Incrustar presentación
Descargar para leer sin conexión












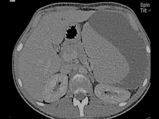
La rotura espontánea del bazo es una causa rara pero potencialmente letal de dolor abdominal que puede deberse a alteraciones congénitas, infecciones, enfermedades metabólicas, neoplasias, inflamación o alteraciones vasculares. Los síntomas incluyen dolor abdominal que se generaliza, distensión abdominal y signos de irritación peritoneal. El diagnóstico se realiza mediante cuadro clínico, exámenes de laboratorio, placa de abdomen, ecografía, lavado peritoneal o TC, y el tratamiento implica líquidos intra










