Incrustar presentación
Descargar como PDF, PPTX


























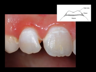
El documento aborda la caries dental, enfatizando cómo las lesiones derivan de un cambio en la ecología del biofilm y la actividad metabólica. Se destacan diferencias entre lesiones activas y detenidas en esmalte y dentina, así como criterios para su identificación. Se mencionan características clínicas e histológicas relevantes para la comprensión y manejo de la caries dental.
























