PANCREATITIS AGUDA
Pancreatitis Aguda Se define como un proceso inflamatorio agudo del pancreas con compromiso variable de otros tejidos regionales o alejados.
Formas Evolutivas de Pancreatitis Aguda Leves Severas: se asocian con necrosis del páncreas y pueden conducir a la falla del órgano y complicaciones locales
Complicaciones locales Colección de fluidos,  Pseudoquiste, Absceso,  Necrosis pancreática,  Hemorragia,  Trombosis venosa  Formación de pseudoaneurisma.
Pseudoquiste Colección de fluido pancreático englobado por una pared de tejido fibroso o de granulación.  No tiene revestimiento epitelial y con frecuencia se comunica con el conducto pancreático.
Absceso Pancreático Colección circunscrita de pus intraabdominal
Tiempo en que se desarrollan el pseudoquiste o el absceso Requiere 4 o mas semanas desde el comienzo del cuadro de pancreatitis aguda.
Necrosis pancreática Area focal o difusa de parénquima pancreático no viable, usualmente asociado con necrosis de grasa peripancreática.  La Necrosis usualmente se desarrolla tempranamente en el curso de una pancreatitis aguda.
Causas de Pancreatitis Aguda 60- 80 % : Litiasis  Abuso de bebidas alcohólicas 60-80% of cases.
Otras Causas de Pancreatitis Aguda trauma cerrado de abdomen,  trauma postoperatorio, colangiopancreatografía endoscópica retrógrada (CPRE) hipertrigliceridemia (> 1000mg/dl) hipercalcemia,  inducida por drogas, infecciosas (parotitidis urliana,citomegalovirus),  úlcera péptica
Medicaciones azatioprina, mercaptopurina corticosteroides,  sulfonamidas,  tiazidas,  furosemida,  AINEs,  metildopa,  tetraciclinas
Otras causas (sigue) anomalías congénitas (pancreas divisum, coledococele),  tumores de la ampolla o pancreáticos anormalidades vasculares (embolia aterosclerótica, hipoperfusión, vasculitis), fibrosis quística,  síndrome de Reye. Ascaris lumbricoides mordeduras de serpientes, escorpiones
Pancreatitis aguda de causa desconocida en aproximadamente 10-25% de pacientes
Fisiopatología No se conoce con claridad. Un número de factores puede iniciar la inflamación, incluyendo: la obstrucción o la sobredistensión del conducto pancreático, la exposición al alcohol y otras toxinas, hipertrigliceridemia, e hipercalcemia.
Fisiopatología (sigue) El resultado final es la activación de las enzimas pancreáticas destructivas dentro del páncreas y tejidos vecinos.  La liberación de factores tóxicos (resultante de la respuesta inflamatoria) al interior de la circulación general produce complicaciones sistémicas como shock, insuficiencia renal,o síndrome de distress respiratorio.
Curso Evolutivo Es leve en 70-80% de los pacientes.  La mayoría sufre pancreatitis edematosa intersticial, con enfermedad autolimitada. Aproximadamente 20-30% tienen curso mas severo.  La infección pancreática y la falla multiorgánica son la causa mayor de  morbi-mortalidad.
¿De qué se muere un paciente con pancreatitis aguda? Mas del 80% de las muertes ocurren por complicaciones sépticas, como consecuencia de infección bacteriana o fúngica de la necrosis pancreática
Clínica Dolor epigástrico de comienzo súbito, que se irradia a los flancos y atrás. Es un dolor constante que dura mas de 1 dia.  Se asocian nausea y vómitos.  Fiebre Los síntomas pueden comenzar después de una comida pesada o un abundante consumo de bebidas alcohólicas
Examen Físico El abdomen puede estar distendido y doloroso (sobre todo abdomen superior). Leve ictericia Disminución o ausencia de ruidos hidroaéreos
Signos de Cullen, Grey Turner y nódulos en piel El signo de Cullen es una descoloración azulada alrededor del ombligo, resultado del hemoperitoneo. El signo de  Grey-Turner es una decoloración rojizo-amarronada a lo largo de los flancos, resultado de la hemorragia retroperitoneal que diseca los planos tisulares. Los nódulos eritematosos en piel pueden ser el resultado de la necrosis de la grasa subcutánea.
Anormalidades del Fondo de Ojo En la pancreatitis aguda severa: retinopatía de Purtscher: es una injuria isquémica de la retina causada por activación del complemento y aglutinación de los glóbulos rojos dentro de los vasos retinianos. Puede causar ceguera transitoria o permanente
Otros signos físicos Puede auscultarse estertores pulmonares basales, especialmente en lado izquierdo. Ocasionalmente, contractura  muscular (tetania) secundaria a la hipocalcemia.
Laboratorio elevación de amilasa y lipasa séricas, hiperglucemia,  hipocalcemia,  disminución de LDH,  elevación de la AST y  leucocitosis
Amilasemia niveles elevados mas de 3 veces: sugieren fuertemente pancreatitis aguda
Laboratorio (sigue) Leucocitosis >12.000/ mm 3  con neutrofilia. Agrupe al paciente porque podría necesitar transfusión (pancreatitis hemorrágica). La Glucemia puede estar elevada por injuria de las células beta.
Elevaciones de la Enzimas Pancreáticas La vida media de la amilasa es corta, por lo que los niveles retornan a lo normal en pocos dias.  Lipasa tiene una vida media algo mas prolongada y puede apoyar el diagnóstico si el paciente es traído tardíamente a la consulta, cuando ya las amilasas están descendiendo. Pueden elevarse también en obstrucción del intestino delgado, isquemia mesentérica, enfermedad tubo-ovárica, insuficiencia renal y, macroamilasemia.
Valor Predictivo de las Enzimas Pancreáticas El nivel de amilasemia (P) o de lipasa séricas no predice si la pancreatitis es leve, moderada o severa .
Lipasa en sangre Está elevada y se mantiene alta por   12 días. En pacientes con pancreatitis crónica (usualmente causada por abuso de bebidas alcohólicas) la lipasa puede estar elevada en presencia de un nivel normal de amilasemia
Laboratorio (sigue) Si el nivel de ALT (TGP) es mayor de 150 U/L sugiere que la pancreatitis se debe a una litiasis biliar. Hipocalcemia es el resultado de saponificación de las grasas en retroperitoneo. Hipercalcemia: puede ser causa de pancreatitis
Laboratorio (sigue) Si al internarse el Hto es 47 o mas, predice  una severa pancreatitis necrotizante.  Proteina C reactiva: 24-48 hs después del comienzo, provee alguna indicación del pronóstico: si es >10 mg/dL sugiere fuertemente una severa pancreatitis. Pero, es un reactante de fase rápida no específico para pancreatitis.
Gases en Sangre Arterial  Si el paciente tiene disnea, determínelos.  Hay que precisar si la disnea no se debe a un síndrome de distress respiratorio del adulto.
Tercer Espacio Creatinina  Electrolitos séricos (Na, K, Cl, CO 2 , P, Mg): se produce gran alteración del balance electrolítico .
¿Qué se ve en la RX directa de Abdomen? Los signos mas comunes asociados con pancreatitis aguda son: Aire en el marco duodenal  Signo del “asa centinela”, que representa un asa yeyunal proximal dilatada en el cuadrante superior izquierdo Signo del corte colónico: la distensión del colon transverso con muy poco aire en el colon distal a la flexura esplénica
Otros signos en RX directa de abdomen y RX de tórax desaparición del margen del psoas, aumento de la densidad del tejido blando del epigastrio,  aumento de la separación gastro-cólica, distorsión de la curvatura gástrica, calcificación pancreática, y  derrame pleural (usualmente izquierdo).
La RX directa de abdomen puede ser completamente normal en la pancreatitis aguda.
Estudios por Imágenes TC intensificada con contraste: es el estándar para la evaluación de pancreatitis aguda y sus complicaciones.  Sin contraste no se puede evaluar la necrosis pancreática ni las complicaciones vasculares.  Con la TC con contraste se ve todo el páncreas y el retroperitoneo,
TC con contraste Se indica aun en presencia de ileo o de suturas por un reciente procedimiento quirúrgico.  La TC con contraste ayuda a  detectar casi todas las complicaciones mayores de la pancreatitis aguda: colecciones de fluido, pseudoquiste, absceso, trombosis venosa, y pseudoaneurisma.
TC como ayuda para la aspiración con aguja o colocación de catéter
TC con contraste (sigue) Puede efectuarse aun en pacientes muy graves, intubados. Sus resultados pueden ser utilizados como indicador pronóstico de la severidad de la pancreatitis aguda.
Hallazgos típicos en la TC agrandamiento focal o difuso del páncreas,  agrandamiento heterogéneo del páncreas contorno irregular de los márgenes del páncreas,  borramiento de los planos de la grasa peripancreática, con densidades en franjas del tejido blando, engrosamiento de los planos de las fascias, y presencia de fluido intraperitoneal o retroperitoneal.
 
Pancreatitis focal que compromete la cabeza del páncreas, que se ve agrandada con inflamación peripancreática mal definida y colecciones de fluidos
 
 
Necrosis pancreática: no se advierte intensificación del cuerpo del pancreas. Hay fluido peripancreático delante de la cabeza del páncreas
 
Necrosis pancreática
 
Absceso pancreático: colección heterogenea relativamente bien circunscrita conteniendo burbujas de gas dentro de la cabeza. La colección fue drenada con 1 cateter 12 Fr con cola de chancho
Colecciones de fluído en la TC Mas comunmente en los espacios peripancreático y para-renal anterior, pero pueden extenderse desde el mediastino hasta la pelvis
TC con contraste permite visualizar Complicaciones de la pancreatitis aguda: pseudoquiste, absceso, necrosis, trombosis venosa, pseudoaneurima, y hemorragia
TC con contraste  (sigue) Pseudoquiste : tiene densidad acuosa con pared fina o gruesa, la cual puede intensificarse en la TC.  Absceso : colección de fluido dentro de una pared gruesa con poca atenuación, burbujas de gas o una colección de fluido pobremente definida con densidades mixtas/atenuación. Las burbujas de gas no son específicas  de infección y el diagnóstico requiere usualmente punción - aspiración con aguja fina  para confirmar la presencia de pus.
Necrosis de tejido pancreático Se reconoce porque no se intensifica después de la administración de contraste IV
Alteraciones Vasculares Trombosis Venosa  identificada porque no se  intensifican las venas peripancreáticas (esplénica, porta) o como defecto intraluminal Pueden identificarse  várices gástricas   Pseudoaneurisma:  aparece como una formación redondeada bien definida que aumenta su definición con la administración de contraste Hemorragia : colección de fluido muy atenuada.  Hemorragia activa : extravasación del contraste.
Grado de Severidad, según TC con Contraste Grado A - Páncreas de apariencia Normal  Grado B - Agrandamiento focal o difuso del páncreas  Grado C - Anormalidades asociadas con infiltración de la grasa peripancreática Grado D - Una sola colección de fluido  Grado E - Dos o mas colecciones de fluido
Otros Estudios por Imágenes Doppler:  para valorar complicaciones vasculares de la pancreatitis aguda como trombosis venosa y formación de pseudoaneurisma.  Ecografía:  es la mas sensible para evaluar concomitantemente el arbol biliar y la vesícula
Ecografía, RMI y Angiografia Ecografía : especialmente útil para diagnosticar litiasis y hacer el seguimiento de pseudoquiste, detectar pseudoaneurisma pancreático RM: tiene eficacia comparable a la TC con contraste, pero consume mas tiempo y costo  Angiografía: para diagnosticar las complicaciones vasculares
Ecografía trans-abdominal El páncreas puede aparecer ecográficamente normal en una pancreatitis aguda, especialmente en casos leves.  Los hallazgos mas definidos incluyen una páncreas difusamente agrandado e hipoecoico.
Ecografía Endoscópica Por endoscopía un transductor ecográfico de alta frecuencia se introduce en el tracto GI para visualizar el páncreas y el tracto biliar.  Permite obtener imágenes mas detalladas que con la ecografía transabdominal, debido a que el transductor se introduce directamente a una posición adyacente al páncreas.
Ecografía Endoscópica La ecografía endoscópica es muy útil para evaluar la causa de una pancreatitis aguda severa particularmente la microlitiasis o el el barro biliar y puede identificar lesiones periampulares mejor que otras técnicas de imágenes.
En pancreatitis aguda recurrente Centros especializados con personal muy entrenado realiza ecografía endoscópica y estimulación con secretina que puede revelar resistencia al flujo ductal a nivel de la papila
Colangiopancreatografía Retrógrada Endoscópica (CPRE) Es un procedimiento endoscópico utilizado para evaluar el sistema ductal pancreático y biliar y está indicado en la pancreatitis aguda  Si hay evidencias de pancreatitis aguda severa por cálculos o una colangitis asociada, la CPRE temprana es segura.  Cuando se combina con esfinterectomía y extracción del cálculo puede reducir la longitud de la internación, las complicaciones y posiblemente, la mortalidad
CPRE Luego de una severa pancreatitis o de una pancreatitis aguda recurrente la CPRE es útil para detectar causas relativamente no comunes de pancreatitis, como la microlitiasis biliar, el divertículo periampular del duodeno,  las estrecheces del canal de Wirsung, los tumores de la ampolla de Vatery las neoplasias que segregan mucha mucina dentro del Wirsung, y en alteraciones del desarrollo como el pancreas divisum, pancreas anular y el coledococele.
 
Papilotomía y Extracción de Cálculos
 
 
 
 
 
Recuperación de Cálculos en las Materias Fecales en las 72 horas subsiguientes
 
Aspiración con Aguja guiada con TC En pancreatitis necrotizante severa para diferenciar si la necrosis está infectada o no: se ubica la aguja dentro del área de menor atenuación dentro o alrededor del páncreas generalmente después de la 1er semana de una pancreatitis severa.  Puede repetirse semanalmente, si se requiere.  Si el especimen demuestra bacterias teñidas con Gram, u hongos  hay que efectuar debridamiento quirúrgico de la necrosis infectada. También se envía especimen para cultivo y antibiograma
Limitaciones de la TC con contraste Si tiene alergia a contraste intravenoso o insuficiencia  renal. Si la pancreatitis es severa pueden requerirse TC repetidos para evaluar evolución: Esto  implica dosis de radiación significativas  La TC con contraste es menos sensible que la Ecografia para detectar litiasis biliar o en colédoco
Advertencia Si no se parecia litiasis biliar o coledociana en la TC, se requiere efectuar ecografía para documentar la presencia o ausencia de cálculos.
Estadificación Ninguna tiene validez completa   Criterios de Ranson: Son los mas conocidos pero tiene varias desventajas Se usan 11 criterios, algunos de los cuales se evaluan en el dia 1 y otros en el dia 2 . El score de  Ranson solo es válido a las  48 horas y no a otro momento de la evolución. El umbral para un valor anormal depende de si la pancreatitis es causada por alcohol o litiasis. La sensibilidad es solo 73%, y la especificidad es 77%.
APACHE (Acute physiology and chronic health evaluation) El  score APACHE tiene la ventaja de evaluar al paciente en cualquier momento durante la pancreatitis aguda. Sin embargo, es dificultoso para la práctica clínica  La sensibilidad es 77%, y la especificidad es 84%.
Tratamiento 1.- Pancreatitis leve mantener al paciente con NADA POR BOCA y administrarle hidratación IV   Analgésicos  Antibióticos en general, no indicados.  Si la ecografía muestra litiasis biliar puede efectuarse colecistectomia laparoscópica durante la internación
Pancreatitis leve  (sigue) Iniciar líquidos por boca solo cuando desaparece el dolor abdominal y el paciente tiene hambre.
Pancreatitis Severa Requiere cuidados intensivos  Nada por boca y, fluidos IV Muchos requieren sonda nasogástrica, sonda vesical (Foley), y catéter IV central o catéter Swan-Ganz para monitorear y manejar hidratación. Antibióticos : SI!!
Antibióticos Imipenem/cilastatin penetra el parénquima pancreático y reduce la incidencia de infección intra-abdominal. Desafortunamdamente, hay una tendencia a la superinfección micótica tardía  Algunos expertos prefieren usar metronidazol y levofloxacina.
Comenzar tempranamente con suplementos nutricionales para mantener balance positivo nitrogenado Dependiendo de la situación, puede ser necesaria  la nutrición parenteral total que mostró que  reduce la mortalidad Nutrición
CPRE Si hay evidencias de pancreatitis severa por litiasis o de colangitis ascendente, efectuar CPRE tempranamente  con esfinterectomía y extracción de cálculo
Cirugía en Pancreatitis Aguda Ya sea mínimamente invasiva o por laparotomía convencional: cuando hay una complicación anatómica que lo requiere . Puede requerir un radiólogo intervencionista, un endoscopista intervencionista, un cirujano, solos o en conjunto
Indicaciones de Cirugía Disrupción de conducto pancreático: un rápido aumento del fluido retroperitonel o desarrollo rápido de hipoclacemia:  §-Colocar un tubo de drenaje dentro de  la colección de fluido bajo la guia de  ecografía o TC: la concentración de  amilasa o de lipsas en el fluido en los  niveles de 10.000 sugiere fuertemente la  disrupción del conducto pancreático
Disrupción del conducto pancreático CPRE y colocación transpapilar de stent o aun mejor, colocación de un tubo nasopancreático  6F unido a un bulbo externo de succión que remueve el tono del  esfiter y cambia la dinámica del fluido favoreciendo la curación del conducto
Indicaciones de Cirugía (sigue) Pseudoquistes: por definición, la colección  de fluidos peripancreáticos que se prolonga mas de 4 semanas se llama pseudoquiste agudo. La mayoría se maneja clínicamente  Cuando son sintomáticos (dolor, hemorragia, infección) o de mas de 7 cm y se expanden rápido en un paciente agudamente enfermo, está indicada la cirugía
Indicaciones de Cirugía  (sigue) Necrosis Pancreática Infectada  que no mejora con antibióticos: debridamiento y drenaje quirúrgico. Absceso Pancreático
Nuevos Tratamientos Como el rol de las citoquinas en el síndrome de respuesta inflamatoria sistémica es importante,  se ha realizado tratamiento con lexipafant, que es un antagonista del factor activador de plaquetas, que demostró beneficios en pacientes con pancreatitis  aguda severa
PANCREATITIS CRONICA
PANCREATITIS CRONICA ALCOHOLICA TROPICAL HEREDITARIA HIPERCALCEMICA IDIOPATICA
Con dolor o ataque de pancreatitis aguda Con complicaciones locales Con diabetes y esteatorrea PANCREATITIS CRONICA (presentaciones clínicas)
PANCREATITIS CRONICA (DIAGNOSTICO) RADIOGRAFIA DIRECTA DE ABDOMEN ECOGRAFIA COLANGIOPANCRAFIA RETROGRADA
PANCREATITIS CRONICA (COMPLICACIONES) DIABETES SACARINA NARCODEPENDENCIA PSEUDOQUISTE Y/O ABSCESO CIRROSIS HEPATICA COLESTATICA ESTEATORREA DESNUTRICION ULCERA PEPTICA

Pancreatitis Aguda Y Cronica

  • 1.
  • 2.
    Pancreatitis Aguda Sedefine como un proceso inflamatorio agudo del pancreas con compromiso variable de otros tejidos regionales o alejados.
  • 3.
    Formas Evolutivas dePancreatitis Aguda Leves Severas: se asocian con necrosis del páncreas y pueden conducir a la falla del órgano y complicaciones locales
  • 4.
    Complicaciones locales Colecciónde fluidos, Pseudoquiste, Absceso, Necrosis pancreática, Hemorragia, Trombosis venosa Formación de pseudoaneurisma.
  • 5.
    Pseudoquiste Colección defluido pancreático englobado por una pared de tejido fibroso o de granulación. No tiene revestimiento epitelial y con frecuencia se comunica con el conducto pancreático.
  • 6.
    Absceso Pancreático Coleccióncircunscrita de pus intraabdominal
  • 7.
    Tiempo en quese desarrollan el pseudoquiste o el absceso Requiere 4 o mas semanas desde el comienzo del cuadro de pancreatitis aguda.
  • 8.
    Necrosis pancreática Areafocal o difusa de parénquima pancreático no viable, usualmente asociado con necrosis de grasa peripancreática. La Necrosis usualmente se desarrolla tempranamente en el curso de una pancreatitis aguda.
  • 9.
    Causas de PancreatitisAguda 60- 80 % : Litiasis Abuso de bebidas alcohólicas 60-80% of cases.
  • 10.
    Otras Causas dePancreatitis Aguda trauma cerrado de abdomen, trauma postoperatorio, colangiopancreatografía endoscópica retrógrada (CPRE) hipertrigliceridemia (> 1000mg/dl) hipercalcemia, inducida por drogas, infecciosas (parotitidis urliana,citomegalovirus), úlcera péptica
  • 11.
    Medicaciones azatioprina, mercaptopurinacorticosteroides, sulfonamidas, tiazidas, furosemida, AINEs, metildopa, tetraciclinas
  • 12.
    Otras causas (sigue)anomalías congénitas (pancreas divisum, coledococele), tumores de la ampolla o pancreáticos anormalidades vasculares (embolia aterosclerótica, hipoperfusión, vasculitis), fibrosis quística, síndrome de Reye. Ascaris lumbricoides mordeduras de serpientes, escorpiones
  • 13.
    Pancreatitis aguda decausa desconocida en aproximadamente 10-25% de pacientes
  • 14.
    Fisiopatología No seconoce con claridad. Un número de factores puede iniciar la inflamación, incluyendo: la obstrucción o la sobredistensión del conducto pancreático, la exposición al alcohol y otras toxinas, hipertrigliceridemia, e hipercalcemia.
  • 15.
    Fisiopatología (sigue) Elresultado final es la activación de las enzimas pancreáticas destructivas dentro del páncreas y tejidos vecinos. La liberación de factores tóxicos (resultante de la respuesta inflamatoria) al interior de la circulación general produce complicaciones sistémicas como shock, insuficiencia renal,o síndrome de distress respiratorio.
  • 16.
    Curso Evolutivo Esleve en 70-80% de los pacientes. La mayoría sufre pancreatitis edematosa intersticial, con enfermedad autolimitada. Aproximadamente 20-30% tienen curso mas severo. La infección pancreática y la falla multiorgánica son la causa mayor de morbi-mortalidad.
  • 17.
    ¿De qué semuere un paciente con pancreatitis aguda? Mas del 80% de las muertes ocurren por complicaciones sépticas, como consecuencia de infección bacteriana o fúngica de la necrosis pancreática
  • 18.
    Clínica Dolor epigástricode comienzo súbito, que se irradia a los flancos y atrás. Es un dolor constante que dura mas de 1 dia. Se asocian nausea y vómitos. Fiebre Los síntomas pueden comenzar después de una comida pesada o un abundante consumo de bebidas alcohólicas
  • 19.
    Examen Físico Elabdomen puede estar distendido y doloroso (sobre todo abdomen superior). Leve ictericia Disminución o ausencia de ruidos hidroaéreos
  • 20.
    Signos de Cullen,Grey Turner y nódulos en piel El signo de Cullen es una descoloración azulada alrededor del ombligo, resultado del hemoperitoneo. El signo de Grey-Turner es una decoloración rojizo-amarronada a lo largo de los flancos, resultado de la hemorragia retroperitoneal que diseca los planos tisulares. Los nódulos eritematosos en piel pueden ser el resultado de la necrosis de la grasa subcutánea.
  • 21.
    Anormalidades del Fondode Ojo En la pancreatitis aguda severa: retinopatía de Purtscher: es una injuria isquémica de la retina causada por activación del complemento y aglutinación de los glóbulos rojos dentro de los vasos retinianos. Puede causar ceguera transitoria o permanente
  • 22.
    Otros signos físicosPuede auscultarse estertores pulmonares basales, especialmente en lado izquierdo. Ocasionalmente, contractura muscular (tetania) secundaria a la hipocalcemia.
  • 23.
    Laboratorio elevación deamilasa y lipasa séricas, hiperglucemia, hipocalcemia, disminución de LDH, elevación de la AST y leucocitosis
  • 24.
    Amilasemia niveles elevadosmas de 3 veces: sugieren fuertemente pancreatitis aguda
  • 25.
    Laboratorio (sigue) Leucocitosis>12.000/ mm 3 con neutrofilia. Agrupe al paciente porque podría necesitar transfusión (pancreatitis hemorrágica). La Glucemia puede estar elevada por injuria de las células beta.
  • 26.
    Elevaciones de laEnzimas Pancreáticas La vida media de la amilasa es corta, por lo que los niveles retornan a lo normal en pocos dias. Lipasa tiene una vida media algo mas prolongada y puede apoyar el diagnóstico si el paciente es traído tardíamente a la consulta, cuando ya las amilasas están descendiendo. Pueden elevarse también en obstrucción del intestino delgado, isquemia mesentérica, enfermedad tubo-ovárica, insuficiencia renal y, macroamilasemia.
  • 27.
    Valor Predictivo delas Enzimas Pancreáticas El nivel de amilasemia (P) o de lipasa séricas no predice si la pancreatitis es leve, moderada o severa .
  • 28.
    Lipasa en sangreEstá elevada y se mantiene alta por  12 días. En pacientes con pancreatitis crónica (usualmente causada por abuso de bebidas alcohólicas) la lipasa puede estar elevada en presencia de un nivel normal de amilasemia
  • 29.
    Laboratorio (sigue) Siel nivel de ALT (TGP) es mayor de 150 U/L sugiere que la pancreatitis se debe a una litiasis biliar. Hipocalcemia es el resultado de saponificación de las grasas en retroperitoneo. Hipercalcemia: puede ser causa de pancreatitis
  • 30.
    Laboratorio (sigue) Sial internarse el Hto es 47 o mas, predice una severa pancreatitis necrotizante. Proteina C reactiva: 24-48 hs después del comienzo, provee alguna indicación del pronóstico: si es >10 mg/dL sugiere fuertemente una severa pancreatitis. Pero, es un reactante de fase rápida no específico para pancreatitis.
  • 31.
    Gases en SangreArterial Si el paciente tiene disnea, determínelos. Hay que precisar si la disnea no se debe a un síndrome de distress respiratorio del adulto.
  • 32.
    Tercer Espacio Creatinina Electrolitos séricos (Na, K, Cl, CO 2 , P, Mg): se produce gran alteración del balance electrolítico .
  • 33.
    ¿Qué se veen la RX directa de Abdomen? Los signos mas comunes asociados con pancreatitis aguda son: Aire en el marco duodenal Signo del “asa centinela”, que representa un asa yeyunal proximal dilatada en el cuadrante superior izquierdo Signo del corte colónico: la distensión del colon transverso con muy poco aire en el colon distal a la flexura esplénica
  • 34.
    Otros signos enRX directa de abdomen y RX de tórax desaparición del margen del psoas, aumento de la densidad del tejido blando del epigastrio, aumento de la separación gastro-cólica, distorsión de la curvatura gástrica, calcificación pancreática, y derrame pleural (usualmente izquierdo).
  • 35.
    La RX directade abdomen puede ser completamente normal en la pancreatitis aguda.
  • 36.
    Estudios por ImágenesTC intensificada con contraste: es el estándar para la evaluación de pancreatitis aguda y sus complicaciones. Sin contraste no se puede evaluar la necrosis pancreática ni las complicaciones vasculares. Con la TC con contraste se ve todo el páncreas y el retroperitoneo,
  • 37.
    TC con contrasteSe indica aun en presencia de ileo o de suturas por un reciente procedimiento quirúrgico. La TC con contraste ayuda a detectar casi todas las complicaciones mayores de la pancreatitis aguda: colecciones de fluido, pseudoquiste, absceso, trombosis venosa, y pseudoaneurisma.
  • 38.
    TC como ayudapara la aspiración con aguja o colocación de catéter
  • 39.
    TC con contraste(sigue) Puede efectuarse aun en pacientes muy graves, intubados. Sus resultados pueden ser utilizados como indicador pronóstico de la severidad de la pancreatitis aguda.
  • 40.
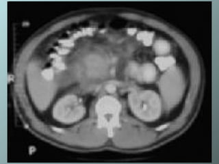
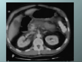
    Hallazgos típicos enla TC agrandamiento focal o difuso del páncreas, agrandamiento heterogéneo del páncreas contorno irregular de los márgenes del páncreas, borramiento de los planos de la grasa peripancreática, con densidades en franjas del tejido blando, engrosamiento de los planos de las fascias, y presencia de fluido intraperitoneal o retroperitoneal.
  • 41.
  • 42.
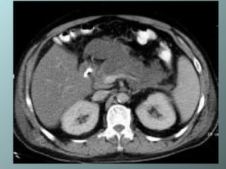
    Pancreatitis focal quecompromete la cabeza del páncreas, que se ve agrandada con inflamación peripancreática mal definida y colecciones de fluidos
  • 43.
  • 44.
  • 45.
    Necrosis pancreática: nose advierte intensificación del cuerpo del pancreas. Hay fluido peripancreático delante de la cabeza del páncreas
  • 46.
  • 47.
  • 48.
  • 49.
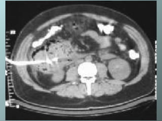
    Absceso pancreático: colecciónheterogenea relativamente bien circunscrita conteniendo burbujas de gas dentro de la cabeza. La colección fue drenada con 1 cateter 12 Fr con cola de chancho
  • 50.
    Colecciones de fluídoen la TC Mas comunmente en los espacios peripancreático y para-renal anterior, pero pueden extenderse desde el mediastino hasta la pelvis
  • 51.
    TC con contrastepermite visualizar Complicaciones de la pancreatitis aguda: pseudoquiste, absceso, necrosis, trombosis venosa, pseudoaneurima, y hemorragia
  • 52.
    TC con contraste (sigue) Pseudoquiste : tiene densidad acuosa con pared fina o gruesa, la cual puede intensificarse en la TC. Absceso : colección de fluido dentro de una pared gruesa con poca atenuación, burbujas de gas o una colección de fluido pobremente definida con densidades mixtas/atenuación. Las burbujas de gas no son específicas de infección y el diagnóstico requiere usualmente punción - aspiración con aguja fina para confirmar la presencia de pus.
  • 53.
    Necrosis de tejidopancreático Se reconoce porque no se intensifica después de la administración de contraste IV
  • 54.
    Alteraciones Vasculares TrombosisVenosa identificada porque no se intensifican las venas peripancreáticas (esplénica, porta) o como defecto intraluminal Pueden identificarse várices gástricas Pseudoaneurisma: aparece como una formación redondeada bien definida que aumenta su definición con la administración de contraste Hemorragia : colección de fluido muy atenuada. Hemorragia activa : extravasación del contraste.
  • 55.
    Grado de Severidad,según TC con Contraste Grado A - Páncreas de apariencia Normal Grado B - Agrandamiento focal o difuso del páncreas Grado C - Anormalidades asociadas con infiltración de la grasa peripancreática Grado D - Una sola colección de fluido Grado E - Dos o mas colecciones de fluido
  • 56.
    Otros Estudios porImágenes Doppler: para valorar complicaciones vasculares de la pancreatitis aguda como trombosis venosa y formación de pseudoaneurisma. Ecografía: es la mas sensible para evaluar concomitantemente el arbol biliar y la vesícula
  • 57.
    Ecografía, RMI yAngiografia Ecografía : especialmente útil para diagnosticar litiasis y hacer el seguimiento de pseudoquiste, detectar pseudoaneurisma pancreático RM: tiene eficacia comparable a la TC con contraste, pero consume mas tiempo y costo Angiografía: para diagnosticar las complicaciones vasculares
  • 58.
    Ecografía trans-abdominal Elpáncreas puede aparecer ecográficamente normal en una pancreatitis aguda, especialmente en casos leves. Los hallazgos mas definidos incluyen una páncreas difusamente agrandado e hipoecoico.
  • 59.
    Ecografía Endoscópica Porendoscopía un transductor ecográfico de alta frecuencia se introduce en el tracto GI para visualizar el páncreas y el tracto biliar. Permite obtener imágenes mas detalladas que con la ecografía transabdominal, debido a que el transductor se introduce directamente a una posición adyacente al páncreas.
  • 60.
    Ecografía Endoscópica Laecografía endoscópica es muy útil para evaluar la causa de una pancreatitis aguda severa particularmente la microlitiasis o el el barro biliar y puede identificar lesiones periampulares mejor que otras técnicas de imágenes.
  • 61.
    En pancreatitis agudarecurrente Centros especializados con personal muy entrenado realiza ecografía endoscópica y estimulación con secretina que puede revelar resistencia al flujo ductal a nivel de la papila
  • 62.
    Colangiopancreatografía Retrógrada Endoscópica(CPRE) Es un procedimiento endoscópico utilizado para evaluar el sistema ductal pancreático y biliar y está indicado en la pancreatitis aguda Si hay evidencias de pancreatitis aguda severa por cálculos o una colangitis asociada, la CPRE temprana es segura. Cuando se combina con esfinterectomía y extracción del cálculo puede reducir la longitud de la internación, las complicaciones y posiblemente, la mortalidad
  • 63.
    CPRE Luego deuna severa pancreatitis o de una pancreatitis aguda recurrente la CPRE es útil para detectar causas relativamente no comunes de pancreatitis, como la microlitiasis biliar, el divertículo periampular del duodeno, las estrecheces del canal de Wirsung, los tumores de la ampolla de Vatery las neoplasias que segregan mucha mucina dentro del Wirsung, y en alteraciones del desarrollo como el pancreas divisum, pancreas anular y el coledococele.
  • 64.
  • 65.
  • 66.
  • 67.
  • 68.
  • 69.
  • 70.
  • 71.
    Recuperación de Cálculosen las Materias Fecales en las 72 horas subsiguientes
  • 72.
  • 73.
    Aspiración con Agujaguiada con TC En pancreatitis necrotizante severa para diferenciar si la necrosis está infectada o no: se ubica la aguja dentro del área de menor atenuación dentro o alrededor del páncreas generalmente después de la 1er semana de una pancreatitis severa. Puede repetirse semanalmente, si se requiere. Si el especimen demuestra bacterias teñidas con Gram, u hongos hay que efectuar debridamiento quirúrgico de la necrosis infectada. También se envía especimen para cultivo y antibiograma
  • 74.
    Limitaciones de laTC con contraste Si tiene alergia a contraste intravenoso o insuficiencia renal. Si la pancreatitis es severa pueden requerirse TC repetidos para evaluar evolución: Esto implica dosis de radiación significativas La TC con contraste es menos sensible que la Ecografia para detectar litiasis biliar o en colédoco
  • 75.
    Advertencia Si nose parecia litiasis biliar o coledociana en la TC, se requiere efectuar ecografía para documentar la presencia o ausencia de cálculos.
  • 76.
    Estadificación Ninguna tienevalidez completa Criterios de Ranson: Son los mas conocidos pero tiene varias desventajas Se usan 11 criterios, algunos de los cuales se evaluan en el dia 1 y otros en el dia 2 . El score de Ranson solo es válido a las 48 horas y no a otro momento de la evolución. El umbral para un valor anormal depende de si la pancreatitis es causada por alcohol o litiasis. La sensibilidad es solo 73%, y la especificidad es 77%.
  • 77.
    APACHE (Acute physiologyand chronic health evaluation) El score APACHE tiene la ventaja de evaluar al paciente en cualquier momento durante la pancreatitis aguda. Sin embargo, es dificultoso para la práctica clínica La sensibilidad es 77%, y la especificidad es 84%.
  • 78.
    Tratamiento 1.- Pancreatitisleve mantener al paciente con NADA POR BOCA y administrarle hidratación IV Analgésicos Antibióticos en general, no indicados. Si la ecografía muestra litiasis biliar puede efectuarse colecistectomia laparoscópica durante la internación
  • 79.
    Pancreatitis leve (sigue) Iniciar líquidos por boca solo cuando desaparece el dolor abdominal y el paciente tiene hambre.
  • 80.
    Pancreatitis Severa Requierecuidados intensivos Nada por boca y, fluidos IV Muchos requieren sonda nasogástrica, sonda vesical (Foley), y catéter IV central o catéter Swan-Ganz para monitorear y manejar hidratación. Antibióticos : SI!!
  • 81.
    Antibióticos Imipenem/cilastatin penetrael parénquima pancreático y reduce la incidencia de infección intra-abdominal. Desafortunamdamente, hay una tendencia a la superinfección micótica tardía Algunos expertos prefieren usar metronidazol y levofloxacina.
  • 82.
    Comenzar tempranamente consuplementos nutricionales para mantener balance positivo nitrogenado Dependiendo de la situación, puede ser necesaria la nutrición parenteral total que mostró que reduce la mortalidad Nutrición
  • 83.
    CPRE Si hayevidencias de pancreatitis severa por litiasis o de colangitis ascendente, efectuar CPRE tempranamente con esfinterectomía y extracción de cálculo
  • 84.
    Cirugía en PancreatitisAguda Ya sea mínimamente invasiva o por laparotomía convencional: cuando hay una complicación anatómica que lo requiere . Puede requerir un radiólogo intervencionista, un endoscopista intervencionista, un cirujano, solos o en conjunto
  • 85.
    Indicaciones de CirugíaDisrupción de conducto pancreático: un rápido aumento del fluido retroperitonel o desarrollo rápido de hipoclacemia: §-Colocar un tubo de drenaje dentro de la colección de fluido bajo la guia de ecografía o TC: la concentración de amilasa o de lipsas en el fluido en los niveles de 10.000 sugiere fuertemente la disrupción del conducto pancreático
  • 86.
    Disrupción del conductopancreático CPRE y colocación transpapilar de stent o aun mejor, colocación de un tubo nasopancreático 6F unido a un bulbo externo de succión que remueve el tono del esfiter y cambia la dinámica del fluido favoreciendo la curación del conducto
  • 87.
    Indicaciones de Cirugía(sigue) Pseudoquistes: por definición, la colección de fluidos peripancreáticos que se prolonga mas de 4 semanas se llama pseudoquiste agudo. La mayoría se maneja clínicamente Cuando son sintomáticos (dolor, hemorragia, infección) o de mas de 7 cm y se expanden rápido en un paciente agudamente enfermo, está indicada la cirugía
  • 88.
    Indicaciones de Cirugía (sigue) Necrosis Pancreática Infectada que no mejora con antibióticos: debridamiento y drenaje quirúrgico. Absceso Pancreático
  • 89.
    Nuevos Tratamientos Comoel rol de las citoquinas en el síndrome de respuesta inflamatoria sistémica es importante, se ha realizado tratamiento con lexipafant, que es un antagonista del factor activador de plaquetas, que demostró beneficios en pacientes con pancreatitis aguda severa
  • 90.
  • 91.
    PANCREATITIS CRONICA ALCOHOLICATROPICAL HEREDITARIA HIPERCALCEMICA IDIOPATICA
  • 92.
    Con dolor oataque de pancreatitis aguda Con complicaciones locales Con diabetes y esteatorrea PANCREATITIS CRONICA (presentaciones clínicas)
  • 93.
    PANCREATITIS CRONICA (DIAGNOSTICO)RADIOGRAFIA DIRECTA DE ABDOMEN ECOGRAFIA COLANGIOPANCRAFIA RETROGRADA
  • 94.
    PANCREATITIS CRONICA (COMPLICACIONES)DIABETES SACARINA NARCODEPENDENCIA PSEUDOQUISTE Y/O ABSCESO CIRROSIS HEPATICA COLESTATICA ESTEATORREA DESNUTRICION ULCERA PEPTICA