TECNICA DE SEPARACION D E
COMPONENTES LA
EVENTRACIÓN COMPLEJA CON
«PÉRDIDA DE DERECHO A
DOMICILIO»
R2 LUIS
VASQUEZ
ZARE
CIRUGIA
GENERAL
• La eventración compleja con
«pérdida de derecho a domicilio»
son hernias gigantes, crónicos que
van creciendo , y alterando de forma
progresiva la fisiología normal de la
pared abdominal, con defectos
grandes (15 y 20 cms) y gran parte
de las vísceras abdominales
ubicadas en el saco de la hernia
con una desproporción entre el
continente y el contenido
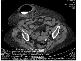
Imagen de TAC dinámica para
valoración preoperatoria: tamaño,
límites y contenido de la
en cámara gástrica. TAC abdominal:
protusión de cuerpo y antro gástrico a
través del orificio herniario (Figura 1), con
discreta cantidad de líquido y grasa
reticulada en el interior de la hernia.
Separación de componentes
• Fue publicada por primera vez por Ramirez et al.
• Se basa en:
– la disección subcutánea lateral,
– una fasciotomía sobre la aponeurosis del músculo
oblicuo mayor aproximadamente a 1 cm lateral al
músculo recto anterior,
– y la disección roma entre los músculos oblicuos
externos e internos que permiten el deslizamiento
de las capas/fascias musculares hacia linea media
y,
– posteriormente, la ampliación de la superficie de la
fascia abdominal.
• Permite el cierre de defectos de hasta 20 cm en
el área de la linea media.
NIVELES EN LA SEPARACIÓN DE
COMPONENTE
• anterior:
Nivel 1, para
defectos
grandes entre
10-15 cm en
los que la
desinserción
de los
músculos
oblicuos
externos de
ambos lados
es suficiente
para cubrir el
defecto
• Nivel 2, para
los defectos de
más de 15 cm,
en el que
además de la
disección
conseguida en
el nivel 1 es
necesaria la
liberación de la
cara posterior
de ambos
músculos
rectos.
INDICACIONES PARA LA TECNICA
• Eventraciones de línea media
infraumbilical o supraumbilical con
un diámetro transversal mayor de 10
cm, siempre que haya tensión en la
línea de sutura en una eventración
primaria
• Eventraciones recidivadas en línea
media y eventraciones laterales con
gran defecto y tensión de cierre.
• eventraciones con pérdida de
derecho a domicilio
ABORDAJES DE LA TÉCNICA SON LOS
SIGUIENTES
• Separación de componentes
anterior:
• En una separación de componentes
clásicos con la liberación del
músculo oblicuo externo
• la sección de los vasos epigástricos
profundos perforantes deja la pared
abdominal central sin su principal
fuente de sangre
• La piel y la grasa
subcutanea es
disecada desde la
superficie anterior
de los rectos y la
aponeurosis de los
oblicuos externos
La aponeurosis del
oblicuo externo es
seccionado
longitudinalmente aprox.
2 cm lateral al estuche de
los rectos , incluyendo la
pared toracica hasta 5-7
craneal al margen costal
• Se intenta el
cierre
primario libre
de tension .
• El musculo
oblicuo
externo es
separado del
musculo
oblicuo
interno
ABORDAJES DE LA TÉCNICA SON LOS
SIGUIENTES
• Separación de componentes
posterior: Se basa inicialmente en
la reparación retrorectal.
• Rives-Stoppa-Wantz, que crea un
potencial espacio de 6-8 cm entre
la vaina posterior del recto y el
músculo recto para permitir la
colocación de una malla en este
espacio.
• Se realiza una incisión en la vaina
posterior del recto a 0,5 cm de la
linea media en toda la longitud del
músculo recto, se crea un espacio
entre la fascia posterior y el
músculo hasta llegar a la linea
semilunar, 0,5 cm medialmente, se
realiza la sección exponiéndose el
músculo transverso entrando en el
espacio entre la fascia transversalis
y el músculo transverso
Se debe ser cuidadoso
para no dañar el
suplememto sanguineo
y los nervios entre el
oblicuo interno el
transverso y el recto
abdominal y la region
posterior .
Una incison de 2 a 4
cm puede ser ralizada
para separa el estuche
de los rectos del
musculo recto.
• Pre- and
postoperative
appearances.
(Left) A 62-year-
old woman who
developed a
central
abdominal
hernia following
a hemicolectomy
for diverticular
disease (patient
5). (Right)
Postoperative
appearance 3
months after
components
separation
technique,
demonstrating a
much improved
abdominal
contour.
Separación de componentes

Tecnica de separacion d e componentes la eventración

  • 1.
    TECNICA DE SEPARACIOND E COMPONENTES LA EVENTRACIÓN COMPLEJA CON «PÉRDIDA DE DERECHO A DOMICILIO» R2 LUIS VASQUEZ ZARE CIRUGIA GENERAL
  • 7.
    • La eventracióncompleja con «pérdida de derecho a domicilio» son hernias gigantes, crónicos que van creciendo , y alterando de forma progresiva la fisiología normal de la pared abdominal, con defectos grandes (15 y 20 cms) y gran parte de las vísceras abdominales ubicadas en el saco de la hernia con una desproporción entre el continente y el contenido
  • 11.
    Imagen de TACdinámica para valoración preoperatoria: tamaño, límites y contenido de la
  • 12.
    en cámara gástrica.TAC abdominal: protusión de cuerpo y antro gástrico a través del orificio herniario (Figura 1), con discreta cantidad de líquido y grasa reticulada en el interior de la hernia.
  • 13.
    Separación de componentes •Fue publicada por primera vez por Ramirez et al. • Se basa en: – la disección subcutánea lateral, – una fasciotomía sobre la aponeurosis del músculo oblicuo mayor aproximadamente a 1 cm lateral al músculo recto anterior, – y la disección roma entre los músculos oblicuos externos e internos que permiten el deslizamiento de las capas/fascias musculares hacia linea media y, – posteriormente, la ampliación de la superficie de la fascia abdominal. • Permite el cierre de defectos de hasta 20 cm en el área de la linea media.
  • 14.
    NIVELES EN LASEPARACIÓN DE COMPONENTE • anterior: Nivel 1, para defectos grandes entre 10-15 cm en los que la desinserción de los músculos oblicuos externos de ambos lados es suficiente para cubrir el defecto
  • 15.
    • Nivel 2,para los defectos de más de 15 cm, en el que además de la disección conseguida en el nivel 1 es necesaria la liberación de la cara posterior de ambos músculos rectos.
  • 16.
    INDICACIONES PARA LATECNICA • Eventraciones de línea media infraumbilical o supraumbilical con un diámetro transversal mayor de 10 cm, siempre que haya tensión en la línea de sutura en una eventración primaria • Eventraciones recidivadas en línea media y eventraciones laterales con gran defecto y tensión de cierre. • eventraciones con pérdida de derecho a domicilio
  • 17.
    ABORDAJES DE LATÉCNICA SON LOS SIGUIENTES • Separación de componentes anterior: • En una separación de componentes clásicos con la liberación del músculo oblicuo externo • la sección de los vasos epigástricos profundos perforantes deja la pared abdominal central sin su principal fuente de sangre
  • 18.
    • La piely la grasa subcutanea es disecada desde la superficie anterior de los rectos y la aponeurosis de los oblicuos externos La aponeurosis del oblicuo externo es seccionado longitudinalmente aprox. 2 cm lateral al estuche de los rectos , incluyendo la pared toracica hasta 5-7 craneal al margen costal
  • 19.
    • Se intentael cierre primario libre de tension . • El musculo oblicuo externo es separado del musculo oblicuo interno
  • 20.
    ABORDAJES DE LATÉCNICA SON LOS SIGUIENTES • Separación de componentes posterior: Se basa inicialmente en la reparación retrorectal. • Rives-Stoppa-Wantz, que crea un potencial espacio de 6-8 cm entre la vaina posterior del recto y el músculo recto para permitir la colocación de una malla en este espacio.
  • 21.
    • Se realizauna incisión en la vaina posterior del recto a 0,5 cm de la linea media en toda la longitud del músculo recto, se crea un espacio entre la fascia posterior y el músculo hasta llegar a la linea semilunar, 0,5 cm medialmente, se realiza la sección exponiéndose el músculo transverso entrando en el espacio entre la fascia transversalis y el músculo transverso
  • 22.
    Se debe sercuidadoso para no dañar el suplememto sanguineo y los nervios entre el oblicuo interno el transverso y el recto abdominal y la region posterior . Una incison de 2 a 4 cm puede ser ralizada para separa el estuche de los rectos del musculo recto.
  • 25.
    • Pre- and postoperative appearances. (Left)A 62-year- old woman who developed a central abdominal hernia following a hemicolectomy for diverticular disease (patient 5). (Right) Postoperative appearance 3 months after components separation technique, demonstrating a much improved abdominal contour.
  • 30.