IMAGENOLOGÍA DE TÓRAX:
Lesiones del espacio aéreo
Dafne Amairany Hinojos Guerrero
Daniela García Guillen
Dr. Cisneros
Atelectasias La palabra atelectasia se utiliza de manera
especifica para denotar disminución de gas en el pulmón
asociada con disminución del volumen pulmonar
que no implica por necesidad un incremento en la radioopacidad.
•Ocurren cuando la comunicación entre el alveolo y la tráquea esta obstruida.Atelectasias por
reabsorción
•Es la pérdida de volumen que acompaña a grandes procesos que ocupan espacio en el
tórax
Atelectasias por
relajación
•Es una atelectasia con vías aéreas permeables, que probablemente está relacionada con
problemas del surfactanteAtelectasias adhesivas
•Es una pérdida de volumen que acompaña a la fibrosis pulmonar y que es generalmente
secundaria a lesiones inflamatorias crónicas
Atelectasias por
cicatrización
Signos radiográficos de
atelectasia
SIGNOS DIRECTOS
DESPLZAMIENTO DE LAS
CISURAS
Forma la clave del lóbulo
atelectásico. La posición y la
configuración de las cisuras
desplazadas es predecible
para una perdida dada
AGRUPAMIENTO DE VASOS Y
BRONIQUIOS
Cuando el pulmón pierde
volumen, los vasos y los
bronquios en el área
atelectásica se agrupan. Es
uno de los signos mas
tempranos
SIGNOS INDIRECTOS
Son aquellos que están
relacionados con los mecanismos
que compensan la reducción de la
presión intrapleural. Elevación del
diafragma, desplazamiento
mediastinico, aproximación de las
costillas y sobredistención del
resto del pulmón
Presencia de opacidad local
Tuberculosis
Mycobacterium tuberculosis, con M. avium intracellulare y
Mycobacterium kansasii asociados a las infecciones por
micobacterias en el paciente con SIDA.
Se refiere a la enfermedad que se desarrolla en la primera exposición al patógeno de la TB.
La infección se transmite por inhalación de las gotas infectadas, por lo general de un adulto con
enfermedad cavitaria.
Se presenta de manera predominante en niños.
Se consideran pacientes de alto riesgo los familiares de pacientes infectados e individuos
inmunocomprometidos.
PRIMARIA
Radiografía
simple
• La radiografía PA de tórax revela un área de condensación unilateral con la presencia de
broncograma aéreo localizada en cualquier lóbulo; sin embargo, predomina en lóbulos
medio e inferior.
• Su apariencia es similar a la de cualquier proceso neumónico
TC
• Se identifica la zona de condensación con broncograma aéreo y la adenopatía de manera
característica presenta áreas de baja atenuación secundaria a necrosis con la presencia de
captación anular del contraste y obliteración de la grasa perinodal.
Gammagrafía con
citrato de
gallium-67.
• Los leucocitos autólogos marcados con indium 111 y la TEP con FDG son de utilidad en el
paciente con fiebre de origen desconocido y en el que no se ha identificado una fuente
definitiva con otras modalidades de imagen.
Tuberculosis posprimaria
Se le llama TB posprimaria o de reactivación a la que resulta de la activación de un foco de infección
adquirido en la infancia o como una infección inicial de organismos virulentos en individuos vacunados
con BCG.
Los diferentes patrones radiográficos que pueden estar presentes en una TB posprimaria serán
dependientes de las diferentes manifestaciones de la enfermedad en su evolución o en sus
diversos tipos de presentación.
Infecciones Pulmonares
Conceptos Preliminares
Infiltrados Pulmonares:
• Grupo de opacidades que aparecen donde normalmente existía transparencia
pulmonar. Son imágenes radiopacas que aparecen donde normalmente había imágenes
radiolúcidas.
• Los que comprometen el espacio aéreo, que son los infiltrados de tipo alveolar.
• Los que comprometen el intersticio que son los infiltrados intersticiales.
Infiltrado retículo-nodular
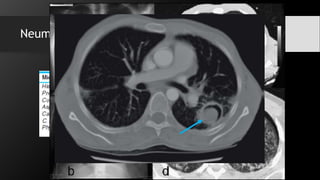
Neumatocele:
Es una dilatación del espacio aéreo como
consecuencia de obstrucción bronquial por
proceso infeccioso, sus paredes por lo
general son finas pero suele estar rodeado
de infiltrados alveolares
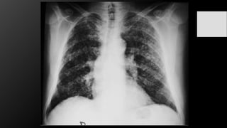
Neumonía
La neumonía en rx se manifiesta con una imagen típica de patrón alveolar y broncograma
aéreo, con distribución segmentaria, lobar o difusa, además de cambios intersticiales difusos.
-Bacteriana
-Viral
-Micótica
-Parasitaria
Patrones de la
neumonía
Lobar
Segmentaria
Intersticial
Redondo
Cavitario
Neumonía Lobar
• Streptococcus Pneumonae.
• Cisuras interlobares bien definidas.
• Signo de la silueta.
• Broncograma aéreo.
Neumonía Segmentaria
(bronconeumonía)
S. Aureus.
Numerosos focos pulmonares simultáneos.
Aspecto algodonoso y mal definido.
Producen un exudado que llena los bronquios.
No se observan broncogramas aéreos.
Perdida de volumen.
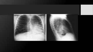
Neumonías BacterianasN. Estafilocócica por S. Aureus
En rx a nivel bronquial se ve una
distribución segmentaria. El proceso
puede ser en parches o generalizada con
evidencia de broncograma aéreo.
Se ve una discreta perdida de volumen.
Consolidacioes multillobares rápidas.
Absceso pulmonar
Neumatocele
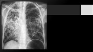
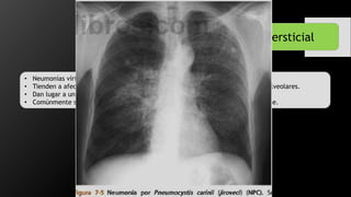
Neumonía Intersticial
• Neumonías víricas y micóticas.
• Tienden a afectar las paredes de las vías respiratorias así como de los tabiques alveolares.
• Dan lugar a un patrón reticular fino en los pulmones en rx.
• Comúnmente se diseminan a todo el pulmón con aspecto parcheado o confluyente.
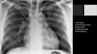
Neumonías Virales
Infiltrados
intersticiales leves,
hasta como
condensaciones
hemorrágicas.
Neumonía micótica:
Neumonías Parasitarias:
Neumonías por Hipersensibilidad:
Bibliografía:

Infecciones pulmonares

  • 1.
    IMAGENOLOGÍA DE TÓRAX: Lesionesdel espacio aéreo Dafne Amairany Hinojos Guerrero Daniela García Guillen Dr. Cisneros
  • 2.
    Atelectasias La palabraatelectasia se utiliza de manera especifica para denotar disminución de gas en el pulmón asociada con disminución del volumen pulmonar que no implica por necesidad un incremento en la radioopacidad. •Ocurren cuando la comunicación entre el alveolo y la tráquea esta obstruida.Atelectasias por reabsorción •Es la pérdida de volumen que acompaña a grandes procesos que ocupan espacio en el tórax Atelectasias por relajación •Es una atelectasia con vías aéreas permeables, que probablemente está relacionada con problemas del surfactanteAtelectasias adhesivas •Es una pérdida de volumen que acompaña a la fibrosis pulmonar y que es generalmente secundaria a lesiones inflamatorias crónicas Atelectasias por cicatrización
  • 5.
    Signos radiográficos de atelectasia SIGNOSDIRECTOS DESPLZAMIENTO DE LAS CISURAS Forma la clave del lóbulo atelectásico. La posición y la configuración de las cisuras desplazadas es predecible para una perdida dada AGRUPAMIENTO DE VASOS Y BRONIQUIOS Cuando el pulmón pierde volumen, los vasos y los bronquios en el área atelectásica se agrupan. Es uno de los signos mas tempranos SIGNOS INDIRECTOS Son aquellos que están relacionados con los mecanismos que compensan la reducción de la presión intrapleural. Elevación del diafragma, desplazamiento mediastinico, aproximación de las costillas y sobredistención del resto del pulmón Presencia de opacidad local
  • 7.
    Tuberculosis Mycobacterium tuberculosis, conM. avium intracellulare y Mycobacterium kansasii asociados a las infecciones por micobacterias en el paciente con SIDA. Se refiere a la enfermedad que se desarrolla en la primera exposición al patógeno de la TB. La infección se transmite por inhalación de las gotas infectadas, por lo general de un adulto con enfermedad cavitaria. Se presenta de manera predominante en niños. Se consideran pacientes de alto riesgo los familiares de pacientes infectados e individuos inmunocomprometidos. PRIMARIA
  • 8.
    Radiografía simple • La radiografíaPA de tórax revela un área de condensación unilateral con la presencia de broncograma aéreo localizada en cualquier lóbulo; sin embargo, predomina en lóbulos medio e inferior. • Su apariencia es similar a la de cualquier proceso neumónico TC • Se identifica la zona de condensación con broncograma aéreo y la adenopatía de manera característica presenta áreas de baja atenuación secundaria a necrosis con la presencia de captación anular del contraste y obliteración de la grasa perinodal. Gammagrafía con citrato de gallium-67. • Los leucocitos autólogos marcados con indium 111 y la TEP con FDG son de utilidad en el paciente con fiebre de origen desconocido y en el que no se ha identificado una fuente definitiva con otras modalidades de imagen.
  • 9.
    Tuberculosis posprimaria Se lellama TB posprimaria o de reactivación a la que resulta de la activación de un foco de infección adquirido en la infancia o como una infección inicial de organismos virulentos en individuos vacunados con BCG. Los diferentes patrones radiográficos que pueden estar presentes en una TB posprimaria serán dependientes de las diferentes manifestaciones de la enfermedad en su evolución o en sus diversos tipos de presentación.
  • 11.
  • 12.
    Conceptos Preliminares Infiltrados Pulmonares: •Grupo de opacidades que aparecen donde normalmente existía transparencia pulmonar. Son imágenes radiopacas que aparecen donde normalmente había imágenes radiolúcidas. • Los que comprometen el espacio aéreo, que son los infiltrados de tipo alveolar. • Los que comprometen el intersticio que son los infiltrados intersticiales.
  • 16.
  • 17.
    Neumatocele: Es una dilatacióndel espacio aéreo como consecuencia de obstrucción bronquial por proceso infeccioso, sus paredes por lo general son finas pero suele estar rodeado de infiltrados alveolares
  • 18.
    Neumonía La neumonía enrx se manifiesta con una imagen típica de patrón alveolar y broncograma aéreo, con distribución segmentaria, lobar o difusa, además de cambios intersticiales difusos. -Bacteriana -Viral -Micótica -Parasitaria Patrones de la neumonía Lobar Segmentaria Intersticial Redondo Cavitario
  • 19.
    Neumonía Lobar • StreptococcusPneumonae. • Cisuras interlobares bien definidas. • Signo de la silueta. • Broncograma aéreo.
  • 20.
    Neumonía Segmentaria (bronconeumonía) S. Aureus. Numerososfocos pulmonares simultáneos. Aspecto algodonoso y mal definido. Producen un exudado que llena los bronquios. No se observan broncogramas aéreos. Perdida de volumen.
  • 22.
    Neumonías BacterianasN. Estafilocócicapor S. Aureus En rx a nivel bronquial se ve una distribución segmentaria. El proceso puede ser en parches o generalizada con evidencia de broncograma aéreo. Se ve una discreta perdida de volumen. Consolidacioes multillobares rápidas. Absceso pulmonar Neumatocele
  • 23.
    Neumonía Intersticial • Neumoníasvíricas y micóticas. • Tienden a afectar las paredes de las vías respiratorias así como de los tabiques alveolares. • Dan lugar a un patrón reticular fino en los pulmones en rx. • Comúnmente se diseminan a todo el pulmón con aspecto parcheado o confluyente.
  • 24.
  • 25.
  • 26.
  • 27.
  • 29.