Definición
 Hablamos de broncograma aéreo para describir el signo
radiológico que aparece al desaparecer el aire de los
alvéolos pulmonares. En este caso, el aire se sustituye
generalmente por células o por una sustancia líquida. Este
contraste favorece una mejor observación de los
bronquios cuando se practica una radiografía de tórax
convencional.
En el contexto de una opacidad pulmonar la existencia de estructuras
bronquiales conteniendo aire en su interior se ha descrito como signo del
“broncograma aéreo”. Este signo es mucho mas fácil de ver en TC y su
presencia permite asegurar que la lesión es intrapulmonar.
Por otro lado, este signo suele asociarse, aunque no siempre, con la
enfermedad del espacio aéreo.
 Broncograma Aereo:
En una radiografía de tórax normal se ve
el aire en la tráquea y los bronquios
proximales porque está rodeado por los
tejidos blandos (de densidad agua) del
mediastino. En los pulmones, en
cambio, los bronquios no son visibles.
Las únicas
estructuras ramificadas visibles en los
pulmones son los vasos.
 EL SIGNO
DEL BRONCOGRAMA AÉREO
Signo de Broncograma
Aereo.
 Los vasos sanguíneos
intrapulmonares se observarán
en imagen radiológica y en TC
pues contienen sangre, cuya
densidad es mayor que la del
parénquima pulmonar que las
rodea
 Si radiológicamente apreciamos
aire en el bronquio
intrapulmonar, se deberá a que
esta rodeado de un tejido mas
denso, y por tanto anormal
Signo de Broncograma
Aéreo.
 Solo se producirá en un
proceso patológico que
conlleve aumento de
densidad del parénquima
pulmonar
 Es necesario que la
densidad en cuestión
contraste sobre otra
densidad diferente, de
manera que delimite una
interfase perceptible
Signo del Broncograma Aéreo:
 La silueta cardíaca a menudo
oculta la patología del
lóbulo inferior izquierdo en
las radiografías AP y PA
 El signo del broncograma
aéreo superpuesto a la
silueta cardíaca es el signo
definitivo de consolidación
en el lóbulo inferior
izquierdo
Broncograma Aéreo:
- Signo de localización,
que excluye patología
pleural o mediastínica,
asegurando que la lesión
al parénquima
pulmonar, afectados los
alvéolos, por lo tanto,
siempre es indicativo de
condensación
pulmonar
Broncograma Aéreo:
 El broncograma es uno de
los signos frecuentes en
las neumonías, pero
cuando no existe, no es
excluyente de patología
alveolar, pues el bronquio
puede estar opacificado
por estar lleno de detritos
o existir otras
circunstancias(agenesia
bronquial congénita)
Signo del Broncograma Aéreo:
 Edema agudo de pulmón
Signo del Broncograma Aéreo:
 Infarto Pulmonar
Broncograma Aéreo:
 Síndrome de Distres
respiratorio del adulto:
 Neumonia
Broncograma Aéreo:
 Tuberculosis
Broncograma Aéreo:
 Ca. Bronquioloalveolar
Broncograma Aéreo:
 Los infiltrados pulmonares
parcheados periféricos o la
enfermedad intersticial
generalmente no causan una
opacidad suficiente para
producir broncograma aéreo.
 Las entidades que cursan con
hiperinsuflación pulmonar no
causan broncograma
aéreo(asma, fibrosis
intersticial, cáncer).
Broncograma Aereo:
 La morfología del broncograma aéreo nos puede dar
algunas referencias importantes para el diagnóstico
diferencial entre las neumonías y atelectasias
 En el caso de neumonías la arborización bronquial
corresponderá al patrón normal radiológico o TC.
 En el caso de existir atelectasia, los bronquios se
justarán adoptando una disposición “paralela y
comprimida”, que indicará una pérdida de volumen del
territorio en que se ha producido
Tomografía computarizada
 Es mucho más fácil de ver en
TC y su presencia permite
asegurar que la lesión es
intrapulmonar
 Bronquios periféricos visibles en
la mayor parte del campo
pulmonar
Gracias por su atención.
 Gracias…

Broncograma aereo

  • 2.
    Definición  Hablamos debroncograma aéreo para describir el signo radiológico que aparece al desaparecer el aire de los alvéolos pulmonares. En este caso, el aire se sustituye generalmente por células o por una sustancia líquida. Este contraste favorece una mejor observación de los bronquios cuando se practica una radiografía de tórax convencional.
  • 3.
    En el contextode una opacidad pulmonar la existencia de estructuras bronquiales conteniendo aire en su interior se ha descrito como signo del “broncograma aéreo”. Este signo es mucho mas fácil de ver en TC y su presencia permite asegurar que la lesión es intrapulmonar. Por otro lado, este signo suele asociarse, aunque no siempre, con la enfermedad del espacio aéreo.  Broncograma Aereo:
  • 4.
    En una radiografíade tórax normal se ve el aire en la tráquea y los bronquios proximales porque está rodeado por los tejidos blandos (de densidad agua) del mediastino. En los pulmones, en cambio, los bronquios no son visibles. Las únicas estructuras ramificadas visibles en los pulmones son los vasos.  EL SIGNO DEL BRONCOGRAMA AÉREO
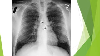
  • 7.
    Signo de Broncograma Aereo. Los vasos sanguíneos intrapulmonares se observarán en imagen radiológica y en TC pues contienen sangre, cuya densidad es mayor que la del parénquima pulmonar que las rodea  Si radiológicamente apreciamos aire en el bronquio intrapulmonar, se deberá a que esta rodeado de un tejido mas denso, y por tanto anormal
  • 8.
    Signo de Broncograma Aéreo. Solo se producirá en un proceso patológico que conlleve aumento de densidad del parénquima pulmonar  Es necesario que la densidad en cuestión contraste sobre otra densidad diferente, de manera que delimite una interfase perceptible
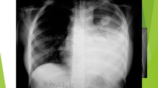
  • 9.
    Signo del BroncogramaAéreo:  La silueta cardíaca a menudo oculta la patología del lóbulo inferior izquierdo en las radiografías AP y PA  El signo del broncograma aéreo superpuesto a la silueta cardíaca es el signo definitivo de consolidación en el lóbulo inferior izquierdo
  • 10.
    Broncograma Aéreo: - Signode localización, que excluye patología pleural o mediastínica, asegurando que la lesión al parénquima pulmonar, afectados los alvéolos, por lo tanto, siempre es indicativo de condensación pulmonar
  • 11.
    Broncograma Aéreo:  Elbroncograma es uno de los signos frecuentes en las neumonías, pero cuando no existe, no es excluyente de patología alveolar, pues el bronquio puede estar opacificado por estar lleno de detritos o existir otras circunstancias(agenesia bronquial congénita)
  • 12.
    Signo del BroncogramaAéreo:  Edema agudo de pulmón
  • 13.
    Signo del BroncogramaAéreo:  Infarto Pulmonar
  • 14.
    Broncograma Aéreo:  Síndromede Distres respiratorio del adulto:
  • 15.
  • 16.
  • 17.
    Broncograma Aéreo:  Ca.Bronquioloalveolar
  • 18.
    Broncograma Aéreo:  Losinfiltrados pulmonares parcheados periféricos o la enfermedad intersticial generalmente no causan una opacidad suficiente para producir broncograma aéreo.  Las entidades que cursan con hiperinsuflación pulmonar no causan broncograma aéreo(asma, fibrosis intersticial, cáncer).
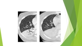
  • 19.
    Broncograma Aereo:  Lamorfología del broncograma aéreo nos puede dar algunas referencias importantes para el diagnóstico diferencial entre las neumonías y atelectasias  En el caso de neumonías la arborización bronquial corresponderá al patrón normal radiológico o TC.  En el caso de existir atelectasia, los bronquios se justarán adoptando una disposición “paralela y comprimida”, que indicará una pérdida de volumen del territorio en que se ha producido
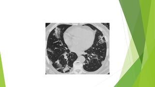
  • 20.
    Tomografía computarizada  Esmucho más fácil de ver en TC y su presencia permite asegurar que la lesión es intrapulmonar  Bronquios periféricos visibles en la mayor parte del campo pulmonar
  • 21.
  • 27.