GLANDULA TIROIDES
 Forma bilobulada
 Situado en la parte
anterior del cuello ,
apoyado en la cara
anterior de la tráquea
 Coloración rosa-pardo
 Mide: 6-7cm ancho y 3cm
de alto.
 Pesa 20 -30gr
Glándula tiroides
- Cada lóbulo se compone de
Folículos, separados por escaso tejido
Conectivo interfolicular.
.- Los folículos están compuestos por
epitelio cúbico simple que rodea un
espacio lleno de una sustancia viscosa,
denominada coloide.
.- El epitelio de los folículos presenta
dos tipos celulares:
• las células foliculares (miran al
coloide)y
• las células parafoliculares (que no
contactan el coloide).
HIPERTIROIDISMO
 Es una causa (la mas frecuente ) de tirotoxicosis.
: es un estado
hipermetabólico causado por una
concentración circulante elevada
de T3 y T4.
Trastornos asociados a tirotoxicosis
 ASOCIADA A HIPERTIROIDISMO
 PRIMARIOS
 Hiperplasia toxica difusa (Enf de Grave)
 Bocio toxico hiperfuncional
 Hiperiroidismo por yodo
 Tirotoxicosis neontal asociada a Enf de Graves materna
 SECUNDARIAS
 Adenoma hipofisiario secretor de TSH
 NO ASOCIADA A HIPERTIROIDISMO
 Tiroiditis granulomatosa
 Tiroiditis linfocitica subaguda
 Estroma ovarico (ico con teratoma ovarico con tiroides
ectopico)
 Tirotoxicosis ficticia (consumo de tiroxina exogena)
Evolución clínica
Cambios relacionados con el estado metabólico
provocado por el exceso de la H. tiroidea.
Piel blanda caliente y enrojecida
Intolerancia al calor
Perdida de peso
Aumenta el apetito
Manifestaciones cardiacas
Aumenta gasto cardiaco
Aumenta la contractilidad
Taquicardia – palpitaciones – Cardiomegalia
Arritmias
ICC
Miocardiopatía toxica o hipertiroidea (disfunción de
VI reversible e IC de bajo gasto)
 Cambios oculares :
 Ojos muy abiertos y fijos con retracción al
parpado
 Aparato Digestivo
 Hipermotilidad
 mala absorción
 diarrea
 Sistema Osteomuscular;
 osteoporosis
Evolución clínica
Exámenes complementarios
 T4 elevada.
 T3 elevada.
 TSH disminuida.
 La gammagrafía tiroidea
 Determinación plasmática de las TSI las cuales están
elevadas.
 Exploraciones circulatorias: el volumen minuto, la
velocidad y el volumen sanguíneo están aumentados.
 En el telecardiograma puede haber aumento del
áreacardiaca, con incremento del arco medio izquierdo.
Hipotiroidismo
Causado por una alteración estructural o funcional que
interfiere con la producción de una concentración
adecuada de la hormona tiroidea
CAUSAS DEL HIPOTIROIDISMO
 PRIMARIO
 Congénito
 Síndrome de resistencia a hormona tiroidea
 Postablación:
 Cirugía, terapia con radioyodo o irradiación externa
 Hipotiroidismo autoinmunitario:
 tiroiditis de hashimoto
 Deficiencia de yodo
 Fármacos (litio, yodo acido paraaminosalicílico)
 Defecto biosintético congénito (bocio dishormonogénico)
 SECUNDARIO (Central)
 Insuficiencia hipofisaria
 Insuficiencia hipotalámica
HIPERTIROIDISMO CONGENITO: causado por una deficiencia
endémica de yodo en la dieta
Otras formas menos frecuentes de hipotiroidismo:
Errores innatos del metabolismo toroide (bocio dishormonogénico) por
defectos en los pasos que conducen a la síntesis de a hormona tiroidea como:
1) Transporte de I a los tirocitos.
2) Organificación de I
3) Acoplamiento de yodotirosina para formar T4 y T3.
HIPOTIROIDISMO SECUNDARIO (O CENTRAL):
• Causado por una deficiencia de TSH y en menor frecuencia de TRH.
• Cualquiera de las causas de hipopituitarismo o de daño hipotalámico por
tumor, traumatismo, radioterapia o enfermedad infiltrativa puede causar un
hipotiroidismo central.
Las manifestaciones clásica de hipotiroidismo son el cretinismo y el
mixedema.
El diagnóstico correcto de hipotiroidismo depende de lo siguiente:
 SÍNTOMAS. El hipotiroidismo no posee ningún síntoma
característico,
 HISTORIA MÉDICA Y FAMILIAR.
• Cambios en su salud que sugieran que su organismo esta
funcionando con lentitud;
• Si usted ha tenido alguna vez cirugía de la tiroides;
• Si usted ha recibido radiación al cuello para tratar un cáncer;
• Si está tomando cualquier medicamento que pueda causar
hipotiroidismo- amiodarona, litio, interferón alfa, interleukina-
2 y quizás talidomida;
• si alguno de sus familiares sufre de enfermedad tiroidea.
 Examen físico:
El doctor le examinará la tiroides y buscará cambios tales como
resequedad de la piel, inflamación, reflejos lentos y latido cardíaco
más lento.
Exámenes de sangre:
 Prueba de la TSH, es la prueba más importante y sensible para el
hipotiroidismo.
Mide la cantidad de tiroxina (T4) que se le pide producir a la tiroides. Una TSH
anormalmente alta significa hipotiroidismo.
 Prueba de T4. : La T4 libre y el índice de T4 libre son pruebas simples que miden
la cantidad de T4 sin ligar que se encuentra en la sangre, disponible para entrar en
las células.
CRETINISMO
Se refiere al hipotiroidismo que aparece en lactantes
o en la primera infancia.
Manifestaciones clínicas:
 Deterioro del sistema osteomuscular
 Deterioro del SNC
 Rasgos faciales toscos
 Lengua sobresaliente
 Hernia umbilical
mixedema
 Hipotiroidismo que afecta al niño mayor o al
adulto.
Manifestaciones clínicas
 Ralentización de la actividad física y mental
 Cansancio generalizado
 Ralentización del habla y funciones mentales
 Apatía
 Intolerancia al frio
 Sobrepeso
 Estreñimiento y descenso de la sudoración
 Piel fría y pálida
 Disminuye el gasto cardiaco
A nivel histológico:
Acumulación de sustancias de a
matriz, como glucosaminoglicanos ,
acido hialurónico, en la piel, tejido
subcutáneo y algunas vísceras.
• Edema sin fovea
• Ensanchamiento y tosquedad de
los rasgos faciales
• Aumento del tamaño de la lengua.
• Gravedad de la voz
Corte Histológico donde se observa aumento de las
bandas de colágeno en la dermis, con aumento en el
número de fibroblastos y en la cantidad de sustancia
esencial a expensas de mucina y ácido hialurónico
TIROIDITIS
 Es una inflamación de la tiroides de etiología múltiple y
características clínicas diversas
 Clasificación:
Tiroiditis infecciosa aguda o supurativa
Tiroiditis de hashimoto
Causa más frecuente de hipotiroidismo
 Se caracteriza por un fracaso gradual de la glándula
tiroidea por destrucción auto inmunitaria de la misma.
 Prevalente entre 45 y 65 años
 Afecta mas a la mujer
 Causa principal de bocio no endémico
 Se asocia al polimorfismo de múltiples genes como el
CTLA4 y el PTPN22.
Tiroiditis de Hashimoto. Aumento difuso del tiroides.
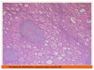
Tiroiditis de Hashimoto, aumento lupa, tinción HE
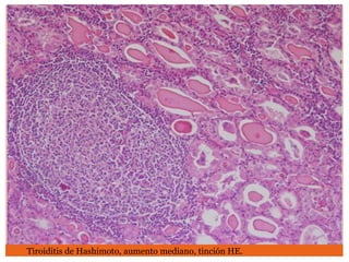
Tiroiditis de Hashimoto, aumento mediano, tinción HE.
Tiroiditis subaguda (granulomatosa)
(tiroiditis de Quervain)
 Frecuente entre los 40 y 50 años
 Frecuente en mujeres
ENFERMEDAD DE GRAVES
Causa mas frecuente de hipertiroidismo endógeno
Se caracteriza por la triada clínica
 Hipertiroidismo; por aumento del tamaño difuso con
hiperfunción del tiroides.
 Oftalmopatia infiltrativa con exoftalmos secundario
 Dermopatia infiltrativa localizada denominada mixedema
pretibial.
 Incidencia :20-40 años
 Frecuente en mujeres
 Se asocia al polimorfismo de genes como el CTLA4
y el PTPN22 y HLA – DR3
Bocio
 Se denomina bocio a todo aumento, ya sea difuso o
nodular de la glándula tiroidea cualquiera que sea su
causa.
 Algunos autores lo definen como el aumento a dos
veces el tamaño normal o mayor a 40gr.
CLASIFICACION
OTRA CLASIFICACION
 1. Estadio 0A: no hay bocio.
 2. Estadio 0B: bocio detectable
sólo por palpación pero no visible
con el cuello en hiperextensión.
 3. Estadio I: bocio palpable y
visible únicamente con el cuello en
hiperextensión.
 4. Estadio II: bocio palpable y
visible con el cuello en posición
normal.
 5. Estadio III: bocio visible a larga
distancia
BOCIO NO TOXICO DIFUSO (SIMPLE)
 Aumenta el tamaño de la glándula sin formación de
nódulos.
 Se conoce también como Bocio Coloide porque los
folículos aumentados contienen coloide
Bocio endémico
Frecuente en zonas montañosas como los Andes y el
Himalaya
Causas:
Déficit de yodo
Consumo excesivo de yodo
Ocurre en el embarazo
Otros factores con menor importancia:
 Genéticos
 Sustancias bociogénicas ( col, coliflor, mandioca)
 Desnutrición calórico-proteica
El Comité de Nutrición y Alimentos del Instituto de Medicina recomienda
los siguiente consumos en la dieta para el yodo:
 Bebés:
 0 - 6 meses: 110 microgramos por día (mcg/día)
 7 - 12 meses: 130 mcg/día
 Niños:
 1 - 3 años: 90 mcg/día
 4 - 8 años: 90 mcg/día
 9 - 13 años: 120 mcg/día
 Adolescentes y adultos:
 Hombres de 14 en adelante: 150 mcg/día
 Mujeres de 14 en adelante: 150 mcg/día
PATOGENIA
1.Aumento de TSH.
2.Aumento de la captación de yodo.
3.Hiperplasia e hipertrofia tiroidea.
4.Aumento de la velocidad de intercambio intratiroideo de yodo.
5.Aumento del compartimiento de intercambio rápido.
6.Síntesis preferencial de T3.
Bocio esporadico
Frecuente en mujeres
Incidencia máxima en la pubertad o al inicio de la edad adula
Causas
1. Deficiencia de yodo por malos hábitos alimentarios.
2. Defectos enzimáticos hereditarios (bocio dishormogénico ).
3. Substancias químicas en medicamentos, como yoduros en
expectorantes, sulfonilureas.
Morfología
Aumenta el I en la
dieta o disminuye la
demanda de la
hormona tiroidea
Epitelio folicular
involuciona da
origen a una
glándula aumentada
de tamaño con
abundante coloide
FASE DE
INVOLUCIÓN
COLOIDE
Aumento de
tamaño difuso y
simétrico de la
glándula.
Folículos
tapizados con
células
cilíndricas
apiñadas.
FASE
HIPERPLASICA
BOCIO MULTINODULAR
Se define como bocio multinodular (BMN) al crecimiento de la glándula tiroides
debido a la presencia de dos o más nódulos, palpables o no.
Clínica
 Los BMN son más propios de la edad adulta.
 Suelen ser un hallazgo en el examen físico de la región
anterior del cuello en pacientes asintomáticos.
 En casos de bocios de gran tamaño, puede provocar signo
compresivos como disfagia disnea.
 El diagnóstico puede hacerse también en el contexto del
estudio de un hipo o hipertiroidismo o como hallazgo de una
masa en el mediastino anterior en una radiografía o TAC de
cuello o tórax.
 Los bocios retroesternales o intratorácicos pueden dar
algunos síntomas específicos, debido a la compresión de
estructuras vasculares (síndrome de vena cava superior),
tráquea o esófago
Se muestra a la glándula tiroides con bocio multinodular. (H&E 40x).
 Laboratorio.
 Medir TSH : si está alterada, cuantificar las hormonas tiroideas.
 Evaluar anticuerpos antitiroideos: ya que la patología tiroidea
autoinmune de larga data puede generar nódulos en la tiroides.
 Ecotomografía. Permite cuantificar los nódulos (no todos son palpables),
precisar sus tamaños y evaluar sus características (sólidos, quísticos o
mixtos).
 Cintigrafia tiroidea con I-131 o Tc-99.
Realizarlo si la TSH es baja (<1,0 mUI/L) o suprimida, para evaluar la
hiperactividad de un nódulo o de áreas de la glándula.
 Radiografía de partes blandas de cuello. Permite evaluar la
desviación y/o grado de compresión de la tráquea.
 Punción con aguja fina. Se requiere en caso de BMN con uno o dos
nódulos dominantes. Esto permite descartar la presencia de cáncer y en
algunos casos disminuir el tamaño del nódulo al aspirar su contenido
líquido.
Diagnostico diferencial
Se plantea con:
tiroiditis de Hashimoto
carcinomas multifocales o diseminados
intraglandularmente
Más raramente pueden existir adenomas múltiples.
BIBLIOGRAFÍA
 (1995). Endocrinologia Clínica . 1st
ed. España: F. Casanueva Freijo, JA Vázquez
García.
 Benjamín Martínez R. (2014). Atlas de
histopatología de Sistemas . [En línea]
Disponible en:
http://patoral.umayor.cl/patoral/?page_id=1
277. [Último acceso 03/08/2014].
 Pallardo, L., (2010). Endocrinología
clínica . 2 ª ed. España: Morante Tomas,
Marazuela Mónica.
BIBLIOGRAFIA
 Claudia Campusano (2000). nódulos tiroideos . [En
línea] Disponible en:
http://escuela.med.puc.cl//publ/boletin/tiroidea/nod
ulostiroideos.html. [Último acceso 03/08/2014].
 http://www.conganat.org/3congreso/cvhap/posters/
015/index.htm
 https://pqax.wikispaces.com/file/view/tiroiditis.pdf.pdf
 http://www.elsevierinstituciones.com/ficheros/pdf/62/62v10
n14a13124559pdf001.pdf

Patología Glandula tiroides

  • 2.
    GLANDULA TIROIDES  Formabilobulada  Situado en la parte anterior del cuello , apoyado en la cara anterior de la tráquea  Coloración rosa-pardo  Mide: 6-7cm ancho y 3cm de alto.  Pesa 20 -30gr
  • 3.
    Glándula tiroides - Cadalóbulo se compone de Folículos, separados por escaso tejido Conectivo interfolicular. .- Los folículos están compuestos por epitelio cúbico simple que rodea un espacio lleno de una sustancia viscosa, denominada coloide. .- El epitelio de los folículos presenta dos tipos celulares: • las células foliculares (miran al coloide)y • las células parafoliculares (que no contactan el coloide).
  • 6.
    HIPERTIROIDISMO  Es unacausa (la mas frecuente ) de tirotoxicosis. : es un estado hipermetabólico causado por una concentración circulante elevada de T3 y T4.
  • 7.
    Trastornos asociados atirotoxicosis  ASOCIADA A HIPERTIROIDISMO  PRIMARIOS  Hiperplasia toxica difusa (Enf de Grave)  Bocio toxico hiperfuncional  Hiperiroidismo por yodo  Tirotoxicosis neontal asociada a Enf de Graves materna  SECUNDARIAS  Adenoma hipofisiario secretor de TSH  NO ASOCIADA A HIPERTIROIDISMO  Tiroiditis granulomatosa  Tiroiditis linfocitica subaguda  Estroma ovarico (ico con teratoma ovarico con tiroides ectopico)  Tirotoxicosis ficticia (consumo de tiroxina exogena)
  • 8.
    Evolución clínica Cambios relacionadoscon el estado metabólico provocado por el exceso de la H. tiroidea. Piel blanda caliente y enrojecida Intolerancia al calor Perdida de peso Aumenta el apetito
  • 9.
    Manifestaciones cardiacas Aumenta gastocardiaco Aumenta la contractilidad Taquicardia – palpitaciones – Cardiomegalia Arritmias ICC Miocardiopatía toxica o hipertiroidea (disfunción de VI reversible e IC de bajo gasto)
  • 10.
     Cambios oculares:  Ojos muy abiertos y fijos con retracción al parpado  Aparato Digestivo  Hipermotilidad  mala absorción  diarrea  Sistema Osteomuscular;  osteoporosis Evolución clínica
  • 12.
    Exámenes complementarios  T4elevada.  T3 elevada.  TSH disminuida.  La gammagrafía tiroidea  Determinación plasmática de las TSI las cuales están elevadas.  Exploraciones circulatorias: el volumen minuto, la velocidad y el volumen sanguíneo están aumentados.  En el telecardiograma puede haber aumento del áreacardiaca, con incremento del arco medio izquierdo.
  • 13.
    Hipotiroidismo Causado por unaalteración estructural o funcional que interfiere con la producción de una concentración adecuada de la hormona tiroidea
  • 14.
    CAUSAS DEL HIPOTIROIDISMO PRIMARIO  Congénito  Síndrome de resistencia a hormona tiroidea  Postablación:  Cirugía, terapia con radioyodo o irradiación externa  Hipotiroidismo autoinmunitario:  tiroiditis de hashimoto  Deficiencia de yodo  Fármacos (litio, yodo acido paraaminosalicílico)  Defecto biosintético congénito (bocio dishormonogénico)  SECUNDARIO (Central)  Insuficiencia hipofisaria  Insuficiencia hipotalámica
  • 15.
    HIPERTIROIDISMO CONGENITO: causadopor una deficiencia endémica de yodo en la dieta Otras formas menos frecuentes de hipotiroidismo: Errores innatos del metabolismo toroide (bocio dishormonogénico) por defectos en los pasos que conducen a la síntesis de a hormona tiroidea como: 1) Transporte de I a los tirocitos. 2) Organificación de I 3) Acoplamiento de yodotirosina para formar T4 y T3. HIPOTIROIDISMO SECUNDARIO (O CENTRAL): • Causado por una deficiencia de TSH y en menor frecuencia de TRH. • Cualquiera de las causas de hipopituitarismo o de daño hipotalámico por tumor, traumatismo, radioterapia o enfermedad infiltrativa puede causar un hipotiroidismo central. Las manifestaciones clásica de hipotiroidismo son el cretinismo y el mixedema.
  • 17.
    El diagnóstico correctode hipotiroidismo depende de lo siguiente:  SÍNTOMAS. El hipotiroidismo no posee ningún síntoma característico,  HISTORIA MÉDICA Y FAMILIAR. • Cambios en su salud que sugieran que su organismo esta funcionando con lentitud; • Si usted ha tenido alguna vez cirugía de la tiroides; • Si usted ha recibido radiación al cuello para tratar un cáncer; • Si está tomando cualquier medicamento que pueda causar hipotiroidismo- amiodarona, litio, interferón alfa, interleukina- 2 y quizás talidomida; • si alguno de sus familiares sufre de enfermedad tiroidea.  Examen físico: El doctor le examinará la tiroides y buscará cambios tales como resequedad de la piel, inflamación, reflejos lentos y latido cardíaco más lento.
  • 18.
    Exámenes de sangre: Prueba de la TSH, es la prueba más importante y sensible para el hipotiroidismo. Mide la cantidad de tiroxina (T4) que se le pide producir a la tiroides. Una TSH anormalmente alta significa hipotiroidismo.  Prueba de T4. : La T4 libre y el índice de T4 libre son pruebas simples que miden la cantidad de T4 sin ligar que se encuentra en la sangre, disponible para entrar en las células.
  • 19.
    CRETINISMO Se refiere alhipotiroidismo que aparece en lactantes o en la primera infancia. Manifestaciones clínicas:  Deterioro del sistema osteomuscular  Deterioro del SNC  Rasgos faciales toscos  Lengua sobresaliente  Hernia umbilical
  • 20.
    mixedema  Hipotiroidismo queafecta al niño mayor o al adulto. Manifestaciones clínicas  Ralentización de la actividad física y mental  Cansancio generalizado  Ralentización del habla y funciones mentales  Apatía  Intolerancia al frio  Sobrepeso  Estreñimiento y descenso de la sudoración  Piel fría y pálida  Disminuye el gasto cardiaco
  • 22.
    A nivel histológico: Acumulaciónde sustancias de a matriz, como glucosaminoglicanos , acido hialurónico, en la piel, tejido subcutáneo y algunas vísceras. • Edema sin fovea • Ensanchamiento y tosquedad de los rasgos faciales • Aumento del tamaño de la lengua. • Gravedad de la voz Corte Histológico donde se observa aumento de las bandas de colágeno en la dermis, con aumento en el número de fibroblastos y en la cantidad de sustancia esencial a expensas de mucina y ácido hialurónico
  • 23.
    TIROIDITIS  Es unainflamación de la tiroides de etiología múltiple y características clínicas diversas  Clasificación:
  • 24.
  • 25.
    Tiroiditis de hashimoto Causamás frecuente de hipotiroidismo  Se caracteriza por un fracaso gradual de la glándula tiroidea por destrucción auto inmunitaria de la misma.  Prevalente entre 45 y 65 años  Afecta mas a la mujer  Causa principal de bocio no endémico  Se asocia al polimorfismo de múltiples genes como el CTLA4 y el PTPN22. Tiroiditis de Hashimoto. Aumento difuso del tiroides.
  • 27.
    Tiroiditis de Hashimoto,aumento lupa, tinción HE
  • 28.
    Tiroiditis de Hashimoto,aumento mediano, tinción HE.
  • 30.
    Tiroiditis subaguda (granulomatosa) (tiroiditisde Quervain)  Frecuente entre los 40 y 50 años  Frecuente en mujeres
  • 32.
    ENFERMEDAD DE GRAVES Causamas frecuente de hipertiroidismo endógeno Se caracteriza por la triada clínica  Hipertiroidismo; por aumento del tamaño difuso con hiperfunción del tiroides.  Oftalmopatia infiltrativa con exoftalmos secundario  Dermopatia infiltrativa localizada denominada mixedema pretibial.  Incidencia :20-40 años  Frecuente en mujeres  Se asocia al polimorfismo de genes como el CTLA4 y el PTPN22 y HLA – DR3
  • 35.
    Bocio  Se denominabocio a todo aumento, ya sea difuso o nodular de la glándula tiroidea cualquiera que sea su causa.  Algunos autores lo definen como el aumento a dos veces el tamaño normal o mayor a 40gr.
  • 36.
  • 37.
    OTRA CLASIFICACION  1.Estadio 0A: no hay bocio.  2. Estadio 0B: bocio detectable sólo por palpación pero no visible con el cuello en hiperextensión.  3. Estadio I: bocio palpable y visible únicamente con el cuello en hiperextensión.  4. Estadio II: bocio palpable y visible con el cuello en posición normal.  5. Estadio III: bocio visible a larga distancia
  • 38.
    BOCIO NO TOXICODIFUSO (SIMPLE)  Aumenta el tamaño de la glándula sin formación de nódulos.  Se conoce también como Bocio Coloide porque los folículos aumentados contienen coloide
  • 39.
    Bocio endémico Frecuente enzonas montañosas como los Andes y el Himalaya Causas: Déficit de yodo Consumo excesivo de yodo Ocurre en el embarazo Otros factores con menor importancia:  Genéticos  Sustancias bociogénicas ( col, coliflor, mandioca)  Desnutrición calórico-proteica
  • 40.
    El Comité deNutrición y Alimentos del Instituto de Medicina recomienda los siguiente consumos en la dieta para el yodo:  Bebés:  0 - 6 meses: 110 microgramos por día (mcg/día)  7 - 12 meses: 130 mcg/día  Niños:  1 - 3 años: 90 mcg/día  4 - 8 años: 90 mcg/día  9 - 13 años: 120 mcg/día  Adolescentes y adultos:  Hombres de 14 en adelante: 150 mcg/día  Mujeres de 14 en adelante: 150 mcg/día
  • 41.
    PATOGENIA 1.Aumento de TSH. 2.Aumentode la captación de yodo. 3.Hiperplasia e hipertrofia tiroidea. 4.Aumento de la velocidad de intercambio intratiroideo de yodo. 5.Aumento del compartimiento de intercambio rápido. 6.Síntesis preferencial de T3.
  • 43.
    Bocio esporadico Frecuente enmujeres Incidencia máxima en la pubertad o al inicio de la edad adula Causas 1. Deficiencia de yodo por malos hábitos alimentarios. 2. Defectos enzimáticos hereditarios (bocio dishormogénico ). 3. Substancias químicas en medicamentos, como yoduros en expectorantes, sulfonilureas.
  • 44.
    Morfología Aumenta el Ien la dieta o disminuye la demanda de la hormona tiroidea Epitelio folicular involuciona da origen a una glándula aumentada de tamaño con abundante coloide FASE DE INVOLUCIÓN COLOIDE Aumento de tamaño difuso y simétrico de la glándula. Folículos tapizados con células cilíndricas apiñadas. FASE HIPERPLASICA
  • 45.
    BOCIO MULTINODULAR Se definecomo bocio multinodular (BMN) al crecimiento de la glándula tiroides debido a la presencia de dos o más nódulos, palpables o no.
  • 46.
    Clínica  Los BMNson más propios de la edad adulta.  Suelen ser un hallazgo en el examen físico de la región anterior del cuello en pacientes asintomáticos.  En casos de bocios de gran tamaño, puede provocar signo compresivos como disfagia disnea.  El diagnóstico puede hacerse también en el contexto del estudio de un hipo o hipertiroidismo o como hallazgo de una masa en el mediastino anterior en una radiografía o TAC de cuello o tórax.  Los bocios retroesternales o intratorácicos pueden dar algunos síntomas específicos, debido a la compresión de estructuras vasculares (síndrome de vena cava superior), tráquea o esófago
  • 48.
    Se muestra ala glándula tiroides con bocio multinodular. (H&E 40x).
  • 50.
     Laboratorio.  MedirTSH : si está alterada, cuantificar las hormonas tiroideas.  Evaluar anticuerpos antitiroideos: ya que la patología tiroidea autoinmune de larga data puede generar nódulos en la tiroides.  Ecotomografía. Permite cuantificar los nódulos (no todos son palpables), precisar sus tamaños y evaluar sus características (sólidos, quísticos o mixtos).  Cintigrafia tiroidea con I-131 o Tc-99. Realizarlo si la TSH es baja (<1,0 mUI/L) o suprimida, para evaluar la hiperactividad de un nódulo o de áreas de la glándula.  Radiografía de partes blandas de cuello. Permite evaluar la desviación y/o grado de compresión de la tráquea.  Punción con aguja fina. Se requiere en caso de BMN con uno o dos nódulos dominantes. Esto permite descartar la presencia de cáncer y en algunos casos disminuir el tamaño del nódulo al aspirar su contenido líquido.
  • 51.
    Diagnostico diferencial Se planteacon: tiroiditis de Hashimoto carcinomas multifocales o diseminados intraglandularmente Más raramente pueden existir adenomas múltiples.
  • 52.
    BIBLIOGRAFÍA  (1995). EndocrinologiaClínica . 1st ed. España: F. Casanueva Freijo, JA Vázquez García.  Benjamín Martínez R. (2014). Atlas de histopatología de Sistemas . [En línea] Disponible en: http://patoral.umayor.cl/patoral/?page_id=1 277. [Último acceso 03/08/2014].  Pallardo, L., (2010). Endocrinología clínica . 2 ª ed. España: Morante Tomas, Marazuela Mónica.
  • 53.
    BIBLIOGRAFIA  Claudia Campusano(2000). nódulos tiroideos . [En línea] Disponible en: http://escuela.med.puc.cl//publ/boletin/tiroidea/nod ulostiroideos.html. [Último acceso 03/08/2014].  http://www.conganat.org/3congreso/cvhap/posters/ 015/index.htm  https://pqax.wikispaces.com/file/view/tiroiditis.pdf.pdf  http://www.elsevierinstituciones.com/ficheros/pdf/62/62v10 n14a13124559pdf001.pdf