Asma




Dra Eva Pérez Rodríguez
Médico Especialista en Alergología
Servicio de Alergia. Hospital Universitario La Candelaria
Definición (GEMA 2009)
• Enfermedad inflamatoria crónica de las vías
  aéreas que cursa con hiperrespuesta bronquial
  y obstrucción variable al flujo aéreo, total o
  parcialmente     reversible,     por    acción
  medicamentosa o espontaneamente.
• Patogenia mediada por diferentes células y
  mediadores inflamatorios
• Síndrome con diferentes fenotipos y etiologías
  pero manifestaciones clínicas similares
Epidemiología
• Prevalencia variable (2-11.9%)
• Mayor en países desarrollados y
  anglosajones.
• España: 4.9% (estudio IBERPOC, adultos
  40-69 años)
• Niños (estudio ISAAC 2002): 12.8% (13-
  14 años) y 10.9% (6-7 a)
Mecanismos patogénicos
•   Daño epitelial
•   Hiperrespuesta bronquial
•   Hipersecreción mucosa
•   INFLAMACIÓN
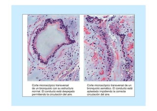
Fisiopatología
• Estrechamiento de la vía aérea por
  contracción del músculo liso: obstrucción
  bronquial REVERSIBLE
• Cambios         estructurales:      fibrosis
  subepitelial, hiperplasia de las glándulas
  mucosas, engrosamiento de la mb basal,
  hipertrofia e hiperplasia músculo liso:
  REMODELADO BRONQUIAL
Clasificación
• Gravedad (GEMA 2009)
• Etiología: Asma alérgica vs asma no
  alérgica; asma inducida por ejercicio;
  asma ocupacional; asma inducida por
  aspirina; sd ASA triada
• Patrón inflamatorio: Eosinofílica vs
  neutrofílica vs paucinflamatoria
• Fenotipos
Clasificación GEMA 2009
Clasificación asma infantil
• Asma episódica ocasional: <4-5
  crisis/ año
• Asma episódica frecuente: 6-8 crisis/
  año
• Asma moderada persistente
• Asma grave persistente
Clínica
•   Disnea
•   Sibilancias
•   Tos
•   Opresión torácica
Asma inducida por ejercicio
• Más frecuente en adolescentes y adultos
  jóvenes
• Frecuente en deportistas
• Crisis desencadenadas por ejercicio,
  especialmente en ambiente frío y seco.
• Diagnóstico: metacolina, manitol, test de
  esfuerzo
• Tratamiento: beta adrenérgicos de acción
  corta, ARLT, corticoides inhalados
Síndrome ASA triada

                          Triada de Vidal




Asma no alérgica                                             Poliposis
                       Intolerancia a AINEs
moderada o grave                                            nasosinusal


          Afecta a pacientes de edad media en adelante

          Evitar todos los AINEs y pirazolonas: remitir a
          Alergología para estudio

          Tratamiento de la poliposis: corticoide tópico
          nasal, considerar valoración por ORL
Diagnóstico
• Clínico
• Pruebas de función respiratoria: espirometría,
  test de broncodilatación, peak flow, test de
  metacolina, provocación bronquial específica
• Prick test, Ig E total y específica (screening
  neumoalergenos)
• Mediadores de inflamación: óxido nítrico, esputo
  inducido, etc…: investigación
• Otras    pruebas     (imagen,   autoinmunidad,
  cultivos…): dx diferencial
Espirometría

•   VEMS o FEV1
•   FVC
•   Índice FEV1/ FVC
•   FEF 25-75
Patrones espirométricos
• Obstructivo: FEV1< 80%, FVC N, FEV1/
  FVC<70, FEF 25-75 disminuidos
- Leve FEV 1 70-80%
- Moderado 60-80%
- Grave < 60%
• Restrictivo: FEV1 N o < 80%, FVC <80%,
  FEV1/ FVC N o aumentado
Patrón obstructivo   Patrón restrictivo
Test de broncodilatación
• Aumento del FEV1 ≥12% y ≥ 200 cc a los
  15´ de la administración de 4 inhalaciones
  de 100 µg de salbutamol con cámara
  (ATS/ ERS 2005)
• Aumento del FEV1 y/ o la FVC >15% y/ o
  > 200 cc
• Aumento del FEF 25-75 >35%
Peak flow
• Variabilidad > 20% respecto a la media de
  1-2 semanas
• 3-4 determinaciones al día
• Útil para automonitorización y en asma
  ocupacional
• Dificultad de interpretación
Algoritmo diagnóstico GEMA 2009
• Clínica compatible con asma
• Patrón espirométrico obstructivo
• Test de broncodilatación positivo
  y/ o variabilidad del PEF> 20%


       Diagnóstico de asma
Tratamiento de mantenimiento
Tratamiento: consideraciones
            especiales
• Asma alérgico: medidas de evitación, considerar
  inmunoterapia
• Evitar factores desencadenantes: fármacos
  (AINEs,       betabloqueantes),         alergenos,
  infecciones respiratorias (vacunación antigripal y
  antineumocócica), tabaco
• Comorbilidades: rinitis, RGE, sinusitis, SAOS
• Asegurar cumplimiento: educación, técnica de
  inhalación
Tratamiento: asma infantil
• < 3 años: corticoide inhalado y/ o ARLT
• Corticoides inhalados: tratamiento de elección
• ARLT: útiles desde escalón 2 (monoterapia) o
  asociados con corticoides (3-6)
• LABA: pueden estar indicados en niños > 3
  años a partir del escalón 3. NUNCA en
  monoterapia
• Omalizumab: asma grave mal controlada en > 6
  años
Tratamiento: embarazo
• Fármacos de elección: budesonida y salbutamol
• Teofilinas, ARLT, bromuro de ipatropio y corticoides
  orales: no han demostrado teratogenicidad
• LABA: indicados si mal control del asma
• Inmunoterapia: no debe iniciarse en el embarazo pero
  puede mantenerse si ya está instaurada
• Omalizumab: contraindicado (falta de datos)



Utilizar el tratamiento necesario para mantener un buen control del asma
                  y garantizar la seguridad materna y fetal
Dispositivos de inhalación
• Cartuchos presurizados “clásicos” SIEMPRE con
  cámara espaciadora
• Cartuchos presurizados en formulación de partícula fina
  ¿cámara?
• Dispositivos en polvo seco: accuhaler, turbuhaler,
  novolizer, aerolizer, easyhaler
• Nebulizadores



  Elegir siempre el dispositivo que se adecue mejor las
        preferencias y características del paciente
          REVISAR TÉCNICA DE INHALACIÓN
Tratamiento de las exacerbaciones
Exacerbación grave: señales de
            alarma
• Saturación de O2 <90%
• Silencio auscultatorio
• Uso musculatura accesoria, movimiento
  paradójico toracoabdominal
• Bradicardia
• Disminución del nivel de conciencia
• PaO2 < 60 y PaCO2 >40
Tratamiento tras el alta
• Ciclo corto de corticoide oral
• Pautar broncodilatador de        rescate   y
  corticoide inhalado
• Plan de acción por escrito
• Concertar cita de control
Criterios de derivación a
               Alergología
•   Deberían ser derivados a consulta de alergología
    TODOS los pacientes con:
•   Asma persistente tanto moderado como grave
•   Independientemente de su gravedad todos aquellos
    con inadecuado control de su enfermedad
•   Pacientes con sospecha de tener causa laboral –
    ocupacional
•   Asma infantil
•   Recomendable TODO paciente con asma de origen
    NO-infeccioso
Gracias

Asma

  • 1.
    Asma Dra Eva PérezRodríguez Médico Especialista en Alergología Servicio de Alergia. Hospital Universitario La Candelaria
  • 2.
    Definición (GEMA 2009) •Enfermedad inflamatoria crónica de las vías aéreas que cursa con hiperrespuesta bronquial y obstrucción variable al flujo aéreo, total o parcialmente reversible, por acción medicamentosa o espontaneamente. • Patogenia mediada por diferentes células y mediadores inflamatorios • Síndrome con diferentes fenotipos y etiologías pero manifestaciones clínicas similares
  • 3.
    Epidemiología • Prevalencia variable(2-11.9%) • Mayor en países desarrollados y anglosajones. • España: 4.9% (estudio IBERPOC, adultos 40-69 años) • Niños (estudio ISAAC 2002): 12.8% (13- 14 años) y 10.9% (6-7 a)
  • 4.
    Mecanismos patogénicos • Daño epitelial • Hiperrespuesta bronquial • Hipersecreción mucosa • INFLAMACIÓN
  • 5.
    Fisiopatología • Estrechamiento dela vía aérea por contracción del músculo liso: obstrucción bronquial REVERSIBLE • Cambios estructurales: fibrosis subepitelial, hiperplasia de las glándulas mucosas, engrosamiento de la mb basal, hipertrofia e hiperplasia músculo liso: REMODELADO BRONQUIAL
  • 7.
    Clasificación • Gravedad (GEMA2009) • Etiología: Asma alérgica vs asma no alérgica; asma inducida por ejercicio; asma ocupacional; asma inducida por aspirina; sd ASA triada • Patrón inflamatorio: Eosinofílica vs neutrofílica vs paucinflamatoria • Fenotipos
  • 8.
  • 9.
    Clasificación asma infantil •Asma episódica ocasional: <4-5 crisis/ año • Asma episódica frecuente: 6-8 crisis/ año • Asma moderada persistente • Asma grave persistente
  • 10.
    Clínica • Disnea • Sibilancias • Tos • Opresión torácica
  • 11.
    Asma inducida porejercicio • Más frecuente en adolescentes y adultos jóvenes • Frecuente en deportistas • Crisis desencadenadas por ejercicio, especialmente en ambiente frío y seco. • Diagnóstico: metacolina, manitol, test de esfuerzo • Tratamiento: beta adrenérgicos de acción corta, ARLT, corticoides inhalados
  • 12.
    Síndrome ASA triada Triada de Vidal Asma no alérgica Poliposis Intolerancia a AINEs moderada o grave nasosinusal Afecta a pacientes de edad media en adelante Evitar todos los AINEs y pirazolonas: remitir a Alergología para estudio Tratamiento de la poliposis: corticoide tópico nasal, considerar valoración por ORL
  • 13.
    Diagnóstico • Clínico • Pruebasde función respiratoria: espirometría, test de broncodilatación, peak flow, test de metacolina, provocación bronquial específica • Prick test, Ig E total y específica (screening neumoalergenos) • Mediadores de inflamación: óxido nítrico, esputo inducido, etc…: investigación • Otras pruebas (imagen, autoinmunidad, cultivos…): dx diferencial
  • 14.
    Espirometría • VEMS o FEV1 • FVC • Índice FEV1/ FVC • FEF 25-75
  • 15.
    Patrones espirométricos • Obstructivo:FEV1< 80%, FVC N, FEV1/ FVC<70, FEF 25-75 disminuidos - Leve FEV 1 70-80% - Moderado 60-80% - Grave < 60% • Restrictivo: FEV1 N o < 80%, FVC <80%, FEV1/ FVC N o aumentado
  • 16.
    Patrón obstructivo Patrón restrictivo
  • 17.
    Test de broncodilatación •Aumento del FEV1 ≥12% y ≥ 200 cc a los 15´ de la administración de 4 inhalaciones de 100 µg de salbutamol con cámara (ATS/ ERS 2005) • Aumento del FEV1 y/ o la FVC >15% y/ o > 200 cc • Aumento del FEF 25-75 >35%
  • 18.
    Peak flow • Variabilidad> 20% respecto a la media de 1-2 semanas • 3-4 determinaciones al día • Útil para automonitorización y en asma ocupacional • Dificultad de interpretación
  • 19.
  • 20.
    • Clínica compatiblecon asma • Patrón espirométrico obstructivo • Test de broncodilatación positivo y/ o variabilidad del PEF> 20% Diagnóstico de asma
  • 21.
  • 22.
    Tratamiento: consideraciones especiales • Asma alérgico: medidas de evitación, considerar inmunoterapia • Evitar factores desencadenantes: fármacos (AINEs, betabloqueantes), alergenos, infecciones respiratorias (vacunación antigripal y antineumocócica), tabaco • Comorbilidades: rinitis, RGE, sinusitis, SAOS • Asegurar cumplimiento: educación, técnica de inhalación
  • 23.
    Tratamiento: asma infantil •< 3 años: corticoide inhalado y/ o ARLT • Corticoides inhalados: tratamiento de elección • ARLT: útiles desde escalón 2 (monoterapia) o asociados con corticoides (3-6) • LABA: pueden estar indicados en niños > 3 años a partir del escalón 3. NUNCA en monoterapia • Omalizumab: asma grave mal controlada en > 6 años
  • 24.
    Tratamiento: embarazo • Fármacosde elección: budesonida y salbutamol • Teofilinas, ARLT, bromuro de ipatropio y corticoides orales: no han demostrado teratogenicidad • LABA: indicados si mal control del asma • Inmunoterapia: no debe iniciarse en el embarazo pero puede mantenerse si ya está instaurada • Omalizumab: contraindicado (falta de datos) Utilizar el tratamiento necesario para mantener un buen control del asma y garantizar la seguridad materna y fetal
  • 25.
    Dispositivos de inhalación •Cartuchos presurizados “clásicos” SIEMPRE con cámara espaciadora • Cartuchos presurizados en formulación de partícula fina ¿cámara? • Dispositivos en polvo seco: accuhaler, turbuhaler, novolizer, aerolizer, easyhaler • Nebulizadores Elegir siempre el dispositivo que se adecue mejor las preferencias y características del paciente REVISAR TÉCNICA DE INHALACIÓN
  • 26.
    Tratamiento de lasexacerbaciones
  • 27.
    Exacerbación grave: señalesde alarma • Saturación de O2 <90% • Silencio auscultatorio • Uso musculatura accesoria, movimiento paradójico toracoabdominal • Bradicardia • Disminución del nivel de conciencia • PaO2 < 60 y PaCO2 >40
  • 28.
    Tratamiento tras elalta • Ciclo corto de corticoide oral • Pautar broncodilatador de rescate y corticoide inhalado • Plan de acción por escrito • Concertar cita de control
  • 29.
    Criterios de derivacióna Alergología • Deberían ser derivados a consulta de alergología TODOS los pacientes con: • Asma persistente tanto moderado como grave • Independientemente de su gravedad todos aquellos con inadecuado control de su enfermedad • Pacientes con sospecha de tener causa laboral – ocupacional • Asma infantil • Recomendable TODO paciente con asma de origen NO-infeccioso
  • 30.