ICTERICIA
 
ICTERICIA DEFINICIÓN : COLORACIÓN AMARILLENTA DE LA PIEL , MUCOSAS Y ESCLERÓTICAS.  MANIFESTACIÓN CLÍNICA DE LA HIPERBILIRRUBINEMIA (Cuando el nivel de bilirrubina sérica es mayor a 3 mg./dL)
ICTERICIA DATOS A RECORDAR:  50 ml de sangre se destruyen diariamente Hb promedio 14 gm/100 ml 7 gm de Hb se destruyen diariamente Peso molecular hem = 17,000. Peso molecular bilirrubina = 572 = 1g de Hb = 35 mg de Bilirr 7 gr de Hb = 245 mg de bilirrubina Producción diaria de bilirrubina = 150 -275 mg
 
ICTERICIA CLASIFICACION:  PRE HEPÁTICA  (pre hepatocelular) Hemolítica HEPÁTICA  (hepatocelular) Mixta o intrahepática POST HEPÁTICA Obstructiva o Colestásica  (post hepatocelular)
 
 
ICTERICIA PRE HEPÁTICA   Causas Hemólisis y eritropoyesis inefectiva Signos Hiperbilirrubinemia indirecta Aumento de Urobilinógeno fecal Aumento de Urobilinógeno urinario Ausencia de bilirrubinuria
 
ICTERICIA HEPÁTICA Causas: Sx Gilbert, Crigler-Najjar, Rotor, Dubin-Johnson Hepatitis virales (hepatotropos y No), tóxicas y autoinmunes Hepatopatías por depósito (Wilson, hemocromatosis) Cirrosis
ICTERICIA HEPÁTICA Signos: Hiperbilirrubinemia mixta Urobilinógeno fecal normal o disminuido Urobilinógeno urinario normal o aumentado Presencia de bilirrubinuria
 
Obstrucción = COLESTASIS Bloqueo parcial o total de la excreción de la  bilirrubina (y sales biliares)  Desde el retículo endoplásmico del hepatocito hasta el duodeno
ICTERICIA POST HEPÁTICA Causas Litiasis y estenosis de vías biliares Cirrosis (sobre todo CBP) Tumores: vía biliar, páncreas o encrucijada Pancreatitis Fármacos
ICTERICIA POST HEPÁTICA Signos Hiperbilirrubinemia directa (predomina) Descenso de Urobilinógeno fecal Descenso de Urobilinógeno urinario Presencia de bilirrubinuria
Estudio del paciente ictérico CLÍNICO   INTERROGATORIO Edad, forma de inicio, entorno Semiología detallada Énfasis en factores de riesgo Historia de adicciones, medicamentos y terapias alternativas (hierbas) Síntomas acompañantes: dolor, prurito, coluria, hipocolia
Estudio del paciente ictérico CLÍNICO   EXAMEN FÍSICO Completo Buscar  datos de insuficiencia hepática Buscar  datos de hipertensión porta
Estudio del paciente ictérico PARACLÍNICO BH. QS. EGO PERFIL HEPÁTICO PRUEBA DE VITAMINA K IMAGENOLOGÍA ESTUDIOS HISTOPATOLÓGICOS
 
 
 
 
 
 
 
Ictericia datos paraclínicos: B. HEMATICA  : ANEMIA RETICULOCITOS GR. DEFORMES (esferocitos, falciformes)  HAPTOGLOBINA LEUCOCITOS (Con diferencial)
Ictericia datos paraclínicos: PFH Necrosis e inflamación hepatocelular AMINOTRANSFERASAS ALT y AST (DHL) Insuficiencia hepática TP, ALBUMINA, COLESTEROL Colestasis FA y GGT
Ictericia datos paraclínicos: PRUEBAS INMUNOLOGICAS: MARCADORES SEROLÓGICOS DE HEPATITIS ANTICUERPOS ANTIMITOCONDRIALES (AAM) ANTICUERPOS ANTINUCLEARES (AAN) ANTICUERPOS ANTIMUSCULO LISO (AAML) ANTIGENO CARCINOEMBRIONARIO (AgCE)
Ictericia datos paraclínicos: IMAGENOLOGIA: ULTRASONOGRAFIA  (U.S.) TOMOGRAFIA COMPUTADA (TAC) CPRE CPTH  RADIONUCLIDOS (Tc99 HIDA)
Ictericia datos paraclínicos: ULTRASONOGRAFIA COLELITIASIS, COLEDOCOLITIASIS DILATACIÓN DE LOS CONDUCTOS BILIARES CRECIMIENTO VESICULAR ENGROSAMIENTO DE LA PARED VESICULAR NEOPLASIAS DESDE 3 CENTIMETROS ENFERMEDAD PANCREÁTICA
 
 
 
Ictericia datos paraclínicos: TOMOGRAFIA COMPUTARIZADA DILATACIÓN DE CONDUCTOS BILIARES CALCIFICACIONES NEOPLASIAS/ METASTASIS (3 cm o menos) ENFERMEDAD PANCREÁTICA
 
 
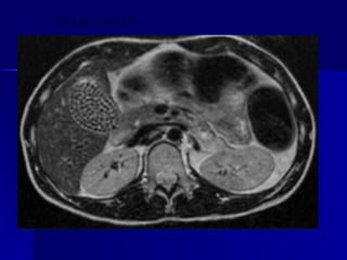
COLELITIASIS –  RESONANCIA MAGNÉTICA
Ictericia datos paraclínicos: COLANGIO PANCREATOGRAFIA  RETROGRADA ENDOSCOPICA  (CPRE) MÁS ÚTIL CON CANALES NO DILATADOS  REVELA MEJOR LOS CONDUCTOS EXTRAHEPATICOS DIAGNÓSTICO Y TERAPIA DE PATOLOGIA PAPILAR (VATER) PERMITE EXTRAER CÁLCULOS COLOCA CATETERES
 
 
 
 
 
 
 
Ictericia datos paraclínicos: Colangiografia transhepática (cph) Con aguja de chiba (fluoroscopia) No debe haber coagulopatia  Mapeo de los conductos biliares  etiología de la obstrucción Puede usarse para “descompresión ” Para pasar sondas ó prótesis
 
 
 
 
Ictericia datos paraclínicos: HEPATOGAMAGRAMA SOLO ÚTIL CUANDO SE USA HIDA (Tc99) DEMUESTRA LA VESICULA BILIAR Y EL PASO DEL RADIONUCLIDO AL INTESTINO DIAGNÓSTICA COLECISTITIS AGUDA DIAGNÓSTICA PERMEABILIDAD DE LOS CONDUCTOS B.
 

26 Ictericias

  • 1.
  • 2.
  • 3.
    ICTERICIA DEFINICIÓN :COLORACIÓN AMARILLENTA DE LA PIEL , MUCOSAS Y ESCLERÓTICAS. MANIFESTACIÓN CLÍNICA DE LA HIPERBILIRRUBINEMIA (Cuando el nivel de bilirrubina sérica es mayor a 3 mg./dL)
  • 4.
    ICTERICIA DATOS ARECORDAR: 50 ml de sangre se destruyen diariamente Hb promedio 14 gm/100 ml 7 gm de Hb se destruyen diariamente Peso molecular hem = 17,000. Peso molecular bilirrubina = 572 = 1g de Hb = 35 mg de Bilirr 7 gr de Hb = 245 mg de bilirrubina Producción diaria de bilirrubina = 150 -275 mg
  • 5.
  • 6.
    ICTERICIA CLASIFICACION: PRE HEPÁTICA (pre hepatocelular) Hemolítica HEPÁTICA (hepatocelular) Mixta o intrahepática POST HEPÁTICA Obstructiva o Colestásica (post hepatocelular)
  • 7.
  • 8.
  • 9.
    ICTERICIA PRE HEPÁTICA Causas Hemólisis y eritropoyesis inefectiva Signos Hiperbilirrubinemia indirecta Aumento de Urobilinógeno fecal Aumento de Urobilinógeno urinario Ausencia de bilirrubinuria
  • 10.
  • 11.
    ICTERICIA HEPÁTICA Causas:Sx Gilbert, Crigler-Najjar, Rotor, Dubin-Johnson Hepatitis virales (hepatotropos y No), tóxicas y autoinmunes Hepatopatías por depósito (Wilson, hemocromatosis) Cirrosis
  • 12.
    ICTERICIA HEPÁTICA Signos:Hiperbilirrubinemia mixta Urobilinógeno fecal normal o disminuido Urobilinógeno urinario normal o aumentado Presencia de bilirrubinuria
  • 13.
  • 14.
    Obstrucción = COLESTASISBloqueo parcial o total de la excreción de la bilirrubina (y sales biliares) Desde el retículo endoplásmico del hepatocito hasta el duodeno
  • 15.
    ICTERICIA POST HEPÁTICACausas Litiasis y estenosis de vías biliares Cirrosis (sobre todo CBP) Tumores: vía biliar, páncreas o encrucijada Pancreatitis Fármacos
  • 16.
    ICTERICIA POST HEPÁTICASignos Hiperbilirrubinemia directa (predomina) Descenso de Urobilinógeno fecal Descenso de Urobilinógeno urinario Presencia de bilirrubinuria
  • 17.
    Estudio del pacienteictérico CLÍNICO INTERROGATORIO Edad, forma de inicio, entorno Semiología detallada Énfasis en factores de riesgo Historia de adicciones, medicamentos y terapias alternativas (hierbas) Síntomas acompañantes: dolor, prurito, coluria, hipocolia
  • 18.
    Estudio del pacienteictérico CLÍNICO EXAMEN FÍSICO Completo Buscar datos de insuficiencia hepática Buscar datos de hipertensión porta
  • 19.
    Estudio del pacienteictérico PARACLÍNICO BH. QS. EGO PERFIL HEPÁTICO PRUEBA DE VITAMINA K IMAGENOLOGÍA ESTUDIOS HISTOPATOLÓGICOS
  • 20.
  • 21.
  • 22.
  • 23.
  • 24.
  • 25.
  • 26.
  • 27.
    Ictericia datos paraclínicos:B. HEMATICA : ANEMIA RETICULOCITOS GR. DEFORMES (esferocitos, falciformes) HAPTOGLOBINA LEUCOCITOS (Con diferencial)
  • 28.
    Ictericia datos paraclínicos:PFH Necrosis e inflamación hepatocelular AMINOTRANSFERASAS ALT y AST (DHL) Insuficiencia hepática TP, ALBUMINA, COLESTEROL Colestasis FA y GGT
  • 29.
    Ictericia datos paraclínicos:PRUEBAS INMUNOLOGICAS: MARCADORES SEROLÓGICOS DE HEPATITIS ANTICUERPOS ANTIMITOCONDRIALES (AAM) ANTICUERPOS ANTINUCLEARES (AAN) ANTICUERPOS ANTIMUSCULO LISO (AAML) ANTIGENO CARCINOEMBRIONARIO (AgCE)
  • 30.
    Ictericia datos paraclínicos:IMAGENOLOGIA: ULTRASONOGRAFIA (U.S.) TOMOGRAFIA COMPUTADA (TAC) CPRE CPTH RADIONUCLIDOS (Tc99 HIDA)
  • 31.
    Ictericia datos paraclínicos:ULTRASONOGRAFIA COLELITIASIS, COLEDOCOLITIASIS DILATACIÓN DE LOS CONDUCTOS BILIARES CRECIMIENTO VESICULAR ENGROSAMIENTO DE LA PARED VESICULAR NEOPLASIAS DESDE 3 CENTIMETROS ENFERMEDAD PANCREÁTICA
  • 32.
  • 33.
  • 34.
  • 35.
    Ictericia datos paraclínicos:TOMOGRAFIA COMPUTARIZADA DILATACIÓN DE CONDUCTOS BILIARES CALCIFICACIONES NEOPLASIAS/ METASTASIS (3 cm o menos) ENFERMEDAD PANCREÁTICA
  • 36.
  • 37.
  • 38.
    COLELITIASIS – RESONANCIA MAGNÉTICA
  • 39.
    Ictericia datos paraclínicos:COLANGIO PANCREATOGRAFIA RETROGRADA ENDOSCOPICA (CPRE) MÁS ÚTIL CON CANALES NO DILATADOS REVELA MEJOR LOS CONDUCTOS EXTRAHEPATICOS DIAGNÓSTICO Y TERAPIA DE PATOLOGIA PAPILAR (VATER) PERMITE EXTRAER CÁLCULOS COLOCA CATETERES
  • 40.
  • 41.
  • 42.
  • 43.
  • 44.
  • 45.
  • 46.
  • 47.
    Ictericia datos paraclínicos:Colangiografia transhepática (cph) Con aguja de chiba (fluoroscopia) No debe haber coagulopatia Mapeo de los conductos biliares etiología de la obstrucción Puede usarse para “descompresión ” Para pasar sondas ó prótesis
  • 48.
  • 49.
  • 50.
  • 51.
  • 52.
    Ictericia datos paraclínicos:HEPATOGAMAGRAMA SOLO ÚTIL CUANDO SE USA HIDA (Tc99) DEMUESTRA LA VESICULA BILIAR Y EL PASO DEL RADIONUCLIDO AL INTESTINO DIAGNÓSTICA COLECISTITIS AGUDA DIAGNÓSTICA PERMEABILIDAD DE LOS CONDUCTOS B.
  • 53.