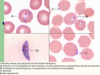
Microgametocito

P. falciparum P. ovale      P. malarie     P. vivax
Forma de      Esférico      Esférico       Esférico u
salchicha o                                oval
media luna
Grande        Pequeño       Pequeño        Pequeño
Cromatina     Pigmento      Pigmento       No vacuolado
difusa        hacia la      escaso y en
              periferia     acúmulos
Núcleo        Cromatina sin Localizados    Cromatina sin
grande        división      en periferia   división
Citoplasma    Citoplasma    Citoplasma     Pigmento
azul pálido   pálido        central        grueso
                            Granulación    Citoplasma
                            fina           azul pálido
Macrogametocito

P. falciparum P. ovale       P. malarie      P. vivax
Forma de      Ovoide         Esférico        Esférico
media luna
Cromatina     Pequeño        Pigmento        Pequeño
central                      escaso
                             acúmulos
Pigmento      Pigmento       Localizados     Citoplasma
compacto      esférico       irregular       azul pálido
Citoplasma    Acumulación    Acumulación
azul oscuro   de cromatina   de cromatina
              en un          en un extremo
              extremo
              Citoplasma     Citoplasma
              pálido         azul
TROFOZOITOS          ESQUIZONTE
ANULARES DE          MADURO DE
Plasmodium vivax.   Plasmodium vivax.
TROFOZOITOS ANULARES
ANILLOS P.malariae    TEMPRANOS P.falciparum




                        ESQUIZONTES
 ESQUIZONTES             DE P. malariae
 DE P. falciparum
ESQUIZONTE INMADUROS DE   ESQUIZONTE MADURO DE
         P.vivax.                 P.vivax.




    ESQUIZONTE            ESQUIZONTE MADURO DE
    MADURO DE                   P.falciparum
       P.vivax.
GAMETOCITO      GAMETOCITO
 DE P.vivax.     DE P.malariae




GAMETOCITO     MICROGAMETOCITO
  HEMBRA          DE P.malariae
  DE P.vivax
MICROGAMETOCITO EXFLAGELADO
FASES ANULARES DE P. falciparum
ESPOROZOITOS DE P. falciparum
Anopheles
Ooquistes P. falciparum
Esporozoítos P. falciparum
Trofozoítos P. vivax
Equizonte Plasmodium
Gametocito P. falciparum
Factores de virulencia

   La morbilidad y mortalidad se deben en beuna medida a las
    propiedades de adhesiòn que adquieren los GR infectados.
    Los GRI son capaces de unirse a las células del endotelio que
    recubren los vasos sanguíneos (citoadherencia o secuestro).
   Una pequeñas protuberancias conocidas como knobs, median
    esta adhesión y se encuentran en la superficie del GR
    infectado por trofozoitos y esquizontes.
   Los knobs (ligandos) estan ausentes en los GR infectados con
    anillos, por lo que éste es el único estadio encontrado en
    sangre circulantes. Los receptores estarían en las células
    endoteliales (ICAM-1, CD36, CSA,TSP,VCAM-1)
Patogenia
   Un aspecto importante es la adherencia que se produce de los
    eritrocitos hacia la pared endotelial (ambiente microaerofílico
    ideal y elusión de la acción del bazo para no ser destruidos)
           Se forman rosetas de eritrocitos no infectados,
            constituyendo complejos de aglutinación (si el
            secuestro de GR ocurre en placenta “paludismo
            maternal”, en pulmón “edema pulmonar” y si
            sucede en endotelio de cerebro “paludismo
            cerebral”)

            Alteraciones en el                 Disfunciones
              flujo sanguíneo                   metabólicas

Paludismo 1.2

  • 1.
    Microgametocito P. falciparum P.ovale P. malarie P. vivax Forma de Esférico Esférico Esférico u salchicha o oval media luna Grande Pequeño Pequeño Pequeño Cromatina Pigmento Pigmento No vacuolado difusa hacia la escaso y en periferia acúmulos Núcleo Cromatina sin Localizados Cromatina sin grande división en periferia división Citoplasma Citoplasma Citoplasma Pigmento azul pálido pálido central grueso Granulación Citoplasma fina azul pálido
  • 2.
    Macrogametocito P. falciparum P.ovale P. malarie P. vivax Forma de Ovoide Esférico Esférico media luna Cromatina Pequeño Pigmento Pequeño central escaso acúmulos Pigmento Pigmento Localizados Citoplasma compacto esférico irregular azul pálido Citoplasma Acumulación Acumulación azul oscuro de cromatina de cromatina en un en un extremo extremo Citoplasma Citoplasma pálido azul
  • 6.
    TROFOZOITOS ESQUIZONTE ANULARES DE MADURO DE Plasmodium vivax. Plasmodium vivax.
  • 7.
    TROFOZOITOS ANULARES ANILLOS P.malariae TEMPRANOS P.falciparum ESQUIZONTES ESQUIZONTES DE P. malariae DE P. falciparum
  • 8.
    ESQUIZONTE INMADUROS DE ESQUIZONTE MADURO DE P.vivax. P.vivax. ESQUIZONTE ESQUIZONTE MADURO DE MADURO DE P.falciparum P.vivax.
  • 9.
    GAMETOCITO GAMETOCITO DE P.vivax. DE P.malariae GAMETOCITO MICROGAMETOCITO HEMBRA DE P.malariae DE P.vivax
  • 10.
  • 11.
    FASES ANULARES DEP. falciparum
  • 12.
  • 13.
  • 14.
  • 15.
  • 16.
  • 17.
  • 18.
  • 19.
    Factores de virulencia  La morbilidad y mortalidad se deben en beuna medida a las propiedades de adhesiòn que adquieren los GR infectados. Los GRI son capaces de unirse a las células del endotelio que recubren los vasos sanguíneos (citoadherencia o secuestro).  Una pequeñas protuberancias conocidas como knobs, median esta adhesión y se encuentran en la superficie del GR infectado por trofozoitos y esquizontes.  Los knobs (ligandos) estan ausentes en los GR infectados con anillos, por lo que éste es el único estadio encontrado en sangre circulantes. Los receptores estarían en las células endoteliales (ICAM-1, CD36, CSA,TSP,VCAM-1)
  • 20.
    Patogenia  Un aspecto importante es la adherencia que se produce de los eritrocitos hacia la pared endotelial (ambiente microaerofílico ideal y elusión de la acción del bazo para no ser destruidos)  Se forman rosetas de eritrocitos no infectados, constituyendo complejos de aglutinación (si el secuestro de GR ocurre en placenta “paludismo maternal”, en pulmón “edema pulmonar” y si sucede en endotelio de cerebro “paludismo cerebral”) Alteraciones en el Disfunciones flujo sanguíneo metabólicas