Síndromes Linfoproliferativos 
Dr. Mauricio Soto Vásquez 
Jefe Unidad de Paciente Crítico -Nueva Imperial 
mauricioa.soto@redsalud.gov.cl
Lecturas Recomendadas 
• Townsend W, Linch D. 
Hodgkin’s lymphoma in 
adults. Lancet 2012; 380: 
836–47. 
• Shankland KR, Armitage 
JO, Hancock BW. Non- 
Hodgkin lymphoma. 
Lancet 2012; 380: 848–57.
Caso Clínico Nº 1 
Paciente femenino de 22 años, se presenta para evaluación de masa 
cervical de 6 semanas de evolución, de crecimiento lento, indolora. 
Dirigidamente sin fiebre, sin baja de peso, sin sudoración. 
Al examen físico destaca palidez de piel y mucosas, con 2 
adenopatías cervicales posteriores de 2 cms. de diámetro cada una, 
fijas a planos profundos, no dolorosas. Sin visceromegalias. 
Sin otros hallazgos al examen segmentario. 
¿Cómo reconocer una adenopatía maligna?
Definiciones 
Aumento de volumen de un 
ganglio linfático por sobre 1 
centímetro, pesquisado 
clínicamente o a través de 
imágenes. 
•ADENOPATÍA 
•PROCESO 
LINFOPROLIFERATIVO 
•LINFOMA 
•LEUCEMIAS 
LINFÁTICAS 
Sólo el 1% 
de las adenopatías resulta 
ser neoplásica.
Definiciones 
Tumor sólido del tejido 
linfoide, de comportamiento 
biológico maligno (capacidad 
de invadir otros órganos), con 
gran diversidad de formas 
clínicas e histológicas. 
•ADENOPATÍA 
•PROCESO 
LINFOPROLIFERATIVO 
•LINFOMA 
•LEUCEMIAS 
LINFÁTICAS
Definiciones 
Presencia en médula ósea y en 
sangre circulante de linfocitos 
con características malignas 
(inmaduros, de proliferación 
descontroloada, con 
capacidad de invadir otros 
órganos). 
•ADENOPATÍA 
•PROCESO 
LINFOPROLIFERATIVO 
•LINFOMA 
•LEUCEMIAS 
LINFÁTICAS
Relación entre Procesos 
Linfoproliferativos 
LEUCEMIA 
Células Tumorales en 
Sangre Periférica 
LINFOMA 
Tumor Sólido de Órgano 
Linfático
Relación entre Procesos 
Linfoproliferativos 
Linfoma primario que luego presenta células leucémicas en sangre 
LEUCEMIA 
Células Tumorales en 
Sangre Periférica 
Linfoma “Leucemizado” 
LINFOMA 
Tumor Sólido de Órgano 
Linfático 
Linfoma Linfocítico de células B pequeñas 
= Leucemia Linfocítica Crónica 
Linfoma Linfoblástico 
= Leucemia Linfoblástica Aguda
Adenopatías: Señales de Alarma 
Síntomas “B” 
Sugerentes de diseminación hematógena. 
Fiebre. 
Baja de peso no intencionada 
mayor a un 10% del basal. 
Sudoración nocturna.
Adenopatías: Señales de Alarma 
OTROS SÍNTOMAS Y SIGNOS ORIENTADORES A MALIGNIDAD: 
• Duración mayor a un mes. 
• Tamaño mayor de 1 centímetro. 
• Ausencia de foco inflamatorio en territorios tributarios. 
• Ausencia de signos inflamatorios locales. 
• Adherencia a planos profundos. 
• Presencia de citopenias no explicables por otros procesos. 
• Elevación de la Lactato Deshidrogenasa. 
• Hipercalcemia.
Caso Clínico Nº 1 
Paciente femenino de 22 años, se presenta para evaluación de masa 
cervical de 6 semanas de evolución, de crecimiento lento, indolora. 
Dirigidamente sin fiebre, sin baja de peso, sin sudoración. 
Al examen físico destaca palidez de piel y mucosas, con 2 
adenopatías cervicales posteriores de 2 cms. de diámetro cada una, 
fijas a planos profundos, no dolorosas. Sin visceromegalias. 
Sin otros hallazgos al examen segmentario. 
¿Cómo reconocer una adenopatía maligna?
Caso Clínico Nº 1 
Análisis Resultado Valor Normal 
Glóbulos Blancos 2500 x mm3 4000 - 11000 x mm3 
Hemoglobina 9 gr/dL 12 - 14 gr/dL 
Plaquetas 100.000 x mm3 150.000 - 450.000 x mm3 
Velocidad de Sedimentación 89 mm/hr <10 mm/hr 
Creatinina 0.7 mg/dL 0.6 - 1.2 mg/dL 
Lactato Deshidrogenasa 800 UI/L < 110 UI/L 
β2-Microglobulina 5.3 mg/dL < 3 mg/dL 
Sospecha diagnóstica: Linfoma
¿Cuál es el estudio confirmatorio más 
adecuado ante la sospecha de Linfoma? 
a) Tomografía axial computada de Tórax, 
Abdomen y Pelvis 
b) Tomografía por emisión de positrones (PET) 
c) Biopsia por punción aspirativa 
d) Biopsia incisional 
e) Biopsia excisional
¿Cuál es el estudio confirmatorio más 
adecuado ante la sospecha de Linfoma? 
En condiciones ideales, para hacer el 
diagnóstico de linfoma se requiere de 
examinar la morfología del ganglio, ya que a 
la histología convencional las células no son 
distintas a las normales. 
! 
Técnicas de inmunohistoquímica y citometría 
de flujo pueden ayudar a determinar el 
diagnóstico en casos en los cuales es inviable 
la resección completa del ganglio afectado 
(por ejemplo, ganglios retroperitoneales).
Síndromes Linfoproliferativos 
Enfermedad de 
Hodgkin 
Linfomas no 
Hodgkin 
Linfomas de 
células T 
10% 80% 10% 
Pileri SA., et al. From the R.E.A.L. Classification to the upcoming WHO scheme: a step toward universal 
categorization of lymphoma entities? Ann Oncol. 1998 Jun;9(6):607-12.
Etapificación de los Linfomas 
• TOMOGRAFÍA AXIAL COMPUTADA 
• Evaluación topográfica de la presencia de adenopatías, 
generalmente se requiere de evaluación de tórax, 
abdomen y pelvis. 
• PET - SCAN (TOMOGRAFÍA DE EMISIÓN DE POSITRONES) 
• Se evalúa la captación de glucosa marcada (18F-fluoro-deoxi- 
glucosa), la cual estaría aumentada en tejido 
neoplásico. Puede combinarse con imágenes de TAC o 
RNM para mejor identificación de las estructuras. 
• MIELOGRAMA Y BIOPSIA DE MÉDULA ÓSEA
PET - Scan
PET - CT
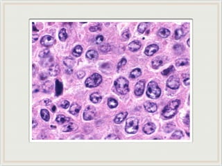
Enfermedad de Hodgkin
Linfoma de Hodgkin 
• Tipo específico de 
linfoma, con presencia 
de células gigantes de 
Reed-Stemberg. 
• Tiene un peak de 
incidencia bimodal: más 
común entre los 15 y los 
34 años; y luego entre 
los 55 y los 70 años. 
Thomas Hodgkin (1798 - 1866)
Células de Reed-Sternberg
Linfoma de Hodgkin 
Con tratamiento, tiene una tasa 
de remisión sostenida de 80%. 
Sin tratamiento, tiene una 
sobrevida a 5 años menor a 5%. 
Los pacientes con Linfoma de Hodgkin generalmente se 
presentan con una enfermedad limitada a nivel local que 
progresa de una manera ordenada de un grupo de ganglios 
linfáticos a una región adyacente.
Asociación al virus de Epstein-Barr 
La presencia del virus Epstein 
Barr se ha encontrado mediante 
Reacción de Polimerasa en 
Cadena en los tejidos afectados. 
! 
Presentaría características de 
replicación monoclonal. 
! 
Se considera que contribuye al 
desarrollo del linfoma de 
Hodgkin, pero no está claro que 
tenga una relación causa-efecto 
directa. 
Flavell KJ, Murray PG. Hodgkin's disease and the Epstein-Barr 
virus. Mol Pathol. 2000 October; 53(5): 262–269.
Subtipos de Linfoma de Hodgkin 
TIPO PREVALENCIA ASOCIACIÓN A VIRUS 
EPSTEIN-BARR CARACTERÍSTICAS CLÍNICAS 
FORMAS CLÁSICAS 
ESCLEROSIS 
NODULAR 60 - 80% 10 - 40% Diagnosticado por masa mediastínica en el 
80% de los casos, mejor pronóstico que 
otros subtipos. 
MIXTA 15 - 30% 75% Adenopatías periféricas y abdominales 
CELULARIDAD 
comunes, infiltración esplénica en 30%. Más 
comúnmente asociado a infección por VIH. 
RICO EN 
LINFOCITOS 5% 10-40% Adultos mayores, frecuente con adenopatías 
periféricas y abdominales. Raro en 
mediastino. 
DEPLECIÓN 
LINFOCITARIA <1% 75% Forma más infrecuente, más prevalente en 
países con alta incidencia de VIH. 
Frecuentemente diagnóstico en fase avanzada. 
FORMA EMERGENTE 
PREDOMINANCIA DE 
LINFOCITOS NODULARES 5% Sin Asociación 
75% de los pacientes se presentan en etapa 
precoz, riesgo de transformación a Linfoma 
no Hodgkin agresivo.
TU DIAPOSITIVA ME DIÓ 
CÁNCER
Virus Epstein – Barr 
• Linfoma de Burkitt Africano. 
• Linfoma Extranodal T-NK (Tipo Nasal). 
• Granulomatosis Linfomatoide. 
• Linfomas Post – Transplante. 
• Linfoma Agresivo relacionado a HIV. 
Virus de la Inmunodeficiencia Humana 
• Linfoma Difuso de Células B Grandes. 
• Linfoma de Burkitt. 
• Linfoma Primario del Sistema Nervioso Central. 
Virus Linfotropo Células T - Tipo 1 
• Linfoma / Leucemia de Células T del Adulto. 
Virus Herpes Humano 8 
• Linfoma de derrame primario (Células B). 
• Enfermedad de Castleman. 
Virus Hepatitis C 
• Linfoma Linfoplasmático (Macroglobulinemia de Waldenström). 
• Linfoma Nodal de Zona Marginal de Células B. 
• Linfoma Esplénico de Zona Marginal (Linfoma esplénico con linfocitos vellosos). 
Helicobacter pylori 
• Linfoma MALT Gástrico. 
Campylobacter jejuni 
• Enfermedad inmunoproliferativa del intestino delgado (MALT intestino delgado).
Clasificación de Ann Arbor 
I Una sola cadena linfática o un órgano extraganglionar (excepto hígado o médula 
ósea). 
II Dos o más cadenas linfáticas al mismo lado del diafragma o un sitio extranodal 
más sus ganglios regionales. 
III Ganglios linfáticos a ambos lados del diafragma. 
IV Compromiso hepático, médula ósea o dos órganos extra ganglionares. 
Catalogación complementaria 
A Sín síntomas adicionales. 
B Baja de peso > 10% en 6 meses; fiebre > 38.º o sudoración nocturna en 1 mes. 
E Compromiso extraganglionar (excepto hígado y médula ósea)
Linfomas no Hodgkin
Linfomas no Hodgkin 
• Grupo muy heterogéneo de múltiples trastornos 
linfoproliferativos, con grandes diferencias a nivel 
clínico, de comprotamiento biológico, histológico y de 
pronóstico a largo plazo. 
• En USA, se estiman 66.360 casos nuevos anuales, con 
19.320 muertes secundarias a ellos. 
• Existen más de 40 tipos distintos (y contando!)
Linfomas No Hodgkin 
Indolentes 
• Linfoma Folicular (B-cell) 
• Leucemia Linfocítica Crónica / Linfoma 
Linfocítico Pequeño (B-cell, raro T-cell) 
• Linfoma Linfoplasmacítico / 
Macroglobulinemia de Waldenström (B-cell) 
• Linfoma Extranodal de Zona Marginal 
(MALT) 
• Linfoma Nodal de Zona Marginal 
(Linfoma monocitoide B-cell) 
• Linfoma Esplénico de Zona Marginal / 
Linfoma Esplénico con linfocitos vellosos 
(B-cell) 
• Micosis Fungoides / Sindrome de Sèzary 
(T-cell) 
Linfomas No Hodgkin 
Agresivos 
• Linfoma de Difuso Células B Grandes 
• Linfoma Extra-nodal (NK-T-cell) 
• Granulomatosis Linfomatoide (B-cell) 
• Linfoma Angio-Inmunoblástico (T-cell) 
• Linfoma Periférico (T-cell) 
• Linfoma Subcutáneo Paniculitis-like (T-cell ) 
• Linfoma Hepatoesplénico (T-cell) 
• Linfoma de Tipo Enteropatía (T-cell ) 
• Linfoma Intravascular de Células Grandes (B-cell) 
• Linfoma de Burkitt 
• Linfoma Linfoblástico (Precursor B- or T-cell ) 
• Linfoma Primario de SNC (B-cell) 
• Linfoma / Leucemia de Células T del Adulto (HTLV1+) 
• Linfoma de Células del Manto 
• Linfoma Asociado a VIH (B-cell) 
• Linfoma Primario de Derrame (usualmente HIV+) (B-cell) 
Pequeño (B-cell, raro T-cell) 
• Linfoma Linfoplasmacítico / Macroglobulinemia de 
Waldenström (B-cell)
Linfomas no Hodgkin Indolentes 
• Diagnosticados en general 
sobre los 40 años. 
• Fases asintomáticas muy 
prolongadas. 
• Lenta progresión, estables en 
el tiempo. 
• Diagnóstico en etapas tardías. 
•Algunos ejemplos de linfoma 
indolente: 
• Incurable, pero se comportan 
•Linfoma folicular* 
como una enfermedad 
•Linfoma asociado a mucosas 
crónica, con múltiples 
(MALT) 
remisiones y recaídas. 
•Linfoma de zona marginal
Linfomas no Hodgkin Agresivos 
• Diagnosticados en cualquier 
grupo etario, incluyendo niños 
y adultos jóvenes. 
• De rápida replicación, rápida 
progresión. 
• Diagnóstico más precoz que 
en linfomas indolentes. 
•Algunos ejemplos de linfomas 
agresivos: 
• Dada su rápida replicación son 
potencialmente curables con 
quimioterapia, pero pueden 
ser mortales en corto tiempo. 
•Linfoma difuso de células B 
grandes* 
•Linfoma de Burkitt 
•Linfoma de células del manto
Diagnosticado con 
LINFOMA NO HODGKIN. 
Declarado libre de 
enfermedad tras 
quimioterapia. 
Recurrió 2 meses 
post tratamiento. 
Fallece 18 meses 
después del 
diagnóstico.
Ganador de 
Wreslemania I (1985) 
Gobernador de 
Illinois 1987 - 1991 
Sobreviviente de Linfoma de Células T 
diagnosticado en 1995
Linfomas no Hodgkin 
Formas Indolentes
Linfoma Folicular 
Prototipo del Linfoma Indolente 
! 
20% de los Linfomas no Hodgkin 
70% de los Linfomas Indolentes 
Pacientes mayores de 50 años, asintomáticos pese a enfermedad 
diseminada al diagnóstico, frecuentemente en múltiples grupos 
ganglionares, bazo e hígado. 
! 
Hasta un 30% puede experimentar remisión espontánea incluso en 
Etapa IV. 
Gribben JG. How I treat indolent lymphoma? Blood. 2007;109:4617-4626.
Linfoma Folicular 
Sobrevida media de pacientes con 
linfoma folicular avanzado es 10 a 
14 años. 
! 
La tasa de recidiva es constante 
en el tiempo, incluso en pacientes 
con respuesta completa a 
tratamiento. 
! 
Ninguna combinación de 
tratamientos ha logrado ser 
curativa. 
Objetivos de tratamiento para 
Linfomas Indolentes: 
• Mantener calidad de vida 
• Vigilancia para iniciar 
tratamiento una vez el paciente 
se vuelve sintomático.
Cuándo no tratar un Linfoma Folicular: 
Criterios del Groupe d’Etude des Lymphomes Folliculaires 
Si se cumplen TODOS los siguientes criterios: 
! 
Diámetro Máximo < 7 cm. 
< 3 nodos. 
Sin síntomas sistémicos. 
Bazo < 16 cm (medido por tomografía axial computada). 
Sin derrames evidentes. 
Sin riesgo de síntomas compresivos locales. 
Sin células linfomatosas circulantes. 
Sin compromiso de médula ósea. 
! 
* Con el fin de no someter de forma innecesaria a los pacientes a múltiples 
esquemas de Quimioterapia
Pronóstico del Linfoma Folicular: “FLIPI” 
The Follicular Lymphoma International Prognostic Index 
Un (1) punto por cada criterio: 
Edad mayor de 60 años 
Etapa Ann Arbor III/IV 
Hb < 12 g/L 
LDH sobre límite normal 
> 4 sitios nodales afectados.
Linfoma de Zona Marginal de Células B 
Forma Esplénica Forma Extranodal 
Linfoma de Tejido Linfoide Asociado a 
Mucosas (MALT)
Linfoma de Zona Marginal de Células B 
Forma Esplénica 
• Esplenomegalia masiva y 
compromiso de médula ósea, 
usualmente sin adenopatías. 
• La esplenectomía puede 
resultar en remisión 
prolongada. 
• Puede estar asociado a 
infección por virus Hepatitis C, 
si se trata puede alcanzarse la 
remisión.
Linfoma de Zona Marginal de Células B 
Forma Extranodal: Linfoma MALT 
• Tracto gastrointestinal, tiroides, 
pulmón, mama, órbita, o piel. 
• Muchos pacientes con linfoma 
MALT tienen historia de 
enfermedad autoinmune o 
infección por Helycobacter 
pylori (estómago) ó 
Campylobacter (Intestino 
delgado). 
• La mayoría se presenta en 
estadío I ó II.
Linfomas MALT Gastrointestinales: 
Tratamiento con Antibióticos 
El tratamiento del H. pylori puede resolver la mayoría de 
los casos gástricos (50% después de 3 meses y 75% 
después de 12 meses de observación) 
! 
! 
El linfoma MALT del intestino delgado, también conocido 
como immunoproliferative small intestinal disease (IPSID) 
ó enfermedad de cadenas pesadas, ocurre especialmente 
en hombres jóvenes, mayor en medio-oriente, y responde a 
antibióticos (erradicación de Campylobacter jejuni).
Linfomas no Hodgkin 
Formas Agresivas
Linfoma Difuso de Células B Grandes 
Linfomas de rápido crecimiento, los pacientes tienen sobrevidas 
cortas sin tratamiento. 
! 
Sin embargo, los linfomas agresivos responden a quimioterapia de 
mejor manera que los linfomas indolentes, pudiendo resultar en 
remisión sostenida en un 50%.
Linfoma Difuso de Células B Grandes 
El más común de los linfomas 
agresivos: 31% de todos los 
Linfomas no Hodgkin, 
caracterizado por células de 
gran tamaño, al menos del 
tamaño de un macrófago. 
! 
Pacientes se presentan con 
masas de crecimiento rápido, 
sintomáticos, con presencia de 
síntomas B en 30% a 40%. 
Ojo: Puede presentarse en 
otros órganos (por 
ejemplo en estómago). 
Michallet, A.S., Coiffier, B. 2009. Recent developments in the treatment of aggressive non-Hodgkin 
lymphoma. Blood Rev. 23:11-23.
Linfoma de Células del Manto 
Representa entre un 6% y un 10% de todos los linfomas. 
! 
Caracterizado por la expresión de marcadores CD5+, CD20+, sobre-expresión de 
la proteína Ciclina D1 y presencia de Mantle B Cells [t(11:14)]. 
! 
Habitualmente con mala respuesta a quimioterapia, considerado incurable en 
fases avanzadas. Sobrevida promedio 3 a 5 años. 
Hoster E, Dreyling M, Klapper W, et al. A new prognostic index (MIPI) for patients with advanced-stage mantle cell 
lymphoma. Blood 2008;111:558-565.
Linfoma de Burkitt 
Linfoma extremadamente agresivo, de inicio explosivo. 
VARIEDAD AFRICANA 
(ENDÉMICA) 
! 
Enfermedad pediátrica de la mandíbula 
y huesos faciales. 
! 
Contienen elementos genómicos del 
virus Epstein–Barr. 
VARIEDAD OCCIDENTAL 
! 
Masas gastrointestinales rápidamente 
progresivas, con lactato deshidrogenasa 
muy elevada. 
! 
Potencialmente curable con quimioterapia 
intensiva. 
Requiere profilaxis rutinaria de SNC.
Esquemas de Quimioterapia 
Enfermedad 
de Hodgkin 
Linfoma 
no Hodgkin 
A B V D R - C H O P
A 
driamicina® (Hidroxidaunorrubicina) 
leomicina 
inblastina 
acarbazina 
ituximab 
iclofosfamida 
idroxidaunorrubicina 
ncovin® (Vincristina) 
rednisona 
V B 
D 
RCHOP
Efectos adversos de la 
Quimioterapia
95% INFERTILIDAD 
Náuseas 
Vómitos 
Alopecía 
Malestar general 
! 
Mielosupresión 
(Neutropenia, 
Pancitopenia)
Antraciclinas: 
Doxorrubicina 
Daunorrubicina 
Alcaloides de la Vinca: 
Vincristina 
Vinblastina 
Bleomicina 
Ciclofosfamida 
CARDIOTOXICIDAD 
MIOCARDIOPATÍA DILATADA 
FIBROSIS PULMONAR 
POLINEUROPATÍA 
PERIFÉRICA 
CISTITIS HEMORRÁGICA 
CÁNCER VESICAL
Anticuerpos Monoclonales
Cheson, B et al. Monoclonal Antibody Therapy for B-Cell Non-Hodgkin’s Lymphoma. N Engl J Med 2008;359:613-26.
Maloney DG. Anti-CD20 Antibody Therapy for B-Cell Lymphomas.N Engl J Med 2012; 366 : 2008-2016.
Posibles objetivos para terapia 
molecular en Linfomas de Células B 
CD – 23 
CD – 22 
CD – 20 
CD – 80 
“Death Receptor” 
CD – 74 
HLA – DR 
Inmunoglobulina de 
Superficie 
CD – 19 
CD – 5 
CD – 37 CD – 40 CD – 52 
Adaptado de: Cheson, B et al. Monoclonal Antibody Therapy for B-Cell Non-Hodgkin’s Lymphoma. N Engl J Med 2008;359:613-26.
Anticuerpos Monoclonales: Rituximab 
! 
Rituximab (Rituxan®, Mabthera®) es un anticuerpo 
monoclonal contra la molécula CD20, la cual está presente 
en todas las células linfomatosas indolentes de linfocitos 
B, ha sido un avance terapéutico mayor tanto como agente 
único como en combinación con otras drogas citotóxicas. 
! 
Versiones radio-marcadas de este anticuerpo con Iodo-131 
y con Ytrio-90 también muestran actividad citotóxica, pero 
no logran prevenir las recurrencias de los linfomas 
indolentes.
Síndromes Linfoproliferativos 
Dr. Mauricio Soto Vásquez 
mauricioa.soto@redsalud.gov.cl 
twitter: @mauriciosotov

Linfoproliferativos

  • 1.
    Síndromes Linfoproliferativos Dr.Mauricio Soto Vásquez Jefe Unidad de Paciente Crítico -Nueva Imperial mauricioa.soto@redsalud.gov.cl
  • 2.
    Lecturas Recomendadas •Townsend W, Linch D. Hodgkin’s lymphoma in adults. Lancet 2012; 380: 836–47. • Shankland KR, Armitage JO, Hancock BW. Non- Hodgkin lymphoma. Lancet 2012; 380: 848–57.
  • 3.
    Caso Clínico Nº1 Paciente femenino de 22 años, se presenta para evaluación de masa cervical de 6 semanas de evolución, de crecimiento lento, indolora. Dirigidamente sin fiebre, sin baja de peso, sin sudoración. Al examen físico destaca palidez de piel y mucosas, con 2 adenopatías cervicales posteriores de 2 cms. de diámetro cada una, fijas a planos profundos, no dolorosas. Sin visceromegalias. Sin otros hallazgos al examen segmentario. ¿Cómo reconocer una adenopatía maligna?
  • 4.
    Definiciones Aumento devolumen de un ganglio linfático por sobre 1 centímetro, pesquisado clínicamente o a través de imágenes. •ADENOPATÍA •PROCESO LINFOPROLIFERATIVO •LINFOMA •LEUCEMIAS LINFÁTICAS Sólo el 1% de las adenopatías resulta ser neoplásica.
  • 5.
    Definiciones Tumor sólidodel tejido linfoide, de comportamiento biológico maligno (capacidad de invadir otros órganos), con gran diversidad de formas clínicas e histológicas. •ADENOPATÍA •PROCESO LINFOPROLIFERATIVO •LINFOMA •LEUCEMIAS LINFÁTICAS
  • 6.
    Definiciones Presencia enmédula ósea y en sangre circulante de linfocitos con características malignas (inmaduros, de proliferación descontroloada, con capacidad de invadir otros órganos). •ADENOPATÍA •PROCESO LINFOPROLIFERATIVO •LINFOMA •LEUCEMIAS LINFÁTICAS
  • 7.
    Relación entre Procesos Linfoproliferativos LEUCEMIA Células Tumorales en Sangre Periférica LINFOMA Tumor Sólido de Órgano Linfático
  • 8.
    Relación entre Procesos Linfoproliferativos Linfoma primario que luego presenta células leucémicas en sangre LEUCEMIA Células Tumorales en Sangre Periférica Linfoma “Leucemizado” LINFOMA Tumor Sólido de Órgano Linfático Linfoma Linfocítico de células B pequeñas = Leucemia Linfocítica Crónica Linfoma Linfoblástico = Leucemia Linfoblástica Aguda
  • 9.
    Adenopatías: Señales deAlarma Síntomas “B” Sugerentes de diseminación hematógena. Fiebre. Baja de peso no intencionada mayor a un 10% del basal. Sudoración nocturna.
  • 10.
    Adenopatías: Señales deAlarma OTROS SÍNTOMAS Y SIGNOS ORIENTADORES A MALIGNIDAD: • Duración mayor a un mes. • Tamaño mayor de 1 centímetro. • Ausencia de foco inflamatorio en territorios tributarios. • Ausencia de signos inflamatorios locales. • Adherencia a planos profundos. • Presencia de citopenias no explicables por otros procesos. • Elevación de la Lactato Deshidrogenasa. • Hipercalcemia.
  • 11.
    Caso Clínico Nº1 Paciente femenino de 22 años, se presenta para evaluación de masa cervical de 6 semanas de evolución, de crecimiento lento, indolora. Dirigidamente sin fiebre, sin baja de peso, sin sudoración. Al examen físico destaca palidez de piel y mucosas, con 2 adenopatías cervicales posteriores de 2 cms. de diámetro cada una, fijas a planos profundos, no dolorosas. Sin visceromegalias. Sin otros hallazgos al examen segmentario. ¿Cómo reconocer una adenopatía maligna?
  • 12.
    Caso Clínico Nº1 Análisis Resultado Valor Normal Glóbulos Blancos 2500 x mm3 4000 - 11000 x mm3 Hemoglobina 9 gr/dL 12 - 14 gr/dL Plaquetas 100.000 x mm3 150.000 - 450.000 x mm3 Velocidad de Sedimentación 89 mm/hr <10 mm/hr Creatinina 0.7 mg/dL 0.6 - 1.2 mg/dL Lactato Deshidrogenasa 800 UI/L < 110 UI/L β2-Microglobulina 5.3 mg/dL < 3 mg/dL Sospecha diagnóstica: Linfoma
  • 13.
    ¿Cuál es elestudio confirmatorio más adecuado ante la sospecha de Linfoma? a) Tomografía axial computada de Tórax, Abdomen y Pelvis b) Tomografía por emisión de positrones (PET) c) Biopsia por punción aspirativa d) Biopsia incisional e) Biopsia excisional
  • 14.
    ¿Cuál es elestudio confirmatorio más adecuado ante la sospecha de Linfoma? En condiciones ideales, para hacer el diagnóstico de linfoma se requiere de examinar la morfología del ganglio, ya que a la histología convencional las células no son distintas a las normales. ! Técnicas de inmunohistoquímica y citometría de flujo pueden ayudar a determinar el diagnóstico en casos en los cuales es inviable la resección completa del ganglio afectado (por ejemplo, ganglios retroperitoneales).
  • 15.
    Síndromes Linfoproliferativos Enfermedadde Hodgkin Linfomas no Hodgkin Linfomas de células T 10% 80% 10% Pileri SA., et al. From the R.E.A.L. Classification to the upcoming WHO scheme: a step toward universal categorization of lymphoma entities? Ann Oncol. 1998 Jun;9(6):607-12.
  • 16.
    Etapificación de losLinfomas • TOMOGRAFÍA AXIAL COMPUTADA • Evaluación topográfica de la presencia de adenopatías, generalmente se requiere de evaluación de tórax, abdomen y pelvis. • PET - SCAN (TOMOGRAFÍA DE EMISIÓN DE POSITRONES) • Se evalúa la captación de glucosa marcada (18F-fluoro-deoxi- glucosa), la cual estaría aumentada en tejido neoplásico. Puede combinarse con imágenes de TAC o RNM para mejor identificación de las estructuras. • MIELOGRAMA Y BIOPSIA DE MÉDULA ÓSEA
  • 17.
  • 18.
  • 19.
  • 20.
    Linfoma de Hodgkin • Tipo específico de linfoma, con presencia de células gigantes de Reed-Stemberg. • Tiene un peak de incidencia bimodal: más común entre los 15 y los 34 años; y luego entre los 55 y los 70 años. Thomas Hodgkin (1798 - 1866)
  • 21.
  • 22.
    Linfoma de Hodgkin Con tratamiento, tiene una tasa de remisión sostenida de 80%. Sin tratamiento, tiene una sobrevida a 5 años menor a 5%. Los pacientes con Linfoma de Hodgkin generalmente se presentan con una enfermedad limitada a nivel local que progresa de una manera ordenada de un grupo de ganglios linfáticos a una región adyacente.
  • 23.
    Asociación al virusde Epstein-Barr La presencia del virus Epstein Barr se ha encontrado mediante Reacción de Polimerasa en Cadena en los tejidos afectados. ! Presentaría características de replicación monoclonal. ! Se considera que contribuye al desarrollo del linfoma de Hodgkin, pero no está claro que tenga una relación causa-efecto directa. Flavell KJ, Murray PG. Hodgkin's disease and the Epstein-Barr virus. Mol Pathol. 2000 October; 53(5): 262–269.
  • 24.
    Subtipos de Linfomade Hodgkin TIPO PREVALENCIA ASOCIACIÓN A VIRUS EPSTEIN-BARR CARACTERÍSTICAS CLÍNICAS FORMAS CLÁSICAS ESCLEROSIS NODULAR 60 - 80% 10 - 40% Diagnosticado por masa mediastínica en el 80% de los casos, mejor pronóstico que otros subtipos. MIXTA 15 - 30% 75% Adenopatías periféricas y abdominales CELULARIDAD comunes, infiltración esplénica en 30%. Más comúnmente asociado a infección por VIH. RICO EN LINFOCITOS 5% 10-40% Adultos mayores, frecuente con adenopatías periféricas y abdominales. Raro en mediastino. DEPLECIÓN LINFOCITARIA <1% 75% Forma más infrecuente, más prevalente en países con alta incidencia de VIH. Frecuentemente diagnóstico en fase avanzada. FORMA EMERGENTE PREDOMINANCIA DE LINFOCITOS NODULARES 5% Sin Asociación 75% de los pacientes se presentan en etapa precoz, riesgo de transformación a Linfoma no Hodgkin agresivo.
  • 25.
    TU DIAPOSITIVA MEDIÓ CÁNCER
  • 26.
    Virus Epstein –Barr • Linfoma de Burkitt Africano. • Linfoma Extranodal T-NK (Tipo Nasal). • Granulomatosis Linfomatoide. • Linfomas Post – Transplante. • Linfoma Agresivo relacionado a HIV. Virus de la Inmunodeficiencia Humana • Linfoma Difuso de Células B Grandes. • Linfoma de Burkitt. • Linfoma Primario del Sistema Nervioso Central. Virus Linfotropo Células T - Tipo 1 • Linfoma / Leucemia de Células T del Adulto. Virus Herpes Humano 8 • Linfoma de derrame primario (Células B). • Enfermedad de Castleman. Virus Hepatitis C • Linfoma Linfoplasmático (Macroglobulinemia de Waldenström). • Linfoma Nodal de Zona Marginal de Células B. • Linfoma Esplénico de Zona Marginal (Linfoma esplénico con linfocitos vellosos). Helicobacter pylori • Linfoma MALT Gástrico. Campylobacter jejuni • Enfermedad inmunoproliferativa del intestino delgado (MALT intestino delgado).
  • 27.
    Clasificación de AnnArbor I Una sola cadena linfática o un órgano extraganglionar (excepto hígado o médula ósea). II Dos o más cadenas linfáticas al mismo lado del diafragma o un sitio extranodal más sus ganglios regionales. III Ganglios linfáticos a ambos lados del diafragma. IV Compromiso hepático, médula ósea o dos órganos extra ganglionares. Catalogación complementaria A Sín síntomas adicionales. B Baja de peso > 10% en 6 meses; fiebre > 38.º o sudoración nocturna en 1 mes. E Compromiso extraganglionar (excepto hígado y médula ósea)
  • 29.
  • 30.
    Linfomas no Hodgkin • Grupo muy heterogéneo de múltiples trastornos linfoproliferativos, con grandes diferencias a nivel clínico, de comprotamiento biológico, histológico y de pronóstico a largo plazo. • En USA, se estiman 66.360 casos nuevos anuales, con 19.320 muertes secundarias a ellos. • Existen más de 40 tipos distintos (y contando!)
  • 31.
    Linfomas No Hodgkin Indolentes • Linfoma Folicular (B-cell) • Leucemia Linfocítica Crónica / Linfoma Linfocítico Pequeño (B-cell, raro T-cell) • Linfoma Linfoplasmacítico / Macroglobulinemia de Waldenström (B-cell) • Linfoma Extranodal de Zona Marginal (MALT) • Linfoma Nodal de Zona Marginal (Linfoma monocitoide B-cell) • Linfoma Esplénico de Zona Marginal / Linfoma Esplénico con linfocitos vellosos (B-cell) • Micosis Fungoides / Sindrome de Sèzary (T-cell) Linfomas No Hodgkin Agresivos • Linfoma de Difuso Células B Grandes • Linfoma Extra-nodal (NK-T-cell) • Granulomatosis Linfomatoide (B-cell) • Linfoma Angio-Inmunoblástico (T-cell) • Linfoma Periférico (T-cell) • Linfoma Subcutáneo Paniculitis-like (T-cell ) • Linfoma Hepatoesplénico (T-cell) • Linfoma de Tipo Enteropatía (T-cell ) • Linfoma Intravascular de Células Grandes (B-cell) • Linfoma de Burkitt • Linfoma Linfoblástico (Precursor B- or T-cell ) • Linfoma Primario de SNC (B-cell) • Linfoma / Leucemia de Células T del Adulto (HTLV1+) • Linfoma de Células del Manto • Linfoma Asociado a VIH (B-cell) • Linfoma Primario de Derrame (usualmente HIV+) (B-cell) Pequeño (B-cell, raro T-cell) • Linfoma Linfoplasmacítico / Macroglobulinemia de Waldenström (B-cell)
  • 33.
    Linfomas no HodgkinIndolentes • Diagnosticados en general sobre los 40 años. • Fases asintomáticas muy prolongadas. • Lenta progresión, estables en el tiempo. • Diagnóstico en etapas tardías. •Algunos ejemplos de linfoma indolente: • Incurable, pero se comportan •Linfoma folicular* como una enfermedad •Linfoma asociado a mucosas crónica, con múltiples (MALT) remisiones y recaídas. •Linfoma de zona marginal
  • 34.
    Linfomas no HodgkinAgresivos • Diagnosticados en cualquier grupo etario, incluyendo niños y adultos jóvenes. • De rápida replicación, rápida progresión. • Diagnóstico más precoz que en linfomas indolentes. •Algunos ejemplos de linfomas agresivos: • Dada su rápida replicación son potencialmente curables con quimioterapia, pero pueden ser mortales en corto tiempo. •Linfoma difuso de células B grandes* •Linfoma de Burkitt •Linfoma de células del manto
  • 35.
    Diagnosticado con LINFOMANO HODGKIN. Declarado libre de enfermedad tras quimioterapia. Recurrió 2 meses post tratamiento. Fallece 18 meses después del diagnóstico.
  • 36.
    Ganador de WreslemaniaI (1985) Gobernador de Illinois 1987 - 1991 Sobreviviente de Linfoma de Células T diagnosticado en 1995
  • 37.
    Linfomas no Hodgkin Formas Indolentes
  • 38.
    Linfoma Folicular Prototipodel Linfoma Indolente ! 20% de los Linfomas no Hodgkin 70% de los Linfomas Indolentes Pacientes mayores de 50 años, asintomáticos pese a enfermedad diseminada al diagnóstico, frecuentemente en múltiples grupos ganglionares, bazo e hígado. ! Hasta un 30% puede experimentar remisión espontánea incluso en Etapa IV. Gribben JG. How I treat indolent lymphoma? Blood. 2007;109:4617-4626.
  • 39.
    Linfoma Folicular Sobrevidamedia de pacientes con linfoma folicular avanzado es 10 a 14 años. ! La tasa de recidiva es constante en el tiempo, incluso en pacientes con respuesta completa a tratamiento. ! Ninguna combinación de tratamientos ha logrado ser curativa. Objetivos de tratamiento para Linfomas Indolentes: • Mantener calidad de vida • Vigilancia para iniciar tratamiento una vez el paciente se vuelve sintomático.
  • 40.
    Cuándo no tratarun Linfoma Folicular: Criterios del Groupe d’Etude des Lymphomes Folliculaires Si se cumplen TODOS los siguientes criterios: ! Diámetro Máximo < 7 cm. < 3 nodos. Sin síntomas sistémicos. Bazo < 16 cm (medido por tomografía axial computada). Sin derrames evidentes. Sin riesgo de síntomas compresivos locales. Sin células linfomatosas circulantes. Sin compromiso de médula ósea. ! * Con el fin de no someter de forma innecesaria a los pacientes a múltiples esquemas de Quimioterapia
  • 41.
    Pronóstico del LinfomaFolicular: “FLIPI” The Follicular Lymphoma International Prognostic Index Un (1) punto por cada criterio: Edad mayor de 60 años Etapa Ann Arbor III/IV Hb < 12 g/L LDH sobre límite normal > 4 sitios nodales afectados.
  • 43.
    Linfoma de ZonaMarginal de Células B Forma Esplénica Forma Extranodal Linfoma de Tejido Linfoide Asociado a Mucosas (MALT)
  • 44.
    Linfoma de ZonaMarginal de Células B Forma Esplénica • Esplenomegalia masiva y compromiso de médula ósea, usualmente sin adenopatías. • La esplenectomía puede resultar en remisión prolongada. • Puede estar asociado a infección por virus Hepatitis C, si se trata puede alcanzarse la remisión.
  • 45.
    Linfoma de ZonaMarginal de Células B Forma Extranodal: Linfoma MALT • Tracto gastrointestinal, tiroides, pulmón, mama, órbita, o piel. • Muchos pacientes con linfoma MALT tienen historia de enfermedad autoinmune o infección por Helycobacter pylori (estómago) ó Campylobacter (Intestino delgado). • La mayoría se presenta en estadío I ó II.
  • 46.
    Linfomas MALT Gastrointestinales: Tratamiento con Antibióticos El tratamiento del H. pylori puede resolver la mayoría de los casos gástricos (50% después de 3 meses y 75% después de 12 meses de observación) ! ! El linfoma MALT del intestino delgado, también conocido como immunoproliferative small intestinal disease (IPSID) ó enfermedad de cadenas pesadas, ocurre especialmente en hombres jóvenes, mayor en medio-oriente, y responde a antibióticos (erradicación de Campylobacter jejuni).
  • 47.
    Linfomas no Hodgkin Formas Agresivas
  • 49.
    Linfoma Difuso deCélulas B Grandes Linfomas de rápido crecimiento, los pacientes tienen sobrevidas cortas sin tratamiento. ! Sin embargo, los linfomas agresivos responden a quimioterapia de mejor manera que los linfomas indolentes, pudiendo resultar en remisión sostenida en un 50%.
  • 50.
    Linfoma Difuso deCélulas B Grandes El más común de los linfomas agresivos: 31% de todos los Linfomas no Hodgkin, caracterizado por células de gran tamaño, al menos del tamaño de un macrófago. ! Pacientes se presentan con masas de crecimiento rápido, sintomáticos, con presencia de síntomas B en 30% a 40%. Ojo: Puede presentarse en otros órganos (por ejemplo en estómago). Michallet, A.S., Coiffier, B. 2009. Recent developments in the treatment of aggressive non-Hodgkin lymphoma. Blood Rev. 23:11-23.
  • 52.
    Linfoma de Célulasdel Manto Representa entre un 6% y un 10% de todos los linfomas. ! Caracterizado por la expresión de marcadores CD5+, CD20+, sobre-expresión de la proteína Ciclina D1 y presencia de Mantle B Cells [t(11:14)]. ! Habitualmente con mala respuesta a quimioterapia, considerado incurable en fases avanzadas. Sobrevida promedio 3 a 5 años. Hoster E, Dreyling M, Klapper W, et al. A new prognostic index (MIPI) for patients with advanced-stage mantle cell lymphoma. Blood 2008;111:558-565.
  • 54.
    Linfoma de Burkitt Linfoma extremadamente agresivo, de inicio explosivo. VARIEDAD AFRICANA (ENDÉMICA) ! Enfermedad pediátrica de la mandíbula y huesos faciales. ! Contienen elementos genómicos del virus Epstein–Barr. VARIEDAD OCCIDENTAL ! Masas gastrointestinales rápidamente progresivas, con lactato deshidrogenasa muy elevada. ! Potencialmente curable con quimioterapia intensiva. Requiere profilaxis rutinaria de SNC.
  • 55.
    Esquemas de Quimioterapia Enfermedad de Hodgkin Linfoma no Hodgkin A B V D R - C H O P
  • 56.
    A driamicina® (Hidroxidaunorrubicina) leomicina inblastina acarbazina ituximab iclofosfamida idroxidaunorrubicina ncovin® (Vincristina) rednisona V B D RCHOP
  • 57.
    Efectos adversos dela Quimioterapia
  • 58.
    95% INFERTILIDAD Náuseas Vómitos Alopecía Malestar general ! Mielosupresión (Neutropenia, Pancitopenia)
  • 59.
    Antraciclinas: Doxorrubicina Daunorrubicina Alcaloides de la Vinca: Vincristina Vinblastina Bleomicina Ciclofosfamida CARDIOTOXICIDAD MIOCARDIOPATÍA DILATADA FIBROSIS PULMONAR POLINEUROPATÍA PERIFÉRICA CISTITIS HEMORRÁGICA CÁNCER VESICAL
  • 60.
  • 61.
    Cheson, B etal. Monoclonal Antibody Therapy for B-Cell Non-Hodgkin’s Lymphoma. N Engl J Med 2008;359:613-26.
  • 62.
    Maloney DG. Anti-CD20Antibody Therapy for B-Cell Lymphomas.N Engl J Med 2012; 366 : 2008-2016.
  • 63.
    Posibles objetivos paraterapia molecular en Linfomas de Células B CD – 23 CD – 22 CD – 20 CD – 80 “Death Receptor” CD – 74 HLA – DR Inmunoglobulina de Superficie CD – 19 CD – 5 CD – 37 CD – 40 CD – 52 Adaptado de: Cheson, B et al. Monoclonal Antibody Therapy for B-Cell Non-Hodgkin’s Lymphoma. N Engl J Med 2008;359:613-26.
  • 64.
    Anticuerpos Monoclonales: Rituximab ! Rituximab (Rituxan®, Mabthera®) es un anticuerpo monoclonal contra la molécula CD20, la cual está presente en todas las células linfomatosas indolentes de linfocitos B, ha sido un avance terapéutico mayor tanto como agente único como en combinación con otras drogas citotóxicas. ! Versiones radio-marcadas de este anticuerpo con Iodo-131 y con Ytrio-90 también muestran actividad citotóxica, pero no logran prevenir las recurrencias de los linfomas indolentes.
  • 65.
    Síndromes Linfoproliferativos Dr.Mauricio Soto Vásquez mauricioa.soto@redsalud.gov.cl twitter: @mauriciosotov