Bronquiectasias
Dr. Juan Pablo Barramuño Díaz
Residente Medicina Interna
DEFINICIÓN
• Las bronquiectasias son dilataciones anómalas y permanentes de los
bronquios cartilaginosos de tamaño mediano, que se acompañan de
destrucción de los componentes muscular y elástico de las paredes
bronquiales.
• Expectoración viscosa
• Tos crónica
• Casi siempre requiere de una noxa infecciosa. Seria resultado de
cicatrización.
CLASIFICACIÓN
• CILINDRICAS  COMO TUBO DILATADO.
• VARICOSAS  CONTRONO IRREGULAR Y ARROSARIADO, POR
PRESENCIA DE AREAS FIBROSAS.
• QUISTICAS  BRONQUIOS SE DILATAN A MEDIDA QUE SE HACEN
PERIFERICOS, Y TERMINAN EN FORMA DE GLOBO.
ETIOPATOGENIA
• Alteración de las defensas locales, lo que da
lugar a infecciones recurrentes, por tanto, a
la inflamación local, provocándose
eliminación de sustancias proteolíticas que
son capaces de destruir las paredes
bronquiales.
• Las obstrucciones bronquiales localizadas
favorecen la retención de secreciones y, por
tanto, las infecciones y ayudan a la
formación de bronquiectasias.
ANATOMOPATOLOGIA
• Afectar los bronquios cartilaginosos segmentarios y subsegmentarios, sobre
todo de campos pulmonares inferiores, aunque algunas causas se asocian
a bronquiectasias en los lóbulos superiores.
• infiltración de estructuras (cartílago, musculo y tejido elástico) por células
inflamatorias.
• áreas de ulceración con metaplasia epidermoide e hiperplasia de
glándulas mucosas.
• arterias bronquiales dilatadas y tortuosas.
CLINICA
Anamnesis
• Tos productiva de larga evolución (98%)
• Sintomas respiratorios desde la infancia (70%)
• Rinosinusitis crónica, disnea y astenia.
• Dolor torácico, y hemoptisis (hasta 27%)
• Secreción bronquial abundante
• Sensibilidad tusígena aumentada
Exploración física y hallazgos de laboratorio
• Crepitaciones, roncus.
• Obstrucción crónica al flujo aéreo
• Evolución progresiva con deterioro lento de la f(x)
pulmonar + atrapamiento aéreo.
• Colonización con Mo.
DIAGNOSTICO
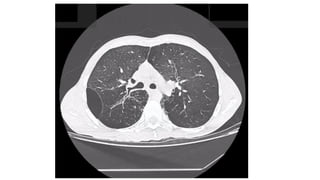
• Datos clínicos y la radiografía de tórax,
• Confirmatorio  tac de alta resolución
Dependiendo de la etapa en que se pesquisa se vera una variada
gama de severidad de lesiones.
Radiografía
• Atelectasias
• Vías aéreas engrosadas y
dilatadas
• Opacidades irregulares
periféricas (tapones mucosos)
- Espirometría
- Difusión de CO2
- Valoración de hiperreactividad bronquial
- Capacidad de esfuerzo
- Gases arteriales
- Descartar enfermedades autoinmunes (AR, EII)
- Estudio microbiológico de secreción bronquial.
- Ecocardiograma
- Fibrobroncoscopia
TRATAMIENTO
• Objetivos:
1) Eliminación del problema subyacente causal.
2) Control de infecciones pulmonares, con mejoría/eliminación de las
secreciones broncopulmonares
3) Reversión de la obstrucción bronquial
4) Control de las complicaciones.
EXACERBACIONES
- Aumento de cantidad y consistencia del esputo
- Cambio de coloración
- Acortamiento de inspiración, sibilancias
- Dolor pleurítico
- Hemoptisis
- Fiebre
- Cambios a la auscutacion
- Valorar necesidad de hospitalización.
(fiebre y temblores generalmente están ausentes)
SOLICITAR:
- Tinción de Gram
- Cultivo de secreción
- Exámenes generales
- RxTX para excluir pneumotorax y/o pneumonia.
Manejo  ATB (vo o ev) por 14 días.
* Participación de virus (coronavirus, rinovirus e Influenza)
 Empirico: levofloxacino o moxifloxacino
 Si tengo cultivo: según antibiograma
- Amoxicilina/clavulanico
- Macrolidos
 Pseudomona sensible  Ciprofloxacino.
Asociar tobramicina inhalada ??
 Falla de tto debo cubrir además St. Aureus.
PROFILAXIS ATB (AZITROMICINA 3/semanal) cuando hay > 2 exacerbaciones al año
DE ELECCIÓN :
Reduciría el biofilm alrededor
de Mo G(-), retarda el influjo
neutrófilo, estabilización de
membranas, reduce la ERGE.
• B agonistas + CI Beneficio en calidad de vida. En pacientes con
hiperreactividad comprobada mediante espirometria.
• Corticoides sistémicos no recomendados.
• NBZ : Estudios clínicos han fallado en comprobar algún beneficio con
nebulizaciones con suero salino hipertónico y manitol.
• Agentes mucoliticos: acetylcisteina no ha demostrado beneficios.
OTRAS TERAPIAS
CIRUGIA
• Lesión obstructiva tumoral o cuerpo extraño
• Bronquiectasias localizadas para reducir episodios infecciosos.
• Bronquiectasias localizadas en 1-2 lóbulos para reducir el esputo en pacientes no respondedores a terapia.
• Embolización arterial o resección en hemoptisis masiva
• Resección de área con sospecha de colonización por MAC u TBC multiresistente.
TRANSPLANTE  Menores de 60 años con insuficiencia respiratoria crónica, LCFA grave, exacerbaciones
frecuentes.
Hemoptisis > 600 ml/día
TAC + Fibrobroncoscopia  localiza la fuente de hemorragia
- Tapón con balón
- Aplicación de vasoconstrictor
- Electro cauterización
- Terapia laser
- Crioterapia
2) Arteriografía con embolización (éxito 85%)
3) Resección quirúrgica
PRONOSTICO
• 1 exacerbación c/8 meses
• 1/3 de estas fue severa
• Mortalidad entre 16-20 % sobre 5 años
• deterioro de f(x) pulmonar mas rápido que población general. Caída
de 50 ml/año. similar A EPOC.
INDICE DE SEVERIDAD DE
BRONQUIECTASIAS
Bronquiectasias

Bronquiectasias

  • 1.
    Bronquiectasias Dr. Juan PabloBarramuño Díaz Residente Medicina Interna
  • 2.
    DEFINICIÓN • Las bronquiectasiasson dilataciones anómalas y permanentes de los bronquios cartilaginosos de tamaño mediano, que se acompañan de destrucción de los componentes muscular y elástico de las paredes bronquiales. • Expectoración viscosa • Tos crónica • Casi siempre requiere de una noxa infecciosa. Seria resultado de cicatrización.
  • 3.
    CLASIFICACIÓN • CILINDRICAS COMO TUBO DILATADO. • VARICOSAS  CONTRONO IRREGULAR Y ARROSARIADO, POR PRESENCIA DE AREAS FIBROSAS. • QUISTICAS  BRONQUIOS SE DILATAN A MEDIDA QUE SE HACEN PERIFERICOS, Y TERMINAN EN FORMA DE GLOBO.
  • 5.
    ETIOPATOGENIA • Alteración delas defensas locales, lo que da lugar a infecciones recurrentes, por tanto, a la inflamación local, provocándose eliminación de sustancias proteolíticas que son capaces de destruir las paredes bronquiales. • Las obstrucciones bronquiales localizadas favorecen la retención de secreciones y, por tanto, las infecciones y ayudan a la formación de bronquiectasias.
  • 7.
    ANATOMOPATOLOGIA • Afectar losbronquios cartilaginosos segmentarios y subsegmentarios, sobre todo de campos pulmonares inferiores, aunque algunas causas se asocian a bronquiectasias en los lóbulos superiores. • infiltración de estructuras (cartílago, musculo y tejido elástico) por células inflamatorias. • áreas de ulceración con metaplasia epidermoide e hiperplasia de glándulas mucosas. • arterias bronquiales dilatadas y tortuosas.
  • 9.
    CLINICA Anamnesis • Tos productivade larga evolución (98%) • Sintomas respiratorios desde la infancia (70%) • Rinosinusitis crónica, disnea y astenia. • Dolor torácico, y hemoptisis (hasta 27%) • Secreción bronquial abundante • Sensibilidad tusígena aumentada Exploración física y hallazgos de laboratorio • Crepitaciones, roncus. • Obstrucción crónica al flujo aéreo • Evolución progresiva con deterioro lento de la f(x) pulmonar + atrapamiento aéreo. • Colonización con Mo.
  • 10.
    DIAGNOSTICO • Datos clínicosy la radiografía de tórax, • Confirmatorio  tac de alta resolución Dependiendo de la etapa en que se pesquisa se vera una variada gama de severidad de lesiones.
  • 11.
    Radiografía • Atelectasias • Víasaéreas engrosadas y dilatadas • Opacidades irregulares periféricas (tapones mucosos)
  • 14.
    - Espirometría - Difusiónde CO2 - Valoración de hiperreactividad bronquial - Capacidad de esfuerzo - Gases arteriales - Descartar enfermedades autoinmunes (AR, EII) - Estudio microbiológico de secreción bronquial. - Ecocardiograma - Fibrobroncoscopia
  • 15.
    TRATAMIENTO • Objetivos: 1) Eliminacióndel problema subyacente causal. 2) Control de infecciones pulmonares, con mejoría/eliminación de las secreciones broncopulmonares 3) Reversión de la obstrucción bronquial 4) Control de las complicaciones.
  • 16.
    EXACERBACIONES - Aumento decantidad y consistencia del esputo - Cambio de coloración - Acortamiento de inspiración, sibilancias - Dolor pleurítico - Hemoptisis - Fiebre - Cambios a la auscutacion - Valorar necesidad de hospitalización. (fiebre y temblores generalmente están ausentes)
  • 17.
    SOLICITAR: - Tinción deGram - Cultivo de secreción - Exámenes generales - RxTX para excluir pneumotorax y/o pneumonia. Manejo  ATB (vo o ev) por 14 días. * Participación de virus (coronavirus, rinovirus e Influenza)
  • 18.
     Empirico: levofloxacinoo moxifloxacino  Si tengo cultivo: según antibiograma - Amoxicilina/clavulanico - Macrolidos  Pseudomona sensible  Ciprofloxacino. Asociar tobramicina inhalada ??  Falla de tto debo cubrir además St. Aureus. PROFILAXIS ATB (AZITROMICINA 3/semanal) cuando hay > 2 exacerbaciones al año DE ELECCIÓN : Reduciría el biofilm alrededor de Mo G(-), retarda el influjo neutrófilo, estabilización de membranas, reduce la ERGE.
  • 19.
    • B agonistas+ CI Beneficio en calidad de vida. En pacientes con hiperreactividad comprobada mediante espirometria. • Corticoides sistémicos no recomendados. • NBZ : Estudios clínicos han fallado en comprobar algún beneficio con nebulizaciones con suero salino hipertónico y manitol. • Agentes mucoliticos: acetylcisteina no ha demostrado beneficios. OTRAS TERAPIAS
  • 20.
    CIRUGIA • Lesión obstructivatumoral o cuerpo extraño • Bronquiectasias localizadas para reducir episodios infecciosos. • Bronquiectasias localizadas en 1-2 lóbulos para reducir el esputo en pacientes no respondedores a terapia. • Embolización arterial o resección en hemoptisis masiva • Resección de área con sospecha de colonización por MAC u TBC multiresistente. TRANSPLANTE  Menores de 60 años con insuficiencia respiratoria crónica, LCFA grave, exacerbaciones frecuentes.
  • 21.
    Hemoptisis > 600ml/día TAC + Fibrobroncoscopia  localiza la fuente de hemorragia - Tapón con balón - Aplicación de vasoconstrictor - Electro cauterización - Terapia laser - Crioterapia 2) Arteriografía con embolización (éxito 85%) 3) Resección quirúrgica
  • 22.
    PRONOSTICO • 1 exacerbaciónc/8 meses • 1/3 de estas fue severa • Mortalidad entre 16-20 % sobre 5 años • deterioro de f(x) pulmonar mas rápido que población general. Caída de 50 ml/año. similar A EPOC.
  • 23.
    INDICE DE SEVERIDADDE BRONQUIECTASIAS