DEFINICION
“Hemoptisis es la expulsión de sangre por la
boca, generalmente con la tos, procedente
del árbol traqueobronquial”.
Engloba desde el esputo teñido con sangre
“Esputo Hemoptoico” hasta la hemoptisis
que puede comprometer la vida del paciente
“Hemoptisis Severa”.
CLASIFICACION
LEVE:
Hemoptisis que
no supera los
15-20 ml/día.
MODERADA:
Volumen en 24
horas es mayor
de 15-20 ml,
pero menor de
200-600 ml.
SEVERA:
Superior a 600
ml en 24 horas
o a un ritmo
superior a 150
ml/hora.
HEMOPTISIS MASIVA
Es el sangrado de vía aérea que compromete la
ventilación y coloca al paciente en riesgo de asfixia.
El volumen más aceptado es superior a 400ml/día.
Hemoptisis masiva “cuantitativa” sangrado superior a
400 ml en 24hrs.
Hemoptisis masiva “cualitativa” con cualquier volumen
de sangrado que comprometa la función respiratoria.
INCIDENCIA
Es de sólo el 2 al 5%.
Tiene elevada mortalidad.
Px con adecuado tratamiento
médico/quirúrgico, su mortalidad es del 10-
20%.
Serie de Ong de 13% de 29 px en UCI falleció.
Otra serie de 51 px con hemoptisis masiva
asociada a FQ, el 8% falleció.
MANIFESTACIONES CLINICAS
TOS: reciente comienzo o cambio súbito en sus
características.
Sensación de escozor a nivel retroesternal.
2/3 tiene antecedentes de episodios de esputo
hemoptoico en días previos.
Disnea severa que puede llegar a la asfixia.
Dx. Diferencial: Divertículo de Zencker o traumatismos
penetrantes cervicofaciales.
ETIOLOGIA
La Tb ha sido la causa principal, 80%
de los casos.
Ca de pulmón . En 877 px 29 casos
(3.3%), predominando variedad
células escamosas y formas cavitarias.
Patologías que afectan estructuras
contiguas, en especial grandes vasos.
FQ, malformaciones arteriovenosas
pulmonares.
FISIOPATOLOGIA DEL SANGRADO
Se debe a ruptura de estructura vascular anormal y a la
comunicación de la hemorragia con el árbol bronquial.
La TUBERCULOSIS pulmonar puede sangrar en el árbol
bronquial en cualquier etapa de su evolución.
El sangrado masivo es casi exclusivo de las formas crónicas
cavitarias.
El mecanismo es la ruptura de pseudoaneurismas que
atraviesan la pared de la cavidad tuberculosa.
En ENFERMEDADES BRONQUIALES SUPURADAS como
BQE Y FQ hay desarrollo anormal en el numero y
calibre de las arterias bronquiales.
En ENFERMEDADES INFECCIOSAS NECROSANTES
que afectan el parénquima pulmonar puede
producir hemoptisis masiva por erosión directa de
capilares y aun de ramas menores de la arteria
pulmonar.
En el CA DE PULMÓN el mecanismo mas probable
es la erosión de vasos pulmonares adyacentes
HEMOPTISIS LEVE:
• En paciente en buen estado general y sin signos de
Infección, o de Tromboembolismo Pulmonar, con
Radiografía de Tórax Normal:
Se puede realizar el estudio en Consulta Externa
con Neumólogo en tiempo menor de 1 semana.
• En los pacientes con mal estado general o con signos de
Infección:
1. Ingreso
2. Tranquilizar al paciente.
3. O2 suplementario si es necesario.
4. Canalizar Vena
• 5-Reposo en cama de decúbito lateral sobre el lado afectado (si
se sabe o se sospecha).
• 6-Se pueden utilizar Antitusivos (Codeína 30mg cada 8 horas)
en el caso de que la tos precipite la hemoptisis.
• 7-Antibióticos
• 8-RX de Tórax PA y Lateral.
• 9-Fibrobroncoscopia.
• 10-Si se realiza el diagnóstico etiológico iniciar el tratamiento
específico.
HEMOPTISIS LEVE:
HEMOPTISIS
MODERADA
1. Reposo absoluto en cama
2. En posición de decúbito lateral ipsilateral al lado del que se
sospeche procede el sangrado, para evitar la inundación del
pulmón sano.
3. No debe de permanecer el paciente sentado, para evitar la
aspiración de sangre.
4. Canalizar Vena.
5. Se pueden utilizar Antitusivos (Codeína 30mg cada 8 horas) en
el caso de que la tos precipite la hemoptisis.
6. Antibióticos de amplio espectro en pacientes con sospecha de
infección pulmonar localizada o cuando hay bronquiectasias.
7. Fibrobroncoscopia.
MANEJO DE LA HEMOPTISIS MASIVA
Diferenciar en forma inmediata el paciente con riesgo inminente de
asfixia y el que aún con sintomatología severa no HAY compromiso
respiratorio.
Para el manejo exitoso se tiene que lograr LOS SIGUIENTES OBJETIVOS :
EVITAR LA ASFIXIA,
DETENER EL SANGRADO Y
EVITAR RECURRENCIA.
En el pasado: Rx tórax, broncoscopía rígida y cirugía. Que conservan
importancia central.
OBJETIVO UNO: EVITAR LA ASFIXIA
1- MEDIDAS DE SOPORTE
2- PROCEDIMIENTOS INSTRUMENTALES DE VIA AEREA
• LOS DOS ULTIMOS OBJETIVOS:
• DETENER EL SANGRADO
• EVITAR RECURRENCIA
SE NECESITA CONOCER CON PRECISION EL SITIO Y
CAUSA DEL SANGRADO
MEDIDAS DE SOPORTE
• HEMOPTISIS AMENAZANTE:
• Se trata de una situación urgente que requiere de evaluación y
tratamiento precoces.
• La valoración Diagnóstica y Terapéutica debe de realizarse de
forma conjunta por Intensivista, Neumólogo y Cirujano de Tórax.
• Se ejecutan las Normas del ABC de la Reanimación.
• Vía aérea permeable y monitoreo de la Sat.O2.
Sí ésta no es satisfactoria, se debe de intubar con un
Tubo No 8, en lo posible o con un Tubo de doble luz tipo
Carlens.
• SOPORTE HEMODINAMICO con líquidos cristaloides, expansores
de volumen y transfusiones sí es necesario, manteniendo siempre
dos vías venosas o una vía central.
• Traslado a Sala de Recuperación en Sala de Operaciones para
monitoreo y manejo.
• Nada por boca.
• Cuantificar cronológicamente la tasa de sangrado.
• Colocar al paciente en decúbito lateral sobre el lado que se
sospeche este afectado, para evitar la aspiración al pulmón
contralateral.
• Codeína 30 mg VO cada 8 horas, u otras drogas supresoras de la
tos.
• Medidas Terapéuticas: -Medidas Transitorias
- Medidas Definitivas.
MEDIDAS DE SOPORTE
TRATAMIENTO DE LA EMERGENCIA
Desde el punto de vista terapéutico las dos medidas mas útiles son:
adecuada fisioterapia respiratoria que garantice la evacuación de
sangre y secreciones de las vias aéreas, y la cercania del medico
responsable.
Internados en UCI para monitoreo de signos vitales, equipo de
endoscopia flexible y rígida.
PX SIN RIESGO DE ASFIXIA.
TRATAMIENTO DE LA EMERGENCIA
Efectuarlo bajo sedación profunda o anestesia general superficial, si
es posible con el paciente manteniendo su propia respiración.
En sangrado no masivo fibrobroncoscopio para identificar el
sitio.
Hemoptisis masiva y compromiso severo hacer endoscopia con
broncoscopia rígida.
PX EN EMERGENCIA RESPIRATORIA.
Broncoscopio Rigido
Broncoscopista con experiencia
Ambiente quirurgico
Permite diversas maniobras adicionales
Garantiza una vía aérea permeable
Buena vision
Hace posible la aspiracion de grandes volumenes de sangre ,
coagulos y secreciones
El procedimento debe realizarse bajo sedacion profunda o
anestesia general superficial
Las Técnicas Endoscópicas en la
HEMOPTISIS SEVERA O MASIVA están
condicionadas a la superioridad de la
Broncoscopia Rígida sobre la Flexible en la
situación concreta de riesgo inminente de
asfixia.
TRATAMIENTO DE LA EMERGENCIA
MANIOBRAS PARA DETENER EL SANGRADO
A) ASPIRACION.
Debe aspirar de inmediato la sangre y coágulos contenidos en tráquea, luego
dirigirse al bronquio fuente contralateral al que se supone el lado del sangrado.
Dirigir endoscopio al lado de sagrado activo, con una aspiración constante.
Se puede repetir la maniobra hasta asegurar detención del sangrado.
TRATAMIENTO DE LA EMERGENCIA
B) LAVADO CON SOLUCION HELADA.
Los músculos de la pared de los vasos bronquiales, al igual que
art. sistémicas responden al frío con vasoconstricción.
La más efectiva es el lavado con solución salina helada, excepto
cuando se sospecha comunicación bronquial directa con una
estructura vascular.
Se realiza instilando 50cc de solución fisiológica helada que se
deja 15-20 seg y se aspira.
TRATAMIENTO DE LA EMERGENCIA
C) OCLUSION BRONQUIAL.
Taponamiento del bronquio responsable del
sangrado, utilizando balón inflable tipo fogarthy.
Se debe colocar através de fibrobroncoscopio y
el balón inflado en el bronquio segmentario
donde esta el sangrado.
Si no es posible, el balón puede ubicarse en el
bronquio lobar y aún en el bronquio fuente.
TRATAMIENTO DE LA EMERGENCIA
Debe de intubarse el bronquio fuente
contralateral al lado del sangrado o bien a la
colocación de un tubo orotraqueal de doble luz.
D) INTUBACION BRONQUIAL SELECTIVA.
ESTUDIOS COMPLEMENTARIOS
Serie de 80 pxs. En UCI sólo 13% tenía Rx normal.
Gran mayoría de px con hemoptisis masiva la Rx es anormal.
Puede ocurrir sangrado de un área radiológicamente normal.
RX DE TÓRAX. Primer estudio al ingreso o después de la
estabilización del px.
TAC
Efectuarse en todos los pxs.
Da información adicional y evidencia lesiones
habitualmente pequeñas aún desconocidas.
Permite identificar no sólo el sitio sino la causa del
sangrado.
Rx tórax y TAC comparable en cuanto a la detección
del sitio de sangrado (70%), pero el TAC más útil para
detectar la causa (77% vs 8%).
FIBROBRONCOSCOPIA
Sino se ha utilizado en el manejo del
episodio agudo, hacerlo con el px estable.
Si se usa en la hemoptisis, se corre el riesgo
de no identificar el sitio del sangrado.
Si se espera hasta el cese del sangrado,
puede ser que no se identifique ningún sitio.
Esperar 24-48hrs en un paciente ya
estabilizado permite realizar una FBB segura
ARTERIOGRAFIA DX
Es obtener el mayor
detalle anatómico
posible de las
estructuras vasculares
que participan en el
sangrado.
Px estable y
examen
dirigido al lado
y sitio de la
lesión detecta
por cualquier
método de
imágenes.
El 1er objetivo
es diagnóstico,
el cateterismo
debe ser con
intención
terapéutica:
embolización.
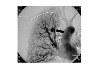
DEFECTO REPLECION ARTERIAL
TRATAMIENTO QUIRURGICO
HA DEMOSTRADO SER EL METODO MAS EFICAZ
DEBEN CONSIDERARSE DOS SITUACIONES
A- Tratamiento quirurgico del paciente en emergencia, no
aconsejable por elevada mortalidad operatoria
B- Tratamiento quirurgico en pacientes estabilizados y con
funcion pulmonar conocida , es la situacion de eleccion.
TRATAMIENTO DEFINITIVO
Eliminación
definitiva de la
causa del
sangrado.
Primer paso
puede ser
extirpación
quirúrgica de la
lesión.
La toracotomía y
resección tiene
complejidad
aumentada.
El riesgo puede ser
máximo e incluso
prohibitivo en
pacientes con
compromiso
funcional.
TRATAMIENTO DEFINITIVO
EMBOLECTOMIA
ARTERIAL.
Es la introducción de
alguna sustancia a
través de un catéter.
Efectivo en la
mayoría de casos.
Serie de Remy la
efectividad fue
83.6%. En series
recientes
recurrencia entre
22-50%.
Serie Osaki la
incidencia disminuye
con el tiempo.
El 90.9% ocurren en
los primeros tres
años
postembolización.
TRATAMIENTO QUIRURGICO
Lobectomía es la resección de elección y
la neumonectomía puede ser necesaria
en lesiones extensas o pulmones
crónicamente destruidos.

Hemoptisis

  • 2.
    DEFINICION “Hemoptisis es laexpulsión de sangre por la boca, generalmente con la tos, procedente del árbol traqueobronquial”. Engloba desde el esputo teñido con sangre “Esputo Hemoptoico” hasta la hemoptisis que puede comprometer la vida del paciente “Hemoptisis Severa”.
  • 3.
    CLASIFICACION LEVE: Hemoptisis que no superalos 15-20 ml/día. MODERADA: Volumen en 24 horas es mayor de 15-20 ml, pero menor de 200-600 ml. SEVERA: Superior a 600 ml en 24 horas o a un ritmo superior a 150 ml/hora.
  • 4.
    HEMOPTISIS MASIVA Es elsangrado de vía aérea que compromete la ventilación y coloca al paciente en riesgo de asfixia. El volumen más aceptado es superior a 400ml/día. Hemoptisis masiva “cuantitativa” sangrado superior a 400 ml en 24hrs. Hemoptisis masiva “cualitativa” con cualquier volumen de sangrado que comprometa la función respiratoria.
  • 5.
    INCIDENCIA Es de sóloel 2 al 5%. Tiene elevada mortalidad. Px con adecuado tratamiento médico/quirúrgico, su mortalidad es del 10- 20%. Serie de Ong de 13% de 29 px en UCI falleció. Otra serie de 51 px con hemoptisis masiva asociada a FQ, el 8% falleció.
  • 6.
    MANIFESTACIONES CLINICAS TOS: recientecomienzo o cambio súbito en sus características. Sensación de escozor a nivel retroesternal. 2/3 tiene antecedentes de episodios de esputo hemoptoico en días previos. Disnea severa que puede llegar a la asfixia. Dx. Diferencial: Divertículo de Zencker o traumatismos penetrantes cervicofaciales.
  • 10.
    ETIOLOGIA La Tb hasido la causa principal, 80% de los casos. Ca de pulmón . En 877 px 29 casos (3.3%), predominando variedad células escamosas y formas cavitarias. Patologías que afectan estructuras contiguas, en especial grandes vasos. FQ, malformaciones arteriovenosas pulmonares.
  • 11.
    FISIOPATOLOGIA DEL SANGRADO Sedebe a ruptura de estructura vascular anormal y a la comunicación de la hemorragia con el árbol bronquial. La TUBERCULOSIS pulmonar puede sangrar en el árbol bronquial en cualquier etapa de su evolución. El sangrado masivo es casi exclusivo de las formas crónicas cavitarias. El mecanismo es la ruptura de pseudoaneurismas que atraviesan la pared de la cavidad tuberculosa. En ENFERMEDADES BRONQUIALES SUPURADAS como BQE Y FQ hay desarrollo anormal en el numero y calibre de las arterias bronquiales.
  • 12.
    En ENFERMEDADES INFECCIOSASNECROSANTES que afectan el parénquima pulmonar puede producir hemoptisis masiva por erosión directa de capilares y aun de ramas menores de la arteria pulmonar. En el CA DE PULMÓN el mecanismo mas probable es la erosión de vasos pulmonares adyacentes
  • 13.
    HEMOPTISIS LEVE: • Enpaciente en buen estado general y sin signos de Infección, o de Tromboembolismo Pulmonar, con Radiografía de Tórax Normal: Se puede realizar el estudio en Consulta Externa con Neumólogo en tiempo menor de 1 semana. • En los pacientes con mal estado general o con signos de Infección: 1. Ingreso 2. Tranquilizar al paciente. 3. O2 suplementario si es necesario. 4. Canalizar Vena
  • 14.
    • 5-Reposo encama de decúbito lateral sobre el lado afectado (si se sabe o se sospecha). • 6-Se pueden utilizar Antitusivos (Codeína 30mg cada 8 horas) en el caso de que la tos precipite la hemoptisis. • 7-Antibióticos • 8-RX de Tórax PA y Lateral. • 9-Fibrobroncoscopia. • 10-Si se realiza el diagnóstico etiológico iniciar el tratamiento específico. HEMOPTISIS LEVE:
  • 15.
    HEMOPTISIS MODERADA 1. Reposo absolutoen cama 2. En posición de decúbito lateral ipsilateral al lado del que se sospeche procede el sangrado, para evitar la inundación del pulmón sano. 3. No debe de permanecer el paciente sentado, para evitar la aspiración de sangre. 4. Canalizar Vena. 5. Se pueden utilizar Antitusivos (Codeína 30mg cada 8 horas) en el caso de que la tos precipite la hemoptisis. 6. Antibióticos de amplio espectro en pacientes con sospecha de infección pulmonar localizada o cuando hay bronquiectasias. 7. Fibrobroncoscopia.
  • 16.
    MANEJO DE LAHEMOPTISIS MASIVA Diferenciar en forma inmediata el paciente con riesgo inminente de asfixia y el que aún con sintomatología severa no HAY compromiso respiratorio. Para el manejo exitoso se tiene que lograr LOS SIGUIENTES OBJETIVOS : EVITAR LA ASFIXIA, DETENER EL SANGRADO Y EVITAR RECURRENCIA. En el pasado: Rx tórax, broncoscopía rígida y cirugía. Que conservan importancia central.
  • 17.
    OBJETIVO UNO: EVITARLA ASFIXIA 1- MEDIDAS DE SOPORTE 2- PROCEDIMIENTOS INSTRUMENTALES DE VIA AEREA • LOS DOS ULTIMOS OBJETIVOS: • DETENER EL SANGRADO • EVITAR RECURRENCIA SE NECESITA CONOCER CON PRECISION EL SITIO Y CAUSA DEL SANGRADO
  • 18.
    MEDIDAS DE SOPORTE •HEMOPTISIS AMENAZANTE: • Se trata de una situación urgente que requiere de evaluación y tratamiento precoces. • La valoración Diagnóstica y Terapéutica debe de realizarse de forma conjunta por Intensivista, Neumólogo y Cirujano de Tórax. • Se ejecutan las Normas del ABC de la Reanimación. • Vía aérea permeable y monitoreo de la Sat.O2. Sí ésta no es satisfactoria, se debe de intubar con un Tubo No 8, en lo posible o con un Tubo de doble luz tipo Carlens. • SOPORTE HEMODINAMICO con líquidos cristaloides, expansores de volumen y transfusiones sí es necesario, manteniendo siempre dos vías venosas o una vía central.
  • 19.
    • Traslado aSala de Recuperación en Sala de Operaciones para monitoreo y manejo. • Nada por boca. • Cuantificar cronológicamente la tasa de sangrado. • Colocar al paciente en decúbito lateral sobre el lado que se sospeche este afectado, para evitar la aspiración al pulmón contralateral. • Codeína 30 mg VO cada 8 horas, u otras drogas supresoras de la tos. • Medidas Terapéuticas: -Medidas Transitorias - Medidas Definitivas. MEDIDAS DE SOPORTE
  • 20.
    TRATAMIENTO DE LAEMERGENCIA Desde el punto de vista terapéutico las dos medidas mas útiles son: adecuada fisioterapia respiratoria que garantice la evacuación de sangre y secreciones de las vias aéreas, y la cercania del medico responsable. Internados en UCI para monitoreo de signos vitales, equipo de endoscopia flexible y rígida. PX SIN RIESGO DE ASFIXIA.
  • 21.
    TRATAMIENTO DE LAEMERGENCIA Efectuarlo bajo sedación profunda o anestesia general superficial, si es posible con el paciente manteniendo su propia respiración. En sangrado no masivo fibrobroncoscopio para identificar el sitio. Hemoptisis masiva y compromiso severo hacer endoscopia con broncoscopia rígida. PX EN EMERGENCIA RESPIRATORIA.
  • 22.
    Broncoscopio Rigido Broncoscopista conexperiencia Ambiente quirurgico Permite diversas maniobras adicionales Garantiza una vía aérea permeable Buena vision Hace posible la aspiracion de grandes volumenes de sangre , coagulos y secreciones El procedimento debe realizarse bajo sedacion profunda o anestesia general superficial
  • 23.
    Las Técnicas Endoscópicasen la HEMOPTISIS SEVERA O MASIVA están condicionadas a la superioridad de la Broncoscopia Rígida sobre la Flexible en la situación concreta de riesgo inminente de asfixia.
  • 24.
    TRATAMIENTO DE LAEMERGENCIA MANIOBRAS PARA DETENER EL SANGRADO A) ASPIRACION. Debe aspirar de inmediato la sangre y coágulos contenidos en tráquea, luego dirigirse al bronquio fuente contralateral al que se supone el lado del sangrado. Dirigir endoscopio al lado de sagrado activo, con una aspiración constante. Se puede repetir la maniobra hasta asegurar detención del sangrado.
  • 25.
    TRATAMIENTO DE LAEMERGENCIA B) LAVADO CON SOLUCION HELADA. Los músculos de la pared de los vasos bronquiales, al igual que art. sistémicas responden al frío con vasoconstricción. La más efectiva es el lavado con solución salina helada, excepto cuando se sospecha comunicación bronquial directa con una estructura vascular. Se realiza instilando 50cc de solución fisiológica helada que se deja 15-20 seg y se aspira.
  • 26.
    TRATAMIENTO DE LAEMERGENCIA C) OCLUSION BRONQUIAL. Taponamiento del bronquio responsable del sangrado, utilizando balón inflable tipo fogarthy. Se debe colocar através de fibrobroncoscopio y el balón inflado en el bronquio segmentario donde esta el sangrado. Si no es posible, el balón puede ubicarse en el bronquio lobar y aún en el bronquio fuente.
  • 27.
    TRATAMIENTO DE LAEMERGENCIA Debe de intubarse el bronquio fuente contralateral al lado del sangrado o bien a la colocación de un tubo orotraqueal de doble luz. D) INTUBACION BRONQUIAL SELECTIVA.
  • 28.
    ESTUDIOS COMPLEMENTARIOS Serie de80 pxs. En UCI sólo 13% tenía Rx normal. Gran mayoría de px con hemoptisis masiva la Rx es anormal. Puede ocurrir sangrado de un área radiológicamente normal. RX DE TÓRAX. Primer estudio al ingreso o después de la estabilización del px.
  • 29.
    TAC Efectuarse en todoslos pxs. Da información adicional y evidencia lesiones habitualmente pequeñas aún desconocidas. Permite identificar no sólo el sitio sino la causa del sangrado. Rx tórax y TAC comparable en cuanto a la detección del sitio de sangrado (70%), pero el TAC más útil para detectar la causa (77% vs 8%).
  • 30.
    FIBROBRONCOSCOPIA Sino se hautilizado en el manejo del episodio agudo, hacerlo con el px estable. Si se usa en la hemoptisis, se corre el riesgo de no identificar el sitio del sangrado. Si se espera hasta el cese del sangrado, puede ser que no se identifique ningún sitio. Esperar 24-48hrs en un paciente ya estabilizado permite realizar una FBB segura
  • 31.
    ARTERIOGRAFIA DX Es obtenerel mayor detalle anatómico posible de las estructuras vasculares que participan en el sangrado. Px estable y examen dirigido al lado y sitio de la lesión detecta por cualquier método de imágenes. El 1er objetivo es diagnóstico, el cateterismo debe ser con intención terapéutica: embolización.
  • 32.
  • 34.
    TRATAMIENTO QUIRURGICO HA DEMOSTRADOSER EL METODO MAS EFICAZ DEBEN CONSIDERARSE DOS SITUACIONES A- Tratamiento quirurgico del paciente en emergencia, no aconsejable por elevada mortalidad operatoria B- Tratamiento quirurgico en pacientes estabilizados y con funcion pulmonar conocida , es la situacion de eleccion.
  • 35.
    TRATAMIENTO DEFINITIVO Eliminación definitiva dela causa del sangrado. Primer paso puede ser extirpación quirúrgica de la lesión. La toracotomía y resección tiene complejidad aumentada. El riesgo puede ser máximo e incluso prohibitivo en pacientes con compromiso funcional.
  • 36.
    TRATAMIENTO DEFINITIVO EMBOLECTOMIA ARTERIAL. Es laintroducción de alguna sustancia a través de un catéter. Efectivo en la mayoría de casos. Serie de Remy la efectividad fue 83.6%. En series recientes recurrencia entre 22-50%. Serie Osaki la incidencia disminuye con el tiempo. El 90.9% ocurren en los primeros tres años postembolización.
  • 37.
    TRATAMIENTO QUIRURGICO Lobectomía esla resección de elección y la neumonectomía puede ser necesaria en lesiones extensas o pulmones crónicamente destruidos.