ULTRASONIDO ABDOMINAL
ULTRASONIDO ABDOMINAL  DEFINICIÓN Es una exploración de la región abdominal practicada a través de ondas de sonido, es fácil de realizar, no invasivo y de tiempo real.
ULTRASONIDO ABDOMINAL INDICACIONES Ictericia Masas (absceso, quistes, tumores y metástasis, hematomas) Datos de la hipertensión portal  Ascitis Procesos inflamatorios (pancreatitis. Colecistitis).
ULTRASONIDO ABDOMINAL CONTRAINDICACIONES Relativas. Exceso de aire Mala preparación (ayuno) Obesidad morbosa
UTRASONOGRAMA ABDOMINAL DENSIDADES EN ULTRASONIDO Anaecoico = sin ecogenicidad = negro  (líquido, quistes, vasos,  vesícula, vía biliar, etc). Hiperecoico = con muchos ecos = blanco  (grasa, aire, litos)  Hipoecoico = bajo en ecos = gris.
SONOGRAMA ABDOMINAL TERMINOLOGÍA ULTRASONIDO Sombra Sónica posterior Es el defecto de transición del sonido que produce el efecto sombra ejem. (litos) Reforzamiento Posterior. Es el defecto de transmisión del sonido a través del líquido.
SONOGRAMA ABDOMINAL EVALUACIÓN TAMAÑO ( Hepatitis, I.C.C., Cirosis) FORMA (lobular en cirrosis) LOCALIZACIÓN ( de masas) PATRON SONOGRÁFICO ( hiperecoico gris)
SONOGRAMA ABDOMINAL EVALUACIÓN HIGADO SISTEMA BILIAR BAZO  RIÑONES PANCREAS ( no específico)
 
 
SONOGRAMA ABDOMINAL EVALUACIÓN  CAUSAS DE AUMENTO DIFUSO ECOS . Variante de la normalidad Falla cardiaca Hígado graso  Hiperalimención Cirrosis Malnutrición Infiltración maligna externa  Terapia con  corticoesteroides Mononucleosis infecciosa Enf. De Wilson Hepatitis severa
SONOGRAMA ABDOMINAL EVALUACIÓN CAUSAS DE AUMENTO FOCAL DE ECOS . Nódulos de regeneración Metástasis Tumores primarios Adenoma Hiperplasia nodular focal Infiltración grasa focal  Absceso Infarto Hematoma / Laceración Hepatitis (CMV)
SONOGRAMA ABDOMINAL EVALUACIÓN Carcinoma   Masa sólida intraluminal Masa infiltrante con pared engrosada Masa polipoidea con engrosamiento de la  pared Masa fungoide intraluminal
SONOGRAMA ABDOMINAL EVALUACIÓN  MASA QUISTICA EN HIGADO Masa con ausencia de ecogenicidad en su interior Paredes lisas y nítidamente definidas Refuerzo acústico más allá de la pared posterior
SONOGRAMA ABDOMINAL EVACUACIÓN VESÍCULA BILIAR Estructura elongada, ovoide Pared bien definida, no debe superar los 3 mm. De grosor. Longitud 7 -10 cm. (menos de 13 cm.) Diámetro  3 cm. ( < 4 cm. )
SONOGRAMA ABDOMINAL EVALUACIÓN CAUSAS DE DEFECTO DE REPLECIÓN EN LA VESÍCULA.   Litiasis Pliegues mucosos Barro Placas de colesterol Pus  Pólipos Coágulos Adenoma
SONOGRAMA ABDOMINAL PATOLOGIAS DE VESÍCULA BILIAR LITIASIS VESICULAR Cuando miden 3 mm de ven en la ecografía (certeza del diagnóstico por U.S.  del 96% ) Eco brillante, definido en el interior de la luz vesícula móvil y asociado  con sombra acústica posterior.
SONOGRAMA ABDOMINAL EVALUACIÓN LODO BILIAR Bilis muy espesa que causa nivel bajo de ecos, se puede observar simulando un nivel semilíquido de la bilis espesa. Esta imagen es típica en pacientes con obstrucción, ictericia, enfermedad hepática, hiperalimentación, sépsis.
SONOGRAMA ABDOMINAL EVALUACIÓN Causas de aumento de la pared vesicular . Hepatitis Fallo renal Ascitis Carcinoma de vesícula Enf. Hepática alcohólica Hipoalbuminemia Pancreatitis aguda Fallo cardiaco Hipertensión venosa sistémica Mieloma múltiple
SONOGRAMA ABDOMINAL EVALUACIÓN COLECISTITIS AGUDA Inflamación de la vesícula biliar   Litiasis vesicular, 5 % colecistitis es alitiásica. Pared anterior mayor de 3 mm. Murphy ecográfico positivo Edema, halo hipoecoico alrededor de la pared Distensión de la vesícula (70 ml. O más)
SONOGRAMA ABDOMINAL EVALUACIÓN  VESÍCULA EN PORCELANA Calcificación difusa de la pared, que se ve como un área hiperecogénica curvilínea con sombra acústica posterior. Poco frecuente. Aumenta el riesgo de carcinoma vesicular
SONOGRAMA ABDOMINAL EVALUACIÓN CARCINOMA VESICULAR: Es la 5ta. Neoplasia más frecuente. Forma en la que se presenta : Forma infiltrante  Forma localiza Tumor fungoide
SONOGRAMA ABDOMINAL EVALUACIÓN  VIA BILIAR : Las dimensiones varían con la edad. (aumenta 1 mm. En cada década) Normal = 4-8 mm. Probablemente dilatado = 8-11 mm. Dilatado >11 mm. Colecistectomizado = Normal hasta 7 mm.
SONOGRAMA ABDOMINAL  EVALUACIÓN CAUSAS DE DILATACIÓN DE LA VÍA BILIAR: Quiste de colédoco. Colédococele. Litiasis. Divertículo del colédoco. Colangitis primaria o secundaria. Colangiocarcinoma. Carcinoma del páncreas. Adenopatías.
SONOGRAMA ABDOMINAL EVALUACIÓN HIPERTENSIÓN PORTAL : Aumento del diámetro de la porta (vena mesentérica y esplénica) aumento de calibre que no cambia con la respiración. Esplenomegalia Ascitis
 
 
 
 
 
 
 
 
 
 
 
 
 
 
 
 
 
 
 
TOMOGRAFÍA COMPUTADA
TOMOGRAFÍA COMPUTADA OBJETIVOS DE USO: Procedimiento utilizado en gastroenterología para: Diagnóstico tomográfico y Procedimientos intervencionistas
TOMOGRAFÍA COMPUTADA DEFINICIÓN: Rastreos con un scanner de cortes longitudinales o transversales de 1 cm de diámetro con transducción de la imagen a través de una computadora que la reproduce en una pantalla de la cual se graba.
 
TOMOGRAFIA COMPUTADA Tipos de tomografías T.C. simple  T.C. contrastada (oral e IV)
TOMOGRAFIA COMPUTADA Preparación del Paciente: Ayuno ( 4 - 6 Hrs.) Medio de contraste VO. (1hora antes estudio) Niños (sedación). No  antecedentes de estudios gastrointestinales  previos  contrastados.
TOMOGRAFIA COMPUTADA DENSIDADES TOMOGRÁFICAS. Hiperdenso.( Sangre, litos de calcio). Isodenso. (Parénquima normal).  Hipodenso (líquido).
TOMOGRAFIA COMPUTADA INDICACIONES: Neoplasias  (cualquier órgano)   Crecimiento ganglionar  (locales o peiféricos) Tumoraciones  (locales) Masas intrahepáticas  ( metástasis, abscesos, quistes, nódulos, angiodisplasias focales, adenomas) Masas pancreáticas  ( pancreatitis aguda, crónica, pseudoquiste, Ca. Páncreas)
TOMOGRAFÍA COMPUTADA INDICACIONES: (Continuación) Masas renales  ( poliquistosis, cáncer) Procesos inflamatorios  (pielonefritis,  Ca. De estructuras huecas  (Ca. Esófago,gástrico, intestino delgado y colon)
TOMOGRAFIA CONPUTADA CONTRAINDICACIONES: Embarazo Insuficiencia renal Reacciones alérgicas (medio contraste). No  antecedentes de estudios gastrointestinales  previos  contrastados.} Pacientes mayores de 60 años.
TOMOGRAFIA CONPUTADA HALLAZGOS: Patrón hiperdenso de tumoración  No  reforzamiento y patrón hipodenso en interior de tumoración, con nivel ( Absceso) Reforzamiento con medio de contraste:(neoplasias vascularizadas, pancreatitis hemorrágica) Reforzamiento exclusivo pared (Quiste) Patrón hipodenso difuso ( pancreatitis aguda, cirrosis o neoplasia hepática
TOMOGRAFIA COMPUTADA HALLAZGOS:   Visualizar vísceras sólidas (hígado, páncreas, riñón y bazo) Visualizar con medio de contraste ( esófago, estómago, intestino delgado y grueso). Visualizar (estructuras vasculares y ganglios). Visualización  espacios (peritoneal y de morrison) y sus contenidos.
TOMOGRAFIA COMPUTADA HALLAZGOS: Visualizar vía biliar intra y extrahepática Visualizar estructuras pélvicas ( ovarios, útero, vejiga, recto)
TOMOGRAFIA COMPUTADA HALLAZGOS PANCREATITIS AGUDA: Crecimiento de la glándula Pérdida de nitidez o claridad de sus bordes Hipodensidad de su parénquima
TOMOGRAFIA COMPUTADA La TAC. es el estudio de oro para el diagnóstico de: Pancreatitis aguda y gran apoyo para el diagnóstico de Pancreatitis crónica.
TOMOGRAFIA CONPUTADA HALLAZGOS EN PANCREATITIS CRÓNICA Obstructiva Calcificante: Calcificaciones conducto pancreático Dilatación de conductos secundarios Hipodensidad de conductos secundarios
CORTES TAC ABDOMINAL
TAC PÁNCREAS
TAC NORMAL
TAC NORMAL
TAC NORMAL
TAC NORMAL
TAC NORMAL
TAC MASA PÉLVICA
TAC MASA PÉLVICA
TAC MASA PÉLVICA
TAC MASA PÉLVICA
TAC HÍGADO
 
Aneurisma gigante de aorta Trombo Aorta
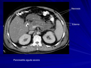
Pancreatitis aguda severa Necrosis  Edema
Neumatosis intestinal Aire Libre Aire en la luz intestinal
TAC PÁNCREAS
TAC PAS LEVE
TAC PAS LEVE
TAC PAS LEVE
TAC PAS LEVE
TAC PAS NECROSIS
TAC PAS PUNCIÓN
TAC PÁNCREAS
TAC PÁNCREAS
TAC PÁNCREAS
TAC PÁNCREAS
TAC HÍGADO Aire en el sistema porta
TAC PÁNCREAS Pseudoquiste

28 Usg Abd Y Tac

  • 1.
  • 2.
    ULTRASONIDO ABDOMINAL DEFINICIÓN Es una exploración de la región abdominal practicada a través de ondas de sonido, es fácil de realizar, no invasivo y de tiempo real.
  • 3.
    ULTRASONIDO ABDOMINAL INDICACIONESIctericia Masas (absceso, quistes, tumores y metástasis, hematomas) Datos de la hipertensión portal Ascitis Procesos inflamatorios (pancreatitis. Colecistitis).
  • 4.
    ULTRASONIDO ABDOMINAL CONTRAINDICACIONESRelativas. Exceso de aire Mala preparación (ayuno) Obesidad morbosa
  • 5.
    UTRASONOGRAMA ABDOMINAL DENSIDADESEN ULTRASONIDO Anaecoico = sin ecogenicidad = negro (líquido, quistes, vasos, vesícula, vía biliar, etc). Hiperecoico = con muchos ecos = blanco (grasa, aire, litos) Hipoecoico = bajo en ecos = gris.
  • 6.
    SONOGRAMA ABDOMINAL TERMINOLOGÍAULTRASONIDO Sombra Sónica posterior Es el defecto de transición del sonido que produce el efecto sombra ejem. (litos) Reforzamiento Posterior. Es el defecto de transmisión del sonido a través del líquido.
  • 7.
    SONOGRAMA ABDOMINAL EVALUACIÓNTAMAÑO ( Hepatitis, I.C.C., Cirosis) FORMA (lobular en cirrosis) LOCALIZACIÓN ( de masas) PATRON SONOGRÁFICO ( hiperecoico gris)
  • 8.
    SONOGRAMA ABDOMINAL EVALUACIÓNHIGADO SISTEMA BILIAR BAZO RIÑONES PANCREAS ( no específico)
  • 9.
  • 10.
  • 11.
    SONOGRAMA ABDOMINAL EVALUACIÓN CAUSAS DE AUMENTO DIFUSO ECOS . Variante de la normalidad Falla cardiaca Hígado graso Hiperalimención Cirrosis Malnutrición Infiltración maligna externa Terapia con corticoesteroides Mononucleosis infecciosa Enf. De Wilson Hepatitis severa
  • 12.
    SONOGRAMA ABDOMINAL EVALUACIÓNCAUSAS DE AUMENTO FOCAL DE ECOS . Nódulos de regeneración Metástasis Tumores primarios Adenoma Hiperplasia nodular focal Infiltración grasa focal Absceso Infarto Hematoma / Laceración Hepatitis (CMV)
  • 13.
    SONOGRAMA ABDOMINAL EVALUACIÓNCarcinoma Masa sólida intraluminal Masa infiltrante con pared engrosada Masa polipoidea con engrosamiento de la pared Masa fungoide intraluminal
  • 14.
    SONOGRAMA ABDOMINAL EVALUACIÓN MASA QUISTICA EN HIGADO Masa con ausencia de ecogenicidad en su interior Paredes lisas y nítidamente definidas Refuerzo acústico más allá de la pared posterior
  • 15.
    SONOGRAMA ABDOMINAL EVACUACIÓNVESÍCULA BILIAR Estructura elongada, ovoide Pared bien definida, no debe superar los 3 mm. De grosor. Longitud 7 -10 cm. (menos de 13 cm.) Diámetro 3 cm. ( < 4 cm. )
  • 16.
    SONOGRAMA ABDOMINAL EVALUACIÓNCAUSAS DE DEFECTO DE REPLECIÓN EN LA VESÍCULA. Litiasis Pliegues mucosos Barro Placas de colesterol Pus Pólipos Coágulos Adenoma
  • 17.
    SONOGRAMA ABDOMINAL PATOLOGIASDE VESÍCULA BILIAR LITIASIS VESICULAR Cuando miden 3 mm de ven en la ecografía (certeza del diagnóstico por U.S. del 96% ) Eco brillante, definido en el interior de la luz vesícula móvil y asociado con sombra acústica posterior.
  • 18.
    SONOGRAMA ABDOMINAL EVALUACIÓNLODO BILIAR Bilis muy espesa que causa nivel bajo de ecos, se puede observar simulando un nivel semilíquido de la bilis espesa. Esta imagen es típica en pacientes con obstrucción, ictericia, enfermedad hepática, hiperalimentación, sépsis.
  • 19.
    SONOGRAMA ABDOMINAL EVALUACIÓNCausas de aumento de la pared vesicular . Hepatitis Fallo renal Ascitis Carcinoma de vesícula Enf. Hepática alcohólica Hipoalbuminemia Pancreatitis aguda Fallo cardiaco Hipertensión venosa sistémica Mieloma múltiple
  • 20.
    SONOGRAMA ABDOMINAL EVALUACIÓNCOLECISTITIS AGUDA Inflamación de la vesícula biliar Litiasis vesicular, 5 % colecistitis es alitiásica. Pared anterior mayor de 3 mm. Murphy ecográfico positivo Edema, halo hipoecoico alrededor de la pared Distensión de la vesícula (70 ml. O más)
  • 21.
    SONOGRAMA ABDOMINAL EVALUACIÓN VESÍCULA EN PORCELANA Calcificación difusa de la pared, que se ve como un área hiperecogénica curvilínea con sombra acústica posterior. Poco frecuente. Aumenta el riesgo de carcinoma vesicular
  • 22.
    SONOGRAMA ABDOMINAL EVALUACIÓNCARCINOMA VESICULAR: Es la 5ta. Neoplasia más frecuente. Forma en la que se presenta : Forma infiltrante Forma localiza Tumor fungoide
  • 23.
    SONOGRAMA ABDOMINAL EVALUACIÓN VIA BILIAR : Las dimensiones varían con la edad. (aumenta 1 mm. En cada década) Normal = 4-8 mm. Probablemente dilatado = 8-11 mm. Dilatado >11 mm. Colecistectomizado = Normal hasta 7 mm.
  • 24.
    SONOGRAMA ABDOMINAL EVALUACIÓN CAUSAS DE DILATACIÓN DE LA VÍA BILIAR: Quiste de colédoco. Colédococele. Litiasis. Divertículo del colédoco. Colangitis primaria o secundaria. Colangiocarcinoma. Carcinoma del páncreas. Adenopatías.
  • 25.
    SONOGRAMA ABDOMINAL EVALUACIÓNHIPERTENSIÓN PORTAL : Aumento del diámetro de la porta (vena mesentérica y esplénica) aumento de calibre que no cambia con la respiración. Esplenomegalia Ascitis
  • 26.
  • 27.
  • 28.
  • 29.
  • 30.
  • 31.
  • 32.
  • 33.
  • 34.
  • 35.
  • 36.
  • 37.
  • 38.
  • 39.
  • 40.
  • 41.
  • 42.
  • 43.
  • 44.
  • 45.
  • 46.
    TOMOGRAFÍA COMPUTADA OBJETIVOSDE USO: Procedimiento utilizado en gastroenterología para: Diagnóstico tomográfico y Procedimientos intervencionistas
  • 47.
    TOMOGRAFÍA COMPUTADA DEFINICIÓN:Rastreos con un scanner de cortes longitudinales o transversales de 1 cm de diámetro con transducción de la imagen a través de una computadora que la reproduce en una pantalla de la cual se graba.
  • 48.
  • 49.
    TOMOGRAFIA COMPUTADA Tiposde tomografías T.C. simple T.C. contrastada (oral e IV)
  • 50.
    TOMOGRAFIA COMPUTADA Preparacióndel Paciente: Ayuno ( 4 - 6 Hrs.) Medio de contraste VO. (1hora antes estudio) Niños (sedación). No antecedentes de estudios gastrointestinales previos contrastados.
  • 51.
    TOMOGRAFIA COMPUTADA DENSIDADESTOMOGRÁFICAS. Hiperdenso.( Sangre, litos de calcio). Isodenso. (Parénquima normal). Hipodenso (líquido).
  • 52.
    TOMOGRAFIA COMPUTADA INDICACIONES:Neoplasias (cualquier órgano) Crecimiento ganglionar (locales o peiféricos) Tumoraciones (locales) Masas intrahepáticas ( metástasis, abscesos, quistes, nódulos, angiodisplasias focales, adenomas) Masas pancreáticas ( pancreatitis aguda, crónica, pseudoquiste, Ca. Páncreas)
  • 53.
    TOMOGRAFÍA COMPUTADA INDICACIONES:(Continuación) Masas renales ( poliquistosis, cáncer) Procesos inflamatorios (pielonefritis, Ca. De estructuras huecas (Ca. Esófago,gástrico, intestino delgado y colon)
  • 54.
    TOMOGRAFIA CONPUTADA CONTRAINDICACIONES:Embarazo Insuficiencia renal Reacciones alérgicas (medio contraste). No antecedentes de estudios gastrointestinales previos contrastados.} Pacientes mayores de 60 años.
  • 55.
    TOMOGRAFIA CONPUTADA HALLAZGOS:Patrón hiperdenso de tumoración No reforzamiento y patrón hipodenso en interior de tumoración, con nivel ( Absceso) Reforzamiento con medio de contraste:(neoplasias vascularizadas, pancreatitis hemorrágica) Reforzamiento exclusivo pared (Quiste) Patrón hipodenso difuso ( pancreatitis aguda, cirrosis o neoplasia hepática
  • 56.
    TOMOGRAFIA COMPUTADA HALLAZGOS: Visualizar vísceras sólidas (hígado, páncreas, riñón y bazo) Visualizar con medio de contraste ( esófago, estómago, intestino delgado y grueso). Visualizar (estructuras vasculares y ganglios). Visualización espacios (peritoneal y de morrison) y sus contenidos.
  • 57.
    TOMOGRAFIA COMPUTADA HALLAZGOS:Visualizar vía biliar intra y extrahepática Visualizar estructuras pélvicas ( ovarios, útero, vejiga, recto)
  • 58.
    TOMOGRAFIA COMPUTADA HALLAZGOSPANCREATITIS AGUDA: Crecimiento de la glándula Pérdida de nitidez o claridad de sus bordes Hipodensidad de su parénquima
  • 59.
    TOMOGRAFIA COMPUTADA LaTAC. es el estudio de oro para el diagnóstico de: Pancreatitis aguda y gran apoyo para el diagnóstico de Pancreatitis crónica.
  • 60.
    TOMOGRAFIA CONPUTADA HALLAZGOSEN PANCREATITIS CRÓNICA Obstructiva Calcificante: Calcificaciones conducto pancreático Dilatación de conductos secundarios Hipodensidad de conductos secundarios
  • 61.
  • 62.
  • 63.
  • 64.
  • 65.
  • 66.
  • 67.
  • 68.
  • 69.
  • 70.
  • 71.
  • 72.
  • 73.
  • 74.
    Aneurisma gigante deaorta Trombo Aorta
  • 75.
  • 76.
    Neumatosis intestinal AireLibre Aire en la luz intestinal
  • 77.
  • 78.
  • 79.
  • 80.
  • 81.
  • 82.
  • 83.
  • 84.
  • 85.
  • 86.
  • 87.
  • 88.
    TAC HÍGADO Aireen el sistema porta
  • 89.