¿UNA ENFERMEDAD DEL PASADO? DR FERNANDO MARTÍN. DERMATÓLOGO HOSPITAL DE VERÍN
CASO CLINICO MUJER DE 41 AÑOS AP: ALERGIA A AINES, ORIGINARIA DE BRASIL (M0ZARLANDIA) MC: JUNIO DE 2008: COMIENZA HACE AÑOS CON DISESTESIA EN PABELLONES AURICULARES Y PLACAS ERITEMATOSAS, INFILTRADAS , ESTABLES EN MANOS Y ANTEBRAZOS
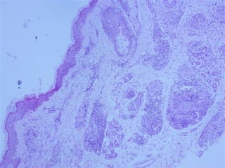
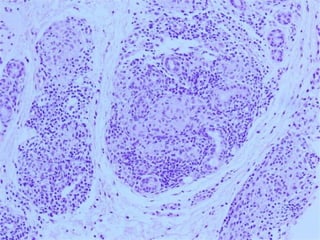
CASO CLINICO BIOPSIA: JUNIO DE 2008 DE PABELLON AURICULAR CON EL DX CLINICO DE SARCOIDOSIS VS POLICONDRITIS RECIDIVANTE INFORME AP: INFLAMACIÓN GRANULOMATOSA DÉRMICA NO NECROTIZANTE TIPO SARCOIDEA BAAR: NEGATIVO PAS Y GIEMSA: NEGATIVOS COMPATIBLE CON SARCOIDOSIS (INTERESA DESCARTAR OTRAS ENFERMEDADES GRANULOMATOSAS
 
CASO CLINICO DIAGNÓSTICO SARCOIDOSIS EXPLORACIONES COMPLEMENTARIAS ( PROTOCOLO SARCOIDOSIS). 9/08: HEMOGRAMA N, VSG 11MM, BIOQUÍMICAN, FR(-), SEROLOGÍAS VHC, VHB, VIH Y LUES(-), T3,T4 Y TSH N, ECA 18 U/L, MANTOUX (-), ANAS (-),  SEDIMENTO 6-8 H/C,GASOMETRÍA N Y PLACA DE TORAX Y MANOS N
 
 
CASO CLINICO EVOLUCIÓN: SE INSTAURA TTO CON CREMA DE PREDNICARBATO, HIDROXICLOROQUINA, AHS Y CORTICOIDES ORALES. ENTRE SEPTIEMBRE DE 2008 Y AGOSTO DE 2009, CON ESCASA MEJORÍA. FUE REMITIDA EN FEBRERO DE 2009 A M. INTERNA. SE REPITE PROTOCOLO QUE SIGUE NORMAL ACUDE A BRASIL EN AGOSTO DE 2009 Y ….
 
 
 
 
ENFERMEDAD DE HANSEN. INTRODUCCIÓN CÓDICES EGIPCIOS 1500 AC. PASAJES DEL ANTIGUO TESTAMENTO. “CASTIGO DIVINO DE PECADORES Y HEREJES” 1873 HANSEN, MÉDICO NORUEGO. BACILOS INTRACELULARES CON TTO AB EL CONTROL SE PODRÍA HACER AMBULATORIO. DIFICULTAD DE SEGUIMIENTO, RECIDIVAS SECUELAS Y RECHAZO SOCIAL. MANTENIMIENTO DE CENTROS ESPECIALIZADOS.  DIFERNTES DENOMINACIONES
 
MICROBIOLOGÍA Y EPIDEMIOLOGÍA. ETIOLOGIA  M LEPRAE, BAAR Y GRAM+. REPRODUCCION MAX ENTRE LOS 27-30ºC. IMPOSIBLE DE CULTIVAR INFECTA PIEL Y NERVIOS CUTANEOS CRECE MEJOR EN TEJIDOS FRIOS (PIEL, N PERIF, CAM ANTE DEL OJO, VIAS RESPALTAS Y TESTICULOS HUESPEDES : SERES HUMANOS, ARMADILLO SALVAJE, CHIMPACES  TRANSMISION  MUY CONTAGIOSA PERO DE BAJA PATOGENICIDAD. TASA DE INFECCIÓN EXCEDE CON MUCHO TASA DE ENFERMEDAD. PACIENTES CON LEPRA MB NO TRATADOS O CON RECAIDA. GOTITAS DE FLÜGGE. LACTANCIA Y TRAS PLACENTARIA. TAMBIÉN PODRÍA INOCULARSE A TRAVES DE LA PIEL
MICROBIOLOGÍA Y EPIDEMIOLOGÍA 95% SIST INMUNE INTACTO PROTECCIÓN. HLADR2 Y HLA DR3 PEQUEÑO% ENTRE 3-10 AÑOS ENFERMEDAD. MAS EN HLADQ1 600000 NUEVOS CASOS ANUALES PREVALENCIA 0,6-8 MILLONES. EN ESPAÑA 2008 17 CASOS ESTAMOS POR DEBAJO DE 1/10000, OBJETIVO DE LA OMS MAS DEL 80% INDIA, CHINA, MYANMAR, INDONESIA, BRASIL Y NIGERIA SE ASOCIA A POBREZA, MEDIO RURAL Y VIH. LA MAYORIA INMUNIDAD NATURAL
EPIDEMIOLOGIA EDAD : INCIDENCIA ENTRE LOS 10-20 AÑOS. PREVALENCIA MAXIMA ENTRE LOS 10-50 AÑOS SEXO MAS EN VARONES RAZA EN NEGROS PREDOMINAN LAS FORMAS LEVES
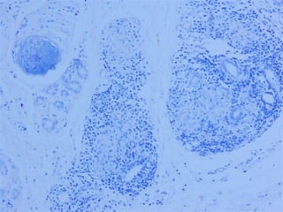
CLASIFICACIÓN CLÍNICA CRITERIOS CLÍNICOS, BACTEROLÓGICOS, INMUNOLÓGICOS  CLÍNICOS AFECTACIÓN NEUROLÓGICA Y CUTÁNEA 1962 RIDLEY Y JOPLING. EN RELACIÓN CON LA RESPUESTA INMUNE: TT Y LL, ENTRE AMBOS EL DD. TT- AFECTACION CUTÁNEA LOCALIZADA Y/O DE NERVIO PERIFÉRICO. EN LAS BIOPSIAS DE PIEL POCOS MICROORGANISMOS LL- AFECTACIÓN GENERALIZADA QUE COMPRENDE PIEL MUCOSA RESPIRATORIA ALTA, SRE, SUPRARRENALES Y TESTICULOS, EN EL TEJIDO MUCHOS BACILOS BIPOLAR O DIMORFA. CARACT DE TT Y LL. HABITUALMENTE SE OBSEVAN BACILOS Y LESIONES CUTANEAS VARIADAS, MACULAS, PAPULAS PLACAS. PROGRESA A LL O TT EN 1982 OMS: PB Y MB. MB SI BACILOSCOPIA ES POSITIVA, UN TRONCO NERVIOSO Y SEIS O MAS LESIONES CUTÁNEAS
CLINICA DERMATÓLOGICA COMIENZO INSIDIOSO: ENTUMECIMIENTO 90%. 2/3 CURAN ESPONTÁNEA.  80% CASOS SON TT, DD O INDETERMINADA INDETERMINADA:  COMIENZO A PARTIR DEL CUAL RESISTENCIA O PROGRESIÓN. TT RESISTENCIA PROLONGADA Y FUERTE 4 AÑOS Y LL O DD 10 AÑOS . ES TRANSITORIA Y SI EL SISTEMA INMUNE ES BUENO NUNCA SÍNTOMAS. MACULAS HIPOPIGMENTADAS, MAL DELIMITADAS. MEJILLAS, BRAZO, MUSLO , NALGAS. HISTOPATOLOGÍA INESPECIFICA , BACT NEG Y LEPROMINA-
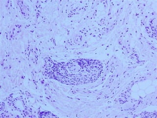
CLÍNICA LEPRA TT :  ESCASO Nº DE LESIONES, BIEN DEFINIDA Y ASIMETRICAS. PLACA ERITEMATOSA DE GRAN TAMAÑO, BORDE BIEN DEFINIDO Y CENTRO ATRÓFICO. PAPULAS AISLADAS, Y EN OCASIONES NODULOS.DISMINUCION DE SENSIBILIDAD, ALOPECIA E HIPOHIDROSIS. HISTO: GRANULOMA TUBERCULOIDE, BACILOSCOPIA- Y LEPROMINA+ NERVIOS: NERVIO ENGROSADO (CUBITAL). COMPROBAR LA SENSIBILIDAD AL PINCHAZO, TERMICA Y VIBRATORIA
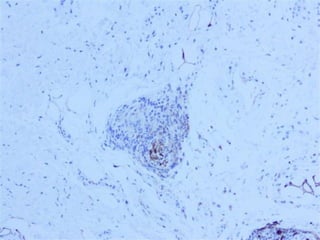
CLÍNICA LEPRA LL:  NUMEROSAS Y SIMÉTRICAS, MAL DEFINIDAS Y CON ABUNDANTES BACILOS. HISTO TIPICA Y TENDENCIA A AGRAVAMIENTO. LLMACULARNUMEROSAS DIFUSAS DISTRIBUIDAS POR TODO EL CUERPO, ALTERACIONES EN Tª. INFILTRACIONES LEPROMATOSAS. MAYOR TAMAÑO, BORDES IMPRECISOS. EN DORSO MANO Y CARA. FACIES LEONINA, EN PLACA Y NODULO DIFUSO, ANESTESIA Y ANHIDROSIS. MADAROSIS TÍPICA NERVIO  MAS EXTENSA QUE EN TT
 
PLACA ERITEMATOSA BIEN DEFINIDA INFILTRADA EN LOS BORDES, PEQUEÑAS PAPULAS SATELITES
MACULA HIPOCROMICA
PLACA ERITEMATOSA, INFILTRADA, CON BORDES BIEN DEFINIDOS, Y AREAS BLANQUECINAS EN CENTRO
MULTIPLES LEPROMAS EN PACIENTE CON LEPRA LEPROMATOSA
CLÍNICA-FENOMENOS REACTIVOS ESTADOS INFLAMATORIOS DE MECANISMO INMUNOLOGICO, ESPONTANEOS O TRAS LA INSTAURACION DEL TRATAMIENTO LEPRORREACCION TIPO I: REACCIONES DE DISMINUCION DE GRADO O INVERSION. SE DAN EN LA DIMORFA. LESIONES CUTANEAS EXPERIMENTAN INFLAMACION AGUDA, EDEMA Y DOLOR, PUEDEN ULCERARSE, FEBRICULA, NUEVAS LESIONES , NEURITIS LEPRORREACCIONES TIPO 2 – ERITEMA NUDOSO: EN LLA MITAD DE PACIENTES CON LLTRAS EL COMIENZO DEL TTO FENOMENO DE LUCIO- MULCERAS POLIGONALES EN PIERNAS, VASCULITIS
HALLAZGOS GENERALES EXTREMIDADES: NEIUROPATÍA SENSITIVA, ULCERAS PLANTARES,SOBREINFECCION; PARALISIS CUBITAL Y PERONEA , ARTICULACIONES DE CHARCOT NARIZ: CONGESTION NASAL CRONICA, EPISTAXIS, SILLA DE MONTAR OJOS:PARALISIS DE NERVIOS CRANEALES , LAGOFTALMOS, AUSENCIA DE SENSIBILIDAD CORNEAL. EN LL GLAUCOMA, UVEITIS, CATARATA TESTICULOS , HIPOGONADISMO LL AMILOIDOSIS SECUNDARIA CON ALTERACIONES RENALES Y HEPATICAS
 
 
 
 
 
 
DIAGNOSTICO DIFERENCIAL SARCOIDOSIS, LEISHMANIASIS, LUPUS VULGAR, INFECCION POR MNT, LINFOMAS, SIFILIS, GRANULOMA ANULAR , NECROBIOSIS LIPOIDICA
DIAGNOSTICO PACIENTE PROCEDENTE DE ZONA ENDEMICA LESIONES CARACTERISTICAS CON DISMINUCION O AUSENCIA DE SENSIBILIDAD ENGROSAMIENTO DE NERVIOS PERIFERICOS HALLAZGO DE M LEPRAE EN PIEL Y MENOS FRECUENTE EN OTROS LUGARES
EVOLUCION Y PRONOSTICO TRAS LA TERAPIA FARMACOLOGICA EL MAS DIFICIL ALTERACIONES SECUNDARIAS A DEFICITS NEUROLOGICOS, CONTRACTURAS Y ALTERACIONES TROFICAS DE MANOS Y PIES. EQUIPO MULTIDISCIPLINAR LAS LEPRORREACCIONES TIPO I1TRANSITORIAS LAS LEPRORREACCIONES TIPO 2. SE PUEDEN COMPLICAR
TRATAMIENTO ERRADICAR INFECCION CON TERAPIA AMTILEPROMATOSA PREVENIR Y TRATAR LA LEPRORREACCIONES DISMINUIR EL RIESGO DE LESION NERVIOSA EDUCAR AL PACIENTE PARA TRATAR LA NEUROPATIA Y LA ANESTESIA TRATAR LAS COMPLICACIONES DE LA LESION NERVIOSA REHABILITAR AL PACIENTE DESDE EL PUNTO DE VISTA SOCIAL
r
 
 
 
 
 
 
 
 
 
 
 

Una Enfermedad Del Pasado

  • 1.
    ¿UNA ENFERMEDAD DELPASADO? DR FERNANDO MARTÍN. DERMATÓLOGO HOSPITAL DE VERÍN
  • 2.
    CASO CLINICO MUJERDE 41 AÑOS AP: ALERGIA A AINES, ORIGINARIA DE BRASIL (M0ZARLANDIA) MC: JUNIO DE 2008: COMIENZA HACE AÑOS CON DISESTESIA EN PABELLONES AURICULARES Y PLACAS ERITEMATOSAS, INFILTRADAS , ESTABLES EN MANOS Y ANTEBRAZOS
  • 3.
    CASO CLINICO BIOPSIA:JUNIO DE 2008 DE PABELLON AURICULAR CON EL DX CLINICO DE SARCOIDOSIS VS POLICONDRITIS RECIDIVANTE INFORME AP: INFLAMACIÓN GRANULOMATOSA DÉRMICA NO NECROTIZANTE TIPO SARCOIDEA BAAR: NEGATIVO PAS Y GIEMSA: NEGATIVOS COMPATIBLE CON SARCOIDOSIS (INTERESA DESCARTAR OTRAS ENFERMEDADES GRANULOMATOSAS
  • 4.
  • 5.
    CASO CLINICO DIAGNÓSTICOSARCOIDOSIS EXPLORACIONES COMPLEMENTARIAS ( PROTOCOLO SARCOIDOSIS). 9/08: HEMOGRAMA N, VSG 11MM, BIOQUÍMICAN, FR(-), SEROLOGÍAS VHC, VHB, VIH Y LUES(-), T3,T4 Y TSH N, ECA 18 U/L, MANTOUX (-), ANAS (-), SEDIMENTO 6-8 H/C,GASOMETRÍA N Y PLACA DE TORAX Y MANOS N
  • 6.
  • 7.
  • 8.
    CASO CLINICO EVOLUCIÓN:SE INSTAURA TTO CON CREMA DE PREDNICARBATO, HIDROXICLOROQUINA, AHS Y CORTICOIDES ORALES. ENTRE SEPTIEMBRE DE 2008 Y AGOSTO DE 2009, CON ESCASA MEJORÍA. FUE REMITIDA EN FEBRERO DE 2009 A M. INTERNA. SE REPITE PROTOCOLO QUE SIGUE NORMAL ACUDE A BRASIL EN AGOSTO DE 2009 Y ….
  • 9.
  • 10.
  • 11.
  • 12.
  • 13.
    ENFERMEDAD DE HANSEN.INTRODUCCIÓN CÓDICES EGIPCIOS 1500 AC. PASAJES DEL ANTIGUO TESTAMENTO. “CASTIGO DIVINO DE PECADORES Y HEREJES” 1873 HANSEN, MÉDICO NORUEGO. BACILOS INTRACELULARES CON TTO AB EL CONTROL SE PODRÍA HACER AMBULATORIO. DIFICULTAD DE SEGUIMIENTO, RECIDIVAS SECUELAS Y RECHAZO SOCIAL. MANTENIMIENTO DE CENTROS ESPECIALIZADOS. DIFERNTES DENOMINACIONES
  • 14.
  • 15.
    MICROBIOLOGÍA Y EPIDEMIOLOGÍA.ETIOLOGIA M LEPRAE, BAAR Y GRAM+. REPRODUCCION MAX ENTRE LOS 27-30ºC. IMPOSIBLE DE CULTIVAR INFECTA PIEL Y NERVIOS CUTANEOS CRECE MEJOR EN TEJIDOS FRIOS (PIEL, N PERIF, CAM ANTE DEL OJO, VIAS RESPALTAS Y TESTICULOS HUESPEDES : SERES HUMANOS, ARMADILLO SALVAJE, CHIMPACES TRANSMISION MUY CONTAGIOSA PERO DE BAJA PATOGENICIDAD. TASA DE INFECCIÓN EXCEDE CON MUCHO TASA DE ENFERMEDAD. PACIENTES CON LEPRA MB NO TRATADOS O CON RECAIDA. GOTITAS DE FLÜGGE. LACTANCIA Y TRAS PLACENTARIA. TAMBIÉN PODRÍA INOCULARSE A TRAVES DE LA PIEL
  • 16.
    MICROBIOLOGÍA Y EPIDEMIOLOGÍA95% SIST INMUNE INTACTO PROTECCIÓN. HLADR2 Y HLA DR3 PEQUEÑO% ENTRE 3-10 AÑOS ENFERMEDAD. MAS EN HLADQ1 600000 NUEVOS CASOS ANUALES PREVALENCIA 0,6-8 MILLONES. EN ESPAÑA 2008 17 CASOS ESTAMOS POR DEBAJO DE 1/10000, OBJETIVO DE LA OMS MAS DEL 80% INDIA, CHINA, MYANMAR, INDONESIA, BRASIL Y NIGERIA SE ASOCIA A POBREZA, MEDIO RURAL Y VIH. LA MAYORIA INMUNIDAD NATURAL
  • 17.
    EPIDEMIOLOGIA EDAD :INCIDENCIA ENTRE LOS 10-20 AÑOS. PREVALENCIA MAXIMA ENTRE LOS 10-50 AÑOS SEXO MAS EN VARONES RAZA EN NEGROS PREDOMINAN LAS FORMAS LEVES
  • 18.
    CLASIFICACIÓN CLÍNICA CRITERIOSCLÍNICOS, BACTEROLÓGICOS, INMUNOLÓGICOS CLÍNICOS AFECTACIÓN NEUROLÓGICA Y CUTÁNEA 1962 RIDLEY Y JOPLING. EN RELACIÓN CON LA RESPUESTA INMUNE: TT Y LL, ENTRE AMBOS EL DD. TT- AFECTACION CUTÁNEA LOCALIZADA Y/O DE NERVIO PERIFÉRICO. EN LAS BIOPSIAS DE PIEL POCOS MICROORGANISMOS LL- AFECTACIÓN GENERALIZADA QUE COMPRENDE PIEL MUCOSA RESPIRATORIA ALTA, SRE, SUPRARRENALES Y TESTICULOS, EN EL TEJIDO MUCHOS BACILOS BIPOLAR O DIMORFA. CARACT DE TT Y LL. HABITUALMENTE SE OBSEVAN BACILOS Y LESIONES CUTANEAS VARIADAS, MACULAS, PAPULAS PLACAS. PROGRESA A LL O TT EN 1982 OMS: PB Y MB. MB SI BACILOSCOPIA ES POSITIVA, UN TRONCO NERVIOSO Y SEIS O MAS LESIONES CUTÁNEAS
  • 19.
    CLINICA DERMATÓLOGICA COMIENZOINSIDIOSO: ENTUMECIMIENTO 90%. 2/3 CURAN ESPONTÁNEA. 80% CASOS SON TT, DD O INDETERMINADA INDETERMINADA: COMIENZO A PARTIR DEL CUAL RESISTENCIA O PROGRESIÓN. TT RESISTENCIA PROLONGADA Y FUERTE 4 AÑOS Y LL O DD 10 AÑOS . ES TRANSITORIA Y SI EL SISTEMA INMUNE ES BUENO NUNCA SÍNTOMAS. MACULAS HIPOPIGMENTADAS, MAL DELIMITADAS. MEJILLAS, BRAZO, MUSLO , NALGAS. HISTOPATOLOGÍA INESPECIFICA , BACT NEG Y LEPROMINA-
  • 20.
    CLÍNICA LEPRA TT: ESCASO Nº DE LESIONES, BIEN DEFINIDA Y ASIMETRICAS. PLACA ERITEMATOSA DE GRAN TAMAÑO, BORDE BIEN DEFINIDO Y CENTRO ATRÓFICO. PAPULAS AISLADAS, Y EN OCASIONES NODULOS.DISMINUCION DE SENSIBILIDAD, ALOPECIA E HIPOHIDROSIS. HISTO: GRANULOMA TUBERCULOIDE, BACILOSCOPIA- Y LEPROMINA+ NERVIOS: NERVIO ENGROSADO (CUBITAL). COMPROBAR LA SENSIBILIDAD AL PINCHAZO, TERMICA Y VIBRATORIA
  • 21.
    CLÍNICA LEPRA LL: NUMEROSAS Y SIMÉTRICAS, MAL DEFINIDAS Y CON ABUNDANTES BACILOS. HISTO TIPICA Y TENDENCIA A AGRAVAMIENTO. LLMACULARNUMEROSAS DIFUSAS DISTRIBUIDAS POR TODO EL CUERPO, ALTERACIONES EN Tª. INFILTRACIONES LEPROMATOSAS. MAYOR TAMAÑO, BORDES IMPRECISOS. EN DORSO MANO Y CARA. FACIES LEONINA, EN PLACA Y NODULO DIFUSO, ANESTESIA Y ANHIDROSIS. MADAROSIS TÍPICA NERVIO MAS EXTENSA QUE EN TT
  • 22.
  • 23.
    PLACA ERITEMATOSA BIENDEFINIDA INFILTRADA EN LOS BORDES, PEQUEÑAS PAPULAS SATELITES
  • 24.
  • 25.
    PLACA ERITEMATOSA, INFILTRADA,CON BORDES BIEN DEFINIDOS, Y AREAS BLANQUECINAS EN CENTRO
  • 26.
    MULTIPLES LEPROMAS ENPACIENTE CON LEPRA LEPROMATOSA
  • 27.
    CLÍNICA-FENOMENOS REACTIVOS ESTADOSINFLAMATORIOS DE MECANISMO INMUNOLOGICO, ESPONTANEOS O TRAS LA INSTAURACION DEL TRATAMIENTO LEPRORREACCION TIPO I: REACCIONES DE DISMINUCION DE GRADO O INVERSION. SE DAN EN LA DIMORFA. LESIONES CUTANEAS EXPERIMENTAN INFLAMACION AGUDA, EDEMA Y DOLOR, PUEDEN ULCERARSE, FEBRICULA, NUEVAS LESIONES , NEURITIS LEPRORREACCIONES TIPO 2 – ERITEMA NUDOSO: EN LLA MITAD DE PACIENTES CON LLTRAS EL COMIENZO DEL TTO FENOMENO DE LUCIO- MULCERAS POLIGONALES EN PIERNAS, VASCULITIS
  • 28.
    HALLAZGOS GENERALES EXTREMIDADES:NEIUROPATÍA SENSITIVA, ULCERAS PLANTARES,SOBREINFECCION; PARALISIS CUBITAL Y PERONEA , ARTICULACIONES DE CHARCOT NARIZ: CONGESTION NASAL CRONICA, EPISTAXIS, SILLA DE MONTAR OJOS:PARALISIS DE NERVIOS CRANEALES , LAGOFTALMOS, AUSENCIA DE SENSIBILIDAD CORNEAL. EN LL GLAUCOMA, UVEITIS, CATARATA TESTICULOS , HIPOGONADISMO LL AMILOIDOSIS SECUNDARIA CON ALTERACIONES RENALES Y HEPATICAS
  • 29.
  • 30.
  • 31.
  • 32.
  • 33.
  • 34.
  • 35.
    DIAGNOSTICO DIFERENCIAL SARCOIDOSIS,LEISHMANIASIS, LUPUS VULGAR, INFECCION POR MNT, LINFOMAS, SIFILIS, GRANULOMA ANULAR , NECROBIOSIS LIPOIDICA
  • 36.
    DIAGNOSTICO PACIENTE PROCEDENTEDE ZONA ENDEMICA LESIONES CARACTERISTICAS CON DISMINUCION O AUSENCIA DE SENSIBILIDAD ENGROSAMIENTO DE NERVIOS PERIFERICOS HALLAZGO DE M LEPRAE EN PIEL Y MENOS FRECUENTE EN OTROS LUGARES
  • 37.
    EVOLUCION Y PRONOSTICOTRAS LA TERAPIA FARMACOLOGICA EL MAS DIFICIL ALTERACIONES SECUNDARIAS A DEFICITS NEUROLOGICOS, CONTRACTURAS Y ALTERACIONES TROFICAS DE MANOS Y PIES. EQUIPO MULTIDISCIPLINAR LAS LEPRORREACCIONES TIPO I1TRANSITORIAS LAS LEPRORREACCIONES TIPO 2. SE PUEDEN COMPLICAR
  • 38.
    TRATAMIENTO ERRADICAR INFECCIONCON TERAPIA AMTILEPROMATOSA PREVENIR Y TRATAR LA LEPRORREACCIONES DISMINUIR EL RIESGO DE LESION NERVIOSA EDUCAR AL PACIENTE PARA TRATAR LA NEUROPATIA Y LA ANESTESIA TRATAR LAS COMPLICACIONES DE LA LESION NERVIOSA REHABILITAR AL PACIENTE DESDE EL PUNTO DE VISTA SOCIAL
  • 39.
  • 40.
  • 41.
  • 42.
  • 43.
  • 44.
  • 45.
  • 46.
  • 47.
  • 48.
  • 49.
  • 50.