ETIOLOGIAP. falciparum, P. vivax, P. malariae y P. ovale.Anopheles, hembra.Trasfusional.Congénita.Accidente laboral.
EPIDEMIOLOGIA2004            123.177 62,94% Plasmodium vivax35,19% Plasmodium falciparum 1,85% Parasitosis mixta.
701.182 casos 2000 a 2005.59% (416.186) Plasmodium vivax y 39% (274.502)  Plasmodium falciparum. 85% del territorio colombiano está por debajo de los 1.600 m sobre el nivel del mar.
Manifestaciones clínicasEscalofrio, fiebre y sudoración. Accesos febriles precedidos por escalofrio, seguidos de intensa sudoración, repetidos cada 48 o 72 horas.Frio intenso y progresivo, seguido de temblor incontrolable, duración hasta de media hora. Periodo febril, 6-8 horas. Cefalea intensa, mialgias, artralgias, nauseas, vomito y malestar general.T° normal, desaparición de los síntomas.
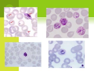
diagnosticoSospecha clínicaConfirmación parasitológicaGota gruesaDiagnostico rápidoOptiMALNow ICT malariaCore malariaPCR
Cuadro hematico.Glicemia.Uroanalisis.BUN, creatinina.Bilirrubinas, fosfatasa alcalina y aminotransferasas.LCR.PT, PTT.Rx torax.
Dengue, fiebre tifoidea y paratifoidea, influenza, meningitis, septicemia, hepatitis, leptospirosis, fiebres recurrentes, fiebres hemorrágicas, tifus, encefalitis víricas, leishmaniasis visceral, gastroenteritis, tripanosomiasis.
tratamientoObjetivos.Curación clínica del paciente.Curación radical de la infección malárica.Control de la transmisión de la enfermedad.
Factores protectoresUso de mosquiteros impregnados con insecticida, especialmente en poblaciones susceptibles (niños, embarazadas y pacientes con VIH).Educación a la comunidad dirigida a las medidas de protección individual (uso de repelentes, no exposición a picadura de insectos, protección de la vivienda).Control de los insectos: medidas de control para evitar la proliferación de vectores.
Malaria graveObnubilación, estupor, debilidad extrema, convulsiones, vómito, ictericia y diarrea.Malaria cerebral.Anemia acentuada (hematocrito <15% o hemoglobina <5 g/dL).Insuficiencia renal.Hipoglucemia (<40 mg/dL).Trastornos hidroelectrolíticos y del equilibrio ácido-base.Edema pulmonar y síndrome de dificultad respiratoria del adulto (SDRA).
Colapso circulatorio y estado de shock.Hemorragias espontáneas o coagulación intravascular diseminada (CID).Hiperpirexia. Temperatura axilar >39,5 °C.Hiperparasitemia (>50.000 parásitos/mm3; es posible ver esquizontes).Hemoglobinuria malárica.Complicaciones hepáticas e ictericia.Insuficiencia respiratoria.Síndrome convulsivo.
Malaria cerebral, anemia severa y síndrome de dificultad respiratoria.Síndrome de dificultad respiratoria con anemia moderada (Hb. 5 a 8 g/dl).Postración con anemia moderada.Postración con anemia moderada e ictericia.Postración con anemia moderada y confusión mental.Convulsiones múltiples.Edema pulmonar.Sangrado anormal.Colapso circulatorio.Hemoglobinuria.
diagnosticoZona bajo riesgo: fiebre de 3 días sin otra enfermedad aparente.Zona alto riesgo: fiebre de 24 horas de evolución y anemia.Elementos clínicos relevantes:Identificación de los microorganismos en frotis de sangre periférica.Parasitemia >100.000/mm3.
Factores asociados a mortalidad Parasitemia >50.000 parásitos/mL ó 1%.Leucocitosis periférica >12.000/mL. Trombocitopenia.Hematocrito <20%. Hemoglobina <7,1 g/dL.Glucemia <40 mg/dL. Glucorraquia baja.Creatinina >3 mg/dL.Aumento del ácido láctico en el LCR (>6 mmol/litro).Aumento de las enzimas séricas (aminotransferasas) a más del triple.
tratamientoHospitalizar, UCI.Tto farmacológico IV.Adultos: Quinina 20 mg/kg de peso en dosis inicial diluida en 10 mL/kg de peso de SSN en cuatro horas.8 horas después , iniciar dosis de carga 10mg/kg de quinina. En niños, 12 horas.Dejar cada 8 horas hasta que pueda iniciar VO. En niños, 12 horas.10 mg/kg; 7 días.

Malaria

  • 2.
    ETIOLOGIAP. falciparum, P.vivax, P. malariae y P. ovale.Anopheles, hembra.Trasfusional.Congénita.Accidente laboral.
  • 4.
    EPIDEMIOLOGIA2004 123.177 62,94% Plasmodium vivax35,19% Plasmodium falciparum 1,85% Parasitosis mixta.
  • 6.
    701.182 casos 2000a 2005.59% (416.186) Plasmodium vivax y 39% (274.502) Plasmodium falciparum. 85% del territorio colombiano está por debajo de los 1.600 m sobre el nivel del mar.
  • 9.
    Manifestaciones clínicasEscalofrio, fiebrey sudoración. Accesos febriles precedidos por escalofrio, seguidos de intensa sudoración, repetidos cada 48 o 72 horas.Frio intenso y progresivo, seguido de temblor incontrolable, duración hasta de media hora. Periodo febril, 6-8 horas. Cefalea intensa, mialgias, artralgias, nauseas, vomito y malestar general.T° normal, desaparición de los síntomas.
  • 10.
    diagnosticoSospecha clínicaConfirmación parasitológicaGotagruesaDiagnostico rápidoOptiMALNow ICT malariaCore malariaPCR
  • 11.
    Cuadro hematico.Glicemia.Uroanalisis.BUN, creatinina.Bilirrubinas,fosfatasa alcalina y aminotransferasas.LCR.PT, PTT.Rx torax.
  • 12.
    Dengue, fiebre tifoideay paratifoidea, influenza, meningitis, septicemia, hepatitis, leptospirosis, fiebres recurrentes, fiebres hemorrágicas, tifus, encefalitis víricas, leishmaniasis visceral, gastroenteritis, tripanosomiasis.
  • 13.
    tratamientoObjetivos.Curación clínica delpaciente.Curación radical de la infección malárica.Control de la transmisión de la enfermedad.
  • 19.
    Factores protectoresUso demosquiteros impregnados con insecticida, especialmente en poblaciones susceptibles (niños, embarazadas y pacientes con VIH).Educación a la comunidad dirigida a las medidas de protección individual (uso de repelentes, no exposición a picadura de insectos, protección de la vivienda).Control de los insectos: medidas de control para evitar la proliferación de vectores.
  • 20.
    Malaria graveObnubilación, estupor,debilidad extrema, convulsiones, vómito, ictericia y diarrea.Malaria cerebral.Anemia acentuada (hematocrito <15% o hemoglobina <5 g/dL).Insuficiencia renal.Hipoglucemia (<40 mg/dL).Trastornos hidroelectrolíticos y del equilibrio ácido-base.Edema pulmonar y síndrome de dificultad respiratoria del adulto (SDRA).
  • 21.
    Colapso circulatorio yestado de shock.Hemorragias espontáneas o coagulación intravascular diseminada (CID).Hiperpirexia. Temperatura axilar >39,5 °C.Hiperparasitemia (>50.000 parásitos/mm3; es posible ver esquizontes).Hemoglobinuria malárica.Complicaciones hepáticas e ictericia.Insuficiencia respiratoria.Síndrome convulsivo.
  • 22.
    Malaria cerebral, anemiasevera y síndrome de dificultad respiratoria.Síndrome de dificultad respiratoria con anemia moderada (Hb. 5 a 8 g/dl).Postración con anemia moderada.Postración con anemia moderada e ictericia.Postración con anemia moderada y confusión mental.Convulsiones múltiples.Edema pulmonar.Sangrado anormal.Colapso circulatorio.Hemoglobinuria.
  • 23.
    diagnosticoZona bajo riesgo:fiebre de 3 días sin otra enfermedad aparente.Zona alto riesgo: fiebre de 24 horas de evolución y anemia.Elementos clínicos relevantes:Identificación de los microorganismos en frotis de sangre periférica.Parasitemia >100.000/mm3.
  • 24.
    Factores asociados amortalidad Parasitemia >50.000 parásitos/mL ó 1%.Leucocitosis periférica >12.000/mL. Trombocitopenia.Hematocrito <20%. Hemoglobina <7,1 g/dL.Glucemia <40 mg/dL. Glucorraquia baja.Creatinina >3 mg/dL.Aumento del ácido láctico en el LCR (>6 mmol/litro).Aumento de las enzimas séricas (aminotransferasas) a más del triple.
  • 25.
    tratamientoHospitalizar, UCI.Tto farmacológicoIV.Adultos: Quinina 20 mg/kg de peso en dosis inicial diluida en 10 mL/kg de peso de SSN en cuatro horas.8 horas después , iniciar dosis de carga 10mg/kg de quinina. En niños, 12 horas.Dejar cada 8 horas hasta que pueda iniciar VO. En niños, 12 horas.10 mg/kg; 7 días.