ATENEO CENTRAL  16/09/09 Dr. Roberto Larghi [email_address] Departamento de Hemodinamia
Sexo: femenino Edad: 55 años DATOS PERSONALES
MOTIVO DE CONSULTA Claudicación intermitente
ENFERMEDAD ACTUAL Paciente de 55 años, consulta a su medico clínico por cuadro de claudicación intermitente  a los 150 metros, de 2 meses de evolución, además se le constata en el examen físico soplo carotideo bilateral .
HTA Tabaquista Menopáusica precoz Migrañosa  ANTECEDENTES
MEDICACION PREVIA Propanolol  Tetralgin  Amitriptilina
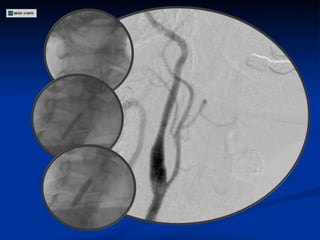
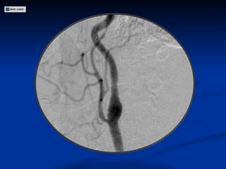
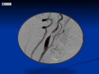
ECODOPPLER DE VASOS DEL CUELLO Estenosis 80-90 % en segmento inicial de Carótida Interna Derecha Estenosis 50-60 % en Carótida Interna Izquierda Carótidas externas permeables con flujos conservados Arterias Vertebrales permeables
Angiografía
 
 
 
 
CONDUCTA
 
 
 
 
De resultados del European Carotid Surgery Trial, del North American Symptomatic Carotid Endarterectomy Trial (NASCET), y del Asymptomatic Carotid Atherosclerosis Study (ACAS), la AHA publico una serie de recomendaciones  con respecto a endarterectomía carotidea (EC )
EC fue recomendada en pacientes con una expectativa de vida de al menos 5 años, y un 6% de riesgo de Muerte y ACV peri operatorio dentro de los 30 días ( 70% de estenosis sintomáticos ) o 3% si tienen 60% de estenosis sin síntomas previos
Criterios de eleccion aprovados por la FDA:  pacientes de alto riesgo quirurgico, con lesiones en la ACC o ACI sintomaticos (50% estenosis) o asintomaticos (80% stenosis). Estas indicaciones para SAC incluyen las  siguientes caracteristicas anatomicas y fisiologicas de riesgo: 2 o mas arterias coronarias proximales o mayores enfermas con estenosis > 70% , o que no puedan ser revascularizados, AI, IAM dentro de los 30 dias, y necesidad actual de revascularizacion carotidea, indicacion concurrente de By pass aoro coronario o cirugia de reemplazo valvular dentro de los 30 dias, oclusion contralateral de la ACI, en lista de TX ( corazon, pulmon, riñon, higado) o esta siendo evaluado para eso, Fey 30%, o CF III o > NYHA, VEF1 30%, paciente en dialisis, diabetes no controlada, reestenosis luego de EAC, pacientes con actual o post radiacion del cuello, pacientes en actual o post cirugia radcal del cuello , lesiones quirurgicamente inaccesibles (eg, lesions above the level of C2 or below the clavicle, lesions obstructed by tumors in the neck), paralisis espinal (inability to flex neck beyond neutral or kyphotic deformity), traqueostomia, y paralisis del nervio laringeo contralateral.  En le presente analisis, solamente el  9.7% no tenian . Exclusion criteria used in the pivotal ACCULINK for Revascularization  of Carotids in High-Risk Patients (ARCHeR) study14 were not imposed in these studies: patients with other potential sources of stroke (prosthetic valves, atrial fibrillation, bilateral severe carotid artery stenosis, etc), and other surgical procedures within the first 30 days had access to treatment with CAS despite the potentially confounding nature of these conditions on outcomes. The EX and C2 study protocols were approved by the local institutional review boards at all participating sites, and patients provided written informed consent previous to study treatment.
EPP: a composite of death, any stroke, or MI within 30 days of the procedure
 
Over the age of 80 years, the combined outcomes of both studies for 30-day death and stroke rate was  10.5%  (95% CI, 6.3% to 16.0%) for  the symptomatic group  and  4.4%  (95% CI, 3.3% to 5.7%)  for the asymptomatic group .
 

16-09-09

  • 1.
    ATENEO CENTRAL 16/09/09 Dr. Roberto Larghi [email_address] Departamento de Hemodinamia
  • 2.
    Sexo: femenino Edad:55 años DATOS PERSONALES
  • 3.
    MOTIVO DE CONSULTAClaudicación intermitente
  • 4.
    ENFERMEDAD ACTUAL Pacientede 55 años, consulta a su medico clínico por cuadro de claudicación intermitente a los 150 metros, de 2 meses de evolución, además se le constata en el examen físico soplo carotideo bilateral .
  • 5.
    HTA Tabaquista Menopáusicaprecoz Migrañosa ANTECEDENTES
  • 6.
    MEDICACION PREVIA Propanolol Tetralgin Amitriptilina
  • 7.
    ECODOPPLER DE VASOSDEL CUELLO Estenosis 80-90 % en segmento inicial de Carótida Interna Derecha Estenosis 50-60 % en Carótida Interna Izquierda Carótidas externas permeables con flujos conservados Arterias Vertebrales permeables
  • 8.
  • 9.
  • 10.
  • 11.
  • 12.
  • 13.
  • 14.
  • 15.
  • 16.
  • 17.
  • 18.
    De resultados delEuropean Carotid Surgery Trial, del North American Symptomatic Carotid Endarterectomy Trial (NASCET), y del Asymptomatic Carotid Atherosclerosis Study (ACAS), la AHA publico una serie de recomendaciones con respecto a endarterectomía carotidea (EC )
  • 19.
    EC fue recomendadaen pacientes con una expectativa de vida de al menos 5 años, y un 6% de riesgo de Muerte y ACV peri operatorio dentro de los 30 días ( 70% de estenosis sintomáticos ) o 3% si tienen 60% de estenosis sin síntomas previos
  • 20.
    Criterios de eleccionaprovados por la FDA: pacientes de alto riesgo quirurgico, con lesiones en la ACC o ACI sintomaticos (50% estenosis) o asintomaticos (80% stenosis). Estas indicaciones para SAC incluyen las siguientes caracteristicas anatomicas y fisiologicas de riesgo: 2 o mas arterias coronarias proximales o mayores enfermas con estenosis > 70% , o que no puedan ser revascularizados, AI, IAM dentro de los 30 dias, y necesidad actual de revascularizacion carotidea, indicacion concurrente de By pass aoro coronario o cirugia de reemplazo valvular dentro de los 30 dias, oclusion contralateral de la ACI, en lista de TX ( corazon, pulmon, riñon, higado) o esta siendo evaluado para eso, Fey 30%, o CF III o > NYHA, VEF1 30%, paciente en dialisis, diabetes no controlada, reestenosis luego de EAC, pacientes con actual o post radiacion del cuello, pacientes en actual o post cirugia radcal del cuello , lesiones quirurgicamente inaccesibles (eg, lesions above the level of C2 or below the clavicle, lesions obstructed by tumors in the neck), paralisis espinal (inability to flex neck beyond neutral or kyphotic deformity), traqueostomia, y paralisis del nervio laringeo contralateral. En le presente analisis, solamente el 9.7% no tenian . Exclusion criteria used in the pivotal ACCULINK for Revascularization of Carotids in High-Risk Patients (ARCHeR) study14 were not imposed in these studies: patients with other potential sources of stroke (prosthetic valves, atrial fibrillation, bilateral severe carotid artery stenosis, etc), and other surgical procedures within the first 30 days had access to treatment with CAS despite the potentially confounding nature of these conditions on outcomes. The EX and C2 study protocols were approved by the local institutional review boards at all participating sites, and patients provided written informed consent previous to study treatment.
  • 21.
    EPP: a compositeof death, any stroke, or MI within 30 days of the procedure
  • 22.
  • 23.
    Over the ageof 80 years, the combined outcomes of both studies for 30-day death and stroke rate was 10.5% (95% CI, 6.3% to 16.0%) for the symptomatic group and 4.4% (95% CI, 3.3% to 5.7%) for the asymptomatic group .
  • 24.