Bocio
   Aumento del volumen de la
    glándula tiroides, a expensas
    del tejido propiamente
    tiroideo, ya sea por
    hiperplasia o desarrollo de
    adenomas o carcinoma, que
    se traduce en una tumoración
    en la parte antero inferior
    del cuello.
   La principal causa es un
    déficit en la formación y
    secreción de hormonas
    tiroideas.
   El tamaño y peso de la
    tiroides se correlaciona con la
    edad, peso, talla e ingesta de
    yodo, la media es de unos 20g

   Cada uno de los lóbulos mide
    aproximadamente 4x2x2 cm

       Difusos
       Nodulares
       Tumores y Neoplasias
DEIODINASAS
Hormona Tiroidea
   Incrementa el metabolismo y la síntesis de
    proteínas en prácticamente todos los tejidos del
    organismo.
   Hipotiroidismo: produce una disminución en la
    tasa metabólica, una acumulación de sustancias
    hidrofílicas mucopolisacáridas (mixedema) en el
    tejido conectivo del cuerpo, y una elevación en el
    colesterol sérico.
   Hipertiroidismo: produce un aumento en la tasa
    metabólica y el consumo de oxígeno, uso
    incrementado de insumos metabólicos y un
    aumento de la respuesta del sistema nervioso
    simpático.
Tejido           Efecto         Mecanismo
Blanco
                 Cronotrópico   Aumenta Nº y afinidad de receptores β
Corazon
                                Aumenta respuesta a catecolaminas.
                 Inotrópico
                                Aumenta la proporción de cadena pesada αde miosina

Tejido adiposo   Catabólico     Estimula la lipólisis

Músculo          Catabólico     Aumenta desdoblamiento proteíco

                 Desarrollo y   Estimula desarrollo y crecimiento esquelético normal y
Hueso
                 Metabolismo    recambio oseo
                 En el
SNC                             Promueve desarrollo normal
                 desarrollo

Intestino        Metabólico     Aumenta velocidad de absorción de carbohidratos

Lipoproteína     Metabólico     Estimula formación de receptores de LDL

                                Estimula el consumo de O2 por tejidos
Otro             Calorigénico   metabólicamente activos.
                                Aumenta metabolismo basal.
Manifestaciones clínicas
   La mayor parte de los bocios son asintomáticos.

   La exploración de un bocio difuso revela una
    glándula con:

         Aumento de tamaño simétrico
             Excepto: crónico
         No hipersensible
             Excepto: T. de Quervain
         Generalmente blanda
         Sin nódulos palpables.
GRADO DE BOCIO                           CARACTERISTICAS

   GRADO 0       No hay bocio palpable ni visible.

                 Una masa en el cuello, compatible con    una tiroides agrandada,
                 palpable pero no visible con el cuello   en posición normal. Se
   GRADO 1       mueve hacia arriba, cuando la persona    deglute. Pueden ocurrir
                 alteraciones nodulares aun cuando         la tiroides no esté
                 visiblemente agrandada.
                 Una masa en el cuello visible con el cuello en posición normal,
   GRADO 2
                 compatible con una tiroides agrandada cuando se palpa el cuello.
   GRADO 3       Deforma el cuello

   GRADO 4       Deforma el cuello a tal grado que se ve de atrás
   Si el bocio tiene el tamaño suficiente puede
    finalmente provocar síntomas compresivos como:

       Disfagia
       Disnea (compresión traqueal)
       Plétora (congestión venosa)


     La desviación de la tráquea es frecuente,
      pero la compresión habitualmente debe
    superar 70% del diámetro traqueal para que
    se produzca una afección importante de la
                 vía respiratoria.
Según tiempo

    Aguda
      Involución de la glándula
       a su forma normal
    Crónica
      Mantención del bocio
    Cuadros agudos a
     repetición
      Bocio multinodular
Patogenia
   Asociado a eu o hipotiroidismo
       Deficiencia de Yodo: falla de síntesis (endémico si +10%)
       Exceso de Yodo: bloqueo de secreción
       Bociógeno en dieta (col, yuca, nabo): fallo de biosíntesis
       Fármacos bociógenos: bloquean secreción
       Congénitas: varios defectos de biosíntesis
           Transporte, organificación, síntesis anormal de tiroglobulina,
            interrelación anormal de yodotirosina, deterioro de proteolisis
            de tiroglobulina, deyodación defectuosa.
       Resistencia central o periférica a hormonas tiroideas
           Anormalidad del receptor
   Asociado a hipertiroidismo
       Enfermedad de Graves
           Ac. Estimulador de TSH-R       Medición de hormonas totales
       Bocio multinodular tóxico          • T4 Total: (5 – 9 ugs /dl)
                                           • T3 Total: (0.08 – 0.12 ugs /dl)
           Hiperfunción autónoma
       Tumor de celulas germinales
           Sobrestimulación de tiroides    Las      determinaciones      de
       Adenoma hipofisiario                hormonas     libres    dan  una
                                            extrapolación de la real función
           Sobreproducción de TSH          de la glándula tiroides.
       Tiroiditis
           Crecimiento debido a infiltración y edema
BASIC THYROID EVALUATION
FREE THYROXINE or FT4


                           PRIMARY      NTI or Pt. SECONDARY
                         HYPERTHYROID on ELTROXIN HYPERTHYROID


                          SUB-CLINICAL             SUB-CLINICAL
                         HYPERTHYROID
                                       EUTHYROID   HYPOTHYROID


                          SECONDARY NON THYROID      PRIMARY
                         HYPOTHYROID ILLNESS - NTI HYPOTHYROID


                            LOW        NORMAL         HIGH

                         THYROID STIMULATING HORMONE - TSH
Hipotiroidismo
Hipotiroidismo
•   Niveles bajos de T3 y T4 séricas, T4 libre siempre
    está bajo.
•   TSH está elevado(>20mU/L) y con secreción
    nocturna intacta , salvo en caso de enfermedad
    hipofisaria o hipotalámica, en que está disminuida y
    con la secreción nocturna normal ausente.
•   TSH entre 5-20 revelan hipotiroidismo incipiente,
    usualmente con T3 yT4 normal.

         El hipotiroidismo idiopático es la forma mas común
         de esta patología en el adulto y representa la etapa
         final de una tiroiditis autoinmune. Proceso similar a
         la tiroiditis crónica de Hashimoto en su etapa final.
CAUSAS
•   Congénita
    •   Aplasia o hipoplasia de tiroides
    •   Defectos de biosíntesis o acción de hormonas
•   Adquirida
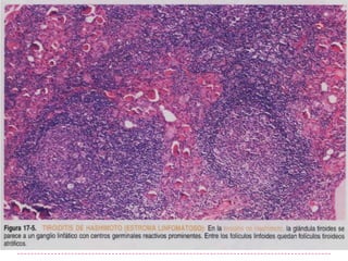
    •   Tiroiditis de Hashimoto (tiroiditis linfocitaria crónica)
        •   Destrucción Autoinmune
    •   Déficit de Yodo
        •   Disminuye síntesis y liberación
    •   Tiroiditis subaguda –granulomatosa- (de Quervain)
        •   Infección viral o proceso inflamatorio posviral
    •   Ablación tiroidea por cirugía, radioterapia con I 131
Tiroiditis de Hashimoto (TLC)
CAUSAS
•   Adquirida
    •   Fármacos: disminuyen síntesis y liberación
        •   Yodo inórganico, yodo orgánico (amiodarona), Tioamidas
            (metimazol), Litio, Tiocianato, Perclorato de Potasio.
    •   Hipopituitarismo
        •   Secreción deficiente de TSH
    •   Enfermedad hipotalámica
        •   Secreción deficiente de TRH
Hipotiroidismo: Fisiopatología
   Endocrinonologia :
      •   Crecimiento enlentecido con retardo del cierre de los
          cartílagos de crecimiento, más depresión de nivel de H de
          crecimiento que depende de H tiroideas.
      •   Puede haber ciclos anovulatorios, menstruación escasa o
          amenorrea 2ª, eventualmente más galactorrea con
          hiperprolactinemia por aumento de TRH. En hombres,
          ginecomastia e infertilidad.
   Metabolismo:
         Colesterol y triglicéridos aumentados por menor actividad de
          lipoproteinlipasa y menor cantidad de receptores de LDL en
          hígado.
Los defectos de la biosíntesis y el déficit
 de yodo se acompañan de reducción de
   la eficacia de la síntesis de hormonas
                                  tiroideas



                   Provoca aumento de la TSH



          Estimula el incremento de tamaño de la
           tiroides como mecanismo compensador
             para superar el bloqueo de la síntesis
                                         hormonal
Hipertiroidismo
HIPERTIROIDISMO
   Exposición de tejidos a cantidades elevadas de
    hormonas tiroideas.
   Cualquier causa de hipertiroidismo se acompaña de
    aumento de H Tiroideas, tiroxina libre(FT4), aunque
    un 5-10% es normal y T3 se encuentra aumentada.
   En el hipertiroidismo 1º TSH está disminuida, no así
    en los casos 2º y 3º en que está aumentada.
Clasificación etiológica: Mecanismo Patogénico
Sobreproducción de Hormona Tiroidea
Enf de Graves Basedow                 Ac estimulante del receptor de TSH
Bocio multinodular tóxico             Hiperfunción autónoma
Adenoma folicular                     Idem
Adenoma hipofisiario                  Hipersecreción de TSH ( rara)
Insensibilidad hipofisiaria           Resistencia a H Tiroidea
Enfermedad hipotalámica               Exceso de TRH (rara)
Tu de células germinales (mola o      Estimulación de HCG
coriocarcinoma)
Ca tiroideo folicular metastasico     Metástasis funcionales



Destrucción de glándula tiroides

Tiroiditis linfocítica                 Liberación de H almacenada
Tiroiditis granulomatosa subaguda      Idem
Tiroiditis de Hashimoto                Idem
ENFERMEDAD DE GRAVES
•   Principal causa de hipertiroidismo.
•   Descrita en 1786.
•   Incidencia (USA) 0,4% de la población.
•   Predomina en el sexo femenino
ENFERMEDAD DE GRAVES
•    Se asocia a bocio difuso
•    90% de los enfermos tienen Ac TSH-R(estimulante)
    contra receptores de membrana folicular.
•   Se asocia a: HLA-B8 y DR3
•   Asociación a otros trastornos autoinmunitarios
      •   Trastorno endocrino
             DM
             Enfermedad de Addison
             Orquitis u ooforitis autoinmunes.
             Hipoparatiroidismo idiopático.
Enfermedad de Graves
   Características
       Hipertiroidismo
       Bocio difuso
       Oftalmopatia
       Edema Pretibial
   General:
       Aumento de temperatura y sudoración
       Perdida de peso, aumento de apetito.
   Piel y faneras:
       Piel sudorosa y aumento de temperatura local.
       Hipo pigmentación (autoinmunidad y no TSH)
       Mixedema pretibial y dermopatìa infiltrativa.
       Pelo fino y quebradizo, uñas de Plummer.
   Cardiovascular:
       Aumento de receptores ß determinando mayor sensibilidad a las catecolaminas,
        aunque estas están normales.
       Aumento de frecuencia Cardiaca, contractilidad miocárdica y baja resistencia
        periférica: puede llevar a TPSV y FA e ICC de alto gasto cardiaco.
Enfermedad de Graves : Hipertiroidismo
•   Sistema digestivo:
       Aumento del tránsito intestinal.
•   Sistema osteotendineomuscular:
       Hiperreflexia osteotendinea con fase de relajación
        rápida.
       Debilidad y atrofia muscular: miopatía hipertiroidea.
       Aumenta reabsorción ósea con posibilidad de
        osteopenia, con hipercalcemia e hipercalciuria.
•   Trastornos hematopoyéticos:
       Anemia perniciosa.
•   Sistema nervioso:
       Nerviosismo, irritabilidad, inquietud, manía y psicosis.
Enfermedad de Graves : Hipertiroidismo
•   Sistema endocrino:
       Hiperglicemia postprandial precoz y de corta duración y
        aumento de requerimientos de insulina en DM.
       Trastornos menstruales inconstantes: oligomenorrea y
        disminución de la fertilidad. En el varón, impotencia y
        baja en la fertilidad por alteración de metabolismo de
        hormonas esteroidales.
•   Metabolismo:
       Colesterol total bajo asociado a aumento de receptores
        hepáticos.
       Aumento en la degradación de las proteínas con balance
        nitrogenado negativo.
Enfermedad de Graves : Bocio
•   Aumento uniforme de la glándula tiroides.
•   Palpación
    •   superficie lisa
    •   Blanda
    •   firme.
•   Nunca produce compresión.
•   Aumento de la vascularización.
Enfermedad de Graves : oftalmopatia
•   Oftalmopatia no infiltrativa
       Oftalmopatia palpebrorretractil – benigna y proporcional
        a hipertiroidismo.
•   Oftalmopatia infiltrativa
       No vinculado al grado de hipertiroidismo.
       Patogenia autoinmune.
       Infiltración del tejido retroorbitario
       Afectación de modo desigual a ojos.
Crisis tirotóxica
•   Complicación de extraordinaria gravedad.
•   Complicación propia del Graves.
•   Comienzo brusco, con taquicardia o fibrilación
    auricular, diarrea profusa más deshidratación,
    ansiedad, agitación psicomotora, coma y muerte.
•   Mortalidad 20%
BOCIOS MULTINODULARES Y
        DIFUSOS
INTRODUCCION
Los bocios multinodulares y
difusos reflejan el defecto de
sintesis de hormonas tiroidea




 Dieta deficiente en yodo




sintesis de hormonas tiroideas
                                   TSH        Hipertrofia e hiperplasia
            Alterada                       De las cel. Foliculares tirodeas
Compensa de        Estado metabolico
                                 deficiencia hormonal       eutiroidea



Incremento compensatorio de la
masa funcional de la glandula




                                  Defecto congenito       Hipotiroidismo
                                   en la biosintesis       bociogenico
BOCIO DIFUSO NO TOXICO (SIMPLE)
                        Representa una forma de bocio que afecta difusamente a la
                             totalidad de la glandula sin producir nodularidad



               BOCIO ENDEMICO                                      BOCIO ESPORADICO
•   Ocurre en areas geograficas donde la             •   Ocurre menos frecuentemente que el
    tierra, agua y alimentos suplementarios              bocio endemico.
    contienen solo bajas concentraciones de          •   Hay un notable predominio femenino y un
    yodo.                                                pico de incidencia en la pubertad o en la
•   La falta de yodo desciende la sintesis de            vida adulta joven.
    hormonas tiroideas e incrementa                  •   Puede estar causado por ingesta de
    compensatoriamente la TSH, lo que                    productos que interfieren con la sintesis
    conlleva a una hipertrofia e hiperplasia de          de hormona tiroidea.
    las celulas foliculares y un aumento             •   Puede deberse a efectos enzimaticos
    bociogenico.                                         hereditarios todos transmitidos por
•   El aumento en la suplementacion de yodo              herencia autosomica recesiva .
    en la dieta ha disminuido la frecuencia y
    gravedad del bocio endemico.
Morfologia
 Puede identificarse 2 fase:

         -Fase Hiperplasica                   -Fase de involucion coloidea

La glandula tiroides esta difusa y            Si la dieta de yodo aumenta
simetricamente aumentada, aunque el           posteriormente , o si la demanda de
incremento es usualmente moderado y la        hormonas tiroideas desciende, el epitelio
glandula raramente excede de 100 a 150g.      folicular estimulado involuciona hasta
                                              formar una glandula aumentada, rica en
Los foliculos estan delimitados por celulas   coloide (bocio coloide).
columnares que pueden apilarse y formar
proyecciones.                                  En estos casos, la superficie de corte de
                                              la glandula tiroides es usualmente
El acumulo no es uniforme a traves de la      marron, algo cristalina y translucida.
glandula, y algunos foliculos estan
enormemente distendidos, mientras que         HISTOLOGICAMENTE: el epitelio folicular
otros permanecen pequenos.                    es aplanado y cuboidal, y el coloide es
                                              abundante durante los periodos de
                                              involucion.
Curso clinico
.

    • Clinicamente eutiroideos
    • Manifestaciones clinicas relacionadas al
      efecto de masa
    • Concentraciones serica de T3 y T4 son
      normales.
    • TSH serica elevada
    • En ninos el bocio causado por un defecto
      biosintetico congenito, puede inducir
      cretinismo
BOCIO MULTINODULAR
Con el tiempo, los episodios recurrentes de hiperplasia e involucion combinada producen un aumento
mas irregular de la glandula tiroides, denominada bocio multinodular

Los bocios multinodulares producen los aumentos tiroideos mas extremos, y se confunden mas
frecuentemente que cualquier otra forma de enfermedad tiroidea de afectacion neoplasica
Aparecen en forma esporadica y endemica
Tienen la misma distribucion mujer-hombre, y presumiblemente el mismo origen.
Afectan a individuos mayores.
Se cree que los bocios multinodulares puede originarse como consecuencia de diferencias entre las
celulas foliculares en la respuesta a los estimulos extrenos.
Si en un foliculo algunas celulas tienen mayor potencial de crecimiento, dichas celulas desarrollaran
clones de celulas proliferantes. Esto puede determinar la formacion de un nodulo que podria crecer de
forma autonoma
Con una hiperplasia folicular tan irregular, se produce la generacion de nuevos foliculos , el acumulo
desigual de coloide, tensiones y estreses que conducen a la rotura de los foliculos y vasos, seguida por
hemorragia, cicatrizacion y a veces calcificaciones. La cicatrizacion se anade a las tensiones , y de esta
forma ciclica se forman los nodulos. Mas aun, la red de la estroma preexistente de la glandula puede
encerrar areas de parenquima expandido, contribuyendo a la nodularidad.
morfologia
•   Multilobulados, asimetricos y producen aumentos de tamano de las glandulas que pueden
    lograr un peso de mas de 2000g
•   El patron de aumento es bastante impredecible y puede afectar a un lobulo mas que a otro,
    provocando una presion lateral, sobre la traquea y el esofago.

•   En otros casos el bocio crece detras del esternon y las claviculas produciendo lo que se
    denomina bocio intratoracico o sumergido.

•   Ocasionalmente, la mayoria del mismo se encuentra oculto detras de la traquea y el esofago;
    en otros casos solo sobresale un nodulo, dando la apariencia de un nodulo solitario.

•   Al corte se observan nodulos irregulares que contienen cantidades variables de coloides
    marron y gelatinoso. Son frecuentes los cambios regresivos, particularmente en las lesiones
    mas antiguas, e incluyen areas de hemorregia, fibrosis, calcificacion y cambios quisticos.

•   La apariencia microscopica revela foliculos ricos en coloides delimitados por epitelio inactivo
    adelgazado y areas de hipertrofia epitelial folicular e hiperplasia
Curso clinico

•   Manifestaciones causadas por el efecto
    masa
•   Obstruccion de la via aerea
•   Disfagia
•   Compresion de los vasos largos en el
    cuello y torax superior
•   Eutiroideos
•   Puede desarrollarse un nodulo
    hiperfuncionante y desarrollar
    hipertiroidismo
Tratamiento
   La cirugía rara vez está indicada en el bocio difuso.


          Son excepciones a esta regla la existencia documentada de
       compresión traqueal o de obstrucción del estrecho torácico superior




   El yodo radiactivo reduce el bocio
    aproximadamente en 50% en la mayoría de los
    pacientes
Tratamiento
   La dosis de I depende del tamaño del bocio y de la
    captación de yodo radiactivo.

   Compresión traqueal aguda: puede ser necesario el
    tratamiento con glucocorticoides o cirugía.

   La cirugía sigue siendo muy eficaz

Bocio

  • 1.
  • 2.
    Aumento del volumen de la glándula tiroides, a expensas del tejido propiamente tiroideo, ya sea por hiperplasia o desarrollo de adenomas o carcinoma, que se traduce en una tumoración en la parte antero inferior del cuello.  La principal causa es un déficit en la formación y secreción de hormonas tiroideas.
  • 3.
    El tamaño y peso de la tiroides se correlaciona con la edad, peso, talla e ingesta de yodo, la media es de unos 20g  Cada uno de los lóbulos mide aproximadamente 4x2x2 cm  Difusos  Nodulares  Tumores y Neoplasias
  • 7.
  • 8.
    Hormona Tiroidea  Incrementa el metabolismo y la síntesis de proteínas en prácticamente todos los tejidos del organismo.  Hipotiroidismo: produce una disminución en la tasa metabólica, una acumulación de sustancias hidrofílicas mucopolisacáridas (mixedema) en el tejido conectivo del cuerpo, y una elevación en el colesterol sérico.  Hipertiroidismo: produce un aumento en la tasa metabólica y el consumo de oxígeno, uso incrementado de insumos metabólicos y un aumento de la respuesta del sistema nervioso simpático.
  • 9.
    Tejido Efecto Mecanismo Blanco Cronotrópico Aumenta Nº y afinidad de receptores β Corazon Aumenta respuesta a catecolaminas. Inotrópico Aumenta la proporción de cadena pesada αde miosina Tejido adiposo Catabólico Estimula la lipólisis Músculo Catabólico Aumenta desdoblamiento proteíco Desarrollo y Estimula desarrollo y crecimiento esquelético normal y Hueso Metabolismo recambio oseo En el SNC Promueve desarrollo normal desarrollo Intestino Metabólico Aumenta velocidad de absorción de carbohidratos Lipoproteína Metabólico Estimula formación de receptores de LDL Estimula el consumo de O2 por tejidos Otro Calorigénico metabólicamente activos. Aumenta metabolismo basal.
  • 10.
    Manifestaciones clínicas  La mayor parte de los bocios son asintomáticos.  La exploración de un bocio difuso revela una glándula con:  Aumento de tamaño simétrico  Excepto: crónico  No hipersensible  Excepto: T. de Quervain  Generalmente blanda  Sin nódulos palpables.
  • 11.
    GRADO DE BOCIO CARACTERISTICAS GRADO 0 No hay bocio palpable ni visible. Una masa en el cuello, compatible con una tiroides agrandada, palpable pero no visible con el cuello en posición normal. Se GRADO 1 mueve hacia arriba, cuando la persona deglute. Pueden ocurrir alteraciones nodulares aun cuando la tiroides no esté visiblemente agrandada. Una masa en el cuello visible con el cuello en posición normal, GRADO 2 compatible con una tiroides agrandada cuando se palpa el cuello. GRADO 3 Deforma el cuello GRADO 4 Deforma el cuello a tal grado que se ve de atrás
  • 12.
    Si el bocio tiene el tamaño suficiente puede finalmente provocar síntomas compresivos como:  Disfagia  Disnea (compresión traqueal)  Plétora (congestión venosa) La desviación de la tráquea es frecuente, pero la compresión habitualmente debe superar 70% del diámetro traqueal para que se produzca una afección importante de la vía respiratoria.
  • 13.
    Según tiempo  Aguda  Involución de la glándula a su forma normal  Crónica  Mantención del bocio  Cuadros agudos a repetición  Bocio multinodular
  • 14.
  • 15.
    Asociado a eu o hipotiroidismo  Deficiencia de Yodo: falla de síntesis (endémico si +10%)  Exceso de Yodo: bloqueo de secreción  Bociógeno en dieta (col, yuca, nabo): fallo de biosíntesis  Fármacos bociógenos: bloquean secreción  Congénitas: varios defectos de biosíntesis  Transporte, organificación, síntesis anormal de tiroglobulina, interrelación anormal de yodotirosina, deterioro de proteolisis de tiroglobulina, deyodación defectuosa.  Resistencia central o periférica a hormonas tiroideas  Anormalidad del receptor
  • 16.
    Asociado a hipertiroidismo  Enfermedad de Graves  Ac. Estimulador de TSH-R Medición de hormonas totales  Bocio multinodular tóxico • T4 Total: (5 – 9 ugs /dl) • T3 Total: (0.08 – 0.12 ugs /dl)  Hiperfunción autónoma  Tumor de celulas germinales  Sobrestimulación de tiroides Las determinaciones de  Adenoma hipofisiario hormonas libres dan una extrapolación de la real función  Sobreproducción de TSH de la glándula tiroides.  Tiroiditis  Crecimiento debido a infiltración y edema
  • 17.
    BASIC THYROID EVALUATION FREETHYROXINE or FT4 PRIMARY NTI or Pt. SECONDARY HYPERTHYROID on ELTROXIN HYPERTHYROID SUB-CLINICAL SUB-CLINICAL HYPERTHYROID EUTHYROID HYPOTHYROID SECONDARY NON THYROID PRIMARY HYPOTHYROID ILLNESS - NTI HYPOTHYROID LOW NORMAL HIGH THYROID STIMULATING HORMONE - TSH
  • 18.
  • 19.
    Hipotiroidismo • Niveles bajos de T3 y T4 séricas, T4 libre siempre está bajo. • TSH está elevado(>20mU/L) y con secreción nocturna intacta , salvo en caso de enfermedad hipofisaria o hipotalámica, en que está disminuida y con la secreción nocturna normal ausente. • TSH entre 5-20 revelan hipotiroidismo incipiente, usualmente con T3 yT4 normal. El hipotiroidismo idiopático es la forma mas común de esta patología en el adulto y representa la etapa final de una tiroiditis autoinmune. Proceso similar a la tiroiditis crónica de Hashimoto en su etapa final.
  • 20.
    CAUSAS • Congénita • Aplasia o hipoplasia de tiroides • Defectos de biosíntesis o acción de hormonas • Adquirida • Tiroiditis de Hashimoto (tiroiditis linfocitaria crónica) • Destrucción Autoinmune • Déficit de Yodo • Disminuye síntesis y liberación • Tiroiditis subaguda –granulomatosa- (de Quervain) • Infección viral o proceso inflamatorio posviral • Ablación tiroidea por cirugía, radioterapia con I 131
  • 21.
  • 27.
    CAUSAS • Adquirida • Fármacos: disminuyen síntesis y liberación • Yodo inórganico, yodo orgánico (amiodarona), Tioamidas (metimazol), Litio, Tiocianato, Perclorato de Potasio. • Hipopituitarismo • Secreción deficiente de TSH • Enfermedad hipotalámica • Secreción deficiente de TRH
  • 28.
    Hipotiroidismo: Fisiopatología  Endocrinonologia : • Crecimiento enlentecido con retardo del cierre de los cartílagos de crecimiento, más depresión de nivel de H de crecimiento que depende de H tiroideas. • Puede haber ciclos anovulatorios, menstruación escasa o amenorrea 2ª, eventualmente más galactorrea con hiperprolactinemia por aumento de TRH. En hombres, ginecomastia e infertilidad.  Metabolismo:  Colesterol y triglicéridos aumentados por menor actividad de lipoproteinlipasa y menor cantidad de receptores de LDL en hígado.
  • 30.
    Los defectos dela biosíntesis y el déficit de yodo se acompañan de reducción de la eficacia de la síntesis de hormonas tiroideas Provoca aumento de la TSH Estimula el incremento de tamaño de la tiroides como mecanismo compensador para superar el bloqueo de la síntesis hormonal
  • 31.
  • 32.
    HIPERTIROIDISMO  Exposición de tejidos a cantidades elevadas de hormonas tiroideas.  Cualquier causa de hipertiroidismo se acompaña de aumento de H Tiroideas, tiroxina libre(FT4), aunque un 5-10% es normal y T3 se encuentra aumentada.  En el hipertiroidismo 1º TSH está disminuida, no así en los casos 2º y 3º en que está aumentada.
  • 33.
    Clasificación etiológica: MecanismoPatogénico Sobreproducción de Hormona Tiroidea Enf de Graves Basedow Ac estimulante del receptor de TSH Bocio multinodular tóxico Hiperfunción autónoma Adenoma folicular Idem Adenoma hipofisiario Hipersecreción de TSH ( rara) Insensibilidad hipofisiaria Resistencia a H Tiroidea Enfermedad hipotalámica Exceso de TRH (rara) Tu de células germinales (mola o Estimulación de HCG coriocarcinoma) Ca tiroideo folicular metastasico Metástasis funcionales Destrucción de glándula tiroides Tiroiditis linfocítica Liberación de H almacenada Tiroiditis granulomatosa subaguda Idem Tiroiditis de Hashimoto Idem
  • 34.
    ENFERMEDAD DE GRAVES • Principal causa de hipertiroidismo. • Descrita en 1786. • Incidencia (USA) 0,4% de la población. • Predomina en el sexo femenino
  • 35.
    ENFERMEDAD DE GRAVES • Se asocia a bocio difuso • 90% de los enfermos tienen Ac TSH-R(estimulante) contra receptores de membrana folicular. • Se asocia a: HLA-B8 y DR3 • Asociación a otros trastornos autoinmunitarios • Trastorno endocrino  DM  Enfermedad de Addison  Orquitis u ooforitis autoinmunes.  Hipoparatiroidismo idiopático.
  • 36.
    Enfermedad de Graves  Características  Hipertiroidismo  Bocio difuso  Oftalmopatia  Edema Pretibial  General:  Aumento de temperatura y sudoración  Perdida de peso, aumento de apetito.  Piel y faneras:  Piel sudorosa y aumento de temperatura local.  Hipo pigmentación (autoinmunidad y no TSH)  Mixedema pretibial y dermopatìa infiltrativa.  Pelo fino y quebradizo, uñas de Plummer.  Cardiovascular:  Aumento de receptores ß determinando mayor sensibilidad a las catecolaminas, aunque estas están normales.  Aumento de frecuencia Cardiaca, contractilidad miocárdica y baja resistencia periférica: puede llevar a TPSV y FA e ICC de alto gasto cardiaco.
  • 37.
    Enfermedad de Graves: Hipertiroidismo • Sistema digestivo:  Aumento del tránsito intestinal. • Sistema osteotendineomuscular:  Hiperreflexia osteotendinea con fase de relajación rápida.  Debilidad y atrofia muscular: miopatía hipertiroidea.  Aumenta reabsorción ósea con posibilidad de osteopenia, con hipercalcemia e hipercalciuria. • Trastornos hematopoyéticos:  Anemia perniciosa. • Sistema nervioso:  Nerviosismo, irritabilidad, inquietud, manía y psicosis.
  • 38.
    Enfermedad de Graves: Hipertiroidismo • Sistema endocrino:  Hiperglicemia postprandial precoz y de corta duración y aumento de requerimientos de insulina en DM.  Trastornos menstruales inconstantes: oligomenorrea y disminución de la fertilidad. En el varón, impotencia y baja en la fertilidad por alteración de metabolismo de hormonas esteroidales. • Metabolismo:  Colesterol total bajo asociado a aumento de receptores hepáticos.  Aumento en la degradación de las proteínas con balance nitrogenado negativo.
  • 39.
    Enfermedad de Graves: Bocio • Aumento uniforme de la glándula tiroides. • Palpación • superficie lisa • Blanda • firme. • Nunca produce compresión. • Aumento de la vascularización.
  • 41.
    Enfermedad de Graves: oftalmopatia • Oftalmopatia no infiltrativa  Oftalmopatia palpebrorretractil – benigna y proporcional a hipertiroidismo. • Oftalmopatia infiltrativa  No vinculado al grado de hipertiroidismo.  Patogenia autoinmune.  Infiltración del tejido retroorbitario  Afectación de modo desigual a ojos.
  • 42.
    Crisis tirotóxica • Complicación de extraordinaria gravedad. • Complicación propia del Graves. • Comienzo brusco, con taquicardia o fibrilación auricular, diarrea profusa más deshidratación, ansiedad, agitación psicomotora, coma y muerte. • Mortalidad 20%
  • 43.
  • 44.
    INTRODUCCION Los bocios multinodularesy difusos reflejan el defecto de sintesis de hormonas tiroidea Dieta deficiente en yodo sintesis de hormonas tiroideas TSH Hipertrofia e hiperplasia Alterada De las cel. Foliculares tirodeas
  • 45.
    Compensa de Estado metabolico deficiencia hormonal eutiroidea Incremento compensatorio de la masa funcional de la glandula Defecto congenito Hipotiroidismo en la biosintesis bociogenico
  • 46.
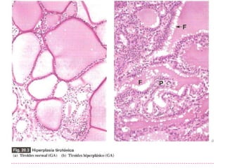
    BOCIO DIFUSO NOTOXICO (SIMPLE) Representa una forma de bocio que afecta difusamente a la totalidad de la glandula sin producir nodularidad BOCIO ENDEMICO BOCIO ESPORADICO • Ocurre en areas geograficas donde la • Ocurre menos frecuentemente que el tierra, agua y alimentos suplementarios bocio endemico. contienen solo bajas concentraciones de • Hay un notable predominio femenino y un yodo. pico de incidencia en la pubertad o en la • La falta de yodo desciende la sintesis de vida adulta joven. hormonas tiroideas e incrementa • Puede estar causado por ingesta de compensatoriamente la TSH, lo que productos que interfieren con la sintesis conlleva a una hipertrofia e hiperplasia de de hormona tiroidea. las celulas foliculares y un aumento • Puede deberse a efectos enzimaticos bociogenico. hereditarios todos transmitidos por • El aumento en la suplementacion de yodo herencia autosomica recesiva . en la dieta ha disminuido la frecuencia y gravedad del bocio endemico.
  • 47.
    Morfologia  Puede identificarse2 fase: -Fase Hiperplasica -Fase de involucion coloidea La glandula tiroides esta difusa y Si la dieta de yodo aumenta simetricamente aumentada, aunque el posteriormente , o si la demanda de incremento es usualmente moderado y la hormonas tiroideas desciende, el epitelio glandula raramente excede de 100 a 150g. folicular estimulado involuciona hasta formar una glandula aumentada, rica en Los foliculos estan delimitados por celulas coloide (bocio coloide). columnares que pueden apilarse y formar proyecciones. En estos casos, la superficie de corte de la glandula tiroides es usualmente El acumulo no es uniforme a traves de la marron, algo cristalina y translucida. glandula, y algunos foliculos estan enormemente distendidos, mientras que HISTOLOGICAMENTE: el epitelio folicular otros permanecen pequenos. es aplanado y cuboidal, y el coloide es abundante durante los periodos de involucion.
  • 48.
    Curso clinico . • Clinicamente eutiroideos • Manifestaciones clinicas relacionadas al efecto de masa • Concentraciones serica de T3 y T4 son normales. • TSH serica elevada • En ninos el bocio causado por un defecto biosintetico congenito, puede inducir cretinismo
  • 49.
    BOCIO MULTINODULAR Con eltiempo, los episodios recurrentes de hiperplasia e involucion combinada producen un aumento mas irregular de la glandula tiroides, denominada bocio multinodular Los bocios multinodulares producen los aumentos tiroideos mas extremos, y se confunden mas frecuentemente que cualquier otra forma de enfermedad tiroidea de afectacion neoplasica Aparecen en forma esporadica y endemica Tienen la misma distribucion mujer-hombre, y presumiblemente el mismo origen. Afectan a individuos mayores. Se cree que los bocios multinodulares puede originarse como consecuencia de diferencias entre las celulas foliculares en la respuesta a los estimulos extrenos. Si en un foliculo algunas celulas tienen mayor potencial de crecimiento, dichas celulas desarrollaran clones de celulas proliferantes. Esto puede determinar la formacion de un nodulo que podria crecer de forma autonoma Con una hiperplasia folicular tan irregular, se produce la generacion de nuevos foliculos , el acumulo desigual de coloide, tensiones y estreses que conducen a la rotura de los foliculos y vasos, seguida por hemorragia, cicatrizacion y a veces calcificaciones. La cicatrizacion se anade a las tensiones , y de esta forma ciclica se forman los nodulos. Mas aun, la red de la estroma preexistente de la glandula puede encerrar areas de parenquima expandido, contribuyendo a la nodularidad.
  • 51.
    morfologia • Multilobulados, asimetricos y producen aumentos de tamano de las glandulas que pueden lograr un peso de mas de 2000g • El patron de aumento es bastante impredecible y puede afectar a un lobulo mas que a otro, provocando una presion lateral, sobre la traquea y el esofago. • En otros casos el bocio crece detras del esternon y las claviculas produciendo lo que se denomina bocio intratoracico o sumergido. • Ocasionalmente, la mayoria del mismo se encuentra oculto detras de la traquea y el esofago; en otros casos solo sobresale un nodulo, dando la apariencia de un nodulo solitario. • Al corte se observan nodulos irregulares que contienen cantidades variables de coloides marron y gelatinoso. Son frecuentes los cambios regresivos, particularmente en las lesiones mas antiguas, e incluyen areas de hemorregia, fibrosis, calcificacion y cambios quisticos. • La apariencia microscopica revela foliculos ricos en coloides delimitados por epitelio inactivo adelgazado y areas de hipertrofia epitelial folicular e hiperplasia
  • 54.
    Curso clinico • Manifestaciones causadas por el efecto masa • Obstruccion de la via aerea • Disfagia • Compresion de los vasos largos en el cuello y torax superior • Eutiroideos • Puede desarrollarse un nodulo hiperfuncionante y desarrollar hipertiroidismo
  • 55.
    Tratamiento  La cirugía rara vez está indicada en el bocio difuso. Son excepciones a esta regla la existencia documentada de compresión traqueal o de obstrucción del estrecho torácico superior  El yodo radiactivo reduce el bocio aproximadamente en 50% en la mayoría de los pacientes
  • 56.
    Tratamiento  La dosis de I depende del tamaño del bocio y de la captación de yodo radiactivo.  Compresión traqueal aguda: puede ser necesario el tratamiento con glucocorticoides o cirugía.  La cirugía sigue siendo muy eficaz