAMIENTO No haydirectrices basadas en la evidencia para el seguimiento después de la resección de un insulinoma maligno. Las guías de consenso derivado de la National Comprehensive Cancer Network después del tratamiento para un tumor de células de los islotes incluir lo siguiente : ● De Tres a seis meses de la cirugía :- historia y examen físico, marcadores tumorales y la tomografía computarizada (TC) / magnética por imágenes de resonancia nuclear (RMN). ● A largo plazo - Historia y examen físico con marcadores tumorales cada 6 a 12 meses para los años uno a tres y como se indica clínicamente a partir de entonces. National Comprehensive Cancer Network (NCCN). NCCN Guías de práctica clínica en oncología. http://www.nccn.org/professionals/physician_gls/f_guidelines.asp (consultado el 27 de febrero de 2016).