Dr. Efrén Fong
Medicina Interna
Bronquiectasias
Dilatación anormal e irreversible de una porción del
árbol bronquial por destrucción de componentes
elásticos y muscular de las paredes.
obstrucción
Acúmulo moco
C. Ciliadas dañadas
EPIDEMIOLOGIA
 Prevalencia 52
X 100,000
 Genero
femenino
Mas virulenta en
mujeres
FISIOPATOLOGIA
AGENTE
COLONIZACIÓN
BACTERIANA
INFLAMACION
LESION TISULAR
ALT DEFENSA
ACUMULO SECRECIONES
ALT MUCOCILIAR
>Nº NEUTROFILOS Y LINFOS T,
ENZIMAS PROTEOLITICAS
CITOQUINAS Y RADICALES
SUPEROXIDOS
DIAGNOSTICO CLINICO
Infecciones
respiratorias de
repetición.
Entre episodios:
asintomáticos o
expectoración
crónica
Con o sin
exposición
tabáquica
DIAGNOSTICO
CLINICO
Normal
Estertores crepitantes, roncus y/o sibilancias
Acropaquias, caquexia, insuficiencia
respiratoria o insuficiencia cardiaca
DIAGNOSTICO DE IMAGEN
Aumento
inespecíficos de las
marcas
peribronquiales
Sombras en riel de
tren.
Areas quísticas
conteniendo aire con
niveles o sin ellos.
Patrón de panal.
DIAGNOSTICO DE IMAGEN
-Relación
broncoarterial
>1-1,5
-Falta de
afilamiento de
los bronquios
-Visualización
de bronquios a 1
cm de la pleura
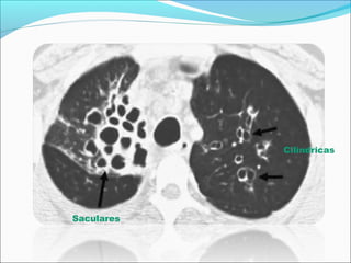
Saculares
Cilíndricas
Varicosa
TACAR
BRONQUIECTASIASBRONQUIECTASIAS
ETIOLOGIA
Tos y expectoración mucopurulenta
persistente, hemoptisis recurrente,
infecciones respiratorias recidivantes
OTROS
DIAGNOSTICO
ETIOLOGICO
 Postinfección
 Obstrucción bronquial
 Inmunodeficiencias
 Alteración mucociliar
 Neumonitis inflamatoria
 Anomalías traqueobronquiales
 Asociadas a otras enfermedades
 Aspergilosis broncopulmonar alérgica
 Panbronquiolitis difusa
 Idiopatico 26-53%
Si no hay sospecha clínica clara,
descartar:
•Inmunodeficiencias con déficit de
producción de anticuerpos,
•Reflujo gastroesofágico
•Micobacterias,
•Fibrosis Quística,
•Discinesia Ciliar Primaria,
•Déficit de alfa1antitripsina.
Objetivos:
•Mejorar la clínica.
•Prevenir la progresión de la
enfermedad.
TX ETIOLOGICO
Déficit de producción de Ac
Reflujo gastroesofágico
Obstrucción bronquial
Infección por micobacterias
Déficit de alfa 1 antitripsina
Fibrosis quística
Enfermedades asociadas (enfermedad
inflamatoria intestinal, autoinmunitarias,
panbronquiolitis…)
TX AGUDIZACION
Antibióticos
Facilitar
eliminación
de
secreciones
Tratamiento
broncoespasm
o
TX AGUDIZACION
 Antibióticos:
 Hasta que el esputo deje de ser purulento (mínimo 10
días, con Pseudomonas 14-21)
 Con infección bronquial crónica: en función del último
aislado
 Sin infección bronquial crónica: empírico
 Modificar en función del cultivo de esputo.
 Oral o IV según la gravedad y la sensibilidad del
microorganismo.
 Ab inhalado no ha demostrado aportar beneficio.
EMPÍRICO.
1. Agudización leve
H. Influenzae Amoxicilina/clavulánico: 875/125 mg /8 h v.o.
S. aureus Cloxacilina: 500-1.000 mg/6 h v.o.
Pseudomonas Ciprofloxacino: 750 mg/12 h v.o.
2. Agudización grave o sin respuesta a v.o.
H. influenzae Amoxicilina-clavulánico: 1-2 g/8 h i.v.
Ceftriaxona: 2 g/24 h i.v.
Pseudomonas Ceftacidima: 2 g/8 h i.v.
+
tobramicina: 5-10 mg/kg /24 h i.v.,
o amikacina 15-20 mg/kg/24 h i.v.
Imipenem: 1 g/8 h;
piperacilina/tazobactam:4 g/8 h;
aztreonam:: 2 g/8 h;
cefepima: 2 g/8 h;
meropenem: 2 g/8 h;
o ciprofloxacino: 400 mg/12 h i.v.c+amikacina: 15-20 mg/kg/24 h i.
Tratamiento de la infección bronquial crónica
Antibiótico prolongado:
Antibiótico según el microorganismo y el antibiograma.
 Pauta y tiempo: obtener y mantener un esputo lo más mucoso
posible y disminuir las agudizaciones.
Vía de administración: oral o inhalada .
 Inhalado: si no respuesta clínica/efectos adversos/resistencias con
tratamiento oral y en infección por Pseudomonas.
Colistimetato de sodio* 1-2 mU/12 h o tobramicina 300 mg/12 h
Facilitar el drenaje de las secreciones.
Tratamiento de la colonización bronquial intermitente o crónica
Antibiótico prolongado ante:
 Agudizaciones repetidas
 Recaídas tempranas
 Ingresos hospitalarios
 Deterioro de la función pulmonar
 Colonización crónica por Pseudomonas
Neumosur 2008; 20, 3: 129-133 131
Antimicrobianos
en aerosol
Antibióticos de administración
inhalada.
• Tobramicina 100-200 mg/12h
• Ticarcilina1gr/12h
• Colistina 1-2 106
U/12h
• Ceftazidima 0.5-1gr/12h
• Cefotaxima 0.5-1gr/12h
• Aztreonam 1gr/12h
• Gentamicina 80-160mg/12h
MUCOLÍTICOS:
Bromhexina facilita eliminación
de secreciones
Manitol: facilita eliminación secreciones
Suero salino hipertónico: puede reducir
exacerbaciones
Wills P, Greenstone M. Inhaled hyperosmolar agents for bronchiectasis.
Cochrane Database Syst Rev. 2006;(2):CD002996.
REHABILITACION
PULMONAR
Fisioterapia
Ejercicio aeróbico
Cirugía
CURATIVO :
 BE localizadas que causan problemas de
manejo clínico
PALIATIVO :
Hemoptisis grave con embolización inefectiva
Zonas abcesificadas no curables con tratamiento
antibiótico.
. Eur J Cardiothorac Surg. 2003; 24:699-702.
Criterios de ingreso hospitalario
Agudizaciones graves
Ausencia de mejoría con tratamiento
ambulatorio
Necesidad de tratamiento IV
Deterioro progresivo de la función pulmonar
Pérdida de peso progresiva no controlada
Comorbilidad
Carencia de soporte social
Hemoptisis moderadas-graves
Otras complicaciones
Pronóstic
o
Las BQ son una afección crónica, irreversible y
progresiva.
Su pronóstico depende:
Enfermedad subyacente: más agresiva en FQ e
inmunodeficiencias
Repercusión en la función respiratoria:
 Afectación de la función resp : FEV1 predictor
mortalidad
Gravedad de las agudizaciones
Pronóstic
o
Mejora la supervivencia:
Diagnóstico precoz de BQ
El diagnóstico y t precoz de su etiología
El tto adecuado de la infección bronquial crónica
Los controles clínicos programados
Medidas preventivas

Bronquiectasias

  • 1.
  • 2.
    Bronquiectasias Dilatación anormal eirreversible de una porción del árbol bronquial por destrucción de componentes elásticos y muscular de las paredes. obstrucción Acúmulo moco C. Ciliadas dañadas
  • 3.
    EPIDEMIOLOGIA  Prevalencia 52 X100,000  Genero femenino Mas virulenta en mujeres
  • 4.
    FISIOPATOLOGIA AGENTE COLONIZACIÓN BACTERIANA INFLAMACION LESION TISULAR ALT DEFENSA ACUMULOSECRECIONES ALT MUCOCILIAR >Nº NEUTROFILOS Y LINFOS T, ENZIMAS PROTEOLITICAS CITOQUINAS Y RADICALES SUPEROXIDOS
  • 5.
    DIAGNOSTICO CLINICO Infecciones respiratorias de repetición. Entreepisodios: asintomáticos o expectoración crónica Con o sin exposición tabáquica
  • 6.
    DIAGNOSTICO CLINICO Normal Estertores crepitantes, roncusy/o sibilancias Acropaquias, caquexia, insuficiencia respiratoria o insuficiencia cardiaca
  • 7.
    DIAGNOSTICO DE IMAGEN Aumento inespecíficosde las marcas peribronquiales Sombras en riel de tren. Areas quísticas conteniendo aire con niveles o sin ellos. Patrón de panal.
  • 8.
    DIAGNOSTICO DE IMAGEN -Relación broncoarterial >1-1,5 -Faltade afilamiento de los bronquios -Visualización de bronquios a 1 cm de la pleura
  • 9.
  • 10.
  • 13.
  • 14.
    BRONQUIECTASIASBRONQUIECTASIAS ETIOLOGIA Tos y expectoraciónmucopurulenta persistente, hemoptisis recurrente, infecciones respiratorias recidivantes OTROS
  • 15.
    DIAGNOSTICO ETIOLOGICO  Postinfección  Obstrucciónbronquial  Inmunodeficiencias  Alteración mucociliar  Neumonitis inflamatoria  Anomalías traqueobronquiales  Asociadas a otras enfermedades  Aspergilosis broncopulmonar alérgica  Panbronquiolitis difusa  Idiopatico 26-53%
  • 16.
    Si no haysospecha clínica clara, descartar: •Inmunodeficiencias con déficit de producción de anticuerpos, •Reflujo gastroesofágico •Micobacterias, •Fibrosis Quística, •Discinesia Ciliar Primaria, •Déficit de alfa1antitripsina.
  • 17.
    Objetivos: •Mejorar la clínica. •Prevenirla progresión de la enfermedad.
  • 18.
    TX ETIOLOGICO Déficit deproducción de Ac Reflujo gastroesofágico Obstrucción bronquial Infección por micobacterias Déficit de alfa 1 antitripsina Fibrosis quística Enfermedades asociadas (enfermedad inflamatoria intestinal, autoinmunitarias, panbronquiolitis…)
  • 19.
  • 20.
    TX AGUDIZACION  Antibióticos: Hasta que el esputo deje de ser purulento (mínimo 10 días, con Pseudomonas 14-21)  Con infección bronquial crónica: en función del último aislado  Sin infección bronquial crónica: empírico  Modificar en función del cultivo de esputo.  Oral o IV según la gravedad y la sensibilidad del microorganismo.  Ab inhalado no ha demostrado aportar beneficio.
  • 21.
    EMPÍRICO. 1. Agudización leve H.Influenzae Amoxicilina/clavulánico: 875/125 mg /8 h v.o. S. aureus Cloxacilina: 500-1.000 mg/6 h v.o. Pseudomonas Ciprofloxacino: 750 mg/12 h v.o. 2. Agudización grave o sin respuesta a v.o. H. influenzae Amoxicilina-clavulánico: 1-2 g/8 h i.v. Ceftriaxona: 2 g/24 h i.v. Pseudomonas Ceftacidima: 2 g/8 h i.v. + tobramicina: 5-10 mg/kg /24 h i.v., o amikacina 15-20 mg/kg/24 h i.v. Imipenem: 1 g/8 h; piperacilina/tazobactam:4 g/8 h; aztreonam:: 2 g/8 h; cefepima: 2 g/8 h; meropenem: 2 g/8 h; o ciprofloxacino: 400 mg/12 h i.v.c+amikacina: 15-20 mg/kg/24 h i.
  • 22.
    Tratamiento de lainfección bronquial crónica Antibiótico prolongado: Antibiótico según el microorganismo y el antibiograma.  Pauta y tiempo: obtener y mantener un esputo lo más mucoso posible y disminuir las agudizaciones. Vía de administración: oral o inhalada .  Inhalado: si no respuesta clínica/efectos adversos/resistencias con tratamiento oral y en infección por Pseudomonas. Colistimetato de sodio* 1-2 mU/12 h o tobramicina 300 mg/12 h Facilitar el drenaje de las secreciones.
  • 23.
    Tratamiento de lacolonización bronquial intermitente o crónica Antibiótico prolongado ante:  Agudizaciones repetidas  Recaídas tempranas  Ingresos hospitalarios  Deterioro de la función pulmonar  Colonización crónica por Pseudomonas
  • 24.
    Neumosur 2008; 20,3: 129-133 131 Antimicrobianos en aerosol
  • 25.
    Antibióticos de administración inhalada. •Tobramicina 100-200 mg/12h • Ticarcilina1gr/12h • Colistina 1-2 106 U/12h • Ceftazidima 0.5-1gr/12h • Cefotaxima 0.5-1gr/12h • Aztreonam 1gr/12h • Gentamicina 80-160mg/12h
  • 26.
    MUCOLÍTICOS: Bromhexina facilita eliminación desecreciones Manitol: facilita eliminación secreciones Suero salino hipertónico: puede reducir exacerbaciones Wills P, Greenstone M. Inhaled hyperosmolar agents for bronchiectasis. Cochrane Database Syst Rev. 2006;(2):CD002996.
  • 27.
  • 28.
    Cirugía CURATIVO :  BElocalizadas que causan problemas de manejo clínico PALIATIVO : Hemoptisis grave con embolización inefectiva Zonas abcesificadas no curables con tratamiento antibiótico. . Eur J Cardiothorac Surg. 2003; 24:699-702.
  • 29.
    Criterios de ingresohospitalario Agudizaciones graves Ausencia de mejoría con tratamiento ambulatorio Necesidad de tratamiento IV Deterioro progresivo de la función pulmonar Pérdida de peso progresiva no controlada Comorbilidad Carencia de soporte social Hemoptisis moderadas-graves Otras complicaciones
  • 30.
    Pronóstic o Las BQ sonuna afección crónica, irreversible y progresiva. Su pronóstico depende: Enfermedad subyacente: más agresiva en FQ e inmunodeficiencias Repercusión en la función respiratoria:  Afectación de la función resp : FEV1 predictor mortalidad Gravedad de las agudizaciones
  • 31.
    Pronóstic o Mejora la supervivencia: Diagnósticoprecoz de BQ El diagnóstico y t precoz de su etiología El tto adecuado de la infección bronquial crónica Los controles clínicos programados Medidas preventivas