Patología de cabeza y cuello
Dr. Reynaldo Falcón Escobedo
Departamento de Anatomía Patológica
Facultad de Medicina, UASLP
Cabeza y cuello
 Cavidad bucal
 Nariz y senos paranasales
 Nasofaringe
 Laringe
 Glándulas salivales
 Cuello
Cavidad oral
 Infecciones (Herpes, candidiasis, vph)
 Procesos de tipo dermatológico (líquen
plano, pénfigo, penfigoide, eritema
multiforme, etc.)
 Trastornos hematológicos (leucemia,etc.)
 Otros
 Lesiones preneoplásicas (leucoplasia y
eritroplasia)
 Tumores
Cavidad oral
Neoplasias
 Lesiones benignas
 Carcinoma epidermoide
 Quistes y tumores
odontogénicos
 Tumores de glándulas salivales
 Melanoma
 Linfomas
 Sarcomas
Cavidad oral
Epitelio escamoso
lesiones benignas
 Papiloma escamoso
 Verruga vulgar
 Condiloma acuminado
Cavidad oral
Lesiones benignas del epitelio escamoso
 Papiloma escamoso
 Verruga vulgar
 Condiloma acuminado
 Enf. de Heck
(hiperplasia epitelial
focal )
2, 6. 11, 57
2, 4, 40
6, 11
13, 32
Tipo de vph
Papiloma escamoso
cavidad oral
 Lesión exofítica
blanquecina de < 1
cm
 Generalmente -pero
no siempre- por vph
(2, 6. 11, 57)
 Lesión solitaria
 Asintomática
 Labio, paladar blando,
úvula o cualquier sitio
oral
Papiloma escamoso
Verruga vulgar
cavidad oral
 Proliferación benigna del
epitelio escamoso
 Asociada a vph 2, 4, 40
 Hiperqueratosis, acantosis,
papilomatosis, coilocitosis y
prominentes gránulos de
queratohialina.
 Nódulo circunscrito, firme,
exofítico, usualmente único
de menos de 0.5 cm.
 Labio, paladar, alvéolo,
encía, lengua, etc.
Condiloma Acuminado
cavidad oral
 Proliferación verrucosa
 Etiología viral (vph 6, 11)
 Frecuente en región
anogenital
 Asociada a pacientes HIV +
 Transmisión sexual y
raramente autoinoculación
 Numerosos nódulos rosados
que coalescen y forman una
lesión exofítica papilar blanda,
queratinizada o no.
Hiperplasia fibrosa
(Pólipo fibroepitelial)
 “Fibroma irritativo”
 “H. fibroepitelial”
 Relacionada a trauma
crónico
 Histología:
 epitelio atrófico o
queratósico e
hiperplásico
 Centro fibroso con
colagenización variable
Tabaquismo factores genéticos alcoholismo
Queratosis-Hiperplasia
Displasia
Carcinoma in situ
Carcinoma microinvasor
Carcinoma invasor
Invasión local Metástasis
vph 16 y 18
Linfáticas
Hematógenas
Mala higiene
Leucoplasia
 Término clínico
 Placa blanquecina
 Mucosa mandibular,
bucal y menos frec. en
lengua
 Mayores de 40 años
 Hiperqueratosis,
displasia, Carcinoma
in situ, Ca. Invasor.
Eritroplasia
 Zonas rojas en la mucosa
 Etiopatogenia similar a
Ca.
 Piso de boca, lengua,
mucosa retromolar
 Histología:
 Congestión y aumento en la
vascularidad subepitelial
 Atrofia epitelial con:
 Displasia
 Carcinoma epidermoide in
situ
 Carcinoma epidermoide
invasor
Carcinoma epidermoide in situ
Carcinoma epidermoide
 Cáncer más común de
cavidad oral
 Adultos y viejos
 Predominio en hombres
 Labio, lengua, piso de boca,
mucosa bucal, encía inf,
sup, paladar duro
 Niños: Lengua
 Frecuentemente
multicéntricos
 Asociación a displasia, p53
 Proclividad a 2o. primarios
Carcinoma epidermoide
cavidad oral
 Labio
 Piso de boca
 Dorso de lengua
 Paladar
 Encía
 Carrillo
 Orofaringe
 Amígdala
Carcinoma epidemoide de labio inferior
Carcinoma epidermoide
Carcinoma epidermoide de cavidad oral
Variantes
 Verrucoso
 Sarcomatoide
 Basaloide
 Papilar
 Adenoescamoso
 Acantolítico
 Indiferenciado
(Linfoepitelioma)
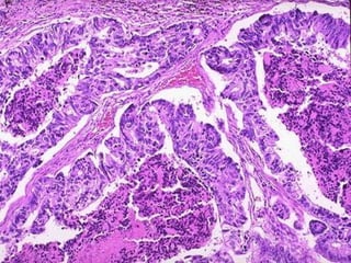
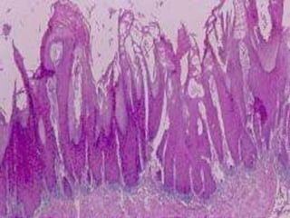
Carcinoma verrucoso
 Variante de carcinoma
epidermoide (5%)
 Mucosa bucal, encía
 Lesión irregular, indurada,
exofítica de superficie
blanquecina o grisácea
 Epitelio acantótico de
bordes “empujantes”
 Histológicamente con
ausencia de atipia
 Rp. quirúrgico. Proscrita
RT
Carcinoma verrucoso de lengua
Melanoma maligno
 Edad: 32-92 años
 Cualquier sitio de la
mucosa oral
 Predominio en encía
maxilar y paladar duro
 Mácula pigmentada
rodeada por el tumor: 75%
 Nodular puro: 25%.
Amelánicos 14%
 Metástasis linfáticas y
hematógenas
 Enf. avanzada: pobre Px.
Adenoma pleomorfo
 Tumor más frec. de
glándulas salivales
 Predomina en parótida
 7% salivales menores
 En cav.oral: 50% de gl.
Salivales menores
 Cavidad oral: Paladar
 Crecimiento lento
 Masa firme, dolorosa no
ulcerada
 Sin cápsula
 4a. a 6a. década
 Pero a cualquier edad
Adenoma pleomorfo
Carcinoma adenoideoquístico
Quiste dentígero
Linfoma
Sarcoma de Kaposi
Nariz y senos paranasales
 Rinitis infecciosas
 Virales
 Bacterianas (
 Rinitis alérgica
 Pólipos nasales
 Rinitis crónica
 Sinusitis
Nariz, senos pasanasales y nasofaringe
 Angiofibroma nasofaríngeo
 Papiloma y papiloma invertido
 Neuroblastoma olfatorio
 Carcinoma nasofaríngeo
 Neuroblastoma olfatorio
SO2
NO2
ozono
CO
PROFANO
N-BUTANO
ISOBUTANO
AGENTES CONTAMINANTES PREDOMINANTES EN
LAS DISTINTAS ZONAS DEL DISTRITO FEDERAL
CANCER DE LA CAVIDAD NASAL Y SENOS PARANASALES
PERIODO
1976 - 1986 5.1
PERIODO
1987 - 1997 12.5
PERIODO
1998 - 2000 20.3
PERIODO 1976-1997:
195 PACIENTES
NUMERO PROMEDIO DE CASOS
POR AÑO
INSTITUTO NACIONAL DE CANCEROLOGÍA
OTOLARYNGOL HEAD NECK SURG 2000; 122: 499-508
NEOPLASIAS MALIGNAS DE CAVIDAD NASAL Y SENOS
PARANASALES
INSTITUTO NACIONAL DE CANCEROLOGIA
1976 – 1997
EDAD
Intervalo 16 a 100 años
Promedio de 53 años
NEOPLASIAS MALIGNAS DE CAVIDAD NASAL Y SENOS
PARANASALES
1976 – 1997
HOMBRES: 99
MUJERES: 96
SEXO
RELACION 1:1
NEOPLASIAS MAS FRECUENTES DE CAVIDAD NASAL Y SENOS
PARANASALES
INSTITUTO NACIONAL DE CANCEROLOGIA (1976 – 1997)
No. CASOS (%)
 CARCINOMA EPIDERMOIDE 65 (33.3)
 LINFOMA NO HODGKIN 54 (27.6)
 MELANOMA 26 (13.3)
 ADENOCARCINOMA 19 (9.7)
 CARCINOMA NASOFARINGEO 14 (7.1)
 OTROS 17 (8.7)
TOTAL 195
Estados de la República
Mexicana con mayor
número de pacientes
1976 - 1985
DESTACAN: TLAXCALA,
HIDALGO Y GUANAJUATO
Estados de la República Mexicana
Con mayor número de pacientes: 1986-1997
DESTACA
MÉXICO DF Y ESTADO DE
MÉXICO ( 80%)
EL RESTO (20%)
HIDALGO, PUEBLA,
TLAXCALA, MICHOACAN
GUERRERO Y OAXACA
PRESENTACION CLINICA EN EL DIAGNOSTICO INICIAL
Obstrucción Nasal 163 63
Epistaxis 111 43
Rinorrea 96 37
Masa en fosa nasal 67 26
Infección nasal 44 17
Masa en orbita y región malar 34 13
Dolor de cabeza 28 11
Fiebre 15 6
Afección del nervio craneal 10 4
Anosmia 5 2
Prurito facial 4 1.5
No. de
pacientes
Porcentaje de
pacientes
OTOLARYNGOL HEAD NECK SURG 2000; 122: 499-508
BIEN
DIFERENCIADO
MODERADAMENTE
DIFERENCIADO
POBREMENTE DIFERENCIADO
CARCINOMA EPIDERMOIDE DE CAVIDAD NASAL Y SENOS PARANASALES
GRADOS DE DIFERENCIACIÓN
20 (30%) 14 (22%)
31 (48%)
INSTITUTO
NACIONAL DE
CANCEROLOGIA
TOTAL 65 (100%)
HISTOLOGIA DE CARCINOMAS NASOFARINGEOS
0%
10%
20%
30%
40%
50%
60%
70%
80%
Carcinoma
Epidermoide
Adenocarcinoma Carcinoma Glandular Carcinoma
Indiferenciado
1960
1970
1980
1990
CANCER 2001; 92 : 3012-3029
Localización del carcinoma epidermoide de tipo
convencional:
1) Antro del seno
maxilar
2) Cavidad nasal
1
2
Fletcher et al, Diagnostic
Histopathology
of tumours, cap 4, 2000.
NEOPLASIAS DE CAVIDAD NASAL Y SENOS
PARANASALES
 El 60% se
origina en seno
maxilar
 El 20% en
cavidad nasal
60%
20%
NEOPLASIAS DE CAVIDAD NASAL Y SENOS
PARANASALES
 Etmoides el 15%
 Senos frontal y
esfenoidal el 5% 20%
15%
5%
5%
VIA DE DISEMINACION
CARCINOMA EPIDERMOIDE SINONASAL
 CONDUCTO
NASOLAGRIMAL
 FISURA
INFRAORBITARIA
 FORAMEN ETMOIDAL
 NERVIO ÓPTICO
 INVADE ORBITA EN EL
60 AL 80% YA SEA POR
EROSIÓN O
INFILTRACIÓN
MAXILECTOMIAS
 SUBTOTAL
 RADICAL
 COMBINADA CON
EXENTERACIÓN
ORBITARIA
1) PROXIMAMENTE HACIA
EL TECHO DE LA NARIZ
2) DISTALMENTE EN LA
UNION DEL VESTIBULO
NASAL Y LABIO
SUPERIOR
3) LATERALMENTE, HACIA
LAS MEJILLAS
4) INFERIORMENTE AL
PISO DE LA NARIZ Y
AL PALADAR
MARGENES QUIRURGICOS EN TUMORES DE
CAVIDAD NASAL Y SENO MAXILAR
1
2
4
CARCINOMAS EPIDERMOIDES DE CAVIDAD NASAL
 Tumores grandes con
afección de mas de un
área dentro de la cavidad
nasal
 Extensión fuera de la
cavidad nasal o invasión
ósea
 Ganglios linfáticos
positivos
SIGNOS DE POBRE PRONÓSTICO
Localización del carcinoma epidermoide:
senos frontal, etmoides y esfenoides,
3) Celdillas etmoidales
4) Seno frontal
5) Seno esfenoidal
3
4
5
Fletcher et al, Diagnostic
Histopathology
of tumours, cap 4, 2000.
Carcinoma
Fusocelular
Peor pronóstico en la
región sinonasal que el
localizado en otras zonas
(laringe, cavidad oral).
Arch Otolaryngol 1980;106:700-8
Head Neck Surg 1982;4:499-513
ADENOCARCINOMA DE CAVIDAD NASAL
Y SENOS PARANASALES
 MAS FRECUENTE EN
SENO MAXILAR
 EXPOSICIÓN
OCUPACIONAL
 HABITUALMENTE EN
MUJERES
 POBRE PRONOSTICO
CARCINOMA ADENOESCAMOSO DE CAVIDAD NASAL
Y SPN
 ORIGEN EN
EPITELIO DE
SUPERFICIE
 ORIGEN EN
CONDUCTO
SALIVAL
CURSO CLINICO
CARCINOMA ADENOESCAMOSO
DE CAVIDAD NASAL Y SPN
 POBRE
PRONÓSTICO
 METASTASIS
FRECUENTES
DIAGNOSTICO
DIFERENCIAL
 CARCINOMA
MUCOEPIDERMOIDE
 CARCINOMA EPIDERMOIDE
ADENOIDE
1) Cavidad oral
2) Laringe
3) Fosa nasal
4) Nasofaringe y
tracto sinonasal
1
2
3
4
Mod Pathol 1993;6:669-72
Laryngoscope 1994;104:146-52
Sem Diag Pathol 1989;6:316-28
CARCINOMA INDIFERENCIADO TIPO LINFOEPITELIOMA
Niños
 EDAD
Sexta década
 METASTASIS CERVICAL
CARCINOMA DE CAVIDAD NASAL Y SENOS
PARANASALES
 A GANGLIOS LINFÁTICOS: 15%
 A DISTANCIA 10%
METASTASIS
UNA VIDA INACTIVA ES UNA MUERTE PREMATURA
GOETHE
Laringe
 Inflamaciones
 Nódulo laríngeo
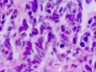
 Carcinoma
 Papiloma y papilomatosis
Laringe
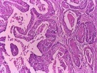
Carcinoma epidermoide (recurrente)
Carcinoma epidermoide de laringe y seno
piriforme derecho
Papilomatosis laríngea
(juvenil)

Patología de cabeza y cuello

  • 1.
    Patología de cabezay cuello Dr. Reynaldo Falcón Escobedo Departamento de Anatomía Patológica Facultad de Medicina, UASLP
  • 2.
    Cabeza y cuello Cavidad bucal  Nariz y senos paranasales  Nasofaringe  Laringe  Glándulas salivales  Cuello
  • 3.
    Cavidad oral  Infecciones(Herpes, candidiasis, vph)  Procesos de tipo dermatológico (líquen plano, pénfigo, penfigoide, eritema multiforme, etc.)  Trastornos hematológicos (leucemia,etc.)  Otros  Lesiones preneoplásicas (leucoplasia y eritroplasia)  Tumores
  • 4.
    Cavidad oral Neoplasias  Lesionesbenignas  Carcinoma epidermoide  Quistes y tumores odontogénicos  Tumores de glándulas salivales  Melanoma  Linfomas  Sarcomas
  • 5.
    Cavidad oral Epitelio escamoso lesionesbenignas  Papiloma escamoso  Verruga vulgar  Condiloma acuminado
  • 6.
    Cavidad oral Lesiones benignasdel epitelio escamoso  Papiloma escamoso  Verruga vulgar  Condiloma acuminado  Enf. de Heck (hiperplasia epitelial focal ) 2, 6. 11, 57 2, 4, 40 6, 11 13, 32 Tipo de vph
  • 7.
    Papiloma escamoso cavidad oral Lesión exofítica blanquecina de < 1 cm  Generalmente -pero no siempre- por vph (2, 6. 11, 57)  Lesión solitaria  Asintomática  Labio, paladar blando, úvula o cualquier sitio oral
  • 8.
  • 9.
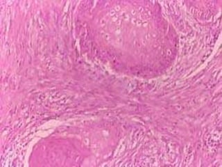
    Verruga vulgar cavidad oral Proliferación benigna del epitelio escamoso  Asociada a vph 2, 4, 40  Hiperqueratosis, acantosis, papilomatosis, coilocitosis y prominentes gránulos de queratohialina.  Nódulo circunscrito, firme, exofítico, usualmente único de menos de 0.5 cm.  Labio, paladar, alvéolo, encía, lengua, etc.
  • 10.
    Condiloma Acuminado cavidad oral Proliferación verrucosa  Etiología viral (vph 6, 11)  Frecuente en región anogenital  Asociada a pacientes HIV +  Transmisión sexual y raramente autoinoculación  Numerosos nódulos rosados que coalescen y forman una lesión exofítica papilar blanda, queratinizada o no.
  • 11.
    Hiperplasia fibrosa (Pólipo fibroepitelial) “Fibroma irritativo”  “H. fibroepitelial”  Relacionada a trauma crónico  Histología:  epitelio atrófico o queratósico e hiperplásico  Centro fibroso con colagenización variable
  • 12.
    Tabaquismo factores genéticosalcoholismo Queratosis-Hiperplasia Displasia Carcinoma in situ Carcinoma microinvasor Carcinoma invasor Invasión local Metástasis vph 16 y 18 Linfáticas Hematógenas Mala higiene
  • 13.
    Leucoplasia  Término clínico Placa blanquecina  Mucosa mandibular, bucal y menos frec. en lengua  Mayores de 40 años  Hiperqueratosis, displasia, Carcinoma in situ, Ca. Invasor.
  • 14.
    Eritroplasia  Zonas rojasen la mucosa  Etiopatogenia similar a Ca.  Piso de boca, lengua, mucosa retromolar  Histología:  Congestión y aumento en la vascularidad subepitelial  Atrofia epitelial con:  Displasia  Carcinoma epidermoide in situ  Carcinoma epidermoide invasor
  • 15.
  • 16.
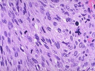
    Carcinoma epidermoide  Cáncermás común de cavidad oral  Adultos y viejos  Predominio en hombres  Labio, lengua, piso de boca, mucosa bucal, encía inf, sup, paladar duro  Niños: Lengua  Frecuentemente multicéntricos  Asociación a displasia, p53  Proclividad a 2o. primarios
  • 17.
    Carcinoma epidermoide cavidad oral Labio  Piso de boca  Dorso de lengua  Paladar  Encía  Carrillo  Orofaringe  Amígdala
  • 18.
  • 19.
  • 20.
    Carcinoma epidermoide decavidad oral Variantes  Verrucoso  Sarcomatoide  Basaloide  Papilar  Adenoescamoso  Acantolítico  Indiferenciado (Linfoepitelioma)
  • 21.
    Carcinoma verrucoso  Variantede carcinoma epidermoide (5%)  Mucosa bucal, encía  Lesión irregular, indurada, exofítica de superficie blanquecina o grisácea  Epitelio acantótico de bordes “empujantes”  Histológicamente con ausencia de atipia  Rp. quirúrgico. Proscrita RT
  • 22.
  • 23.
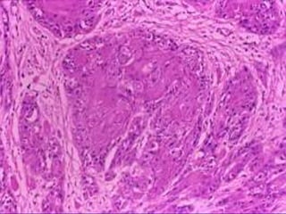
    Melanoma maligno  Edad:32-92 años  Cualquier sitio de la mucosa oral  Predominio en encía maxilar y paladar duro  Mácula pigmentada rodeada por el tumor: 75%  Nodular puro: 25%. Amelánicos 14%  Metástasis linfáticas y hematógenas  Enf. avanzada: pobre Px.
  • 24.
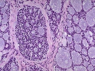
    Adenoma pleomorfo  Tumormás frec. de glándulas salivales  Predomina en parótida  7% salivales menores  En cav.oral: 50% de gl. Salivales menores  Cavidad oral: Paladar  Crecimiento lento  Masa firme, dolorosa no ulcerada  Sin cápsula  4a. a 6a. década  Pero a cualquier edad
  • 25.
  • 26.
  • 27.
  • 28.
  • 29.
  • 30.
    Nariz y senosparanasales  Rinitis infecciosas  Virales  Bacterianas (  Rinitis alérgica  Pólipos nasales  Rinitis crónica  Sinusitis
  • 31.
    Nariz, senos pasanasalesy nasofaringe  Angiofibroma nasofaríngeo  Papiloma y papiloma invertido  Neuroblastoma olfatorio  Carcinoma nasofaríngeo  Neuroblastoma olfatorio
  • 33.
  • 34.
    CANCER DE LACAVIDAD NASAL Y SENOS PARANASALES PERIODO 1976 - 1986 5.1 PERIODO 1987 - 1997 12.5 PERIODO 1998 - 2000 20.3 PERIODO 1976-1997: 195 PACIENTES NUMERO PROMEDIO DE CASOS POR AÑO INSTITUTO NACIONAL DE CANCEROLOGÍA OTOLARYNGOL HEAD NECK SURG 2000; 122: 499-508
  • 35.
    NEOPLASIAS MALIGNAS DECAVIDAD NASAL Y SENOS PARANASALES INSTITUTO NACIONAL DE CANCEROLOGIA 1976 – 1997 EDAD Intervalo 16 a 100 años Promedio de 53 años
  • 36.
    NEOPLASIAS MALIGNAS DECAVIDAD NASAL Y SENOS PARANASALES 1976 – 1997 HOMBRES: 99 MUJERES: 96 SEXO RELACION 1:1
  • 37.
    NEOPLASIAS MAS FRECUENTESDE CAVIDAD NASAL Y SENOS PARANASALES INSTITUTO NACIONAL DE CANCEROLOGIA (1976 – 1997) No. CASOS (%)  CARCINOMA EPIDERMOIDE 65 (33.3)  LINFOMA NO HODGKIN 54 (27.6)  MELANOMA 26 (13.3)  ADENOCARCINOMA 19 (9.7)  CARCINOMA NASOFARINGEO 14 (7.1)  OTROS 17 (8.7) TOTAL 195
  • 39.
    Estados de laRepública Mexicana con mayor número de pacientes 1976 - 1985 DESTACAN: TLAXCALA, HIDALGO Y GUANAJUATO
  • 40.
    Estados de laRepública Mexicana Con mayor número de pacientes: 1986-1997 DESTACA MÉXICO DF Y ESTADO DE MÉXICO ( 80%) EL RESTO (20%) HIDALGO, PUEBLA, TLAXCALA, MICHOACAN GUERRERO Y OAXACA
  • 41.
    PRESENTACION CLINICA ENEL DIAGNOSTICO INICIAL Obstrucción Nasal 163 63 Epistaxis 111 43 Rinorrea 96 37 Masa en fosa nasal 67 26 Infección nasal 44 17 Masa en orbita y región malar 34 13 Dolor de cabeza 28 11 Fiebre 15 6 Afección del nervio craneal 10 4 Anosmia 5 2 Prurito facial 4 1.5 No. de pacientes Porcentaje de pacientes OTOLARYNGOL HEAD NECK SURG 2000; 122: 499-508
  • 44.
    BIEN DIFERENCIADO MODERADAMENTE DIFERENCIADO POBREMENTE DIFERENCIADO CARCINOMA EPIDERMOIDEDE CAVIDAD NASAL Y SENOS PARANASALES GRADOS DE DIFERENCIACIÓN 20 (30%) 14 (22%) 31 (48%) INSTITUTO NACIONAL DE CANCEROLOGIA TOTAL 65 (100%)
  • 45.
    HISTOLOGIA DE CARCINOMASNASOFARINGEOS 0% 10% 20% 30% 40% 50% 60% 70% 80% Carcinoma Epidermoide Adenocarcinoma Carcinoma Glandular Carcinoma Indiferenciado 1960 1970 1980 1990 CANCER 2001; 92 : 3012-3029
  • 46.
    Localización del carcinomaepidermoide de tipo convencional: 1) Antro del seno maxilar 2) Cavidad nasal 1 2 Fletcher et al, Diagnostic Histopathology of tumours, cap 4, 2000.
  • 47.
    NEOPLASIAS DE CAVIDADNASAL Y SENOS PARANASALES  El 60% se origina en seno maxilar  El 20% en cavidad nasal 60% 20%
  • 48.
    NEOPLASIAS DE CAVIDADNASAL Y SENOS PARANASALES  Etmoides el 15%  Senos frontal y esfenoidal el 5% 20% 15% 5% 5%
  • 49.
    VIA DE DISEMINACION CARCINOMAEPIDERMOIDE SINONASAL  CONDUCTO NASOLAGRIMAL  FISURA INFRAORBITARIA  FORAMEN ETMOIDAL  NERVIO ÓPTICO  INVADE ORBITA EN EL 60 AL 80% YA SEA POR EROSIÓN O INFILTRACIÓN
  • 52.
    MAXILECTOMIAS  SUBTOTAL  RADICAL COMBINADA CON EXENTERACIÓN ORBITARIA
  • 53.
    1) PROXIMAMENTE HACIA ELTECHO DE LA NARIZ 2) DISTALMENTE EN LA UNION DEL VESTIBULO NASAL Y LABIO SUPERIOR 3) LATERALMENTE, HACIA LAS MEJILLAS 4) INFERIORMENTE AL PISO DE LA NARIZ Y AL PALADAR MARGENES QUIRURGICOS EN TUMORES DE CAVIDAD NASAL Y SENO MAXILAR 1 2 4
  • 54.
    CARCINOMAS EPIDERMOIDES DECAVIDAD NASAL  Tumores grandes con afección de mas de un área dentro de la cavidad nasal  Extensión fuera de la cavidad nasal o invasión ósea  Ganglios linfáticos positivos SIGNOS DE POBRE PRONÓSTICO
  • 55.
    Localización del carcinomaepidermoide: senos frontal, etmoides y esfenoides, 3) Celdillas etmoidales 4) Seno frontal 5) Seno esfenoidal 3 4 5 Fletcher et al, Diagnostic Histopathology of tumours, cap 4, 2000.
  • 59.
    Carcinoma Fusocelular Peor pronóstico enla región sinonasal que el localizado en otras zonas (laringe, cavidad oral). Arch Otolaryngol 1980;106:700-8 Head Neck Surg 1982;4:499-513
  • 60.
    ADENOCARCINOMA DE CAVIDADNASAL Y SENOS PARANASALES  MAS FRECUENTE EN SENO MAXILAR  EXPOSICIÓN OCUPACIONAL  HABITUALMENTE EN MUJERES  POBRE PRONOSTICO
  • 62.
    CARCINOMA ADENOESCAMOSO DECAVIDAD NASAL Y SPN  ORIGEN EN EPITELIO DE SUPERFICIE  ORIGEN EN CONDUCTO SALIVAL
  • 66.
    CURSO CLINICO CARCINOMA ADENOESCAMOSO DECAVIDAD NASAL Y SPN  POBRE PRONÓSTICO  METASTASIS FRECUENTES DIAGNOSTICO DIFERENCIAL  CARCINOMA MUCOEPIDERMOIDE  CARCINOMA EPIDERMOIDE ADENOIDE
  • 70.
    1) Cavidad oral 2)Laringe 3) Fosa nasal 4) Nasofaringe y tracto sinonasal 1 2 3 4 Mod Pathol 1993;6:669-72 Laryngoscope 1994;104:146-52
  • 71.
    Sem Diag Pathol1989;6:316-28 CARCINOMA INDIFERENCIADO TIPO LINFOEPITELIOMA Niños  EDAD Sexta década  METASTASIS CERVICAL
  • 76.
    CARCINOMA DE CAVIDADNASAL Y SENOS PARANASALES  A GANGLIOS LINFÁTICOS: 15%  A DISTANCIA 10% METASTASIS
  • 78.
    UNA VIDA INACTIVAES UNA MUERTE PREMATURA GOETHE
  • 83.
    Laringe  Inflamaciones  Nódulolaríngeo  Carcinoma  Papiloma y papilomatosis
  • 84.
  • 85.
    Carcinoma epidermoide delaringe y seno piriforme derecho
  • 86.