UNIVERSIDAD DE SAN ANTONIO ABAD DEL
CUSCO
FACULTAD DE MEDICINA HUMANA
CARRERA PROFESIONAL DE MEDICINA
HUMANA

Tumores Óseos
Semiología y clasificación en la región
del Cusco
Docente: Dc. Ostwald Avendaño Tapia

Alumno: Joel Sack Roque Roque

111295-k
Fuente: Libro del servicio de Traumatología y Ortopedia del Hospital Regional del
Cusco 2003-20013

Fecha

Edad

Sexo

Diagnostico

Marzo 2006

14

Femenino

Tumor Óseo en pie
derecho

Junio 2008

17

Femenino

Quiste óseo (no
indica localización)

Octubre 2008

12

Femenino

Quiste óseo
liquido en pierna
izquierda--- biopsia: NM
de células
mesenquimatosas
redondas y fusiformes

Febrero 2009

11

Femenino

Osteocondroma en
tibia derecha

Julio 2009

38

Femenino

Tumor óseo en pie
(no indica que lado)

Febrero 2010

16

Masculino

Osteocondroma en
fémur derecho

Historia
clínica
Fecha

Edad

Sexo

Diagnostico

Mayo 2010

23

Femenino

Tumoración en
dorso del pie
izquierdo

Noviembre
2011

57

Diciembre 2011

21

Femenino

Quiste óseo en
tibia ---- quiste óseo
en rodilla??? (no
indica que lado)

Masculino

Osteocondroma
en dorso de mano
izquierda

Febrero 2012

10

Masculino

Tumor en 1er dedo
de pie izquierdo

Abril 2012

17

Masculino

Tumor óseo en
brazo derecho

Julio 2012

14

Masculino

Tumoración en
mano izquierda

Historia
clínica
¿Cómo se realiza el diagnostico?
Clínica

Imágenes

Anatomía
patológica
Clasificación
• Existen varios tipos de clasificación.
Según JAFFE
– T. óseos primarios (osteosarcoma).
– T. que desarrollan sobre lesiones óseas preexistentes
(osteosarcoma de Paget).
– T. que desarrollan sobre huesos dañados por radiaciones
(sarcoma pélvico en pacientes radiados por lesiones
uterinas).
– T. que invaden huesos de partes blandas vecinas
(rabdomio-sarcoma invasivo).
– T. primarios de articulaciones (sinovioma).
– T. metastásicos del esqueleto (carcinoma prostático).
Clasificación OMS
I. Tumores formadores de Hueso
II. Tumores formadores de Cartílago
III. Tumor de Células gigantes
IV. Tumores de Medula ósea
V. Tumores Vasculares
VI. Tumores de Tejido conectivo
VII. Otros Tumores
VIII. Tumores no clasificados
IX. Lesiones pseudotumorales
Clasificación de tumores óseos. Romeo Tecualt Gómez, Luis Felipe Moreno Hoyos, Rubén Alonso Amaya Zepeda. Medgraphic ,
volumen 4 numero 2. 2008.
Clasificación de tumores óseos. Romeo Tecualt Gómez, Luis Felipe Moreno Hoyos, Rubén Alonso Amaya Zepeda. Medgraphic , volumen 4
Radiology assitant. Bone tumor - A-G Bone tumors and tumor-like lesions in alphabethic order . Henk Jan van de Woude and Robin Smithuis . Radiology
department of the Onze Lieve Vrouwe Gasthuis, Amsterdam and the Rijnland hospital, Leiderdorp, the Netherlands. 2011. Disponible a partir de:
http://www.radiologyassistant.nl/en/p4bc9b15f76a78/bone-tumor-a-g.html#i4bcaa2aed7898
Patología ósea. Dc. Martin Etchart. Pontificia universidad Catolica de Chile. Disponible a partir de:
http://escuela.med.puc.cl/publ/anatomiapatologica/12osteoarticular/12osea.html
http://escuela.med.puc.cl/paginas/publicaciones/anatomiapatologica/12osteoarticular/12osea2.html
Patología ósea. Dc. Martin Etchart. Pontificia universidad Catolica de Chile. Disponible a partir de:
http://escuela.med.puc.cl/publ/anatomiapatologica/12osteoarticular/12osea.html
http://escuela.med.puc.cl/paginas/publicaciones/anatomiapatologica/12osteoarticular/12osea2.html
Radiology assitant. Bone tumor - A-G Bone tumors and tumor-like lesions in alphabethic order . Henk Jan van de Woude and Robin Smithuis . Radiology
condroma
department of the Onze Lieve Vrouwe Gasthuis, Amsterdam and the Rijnland hospital, Leiderdorp, the Netherlands. 2011. Disponible a partir de:
http://www.radiologyassistant.nl/en/p4bc9b15f76a78/bone-tumor-a-g.html#i4bcaa2aed7898
Osteocondroma
• «Excrecencias benignas recubiertas de
cartílago relativamente frecuentes que están
unidas por un tallo óseo al esqueleto
subyacente.»
• «Excresencia ósea recubierta de cartílago que
se desarrolla en la superficie externa del
hueso»
• Su génesis se a atribuido a alteraciones de los
cromosomas 8, 11, y 19
Ortopedia y traumatologia. Silverman , Varaona. Editorial Medica Panamericana. 2da edicion . Pag. 205-219
Robins Patología humana. Kumar, Abbas, Fausto Mitchel. Editorial Elseiver Saunsers. 8va edicion. Pg. 815
• Características clínicas
– Asintomático
– Dolor: complicada con bursitis, fracturas, compresión de
vasos, nervios o tendones.
– Deformidades:
• Braquimelia metapodal de LERI: es un acortamiento de los tres últimos
metacarpianos.
• Mano en bayoneta cubitopalmar de STERN: acortamiento del cúbito
por exostosis que empuja e incurva el radio y la mano se halla en varo.
• deformidad de BESSEL-HAGEN: acortamiento e incurvación del cúbito
con exostosis y luxación anterior de la cabeza del radio.
• Deformidad de MADELUNG, con acortamiento de radio y exostosis en
su extremo distal.

Ortopedia y traumatologia. Silverman , Varaona. Editorial Medica Panamericana. 2da edicion . Pag. 205-219
Hay dos leyes:
• Ley de BESSEL-HAGEN, por la cual el hueso tendría un potencial fijo de
crecimiento, de manera que pierde en longitud lo que utiliza para edificar
la exostosis.
• Ley de RECLUS, que dice que la exostosis se orienta en su crecimiento en
el sentido de la menor resistencia; a veces se puede encontrar una bursa
debido al roce del tumor con los planos superficiales y también puede
malignizarse, dando lugar a un osteosarcoma.
• El osteocondroma presenta brotes de crecimiento coincidentes con los
estirones del crecimiento general;
• en los tumores de poco tiempo de evolución el tamaño clínico es mayor
que la imagen a RX, debido a que predomina el cartílago, cuando ya tiene
tiempo los tamaños se equiparan; la exostosis nace a nivel del cartílago de
conjunción, pero cada vez que el hueso crece, se va alejando, acercándose
a la diáfisis.

Tumores Óseos en general. Tumores Benignos de los Huesos. Dr. Luis Julio Huaroto Rosa-Pérez. Disponible a partir de:
http://sisbib.unmsm.edu.pe/bibvirtual/libros/medicina/cirugia/tomo_ii/tumores_ose_benig.htm
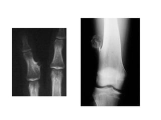
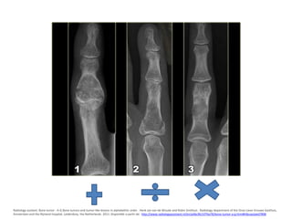
• Diagnostico por imágenes
– Aspecto puede ser sésil o pediculado.
– La cortical y medular del tumor se continúan con
las del hueso.
– los contornos están bien limitados y no presentan
ninguna imagen destructiva; el pedículo es
siempre opaco.
– Pediculado: La parte distal está a menudo
agrandada y puede mostrar un aspecto de gancho,
porra o coliflor.
Ortopedia y traumatologia. Silverman , Varaona. Editorial Medica Panamericana. 2da edicion . Pag. 205-219
• Características anatomo-patologicas
Macroscópica
– El tamaño de los osteocondromas
oscila entre 1 y 20 cm.
– Formas sésiles pueden ser
sumamente aplanadas.
– Pediculados: aspecto alargado y grácil;
la corteza exostal y su manguito
perióstico se continúa con los del
hueso subyacente.
– Esta cubierto por un cartílago hialino
benigno que imita una placa de
crecimiento desorganizado que sufre
una osificación endocondral. Grosor
de 2 a 3 mm, en los adolecentes de 1
cm o más.

Robins Patología humana. Kumar, Abbas, Fausto Mitchel. Editorial Elseiver Saunsers. 8va edicion. Pg. 815
Microscópica
• El cartílago es de tipo hialino y es similar al que se ve en el
cartílago de crecimiento normal, aunque algo más irregular.
• El condrocito benigno posee un núcleo pequeño único, en
los brotes de crecimiento epifisario se aprecian condrocitos
binucleados.
• los condrocitos del casquete condral se muestran
agrupados en espacios lacunares paralelos más largos que
anchos, remedando la disposición del cartílago epifisario
normal. El componente óseo del tumor consiste en
esponjosa anormal que contiene médula hemopoyética o
grasa.

Robins Patología humana. Kumar, Abbas, Fausto Mitchel. Editorial Elseiver Saunsers. 8va edicion. Pg. 815
Robins Patología humana. Kumar, Abbas, Fausto Mitchel. Editorial Elseiver Saunsers. 8va edicion. Pg. 815
Quiste óseo simple
• Formación quística de localización
metafisiaria, unicameral.
• Edad de presentación :5-15 años
• Sexo: relación V/M: 2/1
• Localización: metafisiaria, extremidad superior
de humero, fémur y tibia.

Ortopedia y traumatologia. Silverman , Varaona. Editorial Medica Panamericana. 2da edicion . Pag. 205-219
• Clínica: dolor o fractura patológica.
• Radiología
– Formación osteolitica (radiolucida) circunscripta,
central, que afecta todo el diámetro del segmento
comprometido. Bordes netos, con esbozos de
trabeculatura o crestas en su interior.

• Histología
– Membrana fibrohistiocitiaria con algunas células
gigantes.
Ortopedia y traumatologia. Silverman , Varaona. Editorial Medica Panamericana. 2da edicion . Pag. 205-219
Tumores Óseos en general. Tumores Benignos de los Huesos. Dr. Luis Julio Huaroto Rosa-Pérez. Disponible a partir de:
http://sisbib.unmsm.edu.pe/bibvirtual/libros/medicina/cirugia/tomo_ii/tumores_ose_benig.htm
Radiology assitant. Bone tumor - A-G Bone tumors and tumor-like lesions in alphabethic order . Henk Jan van de Woude and Robin Smithuis . Radiology department of the Onze Lieve Vrouwe
Gasthuis, Amsterdam and the Rijnland hospital, Leiderdorp, the Netherlands. 2011. Disponible a partir de: http://www.radiologyassistant.nl/en/p4bc9b15f76a78/bone-tumor-a-
Condroma
• Tumor benigno caracterizado por la formación
de cartílago maduro.
• Puede ser central (encondroma) o periférico.
• Es muy frecuente y se ubica de preferencia en
los huesos de manos y pies; puede ser
múltiple (condromatosis) y sistematizada (en
un hemicuerpo: enfermedad de Ollier) o
asociarse con hemangiomas cutáneos o
viscerales (sindrome de Maffucci).
Ortopedia y traumatologia. Silverman , Varaona. Editorial Medica Panamericana. 2da edicion . Pag. 205-219
Radiology assitant. Bone tumor - A-G Bone tumors and tumor-like lesions in alphabethic order . Henk Jan van de Woude and Robin Smithuis . Radiology
department of the Onze Lieve Vrouwe Gasthuis, Amsterdam and the Rijnland hospital, Leiderdorp, the Netherlands. 2011. Disponible a partir de:
http://www.radiologyassistant.nl/en/p4bc9b15f76a78/bone-tumor-a-g.html#i4bcaa2aed7898
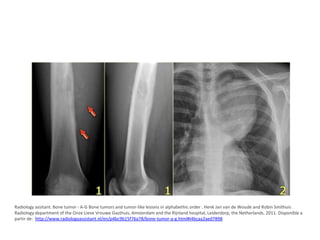
• Características clínicas
– Son asintomáticos
– Se DX luego de una fractura patológica o al tomar RX por
otras razones

• Diagnostico por imágenes.
– Lesión metafisiaria o diafisiaria lítica, radiolucida,
expansiva, con calcificaciones moteadas en su interior.

• Características anatomo-patologicas
– Macro y microscópicamente las lesiones son lobuladas
– Matriz condroide presenta células tumorales de núcleos
pequeños, uniformes, raramente dobles.
– A veces áreas de calcificación y osificación endocondral.
Ortopedia y traumatologia. Silverman , Varaona. Editorial Medica Panamericana. 2da edicion . Pag. 205-219
Radiology assitant. Bone tumor - A-G Bone tumors and tumor-like lesions in alphabethic order . Henk Jan van de Woude and Robin Smithuis . Radiology department of the Onze Lieve Vrouwe Gasthuis,
Amsterdam and the Rijnland hospital, Leiderdorp, the Netherlands. 2011. Disponible a partir de: http://www.radiologyassistant.nl/en/p4bc9b15f76a78/bone-tumor-a-g.html#i4bcaa2aed7898
Tumor de células gigantes
• Tumor agresivo, caracterizado por tejido muy
vascularizado, constituido por células ovoides
o fusiformes, y por la presencia de numerosas
células gigantes de tipo osteoclastico
distribuidas de manera uniforme por todo el
tejido tumoral. OMS
Radiology assitant. Bone tumor - A-G Bone tumors and tumor-like lesions in alphabethic order . Henk Jan van de Woude and Robin Smithuis .
Radiology department of the Onze Lieve Vrouwe Gasthuis, Amsterdam and the Rijnland hospital, Leiderdorp, the Netherlands. 2011. Disponible a
partir de: http://www.radiologyassistant.nl/en/p4bc9b15f76a78/bone-tumor-a-g.html#i4bcaa2aed7898
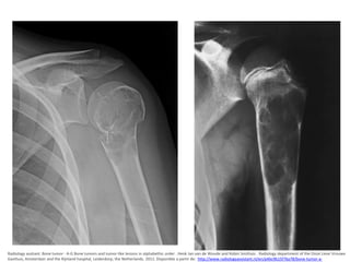
• CARACTERISTICAS CLINICAS
– Dolor ,tumefacción y limitación de la movilidad.
– Las fracturas patológicas son hallazgos frecuentes
– Predomina en mujeres entre los 20-40 años de edad.

• DIAGNOSTICO POR IMÁGENES
– Lesiones excéntricas radiolucidas sin borde escleroso, de
limites mal definidos.
– Se ubican en epífisis hasta la región subcondral del
cartílago articular y que se extiende hacia la metafisis.

• CARACTERISTICAS ANATOMO-PATOLOGICAS
– Células gigantes multinucleadas (20 nucleos) y células
mononucleadas.
Radiology assitant. Bone tumor - A-G Bone tumors and tumor-like lesions in alphabethic order . Henk Jan van de Woude and Robin Smithuis .
Radiology department of the Onze Lieve Vrouwe Gasthuis, Amsterdam and the Rijnland hospital, Leiderdorp, the Netherlands. 2011. Disponible a
partir de: http://www.radiologyassistant.nl/en/p4bc9b15f76a78/bone-tumor-a-g.html#i4bcaa2aed7898
Radiology assitant. Bone tumor - A-G Bone tumors and tumor-like lesions in alphabethic order . Henk Jan van de Woude and Robin Smithuis .
Radiology department of the Onze Lieve Vrouwe Gasthuis, Amsterdam and the Rijnland hospital, Leiderdorp, the Netherlands. 2011. Disponible a
partir de: http://www.radiologyassistant.nl/en/p4bc9b15f76a78/bone-tumor-a-g.html#i4bcaa2aed7898
Sarcoma de Ewing
• Es un tumor maligno caracterizado por un
aspecto histológico uniforme constituido por
pequeñas células dispuestas en
conglomerados compactos con núcleos
redondos.
Radiology assitant. Bone tumor - A-G Bone tumors and tumor-like lesions in alphabethic order . Henk Jan van de Woude and Robin Smithuis . Radiology department of the Onze Lieve Vrouwe Gasthuis, Amsterdam and the Rijnland
hospital, Leiderdorp, the Netherlands. 2011. Disponible a partir de: http://www.radiologyassistant.nl/en/p4bc9b15f76a78/bone-tumor-a-g.html#i4bcaa2aed7898
• Caracteristicas clinicas
– Dolor: síntoma mas temprano.
– Seguido de tumefacción
– Afecta a regiones diafisiarias y metafisiarias.

• Diagnostico por imágenes
– Destrucción ósea, asociada a reacción periostica en catafilas de
cebolla. Este signo no es patognomonico.

• Caracteristicas anatomo patologicas
– Población redondo celular con elementos de escaso citoplasma.
– Posee abundante glucogeno
– La neo formación de hueso o cartílago tumoral esta ausente:
metastatiza tempranamente en pulmones y otros huesos.
Radiology assitant. Bone tumor - A-G Bone tumors and tumor-like lesions in alphabethic order . Henk Jan van de Woude and Robin Smithuis .
Radiology department of the Onze Lieve Vrouwe Gasthuis, Amsterdam and the Rijnland hospital, Leiderdorp, the Netherlands. 2011. Disponible a
partir de: http://www.radiologyassistant.nl/en/p4bc9b15f76a78/bone-tumor-a-g.html#i4bcaa2aed7898
Osteosarcoma
•

•
•

•
•

Definición: Es un tumor maligno
caracterizado por la formación directa
de tejido óseo u osteoide por las
células tumorales.
«Es un tumor mesenquimal maligno
productor de hueso»
Esta relacionado a mutaciones
genéticas: Gen RB, genes que
controlan el ciclo celular (p53, ciclinas,
cinasas, inhibidores de cinasas)
Es el tumor maligno mas frecuente.
Pueden aparecer a cualquier edad.
Características clínicas:
– Dolor en el sitio del tumor.
– Puede irradiarse a una articulación vecina
– Masa palpable: por crecimiento.
• Macroscópicamente son tumores
voluminosos, granujientos, de color blanco
grisáceo con frecuentes zonas hemorrágicas
de degeneración quística
• Diagnostico por
imágenes
– Masa mixta, lítica.
– Márgenes poco
definidos.
– Triangulo de Codman.
– Reacción periostica (en
rayos de sol)
Mieloma multiple
• Es un tumor maligno que muestra en forma
habitual compromiso óseo difuso o múltiple y
que se caracteriza por al presencia de células
plasmáticas pero con diversos grados de
inmadurez, incluidas formas atípicas.
• Origen: mutación de genes implicados en la
traducción de la proteína , genes implicados en la
metilación de las histonas, y los genes que
participan en la coagulación de la sangre.
• Cromosomas: 14, 11, 4,16, 6 ,16 y 20.
Ortopedia y traumatologia. Silverman , Varaona. Editorial Medica Panamericana. 2da edicion . Pag. 205-219
• Características clínicas:
– Se ubica en huesos con medula ósea activa: vertebras, costillas, calota,
esternón, pelvis. Dolor.
– Debilidad, disminuye capacidad para hacer ejercicio, disnea. Producidos por la
anemia.
– Infecciones frecuentes. Bajo recuento de neutrofilos.
– Problemas de coagulación. Bajo recuento de plaquetas.
– Estreñimiento. Por hipercalcemia.
– Renales: calcinosis, proteinuria de Bence Jones, pielonefritis y amiloidosis. Son
causa de muerte.
– Puede ser múltiple (mas común) o ser solitario. El solitario progresa después a
mielomatosis múltiple.

• Características anatomo-patologicas:
– Proliferación redondo celular de elementos plasmáticos de núcleos
excéntricos.
– Depósitos de tejido amiloide.
Fisiopatologia del mieloma multiple. Revista Medical News. Disponible a partir de: http://www.news-medical.net/health/MultipleMyeloma-Pathophysiology-(Spanish).aspx
Robins Patología humana. Kumar, Abbas, Fausto Mitchel. Editorial Elseiver Saunsers. 8va edicion. Pg. 815
• Diagnostico por imágenes
– Lesiones osteoliticas redondas u ovales, en
sacabocado, sin borde escleroso perilesional.
– Lesiones solitarias: son localizadas.
– Mielomatosis difusa: aspecto radiográfico
inespecífico.
– Mielomas con bordes esclerosos son raros.

Radiology assitant. Bone tumor - A-G Bone tumors and tumor-like lesions in alphabethic order . Henk Jan van de Woude and Robin Smithuis . Radiology
department of the Onze Lieve Vrouwe Gasthuis, Amsterdam and the Rijnland hospital, Leiderdorp, the Netherlands. 2011. Disponible a partir de:
http://www.radiologyassistant.nl/en/p4bc9b15f76a78/bone-tumor-a-g.html#i4bcaa2aed7898

Ortopedia y traumatologia. Silverman , Varaona. Editorial Medica Panamericana. 2da edicion . Pag. 205-219
Bibliografia
•
•

•

•
•
•
•
•

Ortopedia y traumatologia. Silverman , Varaona. Editorial Medica Panamericana. 2da edicion . Pag.
205-219
Radiology assitant. Bone tumor - A-G Bone tumors and tumor-like lesions in alphabethic order .
Henk Jan van de Woude and Robin Smithuis . Radiology department of the Onze Lieve Vrouwe
Gasthuis, Amsterdam and the Rijnland hospital, Leiderdorp, the Netherlands. 2011. Disponible a
partir de: http://www.radiologyassistant.nl/en/p4bc9b15f76a78/bone-tumor-ag.html#i4bcaa2aed7898
Patología ósea. Dc. Martin Etchart. Pontificia universidad Catolica de Chile. Disponible a partir de:
http://escuela.med.puc.cl/publ/anatomiapatologica/12osteoarticular/12osea.html
http://escuela.med.puc.cl/paginas/publicaciones/anatomiapatologica/12osteoarticular/12osea2.ht
ml
Tumores Óseos en general. Tumores Benignos de los Huesos. Dr. Luis Julio Huaroto Rosa-Pérez.
Disponible a partir de:
http://sisbib.unmsm.edu.pe/bibvirtual/libros/medicina/cirugia/tomo_ii/tumores_ose_benig.htm
Clasificación de tumores óseos. Romeo Tecualt Gómez, Luis Felipe Moreno Hoyos, Rubén Alonso
Amaya Zepeda. Medgraphic , volumen 4 numero 2. 2008.
Robins Patología humana. Kumar, Abbas, Fausto Mitchel. Editorial Elseiver Saunsers. 8va edicion.
Pg. 815
La secuenciación del genoma y el análisis inicial del mieloma múltiple. Michael A. Chapman
Michael S. Lawrence ,Jonathan J. Keats. Nature Journal vol. 471 pg. 467-472. 2011
Fisiopatologia del mieloma multiple. Revista Medical News. Disponible a partir de:
http://www.news-medical.net/health/Multiple-Myeloma-Pathophysiology-(Spanish).aspx

Tumores óseos

  • 1.
    UNIVERSIDAD DE SANANTONIO ABAD DEL CUSCO FACULTAD DE MEDICINA HUMANA CARRERA PROFESIONAL DE MEDICINA HUMANA Tumores Óseos Semiología y clasificación en la región del Cusco Docente: Dc. Ostwald Avendaño Tapia Alumno: Joel Sack Roque Roque 111295-k
  • 2.
    Fuente: Libro delservicio de Traumatología y Ortopedia del Hospital Regional del Cusco 2003-20013 Fecha Edad Sexo Diagnostico Marzo 2006 14 Femenino Tumor Óseo en pie derecho Junio 2008 17 Femenino Quiste óseo (no indica localización) Octubre 2008 12 Femenino Quiste óseo liquido en pierna izquierda--- biopsia: NM de células mesenquimatosas redondas y fusiformes Febrero 2009 11 Femenino Osteocondroma en tibia derecha Julio 2009 38 Femenino Tumor óseo en pie (no indica que lado) Febrero 2010 16 Masculino Osteocondroma en fémur derecho Historia clínica
  • 3.
    Fecha Edad Sexo Diagnostico Mayo 2010 23 Femenino Tumoración en dorsodel pie izquierdo Noviembre 2011 57 Diciembre 2011 21 Femenino Quiste óseo en tibia ---- quiste óseo en rodilla??? (no indica que lado) Masculino Osteocondroma en dorso de mano izquierda Febrero 2012 10 Masculino Tumor en 1er dedo de pie izquierdo Abril 2012 17 Masculino Tumor óseo en brazo derecho Julio 2012 14 Masculino Tumoración en mano izquierda Historia clínica
  • 4.
    ¿Cómo se realizael diagnostico? Clínica Imágenes Anatomía patológica
  • 5.
    Clasificación • Existen variostipos de clasificación. Según JAFFE – T. óseos primarios (osteosarcoma). – T. que desarrollan sobre lesiones óseas preexistentes (osteosarcoma de Paget). – T. que desarrollan sobre huesos dañados por radiaciones (sarcoma pélvico en pacientes radiados por lesiones uterinas). – T. que invaden huesos de partes blandas vecinas (rabdomio-sarcoma invasivo). – T. primarios de articulaciones (sinovioma). – T. metastásicos del esqueleto (carcinoma prostático).
  • 6.
    Clasificación OMS I. Tumoresformadores de Hueso II. Tumores formadores de Cartílago III. Tumor de Células gigantes IV. Tumores de Medula ósea V. Tumores Vasculares VI. Tumores de Tejido conectivo VII. Otros Tumores VIII. Tumores no clasificados IX. Lesiones pseudotumorales
  • 7.
    Clasificación de tumoresóseos. Romeo Tecualt Gómez, Luis Felipe Moreno Hoyos, Rubén Alonso Amaya Zepeda. Medgraphic , volumen 4 numero 2. 2008.
  • 8.
    Clasificación de tumoresóseos. Romeo Tecualt Gómez, Luis Felipe Moreno Hoyos, Rubén Alonso Amaya Zepeda. Medgraphic , volumen 4
  • 9.
    Radiology assitant. Bonetumor - A-G Bone tumors and tumor-like lesions in alphabethic order . Henk Jan van de Woude and Robin Smithuis . Radiology department of the Onze Lieve Vrouwe Gasthuis, Amsterdam and the Rijnland hospital, Leiderdorp, the Netherlands. 2011. Disponible a partir de: http://www.radiologyassistant.nl/en/p4bc9b15f76a78/bone-tumor-a-g.html#i4bcaa2aed7898
  • 10.
    Patología ósea. Dc.Martin Etchart. Pontificia universidad Catolica de Chile. Disponible a partir de: http://escuela.med.puc.cl/publ/anatomiapatologica/12osteoarticular/12osea.html http://escuela.med.puc.cl/paginas/publicaciones/anatomiapatologica/12osteoarticular/12osea2.html
  • 11.
    Patología ósea. Dc.Martin Etchart. Pontificia universidad Catolica de Chile. Disponible a partir de: http://escuela.med.puc.cl/publ/anatomiapatologica/12osteoarticular/12osea.html http://escuela.med.puc.cl/paginas/publicaciones/anatomiapatologica/12osteoarticular/12osea2.html
  • 12.
    Radiology assitant. Bonetumor - A-G Bone tumors and tumor-like lesions in alphabethic order . Henk Jan van de Woude and Robin Smithuis . Radiology condroma department of the Onze Lieve Vrouwe Gasthuis, Amsterdam and the Rijnland hospital, Leiderdorp, the Netherlands. 2011. Disponible a partir de: http://www.radiologyassistant.nl/en/p4bc9b15f76a78/bone-tumor-a-g.html#i4bcaa2aed7898
  • 13.
    Osteocondroma • «Excrecencias benignasrecubiertas de cartílago relativamente frecuentes que están unidas por un tallo óseo al esqueleto subyacente.» • «Excresencia ósea recubierta de cartílago que se desarrolla en la superficie externa del hueso» • Su génesis se a atribuido a alteraciones de los cromosomas 8, 11, y 19 Ortopedia y traumatologia. Silverman , Varaona. Editorial Medica Panamericana. 2da edicion . Pag. 205-219 Robins Patología humana. Kumar, Abbas, Fausto Mitchel. Editorial Elseiver Saunsers. 8va edicion. Pg. 815
  • 14.
    • Características clínicas –Asintomático – Dolor: complicada con bursitis, fracturas, compresión de vasos, nervios o tendones. – Deformidades: • Braquimelia metapodal de LERI: es un acortamiento de los tres últimos metacarpianos. • Mano en bayoneta cubitopalmar de STERN: acortamiento del cúbito por exostosis que empuja e incurva el radio y la mano se halla en varo. • deformidad de BESSEL-HAGEN: acortamiento e incurvación del cúbito con exostosis y luxación anterior de la cabeza del radio. • Deformidad de MADELUNG, con acortamiento de radio y exostosis en su extremo distal. Ortopedia y traumatologia. Silverman , Varaona. Editorial Medica Panamericana. 2da edicion . Pag. 205-219
  • 15.
    Hay dos leyes: •Ley de BESSEL-HAGEN, por la cual el hueso tendría un potencial fijo de crecimiento, de manera que pierde en longitud lo que utiliza para edificar la exostosis. • Ley de RECLUS, que dice que la exostosis se orienta en su crecimiento en el sentido de la menor resistencia; a veces se puede encontrar una bursa debido al roce del tumor con los planos superficiales y también puede malignizarse, dando lugar a un osteosarcoma. • El osteocondroma presenta brotes de crecimiento coincidentes con los estirones del crecimiento general; • en los tumores de poco tiempo de evolución el tamaño clínico es mayor que la imagen a RX, debido a que predomina el cartílago, cuando ya tiene tiempo los tamaños se equiparan; la exostosis nace a nivel del cartílago de conjunción, pero cada vez que el hueso crece, se va alejando, acercándose a la diáfisis. Tumores Óseos en general. Tumores Benignos de los Huesos. Dr. Luis Julio Huaroto Rosa-Pérez. Disponible a partir de: http://sisbib.unmsm.edu.pe/bibvirtual/libros/medicina/cirugia/tomo_ii/tumores_ose_benig.htm
  • 16.
    • Diagnostico porimágenes – Aspecto puede ser sésil o pediculado. – La cortical y medular del tumor se continúan con las del hueso. – los contornos están bien limitados y no presentan ninguna imagen destructiva; el pedículo es siempre opaco. – Pediculado: La parte distal está a menudo agrandada y puede mostrar un aspecto de gancho, porra o coliflor. Ortopedia y traumatologia. Silverman , Varaona. Editorial Medica Panamericana. 2da edicion . Pag. 205-219
  • 19.
    • Características anatomo-patologicas Macroscópica –El tamaño de los osteocondromas oscila entre 1 y 20 cm. – Formas sésiles pueden ser sumamente aplanadas. – Pediculados: aspecto alargado y grácil; la corteza exostal y su manguito perióstico se continúa con los del hueso subyacente. – Esta cubierto por un cartílago hialino benigno que imita una placa de crecimiento desorganizado que sufre una osificación endocondral. Grosor de 2 a 3 mm, en los adolecentes de 1 cm o más. Robins Patología humana. Kumar, Abbas, Fausto Mitchel. Editorial Elseiver Saunsers. 8va edicion. Pg. 815
  • 20.
    Microscópica • El cartílagoes de tipo hialino y es similar al que se ve en el cartílago de crecimiento normal, aunque algo más irregular. • El condrocito benigno posee un núcleo pequeño único, en los brotes de crecimiento epifisario se aprecian condrocitos binucleados. • los condrocitos del casquete condral se muestran agrupados en espacios lacunares paralelos más largos que anchos, remedando la disposición del cartílago epifisario normal. El componente óseo del tumor consiste en esponjosa anormal que contiene médula hemopoyética o grasa. Robins Patología humana. Kumar, Abbas, Fausto Mitchel. Editorial Elseiver Saunsers. 8va edicion. Pg. 815
  • 21.
    Robins Patología humana.Kumar, Abbas, Fausto Mitchel. Editorial Elseiver Saunsers. 8va edicion. Pg. 815
  • 22.
    Quiste óseo simple •Formación quística de localización metafisiaria, unicameral. • Edad de presentación :5-15 años • Sexo: relación V/M: 2/1 • Localización: metafisiaria, extremidad superior de humero, fémur y tibia. Ortopedia y traumatologia. Silverman , Varaona. Editorial Medica Panamericana. 2da edicion . Pag. 205-219
  • 23.
    • Clínica: doloro fractura patológica. • Radiología – Formación osteolitica (radiolucida) circunscripta, central, que afecta todo el diámetro del segmento comprometido. Bordes netos, con esbozos de trabeculatura o crestas en su interior. • Histología – Membrana fibrohistiocitiaria con algunas células gigantes. Ortopedia y traumatologia. Silverman , Varaona. Editorial Medica Panamericana. 2da edicion . Pag. 205-219 Tumores Óseos en general. Tumores Benignos de los Huesos. Dr. Luis Julio Huaroto Rosa-Pérez. Disponible a partir de: http://sisbib.unmsm.edu.pe/bibvirtual/libros/medicina/cirugia/tomo_ii/tumores_ose_benig.htm
  • 24.
    Radiology assitant. Bonetumor - A-G Bone tumors and tumor-like lesions in alphabethic order . Henk Jan van de Woude and Robin Smithuis . Radiology department of the Onze Lieve Vrouwe Gasthuis, Amsterdam and the Rijnland hospital, Leiderdorp, the Netherlands. 2011. Disponible a partir de: http://www.radiologyassistant.nl/en/p4bc9b15f76a78/bone-tumor-a-
  • 25.
    Condroma • Tumor benignocaracterizado por la formación de cartílago maduro. • Puede ser central (encondroma) o periférico. • Es muy frecuente y se ubica de preferencia en los huesos de manos y pies; puede ser múltiple (condromatosis) y sistematizada (en un hemicuerpo: enfermedad de Ollier) o asociarse con hemangiomas cutáneos o viscerales (sindrome de Maffucci). Ortopedia y traumatologia. Silverman , Varaona. Editorial Medica Panamericana. 2da edicion . Pag. 205-219
  • 26.
    Radiology assitant. Bonetumor - A-G Bone tumors and tumor-like lesions in alphabethic order . Henk Jan van de Woude and Robin Smithuis . Radiology department of the Onze Lieve Vrouwe Gasthuis, Amsterdam and the Rijnland hospital, Leiderdorp, the Netherlands. 2011. Disponible a partir de: http://www.radiologyassistant.nl/en/p4bc9b15f76a78/bone-tumor-a-g.html#i4bcaa2aed7898
  • 27.
    • Características clínicas –Son asintomáticos – Se DX luego de una fractura patológica o al tomar RX por otras razones • Diagnostico por imágenes. – Lesión metafisiaria o diafisiaria lítica, radiolucida, expansiva, con calcificaciones moteadas en su interior. • Características anatomo-patologicas – Macro y microscópicamente las lesiones son lobuladas – Matriz condroide presenta células tumorales de núcleos pequeños, uniformes, raramente dobles. – A veces áreas de calcificación y osificación endocondral. Ortopedia y traumatologia. Silverman , Varaona. Editorial Medica Panamericana. 2da edicion . Pag. 205-219
  • 28.
    Radiology assitant. Bonetumor - A-G Bone tumors and tumor-like lesions in alphabethic order . Henk Jan van de Woude and Robin Smithuis . Radiology department of the Onze Lieve Vrouwe Gasthuis, Amsterdam and the Rijnland hospital, Leiderdorp, the Netherlands. 2011. Disponible a partir de: http://www.radiologyassistant.nl/en/p4bc9b15f76a78/bone-tumor-a-g.html#i4bcaa2aed7898
  • 29.
    Tumor de célulasgigantes • Tumor agresivo, caracterizado por tejido muy vascularizado, constituido por células ovoides o fusiformes, y por la presencia de numerosas células gigantes de tipo osteoclastico distribuidas de manera uniforme por todo el tejido tumoral. OMS
  • 30.
    Radiology assitant. Bonetumor - A-G Bone tumors and tumor-like lesions in alphabethic order . Henk Jan van de Woude and Robin Smithuis . Radiology department of the Onze Lieve Vrouwe Gasthuis, Amsterdam and the Rijnland hospital, Leiderdorp, the Netherlands. 2011. Disponible a partir de: http://www.radiologyassistant.nl/en/p4bc9b15f76a78/bone-tumor-a-g.html#i4bcaa2aed7898
  • 31.
    • CARACTERISTICAS CLINICAS –Dolor ,tumefacción y limitación de la movilidad. – Las fracturas patológicas son hallazgos frecuentes – Predomina en mujeres entre los 20-40 años de edad. • DIAGNOSTICO POR IMÁGENES – Lesiones excéntricas radiolucidas sin borde escleroso, de limites mal definidos. – Se ubican en epífisis hasta la región subcondral del cartílago articular y que se extiende hacia la metafisis. • CARACTERISTICAS ANATOMO-PATOLOGICAS – Células gigantes multinucleadas (20 nucleos) y células mononucleadas.
  • 32.
    Radiology assitant. Bonetumor - A-G Bone tumors and tumor-like lesions in alphabethic order . Henk Jan van de Woude and Robin Smithuis . Radiology department of the Onze Lieve Vrouwe Gasthuis, Amsterdam and the Rijnland hospital, Leiderdorp, the Netherlands. 2011. Disponible a partir de: http://www.radiologyassistant.nl/en/p4bc9b15f76a78/bone-tumor-a-g.html#i4bcaa2aed7898
  • 33.
    Radiology assitant. Bonetumor - A-G Bone tumors and tumor-like lesions in alphabethic order . Henk Jan van de Woude and Robin Smithuis . Radiology department of the Onze Lieve Vrouwe Gasthuis, Amsterdam and the Rijnland hospital, Leiderdorp, the Netherlands. 2011. Disponible a partir de: http://www.radiologyassistant.nl/en/p4bc9b15f76a78/bone-tumor-a-g.html#i4bcaa2aed7898
  • 34.
    Sarcoma de Ewing •Es un tumor maligno caracterizado por un aspecto histológico uniforme constituido por pequeñas células dispuestas en conglomerados compactos con núcleos redondos.
  • 35.
    Radiology assitant. Bonetumor - A-G Bone tumors and tumor-like lesions in alphabethic order . Henk Jan van de Woude and Robin Smithuis . Radiology department of the Onze Lieve Vrouwe Gasthuis, Amsterdam and the Rijnland hospital, Leiderdorp, the Netherlands. 2011. Disponible a partir de: http://www.radiologyassistant.nl/en/p4bc9b15f76a78/bone-tumor-a-g.html#i4bcaa2aed7898
  • 36.
    • Caracteristicas clinicas –Dolor: síntoma mas temprano. – Seguido de tumefacción – Afecta a regiones diafisiarias y metafisiarias. • Diagnostico por imágenes – Destrucción ósea, asociada a reacción periostica en catafilas de cebolla. Este signo no es patognomonico. • Caracteristicas anatomo patologicas – Población redondo celular con elementos de escaso citoplasma. – Posee abundante glucogeno – La neo formación de hueso o cartílago tumoral esta ausente: metastatiza tempranamente en pulmones y otros huesos.
  • 38.
    Radiology assitant. Bonetumor - A-G Bone tumors and tumor-like lesions in alphabethic order . Henk Jan van de Woude and Robin Smithuis . Radiology department of the Onze Lieve Vrouwe Gasthuis, Amsterdam and the Rijnland hospital, Leiderdorp, the Netherlands. 2011. Disponible a partir de: http://www.radiologyassistant.nl/en/p4bc9b15f76a78/bone-tumor-a-g.html#i4bcaa2aed7898
  • 39.
    Osteosarcoma • • • • • Definición: Es untumor maligno caracterizado por la formación directa de tejido óseo u osteoide por las células tumorales. «Es un tumor mesenquimal maligno productor de hueso» Esta relacionado a mutaciones genéticas: Gen RB, genes que controlan el ciclo celular (p53, ciclinas, cinasas, inhibidores de cinasas) Es el tumor maligno mas frecuente. Pueden aparecer a cualquier edad. Características clínicas: – Dolor en el sitio del tumor. – Puede irradiarse a una articulación vecina – Masa palpable: por crecimiento.
  • 40.
    • Macroscópicamente sontumores voluminosos, granujientos, de color blanco grisáceo con frecuentes zonas hemorrágicas de degeneración quística
  • 42.
    • Diagnostico por imágenes –Masa mixta, lítica. – Márgenes poco definidos. – Triangulo de Codman. – Reacción periostica (en rayos de sol)
  • 43.
    Mieloma multiple • Esun tumor maligno que muestra en forma habitual compromiso óseo difuso o múltiple y que se caracteriza por al presencia de células plasmáticas pero con diversos grados de inmadurez, incluidas formas atípicas. • Origen: mutación de genes implicados en la traducción de la proteína , genes implicados en la metilación de las histonas, y los genes que participan en la coagulación de la sangre. • Cromosomas: 14, 11, 4,16, 6 ,16 y 20. Ortopedia y traumatologia. Silverman , Varaona. Editorial Medica Panamericana. 2da edicion . Pag. 205-219
  • 44.
    • Características clínicas: –Se ubica en huesos con medula ósea activa: vertebras, costillas, calota, esternón, pelvis. Dolor. – Debilidad, disminuye capacidad para hacer ejercicio, disnea. Producidos por la anemia. – Infecciones frecuentes. Bajo recuento de neutrofilos. – Problemas de coagulación. Bajo recuento de plaquetas. – Estreñimiento. Por hipercalcemia. – Renales: calcinosis, proteinuria de Bence Jones, pielonefritis y amiloidosis. Son causa de muerte. – Puede ser múltiple (mas común) o ser solitario. El solitario progresa después a mielomatosis múltiple. • Características anatomo-patologicas: – Proliferación redondo celular de elementos plasmáticos de núcleos excéntricos. – Depósitos de tejido amiloide. Fisiopatologia del mieloma multiple. Revista Medical News. Disponible a partir de: http://www.news-medical.net/health/MultipleMyeloma-Pathophysiology-(Spanish).aspx
  • 45.
    Robins Patología humana.Kumar, Abbas, Fausto Mitchel. Editorial Elseiver Saunsers. 8va edicion. Pg. 815
  • 46.
    • Diagnostico porimágenes – Lesiones osteoliticas redondas u ovales, en sacabocado, sin borde escleroso perilesional. – Lesiones solitarias: son localizadas. – Mielomatosis difusa: aspecto radiográfico inespecífico. – Mielomas con bordes esclerosos son raros. Radiology assitant. Bone tumor - A-G Bone tumors and tumor-like lesions in alphabethic order . Henk Jan van de Woude and Robin Smithuis . Radiology department of the Onze Lieve Vrouwe Gasthuis, Amsterdam and the Rijnland hospital, Leiderdorp, the Netherlands. 2011. Disponible a partir de: http://www.radiologyassistant.nl/en/p4bc9b15f76a78/bone-tumor-a-g.html#i4bcaa2aed7898 Ortopedia y traumatologia. Silverman , Varaona. Editorial Medica Panamericana. 2da edicion . Pag. 205-219
  • 48.
    Bibliografia • • • • • • • • Ortopedia y traumatologia.Silverman , Varaona. Editorial Medica Panamericana. 2da edicion . Pag. 205-219 Radiology assitant. Bone tumor - A-G Bone tumors and tumor-like lesions in alphabethic order . Henk Jan van de Woude and Robin Smithuis . Radiology department of the Onze Lieve Vrouwe Gasthuis, Amsterdam and the Rijnland hospital, Leiderdorp, the Netherlands. 2011. Disponible a partir de: http://www.radiologyassistant.nl/en/p4bc9b15f76a78/bone-tumor-ag.html#i4bcaa2aed7898 Patología ósea. Dc. Martin Etchart. Pontificia universidad Catolica de Chile. Disponible a partir de: http://escuela.med.puc.cl/publ/anatomiapatologica/12osteoarticular/12osea.html http://escuela.med.puc.cl/paginas/publicaciones/anatomiapatologica/12osteoarticular/12osea2.ht ml Tumores Óseos en general. Tumores Benignos de los Huesos. Dr. Luis Julio Huaroto Rosa-Pérez. Disponible a partir de: http://sisbib.unmsm.edu.pe/bibvirtual/libros/medicina/cirugia/tomo_ii/tumores_ose_benig.htm Clasificación de tumores óseos. Romeo Tecualt Gómez, Luis Felipe Moreno Hoyos, Rubén Alonso Amaya Zepeda. Medgraphic , volumen 4 numero 2. 2008. Robins Patología humana. Kumar, Abbas, Fausto Mitchel. Editorial Elseiver Saunsers. 8va edicion. Pg. 815 La secuenciación del genoma y el análisis inicial del mieloma múltiple. Michael A. Chapman Michael S. Lawrence ,Jonathan J. Keats. Nature Journal vol. 471 pg. 467-472. 2011 Fisiopatologia del mieloma multiple. Revista Medical News. Disponible a partir de: http://www.news-medical.net/health/Multiple-Myeloma-Pathophysiology-(Spanish).aspx