Patologías del pulmón 
CARMEN KEREM 
FLORIAN RUBIO
PULMÓN
FUNCIÓN 
La principal función del pulmón es excretar 
dióxido de carbono desde la sangre y 
reponer oxigeno. Desde el punto de vista del 
desarrollo, el aparato respiratorio es una 
evaginación de la pared ventral del intestino 
anterior. En la tráquea, que esta en la línea 
media, se forman dos evaginaciones 
laterales, los esbozos pulmonares.
HISTOLOGÍA 
 La estructura microscópica de las paredes 
alveolares (o tabiques alveolares) esta 
formada, desde la sangre hacia el aire, por lo 
siguiente. 
 El endotelio capilar. 
 Una membrana basal con su tejido 
intersticial circundante que separa el 
endotelio del epitelio del revestimiento 
alveolar .
 Epitelio alveolar 
 Macrófagos alveolares.
MALFORMACIONES CONGÉNITAS 
 Hipoplasia pulmonar 
 Quistes del intestino anterior 
 Malformación congénita de las vías aéreas 
pulmonares 
 Secuestro pulmonar
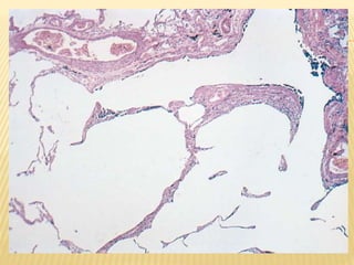
ATELECTASIA (COLAPSO) 
La atelectasia, también conocida como 
colapso, es la perdida del volumen 
pulmonar producida por expansión 
inadecuada de los espacios aéreos. 
 Según el mecanismo subyacente y la 
distribución del colapso alveolar, la 
atelectasia se clasifica en tres formas:
ATELECTASIA (COLAPSO)
SÍNDROME DE DIFICULTAD RESPIRATORIA 
AGUDA 
 El síndrome de dificultad respiratoria aguda 
(SDRA) es un síndrome clínico producido 
por la lesión alveolar, capilar y epitelial 
difusa. 
 La manifestación histológica del SDRA en 
los pulmones se conoce como daño alveolar 
difuso.
(SDRA) 
 Aumenta permeabilidad vascular pulmonar 
 Muerte celular epitelial y endotelial 
 *Daño alveolar difuso
LESIÓN PULMONAR AGUDA
ENFISEMA 
 El enfisema es una enfermedad 
obstructiva crónica de las vías aéreas que 
se caracteriza por una dilatación 
permanente de los espacios aéreos distales 
a los bronquiolos terminales..
 Hay cuatro tipos principales de enfisema: 
 1) Centroacinar 
 2) Panacinar 
 3) Acinar distal, 
 4) Irregular.
BRONQUITIS CRÓNICA 
 La bronquitis crónica se define como la tos 
productiva persistente durante al menos 3 
meses consecutivos en al menos 2 anos 
consecutivos. 
 El tabaquismo es el factor de riesgo 
subyacente mas importante; también 
contribuye la contaminación ambiental.
ASMA BRONQUIAL
El asma es una enfermedad caracterizada 
por unas vías respiratorias hiperreactivas 
que producen episodios reversibles de 
broncoconstricción, de vidas a una 
reactividad excesiva del árbol 
traqueobronquial de diversos estímulos.
Quienes padecen de asma 
sufren de forma 
imprevisible ataques 
incapacitantes de disnea 
intensa, con tos y 
sibilancias, que están 
desencadenados por 
bruscos episodios de 
broncoespasmo.
Clásicamente, el asma se ha dividido en dos 
grandes grupos: 
*El asma extrínseca: se debe a una reacción 
de hipersensibilidad de tipo I inducida por la 
exposición a un antígeno intrínseco 
*El asma intrínseca: se origina por diversos 
mecanismos no inmunitarios, como la toma 
de aspirina, el padecimiento de infecciones 
pulmonares especialmente las causadas por 
virus, el frío, irritantes inhalados el estrés y el 
ejercicio.
PATOGENIA 
 La hiperreactividad bronquial del asma se 
acompaña de inflamación crónica de las 
vías respiratorias en las que participan 
muchas clases de células y mediadores 
de la inflamación.
ASMA ATÓPICA, O ALÉRGICA 
Es la forma más frecuente de asma y suele 
comenzar en la niñez.Lo desencadenan 
antígenos ambientales tales como el 
polvo, el polen, las escamas de animales 
y los alimentos pero cualquier antígeno 
puede ser responsable.
La concentración sérica de IgE suelen estar 
elevadas. Al realizar una prueba cutánea 
con el agente nocivo se produce una 
reacción inmediata de roncha y eritema, 
una manifestación clásicas de las 
reacciones de hipersensibilidad de tipo I 
mediada por la IgE despierta una 
respuesta aguda inmediata y una reacción 
retardada.
ASMA NO ATÓPICA 
El segundo gran grupo e el asma no atópica 
o no reagínica, que a menudo es 
desencadenada por infecciones del 
aparato respiratorio . Los virus (p. ej., 
rinovirus, virus de la parainfluenza).
ASMA INDUCIDA POR FÁRMACOS 
Algunos agentes farmacológicos 
provocan. 
El asma sensible a la aspirina es 
una variedad en cierto sentido 
fascinante, que parece en los 
pacientes con rinitis 
recidivante y pólipos nasales.
ASMA PROFESIONAL 
Esta variedad de asma está favorecida por 
ciertos humos (de epoxi-resinas, 
plásticos), por el polvo de la materia 
orgánica o de sustancias químicas 
(madera, algodon, platino), por gases 
(tolueno) y otros productos químicos 
(formaldehído, compuestos de penicilina).
BRONQUIECTASIAS 
En las bronquiectasias existe una infección 
necrosante crónica de los bronquios que 
da lugar o se asocia a una dilatación 
anormal de estas vías respiratorias. 
Para que sea considerada como 
bronquiectasias, la dilatación reversible es 
frecuente que acompañe a la neumonía 
viral y bacteriana.
ETIOLOGÍA Y PATOGENIA 
La obstrucción y la infección son los 
factores que más influencia tienen en la 
aparición de las bronquiectasias, y es 
probable que ambas sean necesarias para 
la formación de lesiones plenamente 
desarrolladas.Después de la obstrucción 
bronquial.
ENFERMEDADES GRANULOMATOSAS.
SARCOIDOSIS. 
 Enfermedad pulmonar restrictiva y 
multisistémica. 
 Caracterizada por la aparición de granulomas 
en todo el organismo. 
 Pueden ser causadas también por infecciones 
fúngicas y mico bacterianas. 
 Ojos y piel son comprometidos en el 25% de los 
casos. 
 La apreciación de linfoadenopatías en los 
ganglios linfáticos de los hilios pulmonares 
mediante radiografías es frecuente.
EPIDEMIOLOGÍA. 
 Presente en todo el mundo 
 No discrimina, sexo, edad ni edad. 
 Más frecuentes en adultos menores de 40 
años de edad. 
 Población danesa, afroamericana, y suiza 
son focos de atención para la enfermedad. 
 No hay predilección por fumadores.
ETIOLOGÍA Y PATOGÉNESIS. 
 Función anormal de las células CD4. 
 Expansión oligoclonal de subconjuntos de células T como se 
determina por análisis de reordenación del receptor de células T 
 Aumento de los derivados de CD4, tales como IL-2 y IFN-γ, que 
resulta en la expansión de células T y la activación de 
macrófagos. 
 Los aumentos en el entorno local 
(IL-8, TNF, proteína inflamatoria de macrófagos-1α) que 
favorecer el reclutamiento de células T y monocitos adicionales y 
contribuir a la formación de granulomas 
 anergia a antígenos de prueba comunes de la piel, tales como 
Cándida o derivado proteico purificado (PPD), que puede resultar 
de reclutamiento pulmonar de células T CD4 + y la consiguiente 
agotamiento periférico. 
 Hipergammaglobulinemia policlonal.
MORFOLOGÍA. 
MICROSCÓPICAMENTE. 
MACROSCÓPICAMENTE. 
 Células gigantes multinucleadas mezclados formados 
por la fusión de los macrófagos. 
 Fibroblastos Laminados está Presente periférica Al 
granuloma. Con El Tiempo Establecer Colágeno. 
 Inclusiones Estrelladas Encerrados Dentro 
células gigantes. 
 En raras ocasiones, focos de necrosis. 
 En 5% a 15% de los pacientes, los granulomas son 
finalmente reemplazado por fibrosis intersticial difusa 
 El tracto uveal posterior también se ve afectada, con 
el consiguiente coroiditis, retinitis, y la participación del 
nervio óptico. 
 El hígado demuestra lesiones granulomatosas 
microscópicas, generalmente en la tríadas portales, 
casi tan a menudo como el bazo. 
 Los nodos son característicamente 
indoloro y tienen una textura firme y 
elástica 
 Las lesiones cutáneas se encuentran 
en aproximadamente el 25% de 
pacientes. 
 El eritema nudoso, el sello distintivo de 
la sarcoidosis aguda, 
consiste planteadas, rojo, nódulos 
dolorosos en la anterior 
aspectos de las piernas. 
 alrededor de un 
tercera parte de los pacientes 
demuestran hepatomegalia o anormal 
la función hepática
 Otros hallazgos pueden incluir 
hipercalcemia e hipercalciuria. Estos 
cambios no son relacionada con la 
destrucción del hueso, sino más bien son 
causados por un aumento la absorción de 
calcio secundaria a la producción de 
vitamina activa D por parte de los fagocitos 
mononucleares en los granulomas
CARACTERÍSTICAS CLÍNICAS 
 En muchas personas afectadas la enfermedad es totalmente 
asintomáticos. 
 En alrededor de dos tercios de los síntomas de los casos, se 
produce la aparición gradual de las vías respiratorias síntomas 
(dificultad para respirar, tos seca, o malestar subesternal vaga ) o 
constitucionales signos y síntomas (fiebre, fatiga, pérdida de 
peso, anorexia, sudoración nocturna). 
 La sarcoidosis sigue un curso impredecible caracterizado por 
cualquiera de cronicidad progresiva o períodos de actividad 
intercalados con remisiones 
 En general, 65% a 70% de las personas afectadas recuperar 
con manifestaciones residuales mínimas o nulas. Otro 20% 
desarrollan disfunción pulmonar permanente o visual
NEUMONITIS POR HIPERSENSIBILIDAD. 
 La neumonitis por hipersensibilidad es una 
mediación inmunológica enfermedad 
pulmonar inflamatoria que afecta 
principalmente a la alvéolos y es, por tanto, a 
menudo se llama alveolitis alérgica. 
 se trata de una enfermedad profesional que 
resulta de mayor sensibilidad a los antígenos 
inhalados como en heno mohoso
MORFOLOGÍA. 
 El cuadro histopatológico en ambas 
formas agudas y crónicas de 
neumonitis por hipersensibilidad 
incluye células mononucleares 
irregulares que se infiltran en el 
intersticio pulmonar, con una 
característica acentuación peri-bronquial. 
Los linfocitos predominan 
pero las células plasmáticas y 
células epitelioides también están 
presentes. 
 En las formas agudas de la 
enfermedad, un número variable de 
neutrófilos también se puede ver. 
 En los casos crónicos avanzados, 
la fibrosis intersticial difusa 
se produce.
CARACTERÍSTICAS CLÍNICAS 
 La neumonitis por hipersensibilidad puede 
manifestarse ya sea como reacción aguda, con 
fiebre, tos, disnea y constitucional signos y 
síntomas derivados de 4 a 8 horas después de 
la exposición. 
 Enfermedad crónica se caracteriza por un inicio 
insidioso de tos, disnea, malestar general y 
pérdida de peso. 
 Con la forma aguda de esta enfermedad, el 
diagnóstico suele ser evidente
ENFERMEDADES PULMONARES DE 
ORIGEN VASCULAR
FACTORES DE RIESGO FUNDAMENTALES 
 El reposo en cama prolongado (en particular con la 
inmovilización de las piernas) 
 La cirugía, especialmente cirugía ortopédica, de la 
rodilla y la cadera; Severos traumas (incluyendo 
quemaduras o fracturas múltiples) 
 Insuficiencia cardiaca congestiva 
 En las mujeres, el período alrededor del parto 
o la anticoncepción oral el uso de píldoras 
anticonceptivas con alto contenido de estrógeno 
 El cáncer difundido 
 Trastornos primarios de Hipercoagulabilidad
MORFOLOGÍA. 
 Un gran émbolo se puede 
incrustar en la arteria 
pulmonar principal o sus 
ramas principales 
 Los émbolos de menor 
calibre entaponan las 
arterias de mediano y 
pequeño calibre 
 Si el flujo sanguíneo y la 
velocidad del mismo se 
mantiene el parénquima del 
pulmón pero las hemorragias 
pulmonares provocan daño 
al endotelio de los vasos 
sanguíneos de alrededor.
 Aparecerá, áreas rojo-azul 
como planteadas 
en las primeras etapas 
 La superficie pleural 
adyacente 
menudo está cubierto por un 
exudado fibrinoso. 
 Si el vaso ocluido se pueden 
identificar, por lo general se 
encuentra cerca de la 
cúspide de la área infartada. 
 Los glóbulos rojos 
comienzan a lisar plazo de 
48 horas, y el infarto 
palidece, llegando a ser de 
color rojo-marrón como 
hemosiderina se produce.
HIPERTENSIÓN PULMONAR 
 La presión vascular pulmonar es de cerca de 
un octavo de la que se da en la circulación 
sistémica. 
 Si esta alcanza un cuarto de la sistémica o 
más entonces esto se conoce como 
hipertensión pulmonar
PRINCIPALES CAUSAS. 
 Enfermedad pulmonar obstructiva o 
intersticial crónica 
 Embolia pulmonar recurrente 
 Antecedentes de enfermedades cardiacas.
PATOGENESIS. 
 En los estados de hipertensión pulmonar 
secundaria, 
disfunción de la célula endotelial surge como 
consecuencia de la 
trastorno subyacente. 
 Mutaciones Específicamente, la línea germinal 
de 
proteína morfogenética ósea tipo de receptor 2 
(BMPR-2) 
 BMPR-2 disminulle la ploriferacion de celulas 
musculares lisas endoteliares y pulmonares.
MORFOLOGÍA 
Alteraciones vasculares en todas las formas de hipertensión 
pulmonar 
(primaria y secundaria) involucrar a todo el árbol arterial 
1) En las principales arterias elásticas, ateromas 
similares a las de la aterosclerosis sistémica 
2) En arterias musculares de tamaño mediano, la proliferación de 
células endoteliales y células de músculo liso, causando 
engrosamiento de 
la íntima y media con el estrechamiento de los lúmenes; 
3) En las arterias pequeñas y arteriolas, engrosamiento medial 
hipertrofia, y reduplicación de la interna y externa 
membranas elásticas. 
4) Espesor de pared puede exceder el diámetro de la luz, que a 
veces se estrecha hasta el punto de casi obliteración. 
5) Las personas con la hipertensión arterial pulmonar idiopática 
tienen características lesiones plexiformes.
APARICIÓN DE ATEROMAS LOS CUALES SOLO 
APARECER EN GRANDES VASOS.
NOTABLE HIPERTROFIA
LESIÓN PLEXIFORME CARACTERÍSTICA DE 
HIPERTENSIÓN ALVEOLAR AVANZADA
INFECCIONES PULMONARES
 Las infecciones pulmonares o de las vías 
respiratorias son mas frecuentes que la de 
cualquier otro órgano. 
 La gran mayoría son las de las vías respiratorias 
altas.
MECANISMOS DE LIMPIEZA 
Estos pueden ser alterados por muchos factores: 
 Pérdida o supresión del reflejo de la tos. 
 Lesión del Aparato Mucociliar. 
 Interferencia con la acción fagocítica o 
bactericida de los macrófagos alveolares. 
 Congestión y Edema Pulmonar.
NEUMONÍA 
 Se puede definir como cualquier infección del 
parénquima pulmonar, que puede ser causada por 
una amplia variedad de microorganismos.
BRONCONEUMONÍA LOBULILLAR NEUMONÍA LOBAR 
Consolidación parcheada del 
pulmón es la característica 
dominante. La afectación 
parcheada se puede convertir 
en confluente ,para producir la 
consolidación de 
prácticamente todo el lóbulo. 
 Es una infección 
bacteriana que provoca 
consolidación 
fibrinosupurada de una 
gran parte o de todo el 
lóbulo. 
LA NEUMONÍA TIENE DOS PATRONES 
MICROSCÓPICO DE DISTRIBUCIÓN 
ANATÓMICA
Neumonía 
Lobar 
Bronconeumonía Lobulillar
NEUMONÍAS AGUDAS EXTRAHOSPITALARIAS 
Estas pueden ser de origen bacteriana o vírica. La 
infección bacteriana sigue con frecuencia a una 
infección vírica del tracto respiratorio. 
Las principales son: 
 Streptococcus Pneumoniae 
 Haemophilus Influenzae 
 Legionella Pneumophila
STREPTOCOCCUS PNEUMONIAE 
 Causa mas común de neumonía aguda 
extrahospitalaria. 
 El examen de esputo de teñido con gram 
diagnostica la neumonía aguda.
HAEMOPHILUS INFLUENZAE 
 Es una bacteria gram negativa pleomorfa que es 
la causante de infecciones graves en el tracto 
respiratorio. Es un germen colonizador que 
mayormente se ubica en la faringe, en dos 
formas: 
 Encapsulado (5%) 
 No Encapsulado (95%)
HAEMOPHILUS INFLUENZAE
LEGIONELLA PNEUMOPHILA 
 Es el germen causante de la enfermedad de los 
legionarios. 
 La fiebre de Pontiac, es una infección del 
tracto respiratorio superior causada por este 
germen y que causa síntomas neumónicos.
STAPHYLOCOCCUS AUREUS 
 Es una causa importante de neumonia 
bacteriana en los niños y adultos sanos tras 
sufrir una enfermedad respiratoria de origen 
virico.
STAPHYLOCOCCUS AUREUS
CURSO CLÍNICO DE LA NEUMONÍA 
AGUDA EXTRAHOSPITALARIA 
 Comienzo agudo de fiebre alta 
 Escalofríos Intensos 
 Tos 
 Expectoración Mucopurolenta 
 Dolor pleurítico
NEUMONÍA NOSOCOMIAL 
 O también llamadas neumonías adquiridas en el 
hospital durante una estancia en el mismo.
NEUMONÍA POR ASPIRACIÓN 
 Este tipo de neumonía ocurre en pacientes 
con debilidad marcada o que aspiran 
contenido gástrico mientras están 
inconscientes.
ABSCESO PULMONAR 
 El termino “Absceso Pulmonar” describe un 
proceso supurativo local dentro del pulmón, 
caracterizado por necrosis del tejido 
pulmonar. 
 Microscópicamente: Supuración rodeada 
por aéreas variables de cicatrización fibrosa 
e infiltrado mononuclear.
NEUMONÍA CRÓNICA 
 Suele corresponder a una lesión localizada 
en un paciente inmunocompetente, con 
afectación ganglionar regional. La reacción 
inflamatoria típica es granulomatosa y esta 
provocada por bacterias u hongos.
HISTOPLASMOSIS 
La infección por Histoplasma Capsulatum 
se adquiere por inhalación de partículas de 
polvo procedentes de tierra contaminada por 
residuos de aves o murciélagos que 
contengan pequeñas esporas.
BLASTOMICOSIS 
 Blastomyces Dermatitidis en un hongo dimorfo 
habitante del suelo que resulta singularmente 
difícil de aislar. 
 Las lesiones pulmonares de la blastomicosis son 
granulomas supurativos.
COCCIDIOIDOMICOSIS 
La mayoría de las infecciones primarias por 
coccidiodomicosis immitis son 
asintomáticas, pero el 10% de las personas 
tienen lesiones pulmonares, fiebre, tos, y 
dolores pleurales acompañado de eritema 
nudoso.
TUMORES.
CARCINOMAS. 
 Constituyen del 90 al 95% de los tumores 
pulmonares. 
 Son la causa más frecuente de la muerte de 
cáncer en varones y mujeres.
PATOGENIA. 
 Está establecido que el tabaquismo es el factor etiológico 
más importante en la aparición del cáncer del pulmón. 
 Clínicamente, se producen cambios hiperplásicos y atípicos 
en el epitelio bronquial de los fumadores.
LESIONES PRECURSORAS. 
 Displasia escamosa y carcinoma in situ. 
 Hiperplasia adenomatosa atípica 
 Hiperplasia difusa idiopática de células neuroendocrina 
pulmonares.
CLASIFICACIÓN.
CARCINOMA EPIDERMOIDE. 
 Más frecuente en varones. 
 Fumadores. 
 Hallazgos microscópicos: tendencia a 
formar queratina y Existencia de 
puentes intercelulares en variedades 
bien diferenciadas. 
 Se origina en los bronquios centrales 
de mayor tamaño, tiende a extenderse 
localmente.
ADENOCARCINOMA. 
Se manifiesta como una masa 
periféca. 
 Microscópicamente presenta 
formación de glándulas que 
producen mucina y una 
respuesta desmoplástica 
adyacente.
CLÍNICA. 
 Aparece por igual en varones y mujeres 
 Habitualmente no se asocia con el tabaquismo. 
 El pronóstico es relativamente favorable después de la 
resección de un nódulo solitario, pero es malo en la 
enfermedad disusa.
CARCINOMA BRONQUIOLOALVEOLAR. 
 Se origina en las regiones 
bronquioloalveolares terminales. 
 Macroscópicamente: puede haber 
nódulos únicos o múltiples, o una 
consolidación tumoral difusa 
similar a una neumonía. 
 Histológicamente:hay células 
tumorales diferenciadas altas, 
columnares, productoras de 
mucina, dispuestas a lo largo de 
los tabiques alveolares 
conservados y formando 
proyecciones papilares.
CARCINOMA ESCAMOSO. 
 Se origina en el hilio pulmonar 
o cerca del mismo. 
 Macroscópicamente, varía 
desde una neoplasia 
queratinizante bien 
diferenciada hasta tumores 
anaplásicos que tienen 
diferenciación escamosa sólo 
focal.
CARCINOMA DE CÉLULAS PEQUEÑAS. 
 Es el más maligno de los 
cánceres del pulmón, y 
habitualmente aparece aparece 
como un tumor central o hiliar. 
 Microscópicamente incluye nidos 
o grupos de células pequeñas 
similares a granos de avena con 
poco citoplasma y sin 
diferenciación escamosa ni 
glándulas. 
 Pueden presentar gránulos 
neurosecretores.
CARCINOMA DE CÉLULAS GRANDES. 
 Representa carcinomas 
epidermoides o 
adenocarcinomas mal 
diferenciados. 
 Pueden haber variantes 
histológicas peculiares. Ej. 
Con células gigantes, células 
claras o células fusiformes.
CARCINOIDE BRONQUIAL
OTROS TUMORES 
Hamartoma Pulmonar 
Tumores del Mediastino
TUMORES METASTÁSICOS
PLEURA 
 Principales Procesos Primarios de la 
Pleura: 
 1) Las infecciones intrapleurales primarias 
de causa bacteriana , que suponen la 
siembra de este espacio y la formación de 
un foco de infección aislado en el seno de 
una bacteriemia transitoria. 
 2) La aparición de una neoplasia primaria de 
la pleura : el mesotelioma.
DERRAME PLEURAL 
 Se producen acumulaciones de 
trasudado(Hidrotórax) o de exudado serosos 
por : 
1. Ausencia de la presión hidrostática (insuficiencia 
cardiaca) 
2. Aumento de la permeabilidad vascular (neumonía ) 
3. Disminución de la presión osmótica (síndrome 
nefrótico ) 
4. Aumento de la presión intrapleural negativa 
(atelectasia) 
5. Disminución del drenaje linfático (carcinomatosis)
DERRAMES PLEURALES 
INFLAMATORIOS 
 La pleuritis serofibrinosa refleja una inflamación 
pulmonar. 
 La pleuritis supurativas o empiema habitualmente 
refleja una infección del espacio pleural que produce 
acumulación de pus. 
 Se produce una pleuritis hemorrágica por 
trastornos hemorrágico , afectación neoplásica o 
algunas enfermedades por rickettsias.
DERRAMES PLEURALES NO 
INFLAMATORIOS 
Hidrotórax Hemotórax Quilotórax 
Acumulación no 
inflamatoria de 
líquido seroso 
dentro de la 
cavidad pleural. 
Es el derrame de 
sangre en la 
cavidad pleural. 
Acumulación de 
líquido lechoso de 
origen linfático en 
general situado en 
la cavidad pleural 
Unilateral o 
bilateral 
Ruptura de 
aneurisma aórtico 
Aspecto blanco 
lechoso porque 
contiene grasa 
finamente 
emulsionada 
Es un líquido claro 
de color rojizo 
Acompañadas por 
grandes coágulos 
Puede ser bilateral 
pero más 
frecuente en el 
lado izquierdo
NEUMOTÓRAX 
 Neumotórax Espontáneo 
 Neumotórax Traumático 
 Neumotórax Terapéutico 
 Neumotórax Espontáneo Idiopático 
 Neumotórax A tensión
TUMORES PLEURALES 
 Fibroma Pleural (Mesotelioma Benigno) 
 Mesotelioma Maligno
Epitelial Sarcomatoide
GRACIAS POR SU ATENCIÓN!!!

Patologías del pulmón

  • 1.
    Patologías del pulmón CARMEN KEREM FLORIAN RUBIO
  • 2.
  • 3.
    FUNCIÓN La principalfunción del pulmón es excretar dióxido de carbono desde la sangre y reponer oxigeno. Desde el punto de vista del desarrollo, el aparato respiratorio es una evaginación de la pared ventral del intestino anterior. En la tráquea, que esta en la línea media, se forman dos evaginaciones laterales, los esbozos pulmonares.
  • 4.
    HISTOLOGÍA  Laestructura microscópica de las paredes alveolares (o tabiques alveolares) esta formada, desde la sangre hacia el aire, por lo siguiente.  El endotelio capilar.  Una membrana basal con su tejido intersticial circundante que separa el endotelio del epitelio del revestimiento alveolar .
  • 5.
     Epitelio alveolar  Macrófagos alveolares.
  • 6.
    MALFORMACIONES CONGÉNITAS Hipoplasia pulmonar  Quistes del intestino anterior  Malformación congénita de las vías aéreas pulmonares  Secuestro pulmonar
  • 7.
    ATELECTASIA (COLAPSO) Laatelectasia, también conocida como colapso, es la perdida del volumen pulmonar producida por expansión inadecuada de los espacios aéreos.  Según el mecanismo subyacente y la distribución del colapso alveolar, la atelectasia se clasifica en tres formas:
  • 8.
  • 9.
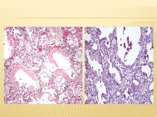
    SÍNDROME DE DIFICULTADRESPIRATORIA AGUDA  El síndrome de dificultad respiratoria aguda (SDRA) es un síndrome clínico producido por la lesión alveolar, capilar y epitelial difusa.  La manifestación histológica del SDRA en los pulmones se conoce como daño alveolar difuso.
  • 10.
    (SDRA)  Aumentapermeabilidad vascular pulmonar  Muerte celular epitelial y endotelial  *Daño alveolar difuso
  • 11.
  • 13.
    ENFISEMA  Elenfisema es una enfermedad obstructiva crónica de las vías aéreas que se caracteriza por una dilatación permanente de los espacios aéreos distales a los bronquiolos terminales..
  • 14.
     Hay cuatrotipos principales de enfisema:  1) Centroacinar  2) Panacinar  3) Acinar distal,  4) Irregular.
  • 16.
    BRONQUITIS CRÓNICA La bronquitis crónica se define como la tos productiva persistente durante al menos 3 meses consecutivos en al menos 2 anos consecutivos.  El tabaquismo es el factor de riesgo subyacente mas importante; también contribuye la contaminación ambiental.
  • 18.
  • 19.
    El asma esuna enfermedad caracterizada por unas vías respiratorias hiperreactivas que producen episodios reversibles de broncoconstricción, de vidas a una reactividad excesiva del árbol traqueobronquial de diversos estímulos.
  • 20.
    Quienes padecen deasma sufren de forma imprevisible ataques incapacitantes de disnea intensa, con tos y sibilancias, que están desencadenados por bruscos episodios de broncoespasmo.
  • 21.
    Clásicamente, el asmase ha dividido en dos grandes grupos: *El asma extrínseca: se debe a una reacción de hipersensibilidad de tipo I inducida por la exposición a un antígeno intrínseco *El asma intrínseca: se origina por diversos mecanismos no inmunitarios, como la toma de aspirina, el padecimiento de infecciones pulmonares especialmente las causadas por virus, el frío, irritantes inhalados el estrés y el ejercicio.
  • 23.
    PATOGENIA  Lahiperreactividad bronquial del asma se acompaña de inflamación crónica de las vías respiratorias en las que participan muchas clases de células y mediadores de la inflamación.
  • 24.
    ASMA ATÓPICA, OALÉRGICA Es la forma más frecuente de asma y suele comenzar en la niñez.Lo desencadenan antígenos ambientales tales como el polvo, el polen, las escamas de animales y los alimentos pero cualquier antígeno puede ser responsable.
  • 25.
    La concentración séricade IgE suelen estar elevadas. Al realizar una prueba cutánea con el agente nocivo se produce una reacción inmediata de roncha y eritema, una manifestación clásicas de las reacciones de hipersensibilidad de tipo I mediada por la IgE despierta una respuesta aguda inmediata y una reacción retardada.
  • 27.
    ASMA NO ATÓPICA El segundo gran grupo e el asma no atópica o no reagínica, que a menudo es desencadenada por infecciones del aparato respiratorio . Los virus (p. ej., rinovirus, virus de la parainfluenza).
  • 28.
    ASMA INDUCIDA PORFÁRMACOS Algunos agentes farmacológicos provocan. El asma sensible a la aspirina es una variedad en cierto sentido fascinante, que parece en los pacientes con rinitis recidivante y pólipos nasales.
  • 29.
    ASMA PROFESIONAL Estavariedad de asma está favorecida por ciertos humos (de epoxi-resinas, plásticos), por el polvo de la materia orgánica o de sustancias químicas (madera, algodon, platino), por gases (tolueno) y otros productos químicos (formaldehído, compuestos de penicilina).
  • 30.
    BRONQUIECTASIAS En lasbronquiectasias existe una infección necrosante crónica de los bronquios que da lugar o se asocia a una dilatación anormal de estas vías respiratorias. Para que sea considerada como bronquiectasias, la dilatación reversible es frecuente que acompañe a la neumonía viral y bacteriana.
  • 31.
    ETIOLOGÍA Y PATOGENIA La obstrucción y la infección son los factores que más influencia tienen en la aparición de las bronquiectasias, y es probable que ambas sean necesarias para la formación de lesiones plenamente desarrolladas.Después de la obstrucción bronquial.
  • 33.
  • 34.
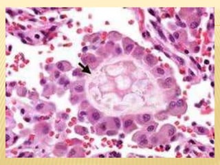
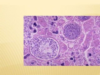
    SARCOIDOSIS.  Enfermedadpulmonar restrictiva y multisistémica.  Caracterizada por la aparición de granulomas en todo el organismo.  Pueden ser causadas también por infecciones fúngicas y mico bacterianas.  Ojos y piel son comprometidos en el 25% de los casos.  La apreciación de linfoadenopatías en los ganglios linfáticos de los hilios pulmonares mediante radiografías es frecuente.
  • 35.
    EPIDEMIOLOGÍA.  Presenteen todo el mundo  No discrimina, sexo, edad ni edad.  Más frecuentes en adultos menores de 40 años de edad.  Población danesa, afroamericana, y suiza son focos de atención para la enfermedad.  No hay predilección por fumadores.
  • 36.
    ETIOLOGÍA Y PATOGÉNESIS.  Función anormal de las células CD4.  Expansión oligoclonal de subconjuntos de células T como se determina por análisis de reordenación del receptor de células T  Aumento de los derivados de CD4, tales como IL-2 y IFN-γ, que resulta en la expansión de células T y la activación de macrófagos.  Los aumentos en el entorno local (IL-8, TNF, proteína inflamatoria de macrófagos-1α) que favorecer el reclutamiento de células T y monocitos adicionales y contribuir a la formación de granulomas  anergia a antígenos de prueba comunes de la piel, tales como Cándida o derivado proteico purificado (PPD), que puede resultar de reclutamiento pulmonar de células T CD4 + y la consiguiente agotamiento periférico.  Hipergammaglobulinemia policlonal.
  • 37.
    MORFOLOGÍA. MICROSCÓPICAMENTE. MACROSCÓPICAMENTE.  Células gigantes multinucleadas mezclados formados por la fusión de los macrófagos.  Fibroblastos Laminados está Presente periférica Al granuloma. Con El Tiempo Establecer Colágeno.  Inclusiones Estrelladas Encerrados Dentro células gigantes.  En raras ocasiones, focos de necrosis.  En 5% a 15% de los pacientes, los granulomas son finalmente reemplazado por fibrosis intersticial difusa  El tracto uveal posterior también se ve afectada, con el consiguiente coroiditis, retinitis, y la participación del nervio óptico.  El hígado demuestra lesiones granulomatosas microscópicas, generalmente en la tríadas portales, casi tan a menudo como el bazo.  Los nodos son característicamente indoloro y tienen una textura firme y elástica  Las lesiones cutáneas se encuentran en aproximadamente el 25% de pacientes.  El eritema nudoso, el sello distintivo de la sarcoidosis aguda, consiste planteadas, rojo, nódulos dolorosos en la anterior aspectos de las piernas.  alrededor de un tercera parte de los pacientes demuestran hepatomegalia o anormal la función hepática
  • 38.
     Otros hallazgospueden incluir hipercalcemia e hipercalciuria. Estos cambios no son relacionada con la destrucción del hueso, sino más bien son causados por un aumento la absorción de calcio secundaria a la producción de vitamina activa D por parte de los fagocitos mononucleares en los granulomas
  • 39.
    CARACTERÍSTICAS CLÍNICAS En muchas personas afectadas la enfermedad es totalmente asintomáticos.  En alrededor de dos tercios de los síntomas de los casos, se produce la aparición gradual de las vías respiratorias síntomas (dificultad para respirar, tos seca, o malestar subesternal vaga ) o constitucionales signos y síntomas (fiebre, fatiga, pérdida de peso, anorexia, sudoración nocturna).  La sarcoidosis sigue un curso impredecible caracterizado por cualquiera de cronicidad progresiva o períodos de actividad intercalados con remisiones  En general, 65% a 70% de las personas afectadas recuperar con manifestaciones residuales mínimas o nulas. Otro 20% desarrollan disfunción pulmonar permanente o visual
  • 40.
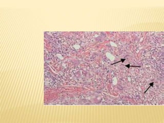
    NEUMONITIS POR HIPERSENSIBILIDAD.  La neumonitis por hipersensibilidad es una mediación inmunológica enfermedad pulmonar inflamatoria que afecta principalmente a la alvéolos y es, por tanto, a menudo se llama alveolitis alérgica.  se trata de una enfermedad profesional que resulta de mayor sensibilidad a los antígenos inhalados como en heno mohoso
  • 42.
    MORFOLOGÍA.  Elcuadro histopatológico en ambas formas agudas y crónicas de neumonitis por hipersensibilidad incluye células mononucleares irregulares que se infiltran en el intersticio pulmonar, con una característica acentuación peri-bronquial. Los linfocitos predominan pero las células plasmáticas y células epitelioides también están presentes.  En las formas agudas de la enfermedad, un número variable de neutrófilos también se puede ver.  En los casos crónicos avanzados, la fibrosis intersticial difusa se produce.
  • 43.
    CARACTERÍSTICAS CLÍNICAS La neumonitis por hipersensibilidad puede manifestarse ya sea como reacción aguda, con fiebre, tos, disnea y constitucional signos y síntomas derivados de 4 a 8 horas después de la exposición.  Enfermedad crónica se caracteriza por un inicio insidioso de tos, disnea, malestar general y pérdida de peso.  Con la forma aguda de esta enfermedad, el diagnóstico suele ser evidente
  • 44.
  • 45.
    FACTORES DE RIESGOFUNDAMENTALES  El reposo en cama prolongado (en particular con la inmovilización de las piernas)  La cirugía, especialmente cirugía ortopédica, de la rodilla y la cadera; Severos traumas (incluyendo quemaduras o fracturas múltiples)  Insuficiencia cardiaca congestiva  En las mujeres, el período alrededor del parto o la anticoncepción oral el uso de píldoras anticonceptivas con alto contenido de estrógeno  El cáncer difundido  Trastornos primarios de Hipercoagulabilidad
  • 46.
    MORFOLOGÍA.  Ungran émbolo se puede incrustar en la arteria pulmonar principal o sus ramas principales  Los émbolos de menor calibre entaponan las arterias de mediano y pequeño calibre  Si el flujo sanguíneo y la velocidad del mismo se mantiene el parénquima del pulmón pero las hemorragias pulmonares provocan daño al endotelio de los vasos sanguíneos de alrededor.
  • 47.
     Aparecerá, áreasrojo-azul como planteadas en las primeras etapas  La superficie pleural adyacente menudo está cubierto por un exudado fibrinoso.  Si el vaso ocluido se pueden identificar, por lo general se encuentra cerca de la cúspide de la área infartada.  Los glóbulos rojos comienzan a lisar plazo de 48 horas, y el infarto palidece, llegando a ser de color rojo-marrón como hemosiderina se produce.
  • 48.
    HIPERTENSIÓN PULMONAR La presión vascular pulmonar es de cerca de un octavo de la que se da en la circulación sistémica.  Si esta alcanza un cuarto de la sistémica o más entonces esto se conoce como hipertensión pulmonar
  • 49.
    PRINCIPALES CAUSAS. Enfermedad pulmonar obstructiva o intersticial crónica  Embolia pulmonar recurrente  Antecedentes de enfermedades cardiacas.
  • 50.
    PATOGENESIS.  Enlos estados de hipertensión pulmonar secundaria, disfunción de la célula endotelial surge como consecuencia de la trastorno subyacente.  Mutaciones Específicamente, la línea germinal de proteína morfogenética ósea tipo de receptor 2 (BMPR-2)  BMPR-2 disminulle la ploriferacion de celulas musculares lisas endoteliares y pulmonares.
  • 51.
    MORFOLOGÍA Alteraciones vascularesen todas las formas de hipertensión pulmonar (primaria y secundaria) involucrar a todo el árbol arterial 1) En las principales arterias elásticas, ateromas similares a las de la aterosclerosis sistémica 2) En arterias musculares de tamaño mediano, la proliferación de células endoteliales y células de músculo liso, causando engrosamiento de la íntima y media con el estrechamiento de los lúmenes; 3) En las arterias pequeñas y arteriolas, engrosamiento medial hipertrofia, y reduplicación de la interna y externa membranas elásticas. 4) Espesor de pared puede exceder el diámetro de la luz, que a veces se estrecha hasta el punto de casi obliteración. 5) Las personas con la hipertensión arterial pulmonar idiopática tienen características lesiones plexiformes.
  • 52.
    APARICIÓN DE ATEROMASLOS CUALES SOLO APARECER EN GRANDES VASOS.
  • 53.
  • 54.
    LESIÓN PLEXIFORME CARACTERÍSTICADE HIPERTENSIÓN ALVEOLAR AVANZADA
  • 55.
  • 56.
     Las infeccionespulmonares o de las vías respiratorias son mas frecuentes que la de cualquier otro órgano.  La gran mayoría son las de las vías respiratorias altas.
  • 57.
    MECANISMOS DE LIMPIEZA Estos pueden ser alterados por muchos factores:  Pérdida o supresión del reflejo de la tos.  Lesión del Aparato Mucociliar.  Interferencia con la acción fagocítica o bactericida de los macrófagos alveolares.  Congestión y Edema Pulmonar.
  • 58.
    NEUMONÍA  Sepuede definir como cualquier infección del parénquima pulmonar, que puede ser causada por una amplia variedad de microorganismos.
  • 59.
    BRONCONEUMONÍA LOBULILLAR NEUMONÍALOBAR Consolidación parcheada del pulmón es la característica dominante. La afectación parcheada se puede convertir en confluente ,para producir la consolidación de prácticamente todo el lóbulo.  Es una infección bacteriana que provoca consolidación fibrinosupurada de una gran parte o de todo el lóbulo. LA NEUMONÍA TIENE DOS PATRONES MICROSCÓPICO DE DISTRIBUCIÓN ANATÓMICA
  • 61.
  • 62.
    NEUMONÍAS AGUDAS EXTRAHOSPITALARIAS Estas pueden ser de origen bacteriana o vírica. La infección bacteriana sigue con frecuencia a una infección vírica del tracto respiratorio. Las principales son:  Streptococcus Pneumoniae  Haemophilus Influenzae  Legionella Pneumophila
  • 63.
    STREPTOCOCCUS PNEUMONIAE Causa mas común de neumonía aguda extrahospitalaria.  El examen de esputo de teñido con gram diagnostica la neumonía aguda.
  • 64.
    HAEMOPHILUS INFLUENZAE Es una bacteria gram negativa pleomorfa que es la causante de infecciones graves en el tracto respiratorio. Es un germen colonizador que mayormente se ubica en la faringe, en dos formas:  Encapsulado (5%)  No Encapsulado (95%)
  • 65.
  • 66.
    LEGIONELLA PNEUMOPHILA Es el germen causante de la enfermedad de los legionarios.  La fiebre de Pontiac, es una infección del tracto respiratorio superior causada por este germen y que causa síntomas neumónicos.
  • 67.
    STAPHYLOCOCCUS AUREUS Es una causa importante de neumonia bacteriana en los niños y adultos sanos tras sufrir una enfermedad respiratoria de origen virico.
  • 68.
  • 69.
    CURSO CLÍNICO DELA NEUMONÍA AGUDA EXTRAHOSPITALARIA  Comienzo agudo de fiebre alta  Escalofríos Intensos  Tos  Expectoración Mucopurolenta  Dolor pleurítico
  • 70.
    NEUMONÍA NOSOCOMIAL O también llamadas neumonías adquiridas en el hospital durante una estancia en el mismo.
  • 71.
    NEUMONÍA POR ASPIRACIÓN  Este tipo de neumonía ocurre en pacientes con debilidad marcada o que aspiran contenido gástrico mientras están inconscientes.
  • 73.
    ABSCESO PULMONAR El termino “Absceso Pulmonar” describe un proceso supurativo local dentro del pulmón, caracterizado por necrosis del tejido pulmonar.  Microscópicamente: Supuración rodeada por aéreas variables de cicatrización fibrosa e infiltrado mononuclear.
  • 75.
    NEUMONÍA CRÓNICA Suele corresponder a una lesión localizada en un paciente inmunocompetente, con afectación ganglionar regional. La reacción inflamatoria típica es granulomatosa y esta provocada por bacterias u hongos.
  • 76.
    HISTOPLASMOSIS La infecciónpor Histoplasma Capsulatum se adquiere por inhalación de partículas de polvo procedentes de tierra contaminada por residuos de aves o murciélagos que contengan pequeñas esporas.
  • 78.
    BLASTOMICOSIS  BlastomycesDermatitidis en un hongo dimorfo habitante del suelo que resulta singularmente difícil de aislar.  Las lesiones pulmonares de la blastomicosis son granulomas supurativos.
  • 80.
    COCCIDIOIDOMICOSIS La mayoríade las infecciones primarias por coccidiodomicosis immitis son asintomáticas, pero el 10% de las personas tienen lesiones pulmonares, fiebre, tos, y dolores pleurales acompañado de eritema nudoso.
  • 82.
  • 83.
    CARCINOMAS.  Constituyendel 90 al 95% de los tumores pulmonares.  Son la causa más frecuente de la muerte de cáncer en varones y mujeres.
  • 84.
    PATOGENIA.  Estáestablecido que el tabaquismo es el factor etiológico más importante en la aparición del cáncer del pulmón.  Clínicamente, se producen cambios hiperplásicos y atípicos en el epitelio bronquial de los fumadores.
  • 85.
    LESIONES PRECURSORAS. Displasia escamosa y carcinoma in situ.  Hiperplasia adenomatosa atípica  Hiperplasia difusa idiopática de células neuroendocrina pulmonares.
  • 86.
  • 87.
    CARCINOMA EPIDERMOIDE. Más frecuente en varones.  Fumadores.  Hallazgos microscópicos: tendencia a formar queratina y Existencia de puentes intercelulares en variedades bien diferenciadas.  Se origina en los bronquios centrales de mayor tamaño, tiende a extenderse localmente.
  • 88.
    ADENOCARCINOMA. Se manifiestacomo una masa periféca.  Microscópicamente presenta formación de glándulas que producen mucina y una respuesta desmoplástica adyacente.
  • 89.
    CLÍNICA.  Aparecepor igual en varones y mujeres  Habitualmente no se asocia con el tabaquismo.  El pronóstico es relativamente favorable después de la resección de un nódulo solitario, pero es malo en la enfermedad disusa.
  • 90.
    CARCINOMA BRONQUIOLOALVEOLAR. Se origina en las regiones bronquioloalveolares terminales.  Macroscópicamente: puede haber nódulos únicos o múltiples, o una consolidación tumoral difusa similar a una neumonía.  Histológicamente:hay células tumorales diferenciadas altas, columnares, productoras de mucina, dispuestas a lo largo de los tabiques alveolares conservados y formando proyecciones papilares.
  • 91.
    CARCINOMA ESCAMOSO. Se origina en el hilio pulmonar o cerca del mismo.  Macroscópicamente, varía desde una neoplasia queratinizante bien diferenciada hasta tumores anaplásicos que tienen diferenciación escamosa sólo focal.
  • 92.
    CARCINOMA DE CÉLULASPEQUEÑAS.  Es el más maligno de los cánceres del pulmón, y habitualmente aparece aparece como un tumor central o hiliar.  Microscópicamente incluye nidos o grupos de células pequeñas similares a granos de avena con poco citoplasma y sin diferenciación escamosa ni glándulas.  Pueden presentar gránulos neurosecretores.
  • 93.
    CARCINOMA DE CÉLULASGRANDES.  Representa carcinomas epidermoides o adenocarcinomas mal diferenciados.  Pueden haber variantes histológicas peculiares. Ej. Con células gigantes, células claras o células fusiformes.
  • 94.
  • 95.
    OTROS TUMORES HamartomaPulmonar Tumores del Mediastino
  • 96.
  • 97.
    PLEURA  PrincipalesProcesos Primarios de la Pleura:  1) Las infecciones intrapleurales primarias de causa bacteriana , que suponen la siembra de este espacio y la formación de un foco de infección aislado en el seno de una bacteriemia transitoria.  2) La aparición de una neoplasia primaria de la pleura : el mesotelioma.
  • 98.
    DERRAME PLEURAL Se producen acumulaciones de trasudado(Hidrotórax) o de exudado serosos por : 1. Ausencia de la presión hidrostática (insuficiencia cardiaca) 2. Aumento de la permeabilidad vascular (neumonía ) 3. Disminución de la presión osmótica (síndrome nefrótico ) 4. Aumento de la presión intrapleural negativa (atelectasia) 5. Disminución del drenaje linfático (carcinomatosis)
  • 99.
    DERRAMES PLEURALES INFLAMATORIOS  La pleuritis serofibrinosa refleja una inflamación pulmonar.  La pleuritis supurativas o empiema habitualmente refleja una infección del espacio pleural que produce acumulación de pus.  Se produce una pleuritis hemorrágica por trastornos hemorrágico , afectación neoplásica o algunas enfermedades por rickettsias.
  • 100.
    DERRAMES PLEURALES NO INFLAMATORIOS Hidrotórax Hemotórax Quilotórax Acumulación no inflamatoria de líquido seroso dentro de la cavidad pleural. Es el derrame de sangre en la cavidad pleural. Acumulación de líquido lechoso de origen linfático en general situado en la cavidad pleural Unilateral o bilateral Ruptura de aneurisma aórtico Aspecto blanco lechoso porque contiene grasa finamente emulsionada Es un líquido claro de color rojizo Acompañadas por grandes coágulos Puede ser bilateral pero más frecuente en el lado izquierdo
  • 101.
    NEUMOTÓRAX  NeumotóraxEspontáneo  Neumotórax Traumático  Neumotórax Terapéutico  Neumotórax Espontáneo Idiopático  Neumotórax A tensión
  • 102.
    TUMORES PLEURALES Fibroma Pleural (Mesotelioma Benigno)  Mesotelioma Maligno
  • 103.
  • 104.
    GRACIAS POR SUATENCIÓN!!!